JavaScript is disabled in your browser. Please enable JavaScript to view this website.
AB239353

Anti-TAK1 antibody [EPR22903-57]

Be the first to review this product! Submit a review

|

(1 Publication)

Rabbit Recombinant Monoclonal TAK1 antibody. Suitable for WB and reacts with Drosophila melanogaster samples. Cited in 1 publication.

View Alternative Names

CG18492, Tak1, Mitogen-activated protein kinase kinase kinase 7, TGF-beta-activated kinase 1, dTAK1

2 Images
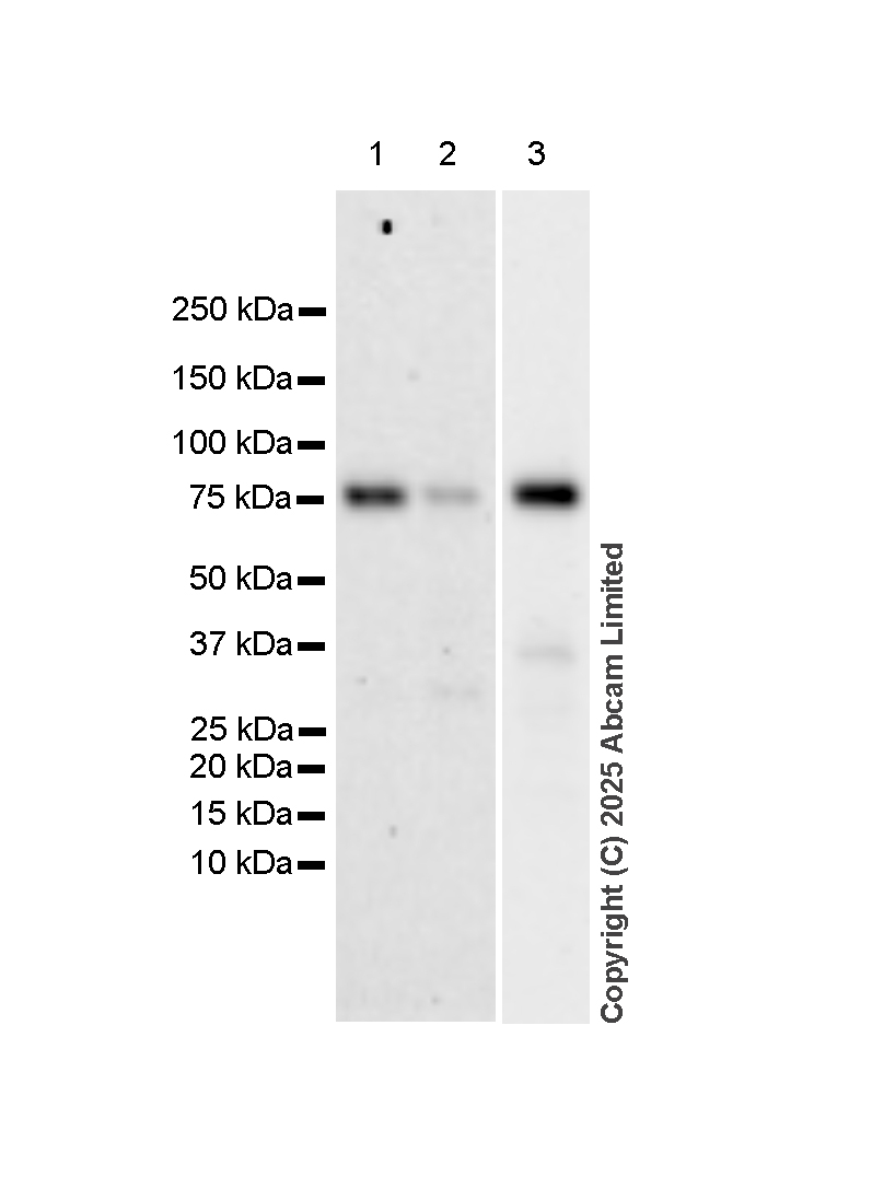
Western blot - Anti-TAK1 antibody [EPR22903-57] (AB239353)
  • WB

Supplier Data

Western blot - Anti-TAK1 antibody [EPR22903-57] (AB239353)

Blocking and diluting buffer and concentration : 5% NFDM/TBST.

