JavaScript is disabled in your browser. Please enable JavaScript to view this website.
AB213273

Anti-TAGLN/Transgelin antibody [EPR21206]

Be the first to review this product! Submit a review

|

(0 Publication)

Human Recombinant Monoclonal TAGLN/Transgelin antibody. Suitable for IHC-P, WB and reacts with Mouse, Rat, Human samples.

View Alternative Names

SM22, WS3-10, TAGLN, Transgelin, 22 kDa actin-binding protein, Protein WS3-10, Smooth muscle protein 22-alpha, SM22-alpha

7 Images
Immunohistochemistry (Formalin/PFA-fixed paraffin-embedded sections) - Anti-TAGLN/Transgelin antibody [EPR21206] (AB213273)
  • IHC-P

Lab

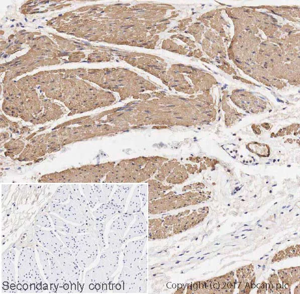
Immunohistochemistry (Formalin/PFA-fixed paraffin-embedded sections) - Anti-TAGLN/Transgelin antibody [EPR21206] (AB213273)

Immunohistochemical analysis of paraffin-embedded rat skeletal muscle tissue sections labelling TAGLN/Transgelin at 1/100 dilution (5 μg/ml) followed by Goat Anti-Human IgG H&L (HRP) (ab6858) secondary antibody at 1/1000 dilution. Negative control : no staining in rat skeletal muscle. The section was incubated with ab213273 for 30 mins at room temperature. The immunostaining was performed on a Leica Biosystems BOND® RX instrument. Counterstained with Hematoxylin.

Heat mediated antigen retrieval using Bond™ Epitope Retrieval Solution 2 (pH 9.0) for 20 minutes.

Immunohistochemistry (Formalin/PFA-fixed paraffin-embedded sections) - Anti-TAGLN/Transgelin antibody [EPR21206] (AB213273)
  • IHC-P

Lab

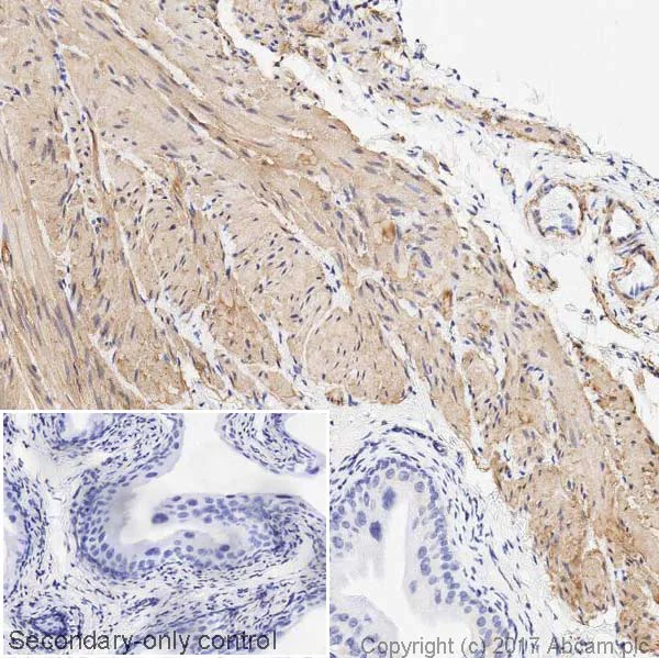
Immunohistochemistry (Formalin/PFA-fixed paraffin-embedded sections) - Anti-TAGLN/Transgelin antibody [EPR21206] (AB213273)

Immunohistochemical analysis of paraffin-embedded rat esophagus tissue sections labelling TAGLN/Transgelin at 1/100 dilution (5 μg/ml) followed by Goat Anti-Human IgG H&L (HRP) (ab6858) secondary antibody at 1/1000 dilution. Positive staining on the smooth muscle in rat esophagus. The section was incubated with ab213273 for 30 mins at room temperature. The immunostaining was performed on a Leica Biosystems BOND® RX instrument. Counterstained with Hematoxylin.

Heat mediated antigen retrieval using Bond™ Epitope Retrieval Solution 2 (pH 9.0) for 20 minutes.

