JavaScript is disabled in your browser. Please enable JavaScript to view this website.
AB109526

Anti-TAK1 antibody [EPR5984]

  • RabMAb
  • Recombinant
  • KO Validated
  • 20ul selling size
  • What is this?

4

(2 Reviews)

|

(81 Publications)

Rabbit Recombinant Monoclonal TAK1 antibody. Suitable for WB, ICC/IF, Flow Cyt (Intra), IHC-P and reacts with Human, Mouse, Rat samples. Cited in 81 publications.

View Alternative Names

TAK1, MAP3K7, Mitogen-activated protein kinase kinase kinase 7, Transforming growth factor-beta-activated kinase 1, TGF-beta-activated kinase 1

8 Images
Immunohistochemistry (Formalin/PFA-fixed paraffin-embedded sections) - Anti-TAK1 antibody [EPR5984] (AB109526)
  • IHC-P

Unknown

Immunohistochemistry (Formalin/PFA-fixed paraffin-embedded sections) - Anti-TAK1 antibody [EPR5984] (AB109526)

ab109526, at a 1/50 dilution, staining TAK1 in Formalin/PFA-fixed paraffin-embedded Human brain tissue, by Immunohistochemistry.

Perform heat mediated antigen retrieval via the microwave method before commencing with IHC staining protocol.

Immunocytochemistry/ Immunofluorescence - Anti-TAK1 antibody [EPR5984] (AB109526)
  • ICC/IF

Lab

Immunocytochemistry/ Immunofluorescence - Anti-TAK1 antibody [EPR5984] (AB109526)

ab109526 staining TAK1 in wild-type HAP1 cells (top panel) and TAK1 knockout HAP1 cells (bottom panel). The cells were fixed with 4% formaldehyde (10min), permeabilized with 0.1% Triton X-100 for 5 minutes and then blocked with 1% BSA/10% normal goat serum/0.3M glycine in 0.1% PBS-Tween for 1h. The cells were then incubated with ab109526 at 1/1000 dilution and ab195889 at 1/250 dilution (shown in pseudo colour red) overnight at +4°C, followed by a further incubation at room temperature for 1h with a goat secondary antibody to Rabbit IgG (Alexa Fluor® 488) (ab150081) at 2 μg/ml (shown in green). Nuclear DNA was labelled in blue with DAPI.

Image was taken with a confocal microscope (Leica-Microsystems, TCS SP8).

Flow Cytometry (Intracellular) - Anti-TAK1 antibody [EPR5984] (AB109526)
  • Flow Cyt (Intra)

Lab

Flow Cytometry (Intracellular) - Anti-TAK1 antibody [EPR5984] (AB109526)

Intracellular Flow Cytometry analysis of A431 (human epidermoid carcinoma) cells labeling TAK1 with unpurified ab109526 at 1/20 dilution (10ug/ml) (red). Cells were fixed with 4% paraformaldehyde and permeabilised with 90% methanol. A Goat anti rabbit IgG (Alexa Fluor® 488) (1/2000 dilution) was used as the secondary antibody. Rabbit monoclonal IgG (Black) was used as the isotype control, cells without incubation with primary antibody and secondary antibody (Blue) was used as the unlabeled control.

Western blot - Anti-TAK1 antibody [EPR5984] (AB109526)
  • WB

Lab

Western blot - Anti-TAK1 antibody [EPR5984] (AB109526)

Lane 1 : Wild-type HAP1 cell lysate (20 μg)
Lane 2 : TAK1 knockout HAP1 cell lysate (20 μg)
Lane 3 : SHSY5Y cell lysate (20 μg)
Lane 4 : A431 cell lysate (20 μg)
Lanes 1 - 4 : Merged signal (red and green). Green - ab109526 observed at 72 kDa. Red - loading control, ab8245, observed at 37 kDa.
ab109526 was shown to specifically react with TAK1 when TAK1 knockout samples were used. Wild-type and TAK1 knockout samples were subjected to SDS-PAGE. ab109526 and ab8245 (loading control to GAPDH) were diluted 1/1000 and 1/2000 respectively and incubated overnight at 4°C. Blots were developed with Goat anti-Rabbit IgG H&L (IRDye® 800CW) preadsorbed (ab216773) and Goat anti-Mouse IgG H&L (IRDye® 680RD) preadsorbed (ab216776) secondary antibodies at 1/10 000 dilution for 1 h at room temperature before imaging.

