JavaScript is disabled in your browser. Please enable JavaScript to view this website.
AB222394

Anti-TAK1 antibody [EPR5984] - BSA and Azide free

Be the first to review this product! Submit a review

|

(2 Publications)

Rabbit Recombinant Monoclonal TAK1 antibody. Carrier free. Suitable for WB, ICC/IF, Flow Cyt (Intra), IHC-P and reacts with Human, Mouse, Rat samples. Cited in 2 publications.

View Alternative Names

TAK1, MAP3K7, Mitogen-activated protein kinase kinase kinase 7, Transforming growth factor-beta-activated kinase 1, TGF-beta-activated kinase 1

6 Images
Immunocytochemistry/ Immunofluorescence - Anti-TAK1 antibody [EPR5984] - BSA and Azide free (AB222394)
  • ICC/IF

Lab

Immunocytochemistry/ Immunofluorescence - Anti-TAK1 antibody [EPR5984] - BSA and Azide free (AB222394)

ab109526 staining TAK1 in wild-type HAP1 cells (top panel) and TAK1 knockout HAP1 cells (bottom panel). The cells were fixed with 4% formaldehyde (10min), permeabilized with 0.1% Triton X-100 for 5 minutes and then blocked with 1% BSA/10% normal goat serum/0.3M glycine in 0.1% PBS-Tween for 1h. The cells were then incubated with ab109526 at 1/1000 dilution and ab195889 at 1/250 dilution (shown in pseudo colour red) overnight at +4°C, followed by a further incubation at room temperature for 1h with a goat secondary antibody to Rabbit IgG (Alexa Fluor® 488) (ab150081) at 2 μg/ml (shown in green). Nuclear DNA was labelled in blue with DAPI.

Image was taken with a confocal microscope (Leica-Microsystems, TCS SP8).

Flow Cytometry (Intracellular) - Anti-TAK1 antibody [EPR5984] - BSA and Azide free (AB222394)
  • Flow Cyt (Intra)

Lab

Flow Cytometry (Intracellular) - Anti-TAK1 antibody [EPR5984] - BSA and Azide free (AB222394)

Intracellular Flow Cytometry analysis of A431 (human epidermoid carcinoma) cells labeling TAK1 with unpurified ab109526 at 1/20 dilution (10ug/ml) (red). Cells were fixed with 4% paraformaldehyde and permeabilised with 90% methanol. A Goat anti rabbit IgG (Alexa Fluor® 488) (1/2000 dilution) was used as the secondary antibody. Rabbit monoclonal IgG (Black) was used as the isotype control, cells without incubation with primary antibody and secondary antibody (Blue) was used as the unlabeled control.

This data was developed using the same antibody clone in a different buffer formulation containing PBS, BSA, glycerol, and sodium azide (ab109526).

Immunohistochemistry (Formalin/PFA-fixed paraffin-embedded sections) - Anti-TAK1 antibody [EPR5984] - BSA and Azide free (AB222394)
  • IHC-P

Unknown

Immunohistochemistry (Formalin/PFA-fixed paraffin-embedded sections) - Anti-TAK1 antibody [EPR5984] - BSA and Azide free (AB222394)

ab109526, at a 1/50 dilution, staining TAK1 in Formalin/PFA-fixed paraffin-embedded Human brain tissue, by Immunohistochemistry.

This data was developed using the same antibody clone in a different buffer formulation containing PBS, BSA, glycerol, and sodium azide (ab109526).

Perform heat mediated antigen retrieval via the microwave method before commencing with IHC staining protocol.

Western blot - Anti-TAK1 antibody [EPR5984] - BSA and Azide free (AB222394)
  • WB

Lab

Western blot - Anti-TAK1 antibody [EPR5984] - BSA and Azide free (AB222394)

This data was developed using the same antibody clone in a different buffer formulation (ab109526).

Lanes 1- 2 : Merged signal (red and green). Green - ab109526 observed at 72 kDa. Red - Anti-GAPDH antibody [6C5] - Loading Control (ab8245) observed at 37 kDa.

ab109526 was shown to react with TAK1 in wild-type HEK-293T cells in western blot. Loss of signal was observed when knockout cell line ab266555 (knockout cell lysate ab256984) was used. Wild-type HEK-293T and MAP3K7 knockout HEK-293T cell lysates were subjected to SDS-PAGE. Membrane was blocked for 1 hour at room temperature in 0.1% TBST with 3% non-fat dried milk. ab109526 and Anti-GAPDH antibody [6C5] - Loading Control (ab8245) overnight at 4°C at a 1 in 1000 dilution and a 1 in 20000 dilution respectively. Blots were developed with Goat anti-Rabbit IgG H&L (IRDye®800CW) preadsorbed (ab216773) and Goat anti-Mouse IgG H&L (IRDye®680RD) preadsorbed (ab216776) secondary antibodies at 1 in 20000 dilution for 1 hour at room temperature before imaging.

