JavaScript is disabled in your browser. Please enable JavaScript to view this website.
AB170902

Anti-TAGLN/Transgelin antibody [EPR11995(B)]

Be the first to review this product! Submit a review

|

(7 Publications)

Rabbit Recombinant Monoclonal TAGLN/Transgelin antibody. Suitable for IHC-P, WB and reacts with Human, Rat samples. Cited in 7 publications.

View Alternative Names

SM22, WS3-10, TAGLN, Transgelin, 22 kDa actin-binding protein, Protein WS3-10, Smooth muscle protein 22-alpha, SM22-alpha

10 Images
Immunohistochemistry (Formalin/PFA-fixed paraffin-embedded sections) - Anti-TAGLN/Transgelin antibody [EPR11995(B)] (AB170902)
  • IHC-P

Supplier Data

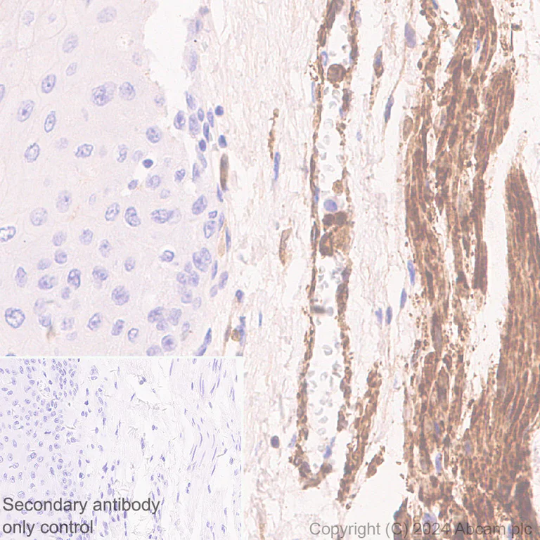
Immunohistochemistry (Formalin/PFA-fixed paraffin-embedded sections) - Anti-TAGLN/Transgelin antibody [EPR11995(B)] (AB170902)

Immunohistochemical analysis of paraffin-embedded Human esophagus labelling TAGLN/Transgelin with ab170902 at 1/1000 dilution, followed by a ready to use LeicaDS9800 (Bond™ Polymer Refine Detection).

Positive staining on smooth muscle in human esophagus.
The section was incubated with ab170902 for 30 mins at room temperature.
The immunostaining was performed on a Leica Biosystems BOND RX instrument.

Counterstained with Hematoxylin.

Secondary antibody only control : Secondary antibody is a ready to use LeicaDS9800 (Bond™ Polymer Refine Detection).

Heat mediated antigen retrieval was performed with Tris-EDTA buffer (pH 9.0, Epitope Retrieval Solution2) for 20 mins.

Immunohistochemistry (Formalin/PFA-fixed paraffin-embedded sections) - Anti-TAGLN/Transgelin antibody [EPR11995(B)] (AB170902)
  • IHC-P

Supplier Data

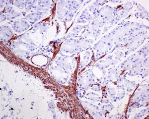
Immunohistochemistry (Formalin/PFA-fixed paraffin-embedded sections) - Anti-TAGLN/Transgelin antibody [EPR11995(B)] (AB170902)

Immunohistochemical analysis of paraffin-embedded Human smooth vessels tissue labeling TAGLN/Transgelin using ab170902 at a 1/100 dilution.

Perform heat mediated antigen retrieval with citrate buffer pH 6 before commencing with IHC staining protocol.

Immunohistochemistry (Formalin/PFA-fixed paraffin-embedded sections) - Anti-TAGLN/Transgelin antibody [EPR11995(B)] (AB170902)
  • IHC-P

Supplier Data

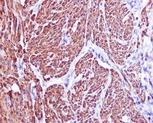
Immunohistochemistry (Formalin/PFA-fixed paraffin-embedded sections) - Anti-TAGLN/Transgelin antibody [EPR11995(B)] (AB170902)

Immunohistochemical analysis of paraffin-embedded Human smooth muscle tissue labeling TAGLN/Transgelin using ab170902 at a 1/100 dilution.

Perform heat mediated antigen retrieval with citrate buffer pH 6 before commencing with IHC staining protocol.