Immunohistochemistry (Formalin/PFA-fixed paraffin-embedded sections) - Anti-TAGLN/Transgelin antibody [EPR21206] (AB213273)
  • IHC-P

Lab

Immunohistochemistry (Formalin/PFA-fixed paraffin-embedded sections) - Anti-TAGLN/Transgelin antibody [EPR21206] (AB213273)

Immunohistochemical analysis of paraffin-embedded rat lung tissue sections labelling TAGLN/Transgelin at 1/100 dilution (5 μg/ml) followed by Goat Anti-Human IgG H&L (HRP) (ab6858) secondary antibody at 1/1000 dilution. Positive staining on the smooth muscle in rat lung. The section was incubated with ab213273 for 30 mins at room temperature. The immunostaining was performed on a Leica Biosystems BOND® RX instrument. Counterstained with Hematoxylin.

Heat mediated antigen retrieval using Bond™ Epitope Retrieval Solution 2 (pH 9.0) for 20 minutes.

Western blot - Anti-TAGLN/Transgelin antibody [EPR21206] (AB213273)
  • WB

Lab

Western blot - Anti-TAGLN/Transgelin antibody [EPR21206] (AB213273)

This blot was produced using a 4-12% Bis-tris gel under the MES buffer system. The gel was run at 200V for 40 minutes before being transferred onto a Nitrocellulose membrane at 30V for 70 minutes. The membrane was then blocked for an hour using 3% milk before being incubated with ab213273 overnight at 4°C. Blots were developed with Goat anti-Human IgG H&L (IRDye® 800CW) preabsorbed secondary at 1/10000 dilution for 1 hour.

All lanes:

Western blot - Anti-TAGLN/Transgelin antibody [EPR21206] (ab213273) at 1 µg/mL

Lane 1:

Human skeletal muscle tissue lysate at 10 µg

Lane 2:

Human colon tissue lysate at 10 µg

Lane 3:

Mouse skeletal muscle tissue lysate at 10 µg

Lane 4:

Mouse Colon tissue lysate at 10 µg

Lane 5:

Mouse Bladder Tissue Lysate at 10 µg

Secondary

All lanes:

Goat anti-Human IgG H&L (IRDye® 800CW) at 1/10000 dilution

Predicted band size: 23 kDa

Observed band size: 23 kDa

false

Western blot - Anti-TAGLN/Transgelin antibody [EPR21206] (AB213273)
  • WB

Supplier Data

Western blot - Anti-TAGLN/Transgelin antibody [EPR21206] (AB213273)

Blocking buffer and concentration : 5% NFDM/TBST  Diluting buffer and concentration : 5% NFDM/TBST Exposure Time : Lane 1 : 3 seconds, Lane 2-3 : 20 seconds. Negative control : Skeletal muscle. The identity of the bands between 27 kDa and 150 kDa are unknown. ab181602 was used as a loading control.

All lanes:

Western blot - Anti-TAGLN/Transgelin antibody [EPR21206] (ab213273) at 1/500 dilution

Lane 1:

Rat bladder tissue lysate at 20 µg

Lane 2:

Rat colon tissue lysate at 20 µg

Lane 3:

Rat skeletal muscle tissue lysate at 20 µg

Secondary

All lanes:

Western blot - Goat Anti-Human IgG Fc (HRP) preadsorbed (<a href='/en-us/products/secondary-antibodies/goat-human-igg-fc-hrp-preadsorbed-ab98624'>ab98624</a>) at 1/10000 dilution

Predicted band size: 23 kDa

Observed band size: 23 kDa

false

Immunohistochemistry (Formalin/PFA-fixed paraffin-embedded sections) - Anti-TAGLN/Transgelin antibody [EPR21206] (AB213273)
  • IHC-P

Lab

Immunohistochemistry (Formalin/PFA-fixed paraffin-embedded sections) - Anti-TAGLN/Transgelin antibody [EPR21206] (AB213273)

IHC image of SM22 alpha staining in a section of formalin-fixed paraffin-embedded normal mouse bladder performed on a Leica BONDTM. The section was pre-treated using heat mediated antigen retrieval with sodium citrate buffer (pH6, epitope retrieval solution 1) for 20mins. The section was then incubated with ab213273, 5ug/ml, for 15 mins at room temperature.

An HRP-conjugated goat anti-Human IgG secondary was used for 15 mins at room temperature. DAB was used as the chromogen. The section was then counterstained with haematoxylin and mounted with DPX. The inset secondary-only control image is taken from an identical assay without primary antibody.

