JavaScript is disabled in your browser. Please enable JavaScript to view this website.
AB322039

Anti-TAP1 antibody [EPR26236-92]

Be the first to review this product! Submit a review

|

(0 Publication)

Anti-TAP1 antibody [EPR26236-92] is a Rabbit Monoclonal antibody that is used in TAP1 Dot Blot, IHC-P, Western Blot. Suitable for Human samples.

Transporter associated with antigen processing 1 (TAP1) is a molecule involved in processing and presentation of major histocompatibility complex class I restricted antigens, including tumor-associated antigens. TAP1 participates in tumor immunity, and is aberrantly expressed in multiple cancer types, including in bladder cancer, small cell lung cancer, glioma, prostatic cancer, head and neck squamous cell carcinoma (HNSC), breast cancer, and colorectal cancer (CRC). Recently, TAP1 has been found to be a robust tumor prognostic biomarker and a novel predictor of clinical prognosis and immunotherapeutic responses in various cancer types

View Alternative Names

ABCB2, PSF1, RING4, Y3, TAP1, Antigen peptide transporter 1, APT1, ATP-binding cassette sub-family B member 2, Peptide supply factor 1, Peptide transporter PSF1, Peptide transporter TAP1, Peptide transporter involved in antigen processing 1, Really interesting new gene 4 protein, PSF-1

7 Images
Immunohistochemistry (Formalin/PFA-fixed paraffin-embedded sections) - Anti-TAP1 antibody [EPR26236-92] (AB322039)
  • IHC-P

Supplier Data

Immunohistochemistry (Formalin/PFA-fixed paraffin-embedded sections) - Anti-TAP1 antibody [EPR26236-92] (AB322039)

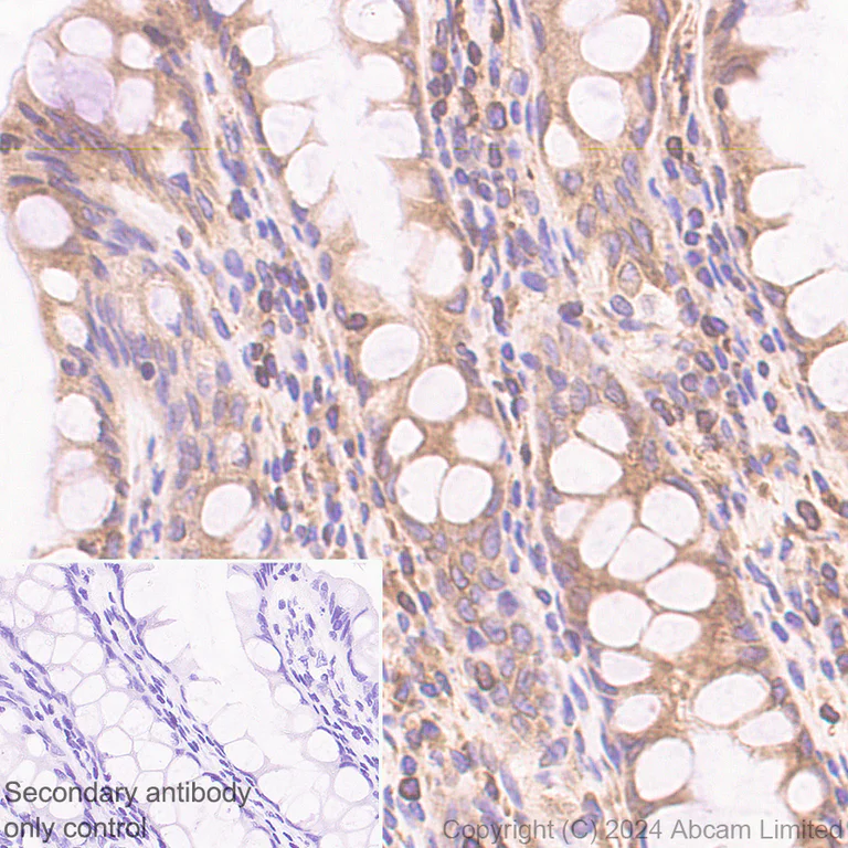
Immunohistochemical analysis of paraffin-embedded Human colon tissue labeling TAP1 with ab322039 at 1/5000 (0.1 ug/ml) dilution, followed by a ready to use LeicaDS9800 (Bond™ Polymer Refine Detection).