All lanes:

Western blot - Anti-TAK1 antibody [EPR5984] (ab109526)

Predicted band size: 67 kDa

false

Western blot - Anti-TAK1 antibody [EPR5984] (AB109526)
  • WB

Lab

Western blot - Anti-TAK1 antibody [EPR5984] (AB109526)

Lanes 1- 2 : Merged signal (red and green). Green - ab109526 observed at 72 kDa. Red - Anti-GAPDH antibody [6C5] - Loading Control (ab8245) observed at 37 kDa.

ab109526 was shown to react with TAK1 in wild-type HEK-293T cells in western blot. Loss of signal was observed when knockout cell line ab266555 (knockout cell lysate ab256984) was used. Wild-type HEK-293T and MAP3K7 knockout HEK-293T cell lysates were subjected to SDS-PAGE. Membrane was blocked for 1 hour at room temperature in 0.1% TBST with 3% non-fat dried milk. ab109526 and Anti-GAPDH antibody [6C5] - Loading Control (ab8245) overnight at 4°C at a 1 in 1000 dilution and a 1 in 20000 dilution respectively. Blots were developed with Goat anti-Rabbit IgG H&L (IRDye®800CW) preadsorbed (ab216773) and Goat anti-Mouse IgG H&L (IRDye®680RD) preadsorbed (ab216776) secondary antibodies at 1 in 20000 dilution for 1 hour at room temperature before imaging.

All lanes:

Western blot - Anti-TAK1 antibody [EPR5984] (ab109526) at 1/1000 dilution

Lane 1:

Wild-type HEK-293T cell lysate at 20 µg

Lane 2:

MAP3K7 knockout HEK-293T cell lysate at 20 µg

Lane 2:

Western blot - Human MAP3K7 (TAK1) knockout HEK-293T cell line (<a href='/en-us/products/cell-lines/human-map3k7-tak1-knockout-hek-293t-cell-line-ab266555'>ab266555</a>)

Predicted band size: 35 kDa,36 kDa,43 kDa,47 kDa,60 kDa,67 kDa,74 kDa

Observed band size: 36 kDa,60 kDa,72 kDa,95 kDa

false

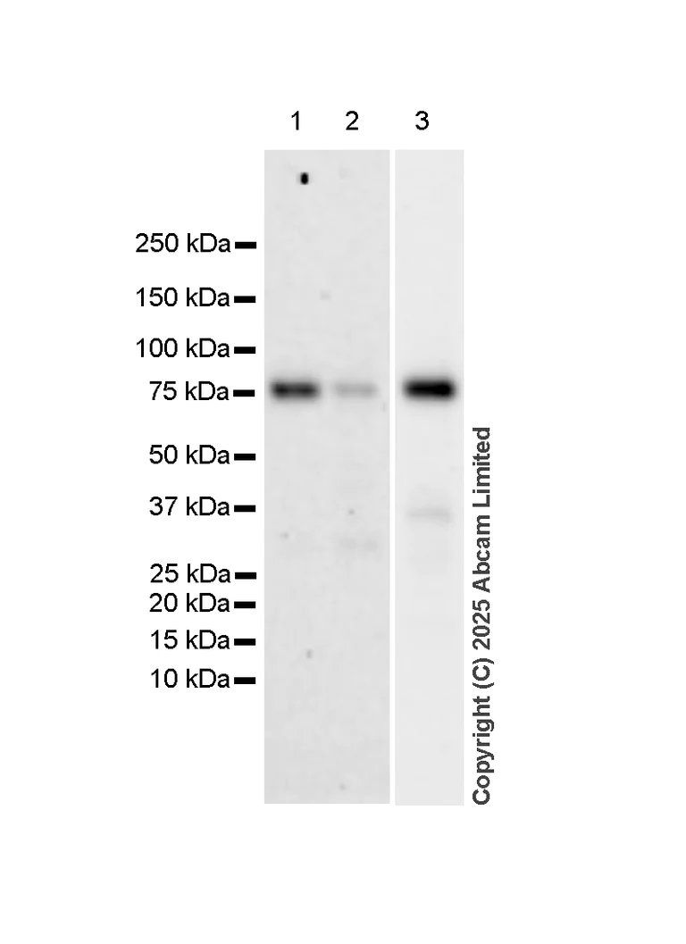
Western blot - Anti-TAK1 antibody [EPR5984] (AB109526)
  • WB

