JavaScript is disabled in your browser. Please enable JavaScript to view this website.
AB324738

Anti-Tankyrase 1/2 antibody [EPR29643-577]

Be the first to review this product! Submit a review

|

(0 Publication)

Rabbit Recombinant Monoclonal Tankyrase 2/TNKS2 antibody. Suitable for I-ELISA, WB and reacts with Recombinant full length protein - Human, Human, Mouse samples.

View Alternative Names

PARP5B, TANK2, TNKL, TNKS2, Poly [ADP-ribose] polymerase tankyrase-2, ADP-ribosyltransferase diphtheria toxin-like 6, Poly [ADP-ribose] polymerase 5B, Protein poly-ADP-ribosyltransferase tankyrase-2, TNKS-2, TRF1-interacting ankyrin-related ADP-ribose polymerase 2, Tankyrase II, Tankyrase-2, Tankyrase-like protein, Tankyrase-related protein, ARTD6

3 Images
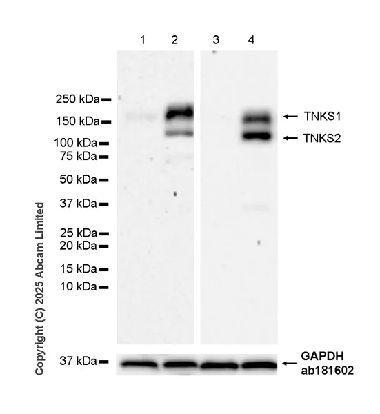
Western blot - Anti-Tankyrase 1/2 antibody [EPR29643-577] (AB324738)
  • WB

Supplier Data

Western blot - Anti-Tankyrase 1/2 antibody [EPR29643-577] (AB324738)

Blocking and diluting buffer and concentration : 5% NFDM/TBST.

Low expression : lung (PMID : 11454873).

The identity of the band lower than 50 kDa is unknown.

In Western blot, Anti-GAPDH antibody [EPR16891] - Loading Control (ab181602) staining at 1/200000 dilution.

Exposure time : Lane 1, 2 : 147seconds Lane 3, 4 : 48 seconds

All lanes:

Western blot - Anti-Tankyrase 1/2 antibody [EPR29643-577] (ab324738) at 1/1000 dilution

Lane 1:

Human cerebellum tissue lysate at 20 µg

Lane 2:

Human lung tissue lysate at 20 µg

Lane 3:

Mouse cerebellum tissue lysate at 20 µg

Lane 4:

Mouse lung tissue lysate at 20 µg

Secondary

All lanes:

Western blot - Goat Anti-Rabbit IgG H&L (HRP) (<a href='/en-us/products/secondary-antibodies/goat-rabbit-igg-h-l-hrp-ab97051'>ab97051</a>) at 1/100000 dilution

Observed band size: 126 kDa,36 kDa

false

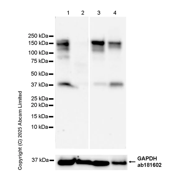
Western blot - Anti-Tankyrase 1/2 antibody [EPR29643-577] (AB324738)
  • WB

Supplier Data

Western blot - Anti-Tankyrase 1/2 antibody [EPR29643-577] (AB324738)

Blocking and diluting buffer and concentration : 5% NFDM/TBST.

The expression profile/ molecular weight observed is consistent with what has been described in the literature (PMID : 24419084).

In Western blot, Anti-GAPDH antibody [EPR16891] - Loading Control (ab181602) staining at 1/200000 dilution.

Exposure time : Lane 1, 2 : 180 seconds Lane 3, 4 : 70 seconds

All lanes:

Western blot - Anti-Tankyrase 1/2 antibody [EPR29643-577] (ab324738) at 1/1000 dilution

Lane 1:

Untreated SW480 (human colorectal adenocarcinoma epithelial cell) whole cell lysate at 20 µg

Lane 2:

SW480 treated with 10uM XAV939 for 24 hours whole cell lysate at 20 µg

Lane 3:

Untreated NIH/3T3 (mouse embryonic fibroblast) whole cell lysate at 20 µg

Lane 4:

NIH/3T3 treated with 10uM XAV939 for 24 hours whole cell lysate at 20 µg

Secondary

All lanes:

Western blot - Goat Anti-Rabbit IgG H&L (HRP) (<a href='/en-us/products/secondary-antibodies/goat-rabbit-igg-h-l-hrp-ab97051'>ab97051</a>) at 1/100000 dilution

Observed band size: 126 kDa,36 kDa

false

Indirect ELISA - Anti-Tankyrase 1/2 antibody [EPR29643-577] (AB324738)
  • I-ELISA

Supplier Data

Indirect ELISA - Anti-Tankyrase 1/2 antibody [EPR29643-577] (AB324738)

Indirect ELISA analysis of ab324738 at 1000-0 ng/ml. The Secondary antibody used was Peroxidase AffiniPure Goat Anti-Rabbit IgG, Fc fragment specific at 1 : 20000 dilution dilution.

Antigen : Human TNKS2, Human TNKS1.

Antigen concentration : 1000 ng/ml

Key facts

Host species

Rabbit

Clonality

Monoclonal

Clone number

EPR29643-577

Isotype

IgG

Carrier free

No

Reacts with

Human, Mouse

Applications

WB, I-ELISA

applications

Immunogen

The exact immunogen used to generate this antibody is proprietary information.

