JavaScript is disabled in your browser. Please enable JavaScript to view this website.
AB215824

Anti-TAF3 antibody [EPR15598] - BSA and Azide free

Be the first to review this product! Submit a review

|

(0 Publication)

Rabbit Recombinant Monoclonal TAF3 antibody. Carrier free. Suitable for ICC/IF, WB, IHC-P and reacts with Human samples.

View Alternative Names

Transcription initiation factor TFIID subunit 3, 140 kDa TATA box-binding protein-associated factor, TBP-associated factor 3, Transcription initiation factor TFIID 140 kDa subunit, TAF(II)140, TAF140, TAFII-140, TAFII140, TAF3

5 Images
Immunocytochemistry/ Immunofluorescence - Anti-TAF3 antibody [EPR15598] - BSA and Azide free (AB215824)
  • ICC/IF

Supplier Data

Immunocytochemistry/ Immunofluorescence - Anti-TAF3 antibody [EPR15598] - BSA and Azide free (AB215824)

This data was developed using ab188332, the same antibody clone in a different buffer formulation.

Immunofluorescence analysis of paraformaldehyde-fixed HeLa cells, labeling TAF3 (green) with ab188332 at 1/100 dilution. Alexa Fluor®488-conjugated goat anti-rabbit IgG was used as a secondary antibody at 1/200 dilution. Nuclei were counterstained with DAPI (blue).

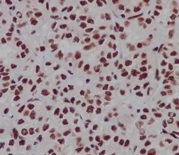
Immunohistochemistry (Formalin/PFA-fixed paraffin-embedded sections) - Anti-TAF3 antibody [EPR15598] - BSA and Azide free (AB215824)
  • IHC-P

Supplier Data

Immunohistochemistry (Formalin/PFA-fixed paraffin-embedded sections) - Anti-TAF3 antibody [EPR15598] - BSA and Azide free (AB215824)

This data was developed using ab188332, the same antibody clone in a different buffer formulation.

Immunohistochemical analysis of paraffin-embedded Human papillary adenocarcinoma of thyroid tissue, labeling TAF3 with ab188332 at 1/1000 dilution. Detected using HRP Polymer for Rabbit IgG and counter-stained using hematoxylin.

Perform heat mediated antigen retrieval with EDTA buffer pH 9 before commencing with IHC staining protocol.

Immunocytochemistry/ Immunofluorescence - Anti-TAF3 antibody [EPR15598] - BSA and Azide free (AB215824)
  • ICC/IF

Unknown

Immunocytochemistry/ Immunofluorescence - Anti-TAF3 antibody [EPR15598] - BSA and Azide free (AB215824)

This data was developed using ab188332, the same antibody clone in a different buffer formulation.

Immunocytochemistry/Immunofluorescence analysis of HeLa (human cervix adenocarcinoma) labelling TAF3 with purified ab188332 at 1/500. Cells were fixed with 4% paraformaldehyde and permeabilized with 0.1% Triton X-100. An Alexa Fluor® 488-conjugated goat anti-rabbit IgG (1/1000) was used as the secondary antibody (ab150077). Nuclei counterstained with DAPI (blue).

Control : PBS only

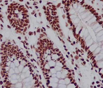
Immunohistochemistry (Formalin/PFA-fixed paraffin-embedded sections) - Anti-TAF3 antibody [EPR15598] - BSA and Azide free (AB215824)
  • IHC-P

Supplier Data

Immunohistochemistry (Formalin/PFA-fixed paraffin-embedded sections) - Anti-TAF3 antibody [EPR15598] - BSA and Azide free (AB215824)

This data was developed using ab188332, the same antibody clone in a different buffer formulation.

Immunohistochemical analysis of paraffin-embedded Human colon tissue, labeling TAF3 with ab188332 at 1/1000 dilution. Detected using HRP Polymer for Rabbit IgG and counter-stained using hematoxylin.

Perform heat mediated antigen retrieval with EDTA buffer pH 9 before commencing with IHC staining protocol.