Positive staining in human colon.
The section was incubated with ab322039 for 10 mins at room temperature.
The immunostaining was performed on a Leica Biosystems BOND® RX instrument
Slides were incubated with 3% Hydrogen Peroxide for 10 mins at room temperature after secondary antibody incubation to reduce the background

Counterstained with Hematoxylin.

Secondary antibody only control : Secondary antibody is a ready to use LeicaDS9800 (Bond™ Polymer Refine Detection).

Heat mediated antigen retrieval was performed with Tris-EDTA buffer (pH 9.0, Epitope Retrieval Solution2) for 20 mins

Immunohistochemistry (Formalin/PFA-fixed paraffin-embedded sections) - Anti-TAP1 antibody [EPR26236-92] (AB322039)
  • IHC-P

Supplier Data

Immunohistochemistry (Formalin/PFA-fixed paraffin-embedded sections) - Anti-TAP1 antibody [EPR26236-92] (AB322039)

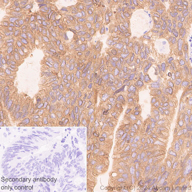
Immunohistochemical analysis of paraffin-embedded Human cervical carcinoma tissue labeling TAP1 with ab322039 at 1/5000 (0.1 ug/ml) dilution, followed by a ready to use LeicaDS9800 (Bond™ Polymer Refine Detection).

Positive staining in human cervical carcinoma.
The section was incubated with ab322039 for 10 mins at room temperature.
The immunostaining was performed on a Leica Biosystems BOND® RX instrument
Slides were incubated with 3% Hydrogen Peroxide for 10 mins at room temperature after secondary antibody incubation to reduce the background

Counterstained with Hematoxylin.

Secondary antibody only control : Secondary antibody is a ready to use LeicaDS9800 (Bond™ Polymer Refine Detection).

Heat mediated antigen retrieval was performed with Tris-EDTA buffer (pH 9.0, Epitope Retrieval Solution2) for 20 mins

Immunohistochemistry (Formalin/PFA-fixed paraffin-embedded sections) - Anti-TAP1 antibody [EPR26236-92] (AB322039)
  • IHC-P

Supplier Data

Immunohistochemistry (Formalin/PFA-fixed paraffin-embedded sections) - Anti-TAP1 antibody [EPR26236-92] (AB322039)

Immunohistochemical analysis of paraffin-embedded (A) Untreated HT-29 (human colorectal adenocarcinoma epithelial cell). (B) HT-29 treated with IFN gamma (100 ng/mL) for 48 hours. tissue labeling TAP1 with ab322039 at 1/8000 (0.062 ug/ml) dilution, followed by a ready to use LeicaDS9800 (Bond™ Polymer Refine Detection).

Nearly no staining in (A) untreated HT-29, positive staining in (B) HT-29 treated with IFN gamma (100 ng/mL) for 48 hours.
The section was incubated with ab322039 for 10 mins at room temperature.
The immunostaining was performed on a Leica Biosystems BOND® RX instrument
Slides were incubated with 3% Hydrogen Peroxide for 10 mins at room temperature after secondary antibody incubation to reduce the background

Counterstained with Hematoxylin.

Secondary antibody only control : Secondary antibody is a ready to use LeicaDS9800 (Bond™ Polymer Refine Detection).

Heat mediated antigen retrieval was performed with Tris-EDTA buffer (pH 9.0, Epitope Retrieval Solution2) for 20 mins

Immunohistochemistry (Formalin/PFA-fixed paraffin-embedded sections) - Anti-TAP1 antibody [EPR26236-92] (AB322039)
  • IHC-P

Supplier Data

Immunohistochemistry (Formalin/PFA-fixed paraffin-embedded sections) - Anti-TAP1 antibody [EPR26236-92] (AB322039)

