JavaScript is disabled in your browser. Please enable JavaScript to view this website.
AB235079

Anti-TAF15 antibody [EPR9197(B)] - BSA and Azide free

Be the first to review this product! Submit a review

|

(1 Publication)

Rabbit Recombinant Monoclonal TAF15 antibody. Carrier free. Suitable for IHC-P, WB, ICC/IF, Flow Cyt (Intra) and reacts with Human samples. Cited in 1 publication.

View Alternative Names

RBP56, TAF2N, TAF15, TATA-binding protein-associated factor 2N, 68 kDa TATA-binding protein-associated factor, RNA-binding protein 56, TAF(II)68, TAFII68

5 Images
Immunohistochemistry (Formalin/PFA-fixed paraffin-embedded sections) - Anti-TAF15 antibody [EPR9197(B)] - BSA and Azide free (AB235079)
  • IHC-P

Unknown

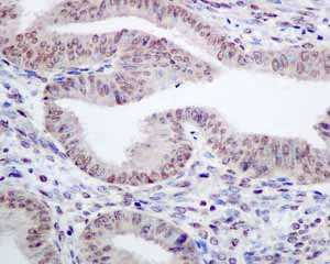
Immunohistochemistry (Formalin/PFA-fixed paraffin-embedded sections) - Anti-TAF15 antibody [EPR9197(B)] - BSA and Azide free (AB235079)

Immunohistochemical analysis using ab134916 showing positive staining in Normal human uterus tissue.

This data was developed using the same antibody clone in a different buffer formulation containing PBS, BSA, glycerol, and sodium azide (ab134916).

Perform heat mediated antigen retrieval with citrate buffer pH 6 before commencing with IHC staining protocol.

Immunocytochemistry/ Immunofluorescence - Anti-TAF15 antibody [EPR9197(B)] - BSA and Azide free (AB235079)
  • ICC/IF

Lab

Immunocytochemistry/ Immunofluorescence - Anti-TAF15 antibody [EPR9197(B)] - BSA and Azide free (AB235079)

ab134916 staining TAF15 in HeLa (human cervix adenocarcinoma) cells by ICC/IF (Immunocytochemistry/immunofluorescence). Cells were fixed with 4% Paraformaldehyde and permeabilized with 0.1% tritonX-100. Samples were incubated with primary antibody at a dilution of 1/500. A goat anti rabbit IgG (Alexa Fluor® 488) (ab150077) was used as the secondary antibody at a dilution of 1/1000. DAPI was used as a nuclear counterstain.

Negative control 1 : PBS only.

This data was developed using the same antibody clone in a different buffer formulation containing PBS, BSA, glycerol, and sodium azide (ab134916).

Immunohistochemistry (Formalin/PFA-fixed paraffin-embedded sections) - Anti-TAF15 antibody [EPR9197(B)] - BSA and Azide free (AB235079)
  • IHC-P

Unknown

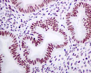
Immunohistochemistry (Formalin/PFA-fixed paraffin-embedded sections) - Anti-TAF15 antibody [EPR9197(B)] - BSA and Azide free (AB235079)

Immunohistochemical analysis of TAF15 in paraffin embedded Human urinary bladder carcinoma tissue, using ab134916 at a 1/100 dilution.

This data was developed using the same antibody clone in a different buffer formulation containing PBS, BSA, glycerol, and sodium azide (ab134916).

Perform heat mediated antigen retrieval with citrate buffer pH 6 before commencing with IHC staining protocol.

Flow Cytometry (Intracellular) - Anti-TAF15 antibody [EPR9197(B)] - BSA and Azide free (AB235079)
  • Flow Cyt (Intra)

Unknown

Flow Cytometry (Intracellular) - Anti-TAF15 antibody [EPR9197(B)] - BSA and Azide free (AB235079)

Overlay histogram showing HeLa cells stained with ab134916 (red line). The cells were fixed with 80% methanol (5 min) and then permeabilized with 0.1% PBS-Tween for 20 min. The cells were then incubated in 1x PBS / 10% normal goat serum / 0.3M glycine to block non-specific protein-protein interactions followed by the antibody (ab134916, 1/10000 dilution) for 30 min at 22°C. The secondary antibody used was Alexa Fluor® 488 goat anti-rabbit IgG (H&L) (ab150077) at 1/2000 dilution for 30 min at 22°C. Isotype control antibody (black line) was rabbit IgG (monoclonal) (0.1μg/1x106 cells) used under the same conditions. Unlabelled sample (blue line) was also used as a control. Acquisition of >5,000 events were collected using a 20mW Argon ion laser (488nm) and 525/30 bandpass filter. This data was developed using the same antibody clone in a different buffer formulation containing PBS, BSA, glycerol, and sodium azide (ab134916).