Immunohistochemistry (Formalin/PFA-fixed paraffin-embedded sections) - Anti-TAGLN/Transgelin antibody [EPR11995(B)] (AB170902)
  • IHC-P

Supplier Data

Immunohistochemistry (Formalin/PFA-fixed paraffin-embedded sections) - Anti-TAGLN/Transgelin antibody [EPR11995(B)] (AB170902)

Immunohistochemical analysis of paraffin-embedded Human stomach tissue labeling TAGLN/Transgelin using ab170902 at a 1/100 dilution.

Perform heat mediated antigen retrieval with citrate buffer pH 6 before commencing with IHC staining protocol.

Immunohistochemistry (Formalin/PFA-fixed paraffin-embedded sections) - Anti-TAGLN/Transgelin antibody [EPR11995(B)] (AB170902)
  • IHC-P

Supplier Data

Immunohistochemistry (Formalin/PFA-fixed paraffin-embedded sections) - Anti-TAGLN/Transgelin antibody [EPR11995(B)] (AB170902)

Immunohistochemical analysis of paraffin-embedded Human skeletal mucle with ab170902 at 1/1000 dilution, followed by a ready to use LeicaDS9800 (Bond™ Polymer Refine Detection).

Negative control : no staining on human skeletal muscle.

The section was incubated with ab170902 for 30 mins at room temperature.

The immunostaining was performed on a Leica Biosystems BOND RX instrument.

Counterstained with Hematoxylin.

Heat mediated antigen retrieval was performed with Tris-EDTA buffer (pH 9.0, Epitope Retrieval Solution2) for 20 mins.

Immunohistochemistry (Formalin/PFA-fixed paraffin-embedded sections) - Anti-TAGLN/Transgelin antibody [EPR11995(B)] (AB170902)
  • IHC-P

Supplier Data

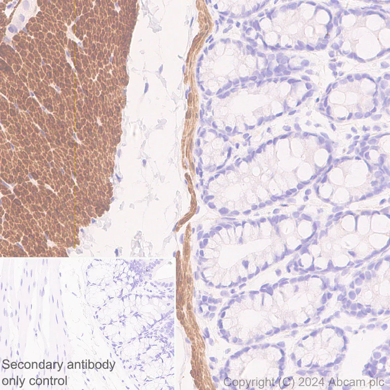
Immunohistochemistry (Formalin/PFA-fixed paraffin-embedded sections) - Anti-TAGLN/Transgelin antibody [EPR11995(B)] (AB170902)

Immunohistochemical analysis of paraffin-embedded Human stomach labelling TAGLN/Transgelin with ab170902 at 1/1000 dilution, followed by a ready to use LeicaDS9800 (Bond™ Polymer Refine Detection).

Positive staining on smooth muscle in human stomach.
The section was incubated with ab170902 for 30 mins at room temperature.
The immunostaining was performed on a Leica Biosystems BOND RX instrument.

Counterstained with Hematoxylin.

Secondary antibody only control : Secondary antibody is a ready to use LeicaDS9800 (Bond™ Polymer Refine Detection).

Heat mediated antigen retrieval was performed with Tris-EDTA buffer (pH 9.0, Epitope Retrieval Solution2) for 20 mins.

Immunohistochemistry (Formalin/PFA-fixed paraffin-embedded sections) - Anti-TAGLN/Transgelin antibody [EPR11995(B)] (AB170902)
  • IHC-P

Supplier Data

Immunohistochemistry (Formalin/PFA-fixed paraffin-embedded sections) - Anti-TAGLN/Transgelin antibody [EPR11995(B)] (AB170902)

Immunohistochemical analysis of paraffin-embedded Rat colon labelling TAGLN/Transgelin with ab170902 at 1/1000 dilution, followed by a ready to use LeicaDS9800 (Bond™ Polymer Refine Detection).

Positive staining on smooth muscle in Rat colon.
The section was incubated with ab170902 for 30 mins at room temperature.
The immunostaining was performed on a Leica Biosystems BOND RX instrument.

Counterstained with Hematoxylin.

