JavaScript is disabled in your browser. Please enable JavaScript to view this website.
AB134154

Anti-TACC3 antibody [EPR7756]

  • RabMAb
  • Recombinant
  • KO Validated
  • 20ul selling size
  • What is this?

Be the first to review this product! Submit a review

|

(23 Publications)

Rabbit Recombinant Monoclonal TACC3 antibody. Suitable for IHC-P, WB, ICC/IF and reacts with Human, Mouse, Rat samples. Cited in 23 publications.

View Alternative Names

ERIC1, TACC3, Transforming acidic coiled-coil-containing protein 3, ERIC-1

7 Images
Immunocytochemistry/ Immunofluorescence - Anti-TACC3 antibody [EPR7756] (AB134154)
  • ICC/IF

Lab

Immunocytochemistry/ Immunofluorescence - Anti-TACC3 antibody [EPR7756] (AB134154)

Immunocytochemistry/Immunofluorescence analysis of HeLa cells labelling TACC3 with purified ab134154 at 1/200. Cells were fixed with 4% paraformaldehyde and permeabilized with 0.1% Triton X-100. An Alexa Fluor® 555-conjugated goat anti-rabbit IgG (1/500) was used as the secondary antibody. DAPI (blue) was used as the nuclear counterstain.

Control : primary antibody (1/200) and secondary antibody, ab150113, an Alexa Fluor® 488-conjugated goat anti-mouse IgG (1/500).

Immunocytochemistry/ Immunofluorescence - Anti-TACC3 antibody [EPR7756] (AB134154)
  • ICC/IF

Unknown

Immunocytochemistry/ Immunofluorescence - Anti-TACC3 antibody [EPR7756] (AB134154)

Immunocytochemistry/Immunofluorescence analysis of HeLa cells labelling TACC3 with unpurified ab134154 at 1/50 dilution.

Immunohistochemistry (Formalin/PFA-fixed paraffin-embedded sections) - Anti-TACC3 antibody [EPR7756] (AB134154)
  • IHC-P

Unknown

Immunohistochemistry (Formalin/PFA-fixed paraffin-embedded sections) - Anti-TACC3 antibody [EPR7756] (AB134154)

Immunohistochemistry (Formalin/PFA-fixed paraffin-embedded sections) analysis of human testis tissue labelling TACC3 with unpurified ab134154 at 1/50 dilution.

Perform heat mediated antigen retrieval with citrate buffer pH 6 before commencing with IHC staining protocol.

Immunohistochemistry (Formalin/PFA-fixed paraffin-embedded sections) - Anti-TACC3 antibody [EPR7756] (AB134154)
  • IHC-P

Unknown

Immunohistochemistry (Formalin/PFA-fixed paraffin-embedded sections) - Anti-TACC3 antibody [EPR7756] (AB134154)

Immunohistochemistry (Formalin/PFA-fixed paraffin-embedded sections) analysis of human tonsil tissue labelling TACC3 with unpurified ab134154 at 1/50 dilution.

Perform heat mediated antigen retrieval with citrate buffer pH 6 before commencing with IHC staining protocol.

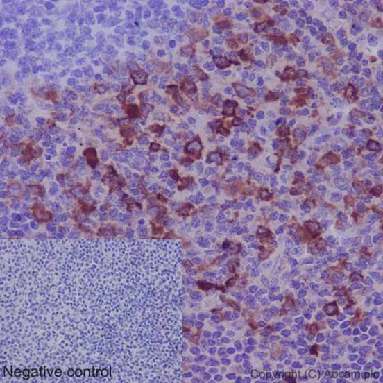
Immunohistochemistry (Formalin/PFA-fixed paraffin-embedded sections) - Anti-TACC3 antibody [EPR7756] (AB134154)
  • IHC-P

Lab

Immunohistochemistry (Formalin/PFA-fixed paraffin-embedded sections) - Anti-TACC3 antibody [EPR7756] (AB134154)

Immunohistochemistry (Formalin/PFA-fixed paraffin-embedded sections) analysis of human tonsil tissue labelling TACC3 with purified ab134154 at 1/100. Heat mediated antigen retrieval was performed using Tris/EDTA buffer pH 9. A prediluted HRP-polymer conjugated anti-rabbit IgG was used as the secondary antibody. Negative control using PBS instead of primary antibody. Counterstained with Hematoxylin.

Western blot - Anti-TACC3 antibody [EPR7756] (AB134154)
  • WB

Lab

Western blot - Anti-TACC3 antibody [EPR7756] (AB134154)

Blocking and diluting buffer and concentration : 5% NFDM/TBST

In Western blot, ab134154 was shown to bind specifically to TACC3. Target of interest was observed at 140 kDa in wild-type 293T cell lysates (lane 1) with no signal observed at this size in TACC3 knockout cell line (lane 2) (lane 2, knockout cell line ab266316).

