JavaScript is disabled in your browser. Please enable JavaScript to view this website.
AB325603

Anti-TAOK2 antibody [EPR30549-532]

  • RabMAb
  • Recombinant
  • 20ul selling size
  • KO Validated
  • What is this?

Be the first to review this product! Submit a review

|

(0 Publication)

Rabbit Recombinant Monoclonal TAOK2 antibody. Suitable for ICC/IF, WB and reacts with Human, Mouse samples.

View Alternative Names

KIAA0881, MAP3K17, PSK, PSK1, UNQ2971/PRO7431, TAOK2, Serine/threonine-protein kinase TAO2, Kinase from chicken homolog C, Prostate-derived sterile 20-like kinase 1, Thousand and one amino acid protein kinase 2, hKFC-C, PSK-1, Prostate-derived STE20-like kinase 1

5 Images
Immunocytochemistry/ Immunofluorescence - Anti-TAOK2 antibody [EPR30549-532] (AB325603)
  • ICC/IF

Lab

Immunocytochemistry/ Immunofluorescence - Anti-TAOK2 antibody [EPR30549-532] (AB325603)

Immunofluorescent analysis of 4% Paraformaldehyde-fixed, 0.1% TritonX-100 permeabilized wildtype HEK-293T(human embryonic kidney epithelial cell), ab255449;TAOK2 KO HEK-293T(TAOK2 knockout HEK-293T), ab266382; cells labelling TAOK2 with ab325603 at 1/500 (1.02 μg/ml) dilution , followed by ab150081 Goat Anti-Rabbit IgG H&L (Alexa Fluor® 488) preadsorbed antibody at 1/1000 dilution (Green).

Confocal image showing cytoplasmic staining in wildtype HEK-293T cells (shown in green), showing no staining in TAOK2 knockout HEK-293T cells. The counterstain was observed in magenta. Nuclear DNA was labelled with DAPI (shown in blue). Image was taken with a confocal microscope (Leica-Microsystems, TCS SP8).

ab7291 Anti-alpha Tubulin mouse monoclonal antibody was used to counterstain tubulin at 1/1000 dilution (Magenta). The Nuclear counterstain was DAPI (Blue).

Secondary antibody only control : Secondary antibody is ab150081 Goat Anti-Rabbit IgG H&L (Alexa Fluor® 488) preadsorbed at 1/1000 dilution.

Immunocytochemistry/ Immunofluorescence - Anti-TAOK2 antibody [EPR30549-532] (AB325603)
  • ICC/IF

Lab

Immunocytochemistry/ Immunofluorescence - Anti-TAOK2 antibody [EPR30549-532] (AB325603)

Immunofluorescent analysis of 4% Paraformaldehyde-fixed, 0.1% TritonX-100 permeabilized mouse splenocyte cells labelling TAOK2 with ab325603 at 1/2000 (0.255 μg/ml) dilution , followed by ab150081 Goat Anti-Rabbit IgG H&L (Alexa Fluor® 488) preadsorbed antibody at 1/1000 dilution (Green).

Low expression : Confocal image showing no staining in mouse splenocytes (shown in green). The counterstain was observed in magenta. Nuclear DNA was labelled with DAPI (shown in blue). Image was taken with a confocal microscope (Leica-Microsystems, TCS SP8).

ab7291 Anti-alpha Tubulin mouse monoclonal antibody was used to counterstain tubulin at 1/1000 dilution (Magenta). The Nuclear counterstain was DAPI (Blue).

Secondary antibody only control : Secondary antibody is ab150081 Goat Anti-Rabbit IgG H&L (Alexa Fluor® 488) preadsorbed at 1/1000 dilution.

Immunocytochemistry/ Immunofluorescence - Anti-TAOK2 antibody [EPR30549-532] (AB325603)
  • ICC/IF

Lab

Immunocytochemistry/ Immunofluorescence - Anti-TAOK2 antibody [EPR30549-532] (AB325603)

Immunofluorescent analysis of 4% Paraformaldehyde-fixed, 0.1% TritonX-100 permeabilized mouse primary neural/glia cell cells labelling TAOK2 with ab325603 at 1/2000 (0.255 μg/ml) dilution , followed by ab150081 Goat Anti-Rabbit IgG H&L (Alexa Fluor® 488) preadsorbed antibody at 1/1000 dilution (Green).

Confocal image showing cytoplasmic staining in mouse primary neural/glia cells (shown in green). The counterstain was observed in magenta. Nuclear DNA was labelled with DAPI (shown in blue). Image was taken with a confocal microscope (Leica-Microsystems, TCS SP8). Confocal scanning Z step was set as 0.3 μm followed by image processing with maximum Z projection.

ab11267 Anti-MAP2 mouse monoclonal antibody was used to counterstain tubulin at 1/500 dilution (Magenta). The Nuclear counterstain was DAPI (Blue).

