JavaScript is disabled in your browser. Please enable JavaScript to view this website.
AB307282

Anti-TAP2 antibody [EPR26237-82]

  • BOND RX™ Validated
  • 20ul selling size
  • RabMAb
  • Recombinant
  • KO Validated
  • What is this?

Be the first to review this product! Submit a review

|

(0 Publication)

Rabbit Recombinant Monoclonal TAP2 antibody. Suitable for IP, Flow Cyt (Intra), ICC/IF, IHC-P, WB and reacts with Human samples.

View Alternative Names

ABCB3, PSF2, RING11, Y1, TAP2, Antigen peptide transporter 2, APT2, ATP-binding cassette sub-family B member 3, Peptide supply factor 2, Peptide transporter PSF2, Peptide transporter TAP2, Peptide transporter involved in antigen processing 2, Really interesting new gene 11 protein, PSF-2

11 Images
Immunohistochemistry - Anti-TAP2 antibody [EPR26237-82] (AB307282)
  • IHC

Supplier Data

Immunohistochemistry - Anti-TAP2 antibody [EPR26237-82] (AB307282)

Immunohistochemical analysis of paraffin-embedded Human cerebrum tissue labeling TAP2 with ab307282 at 1/2000 (0.257 ug/ml) followed by a ready to use LeicaDS9800 (Bond® Polymer Refine Detection). Positive staining in human cerebrum. The section was incubated with ab307282 for 30 mins at room temperature. The immunostaining was performed on a Leica Biosystems BOND® RX instrument.. Counterstained with Hematoxylin. Secondary antibody only control : Secondary antibody is a ready to use LeicaDS9800 (Bond® Polymer Refine Detection). Heat mediated antigen retrieval with Tris-EDTA buffer (pH 9.0, epitope retrieval solution2) for 20 mins

Immunohistochemistry - Anti-TAP2 antibody [EPR26237-82] (AB307282)
  • IHC

Supplier Data

Immunohistochemistry - Anti-TAP2 antibody [EPR26237-82] (AB307282)

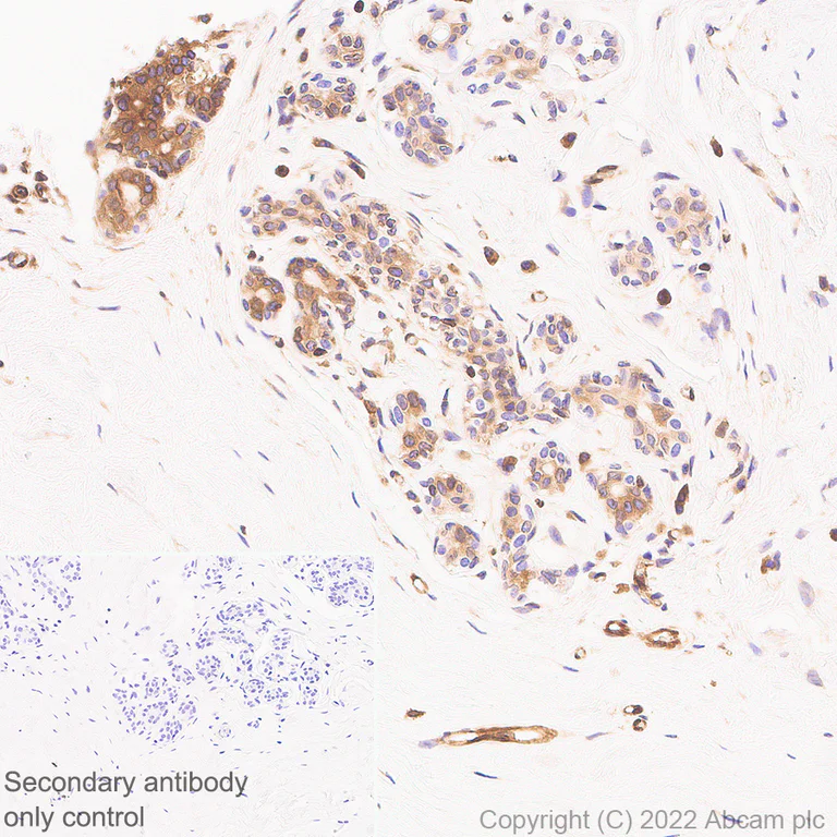
Immunohistochemical analysis of paraffin-embedded human breast cancer tissue labeling TAP2 with ab307282 at 1/2000 (0.257 ug/ml) followed by ready to use LeicaDS9800 (Bond® Polymer Refine Detection). Positive staining in human breast cancer (PMID : 22065046). The section was incubated with ab307282 for 30 mins at room temperature. The immunostaining was performed on a Leica Biosystems BOND® RX instrument. Counterstained with Hematoxylin. Secondary antibody only control : Secondary antibody is ready to use LeicaDS9800 (Bond® Polymer Refine Detection). Heat mediated antigen retrieval with Tris-EDTA buffer (pH 9.0, epitope retrieval solution2) for 20 mins.

