JavaScript is disabled in your browser. Please enable JavaScript to view this website.
AB322040

Anti-TAP1 antibody [EPR26236-92] - BSA and Azide free

Be the first to review this product! Submit a review

|

(0 Publication)

Rabbit Recombinant Monoclonal TAP1 antibody. Carrier free. Suitable for Dot, IHC-P, WB and reacts with Recombinant fragment - Human, Human samples.

View Alternative Names

ABCB2, PSF1, RING4, Y3, TAP1, Antigen peptide transporter 1, APT1, ATP-binding cassette sub-family B member 2, Peptide supply factor 1, Peptide transporter PSF1, Peptide transporter TAP1, Peptide transporter involved in antigen processing 1, Really interesting new gene 4 protein, PSF-1

7 Images
Immunohistochemistry (Formalin/PFA-fixed paraffin-embedded sections) - Anti-TAP1 antibody [EPR26236-92] - BSA and Azide free (AB322040)
  • IHC-P

Supplier Data

Immunohistochemistry (Formalin/PFA-fixed paraffin-embedded sections) - Anti-TAP1 antibody [EPR26236-92] - BSA and Azide free (AB322040)

This data was developed using ab322039, the same antibody clone in a different buffer formulation.

Immunohistochemical analysis of paraffin-embedded Human colon tissue labeling TAP1 with ab322039 at 1/5000 (0.1 ug/ml) dilution followed by a ready to use LeicaDS9800 (Bond™ Polymer Refine Detection).

Positive staining in human colon.
The section was incubated with ab322039 for 10 mins at room temperature.
The immunostaining was performed on a Leica Biosystems BOND® RX instrument
Slides were incubated with 3% Hydrogen Peroxide for 10 mins at room temperature after secondary antibody incubation to reduce the background

Counterstained with Hematoxylin.

Secondary antibody only control : Secondary antibody is a ready to use LeicaDS9800 (Bond™ Polymer Refine Detection).

Heat mediated antigen retrieval was performed with Tris-EDTA buffer (pH 9.0 Epitope Retrieval Solution2) for 20 mins

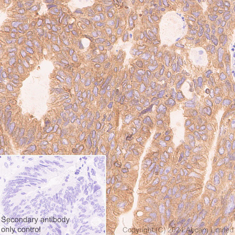
Immunohistochemistry (Formalin/PFA-fixed paraffin-embedded sections) - Anti-TAP1 antibody [EPR26236-92] - BSA and Azide free (AB322040)
  • IHC-P

Supplier Data

Immunohistochemistry (Formalin/PFA-fixed paraffin-embedded sections) - Anti-TAP1 antibody [EPR26236-92] - BSA and Azide free (AB322040)

This data was developed using ab322039, the same antibody clone in a different buffer formulation.

Immunohistochemical analysis of paraffin-embedded Human cervical carcinoma tissue labeling TAP1 with ab322039 at 1/5000 (0.1 ug/ml) dilution followed by a ready to use LeicaDS9800 (Bond™ Polymer Refine Detection).

Positive staining in human cervical carcinoma.
The section was incubated with ab322039 for 10 mins at room temperature.
The immunostaining was performed on a Leica Biosystems BOND® RX instrument
Slides were incubated with 3% Hydrogen Peroxide for 10 mins at room temperature after secondary antibody incubation to reduce the background

Counterstained with Hematoxylin.

Secondary antibody only control : Secondary antibody is a ready to use LeicaDS9800 (Bond™ Polymer Refine Detection).