Secondary antibody only control : Secondary antibody is a ready to use LeicaDS9800 (Bond™ Polymer Refine Detection).

Heat mediated antigen retrieval was performed with Tris-EDTA buffer (pH 9.0, Epitope Retrieval Solution2) for 20 mins.

Immunohistochemistry (Formalin/PFA-fixed paraffin-embedded sections) - Anti-TAGLN/Transgelin antibody [EPR11995(B)] (AB170902)
  • IHC-P

Supplier Data

Immunohistochemistry (Formalin/PFA-fixed paraffin-embedded sections) - Anti-TAGLN/Transgelin antibody [EPR11995(B)] (AB170902)

Immunohistochemical analysis of paraffin-embedded Rat skeletal mucle with ab170902 at 1/1000 dilution, followed by a ready to use LeicaDS9800 (Bond™ Polymer Refine Detection).

Negative control : no staining on Rat skeletal muscle.

The section was incubated with ab170902 for 30 mins at room temperature.

The immunostaining was performed on a Leica Biosystems BOND RX instrument.

Counterstained with Hematoxylin.

Heat mediated antigen retrieval was performed with Tris-EDTA buffer (pH 9.0, Epitope Retrieval Solution2) for 20 mins.

Western blot - Anti-TAGLN/Transgelin antibody [EPR11995(B)] (AB170902)
  • WB

Supplier Data

Western blot - Anti-TAGLN/Transgelin antibody [EPR11995(B)] (AB170902)

All lanes:

Western blot - Anti-TAGLN/Transgelin antibody [EPR11995(B)] (ab170902) at 1/1000 dilution

Lane 1:

Human bladder lysate at 10 µg

Lane 2:

Human stomach lysate at 10 µg

Lane 3:

Human uterus lysate at 10 µg

Secondary

All lanes:

Goat anti-rabbit HRP at 1/2000 dilution

Predicted band size: 23 kDa

true

Western blot - Anti-TAGLN/Transgelin antibody [EPR11995(B)] (AB170902)
  • WB

Supplier Data

Western blot - Anti-TAGLN/Transgelin antibody [EPR11995(B)] (AB170902)

Blocking and dilution buffer : 5% NFDM/TBST

Negative control : skeletal muscle.

In Western blot, anti-GAPDH antibody (ab181602) loading control staining at 1/200000 dilution.

All lanes:

Western blot - Anti-TAGLN/Transgelin antibody [EPR11995(B)] (ab170902) at 1/1000 dilution

Lane 1:

Human colon tissue lysate at 20 µg

Lane 2:

Human skeletal muscle tissue lysate at 20 µg

Lane 3:

Rat colon tissue lysate at 20 µg

Lane 4:

Rat skeletal muscle tissue lysate at 20 µg

Secondary

All lanes:

Western blot - Goat Anti-Rabbit IgG H&L (HRP) (<a href='/en-us/products/secondary-antibodies/goat-rabbit-igg-h-l-hrp-ab97051'>ab97051</a>)

Predicted band size: 23 kDa

Observed band size: 22 kDa

false

Exposure time: 6s

  • Carrier free

    Anti-TAGLN/Transgelin antibody [EPR11995(B)] - BSA and Azide free

Key facts

Host species

Rabbit

Clonality

Monoclonal

Clone number

EPR11995(B)

Isotype

IgG

Carrier free

No

Reacts with

Human, Rat

Applications

IHC-P, WB

applications

Immunogen

The exact immunogen used to generate this antibody is proprietary information.