Unknown

Western blot - Anti-TAK1 antibody [EPR5984] (AB109526)

All lanes:

Western blot - Anti-TAK1 antibody [EPR5984] (ab109526) at 1/1000 dilution

Lane 1:

K562 cell lysate at 10 µg

Lane 2:

HeLa cell lysate at 10 µg

Lane 3:

A431 cell lysate at 10 µg

Secondary

All lanes:

HRP labelled Goat anti-Rabbit IgG at 1/2000 dilution

Predicted band size: 67 kDa

Observed band size: 75 kDa

false

Western blot - Anti-TAK1 antibody [EPR5984] (AB109526)
  • WB

Lab

Western blot - Anti-TAK1 antibody [EPR5984] (AB109526)

Blocking and diluting buffer and concentration : 5% NFDM/TBST.

All lanes:

Western blot - Anti-TAK1 antibody [EPR5984] (ab109526) at 1/1000 dilution

Lane 1:

Mouse brain tissue lysate at 20 µg

Lane 2:

Mouse heart tissue lysate at 20 µg

Lane 3:

Mouse spleen tissue lysate at 20 µg

Secondary

All lanes:

Western blot - Goat Anti-Rabbit IgG H&L (HRP) (<a href='/en-us/products/secondary-antibodies/goat-rabbit-igg-h-l-hrp-ab97051'>ab97051</a>) at 1/100000 dilution

Observed band size: 75 kDa

false

Exposure time: 48s

Western blot - Anti-TAK1 antibody [EPR5984] (AB109526)
  • WB

Lab

Western blot - Anti-TAK1 antibody [EPR5984] (AB109526)

Blocking and diluting buffer and concentration : 5% NFDM/TBST.

All lanes:

Western blot - Anti-TAK1 antibody [EPR5984] (ab109526) at 1/1000 dilution

Lane 1:

Rat brain tissue lysate at 20 µg

Lane 2:

Rat kidney tissue lysate at 20 µg

Lane 3:

Rat spleen tissue lysate at 20 µg

Secondary

All lanes:

Western blot - Goat Anti-Rabbit IgG H&L (HRP) (<a href='/en-us/products/secondary-antibodies/goat-rabbit-igg-h-l-hrp-ab97051'>ab97051</a>) at 1/100000 dilution

Observed band size: 75 kDa

false

Exposure time: 180s

Key facts

Host species

Rabbit

Clonality

Monoclonal

Clone number

EPR5984

Isotype

IgG

Carrier free

No

Reacts with

Human

Applications

ICC/IF, Flow Cyt (Intra), WB, IHC-P

applications

Immunogen

The exact immunogen used to generate this antibody is proprietary information.

