JavaScript is disabled in your browser. Please enable JavaScript to view this website.
AB108480

Anti-Talin 1 antibody [97H6]

5

(1 Review)

|

(14 Publications)

Mouse Recombinant Monoclonal Talin 1 antibody. Suitable for IP, WB, IHC-P and reacts with Mouse, Rat, Human samples. Cited in 14 publications.

View Alternative Names

Tln, Tln1, Talin-1

3 Images
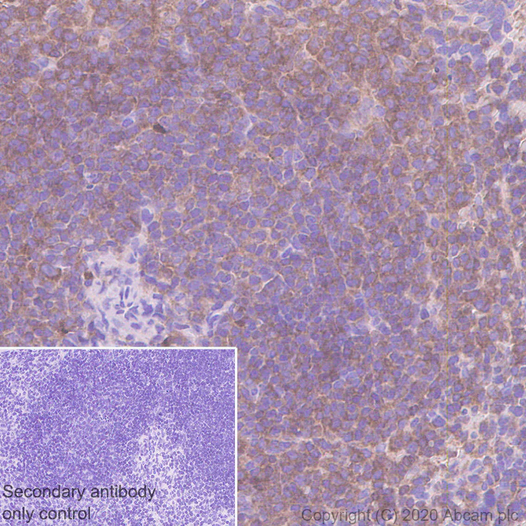
Immunohistochemistry (Formalin/PFA-fixed paraffin-embedded sections) - Anti-Talin 1 antibody [97H6] (AB108480)
  • IHC-P

Unknown

Immunohistochemistry (Formalin/PFA-fixed paraffin-embedded sections) - Anti-Talin 1 antibody [97H6] (AB108480)

Immunohistochemical analysis of paraffin-embedded mouse spleen tissue labeling Talin 1 with ab108480 at 1/5000 dilution (0.241μg/ml) followed by ready to use Goat Anti-mouse IgG H&L (HRP polymer) (ab214879). Cytoplasmic staining on mouse spleen. The section was incubated with ab108480 for 30 mins at room temperature. The immunostaining was performed on a Leica Biosystems BOND® RX instrument. Counterstained with Hematoxylin.

Secondary antibody only control : Secondary antibody is a ready to use Goat Anti-mouse IgG H&L (HRP polymer) (ab214879).

Heat mediated antigen retrieval with Tris-EDTA buffer (pH 9.0, epitope retrieval solution2) for 20 mins.

Immunoprecipitation - Anti-Talin 1 antibody [97H6] (AB108480)
  • IP

Unknown

Immunoprecipitation - Anti-Talin 1 antibody [97H6] (AB108480)

Talin 1 was immunoprecipitated from NIH/3T3 (mouse embryonic fibroblast), whole cell lysate with ab108480 at 1/30 dilution (2μg in 0.35mg lysates) (16.033 μg/ml). Western blot was performed on the immunoprecipitate using ab108480 at 1/1000 dilution (0.481μg/ml). Mouse IgG for IP (HRP) (ab131368) was used at 1/1000 dilution.

Lane 1 : NIH/3T3 whole cell lysate 10μg.

Lane 2 : ab108480 IP in NIH/3T3 whole cell lysate.

Lane 3 : Mouse monoclonal IgG1 (ab18443) instead of ab108480 in NIH/3T3 whole cell lysate.

Blocking and dilution buffer and concentration : 5% NFDM/TBST.

Exposure time : 3 seconds.

All lanes:

Immunoprecipitation - Anti-Talin 1 antibody [97H6] (ab108480)

Predicted band size: 269 kDa

false

Western blot - Anti-Talin 1 antibody [97H6] (AB108480)
  • WB

Lab

Western blot - Anti-Talin 1 antibody [97H6] (AB108480)

The expression profile/molecular weight observed is consistent with what has been described in the literature (PMID : 22306379 and 25751747).

Blocking/Dilution buffer : 5% NFDM/TBST.