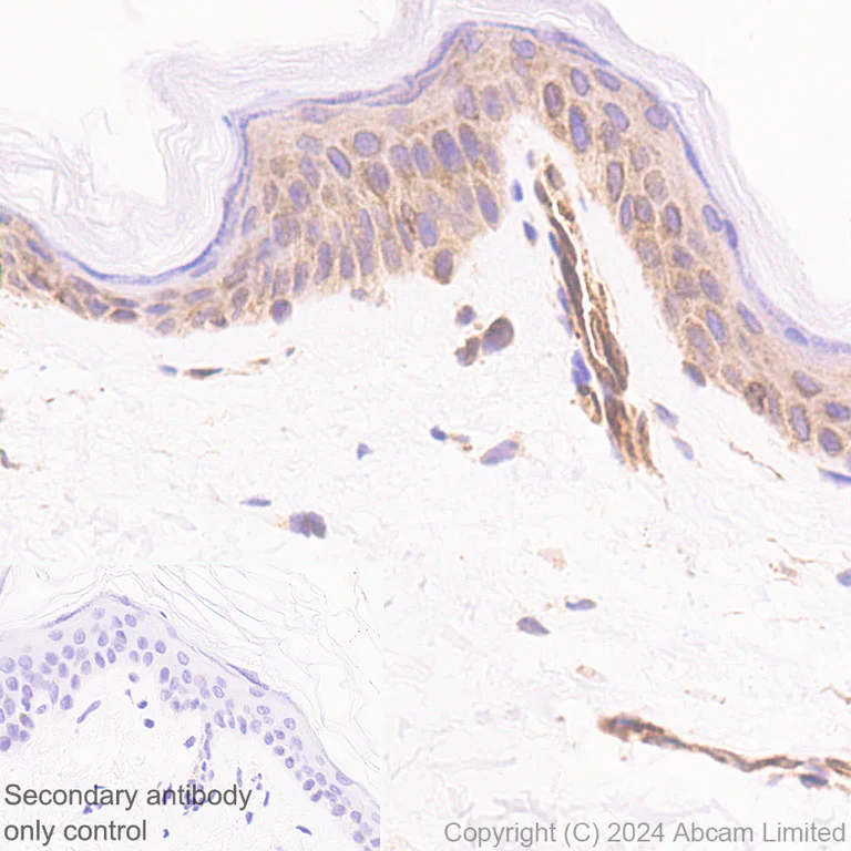
Immunohistochemical analysis of paraffin-embedded Human skin tissue labeling TAP1 with ab322039 at 1/5000 (0.1 ug/ml) dilution, followed by a ready to use LeicaDS9800 (Bond™ Polymer Refine Detection).

Positive staining in human skin.
The section was incubated with ab322039 for 10 mins at room temperature.
The immunostaining was performed on a Leica Biosystems BOND® RX instrument
Slides were incubated with 3% Hydrogen Peroxide for 10 mins at room temperature after secondary antibody incubation to reduce the background

Counterstained with Hematoxylin.

Secondary antibody only control : Secondary antibody is a ready to use LeicaDS9800 (Bond™ Polymer Refine Detection).

Heat mediated antigen retrieval was performed with Tris-EDTA buffer (pH 9.0, Epitope Retrieval Solution2) for 20 mins

Immunohistochemistry (Formalin/PFA-fixed paraffin-embedded sections) - Anti-TAP1 antibody [EPR26236-92] (AB322039)
  • IHC-P

Supplier Data

Immunohistochemistry (Formalin/PFA-fixed paraffin-embedded sections) - Anti-TAP1 antibody [EPR26236-92] (AB322039)

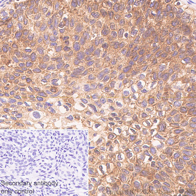
Immunohistochemical analysis of paraffin-embedded Human colon adenocarcinoma tissue labeling TAP1 with ab322039 at 1/5000 (0.1 ug/ml) dilution, followed by a ready to use LeicaDS9800 (Bond™ Polymer Refine Detection).

Positive staining in human colon carcinoma.
The section was incubated with ab322039 for 10 mins at room temperature.
The immunostaining was performed on a Leica Biosystems BOND® RX instrument
Slides were incubated with 3% Hydrogen Peroxide for 10 mins at room temperature after secondary antibody incubation to reduce the background

Counterstained with Hematoxylin.

Secondary antibody only control : Secondary antibody is a ready to use LeicaDS9800 (Bond™ Polymer Refine Detection).

Heat mediated antigen retrieval was performed with Tris-EDTA buffer (pH 9.0, Epitope Retrieval Solution2) for 20 mins

Western blot - Anti-TAP1 antibody [EPR26236-92] (AB322039)
  • WB

Supplier Data

Western blot - Anti-TAP1 antibody [EPR26236-92] (AB322039)

Blocking and diluting buffer and concentration : 5% NFDM/TBST.

The expression of TAP1 is upregulated in response to IFN gamma treatment.

The identity of the bands between 15 kDa and 40 kDa are unknown.

In Western blot, Anti-GAPDH antibody [EPR16891] - Loading Control (ab181602) staining at 1/200000 dilution.