The bands beneath the target band (140 kDa) are likely to be degraded target fragments.

ab181602 was used as a GAPDH loading control at 1/200000 dilution.

All lanes:

Western blot - Anti-TACC3 antibody [EPR7756] (ab134154) at 1/1000 dilution

Lane 1:

Wild-type 293T (human embryonic kidney epithelial cell) whole cell lysate at 20 µg

Lane 2:

Western blot - Human TACC3 knockout HEK-293T cell line (<a href='/en-us/products/cell-lines/human-tacc3-knockout-hek-293t-cell-line-ab266316'>ab266316</a>) at 20 µg

Lane 3:

HeLa (human cervical adenocarcinoma epithelial cell) whole cell lysate at 20 µg

Secondary

All lanes:

Western blot - Goat Anti-Rabbit IgG H&L (HRP) (<a href='/en-us/products/secondary-antibodies/goat-rabbit-igg-h-l-hrp-ab97051'>ab97051</a>) at 1/100000 dilution

Predicted band size: 90 kDa

Observed band size: 140 kDa,37 kDa

false

Exposure time: 81s

Western blot - Anti-TACC3 antibody [EPR7756] (AB134154)
  • WB

Lab

Western blot - Anti-TACC3 antibody [EPR7756] (AB134154)

Blocking and diluting buffer and concentration : 5% NFDM/TBST

To minimize protein degradation, tissues were lysed immediately after harvest and then applied to a gel and transfer membrane for Western blotting as soon as possible.

All lanes:

Western blot - Anti-TACC3 antibody [EPR7756] (ab134154) at 1/1000 dilution

Lane 1:

Mouse testis tissue lysate at 20 µg

Lane 2:

Rat testis tissue lysate at 20 µg

Lane 3:

Rat spleen tissue lysate at 20 µg

Secondary

All lanes:

Western blot - Goat Anti-Rabbit IgG H&L (HRP) (<a href='/en-us/products/secondary-antibodies/goat-rabbit-igg-h-l-hrp-ab97051'>ab97051</a>) at 1/100000 dilution

Predicted band size: 90 kDa

Observed band size: 140 kDa

false

Exposure time: 125s

  • Carrier free

    Anti-TACC3 antibody [EPR7756] - BSA and Azide free

Key facts

Host species

Rabbit

Clonality

Monoclonal

Clone number

EPR7756

Isotype

IgG

Carrier free

No

Reacts with

Mouse, Rat, Human

Applications

WB, IHC-P, ICC/IF

applications

Immunogen

The exact immunogen used to generate this antibody is proprietary information.

Reactivity data

{ "title": "Reactivity Data", "filters": { "stats": ["", "Species", "Dilution Info", "Notes"], "tabs": { "all-applications": {"fullname" : "All Applications", "shortname": "All Applications"}, "IHCP" : {"fullname" : "Immunohistochemistry (Formalin/PFA-fixed paraffin-embedded sections)", "shortname":"IHC-P"}, "WB" : {"fullname" : "Western blot", "shortname":"WB"}, "ICCIF" : {"fullname" : "Immunocytochemistry/ Immunofluorescence", "shortname":"ICC/IF"} }, "product-promise": { "all": "all", "testedAndGuaranteed": "tested", "guaranteed": "expected", "predicted": "predicted", "notRecommended": "not-recommended" } }, "values": { "Human": { "IHCP-species-checked": "testedAndGuaranteed", "IHCP-species-dilution-info": "1/100 - 1/200", "IHCP-species-notes": "<p><strong>For unpurified use at 1/50 - 1/100.</strong></p> Perform heat-mediated antigen retrieval with citrate buffer pH 6 before commencing with IHC staining protocol.", "WB-species-checked": "testedAndGuaranteed", "WB-species-dilution-info": "1/1000 - 1/10000", "WB-species-notes": "<p></p>", "ICCIF-species-checked": "testedAndGuaranteed", "ICCIF-species-dilution-info": "1/200 - 1/400", "ICCIF-species-notes": "<p><strong>For unpurified use at 1/50 - 1/100.</strong></p>" }, "Mouse": { "IHCP-species-checked": "guaranteed", "IHCP-species-dilution-info": "1/100 - 1/200", "IHCP-species-notes": "<p><strong>For unpurified use at 1/50 - 1/100.</strong></p> Perform heat-mediated antigen retrieval with citrate buffer pH 6 before commencing with IHC staining protocol.", "WB-species-checked": "testedAndGuaranteed", "WB-species-dilution-info": "1/1000 - 1/10000", "WB-species-notes": "<p></p>", "ICCIF-species-checked": "guaranteed", "ICCIF-species-dilution-info": "1/200 - 1/400", "ICCIF-species-notes": "<p><strong>For unpurified use at 1/50 - 1/100.</strong></p>" }, "Rat": { "IHCP-species-checked": "guaranteed", "IHCP-species-dilution-info": "1/100 - 1/200", "IHCP-species-notes": "<p><strong>For unpurified use at 1/50 - 1/100.</strong></p> Perform heat-mediated antigen retrieval with citrate buffer pH 6 before commencing with IHC staining protocol.", "WB-species-checked": "testedAndGuaranteed", "WB-species-dilution-info": "1/1000 - 1/10000", "WB-species-notes": "<p></p>", "ICCIF-species-checked": "guaranteed", "ICCIF-species-dilution-info": "1/200 - 1/400", "ICCIF-species-notes": "<p><strong>For unpurified use at 1/50 - 1/100.</strong></p>" } } }

