JavaScript is disabled in your browser. Please enable JavaScript to view this website.
AB234652

Anti-TALK1 antibody

Be the first to review this product! Submit a review

|

(1 Publication)

Rabbit Polyclonal TALK1 antibody. Suitable for IHC-P and reacts with Human samples. Cited in 1 publication. Immunogen corresponding to Recombinant Fragment Protein within Human KCNK16 aa 250 to C-terminus.

View Alternative Names

TALK1, KCNK16, Potassium channel subfamily K member 16, 2P domain potassium channel Talk-1, TWIK-related alkaline pH-activated K(+) channel 1, TALK-1

2 Images
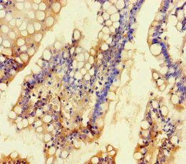
Immunohistochemistry (Formalin/PFA-fixed paraffin-embedded sections) - Anti-TALK1 antibody (AB234652)
  • IHC-P

Supplier Data

Immunohistochemistry (Formalin/PFA-fixed paraffin-embedded sections) - Anti-TALK1 antibody (AB234652)

Paraffin-embedded human small intestine tissue stained for TALK1 using ab234652 at 1/100 dilution in immunohistochemical analysis.

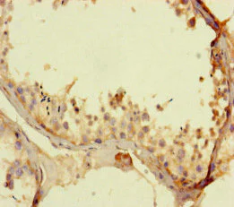
Immunohistochemistry (Formalin/PFA-fixed paraffin-embedded sections) - Anti-TALK1 antibody (AB234652)
  • IHC-P

Supplier Data

Immunohistochemistry (Formalin/PFA-fixed paraffin-embedded sections) - Anti-TALK1 antibody (AB234652)

Paraffin-embedded human testis tissue stained for TALK1 using ab234652 at 1/100 dilution in immunohistochemical analysis.

Key facts

Host species

Rabbit

Clonality

Polyclonal

Isotype

IgG

Carrier free

No

Reacts with

Human

Applications

IHC-P

applications

Immunogen

Recombinant Fragment Protein within Human KCNK16 aa 250 to C-terminus. The exact immunogen used to generate this antibody is proprietary information.

Q96T55

Reactivity data

{ "title": "Reactivity Data", "filters": { "stats": ["", "Species", "Dilution Info", "Notes"], "tabs": { "all-applications": {"fullname" : "All Applications", "shortname": "All Applications"}, "IHCP" : {"fullname" : "Immunohistochemistry (Formalin/PFA-fixed paraffin-embedded sections)", "shortname":"IHC-P"} }, "product-promise": { "all": "all", "testedAndGuaranteed": "tested", "guaranteed": "expected", "predicted": "predicted", "notRecommended": "not-recommended" } }, "values": { "Human": { "IHCP-species-checked": "testedAndGuaranteed", "IHCP-species-dilution-info": "1/20 - 1/200", "IHCP-species-notes": "<p></p>" } } }

Properties and storage information

Form
Liquid
Purification technique
Affinity purification Protein G
Purification notes
Purity >95%.
Storage buffer
pH: 7.4 Preservative: 0.03% Proclin 300 Constituents: PBS, 50% Glycerol (glycerin, glycerine)
Shipped at conditions
Blue Ice
Appropriate short-term storage duration
1-2 weeks
Appropriate short-term storage conditions
+4°C
Appropriate long-term storage conditions
-20°C
Aliquoting information
Upon delivery aliquot
Storage information
Avoid freeze / thaw cycle

Supplementary information

This supplementary information is collated from multiple sources and compiled automatically.

Tandem of P domains in a weak inwardly rectifying K+ channel 1 also known as TALK1 is a potassium channel that selectively allows the transport of K+ ions across cell membranes. TALK1 belongs to the family of two-pore domain potassium (K2P) channels and has an approximate molecular mass of 49 kilodaltons. It is highly expressed in the pancreas and other tissues such as the kidney and testis. TALK1 is not a voltage-gated channel; rather its activity is influenced by changes in extracellular pH being activated by alkaline pH.
Biological function summary

TALK1 regulates several cellular processes by maintaining the resting membrane potential and controlling cell excitability. It does not directly form part of a larger protein complex but has been shown to interact with other proteins to modulate its channel activity. In pancreatic β-cells TALK1 contributes to the regulation of insulin secretion by affecting membrane potentials and calcium ion influx. Through controlling these electrical signals TALK1 plays an important role in hormone secretion and cellular homeostasis.