All lanes:

Western blot - Anti-TAP1 antibody [EPR26236-92] (ab322039) at 1/1000 dilution

Lane 1:

Untreated HT-29 (human colorectal adenocarcinoma epithelial cell) whole cell lysate at 20 µg

Lane 2:

HT-29 treated with 100ng/ml IFN gamma for 48h whole cell lysate at 20 µg

Lane 3:

Untreated HeLa (human cervical adenocarcinoma epithelial cell) whole cell lysate at 20 µg

Lane 4:

HeLa treated with 100ng/ml IFN gamma for 48h whole cell lysate at 20 µg

Lane 5:

Human ovary cancer tissue lysate at 20 µg

Lane 6:

Human tonsil tissue lysate at 20 µg

Lane 7:

Human lung tissue lysate at 20 µg

Secondary

All lanes:

Goat Anti-Rabbit IgG (HRP) with minimal cross-reactivity with human IgG at 1/2000 dilution

Observed band size: 68 kDa,36 kDa

false

Exposure time: 1s

Dot Blot - Anti-TAP1 antibody [EPR26236-92] (AB322039)
  • Dot

Supplier Data

Dot Blot - Anti-TAP1 antibody [EPR26236-92] (AB322039)

Dot blot analysis of TAP1 using ab322039 at 1 : 1000 (0.498 ug/ml) followed by a Goat Anti-Rabbit IgG, (H+L), Peroxidase conjugated (ab97051) at 1 : 100,000 dilution.

Lane1 : His-tagged human TAP1 fragment
Lane2 : His-tagged human TAP2 fragment

Blocking and diluting buffer and concentration : 5% NFDM/TBST.

This antibody does not cross-react with human TAP2.

All lanes:

Dot Blot - Anti-TAP1 antibody [EPR26236-92] (ab322039) at 1/1000 dilution

Lane 1:

His-tagged human TAP1 fragment at 20 ng

Lane 2:

His-tagged human TAP2 fragment at 20 ng

Secondary

All lanes:

Dot Blot - Goat Anti-Rabbit IgG H&L (HRP) (<a href='/en-us/products/secondary-antibodies/goat-rabbit-igg-h-l-hrp-ab97051'>ab97051</a>) at 1/100000 dilution

false

Exposure time: 48s

Key facts

Host species

Rabbit

Clonality

Monoclonal

Clone number

EPR26236-92

Isotype

IgG

Carrier free

No

Reacts with

Human

Applications

Dot, IHC-P, WB

applications

Immunogen

The exact immunogen used to generate this antibody is proprietary information.

Reactivity data

{ "title": "Reactivity Data", "filters": { "stats": ["", "Species", "Dilution Info", "Notes"], "tabs": { "all-applications": {"fullname" : "All Applications", "shortname": "All Applications"}, "Dot" : {"fullname" : "Dot Blot", "shortname":"Dot"}, "IHCP" : {"fullname" : "Immunohistochemistry (Formalin/PFA-fixed paraffin-embedded sections)", "shortname":"IHC-P"}, "WB" : {"fullname" : "Western blot", "shortname":"WB"} }, "product-promise": { "all": "all", "testedAndGuaranteed": "tested", "guaranteed": "expected", "predicted": "predicted", "notRecommended": "not-recommended" } }, "values": { "Human": { "Dot-species-checked": "guaranteed", "Dot-species-dilution-info": "", "Dot-species-notes": "", "IHCP-species-checked": "testedAndGuaranteed", "IHCP-species-dilution-info": "1/5000 - 1/8000", "IHCP-species-notes": "<p></p> Perform heat-mediated antigen retrieval with Tris/EDTA buffer pH 9.0 before commencing with IHC staining protocol.", "WB-species-checked": "testedAndGuaranteed", "WB-species-dilution-info": "1/1000", "WB-species-notes": "<p></p>" }, "Recombinant fragment - Human": { "Dot-species-checked": "testedAndGuaranteed", "Dot-species-dilution-info": "1/1000", "Dot-species-notes": "<p></p>", "IHCP-species-checked": "notRecommended", "IHCP-species-dilution-info": "", "IHCP-species-notes": "", "WB-species-checked": "notRecommended", "WB-species-dilution-info": "", "WB-species-notes": "" } } }

Product details

Patented technology
Our RabMAb® technology is a patented hybridoma-based technology for making rabbit monoclonal antibodies. For details on our patents, please refer to RabMAb® patents.

What are the advantages of a recombinant monoclonal antibody?
This product is a recombinant monoclonal antibody, which offers several advantages including:

  • - High batch-to-batch consistency and reproducibility
  • - Improved sensitivity and specificity
  • - Long-term security of supply
  • - Animal-free batch production

For more information, read more on recombinant antibodies.