Reactivity data

{ "title": "Reactivity Data", "filters": { "stats": ["", "Species", "Dilution Info", "Notes"], "tabs": { "all-applications": {"fullname" : "All Applications", "shortname": "All Applications"}, "IHCP" : {"fullname" : "Immunohistochemistry (Formalin/PFA-fixed paraffin-embedded sections)", "shortname":"IHC-P"}, "IP" : {"fullname" : "Immunoprecipitation", "shortname":"IP"}, "WB" : {"fullname" : "Western blot", "shortname":"WB"}, "ICCIF" : {"fullname" : "Immunocytochemistry/ Immunofluorescence", "shortname":"ICC/IF"} }, "product-promise": { "all": "all", "testedAndGuaranteed": "tested", "guaranteed": "expected", "predicted": "predicted", "notRecommended": "not-recommended" } }, "values": { "Human": { "IHCP-species-checked": "testedAndGuaranteed", "IHCP-species-dilution-info": "1/100 - 1/250", "IHCP-species-notes": "<p></p>", "IP-species-checked": "notRecommended", "IP-species-dilution-info": "", "IP-species-notes": "<p></p>", "WB-species-checked": "testedAndGuaranteed", "WB-species-dilution-info": "1/1000 - 1/10000", "WB-species-notes": "<p></p>", "ICCIF-species-checked": "notRecommended", "ICCIF-species-dilution-info": "", "ICCIF-species-notes": "<p></p>" }, "Rat": { "IHCP-species-checked": "testedAndGuaranteed", "IHCP-species-dilution-info": "1/1000", "IHCP-species-notes": "<p></p>", "IP-species-checked": "notRecommended", "IP-species-dilution-info": "", "IP-species-notes": "", "WB-species-checked": "testedAndGuaranteed", "WB-species-dilution-info": "1/1000", "WB-species-notes": "<p></p>", "ICCIF-species-checked": "notRecommended", "ICCIF-species-dilution-info": "", "ICCIF-species-notes": "" } } }

Product details

Species reactivity
Mouse, Rat: We have preliminary internal testing data to indicate this antibody may not react with these species.
Please contact us for more information.

Patented technology
Our RabMAb® technology is a patented hybridoma-based technology for making rabbit monoclonal antibodies. For details on our patents, please refer to RabMAb® patents.

What are the advantages of a recombinant monoclonal antibody?
This product is a recombinant monoclonal antibody, which offers several advantages including:

  • - High batch-to-batch consistency and reproducibility
  • - Improved sensitivity and specificity
  • - Long-term security of supply
  • - Animal-free batch production

For more information, read more on recombinant antibodies.

Properties and storage information

Form
Liquid
Purification technique
Affinity purification Protein A
Storage buffer
pH: 7.2 - 7.4 Preservative: 0.01% Sodium azide Constituents: PBS, 50% Tissue culture supernatant, 40% Glycerol (glycerin, glycerine), 0.05% BSA
Shipped at conditions
Blue Ice
Appropriate short-term storage duration
1-2 weeks
Appropriate short-term storage conditions
+4°C
Appropriate long-term storage conditions
-20°C
Aliquoting information
Upon delivery aliquot
Storage information
Avoid freeze / thaw cycle

Supplementary information

This supplementary information is collated from multiple sources and compiled automatically.

TAGLN also known as Transgelin or SM22-alpha is a protein with a molecular weight of approximately 22 kDa. Structurally it belongs to the calponin family and contains an ACT domain which is critical for its actin-binding ability. It is expressed abundantly in smooth muscle cells where it stabilizes cytoskeletal dynamics by interacting with actin filaments. TAGLN also shows expression in fibroblasts and myofibroblasts supporting structural integrity and cellular movement.
Biological function summary

The regulatory involvement of TAGLN in smooth muscle contraction influences cellular activities essential for vascular function. This protein modulates remodeling and differentiation within smooth muscle cells. It can associate with actin and calponin to form complexes that regulate the stability of cytoskeletal structures ensuring effective cellular responses to mechanical stimuli. By linking signal transduction to cytoskeletal mechanics TAGLN facilitates the maintenance of cell shape and tension.

Pathways

TAGLN plays a role in the regulation of the RhoA/Rho kinase pathway contributing to actin cytoskeleton organization and smooth muscle contraction. Additionally it is involved in the WNT signaling pathway influencing cell proliferation and differentiation. In these pathways TAGLN works with proteins like RhoA and beta-catenin to transmit signals from the extracellular environment to the nucleus impacting gene expression and cellular responses.

Disruptions in TAGLN expression associate with vascular diseases and certain cancers. Downregulation or altered expression patterns can lead to smooth muscle cell dysfunction contributing to atherosclerosis. Similarly TAGLN interacts with proteins such as fibronectin and MMP2 in cancer where its altered expression could promote metastasis and tumor progression. Understanding these connections highlights TAGLN's potential as a target for therapeutic interventions in these diseases.