Reactivity data

{ "title": "Reactivity Data", "filters": { "stats": ["", "Species", "Dilution Info", "Notes"], "tabs": { "all-applications": {"fullname" : "All Applications", "shortname": "All Applications"}, "IP" : {"fullname" : "Immunoprecipitation", "shortname":"IP"}, "WB" : {"fullname" : "Western blot", "shortname":"WB"}, "ICCIF" : {"fullname" : "Immunocytochemistry/ Immunofluorescence", "shortname":"ICC/IF"}, "FlowCytIntra" : {"fullname" : "Flow Cytometry (Intracellular)", "shortname":"Flow Cyt (Intra)"}, "IHCP" : {"fullname" : "Immunohistochemistry (Formalin/PFA-fixed paraffin-embedded sections)", "shortname":"IHC-P"} }, "product-promise": { "all": "all", "testedAndGuaranteed": "tested", "guaranteed": "expected", "predicted": "predicted", "notRecommended": "not-recommended" } }, "values": { "Human": { "IP-species-checked": "notRecommended", "IP-species-dilution-info": "", "IP-species-notes": "<p></p>", "WB-species-checked": "testedAndGuaranteed", "WB-species-dilution-info": "1/1000 - 1/10000", "WB-species-notes": "<p></p>", "ICCIF-species-checked": "testedAndGuaranteed", "ICCIF-species-dilution-info": "1/1000", "ICCIF-species-notes": "<p></p>", "FlowCytIntra-species-checked": "testedAndGuaranteed", "FlowCytIntra-species-dilution-info": "", "FlowCytIntra-species-notes": "<p><a href='/en-us/products/primary-antibodies/rabbit-igg-monoclonal-epr25a-isotype-control-ab172730'>ab172730</a> - Rabbit monoclonal IgG, is suitable for use as an isotype control with this antibody.</p>", "IHCP-species-checked": "testedAndGuaranteed", "IHCP-species-dilution-info": "1/50 - 1/100", "IHCP-species-notes": "<p>(Heat to 98°C, allow to cool for 10-20 minutes)</p>" }, "Mouse": { "IP-species-checked": "notRecommended", "IP-species-dilution-info": "", "IP-species-notes": "", "WB-species-checked": "testedAndGuaranteed", "WB-species-dilution-info": "1/1000", "WB-species-notes": "<p></p>", "ICCIF-species-checked": "guaranteed", "ICCIF-species-dilution-info": "", "ICCIF-species-notes": "", "FlowCytIntra-species-checked": "guaranteed", "FlowCytIntra-species-dilution-info": "", "FlowCytIntra-species-notes": "", "IHCP-species-checked": "guaranteed", "IHCP-species-dilution-info": "", "IHCP-species-notes": "" }, "Rat": { "IP-species-checked": "notRecommended", "IP-species-dilution-info": "", "IP-species-notes": "", "WB-species-checked": "testedAndGuaranteed", "WB-species-dilution-info": "1/1000", "WB-species-notes": "<p></p>", "ICCIF-species-checked": "guaranteed", "ICCIF-species-dilution-info": "", "ICCIF-species-notes": "", "FlowCytIntra-species-checked": "guaranteed", "FlowCytIntra-species-dilution-info": "", "FlowCytIntra-species-notes": "", "IHCP-species-checked": "guaranteed", "IHCP-species-dilution-info": "", "IHCP-species-notes": "" } } }

Product details

Patented technology
Our RabMAb® technology is a patented hybridoma-based technology for making rabbit monoclonal antibodies. For details on our patents, please refer to RabMAb® patents.

What are the advantages of a recombinant monoclonal antibody?
This product is a recombinant monoclonal antibody, which offers several advantages including:

  • - High batch-to-batch consistency and reproducibility
  • - Improved sensitivity and specificity
  • - Long-term security of supply
  • - Animal-free batch production

For more information, read more on recombinant antibodies.

Properties and storage information

Form
Liquid
Purification technique
Affinity purification Protein A
Storage buffer
pH: 7.2 - 7.4 Preservative: 0.05% Sodium azide Constituents: 50% Tissue culture supernatant, 40% Glycerol (glycerin, glycerine), 9.85% Tris glycine, 0.1% BSA
Shipped at conditions
Blue Ice
Appropriate short-term storage duration
1-2 weeks
Appropriate short-term storage conditions
+4°C
Appropriate long-term storage conditions
-20°C
Aliquoting information
Upon delivery aliquot
Storage information
Stable for 12 months at -20°C

Supplementary information

This supplementary information is collated from multiple sources and compiled automatically.

TAK1 also known as MAP3K7 (Mitogen-activated protein kinase kinase kinase 7) is an important protein kinase that weighs approximately 63 kDa. This protein is expressed in various tissues and cells including HEK 293T cells. TAK1 plays a mechanical role as a part of the MAPK signaling cascade. It phosphorylates and activates downstream kinases which is key to transmitting cellular signals that regulate responses to external stimuli like cytokines and stress.
Biological function summary

TAK1 is involved in several cellular processes necessary for maintaining balance and responding to stress. TAK1 forms a complex with proteins like TAB1 TAB2 and TAB3 which are important for its activation and signaling function. This complex facilitates TAK1's involvement in inflammation and immune response indicating its significance in mediating cellular survival and apoptosis.