All lanes:

Western blot - Anti-Talin 1 antibody [97H6] (ab108480) at 0.481 µg/mL

Lane 1:

HUVEC (human umbilical vein endothelial cell), whole cell lysate at 10 µg

Lane 2:

HeLa (human cervix adenocarcinoma epithelial cell), whole cell lysate at 10 µg

Lane 3:

HepG2 (human hepatocellular carcinoma epithelial cell), whole cell lysate at 10 µg

Lane 4:

C6 (rat glial tumor glial cell), whole cell lysate at 10 µg

Lane 5:

NIH/3T3 (mouse embryonic fibroblast), whole cell lysate at 10 µg

Lane 6:

MEF (mouse embryonic fibroblast (immortalized)), whole cell lysate at 10 µg

Secondary

All lanes:

Peroxidase-Conjugated Goat anti-Mouse IgG (H+L) at 1/5000 dilution

Predicted band size: 269 kDa

false

Exposure time: 3s

  • Carrier free

    Anti-Talin 1 antibody [97H6] - BSA and Azide free

Key facts

Host species

Mouse

Clonality

Monoclonal

Clone number

97H6

Isotype

IgG1

Carrier free

No

Reacts with

Mouse, Rat, Human

Applications

IP, WB, IHC-P

applications

Immunogen

The exact immunogen used to generate this antibody is proprietary information.

Reactivity data

{ "title": "Reactivity Data", "filters": { "stats": ["", "Species", "Dilution Info", "Notes"], "tabs": { "all-applications": {"fullname" : "All Applications", "shortname": "All Applications"}, "IP" : {"fullname" : "Immunoprecipitation", "shortname":"IP"}, "WB" : {"fullname" : "Western blot", "shortname":"WB"}, "IHCP" : {"fullname" : "Immunohistochemistry (Formalin/PFA-fixed paraffin-embedded sections)", "shortname":"IHC-P"} }, "product-promise": { "all": "all", "testedAndGuaranteed": "tested", "guaranteed": "expected", "predicted": "predicted", "notRecommended": "not-recommended" } }, "values": { "Human": { "IP-species-checked": "guaranteed", "IP-species-dilution-info": "", "IP-species-notes": "", "WB-species-checked": "testedAndGuaranteed", "WB-species-dilution-info": "0.481 µg/mL", "WB-species-notes": "<p></p>", "IHCP-species-checked": "notRecommended", "IHCP-species-dilution-info": "1/0.241", "IHCP-species-notes": "<p></p>" }, "Mouse": { "IP-species-checked": "testedAndGuaranteed", "IP-species-dilution-info": "16.033 µg/mL", "IP-species-notes": "<p></p>", "WB-species-checked": "testedAndGuaranteed", "WB-species-dilution-info": "0.481 µg/mL", "WB-species-notes": "<p></p>", "IHCP-species-checked": "testedAndGuaranteed", "IHCP-species-dilution-info": "0.241 µg/mL", "IHCP-species-notes": "<p></p>" }, "Rat": { "IP-species-checked": "guaranteed", "IP-species-dilution-info": "", "IP-species-notes": "", "WB-species-checked": "testedAndGuaranteed", "WB-species-dilution-info": "0.481 µg/mL", "WB-species-notes": "<p></p>", "IHCP-species-checked": "notRecommended", "IHCP-species-dilution-info": "1/0.241", "IHCP-species-notes": "<p></p>" } } }

Product details

What are the advantages of a recombinant monoclonal antibody?
This product is a recombinant monoclonal antibody, which offers several advantages including:

  • - High batch-to-batch consistency and reproducibility
  • - Improved sensitivity and specificity
  • - Long-term security of supply
  • - Animal-free batch production

For more information, read more on recombinant antibodies.