Heat mediated antigen retrieval was performed with Tris-EDTA buffer (pH 9.0 Epitope Retrieval Solution2) for 20 mins

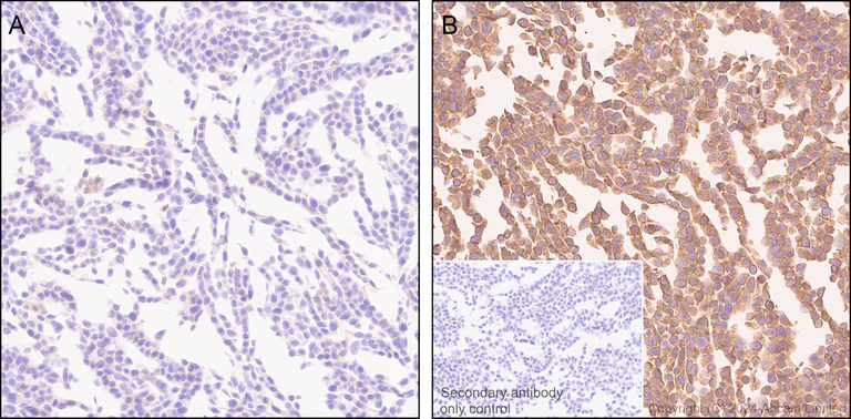
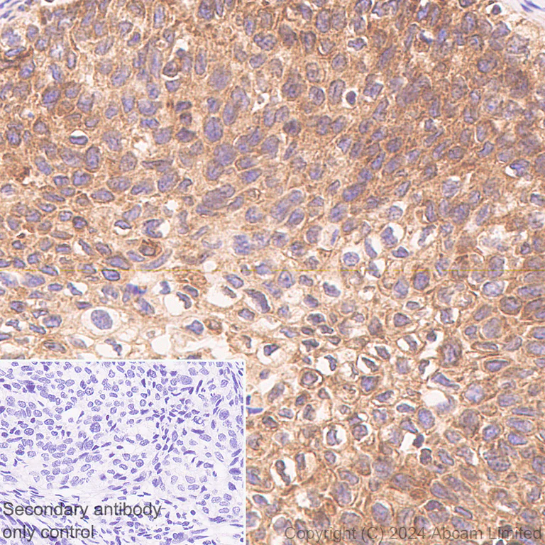
Immunohistochemistry (Formalin/PFA-fixed paraffin-embedded sections) - Anti-TAP1 antibody [EPR26236-92] - BSA and Azide free (AB322040)
  • IHC-P

Supplier Data

Immunohistochemistry (Formalin/PFA-fixed paraffin-embedded sections) - Anti-TAP1 antibody [EPR26236-92] - BSA and Azide free (AB322040)

This data was developed using ab322039, the same antibody clone in a different buffer formulation.

Immunohistochemical analysis of paraffin-embedded (A) Untreated HT-29 (human colorectal adenocarcinoma epithelial cell). (B) HT-29 treated with IFN gamma (100 ng/mL) for 48 hours. tissue labeling TAP1 with ab322039 at 1/8000 (0.062 ug/ml) dilution followed by a ready to use LeicaDS9800 (Bond™ Polymer Refine Detection).

Nearly no staining in (A) untreated HT-29 positive staining in (B) HT-29 treated with IFN gamma (100 ng/mL) for 48 hours.
The section was incubated with ab322039 for 10 mins at room temperature.
The immunostaining was performed on a Leica Biosystems BOND® RX instrument
Slides were incubated with 3% Hydrogen Peroxide for 10 mins at room temperature after secondary antibody incubation to reduce the background

Counterstained with Hematoxylin.

Secondary antibody only control : Secondary antibody is a ready to use LeicaDS9800 (Bond™ Polymer Refine Detection).

Heat mediated antigen retrieval was performed with Tris-EDTA buffer (pH 9.0 Epitope Retrieval Solution2) for 20 mins

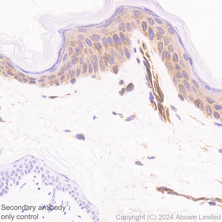
Immunohistochemistry (Formalin/PFA-fixed paraffin-embedded sections) - Anti-TAP1 antibody [EPR26236-92] - BSA and Azide free (AB322040)
  • IHC-P

Supplier Data

Immunohistochemistry (Formalin/PFA-fixed paraffin-embedded sections) - Anti-TAP1 antibody [EPR26236-92] - BSA and Azide free (AB322040)

This data was developed using ab322039, the same antibody clone in a different buffer formulation.