All lanes:

Western blot - Anti-TAK1 antibody [EPR5984] (<a href='/en-us/products/primary-antibodies/tak1-antibody-epr5984-ab109526'>ab109526</a>) at 1/1000 dilution

Lane 1:

Wild-type HEK-293T cell lysate at 20 µg

Lane 2:

MAP3K7 knockout HEK-293T cell lysate at 20 µg

Lane 2:

Western blot - Human MAP3K7 (TAK1) knockout HEK-293T cell line (<a href='/en-us/products/cell-lines/human-map3k7-tak1-knockout-hek-293t-cell-line-ab266555'>ab266555</a>)

Predicted band size: 35 kDa,36 kDa,43 kDa,47 kDa,60 kDa,67 kDa,74 kDa

Observed band size: 36 kDa,60 kDa,72 kDa,95 kDa

false

Western blot - Anti-TAK1 antibody [EPR5984] - BSA and Azide free (AB222394)
  • WB

Lab

Western blot - Anti-TAK1 antibody [EPR5984] - BSA and Azide free (AB222394)

This data was developed using ab109526, the same antibody clone in a different buffer formulation.

Blocking and diluting buffer and concentration : 5% NFDM/TBST.

All lanes:

Western blot - Anti-TAK1 antibody [EPR5984] (<a href='/en-us/products/primary-antibodies/tak1-antibody-epr5984-ab109526'>ab109526</a>) at 1/1000 dilution

Lane 1:

Mouse brain tissue lysate at 20 µg

Lane 2:

Mouse heart tissue lysate at 20 µg

Lane 3:

Mouse spleen tissue lysate at 20 µg

Secondary

All lanes:

Western blot - Goat Anti-Rabbit IgG H&L (HRP) (<a href='/en-us/products/secondary-antibodies/goat-rabbit-igg-h-l-hrp-ab97051'>ab97051</a>) at 1/100000 dilution

Observed band size: 75 kDa

false

Exposure time: 48s

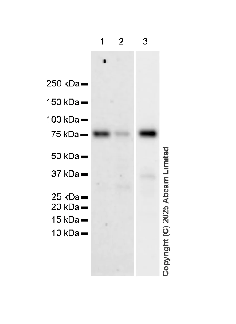
Western blot - Anti-TAK1 antibody [EPR5984] - BSA and Azide free (AB222394)
  • WB

Lab

Western blot - Anti-TAK1 antibody [EPR5984] - BSA and Azide free (AB222394)

This data was developed using ab109526, the same antibody clone in a different buffer formulation.

Blocking and diluting buffer and concentration : 5% NFDM/TBST.

All lanes:

Western blot - Anti-TAK1 antibody [EPR5984] (<a href='/en-us/products/primary-antibodies/tak1-antibody-epr5984-ab109526'>ab109526</a>) at 1/1000 dilution

Lane 1:

Rat brain tissue lysate at 20 µg

Lane 2:

Rat kidney tissue lysate at 20 µg

Lane 3:

Rat spleen tissue lysate at 20 µg

Secondary

All lanes:

Western blot - Goat Anti-Rabbit IgG H&L (HRP) (<a href='/en-us/products/secondary-antibodies/goat-rabbit-igg-h-l-hrp-ab97051'>ab97051</a>) at 1/100000 dilution

Observed band size: 75 kDa

false

Exposure time: 180s

Key facts

Host species

Rabbit

Clonality

Monoclonal

Clone number

EPR5984

Isotype

IgG

Carrier free

Yes

Reacts with

Human

Applications

Flow Cyt (Intra), WB, IHC-P, ICC/IF

applications

Immunogen

The exact immunogen used to generate this antibody is proprietary information.