Immunohistochemistry - Anti-TAP2 antibody [EPR26237-82] (AB307282)
  • IHC

Supplier Data

Immunohistochemistry - Anti-TAP2 antibody [EPR26237-82] (AB307282)

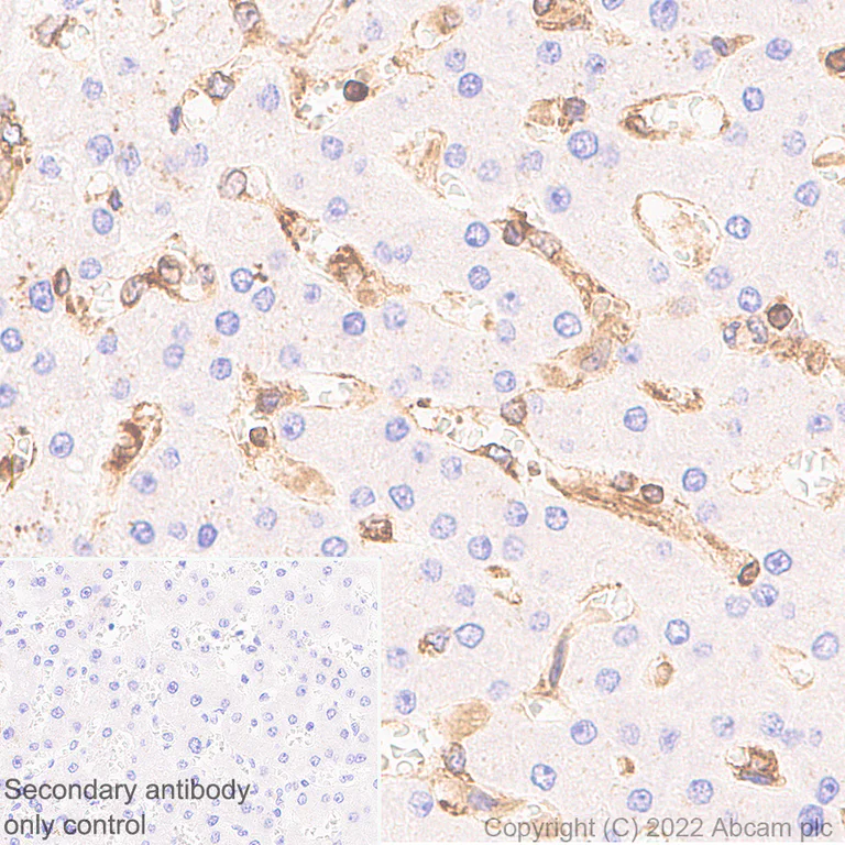
Immunohistochemical analysis of paraffin-embedded human liver tissue labeling TAP2 with ab307282 at 1/2000 (0.257 ug/ml) followed by ready to use LeicaDS9800 (Bond® Polymer Refine Detection). Positive staining in human liver. The section was incubated with ab307282 for 30 mins at room temperature. The immunostaining was performed on a Leica Biosystems BOND® RX instrument. Counterstained with Hematoxylin. Secondary antibody only control : Secondary antibody is ready to use LeicaDS9800 (Bond® Polymer Refine Detection). Heat mediated antigen retrieval with Tris-EDTA buffer (pH 9.0, epitope retrieval solution2) for 20 mins.