Secondary antibody only control : Secondary antibody is ab150081 Goat Anti-Rabbit IgG H&L (Alexa Fluor® 488) preadsorbed at 1/1000 dilution.

Western blot - Anti-TAOK2 antibody [EPR30549-532] (AB325603)
  • WB

Lab

Western blot - Anti-TAOK2 antibody [EPR30549-532] (AB325603)

Blocking and diluting buffer and concentration : 5% NFDM/TBST.

Low expression : human lymph node.

Performed under reducing conditions.

In Western blot, ab325603 was shown to bind specifically to TAOK2. Target of interest was observed at 150 and 200 kDa in wild-type 293T cell lysates (lane 1) with no signal observed at this size in TAOK2 knockout cell line (lane 2, knockout cell line ab266382).

The bands beneath the target band (150 kDa) are likely to be degraded target fragments.

The identity of the lower MW band at approximately 40 kDa (in lanes 1-2) is unknown.

Lanes 1-3 are incubated with Goat Anti-Rabbit IgG, (H+L), Peroxidase conjugated (ab97051) at 1/100000 and lanes 4-6 are incubated with Goat Anti-Rabbit IgG (HRP) at 1/2000.

In Western blot, Anti-GAPDH antibody [EPR16891] - Loading Control (ab181602) (1 : 200000) (36KDa).

All lanes:

Western blot - Anti-TAOK2 antibody [EPR30549-532] (ab325603) at 1/1000 dilution

Lane 1:

Wild-type 293T (human embryonic kidney epithelial cell) whole cell lysate at 20 µg

Lane 2:

TAOK2 knockout 293T whole cell lysate at 20 µg

Lane 3:

HT-1376 (human urinary bladder carcinoma epithelial cell) whole cell lysate at 20 µg

Lane 4:

Human hypothalamus tissue lysate at 20 µg

Lane 5:

Human cerebellum tissue lysate at 20 µg

Lane 6:

Human lymph node tissue lysate at 20 µg

Secondary

Lanes 1 - 3:

Western blot - Goat Anti-Rabbit IgG H&L (HRP) (<a href='/en-us/products/secondary-antibodies/goat-rabbit-igg-h-l-hrp-ab97051'>ab97051</a>) at 1/100000 dilution

Lanes 4 - 6:

Goat Anti-Rabbit IgG (HRP) with minimal cross-reactivity with human IgG at 1/2000 dilution

Observed band size: 150 kDa,200 kDa,36 kDa

false

Exposure time: 125s

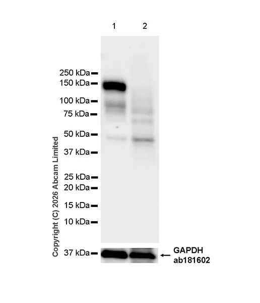
Western blot - Anti-TAOK2 antibody [EPR30549-532] (AB325603)
  • WB

Lab

Western blot - Anti-TAOK2 antibody [EPR30549-532] (AB325603)

Blocking and diluting buffer and concentration : 5% NFDM/TBST.

Low expression : mouse lymph node.

The bands beneath the target band (150 kDa) are likely to be degraded target fragments.

In Western blot, Anti-GAPDH antibody [EPR16891] - Loading Control (ab181602) (1 : 200000) (36KDa).

All lanes:

Western blot - Anti-TAOK2 antibody [EPR30549-532] (ab325603) at 1/1000 dilution

Lane 1:

Mouse cerebellum tissue lysate at 20 µg

Lane 2:

Mouse lymph node tissue lysate at 20 µg

Secondary

All lanes:

Goat Anti-Rabbit IgG (HRP) with minimal cross-reactivity with human IgG at 1/2000 dilution

Observed band size: 150 kDa,36 kDa

false

Exposure time: 26s

Key facts

Host species

Rabbit

Clonality

Monoclonal

Clone number

EPR30549-532

Isotype

IgG

Carrier free

No

Reacts with

Human, Mouse

Applications

WB, ICC/IF

applications

Immunogen

The exact immunogen used to generate this antibody is proprietary information.

Specificity

The immunology shares no sequence similarity with TAOK1, TAOK3.

