JavaScript is disabled in your browser. Please enable JavaScript to view this website.
AB234722

Anti-TAF2 antibody

Be the first to review this product! Submit a review

|

(1 Publication)

Rabbit Polyclonal TAF2 antibody. Suitable for IHC-P and reacts with Human samples. Cited in 1 publication. Immunogen corresponding to Recombinant Fragment Protein within Human TAF2 aa 400-450.

View Alternative Names

CIF150, TAF2B, TAF2, Transcription initiation factor TFIID subunit 2, 150 kDa cofactor of initiator function, RNA polymerase II TBP-associated factor subunit B, TBP-associated factor 150 kDa, Transcription initiation factor TFIID 150 kDa subunit, TAF(II)150, TAFII-150, TAFII150

1 Images
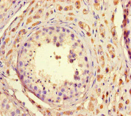
Immunohistochemistry (Formalin/PFA-fixed paraffin-embedded sections) - Anti-TAF2 antibody (AB234722)
  • IHC-P

Supplier Data

Immunohistochemistry (Formalin/PFA-fixed paraffin-embedded sections) - Anti-TAF2 antibody (AB234722)

Paraffin-embedded human testis tissue stained for TAF2 using ab234722 at 1/100 dilution in immunohistochemical analysis.

Key facts

Host species

Rabbit

Clonality

Polyclonal

Isotype

IgG

Carrier free

No

Reacts with

Human

Applications

IHC-P

applications

Immunogen

Recombinant Fragment Protein within Human TAF2 aa 400-450. The exact immunogen used to generate this antibody is proprietary information.

Q6P1X5

Reactivity data

{ "title": "Reactivity Data", "filters": { "stats": ["", "Species", "Dilution Info", "Notes"], "tabs": { "all-applications": {"fullname" : "All Applications", "shortname": "All Applications"}, "IHCP" : {"fullname" : "Immunohistochemistry (Formalin/PFA-fixed paraffin-embedded sections)", "shortname":"IHC-P"} }, "product-promise": { "all": "all", "testedAndGuaranteed": "tested", "guaranteed": "expected", "predicted": "predicted", "notRecommended": "not-recommended" } }, "values": { "Human": { "IHCP-species-checked": "testedAndGuaranteed", "IHCP-species-dilution-info": "1/20 - 1/200", "IHCP-species-notes": "<p></p>" }, "Mouse": { "IHCP-species-checked": "predicted", "IHCP-species-dilution-info": "", "IHCP-species-notes": "" }, "Chicken": { "IHCP-species-checked": "predicted", "IHCP-species-dilution-info": "", "IHCP-species-notes": "" } } }

Properties and storage information

Form
Liquid
Purification technique
Affinity purification Protein G
Purification notes
Purity >95%.
Storage buffer
pH: 7.4 Preservative: 0.03% Proclin 300 Constituents: PBS, 50% Glycerol (glycerin, glycerine)
Shipped at conditions
Blue Ice
Appropriate short-term storage duration
1-2 weeks
Appropriate short-term storage conditions
+4°C
Appropriate long-term storage conditions
-20°C
Aliquoting information
Upon delivery aliquot
Storage information
Avoid freeze / thaw cycle

Supplementary information

This supplementary information is collated from multiple sources and compiled automatically.

TAF2 also known as Transcription Initiation Factor TFIID Subunit 2 is a component of the basal transcription factor TFIID complex. This protein has a mass of approximately 141 kDa. It is expressed in several tissues including the liver lung and brain indicating its widespread importance in cellular functions. TAF2 has a role in recognizing the promoter sequences and facilitating the assembly of the transcription machinery. It helps with the recruitment of RNA polymerase II and other general transcription factors to genes that are transcribed by this polymerase.
Biological function summary

TAF2 helps in transcription initiation through its function as part of the TFIID complex. TFIID consists of the TATA-binding protein (TBP) and several associated factors including TAF2 which contribute to promoter recognition. In this context TAF2 assists in stabilizing the interaction of TFIID with specific promoters. This function positions TFIID as a scaffold upon which other transcriptional complexes assemble facilitating the start of mRNA synthesis. Therefore TAF2 is involved in adjusting the basal transcriptional level of RNA polymerase II-dependent genes.

Pathways

TAF2 plays a significant role in the transcriptional regulatory networks. It is an essential component in the RNA polymerase II transcription initiation pathway and also influences gene expression in response to extracellular signals. The protein works closely with other TAFs and TBP within the pathway. Additionally TAF2 interacts with several signal transduction pathways through its involvement in mediating transcriptional responses ensuring proper cellular function and response to environmental changes.

TAF2 has associations with transcription-related disorders and certain cancers. Dysregulation of TAF2 function contributes to tumor development and progression. In some cancers altered expression of TAF2 affects the transcriptional networks leading to abnormal cell growth. It is also connected to disorders related to transcription malfunction often through interactions with proteins like TAF1 and TBP both key regulators of transcription. Understanding TAF2's role can aid in developing targeted therapies for such conditions.

Product protocols

For this product, it's our understanding that no specific protocols are required. You can visit:

Target data

The TFIID basal transcription factor complex plays a major role in the initiation of RNA polymerase II (Pol II)-dependent transcription (PubMed : 33795473). TFIID recognizes and binds promoters with or without a TATA box via its subunit TBP, a TATA-box-binding protein, and promotes assembly of the pre-initiation complex (PIC) (PubMed : 33795473). The TFIID complex consists of TBP and TBP-associated factors (TAFs), including TAF1, TAF2, TAF3, TAF4, TAF5, TAF6, TAF7, TAF8, TAF9, TAF10, TAF11, TAF12 and TAF13 (PubMed : 33795473, PubMed : 9418870, PubMed : 9774672). TAF2 forms a promoter DNA binding subcomplex of TFIID, together with TAF7 and TAF1 (PubMed : 33795473, PubMed : 9774672).
See full target information TAF2

Publications (1)

Recent publications for all applications. Explore the full list and refine your search

Cell stem cell 30:677-688.e5 PubMed37019105

2023

Generation of ventralized human thalamic organoids with thalamic reticular nucleus.

Applications

Unspecified application

Species

Unspecified reactive species

Ferdi Ridvan Kiral,Bilal Cakir,Yoshiaki Tanaka,Jonghun Kim,Woo Sub Yang,Fabien Wehbe,Young-Jin Kang,Mei Zhong,Gizem Sancer,Sang-Hun Lee,Yangfei Xiang,In-Hyun Park
View all publications

Product promise

We are committed to supporting your work with high-quality reagents, and we're here for you every step of the way. In the unlikely event that one of our products does not perform as expected, you're protected by our Product Promise.
For full details, please see our Terms & Conditions

Please note: All products are 'FOR RESEARCH USE ONLY. NOT FOR USE IN DIAGNOSTIC OR THERAPEUTIC PROCEDURES'.

For licensing inquiries, please contact partnerships@abcam.com