Western blot - Anti-TAF3 antibody [EPR15598] - BSA and Azide free (AB215824)
  • WB

Supplier Data

Western blot - Anti-TAF3 antibody [EPR15598] - BSA and Azide free (AB215824)

This data was developed using ab188332, the same antibody clone in a different buffer formulation.

All lanes:

Western blot - Anti-TAF3 antibody [EPR15598] (<a href='/en-us/products/primary-antibodies/taf3-antibody-epr15598-ab188332'>ab188332</a>) at 1/1000 dilution

Lane 1:

K562 cell lysate at 20 µg

Lane 2:

HeLa cell lysate at 20 µg

Lane 3:

HepG2 cell lysate at 20 µg

Lane 4:

293 cell lysate at 20 µg

Secondary

All lanes:

Goat Anti-Rabbit IgG, (H+L), Peroxidase conjugated at 1/100 dilution

Predicted band size: 104 kDa

Observed band size: 140 kDa

false

Key facts

Host species

Rabbit

Clonality

Monoclonal

Clone number

EPR15598

Isotype

IgG

Carrier free

Yes

Reacts with

Human

Applications

IHC-P, ICC/IF, WB

applications

Immunogen

The exact immunogen used to generate this antibody is proprietary information.

Reactivity data

{ "title": "Reactivity Data", "filters": { "stats": ["", "Species", "Dilution Info", "Notes"], "tabs": { "all-applications": {"fullname" : "All Applications", "shortname": "All Applications"}, "ICCIF" : {"fullname" : "Immunocytochemistry/ Immunofluorescence", "shortname":"ICC/IF"}, "WB" : {"fullname" : "Western blot", "shortname":"WB"}, "IHCP" : {"fullname" : "Immunohistochemistry (Formalin/PFA-fixed paraffin-embedded sections)", "shortname":"IHC-P"} }, "product-promise": { "all": "all", "testedAndGuaranteed": "tested", "guaranteed": "expected", "predicted": "predicted", "notRecommended": "not-recommended" } }, "values": { "Human": { "ICCIF-species-checked": "testedAndGuaranteed", "ICCIF-species-dilution-info": "", "ICCIF-species-notes": "<p></p>", "WB-species-checked": "testedAndGuaranteed", "WB-species-dilution-info": "", "WB-species-notes": "<p></p>", "IHCP-species-checked": "testedAndGuaranteed", "IHCP-species-dilution-info": "", "IHCP-species-notes": "<p></p>" }, "Mouse": { "ICCIF-species-checked": "predicted", "ICCIF-species-dilution-info": "", "ICCIF-species-notes": "", "WB-species-checked": "predicted", "WB-species-dilution-info": "", "WB-species-notes": "", "IHCP-species-checked": "predicted", "IHCP-species-dilution-info": "", "IHCP-species-notes": "" }, "Rat": { "ICCIF-species-checked": "predicted", "ICCIF-species-dilution-info": "", "ICCIF-species-notes": "", "WB-species-checked": "predicted", "WB-species-dilution-info": "", "WB-species-notes": "", "IHCP-species-checked": "predicted", "IHCP-species-dilution-info": "", "IHCP-species-notes": "" } } }

Product details

ab215824 is the carrier-free version of ab188332.

Patented technology
Our RabMAb® technology is a patented hybridoma-based technology for making rabbit monoclonal antibodies. For details on our patents, please refer to RabMAb® patents.

What are the advantages of a recombinant monoclonal antibody?
This product is a recombinant monoclonal antibody, which offers several advantages including:

  • - High batch-to-batch consistency and reproducibility
  • - Improved sensitivity and specificity
  • - Long-term security of supply
  • - Animal-free batch production

For more information, read more on recombinant antibodies.

Conjugation ready
Our carrier-free antibodies are typically supplied in a PBS-only formulation, purified and free of BSA, sodium azide and glycerol. This conjugation-ready format is designed for use with fluorochromes, metal isotopes, oligonucleotides, and enzymes, which makes them ideal for antibody labelling, functional and cell-based assays, flow-based assays (e.g. mass cytometry) and Multiplex Imaging applications.

Use our conjugation kits for antibody conjugates that are ready-to-use in as little as 20 minutes with 1 minute hands-on-time and 100% antibody recovery: available for fluorescent dyes, HRP, biotin and gold.