Immunocytochemistry/ Immunofluorescence - Anti-TAF15 antibody [EPR9197(B)] - BSA and Azide free (AB235079)
  • ICC/IF

Unknown

Immunocytochemistry/ Immunofluorescence - Anti-TAF15 antibody [EPR9197(B)] - BSA and Azide free (AB235079)

Immunofluorescent analysis of TAF15 in HeLa cells, using ab134916 at a 1/250 dilution.This data was developed using the same antibody clone in a different buffer formulation containing PBS, BSA, glycerol, and sodium azide (ab134916).

Key facts

Host species

Rabbit

Clonality

Monoclonal

Clone number

EPR9197(B)

Isotype

IgG

Carrier free

Yes

Reacts with

Human

Applications

IHC-P, WB, ICC/IF, Flow Cyt (Intra)

applications

Immunogen

The exact immunogen used to generate this antibody is proprietary information.

Reactivity data

{ "title": "Reactivity Data", "filters": { "stats": ["", "Species", "Dilution Info", "Notes"], "tabs": { "all-applications": {"fullname" : "All Applications", "shortname": "All Applications"}, "IHCP" : {"fullname" : "Immunohistochemistry (Formalin/PFA-fixed paraffin-embedded sections)", "shortname":"IHC-P"}, "WB" : {"fullname" : "Western blot", "shortname":"WB"}, "ICCIF" : {"fullname" : "Immunocytochemistry/ Immunofluorescence", "shortname":"ICC/IF"}, "FlowCytIntra" : {"fullname" : "Flow Cytometry (Intracellular)", "shortname":"Flow Cyt (Intra)"} }, "product-promise": { "all": "all", "testedAndGuaranteed": "tested", "guaranteed": "expected", "predicted": "predicted", "notRecommended": "not-recommended" } }, "values": { "Human": { "IHCP-species-checked": "testedAndGuaranteed", "IHCP-species-dilution-info": "", "IHCP-species-notes": "<p></p>", "WB-species-checked": "guaranteed", "WB-species-dilution-info": "", "WB-species-notes": "<p></p>", "ICCIF-species-checked": "testedAndGuaranteed", "ICCIF-species-dilution-info": "", "ICCIF-species-notes": "<p></p>", "FlowCytIntra-species-checked": "testedAndGuaranteed", "FlowCytIntra-species-dilution-info": "", "FlowCytIntra-species-notes": "<p><a href='/en-us/products/primary-antibodies/rabbit-igg-monoclonal-epr25a-isotype-control-low-endotoxin-azide-free-ab199376'>ab199376</a>- Rabbit monoclonal IgG, is suitable for use as an isotype control with this antibody.</p>" }, "Mouse": { "IHCP-species-checked": "predicted", "IHCP-species-dilution-info": "", "IHCP-species-notes": "", "WB-species-checked": "predicted", "WB-species-dilution-info": "", "WB-species-notes": "", "ICCIF-species-checked": "predicted", "ICCIF-species-dilution-info": "", "ICCIF-species-notes": "", "FlowCytIntra-species-checked": "predicted", "FlowCytIntra-species-dilution-info": "", "FlowCytIntra-species-notes": "" }, "Rat": { "IHCP-species-checked": "predicted", "IHCP-species-dilution-info": "", "IHCP-species-notes": "", "WB-species-checked": "predicted", "WB-species-dilution-info": "", "WB-species-notes": "", "ICCIF-species-checked": "predicted", "ICCIF-species-dilution-info": "", "ICCIF-species-notes": "", "FlowCytIntra-species-checked": "predicted", "FlowCytIntra-species-dilution-info": "", "FlowCytIntra-species-notes": "" } } }

Product details

ab235079 is the carrier-free version of ab134916.