For other IHC staining systems (automated and non-automated) customers should optimize variable parameters such as antigen retrieval conditions, primary antibody concentration and antibody incubation times.

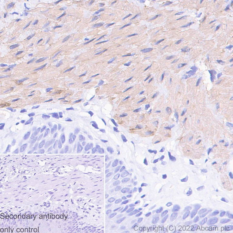
Immunohistochemistry (Formalin/PFA-fixed paraffin-embedded sections) - Anti-TAGLN/Transgelin antibody [EPR21206] (AB213273)
  • IHC-P

Lab

Immunohistochemistry (Formalin/PFA-fixed paraffin-embedded sections) - Anti-TAGLN/Transgelin antibody [EPR21206] (AB213273)

IHC image of SM22 alpha staining in a section of formalin-fixed paraffin-embedded normal human bladder* performed on a Leica BONDTM. The section was pre-treated using heat mediated antigen retrieval with sodium citrate buffer (pH6, epitope retrieval solution 1) for 20mins. The section was then incubated with ab213273, 5ug/ml, for 15 mins at room temperature.

An HRP-conjugated goat anti-Human IgG secondary was used for 15 mins at room temperature. DAB was used as the chromogen. The section was then counterstained with haematoxylin and mounted with DPX. The inset secondary-only control image is taken from an identical assay without primary antibody.

For other IHC staining systems (automated and non-automated) customers should optimize variable parameters such as antigen retrieval conditions, primary antibody concentration and antibody incubation times.

*Tissue obtained from the Human Research Tissue Bank, supported by the NIHR Cambridge Biomedical Research Centre

Key facts

Host species

Human

Clonality

Monoclonal

Clone number

EPR21206

Isotype

IgG1

Carrier free

No

Reacts with

Rat, Mouse, Human

Applications

IHC-P, WB

applications

Immunogen

The exact immunogen used to generate this antibody is proprietary information.

Reactivity data

{ "title": "Reactivity Data", "filters": { "stats": ["", "Species", "Dilution Info", "Notes"], "tabs": { "all-applications": {"fullname" : "All Applications", "shortname": "All Applications"}, "IHCP" : {"fullname" : "Immunohistochemistry (Formalin/PFA-fixed paraffin-embedded sections)", "shortname":"IHC-P"}, "WB" : {"fullname" : "Western blot", "shortname":"WB"}, "ICCIF" : {"fullname" : "Immunocytochemistry/ Immunofluorescence", "shortname":"ICC/IF"} }, "product-promise": { "all": "all", "testedAndGuaranteed": "tested", "guaranteed": "expected", "predicted": "predicted", "notRecommended": "not-recommended" } }, "values": { "Human": { "IHCP-species-checked": "testedAndGuaranteed", "IHCP-species-dilution-info": "1-5 µg/mL", "IHCP-species-notes": "<p></p> Perform heat-mediated antigen retrieval with citrate buffer pH 6 before commencing with IHC staining protocol.", "WB-species-checked": "testedAndGuaranteed", "WB-species-dilution-info": "1-2.50000 µg/mL", "WB-species-notes": "<p></p>", "ICCIF-species-checked": "notRecommended", "ICCIF-species-dilution-info": "", "ICCIF-species-notes": "<p></p>" }, "Mouse": { "IHCP-species-checked": "testedAndGuaranteed", "IHCP-species-dilution-info": "1-5 µg/mL", "IHCP-species-notes": "<p></p> Perform heat-mediated antigen retrieval with citrate buffer pH 6 before commencing with IHC staining protocol.", "WB-species-checked": "testedAndGuaranteed", "WB-species-dilution-info": "1-2.50000 µg/mL", "WB-species-notes": "<p></p>", "ICCIF-species-checked": "notRecommended", "ICCIF-species-dilution-info": "", "ICCIF-species-notes": "<p></p>" }, "Rat": { "IHCP-species-checked": "testedAndGuaranteed", "IHCP-species-dilution-info": "1-5 µg/mL", "IHCP-species-notes": "<p></p> Perform heat-mediated antigen retrieval with citrate buffer pH 6 before commencing with IHC staining protocol.", "WB-species-checked": "testedAndGuaranteed", "WB-species-dilution-info": "1-2.50000 µg/mL", "WB-species-notes": "<p></p>", "ICCIF-species-checked": "notRecommended", "ICCIF-species-dilution-info": "", "ICCIF-species-notes": "<p></p>" } } }

Product details

Properties and storage information

Form
Liquid
Purification technique
Affinity purification Protein A
Storage buffer
pH: 7.2 - 7.4 Preservative: 0.01% Sodium azide Constituents: PBS, 40% Glycerol (glycerin, glycerine), 0.05% BSA
Shipped at conditions
Blue Ice
Appropriate short-term storage duration
1-2 weeks
Appropriate short-term storage conditions
+4°C
Appropriate long-term storage conditions
-20°C
Aliquoting information
Upon delivery aliquot
Storage information
Avoid freeze / thaw cycle

Supplementary information

This supplementary information is collated from multiple sources and compiled automatically.