Pathways

Several important signaling mechanisms see the involvement of TALK1 particularly in the beta-cell electrical activity and insulin release pathways. It interacts in these pathways with calcium channels influencing cellular responses to glucose and thereby affecting insulin output. TALK1's modulation of membrane potential also connects it to pathways involved with metabolic regulation. This role highlights the interaction between TALK1 and other ion channels such as those for Na+ and Ca2+ to facilitate necessary cellular functions.

The dysfunction of TALK1 has associations with type 2 diabetes mellitus and certain cardiovascular conditions. In pancreatic β-cells improper TALK1 function can disrupt insulin secretion linking it to the pathophysiology of type 2 diabetes. Communications between TALK1 and the voltage-gated calcium channels further exacerbate these conditions by impacting calcium-mediated processes critical for proper cell functioning. Understanding TALK1's role in these diseases can guide therapeutic targeting efforts to manage or alleviate their symptoms.

Product protocols

For this product, it's our understanding that no specific protocols are required. You can visit:

Target data

K(+) channel that conducts voltage-dependent outward rectifying currents upon membrane depolarization. Voltage sensing is coupled to K(+) electrochemical gradient in an 'ion flux gating' mode where outward but not inward ion flow opens the gate (PubMed : 11263999, PubMed : 12724142, PubMed : 14985088, PubMed : 26919430, PubMed : 28928238, PubMed : 34032641, PubMed : 36063992). Homo- and heterodimerizes to form functional channels with distinct regulatory and gating properties (PubMed : 36063992). In pancreatic islets, conducts K(+) countercurrents for Ca(2+) release from the endoplasmic reticulum (ER) and regulates the frequency and duration of cytosolic Ca(2+) oscillations coupled to secretion of pancreatic hormones (PubMed : 26239056, PubMed : 28928238, PubMed : 29402588, PubMed : 34032641). In pancreatic beta cells, drives ER Ca(2+) efflux, which in turn activates Ca(2+)-dependent plasma membrane K(+) slow currents and cytosolic Ca(2+) influx, overall contributing to synchronous cytosolic Ca(2+) oscillations. Limits glucose-induced cytosolic Ca(2+) oscillations coupled to second-phase INS secretion (PubMed : 26239056, PubMed : 28928238, PubMed : 34032641). Contributes to beta cell adaptation to acute inflammation by maintaining normal cytosolic Ca(2+) levels and INS secretion (By similarity). May regulate beta cell mitochondrial Ca(2+) levels either indirectly via ER Ca(2+) efflux or directly by hyperpolarizing the mitochondrial membrane potential. Limits mitochondrial Ca(2+) oscillations and ATP production involved in glucose homeostasis upon metabolic stress (By similarity). In pancreatic delta cells, limits Ca(2+)-induced Ca(2+)-release involved in somatostatin secretion and modulates islet paracrine signaling involved in glucagon secretion (PubMed : 29402588). Permeable to other monovalent cations such as Rb(+) and Cs(+) (By similarity) (PubMed : 26919430).
See full target information KCNK16

Publications (1)

Recent publications for all applications. Explore the full list and refine your search

Journal of biochemical and molecular toxicology 38:e23577 PubMed37934488

2023

Silencing of GDF11 suppresses hepatocyte apoptosis to relieve LPS/D-GalN acute liver failure.

Applications

Unspecified application

Species

Unspecified reactive species

Rongsheng Zhou,Shuang Li,Qun Wang,Yang Bi,Xiaogang Li,Qiang Wang
View all publications

Product promise

We are committed to supporting your work with high-quality reagents, and we're here for you every step of the way. In the unlikely event that one of our products does not perform as expected, you're protected by our Product Promise.
For full details, please see our Terms & Conditions

Please note: All products are 'FOR RESEARCH USE ONLY. NOT FOR USE IN DIAGNOSTIC OR THERAPEUTIC PROCEDURES'.

For licensing inquiries, please contact partnerships@abcam.com