Pathways

TAK1 operates within the NF-κB and MAPK pathways two critical routes for cellular response to inflammation and stress. In the NF-κB pathway TAK1 activates IKK which triggers the degradation of IκB freeing NF-κB to move into the nucleus and activate transcription. In the MAPK pathway TAK1 directly influences JNK and p38 cascades revealing regulatory connections to proteins like MEK and ERK.

TAK1 has been linked to conditions such as cancer and inflammatory diseases. In cancers aberrant TAK1 activity can lead to enhanced cell proliferation and survival. Moreover inflammation-related disorders can arise from malfunctioning TAK1 signaling demonstrating its connection to proteins like TNF receptor-associated factors which are involved in inflammatory responses. Understanding TAK1's role in these disorders may pave the way for developing potential therapeutic interventions.

Product protocols

For this product, it's our understanding that no specific protocols are required. You can visit:

Target data

Serine/threonine kinase which acts as an essential component of the MAP kinase signal transduction pathway (PubMed : 10094049, PubMed : 11460167, PubMed : 12589052, PubMed : 16845370, PubMed : 16893890, PubMed : 21512573, PubMed : 8663074, PubMed : 9079627). Plays an important role in the cascades of cellular responses evoked by changes in the environment (PubMed : 10094049, PubMed : 11460167, PubMed : 12589052, PubMed : 16845370, PubMed : 16893890, PubMed : 21512573, PubMed : 8663074, PubMed : 9079627). Mediates signal transduction of TRAF6, various cytokines including interleukin-1 (IL-1), transforming growth factor-beta (TGFB), TGFB-related factors like BMP2 and BMP4, toll-like receptors (TLR), tumor necrosis factor receptor CD40 and B-cell receptor (BCR) (PubMed : 16893890, PubMed : 9079627). Once activated, acts as an upstream activator of the MKK/JNK signal transduction cascade and the p38 MAPK signal transduction cascade through the phosphorylation and activation of several MAP kinase kinases like MAP2K1/MEK1, MAP2K3/MKK3, MAP2K6/MKK6 and MAP2K7/MKK7 (PubMed : 11460167, PubMed : 8663074). These MAP2Ks in turn activate p38 MAPKs and c-jun N-terminal kinases (JNKs); both p38 MAPK and JNK pathways control the transcription factors activator protein-1 (AP-1) (PubMed : 11460167, PubMed : 12589052, PubMed : 8663074). Independently of MAP2Ks and p38 MAPKs, acts as a key activator of NF-kappa-B by promoting activation of the I-kappa-B-kinase (IKK) core complex (PubMed : 12589052, PubMed : 8663074). Mechanistically, recruited to polyubiquitin chains of RIPK2 and IKBKG/NEMO via TAB2/MAP3K7IP2 and TAB3/MAP3K7IP3, and catalyzes phosphorylation and activation of IKBKB/IKKB component of the IKK complex, leading to NF-kappa-B activation (PubMed : 10094049, PubMed : 11460167). In osmotic stress signaling, plays a major role in the activation of MAPK8/JNK1, but not that of NF-kappa-B (PubMed : 16893890). Promotes TRIM5 capsid-specific restriction activity (PubMed : 21512573). Phosphorylates RIPK1 at 'Ser-321' which positively regulates RIPK1 interaction with RIPK3 to promote necroptosis but negatively regulates RIPK1 kinase activity and its interaction with FADD to mediate apoptosis (By similarity). Phosphorylates STING1 in response to cGAMP-activation, promoting association between STEEP1 and STING1 and STING1 translocation to COPII vesicles (PubMed : 37832545).
See full target information MAP3K7

Publications (81)

Recent publications for all applications. Explore the full list and refine your search

Drug design, development and therapy 19:8843-8864 PubMed41049040

2025

Emodin Alleviates Monocrotaline-Induced Pulmonary Arterial Hypertension by Directly Targeting TAK1.

Applications

Unspecified application

Species

Unspecified reactive species

Yaolei Zhang,Mingmei Zhang,Ting Li,Yunchuan Liu,Zihan Li,Longfu Zhou,Yonghe Hu

Mediators of inflammation 2025:4932970 PubMed40918406

2025

Electroacupuncture Attenuates Hepatic Ischemia-Reperfusion Injury by Modulating the Esr1/TAK1-JNK/p38 Signaling Pathway in Rats.