Patented technology
Our RabMAb® technology is a patented hybridoma-based technology for making rabbit monoclonal antibodies. For details on our patents, please refer to RabMAb® patents.

What are the advantages of a recombinant monoclonal antibody?
This product is a recombinant monoclonal antibody, which offers several advantages including:

  • - High batch-to-batch consistency and reproducibility
  • - Improved sensitivity and specificity
  • - Long-term security of supply
  • - Animal-free batch production

For more information, read more on recombinant antibodies.

Conjugation ready
Our carrier-free antibodies are typically supplied in a PBS-only formulation, purified and free of BSA, sodium azide and glycerol. This conjugation-ready format is designed for use with fluorochromes, metal isotopes, oligonucleotides, and enzymes, which makes them ideal for antibody labelling, functional and cell-based assays, flow-based assays (e.g. mass cytometry) and Multiplex Imaging applications.

Use our conjugation kits for antibody conjugates that are ready-to-use in as little as 20 minutes with 1 minute hands-on-time and 100% antibody recovery: available for fluorescent dyes, HRP, biotin and gold.

Compatibility
This product is compatible with the Maxpar® Antibody Labeling Kit from Fluidigm, without the need for antibody preparation. Maxpar® is a trademark of Fluidigm Canada Inc.

Properties and storage information

Form
Liquid
Purification technique
Affinity purification Protein A
Storage buffer
pH: 7.2 - 7.4 Constituents: PBS
Shipped at conditions
Blue Ice
Appropriate short-term storage conditions
+4°C
Appropriate long-term storage conditions
+4°C
Storage information
Do Not Freeze

Supplementary information

This supplementary information is collated from multiple sources and compiled automatically.

TAF15 also known as TATA-binding protein-associated factor 15 is a RNA polymerase II-associated factor with approximate mass of 56 kDa. It belongs to the FET family of proteins which include FUS and EWS. This protein expresses widely in various tissues including the brain and immune cells. Mechanically TAF15 participates in transcription by mediating interactions between transcription factors and the RNA polymerase II complex.
Biological function summary

The protein helps regulate transcription initiation and elongation. TAF15 operates as a part of the transcription pre-initiation complex working closely with other transcription-associated factors to control gene expression. Its role extends beyond the nucleus as it may participate in RNA processing and transport due to its ability to bind RNA.

Pathways

TAF15 plays a role in the regulation of transcription from RNA polymerase II promoters. It interacts with numerous other proteins such as TFIID and RNA polymerase II subunits facilitating transcriptional regulation. TAF15 also associates with pathways related to stress response and cellular growth emphasizing its role in maintaining cellular integrity and function.

TAF15 links to certain forms of cancer and neurodegenerative diseases. Its misregulation or mutation associates with some sarcomas indicating a role in tumorigenesis possibly through interactions with oncogenic proteins like EWS. In neurodegenerative disorders such as amyotrophic lateral sclerosis (ALS) TAF15 might be implicated potentially through pathways shared with proteins like TDP-43 that are involved in RNA metabolism dysfunction.

Product protocols

For this product, it's our understanding that no specific protocols are required. You can visit:

Target data

RNA and ssDNA-binding protein that may play specific roles during transcription initiation at distinct promoters. Can enter the preinitiation complex together with the RNA polymerase II (Pol II).
See full target information TAF15

Publications (1)

Recent publications for all applications. Explore the full list and refine your search

Biochemical pharmacology 182:114216 PubMed32926875

2020

Antidiabetic drug therapy alleviates type 1 diabetes in mice by promoting pancreatic α-cell transdifferentiation.

Applications

Unspecified application

Species

Unspecified reactive species

Dipak Sarnobat,Charlotte R Moffett,Neil Tanday,Frank Reimann,Fiona M Gribble,Peter R Flatt,Andrei I Tarasov
View all publications

Product promise

We are committed to supporting your work with high-quality reagents, and we're here for you every step of the way. In the unlikely event that one of our products does not perform as expected, you're protected by our Product Promise.
For full details, please see our Terms & Conditions

Please note: All products are 'FOR RESEARCH USE ONLY. NOT FOR USE IN DIAGNOSTIC OR THERAPEUTIC PROCEDURES'.

For licensing inquiries, please contact partnerships@abcam.com