Immunohistochemistry - Anti-TAP2 antibody [EPR26237-82] (AB307282)
  • IHC

Supplier Data

Immunohistochemistry - Anti-TAP2 antibody [EPR26237-82] (AB307282)

Immunohistochemical analysis of paraffin-embedded human breast tissue labeling TAP2 with ab307282 at 1/2000 (0.257 ug/ml) followed by ready to use LeicaDS9800 (Bond® Polymer Refine Detection). Positive staining in human breast. The section was incubated with ab307282 for 30 mins at room temperature. The immunostaining was performed on a Leica Biosystems BOND® RX instrument. Counterstained with Hematoxylin. Secondary antibody only control : Secondary antibody is ready to use LeicaDS9800 (Bond® Polymer Refine Detection). Heat mediated antigen retrieval with Tris-EDTA buffer (pH 9.0, epitope retrieval solution2) for 20 mins.

Immunohistochemistry - Anti-TAP2 antibody [EPR26237-82] (AB307282)
  • IHC

Supplier Data

Immunohistochemistry - Anti-TAP2 antibody [EPR26237-82] (AB307282)

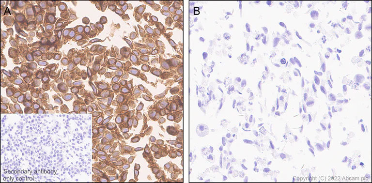
Immunohistochemical analysis of paraffin-embedded cell pellets labeling TAP2 with ab307282 at 1/2000 (0.257 ug/ml) followed by ready to use LeicaDS9800 (Bond® Polymer Refine Detection). Positive staining in wild-type HeLa cell pellet and no staining in TAP2 knockout HeLa cell pellet. The section was incubated with ab307282 for 30 mins at room temperature. The immunostaining was performed on a Leica Biosystems BOND® RX instrument. Counterstained with Hematoxylin. Secondary antibody only control : Secondary antibody is ready to use LeicaDS9800 (Bond® Polymer Refine Detection). Heat mediated antigen retrieval with Tris-EDTA buffer (pH 9.0, epitope retrieval solution2) for 20 mins.

Immunohistochemistry - Anti-TAP2 antibody [EPR26237-82] (AB307282)
  • IHC

Supplier Data

Immunohistochemistry - Anti-TAP2 antibody [EPR26237-82] (AB307282)

Immunohistochemical analysis of paraffin-embedded human tonsil tissue labeling TAP2 with ab307282 at 1/2000 (0.257 ug/ml) followed by ready to use LeicaDS9800 (Bond® Polymer Refine Detection). Positive staining in human tonsil. The section was incubated with ab307282 for 30 mins at room temperature. The immunostaining was performed on a Leica Biosystems BOND® RX instrument. Counterstained with Hematoxylin. Secondary antibody only control : Secondary antibody is ready to use LeicaDS9800 (Bond® Polymer Refine Detection). Heat mediated antigen retrieval with Tris-EDTA buffer (pH 9.0, epitope retrieval solution2) for 20 mins.

Immunohistochemistry - Anti-TAP2 antibody [EPR26237-82] (AB307282)
  • IHC

Supplier Data

Immunohistochemistry - Anti-TAP2 antibody [EPR26237-82] (AB307282)

Immunohistochemical analysis of paraffin-embedded human kidney tissue labeling TAP2 with ab307282 at 1/2000 (0.257 ug/ml) followed by ready to use LeicaDS9800 (Bond® Polymer Refine Detection). Positive staining in human kidney. The section was incubated with ab307282 for 30 mins at room temperature. The immunostaining was performed on a Leica Biosystems BOND® RX instrument. Counterstained with Hematoxylin. Secondary antibody only control : Secondary antibody is ready to use LeicaDS9800 (Bond® Polymer Refine Detection). Heat mediated antigen retrieval with Tris-EDTA buffer (pH 9.0, epitope retrieval solution2) for 20 mins.