Immunohistochemical analysis of paraffin-embedded Human skin tissue labeling TAP1 with ab322039 at 1/5000 (0.1 ug/ml) dilution followed by a ready to use LeicaDS9800 (Bond™ Polymer Refine Detection).

Positive staining in human skin.
The section was incubated with ab322039 for 10 mins at room temperature.
The immunostaining was performed on a Leica Biosystems BOND® RX instrument
Slides were incubated with 3% Hydrogen Peroxide for 10 mins at room temperature after secondary antibody incubation to reduce the background

Counterstained with Hematoxylin.

Secondary antibody only control : Secondary antibody is a ready to use LeicaDS9800 (Bond™ Polymer Refine Detection).

Heat mediated antigen retrieval was performed with Tris-EDTA buffer (pH 9.0 Epitope Retrieval Solution2) for 20 mins

Immunohistochemistry (Formalin/PFA-fixed paraffin-embedded sections) - Anti-TAP1 antibody [EPR26236-92] - BSA and Azide free (AB322040)
  • IHC-P

Supplier Data

Immunohistochemistry (Formalin/PFA-fixed paraffin-embedded sections) - Anti-TAP1 antibody [EPR26236-92] - BSA and Azide free (AB322040)

This data was developed using ab322039, the same antibody clone in a different buffer formulation.

Immunohistochemical analysis of paraffin-embedded Human colon adenocarcinoma tissue labeling TAP1 with ab322039 at 1/5000 (0.1 ug/ml) dilution followed by a ready to use LeicaDS9800 (Bond™ Polymer Refine Detection).

Positive staining in human colon carcinoma.
The section was incubated with ab322039 for 10 mins at room temperature.
The immunostaining was performed on a Leica Biosystems BOND® RX instrument
Slides were incubated with 3% Hydrogen Peroxide for 10 mins at room temperature after secondary antibody incubation to reduce the background

Counterstained with Hematoxylin.

Secondary antibody only control : Secondary antibody is a ready to use LeicaDS9800 (Bond™ Polymer Refine Detection).

Heat mediated antigen retrieval was performed with Tris-EDTA buffer (pH 9.0 Epitope Retrieval Solution2) for 20 mins

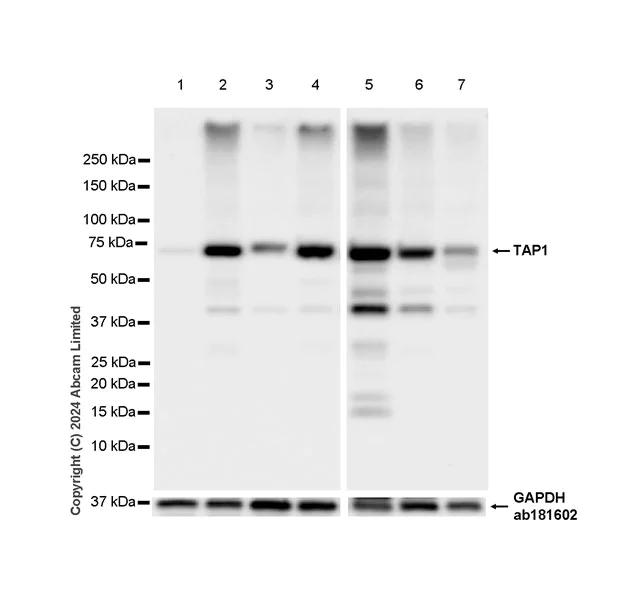
Western blot - Anti-TAP1 antibody [EPR26236-92] - BSA and Azide free (AB322040)
  • WB

Supplier Data

Western blot - Anti-TAP1 antibody [EPR26236-92] - BSA and Azide free (AB322040)

This data was developed using ab322039, the same antibody clone in a different buffer formulation.

Blocking and diluting buffer and concentration : 5% NFDM/TBST.

The expression of TAP1 is upregulated in response to IFN gamma treatment.

The identity of the bands between 15 kDa and 40 kDa are unknown.

In Western blot Anti-GAPDH antibody [EPR16891] - Loading Control (ab181602) staining at 1/200000 dilution.