Reactivity data

{ "title": "Reactivity Data", "filters": { "stats": ["", "Species", "Dilution Info", "Notes"], "tabs": { "all-applications": {"fullname" : "All Applications", "shortname": "All Applications"}, "IELISA" : {"fullname" : "Indirect ELISA", "shortname":"I-ELISA"}, "WB" : {"fullname" : "Western blot", "shortname":"WB"}, "ICCIF" : {"fullname" : "Immunocytochemistry/ Immunofluorescence", "shortname":"ICC/IF"}, "IHCP" : {"fullname" : "Immunohistochemistry (Formalin/PFA-fixed paraffin-embedded sections)", "shortname":"IHC-P"} }, "product-promise": { "all": "all", "testedAndGuaranteed": "tested", "guaranteed": "expected", "predicted": "predicted", "notRecommended": "not-recommended" } }, "values": { "Human": { "IELISA-species-checked": "guaranteed", "IELISA-species-dilution-info": "", "IELISA-species-notes": "", "WB-species-checked": "testedAndGuaranteed", "WB-species-dilution-info": "1/1000", "WB-species-notes": "<p></p>", "ICCIF-species-checked": "notRecommended", "ICCIF-species-dilution-info": "", "ICCIF-species-notes": "<p></p>", "IHCP-species-checked": "notRecommended", "IHCP-species-dilution-info": "", "IHCP-species-notes": "<p></p>" }, "Mouse": { "IELISA-species-checked": "guaranteed", "IELISA-species-dilution-info": "", "IELISA-species-notes": "", "WB-species-checked": "testedAndGuaranteed", "WB-species-dilution-info": "1/1000", "WB-species-notes": "<p></p>", "ICCIF-species-checked": "notRecommended", "ICCIF-species-dilution-info": "", "ICCIF-species-notes": "<p></p>", "IHCP-species-checked": "notRecommended", "IHCP-species-dilution-info": "", "IHCP-species-notes": "<p></p>" }, "Recombinant full length protein - Human": { "IELISA-species-checked": "testedAndGuaranteed", "IELISA-species-dilution-info": "62.5 ng/mL", "IELISA-species-notes": "<p></p>", "WB-species-checked": "notRecommended", "WB-species-dilution-info": "", "WB-species-notes": "", "ICCIF-species-checked": "notRecommended", "ICCIF-species-dilution-info": "", "ICCIF-species-notes": "", "IHCP-species-checked": "notRecommended", "IHCP-species-dilution-info": "", "IHCP-species-notes": "" } } }

Product details

Patented technology
Our RabMAb® technology is a patented hybridoma-based technology for making rabbit monoclonal antibodies. For details on our patents, please refer to RabMAb® patents.

What are the advantages of a recombinant monoclonal antibody?
This product is a recombinant monoclonal antibody, which offers several advantages including:

  • - High batch-to-batch consistency and reproducibility
  • - Improved sensitivity and specificity
  • - Long-term security of supply
  • - Animal-free batch production

For more information, read more on recombinant antibodies.

Properties and storage information

Form
Liquid
Purification technique
Affinity purification Protein A
Storage buffer
pH: 7.2 - 7.4 Preservative: 0.01% Sodium azide Constituents: PBS, 40% Glycerol (glycerin, glycerine), 0.05% BSA
Shipped at conditions
Blue Ice
Appropriate short-term storage duration
1-2 weeks
Appropriate short-term storage conditions
+4°C
Appropriate long-term storage conditions
-20°C
Aliquoting information
Upon delivery aliquot
Storage information
Avoid freeze / thaw cycle

Product protocols

For this product, it's our understanding that no specific protocols are required. You can visit:

Target data

Poly-ADP-ribosyltransferase involved in various processes such as Wnt signaling pathway, telomere length and vesicle trafficking (PubMed : 11739745, PubMed : 11802774, PubMed : 19759537, PubMed : 21478859, PubMed : 23622245, PubMed : 25043379). Acts as an activator of the Wnt signaling pathway by mediating poly-ADP-ribosylation of AXIN1 and AXIN2, 2 key components of the beta-catenin destruction complex : poly-ADP-ribosylated target proteins are recognized by RNF146, which mediates their ubiquitination and subsequent degradation (PubMed : 19759537, PubMed : 21478859). Also mediates poly-ADP-ribosylation of BLZF1 and CASC3, followed by recruitment of RNF146 and subsequent ubiquitination (PubMed : 21478859). Mediates poly-ADP-ribosylation of TERF1, thereby contributing to the regulation of telomere length (PubMed : 11739745). Stimulates 26S proteasome activity (PubMed : 23622245).
See full target information TNKS2

Product promise

We are committed to supporting your work with high-quality reagents, and we're here for you every step of the way. In the unlikely event that one of our products does not perform as expected, you're protected by our Product Promise.
For full details, please see our Terms & Conditions

Please note: All products are 'FOR RESEARCH USE ONLY. NOT FOR USE IN DIAGNOSTIC OR THERAPEUTIC PROCEDURES'.

For licensing inquiries, please contact partnerships@abcam.com