JavaScript is disabled in your browser. Please enable JavaScript to view this website.
AB76922

Anti-TAF6 antibody

Be the first to review this product! Submit a review

|

(1 Publication)

Rabbit Polyclonal TAF6 antibody. Suitable for IHC-P, IP, WB and reacts with Human samples. Cited in 1 publication. Immunogen corresponding to Synthetic Peptide within Human TAF6 aa 600 to C-terminus.

View Alternative Names

TAF2E, TAFII70, TAF6, Transcription initiation factor TFIID subunit 6, RNA polymerase II TBP-associated factor subunit E, Transcription initiation factor TFIID 70 kDa subunit, Transcription initiation factor TFIID 80 kDa subunit, TAF(II)70, TAFII-70, TAF(II)80, TAFII-80, TAFII80

3 Images
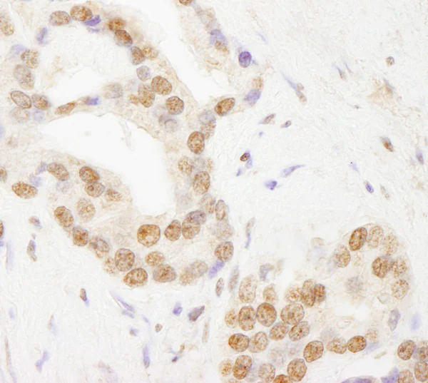
Immunohistochemistry (Formalin/PFA-fixed paraffin-embedded sections) - Anti-TAF6 antibody (AB76922)
  • IHC-P

Unknown

Immunohistochemistry (Formalin/PFA-fixed paraffin-embedded sections) - Anti-TAF6 antibody (AB76922)

Immunohistochemistry (Formalin/PFA-fixed paraffin-embedded sections) analysis of human prostate carcinoma tissue labelling TAF6 with ab76922 at 1/200 (1µg/ml). Detection : DAB.

Immunoprecipitation - Anti-TAF6 antibody (AB76922)
  • IP

Unknown

Immunoprecipitation - Anti-TAF6 antibody (AB76922)

Detection of TAF6 by Western Blot of Immunprecipitate.
ab76922 at 1µg/ml staining TAF6 in HeLa whole cell lysate immunoprecipitated using ab76922 at 3µg/mg lysate (1 mg/IP; 20% of IP loaded/lane).
Detection : Chemiluminescence with exposure time of 10 seconds.

All lanes:

Immunoprecipitation - Anti-TAF6 antibody (ab76922)

Predicted band size: 73 kDa

false

Western blot - Anti-TAF6 antibody (AB76922)
  • WB

Unknown

Western blot - Anti-TAF6 antibody (AB76922)

All lanes:

Western blot - Anti-TAF6 antibody (ab76922) at 0.04 µg/mL

Lane 1:

HeLa whole cell lysate at 50 µg

Lane 2:

HeLa whole cell lysate at 15 µg

Lane 3:

HeLa whole cell lysate at 5 µg

Lane 4:

293T whole cell lysate at 50 µg

Predicted band size: 73 kDa

Observed band size: 94 kDa

false

Exposure time: 10s

Key facts

Host species

Rabbit

Clonality

Polyclonal

Isotype

IgG

Carrier free

No

Reacts with

Human

Applications

WB, IP, IHC-P

applications

Immunogen

Synthetic Peptide within Human TAF6 aa 600 to C-terminus. The exact immunogen used to generate this antibody is proprietary information.

P49848

Reactivity data

{ "title": "Reactivity Data", "filters": { "stats": ["", "Species", "Dilution Info", "Notes"], "tabs": { "all-applications": {"fullname" : "All Applications", "shortname": "All Applications"}, "IHCP" : {"fullname" : "Immunohistochemistry (Formalin/PFA-fixed paraffin-embedded sections)", "shortname":"IHC-P"}, "IP" : {"fullname" : "Immunoprecipitation", "shortname":"IP"}, "WB" : {"fullname" : "Western blot", "shortname":"WB"} }, "product-promise": { "all": "all", "testedAndGuaranteed": "tested", "guaranteed": "expected", "predicted": "predicted", "notRecommended": "not-recommended" } }, "values": { "Human": { "IHCP-species-checked": "testedAndGuaranteed", "IHCP-species-dilution-info": "1/100 - 1/500", "IHCP-species-notes": "<p></p> Perform heat-mediated antigen retrieval with citrate buffer pH 6 before commencing with IHC staining protocol.", "IP-species-checked": "testedAndGuaranteed", "IP-species-dilution-info": "2-5 µg/mg of lysate", "IP-species-notes": "<p></p>", "WB-species-checked": "testedAndGuaranteed", "WB-species-dilution-info": "1/2000 - 1/10000", "WB-species-notes": "<p></p>" }, "Gorilla": { "IHCP-species-checked": "predicted", "IHCP-species-dilution-info": "", "IHCP-species-notes": "", "IP-species-checked": "predicted", "IP-species-dilution-info": "", "IP-species-notes": "", "WB-species-checked": "predicted", "WB-species-dilution-info": "", "WB-species-notes": "" } } }

Properties and storage information

Form
Liquid
Purification technique
Affinity purification Immunogen
Storage buffer
pH: 6.8 - 7.4 Preservative: 0.09% Sodium azide Constituents: Tris buffered saline, 0.1% BSA
Shipped at conditions
Blue Ice
Appropriate short-term storage conditions
+4°C
Appropriate long-term storage conditions
-20°C
Aliquoting information
Upon delivery aliquot
Storage information
Avoid freeze / thaw cycle

Supplementary information

This supplementary information is collated from multiple sources and compiled automatically.