TAGLN also known as Transgelin or SM22-alpha is a protein with a molecular weight of approximately 22 kDa. Structurally it belongs to the calponin family and contains an ACT domain which is critical for its actin-binding ability. It is expressed abundantly in smooth muscle cells where it stabilizes cytoskeletal dynamics by interacting with actin filaments. TAGLN also shows expression in fibroblasts and myofibroblasts supporting structural integrity and cellular movement.
Biological function summary

The regulatory involvement of TAGLN in smooth muscle contraction influences cellular activities essential for vascular function. This protein modulates remodeling and differentiation within smooth muscle cells. It can associate with actin and calponin to form complexes that regulate the stability of cytoskeletal structures ensuring effective cellular responses to mechanical stimuli. By linking signal transduction to cytoskeletal mechanics TAGLN facilitates the maintenance of cell shape and tension.

Pathways

TAGLN plays a role in the regulation of the RhoA/Rho kinase pathway contributing to actin cytoskeleton organization and smooth muscle contraction. Additionally it is involved in the WNT signaling pathway influencing cell proliferation and differentiation. In these pathways TAGLN works with proteins like RhoA and beta-catenin to transmit signals from the extracellular environment to the nucleus impacting gene expression and cellular responses.

Disruptions in TAGLN expression associate with vascular diseases and certain cancers. Downregulation or altered expression patterns can lead to smooth muscle cell dysfunction contributing to atherosclerosis. Similarly TAGLN interacts with proteins such as fibronectin and MMP2 in cancer where its altered expression could promote metastasis and tumor progression. Understanding these connections highlights TAGLN's potential as a target for therapeutic interventions in these diseases.

Product protocols

For this product, it's our understanding that no specific protocols are required. You can visit:

Target data

Actin cross-linking/gelling protein (By similarity). Involved in calcium interactions and contractile properties of the cell that may contribute to replicative senescence.
See full target information TAGLN

Product promise

We are committed to supporting your work with high-quality reagents, and we're here for you every step of the way. In the unlikely event that one of our products does not perform as expected, you're protected by our Product Promise.
For full details, please see our Terms & Conditions

Associated Products

Select an associated product type
Alternative Product
Primary Antibodies

AB137453

Anti-TAGLN/Transgelin antibody

primary-antibodies

tagln-transgelin-antibody-ab137453

5

(3 reviews)

Alternative Product
Primary Antibodies

AB155272

Anti-TAGLN/Transgelin antibody

primary-antibodies

tagln-transgelin-antibody-ab155272

5

(2 reviews)

Alternative Product
Primary Antibodies

AB233971

Anti-TAGLN/Transgelin antibody [TAGLN/247]

primary-antibodies

tagln-transgelin-antibody-tagln-247-ab233971

0

(0 reviews)

Alternative Product
Primary Antibodies

AB212857

Anti-TAGLN/Transgelin antibody [TAGLN/247] - BSA and Azide free

primary-antibodies

tagln-transgelin-antibody-tagln-247-bsa-and-azide-free-ab212857

0

(0 reviews)

Alternative Product
Primary Antibodies

AB10135

Anti-TAGLN/Transgelin antibody

primary-antibodies

tagln-transgelin-antibody-ab10135

5

(2 reviews)

Alternative Product
Primary Antibodies

AB227566

Anti-TAGLN/Transgelin antibody [EPR21215]

primary-antibodies

tagln-transgelin-antibody-epr21215-ab227566

0

(0 reviews)

Alternative Product
Primary Antibodies

AB14106

Anti-TAGLN/Transgelin antibody

primary-antibodies

tagln-transgelin-antibody-ab14106

5

(27 reviews)

Please note: All products are 'FOR RESEARCH USE ONLY. NOT FOR USE IN DIAGNOSTIC OR THERAPEUTIC PROCEDURES'.

For licensing inquiries, please contact partnerships@abcam.com