Want a custom formulation?
This antibody clone is manufactured by Abcam. If you require a custom buffer formulation or conjugation for your experiments, please contact orders@abcam.com

Properties and storage information

Form
Liquid
Purification technique
Affinity purification Protein A
Storage buffer
pH: 7.2 - 7.4 Preservative: 0.01% Sodium azide Constituents: PBS, 40% Glycerol (glycerin, glycerine), 0.05% BSA
Shipped at conditions
Blue Ice
Appropriate short-term storage duration
1-2 weeks
Appropriate short-term storage conditions
+4°C
Appropriate long-term storage conditions
-20°C
Aliquoting information
Upon delivery aliquot
Storage information
Avoid freeze / thaw cycle

Supplementary information

This supplementary information is collated from multiple sources and compiled automatically.

Talin 1 (TLN1) is a cytoskeletal protein that mechanically links integrins to actin filaments in cells. It has a molecular weight of 270 kDa and is expressed in many tissues including muscle brain and kidney. Talin 1 contains a head domain and a tail domain which bind to integrins and actin respectively. By establishing these connections Talin 1 plays a role in cell adhesion spreading and migration. This protein also interacts with other adhesion-associated proteins reinforcing its structural function inside cells.
Biological function summary

Talin 1 is involved in facilitating integrin activation and focal adhesion formation. It is a component of a larger complex that includes proteins like vinculin and paxillin. These complexes are responsible for transmitting mechanical signals from the extracellular matrix into the intracellular environment initiating cellular responses like growth and differentiation. Talin 1 also modulates actin dynamics which contributes to changes in cell shape and motility. Its role in these processes highlights its significance in maintaining cellular architecture.

Pathways

Talin 1 participates in the integrin-mediated signaling pathway and the Rho GTPase signaling pathway. In the integrin pathway Talin 1 interacts with integrin beta subunits leading to integrin clustering and increased focal adhesion strength. In the Rho GTPase pathway Talin 1 influences actin cytoskeleton rearrangements through its interactions with proteins like RhoA and Rac1. These pathways are critical for processes such as cell proliferation and migration which are essential for proper tissue function and development.

Talin 1 has an association with cancer and cardiovascular diseases. Changes in Talin 1 expression and localization can contribute to altered cell adhesion and motility promoting cancer cell invasion and metastasis. Talin 1 has a relationship with the protein FAK (Focal Adhesion Kinase) in cancer progression. In cardiovascular diseases Talin 1 dysregulation affects cardiomyocyte adhesion and survival and it interacts with proteins such as vinculin to sustain cardiac tissue integrity. These connections highlight Talin 1's role in disease pathology.

Product protocols

For this product, it's our understanding that no specific protocols are required. You can visit:

Target data

High molecular weight cytoskeletal protein concentrated at regions of cell-matrix and cell-cell contacts. Involved in connections of major cytoskeletal structures to the plasma membrane. With KANK1 co-organize the assembly of cortical microtubule stabilizing complexes (CMSCs) positioned to control microtubule-actin crosstalk at focal adhesions (FAs) rims.
See full target information Tln1

Publications (14)

Recent publications for all applications. Explore the full list and refine your search

Nature communications 16:6870 PubMed40715114

2025

Mammalian cells measure the extracellular matrix area and respond through switching the adhesion state.

Applications

Unspecified application

Species

Unspecified reactive species

Xiaole Wang,Pengli Wang,Lihang Zhang,Tianyu Xu,Seungkuk Ahn,Upnishad Sharma,Han Yu,Nico Strohmeyer,Daniel J Müller

Cells 14: PubMed40558522

2025

Deficiency Aggravates Adriamycin-Induced Nephropathy Accompanied by Focal Adhesion Disassembly and Stress Fiber Disorganization.

Applications

Unspecified application

Species

Unspecified reactive species

Li-Nan Xu,Ying-Ying Sun,Yan-Feng Tan,Xin-Yue Zhou,Tian-Chao Xiang,Ye Fang,Fei Li,Qian Shen,Hong Xu,Jia Rao

Nature communications 16:4877 PubMed40419525

2025

Provoking tumor disulfidptosis by single-atom nanozyme via regulating cellular energy supply and reducing power.