All lanes:

Western blot - Anti-TAP1 antibody [EPR26236-92] (<a href='/en-us/products/primary-antibodies/tap1-antibody-epr26236-92-ab322039'>ab322039</a>) at 1/1000 dilution

Lane 1:

Untreated HT-29 (human colorectal adenocarcinoma epithelial cell) whole cell lysate at 20 µg

Lane 2:

HT-29 treated with 100ng/ml IFN gamma for 48h whole cell lysate at 20 µg

Lane 3:

Untreated HeLa (human cervical adenocarcinoma epithelial cell) whole cell lysate at 20 µg

Lane 4:

HeLa treated with 100ng/ml IFN gamma for 48h whole cell lysate at 20 µg

Lane 5:

Human ovary cancer tissue lysate at 20 µg

Lane 6:

Human tonsil tissue lysate at 20 µg

Lane 7:

Human lung tissue lysate at 20 µg

Secondary

All lanes:

Goat Anti-Rabbit IgG (HRP) with minimal cross-reactivity with human IgG at 1/2000 dilution

Observed band size: 68 kDa,36 kDa

false

Exposure time: 1s

Dot Blot - Anti-TAP1 antibody [EPR26236-92] - BSA and Azide free (AB322040)
  • Dot

Supplier Data

Dot Blot - Anti-TAP1 antibody [EPR26236-92] - BSA and Azide free (AB322040)

This data was developed using ab322039, the same antibody clone in a different buffer formulation.

Dot blot analysis of TAP1 using ab322039 at 1 : 1000 (0.498 ug/ml) followed by a Goat Anti-Rabbit IgG (H+L) Peroxidase conjugated (ab97051) at 1 : 100000 dilution.

Lane1 : His-tagged human TAP1 fragment
Lane2 : His-tagged human TAP2 fragment

Blocking and diluting buffer and concentration : 5% NFDM/TBST.

This antibody does not cross-react with human TAP2.

All lanes:

Dot Blot - Anti-TAP1 antibody [EPR26236-92] (<a href='/en-us/products/primary-antibodies/tap1-antibody-epr26236-92-ab322039'>ab322039</a>) at 1/1000 dilution

Lane 1:

His-tagged human TAP1 fragment at 20 ng

Lane 2:

His-tagged human TAP2 fragment at 20 ng

Secondary

All lanes:

Dot Blot - Goat Anti-Rabbit IgG H&L (HRP) (<a href='/en-us/products/secondary-antibodies/goat-rabbit-igg-h-l-hrp-ab97051'>ab97051</a>) at 1/100000 dilution

false

Exposure time: 48s

Key facts

Host species

Rabbit

Clonality

Monoclonal

Clone number

EPR26236-92

Isotype

IgG

Carrier free

Yes

Reacts with

Human

Applications

WB, IHC-P, Dot

applications

Immunogen

The exact immunogen used to generate this antibody is proprietary information.

Reactivity data

{ "title": "Reactivity Data", "filters": { "stats": ["", "Species", "Dilution Info", "Notes"], "tabs": { "all-applications": {"fullname" : "All Applications", "shortname": "All Applications"}, "Dot" : {"fullname" : "Dot Blot", "shortname":"Dot"}, "IHCP" : {"fullname" : "Immunohistochemistry (Formalin/PFA-fixed paraffin-embedded sections)", "shortname":"IHC-P"}, "WB" : {"fullname" : "Western blot", "shortname":"WB"} }, "product-promise": { "all": "all", "testedAndGuaranteed": "tested", "guaranteed": "expected", "predicted": "predicted", "notRecommended": "not-recommended" } }, "values": { "Human": { "Dot-species-checked": "guaranteed", "Dot-species-dilution-info": "", "Dot-species-notes": "", "IHCP-species-checked": "testedAndGuaranteed", "IHCP-species-dilution-info": "", "IHCP-species-notes": "<p></p> Perform heat-mediated antigen retrieval with Tris/EDTA buffer pH 9.0 before commencing with IHC staining protocol.", "WB-species-checked": "testedAndGuaranteed", "WB-species-dilution-info": "", "WB-species-notes": "<p></p>" }, "Recombinant fragment - Human": { "Dot-species-checked": "testedAndGuaranteed", "Dot-species-dilution-info": "", "Dot-species-notes": "<p></p>", "IHCP-species-checked": "notRecommended", "IHCP-species-dilution-info": "", "IHCP-species-notes": "", "WB-species-checked": "notRecommended", "WB-species-dilution-info": "", "WB-species-notes": "" } } }

Product details

ab322040 is the carrier-free version of ab322039.