This blot was developed using a higher sensitivity ECL substrate.
The lysates were kindly provided by an anonymous collaborator.

Exposure time : 3 minutes

All lanes:

Western blot - Anti-TAK1 antibody [EPR22903-57] (ab239353) at 1/1000 dilution

Lane 1:

Wild type Drosophila lysate at 20 µg

Lane 2:

Drosophila Tak1[2] mutant (with a point mutation resulting in a 53aa truncated protein) lysate at 20 µg

Secondary

All lanes:

Western blot - Goat Anti-Rabbit IgG H&L (HRP) (<a href='/en-us/products/secondary-antibodies/goat-rabbit-igg-h-l-hrp-ab97051'>ab97051</a>) at 1/100000 dilution

Predicted band size: 67 kDa

Observed band size: 85 kDa

false

Western blot - Anti-TAK1 antibody [EPR22903-57] (AB239353)
  • WB

Supplier Data

Western blot - Anti-TAK1 antibody [EPR22903-57] (AB239353)

Blocking/Diluting buffer : 5% NFDM/TBST

All lanes:

Western blot - Anti-TAK1 antibody [EPR22903-57] (ab239353) at 1/1000 dilution

All lanes:

Drosophila schneider 2 (S2) cell whole cell lysate at 10 µL

Secondary

All lanes:

Western blot - Goat Anti-Rabbit IgG H&L (HRP) (<a href='/en-us/products/secondary-antibodies/goat-rabbit-igg-h-l-hrp-ab97051'>ab97051</a>) at 1/20000 dilution

Predicted band size: 67 kDa

Observed band size: 85 kDa

false

Exposure time: 26s

  • Carrier free

    Anti-TAK1 antibody [EPR22903-57] - BSA and Azide free

Key facts

Host species

Rabbit

Clonality

Monoclonal

Clone number

EPR22903-57

Isotype

IgG

Carrier free

No

Reacts with

Drosophila melanogaster

Applications

WB

applications

Immunogen

The exact immunogen used to generate this antibody is proprietary information.

Reactivity data

{ "title": "Reactivity Data", "filters": { "stats": ["", "Species", "Dilution Info", "Notes"], "tabs": { "all-applications": {"fullname" : "All Applications", "shortname": "All Applications"}, "IHCP" : {"fullname" : "Immunohistochemistry (Formalin/PFA-fixed paraffin-embedded sections)", "shortname":"IHC-P"}, "IP" : {"fullname" : "Immunoprecipitation", "shortname":"IP"}, "WB" : {"fullname" : "Western blot", "shortname":"WB"} }, "product-promise": { "all": "all", "testedAndGuaranteed": "tested", "guaranteed": "expected", "predicted": "predicted", "notRecommended": "not-recommended" } }, "values": { "Drosophila melanogaster": { "IHCP-species-checked": "notRecommended", "IHCP-species-dilution-info": "", "IHCP-species-notes": "<p></p>", "IP-species-checked": "notRecommended", "IP-species-dilution-info": "", "IP-species-notes": "<p></p>", "WB-species-checked": "testedAndGuaranteed", "WB-species-dilution-info": "1/1000", "WB-species-notes": "<p></p>" } } }

Product details

Patented technology
Our RabMAb® technology is a patented hybridoma-based technology for making rabbit monoclonal antibodies. For details on our patents, please refer to RabMAb® patents.