Applications

Unspecified application

Species

Unspecified reactive species

Wenxin Yu,Duo Jin,Yajie Zhang,Shenghu Wang,Jiaji Yu,Manman Liu,Yi Dai,Yichen Yin,Junjie Cheng,Yangzhong Liu

Respiratory research 25:365 PubMed39385167

2024

Exploring the diagnostic and immune infiltration roles of disulfidptosis related genes in pulmonary hypertension.

Applications

Unspecified application

Species

Unspecified reactive species

Xin Tan,Ningning Zhang,Ge Zhang,Shuai Xu,Yiyao Zeng,Fenlan Bian,Bi Tang,Hongju Wang,Jili Fan,Xiaohong Bo,Yangjun Fu,Huimin Fan,Yafeng Zhou,Pinfang Kang

Frontiers in physiology 14:1218924 PubMed37637147

2023

The effect of cyclic stretch on aortic viscoelasticity and the putative role of smooth muscle focal adhesion.

Applications

Unspecified application

Species

Unspecified reactive species

Cédric H G Neutel,Callan D Wesley,Guido R Y De Meyer,Wim Martinet,Pieter-Jan Guns

Cellular & molecular biology letters 28:62 PubMed37525118

2023

Peptidase inhibitor (PI16) impairs bladder cancer metastasis by inhibiting NF-κB activation via disrupting multiple-site ubiquitination of NEMO.

Applications

Unspecified application

Species

Unspecified reactive species

Xiangqin Kuang,Zhuojun Zhang,Difeng Li,Wenhao Bao,Jinyuan Pan,Ping Zhou,Han Chen,Zhiqing Gao,Xiaoyi Xie,Chunxiao Yang,Ge Zhu,Zhongqiu Zhou,Ruiming Tang,Zhengfu Feng,Lihuan Zhou,Xiaoli Feng,Lan Wang,Jianan Yang,Lili Jiang

Theranostics 13:59-76 PubMed36593959

2023

Stiff matrix induced srGAP2 tension gradients control migration direction in triple-negative breast cancer.

Applications

Unspecified application

Species

Unspecified reactive species

Chen Li,Zihui Zheng,Xiang Wu,Qiu Xie,Ping Liu,Yunfeng Hu,Mei Chen,Liming Liu,Wangxing Zhao,Linlin Chen,Jun Guo,Ying Song

Bone research 10:58 PubMed36031625

2022

Endothelial PDGF-BB/PDGFR-β signaling promotes osteoarthritis by enhancing angiogenesis-dependent abnormal subchondral bone formation.

Applications

Unspecified application

Species

Unspecified reactive species

Zhuang Cui,Hangtian Wu,Ye Xiao,Ting Xu,Junjie Jia,Hancheng Lin,Rongmin Lin,Kun Chen,Yihuang Lin,Kaiqun Li,Xiaohu Wu,Changjun Li,Bin Yu

Asian Pacific journal of cancer prevention : APJCP 15:2655-61 PubMed24761880

2014

Talin-1 correlates with reduced invasion and migration in human hepatocellular carcinoma cells.

Applications

Unspecified application

Species

Unspecified reactive species

Kun-Peng Fang,Jian-Lin Zhang,Yan-Hong Ren,Ye-Ben Qian

Biochemical and biophysical research communication 426:190-5 PubMed22925892

2012

Mice carrying a complete deletion of the talin2 coding sequence are viable and fertile.

Applications

Unspecified application

Species

Unspecified reactive species

Emmanuel Debrand,Francesco J Conti,Neil Bate,Lorraine Spence,Daniela Mazzeo,Catrin A Pritchard,Susan J Monkley,David R Critchley
View all publications

Product promise

We are committed to supporting your work with high-quality reagents, and we're here for you every step of the way. In the unlikely event that one of our products does not perform as expected, you're protected by our Product Promise.
For full details, please see our Terms & Conditions

Please note: All products are 'FOR RESEARCH USE ONLY. NOT FOR USE IN DIAGNOSTIC OR THERAPEUTIC PROCEDURES'.

For licensing inquiries, please contact partnerships@abcam.com