Applications

Unspecified application

Species

Unspecified reactive species

Xiaofang Fan,Wei Guo,Xiaodan Yang,Hao Zhang,Bruno Fink,Lingyu Hu,Xiaoguang Wang

Virology journal 22:101 PubMed40241182

2025

Cytomegalovirus infection initiates inflammatory bowel disease by activating a positive MyD88/NF-κB feedback loop in allogeneic skin transplantation mice.

Applications

Unspecified application

Species

Unspecified reactive species

Ming-Xian Chen,Yu Chen,Rui Fu,Jie-Yi Wang,Sai-Yue Liu,Tang-Biao Shen

Nature communications 16:1890 PubMed39987261

2025

Cooperation of TRADD- and RIPK1-dependent cell death pathways in maintaining intestinal homeostasis.

Applications

Unspecified application

Species

Unspecified reactive species

Ziyu Sun,Jianyu Ye,Weimin Sun,Libo Jiang,Bing Shan,Mengmeng Zhang,Jingyi Xu,Wanjin Li,Jianping Liu,Hongyang Jing,Tian Zhang,Meiling Hou,Cen Xie,Rongling Wu,Heling Pan,Junying Yuan

Microbiology spectrum 13:e0162624 PubMed39932324

2025

C-reactive protein-induced injury in -infected lung epithelial cells is mediated by the P38 MAPK/mitochondrial apoptosis pathway.

Applications

Unspecified application

Species

Unspecified reactive species

Lianjia Li,Yang Zhang,Lin Zhao,Yalin Shi

Journal of cell science 138: PubMed39584231

2024

Phosphorylation on serine 72 modulates Rab7A palmitoylation and retromer recruitment.

Applications

Unspecified application

Species

Unspecified reactive species

Graziana Modica,Laura Tejeda-Valencia,Etienne Sauvageau,Seda Yasa,Juliette Maes,Olga Skorobogata,Stephane Lefrancois

Central-European journal of immunology 49:393-403 PubMed39944262

2024

The N6-methyladenosine pattern of MAP3K7 mediates the effects of sevoflurane on macrophage M2 polarization and cervical cancer migration and invasion.

Applications

Unspecified application

Species

Unspecified reactive species

Luxin Huang,Feng Duan,Xianning Dong,Zengzhen Zhang

Scientific reports 13:21106 PubMed38036641

2023

Application of human platelet lysate in chondrocyte expansion promotes chondrogenic phenotype and slows senescence progression via BMP-TAK1-p38 pathway.

Applications

Unspecified application

Species

Unspecified reactive species

Narong Chitchongyingcharoen,Tulyapruek Tawonsawatruk,Jitrada Phetfong,Wrattya Aroontanee,Aungkura Supokawej

Nature communications 14:6699 PubMed37872167

2023

Broad-spectrum kinome profiling identifies CDK6 upregulation as a driver of lenvatinib resistance in hepatocellular carcinoma.

Applications

Unspecified application

Species

Unspecified reactive species

Carmen Oi Ning Leung,Yang Yang,Rainbow Wing Hei Leung,Karl Kam Hei So,Hai Jun Guo,Martina Mang Leng Lei,Gregory Kenneth Muliawan,Yuan Gao,Qian Qian Yu,Jing Ping Yun,Stephanie Ma,Qian Zhao,Terence Kin Wah Lee

Aging and disease 14:1799-1817 PubMed37196118

2023

TAK1 Improves Cognitive Function via Suppressing RIPK1-Driven Neuronal Apoptosis and Necroptosis in Rats with Chronic Hypertension.

Applications

Unspecified application

Species

Unspecified reactive species

Jing Yang,Pei Sun,Xiangming Xu,Xiaolu Liu,Linfang Lan,Ming Yi,Chi Xiao,Ruichen Ni,Yuhua Fan
View all publications

Product promise

We are committed to supporting your work with high-quality reagents, and we're here for you every step of the way. In the unlikely event that one of our products does not perform as expected, you're protected by our Product Promise.
For full details, please see our Terms & Conditions

Please note: All products are 'FOR RESEARCH USE ONLY. NOT FOR USE IN DIAGNOSTIC OR THERAPEUTIC PROCEDURES'.

For licensing inquiries, please contact partnerships@abcam.com