What are the advantages of a recombinant monoclonal antibody?
This product is a recombinant monoclonal antibody, which offers several advantages including:

  • - High batch-to-batch consistency and reproducibility
  • - Improved sensitivity and specificity
  • - Long-term security of supply
  • - Animal-free batch production

For more information, read more on recombinant antibodies.

Properties and storage information

Form
Liquid
Purification technique
Affinity purification Protein A
Storage buffer
pH: 7.2 - 7.4 Preservative: 0.01% Sodium azide Constituents: PBS, 40% Glycerol (glycerin, glycerine), 0.05% BSA
Shipped at conditions
Blue Ice
Appropriate short-term storage duration
1-2 weeks
Appropriate short-term storage conditions
+4°C
Appropriate long-term storage conditions
-20°C
Aliquoting information
Upon delivery aliquot
Storage information
Avoid freeze / thaw cycle

Supplementary information

This supplementary information is collated from multiple sources and compiled automatically.

TAK1 also known as MAP3K7 (Mitogen-activated protein kinase kinase kinase 7) is an important protein kinase that weighs approximately 63 kDa. This protein is expressed in various tissues and cells including HEK 293T cells. TAK1 plays a mechanical role as a part of the MAPK signaling cascade. It phosphorylates and activates downstream kinases which is key to transmitting cellular signals that regulate responses to external stimuli like cytokines and stress.
Biological function summary

TAK1 is involved in several cellular processes necessary for maintaining balance and responding to stress. TAK1 forms a complex with proteins like TAB1 TAB2 and TAB3 which are important for its activation and signaling function. This complex facilitates TAK1's involvement in inflammation and immune response indicating its significance in mediating cellular survival and apoptosis.

Pathways

TAK1 operates within the NF-κB and MAPK pathways two critical routes for cellular response to inflammation and stress. In the NF-κB pathway TAK1 activates IKK which triggers the degradation of IκB freeing NF-κB to move into the nucleus and activate transcription. In the MAPK pathway TAK1 directly influences JNK and p38 cascades revealing regulatory connections to proteins like MEK and ERK.

TAK1 has been linked to conditions such as cancer and inflammatory diseases. In cancers aberrant TAK1 activity can lead to enhanced cell proliferation and survival. Moreover inflammation-related disorders can arise from malfunctioning TAK1 signaling demonstrating its connection to proteins like TNF receptor-associated factors which are involved in inflammatory responses. Understanding TAK1's role in these disorders may pave the way for developing potential therapeutic interventions.

Product protocols

For this product, it's our understanding that no specific protocols are required. You can visit:

Target data

Component of a protein kinase signal transduction cascade. Mediator of TGF-beta signal transduction. Responsible for activation of the JNK MAPK pathway (basket, bsk and hemipterous, hep) in response to LPS. Component of the NF-kappa-B pathway; relish-mediated JNK inhibition involves proteasomal degradation of Tak1; certain targets of Relish that are induced during immune responses may facilitate destruction of Tak1 and switch off the JNK cascade. Participates in diverse roles such as control of cell shape and regulation of apoptosis.
See full target information Tak1

Publications (1)

Recent publications for all applications. Explore the full list and refine your search

Cell reports 38:110286 PubMed35081354

2022

Selective autophagy controls innate immune response through a TAK1/TAB2/SH3PX1 axis.

Applications

WB

Species

Drosophila melanogaster

Panagiotis Tsapras,Stavroula Petridi,Selina Chan,Marta Geborys,Anne-Claire Jacomin,Antonia P Sagona,Pascal Meier,Ioannis P Nezis
View all publications

Product promise

We are committed to supporting your work with high-quality reagents, and we're here for you every step of the way. In the unlikely event that one of our products does not perform as expected, you're protected by our Product Promise.
For full details, please see our Terms & Conditions

Please note: All products are 'FOR RESEARCH USE ONLY. NOT FOR USE IN DIAGNOSTIC OR THERAPEUTIC PROCEDURES'.

For licensing inquiries, please contact partnerships@abcam.com