Patented technology
Our RabMAb® technology is a patented hybridoma-based technology for making rabbit monoclonal antibodies. For details on our patents, please refer to RabMAb® patents.

What are the advantages of a recombinant monoclonal antibody?
This product is a recombinant monoclonal antibody, which offers several advantages including:

  • - High batch-to-batch consistency and reproducibility
  • - Improved sensitivity and specificity
  • - Long-term security of supply
  • - Animal-free batch production

For more information, read more on recombinant antibodies.

Conjugation ready
Our carrier-free antibodies are typically supplied in a PBS-only formulation, purified and free of BSA, sodium azide and glycerol. This conjugation-ready format is designed for use with fluorochromes, metal isotopes, oligonucleotides, and enzymes, which makes them ideal for antibody labelling, functional and cell-based assays, flow-based assays (e.g. mass cytometry) and Multiplex Imaging applications.

Use our conjugation kits for antibody conjugates that are ready-to-use in as little as 20 minutes with 1 minute hands-on-time and 100% antibody recovery: available for fluorescent dyes, HRP, biotin and gold.

Compatibility
This product is compatible with the Maxpar® Antibody Labeling Kit from Fluidigm, without the need for antibody preparation. Maxpar® is a trademark of Fluidigm Canada Inc.

Properties and storage information

Form
Liquid
Purification technique
Affinity purification Protein A
Storage buffer
pH: 7.2 - 7.4 Constituents: PBS
Shipped at conditions
Blue Ice
Appropriate short-term storage conditions
+4°C
Appropriate long-term storage conditions
+4°C

Product protocols

For this product, it's our understanding that no specific protocols are required. You can visit:

Target data

ABC transporter associated with antigen processing. In complex with TAP2 mediates unidirectional translocation of peptide antigens from cytosol to endoplasmic reticulum (ER) for loading onto MHC class I (MHCI) molecules (PubMed : 25377891, PubMed : 25656091). Uses the chemical energy of ATP to export peptides against the concentration gradient (PubMed : 25377891). During the transport cycle alternates between 'inward-facing' state with peptide binding site facing the cytosol to 'outward-facing' state with peptide binding site facing the ER lumen. Peptide antigen binding to ATP-loaded TAP1-TAP2 induces a switch to hydrolysis-competent 'outward-facing' conformation ready for peptide loading onto nascent MHCI molecules. Subsequently ATP hydrolysis resets the transporter to the 'inward facing' state for a new cycle (PubMed : 11274390, PubMed : 25377891, PubMed : 25656091). Typically transports intracellular peptide antigens of 8 to 13 amino acids that arise from cytosolic proteolysis via IFNG-induced immunoproteasome. Binds peptides with free N- and C-termini, the first three and the C-terminal residues being critical. Preferentially selects peptides having a highly hydrophobic residue at position 3 and hydrophobic or charged residues at the C-terminal anchor. Proline at position 2 has the most destabilizing effect (PubMed : 11274390, PubMed : 7500034, PubMed : 9256420). As a component of the peptide loading complex (PLC), acts as a molecular scaffold essential for peptide-MHCI assembly and antigen presentation (PubMed : 1538751, PubMed : 25377891, PubMed : 26611325).
See full target information TAP1

Product promise

We are committed to supporting your work with high-quality reagents, and we're here for you every step of the way. In the unlikely event that one of our products does not perform as expected, you're protected by our Product Promise.
For full details, please see our Terms & Conditions

Please note: All products are 'FOR RESEARCH USE ONLY. NOT FOR USE IN DIAGNOSTIC OR THERAPEUTIC PROCEDURES'.

For licensing inquiries, please contact partnerships@abcam.com