Reactivity data

{ "title": "Reactivity Data", "filters": { "stats": ["", "Species", "Dilution Info", "Notes"], "tabs": { "all-applications": {"fullname" : "All Applications", "shortname": "All Applications"}, "ICCIF" : {"fullname" : "Immunocytochemistry/ Immunofluorescence", "shortname":"ICC/IF"}, "WB" : {"fullname" : "Western blot", "shortname":"WB"}, "IHCFr" : {"fullname" : "Immunohistochemistry (Frozen sections)", "shortname":"IHC-Fr"}, "IHCP" : {"fullname" : "Immunohistochemistry (Formalin/PFA-fixed paraffin-embedded sections)", "shortname":"IHC-P"} }, "product-promise": { "all": "all", "testedAndGuaranteed": "tested", "guaranteed": "expected", "predicted": "predicted", "notRecommended": "not-recommended" } }, "values": { "Human": { "ICCIF-species-checked": "testedAndGuaranteed", "ICCIF-species-dilution-info": "1/500", "ICCIF-species-notes": "<p></p>", "WB-species-checked": "testedAndGuaranteed", "WB-species-dilution-info": "1/1000", "WB-species-notes": "<p></p>", "IHCFr-species-checked": "notRecommended", "IHCFr-species-dilution-info": "", "IHCFr-species-notes": "", "IHCP-species-checked": "notRecommended", "IHCP-species-dilution-info": "", "IHCP-species-notes": "" }, "Mouse": { "ICCIF-species-checked": "testedAndGuaranteed", "ICCIF-species-dilution-info": "1/2000", "ICCIF-species-notes": "<p></p>", "WB-species-checked": "testedAndGuaranteed", "WB-species-dilution-info": "1/1000", "WB-species-notes": "<p></p>", "IHCFr-species-checked": "notRecommended", "IHCFr-species-dilution-info": "", "IHCFr-species-notes": "<p></p>", "IHCP-species-checked": "notRecommended", "IHCP-species-dilution-info": "", "IHCP-species-notes": "<p></p>" } } }

Product details

Patented technology
Our RabMAb® technology is a patented hybridoma-based technology for making rabbit monoclonal antibodies. For details on our patents, please refer to RabMAb® patents.

What are the advantages of a recombinant monoclonal antibody?
This product is a recombinant monoclonal antibody, which offers several advantages including:

  • - High batch-to-batch consistency and reproducibility
  • - Improved sensitivity and specificity
  • - Long-term security of supply
  • - Animal-free batch production

For more information, read more on recombinant antibodies.

Properties and storage information

Form
Liquid
Purification technique
Affinity purification Protein A
Storage buffer
pH: 7.2 - 7.4 Preservative: 0.01% Sodium azide Constituents: PBS, 40% Glycerol (glycerin, glycerine), 0.05% BSA
Shipped at conditions
Blue Ice
Appropriate short-term storage duration
1-2 weeks
Appropriate short-term storage conditions
+4°C
Appropriate long-term storage conditions
-20°C
Aliquoting information
Upon delivery aliquot
Storage information
Avoid freeze / thaw cycle

Product protocols

For this product, it's our understanding that no specific protocols are required. You can visit:

Target data

Serine/threonine-protein kinase involved in different processes such as membrane blebbing and apoptotic bodies formation DNA damage response and MAPK14/p38 MAPK stress-activated MAPK cascade. Phosphorylates itself, MBP, activated MAPK8, MAP2K3, MAP2K6 and tubulins. Activates the MAPK14/p38 MAPK signaling pathway through the specific activation and phosphorylation of the upstream MAP2K3 and MAP2K6 kinases. In response to DNA damage, involved in the G2/M transition DNA damage checkpoint by activating the p38/MAPK14 stress-activated MAPK cascade, probably by mediating phosphorylation of upstream MAP2K3 and MAP2K6 kinases. Isoform 1, but not isoform 2, plays a role in apoptotic morphological changes, including cell contraction, membrane blebbing and apoptotic bodies formation. This function, which requires the activation of MAPK8/JNK and nuclear localization of C-terminally truncated isoform 1, may be linked to the mitochondrial CASP9-associated death pathway. Isoform 1 binds to microtubules and affects their organization and stability independently of its kinase activity. Prevents MAP3K7-mediated activation of CHUK, and thus NF-kappa-B activation, but not that of MAPK8/JNK. May play a role in the osmotic stress-MAPK8 pathway. Isoform 2, but not isoform 1, is required for PCDH8 endocytosis. Following homophilic interactions between PCDH8 extracellular domains, isoform 2 phosphorylates and activates MAPK14/p38 MAPK which in turn phosphorylates isoform 2. This process leads to PCDH8 endocytosis and CDH2 cointernalization. Both isoforms are involved in MAPK14 phosphorylation.
See full target information TAOK2

Product promise

We are committed to supporting your work with high-quality reagents, and we're here for you every step of the way. In the unlikely event that one of our products does not perform as expected, you're protected by our Product Promise.
For full details, please see our Terms & Conditions

Please note: All products are 'FOR RESEARCH USE ONLY. NOT FOR USE IN DIAGNOSTIC OR THERAPEUTIC PROCEDURES'.

For licensing inquiries, please contact partnerships@abcam.com