Product details

Patented technology
Our RabMAb® technology is a patented hybridoma-based technology for making rabbit monoclonal antibodies. For details on our patents, please refer to RabMAb® patents.

What are the advantages of a recombinant monoclonal antibody?
This product is a recombinant monoclonal antibody, which offers several advantages including:

  • - High batch-to-batch consistency and reproducibility
  • - Improved sensitivity and specificity
  • - Long-term security of supply
  • - Animal-free batch production

For more information, read more on recombinant antibodies.

Properties and storage information

Form
Liquid
Purification technique
Affinity purification Protein A
Storage buffer
pH: 7.2 - 7.4 Preservative: 0.01% Sodium azide Constituents: PBS, 40% Glycerol (glycerin, glycerine), 0.05% BSA
Shipped at conditions
Blue Ice
Appropriate short-term storage duration
1-2 weeks
Appropriate short-term storage conditions
+4°C
Appropriate long-term storage conditions
-20°C
Aliquoting information
Upon delivery aliquot
Storage information
Stable for 12 months at -20°C

Supplementary information

This supplementary information is collated from multiple sources and compiled automatically.

TACC3 also known as Transforming Acidic Coiled-Coil Containing Protein 3 is a microtubule-associated protein with a molecular weight of approximately 90 kDa. It plays an important role in stabilizing microtubules and is involved in mitotic spindle assembly. TACC3 is expressed in various tissues with high levels seen in proliferating cells such as embryonic cells and those in the testis. This expression pattern suggests it has important functions during cell division and development.
Biological function summary

TACC3 is part of a protein complex that contributes to mitosis. It collaborates with the Aurora A kinase and ch-TOG protein to ensure proper microtubule dynamics and spindle formation. This complex stabilizes kinetochore microtubules by connecting them to the centrosomes allowing accurate chromosome segregation during cell division. TACC3's actions are fundamental to cell cycle regulation and maintaining genomic stability.

Pathways

The role of TACC3 is linked to the cell cycle regulation and mitosis pathway. It interacts closely with the Aurora A kinase pathway playing a role in regulating centrosome maturation and spindle assembly. In these pathways proteins like TPX2 and PLK1 are also involved working alongside TACC3 to maintain the fidelity of cell division and ensure equal distribution of genetic material to daughter cells.

TACC3 is significantly implicated in various cancers. Abnormal expression levels of TACC3 have been associated with the development and progression of glioblastoma and breast cancer. It often exhibits partnerships with FGFR3 leading to oncogenic gene fusions that drive cancer cell growth and survival. Understanding TACC3 and its interactions remains important for developing targeted therapies in oncology.

Product protocols

For this product, it's our understanding that no specific protocols are required. You can visit:

Target data

Plays a role in the microtubule-dependent coupling of the nucleus and the centrosome. Involved in the processes that regulate centrosome-mediated interkinetic nuclear migration (INM) of neural progenitors (By similarity). Acts as a component of the TACC3/ch-TOG/clathrin complex proposed to contribute to stabilization of kinetochore fibers of the mitotic spindle by acting as inter-microtubule bridge. The TACC3/ch-TOG/clathrin complex is required for the maintenance of kinetochore fiber tension (PubMed : 21297582, PubMed : 23532825). May be involved in the control of cell growth and differentiation. May contribute to cancer (PubMed : 14767476).
See full target information TACC3

Publications (23)

Recent publications for all applications. Explore the full list and refine your search

Cellular and molecular life sciences : CMLS 82:292 PubMed40736675

2025

Proteome of oocyte spindle identifies Ccdc69 regulates spindle assembly like "band-tightening spell".