Product protocols

For this product, it's our understanding that no specific protocols are required. You can visit:

Target data

Actin cross-linking/gelling protein (By similarity). Involved in calcium interactions and contractile properties of the cell that may contribute to replicative senescence.
See full target information TAGLN

Publications (7)

Recent publications for all applications. Explore the full list and refine your search

Medical molecular morphology 57:200-217 PubMed38960952

2024

Histopathological growth pattern and vessel co-option in intrahepatic cholangiocarcinoma.

Applications

Unspecified application

Species

Unspecified reactive species

Zihan Li,Hiep Nguyen Canh,Kenta Takahashi,Dong Le Thanh,Quynh Nguyen Thi,Rui Yang,Kaori Yoshimura,Yasunori Sato,Khuyen Nguyen Thi,Hiroki Nakata,Hiroko Ikeda,Kazuto Kozaka,Satoshi Kobayashi,Shintaro Yagi,Kenichi Harada

Scientific reports 14:559 PubMed38177414

2024

WNTA5-mediated miR-374a-5p regulates vascular smooth muscle cell phenotype transformation and M1 macrophage polarization impacting intracranial aneurysm progression.

Applications

Unspecified application

Species

Unspecified reactive species

Zengshi Li,Junqiang Huang,Lijian Yang,Xi Li,Wei Li

Advanced healthcare materials 13:e2302907 PubMed37797407

2023

Utilization of an Artery-on-a-Chip to Unravel Novel Regulators and Therapeutic Targets in Vascular Diseases.

Applications

Unspecified application

Species

Unspecified reactive species

Valentina Paloschi,Jessica Pauli,Greg Winski,Zhiyuan Wu,Zhaolong Li,Lorenzo Botti,Sandro Meucci,Pierangelo Conti,Felix Rogowitz,Nadiya Glukha,Nora Hummel,Albert Busch,Ekaterina Chernogubova,Hong Jin,Nadja Sachs,Hans-Henning Eckstein,Anne Dueck,Reinier A Boon,Andreas R Bausch,Lars Maegdefessel

Experimental and therapeutic medicine 25:272 PubMed37206543

2023

CD73 blockade alleviates intestinal inflammatory responses by regulating macrophage differentiation in ulcerative colitis.

Applications

Unspecified application

Species

Unspecified reactive species

Ru Wang,Yan Wang,Chao Wu,Guiyuan Jin,Fengqin Zhu,Yonghong Yang,Yibo Wang,Guangxi Zhou

American journal of physiology. Lung cellular and molecular physiology 322:L23-L32 PubMed34755530

2021

Combined control of the fibroblast contractile program by YAP and TAZ.

Applications

Unspecified application

Species

Unspecified reactive species

Patrick A Link,Kyoung Moo Choi,Ana M Diaz Espinosa,Dakota L Jones,Ashley Y Gao,Andrew J Haak,Daniel J Tschumperlin

International journal of biological macromolecules 121:127-134 PubMed30290263

2018

Up- and downregulation of mature miR-1587 function by modulating its G-quadruplex structure and using small molecules.

Applications

Unspecified application

Species

Unspecified reactive species

Fangyuan Li,Wei Tan,Han Chen,Jiang Zhou,Ming Xu,Gu Yuan

Journal of the American Heart Association 6: PubMed29146611

2017

Smooth Muscle-Selective Nuclear Factor-κB Inhibition Reduces Phosphate-Induced Arterial Medial Calcification in Mice With Chronic Kidney Disease.

Applications

IHC-P

Species

Mouse

Tadashi Yoshida,Maho Yamashita,Chihiro Horimai,Matsuhiko Hayashi
View all publications

Product promise

We are committed to supporting your work with high-quality reagents, and we're here for you every step of the way. In the unlikely event that one of our products does not perform as expected, you're protected by our Product Promise.
For full details, please see our Terms & Conditions

Please note: All products are 'FOR RESEARCH USE ONLY. NOT FOR USE IN DIAGNOSTIC OR THERAPEUTIC PROCEDURES'.

For licensing inquiries, please contact partnerships@abcam.com