Reactivity data

{ "title": "Reactivity Data", "filters": { "stats": ["", "Species", "Dilution Info", "Notes"], "tabs": { "all-applications": {"fullname" : "All Applications", "shortname": "All Applications"}, "IP" : {"fullname" : "Immunoprecipitation", "shortname":"IP"}, "WB" : {"fullname" : "Western blot", "shortname":"WB"}, "ICCIF" : {"fullname" : "Immunocytochemistry/ Immunofluorescence", "shortname":"ICC/IF"}, "FlowCytIntra" : {"fullname" : "Flow Cytometry (Intracellular)", "shortname":"Flow Cyt (Intra)"}, "IHCP" : {"fullname" : "Immunohistochemistry (Formalin/PFA-fixed paraffin-embedded sections)", "shortname":"IHC-P"} }, "product-promise": { "all": "all", "testedAndGuaranteed": "tested", "guaranteed": "expected", "predicted": "predicted", "notRecommended": "not-recommended" } }, "values": { "Human": { "IP-species-checked": "notRecommended", "IP-species-dilution-info": "", "IP-species-notes": "<p></p>", "WB-species-checked": "testedAndGuaranteed", "WB-species-dilution-info": "", "WB-species-notes": "<p></p>", "ICCIF-species-checked": "testedAndGuaranteed", "ICCIF-species-dilution-info": "", "ICCIF-species-notes": "<p></p>", "FlowCytIntra-species-checked": "testedAndGuaranteed", "FlowCytIntra-species-dilution-info": "", "FlowCytIntra-species-notes": "<p><a href='/en-us/products/primary-antibodies/rabbit-igg-monoclonal-epr25a-isotype-control-low-endotoxin-azide-free-ab199376'>ab199376</a> - Rabbit monoclonal IgG, is suitable for use as an isotype control with this antibody.</p>", "IHCP-species-checked": "testedAndGuaranteed", "IHCP-species-dilution-info": "", "IHCP-species-notes": "<p>(Heat to 98°C, allow to cool for 10-20 minutes)</p>" }, "Mouse": { "IP-species-checked": "notRecommended", "IP-species-dilution-info": "", "IP-species-notes": "", "WB-species-checked": "testedAndGuaranteed", "WB-species-dilution-info": "", "WB-species-notes": "<p></p>", "ICCIF-species-checked": "guaranteed", "ICCIF-species-dilution-info": "", "ICCIF-species-notes": "", "FlowCytIntra-species-checked": "guaranteed", "FlowCytIntra-species-dilution-info": "", "FlowCytIntra-species-notes": "", "IHCP-species-checked": "guaranteed", "IHCP-species-dilution-info": "", "IHCP-species-notes": "" }, "Rat": { "IP-species-checked": "notRecommended", "IP-species-dilution-info": "", "IP-species-notes": "", "WB-species-checked": "testedAndGuaranteed", "WB-species-dilution-info": "", "WB-species-notes": "<p></p>", "ICCIF-species-checked": "guaranteed", "ICCIF-species-dilution-info": "", "ICCIF-species-notes": "", "FlowCytIntra-species-checked": "guaranteed", "FlowCytIntra-species-dilution-info": "", "FlowCytIntra-species-notes": "", "IHCP-species-checked": "guaranteed", "IHCP-species-dilution-info": "", "IHCP-species-notes": "" } } }

Product details

ab222394 is the carrier-free version of ab109526.

Patented technology
Our RabMAb® technology is a patented hybridoma-based technology for making rabbit monoclonal antibodies. For details on our patents, please refer to RabMAb® patents.

Conjugation ready
Our carrier-free antibodies are typically supplied in a PBS-only formulation, purified and free of BSA, sodium azide and glycerol. This conjugation-ready format is designed for use with fluorochromes, metal isotopes, oligonucleotides, and enzymes, which makes them ideal for antibody labelling, functional and cell-based assays, flow-based assays (e.g. mass cytometry) and Multiplex Imaging applications.

Use our conjugation kits for antibody conjugates that are ready-to-use in as little as 20 minutes with 1 minute hands-on-time and 100% antibody recovery: available for fluorescent dyes, HRP, biotin and gold.

Compatibility
This product is compatible with the Maxpar® Antibody Labeling Kit from Fluidigm, without the need for antibody preparation. Maxpar® is a trademark of Fluidigm Canada Inc.

Properties and storage information

Form
Liquid
Purification technique
Affinity purification Protein A
Storage buffer
pH: 7.2 - 7.4 Constituents: PBS
Shipped at conditions
Blue Ice
Appropriate short-term storage conditions
+4°C
Appropriate long-term storage conditions
+4°C
Storage information
Do Not Freeze

Supplementary information

This supplementary information is collated from multiple sources and compiled automatically.

TAK1 also known as MAP3K7 (Mitogen-activated protein kinase kinase kinase 7) is an important protein kinase that weighs approximately 63 kDa. This protein is expressed in various tissues and cells including HEK 293T cells. TAK1 plays a mechanical role as a part of the MAPK signaling cascade. It phosphorylates and activates downstream kinases which is key to transmitting cellular signals that regulate responses to external stimuli like cytokines and stress.
Biological function summary

TAK1 is involved in several cellular processes necessary for maintaining balance and responding to stress. TAK1 forms a complex with proteins like TAB1 TAB2 and TAB3 which are important for its activation and signaling function. This complex facilitates TAK1's involvement in inflammation and immune response indicating its significance in mediating cellular survival and apoptosis.

Pathways

TAK1 operates within the NF-κB and MAPK pathways two critical routes for cellular response to inflammation and stress. In the NF-κB pathway TAK1 activates IKK which triggers the degradation of IκB freeing NF-κB to move into the nucleus and activate transcription. In the MAPK pathway TAK1 directly influences JNK and p38 cascades revealing regulatory connections to proteins like MEK and ERK.