Properties and storage information

Form
Liquid
Purification technique
Affinity purification Protein A
Storage buffer
pH: 7.2 - 7.4 Preservative: 0.01% Sodium azide Constituents: PBS, 40% Glycerol (glycerin, glycerine), 0.05% BSA
Shipped at conditions
Blue Ice
Appropriate short-term storage duration
1-2 weeks
Appropriate short-term storage conditions
+4°C
Appropriate long-term storage conditions
-20°C
Aliquoting information
Upon delivery aliquot
Storage information
Avoid freeze / thaw cycle

Supplementary information

This supplementary information is collated from multiple sources and compiled automatically.

The transporter associated with antigen processing 1 (TAP1) also known as ABCB2 is an ATP-binding cassette transporter with an important role in cellular immunity. TAP1 functions mechanically by transporting peptides from the cytosol into the endoplasmic reticulum. These peptides are typically 8-16 amino acids long and are processed for MHC class I molecules presentation. TAP1 has a molecular mass of approximately 75 kDa. Expression of TAP1 occurs primarily in cells of the immune system including lymphocytes and dendritic cells.
Biological function summary

TAP1 participates in the immune system by facilitating the presentation of peptide antigens to T cells. It forms a complex with TAP2 to transport antigenic peptides necessary for the proper functioning of the MHC class I pathway. This complex is essential for the immune system's ability to detect and respond to pathogens. Proper functioning of TAP1 ensures that peptides presented on MHC class I molecules are of endogenous origin allowing T cells to monitor cellular health and detect infected or transformed cells.

Pathways

TAP1 plays a role in the antigen processing and presentation pathway which is critical for adaptive immunity. This pathway involves specific steps in peptide processing where TAP1 along with TAP2 is essential for translocating peptides for binding to MHC class I complexes. Other related proteins in this pathway include calreticulin and tapasin which assist in peptide loading onto MHC class I molecules. Additionally TAP1 is involved in regulating cytosolic proteins' turnover through its role in transporting peptides that result from degraded proteins.

TAP1 dysfunction or variants can lead to immune system-related diseases such as Bare Lymphocyte Syndrome (BLS) a condition characterized by the lack of MHC class I molecule expression. This results in compromised immune surveillance and increased susceptibility to infections. TAP1 is also linked to autoimmune diseases where abnormal peptide presentation may occur. It is associated with proteins like HLA molecules which are often implicated in autoimmune pathogenesis. Analyzing TAP1 expression and function provides insight into these disorders' underlying mechanisms.

Product protocols

For this product, it's our understanding that no specific protocols are required. You can visit:

Target data

ABC transporter associated with antigen processing. In complex with TAP2 mediates unidirectional translocation of peptide antigens from cytosol to endoplasmic reticulum (ER) for loading onto MHC class I (MHCI) molecules (PubMed : 25377891, PubMed : 25656091). Uses the chemical energy of ATP to export peptides against the concentration gradient (PubMed : 25377891). During the transport cycle alternates between 'inward-facing' state with peptide binding site facing the cytosol to 'outward-facing' state with peptide binding site facing the ER lumen. Peptide antigen binding to ATP-loaded TAP1-TAP2 induces a switch to hydrolysis-competent 'outward-facing' conformation ready for peptide loading onto nascent MHCI molecules. Subsequently ATP hydrolysis resets the transporter to the 'inward facing' state for a new cycle (PubMed : 11274390, PubMed : 25377891, PubMed : 25656091). Typically transports intracellular peptide antigens of 8 to 13 amino acids that arise from cytosolic proteolysis via IFNG-induced immunoproteasome. Binds peptides with free N- and C-termini, the first three and the C-terminal residues being critical. Preferentially selects peptides having a highly hydrophobic residue at position 3 and hydrophobic or charged residues at the C-terminal anchor. Proline at position 2 has the most destabilizing effect (PubMed : 11274390, PubMed : 7500034, PubMed : 9256420). As a component of the peptide loading complex (PLC), acts as a molecular scaffold essential for peptide-MHCI assembly and antigen presentation (PubMed : 1538751, PubMed : 25377891, PubMed : 26611325).
See full target information TAP1

Product promise

We are committed to supporting your work with high-quality reagents, and we're here for you every step of the way. In the unlikely event that one of our products does not perform as expected, you're protected by our Product Promise.
For full details, please see our Terms & Conditions

Please note: All products are 'FOR RESEARCH USE ONLY. NOT FOR USE IN DIAGNOSTIC OR THERAPEUTIC PROCEDURES'.

For licensing inquiries, please contact partnerships@abcam.com