TAF6 also known as TAFII70 is a component of the transcription factor IID (TFIID) complex with a mass of about 70 kDa. This protein plays an important role in the initiation of gene transcription by RNA polymerase II. It is expressed in various tissues throughout the body. TAF6 interacts with core promoter elements to facilitate the recruitment of other transcriptional machinery components.
Biological function summary

TAF6 functions as part of the larger TFIID complex which is essential for transcription initiation. The TFIID complex assembles at the core promoter and helps in the recognition and binding of sequence-specific DNA sites. TAF6 contributes to the structural integrity and functional specificity of the complex. These interactions are fundamental for maintaining proper gene expression patterns within cells.

Pathways

TAF6 is integral to transcription regulation pathways such as those initiating from the TATA box within promoters. It works closely with other TFIID components like TATA-binding protein (TBP) and TAF1. Through these interactions TAF6 ensures the correct positioning of RNA polymerase II for efficient transcription initiation. Another pathway involving TAF6 is the MAPK signaling pathway where TAF6 can influence transcriptional responses to external signals.

Alterations in TAF6 expression or function have been implicated in certain cancers such as colorectal cancer. TAF6 can also interact with p53 a well-known tumor suppressor protein linking it to cancer progression pathways. Mutations or dysregulation of TAF6 may affect p53-mediated stress responses contributing to tumor development and progression.

Product protocols

For this product, it's our understanding that no specific protocols are required. You can visit:

Target data

The TFIID basal transcription factor complex plays a major role in the initiation of RNA polymerase II (Pol II)-dependent transcription (PubMed : 33795473). TFIID recognizes and binds promoters with or without a TATA box via its subunit TBP, a TATA-box-binding protein, and promotes assembly of the pre-initiation complex (PIC) (PubMed : 33795473). The TFIID complex consists of TBP and TBP-associated factors (TAFs), including TAF1, TAF2, TAF3, TAF4, TAF5, TAF6, TAF7, TAF8, TAF9, TAF10, TAF11, TAF12 and TAF13 (PubMed : 33795473). The TFIID complex structure can be divided into 3 modules TFIID-A, TFIID-B, and TFIID-C (PubMed : 33795473). TAF6 homodimer connects TFIID modules, forming a rigid core (PubMed : 33795473).. Isoform 4. Transcriptional regulator which acts primarily as a positive regulator of transcription (PubMed : 20096117, PubMed : 29358700). Recruited to the promoters of a number of genes including GADD45A and CDKN1A/p21, leading to transcriptional up-regulation and subsequent induction of apoptosis (PubMed : 11583621). Also up-regulates expression of other genes including GCNA/ACRC, HES1 and IFFO1 (PubMed : 18628956). In contrast, down-regulates transcription of MDM2 (PubMed : 11583621). Acts as a transcriptional coactivator to enhance transcription of TP53/p53-responsive genes such as DUSP1 (PubMed : 20096117). Can also activate transcription and apoptosis independently of TP53 (PubMed : 18628956). Drives apoptosis via the intrinsic apoptotic pathway by up-regulating apoptosis effectors such as BCL2L11/BIM and PMAIP1/NOXA (PubMed : 29358700).
See full target information TAF6

Publications (1)

Recent publications for all applications. Explore the full list and refine your search

Biology 11: PubMed36358254

2022

Identification of Downstream Genes with CRISPR Activation Screening.

Applications

Unspecified application

Species

Unspecified reactive species

Akiya Tatsumi,Haruka Hirakochi,Satomi Inoue,Yosuke Tanaka,Hidehiro Furuno,Masumi Ikeda,Sachiko Ishibashi,Towako Taguchi,Kouhei Yamamoto,Iichiroh Onishi,Zohar Sachs,David A Largaespada,Masanobu Kitagawa,Morito Kurata
View all publications

Product promise

We are committed to supporting your work with high-quality reagents, and we're here for you every step of the way. In the unlikely event that one of our products does not perform as expected, you're protected by our Product Promise.
For full details, please see our Terms & Conditions

Please note: All products are 'FOR RESEARCH USE ONLY. NOT FOR USE IN DIAGNOSTIC OR THERAPEUTIC PROCEDURES'.

For licensing inquiries, please contact partnerships@abcam.com