Applications

Unspecified application

Species

Unspecified reactive species

Jia-Ni Guo,Liu Zhu,Tie-Gang Meng,Yi-Na Zhang,Si-Min Sun,Xue-Mei Yang,Bing-Wang Zhao,Yi-Ke Lu,Yuan-Hong Xu,Wei Yue,Zhiming Han,Catherine C L Wong,Zhen-Bo Wang

The Journal of cell biology 224: PubMed40105698

2025

Structural characterization and inhibition of the interaction between ch-TOG and TACC3.

Applications

Unspecified application

Species

Unspecified reactive species

James Shelford,Selena G Burgess,Elena Rostkova,Mark W Richards,Gabrielle Larocque,Josephina Sampson,Christian Tiede,Alistair J Fielding,Tina Daviter,Darren C Tomlinson,Antonio N Calabrese,Mark Pfuhl,Richard Bayliss,Stephen J Royle

Scientific reports 14:4808 PubMed38413710

2024

Male meiotic spindle poles are stabilized by TACC3 and cKAP5/chTOG differently from female meiotic or somatic mitotic spindles in mice.

Applications

Unspecified application

Species

Unspecified reactive species

Calvin Simerly,Emily Robertson,Caleb Harrison,Sydney Ward,Charlize George,Jasmine Deleon,Carrie Hartnett,Gerald Schatten

Journal of ovarian research 15:112 PubMed36242049

2022

Proteomic analysis implicates that postovulatory aging leads to aberrant gene expression, biosynthesis, RNA metabolism and cell cycle in mouse oocytes.

Applications

Unspecified application

Species

Unspecified reactive species

Chuanxin Zhang,Xueqi Dong,Xinyi Yuan,Jinzhu Song,Jiawei Wang,Boyang Liu,Keliang Wu

Briefings in bioinformatics 23: PubMed35419596

2022

Comprehensive assessment of cellular senescence in the tumor microenvironment.

Applications

Unspecified application

Species

Unspecified reactive species

Xiaoman Wang,Lifei Ma,Xiaoya Pei,Heping Wang,Xiaoqiang Tang,Jian-Fei Pei,Yang-Nan Ding,Siyao Qu,Zi-Yu Wei,Hui-Yu Wang,Xiaoyue Wang,Gong-Hong Wei,De-Pei Liu,Hou-Zao Chen

Journal of virology 95:e0082121 PubMed34191581

2021

Human Cytomegalovirus Exploits TACC3 To Control Microtubule Dynamics and Late Stages of Infection.

Applications

Unspecified application

Species

Unspecified reactive species

Colleen Furey,Helen Astar,Derek Walsh

Journal of cell science 134: PubMed34152366

2021

Loss of acentriolar MTOCs disrupts spindle pole Aurora A and assembly of the liquid-like meiotic spindle domain in oocytes.

Applications

Unspecified application

Species

Unspecified reactive species

Xiaotian Wang,Claudia Baumann,Rabindranath De La Fuente,Maria M Viveiros

Molecular medicine (Cambridge, Mass.) 27:60 PubMed34134633

2021

Transforming acidic coiled-coil protein-3: a novel marker for differential diagnosis and prognosis prediction in endocervical adenocarcinoma.

Applications

Unspecified application

Species

Unspecified reactive species

Yan-Lin Wen,Shu-Mei Yan,Wei Wei,Xia Yang,Shi-Wen Zhang,Jing-Ping Yun,Li-Li Liu,Rong-Zhen Luo

BMC cancer 21:332 PubMed33789601

2021

Co-expression of SOX2 and HR-HPV RISH predicts poor prognosis in small cell neuroendocrine carcinoma of the uterine cervix.

Applications

Unspecified application

Species

Unspecified reactive species

Shi-Wen Zhang,Rong-Zhen Luo,Xiao-Ying Sun,Xia Yang,Hai-Xia Yang,Si-Ping Xiong,Li-Li Liu

Nature communications 12:1438 PubMed33664246

2021

Epidermal growth factor receptor signaling uncouples germ cells from the somatic follicular compartment at ovulation.

Applications

Unspecified application

Species

Unspecified reactive species

Laleh Abbassi,Stephany El-Hayek,Karen Freire Carvalho,Wusu Wang,Qin Yang,Sofia Granados-Aparici,Rafael Mondadori,Vilceu Bordignon,Hugh J Clarke
View all publications

Product promise

We are committed to supporting your work with high-quality reagents, and we're here for you every step of the way. In the unlikely event that one of our products does not perform as expected, you're protected by our Product Promise.
For full details, please see our Terms & Conditions

Please note: All products are 'FOR RESEARCH USE ONLY. NOT FOR USE IN DIAGNOSTIC OR THERAPEUTIC PROCEDURES'.

For licensing inquiries, please contact partnerships@abcam.com