TAK1 has been linked to conditions such as cancer and inflammatory diseases. In cancers aberrant TAK1 activity can lead to enhanced cell proliferation and survival. Moreover inflammation-related disorders can arise from malfunctioning TAK1 signaling demonstrating its connection to proteins like TNF receptor-associated factors which are involved in inflammatory responses. Understanding TAK1's role in these disorders may pave the way for developing potential therapeutic interventions.

Product protocols

For this product, it's our understanding that no specific protocols are required. You can visit:

Target data

Serine/threonine kinase which acts as an essential component of the MAP kinase signal transduction pathway (PubMed : 10094049, PubMed : 11460167, PubMed : 12589052, PubMed : 16845370, PubMed : 16893890, PubMed : 21512573, PubMed : 8663074, PubMed : 9079627). Plays an important role in the cascades of cellular responses evoked by changes in the environment (PubMed : 10094049, PubMed : 11460167, PubMed : 12589052, PubMed : 16845370, PubMed : 16893890, PubMed : 21512573, PubMed : 8663074, PubMed : 9079627). Mediates signal transduction of TRAF6, various cytokines including interleukin-1 (IL-1), transforming growth factor-beta (TGFB), TGFB-related factors like BMP2 and BMP4, toll-like receptors (TLR), tumor necrosis factor receptor CD40 and B-cell receptor (BCR) (PubMed : 16893890, PubMed : 9079627). Once activated, acts as an upstream activator of the MKK/JNK signal transduction cascade and the p38 MAPK signal transduction cascade through the phosphorylation and activation of several MAP kinase kinases like MAP2K1/MEK1, MAP2K3/MKK3, MAP2K6/MKK6 and MAP2K7/MKK7 (PubMed : 11460167, PubMed : 8663074). These MAP2Ks in turn activate p38 MAPKs and c-jun N-terminal kinases (JNKs); both p38 MAPK and JNK pathways control the transcription factors activator protein-1 (AP-1) (PubMed : 11460167, PubMed : 12589052, PubMed : 8663074). Independently of MAP2Ks and p38 MAPKs, acts as a key activator of NF-kappa-B by promoting activation of the I-kappa-B-kinase (IKK) core complex (PubMed : 12589052, PubMed : 8663074). Mechanistically, recruited to polyubiquitin chains of RIPK2 and IKBKG/NEMO via TAB2/MAP3K7IP2 and TAB3/MAP3K7IP3, and catalyzes phosphorylation and activation of IKBKB/IKKB component of the IKK complex, leading to NF-kappa-B activation (PubMed : 10094049, PubMed : 11460167). In osmotic stress signaling, plays a major role in the activation of MAPK8/JNK1, but not that of NF-kappa-B (PubMed : 16893890). Promotes TRIM5 capsid-specific restriction activity (PubMed : 21512573). Phosphorylates RIPK1 at 'Ser-321' which positively regulates RIPK1 interaction with RIPK3 to promote necroptosis but negatively regulates RIPK1 kinase activity and its interaction with FADD to mediate apoptosis (By similarity). Phosphorylates STING1 in response to cGAMP-activation, promoting association between STEEP1 and STING1 and STING1 translocation to COPII vesicles (PubMed : 37832545).
See full target information MAP3K7

Publications (2)

Recent publications for all applications. Explore the full list and refine your search

Scientific reports 6:34497 PubMed27682596

2016

Inhibition of transforming growth factor β-activated kinase 1 prevents inflammation-related cartilage degradation in osteoarthritis.

Applications

IHC-P

Species

Unspecified reactive species

Jin Cheng,Xiaoqing Hu,Linghui Dai,Xin Zhang,Bo Ren,Weili Shi,Zhenlong Liu,Xiaoning Duan,Jiying Zhang,Xin Fu,Wenqing Chen,Yingfang Ao

Journal of immunology (Baltimore, Md. : 1950) 192:2846-56 PubMed24534530

2014

Phosphatase holoenzyme PP1/GADD34 negatively regulates TLR response by inhibiting TAK1 serine 412 phosphorylation.

Applications

Unspecified application

Species

Unspecified reactive species

Meidi Gu,Chuan Ouyang,Wenlong Lin,Ting Zhang,Xuetao Cao,Zongping Xia,Xiaojian Wang
View all publications

Product promise

We are committed to supporting your work with high-quality reagents, and we're here for you every step of the way. In the unlikely event that one of our products does not perform as expected, you're protected by our Product Promise.
For full details, please see our Terms & Conditions

Please note: All products are 'FOR RESEARCH USE ONLY. NOT FOR USE IN DIAGNOSTIC OR THERAPEUTIC PROCEDURES'.

For licensing inquiries, please contact partnerships@abcam.com