Compatibility
This product is compatible with the Maxpar® Antibody Labeling Kit from Fluidigm, without the need for antibody preparation. Maxpar® is a trademark of Fluidigm Canada Inc.

Properties and storage information

Form
Liquid
Purification technique
Affinity purification Protein A
Storage buffer
pH: 7.2 - 7.4 Constituents: PBS
Shipped at conditions
Blue Ice
Appropriate short-term storage conditions
+4°C
Appropriate long-term storage conditions
+4°C
Storage information
Do Not Freeze

Supplementary information

This supplementary information is collated from multiple sources and compiled automatically.

TAF3 also known as TATA-box binding protein associated factor 3 is an important component of the transcription factor IID (TFIID) complex. This protein weighs approximately 98 kDa. It is expressed in various tissues with high expression in the brain and testis. TAF3 interacts directly with the core promoter elements in DNA enabling the accurate initiation of transcription by RNA polymerase II. This interaction is stabilized by the YEATS domain within TAF3 which binds acetylated histones thereby playing a role in the regulation of transcription elongation.
Biological function summary

TAF3 plays an essential role in cellular processes involving transcriptional regulation and chromatin structure modification. TAF3 is part of the larger TFIID complex which is necessary for the initiation of transcription by RNA polymerase II. It acts by binding specific DNA elements thereby facilitating the recruitment of additional transcription machinery. The presence of the YEATS domain enables TAF3 to bind to modified histones which can alter chromatin architecture to promote gene expression.

Pathways

TAF3 functions within the transcription initiation pathway involving RNA polymerase II. TFIID which includes TAF3 positions itself at the core promoter of genes making it an integral part of RNA polymerase II-dependent transcription regulation. Its interactions are significant in the Wnt signaling pathway in which it facilitates the expression of target genes. In this context TAF3 works alongside proteins like TATA-binding protein (TBP) and other TAFs (TBP-associated factors) to ensure proper transcriptional activation.

TAF3 holds relevance in cancer and neurological disorders. Its role in the transcriptional regulation of genes critical for cell proliferation and differentiation can have implications for tumorigenesis. Aberrant expression of TAF3 is linked to certain forms of cancer where deregulation of transcriptional initiation pathways can lead to uncontrolled cell growth. Furthermore TAF3's involvement in transcriptional modulation makes it a candidate in studying neurodegenerative diseases potentially through interactions with proteins that influence neural gene expression and stability such as histone modifications.

Product protocols

For this product, it's our understanding that no specific protocols are required. You can visit:

Target data

The TFIID basal transcription factor complex plays a major role in the initiation of RNA polymerase II (Pol II)-dependent transcription (PubMed : 33795473). TFIID recognizes and binds promoters with or without a TATA box via its subunit TBP, a TATA-box-binding protein, and promotes assembly of the pre-initiation complex (PIC) (PubMed : 33795473). The TFIID complex consists of TBP and TBP-associated factors (TAFs), including TAF1, TAF2, TAF3, TAF4, TAF5, TAF6, TAF7, TAF8, TAF9, TAF10, TAF11, TAF12 and TAF13 (PubMed : 33795473). The TFIID complex structure can be divided into 3 modules TFIID-A, TFIID-B, and TFIID-C (PubMed : 33795473). TAF3 forms the TFIID-A module together with TAF5 and TBP (PubMed : 33795473). Required in complex with TBPL2 for the differentiation of myoblasts into myocytes (PubMed : 11438666). The TAF3-TBPL2 complex replaces TFIID at specific promoters at an early stage in the differentiation process (PubMed : 11438666).
See full target information Transcription initiation factor TFIID subunit 3

Product promise

We are committed to supporting your work with high-quality reagents, and we're here for you every step of the way. In the unlikely event that one of our products does not perform as expected, you're protected by our Product Promise.
For full details, please see our Terms & Conditions

Please note: All products are 'FOR RESEARCH USE ONLY. NOT FOR USE IN DIAGNOSTIC OR THERAPEUTIC PROCEDURES'.

For licensing inquiries, please contact partnerships@abcam.com