Flow Cytometry (Intracellular) - Anti-TAP2 antibody [EPR26237-82] (AB307282)
  • Flow Cyt (Intra)

Supplier Data

Flow Cytometry (Intracellular) - Anti-TAP2 antibody [EPR26237-82] (AB307282)

Flow cytometric analysis of 4% paraformaldehyde fixed 90% methanol permeabilized Wild-type HeLa (human cervix adenocarcinoma epithelial cell, Right) / TAP2 knockout HeLa (Left) cells labeling TAP2 with ab307282 at 1/500 dilution (0.1ug) (Red) compared with a Rabbit monoclonal IgG (ab172730) (Black) isotype control and an unlabeled control (cells without incubation with primary antibody and secondary antibody) (Blue). A Goat Anti-Rabbit IgG (Alexa Fluor® 488, ab150081) at 1/2000 dilution was used as the secondary antibody. Positive staining on HeLa cells (ab255928), while no staining on TAP2 knockout HeLa cells (ab265426).

Immunocytochemistry/ Immunofluorescence - Anti-TAP2 antibody [EPR26237-82] (AB307282)
  • ICC/IF

Supplier Data

Immunocytochemistry/ Immunofluorescence - Anti-TAP2 antibody [EPR26237-82] (AB307282)

Immunofluorescent analysis of 4% Paraformaldehyde-fixed, 0.1% Triton X-100 permeabilized TAP2 KO HeLa (TAP2 knockout human cervical adenocarcinoma epithelial cell) ( ab265426) cells labeling TAP2 with ab307282 at 1/500 (1.028 ug/ml) dilution, followed by ab150081 Goat Anti-Rabbit IgG H&L (Alexa Fluor® 488) preadsorbed antibody at 1/1000 (2 ug/ml) dilution (Green). Confocal image showing endoplasmic reticulum staining in wildtype HeLa cells and no staining in TAP2 knockout HeLa cells. Image was taken with a confocal microscope(Leica-Microsystems, TCS SP8). ab12223 Anti-KDEL mouse monoclonal antibody was used to counterstain tubulin at 1/200 dilution (5 ug/ml) dilution, followed by ab150120 Goat Anti-Mouse IgG H&L (Alexa Fluor® 594) at a 1/1000 dilution (2 ug/ml) (Red). The nuclear counterstain was DAPI (Blue). Secondary antibody only control : Secondary antibody is ab150081 Goat Anti-Rabbit IgG H&L (Alexa Fluor® 488) preadsorbed at 1/1000 (2 ug/ml) dilution.

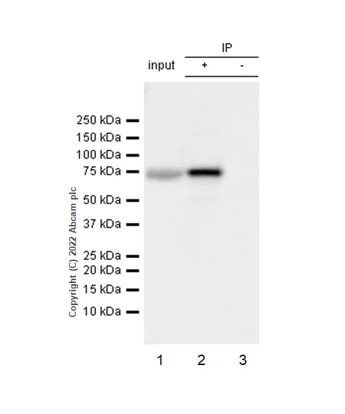
Immunoprecipitation - Anti-TAP2 antibody [EPR26237-82] (AB307282)
  • IP

Supplier Data

Immunoprecipitation - Anti-TAP2 antibody [EPR26237-82] (AB307282)

TAP2 was immunoprecipitated from 0.35 mg HeLa (human epithelial cell line from cervix adenocarcinoma) treated with 10 ng/ml IFN gamma for 16 hours, whole cell lysate 10 ug with ab307282 at 1/30 dilution (2ug in 0.35mg lysates). Western blot was performed on the immunoprecipitate using ab307282 at 1/1000 dilution. VeriBlot for IP secondary antibody(HRP)(ab131366) was used at 1/5000 dilution. Lane 1 : HeLa treated with 10 ng/ml IFN gamma for 16 hours, whole cell lysate 10 ug Lane 2 : ab307282 IP in HeLa treated with 10 ng/ml IFN gamma for 16 hours, whole cell lysate Lane 3 : Rabbit monoclonal IgG (ab172730) instead of ab307282 in HeLa treated with 10ng/ml IFN gamma for 16 hours, whole cell lysate Blocking and dilution buffer and concentration : 5% NFDM/TBST. Exposure time : 1 seconds. Input is non-boiled as boiling may cause protein aggregates.

All lanes:

Immunoprecipitation - Anti-TAP2 antibody [EPR26237-82] (ab307282) at 1/1000 dilution

Lane 1:

HeLa (human epithelial cell line from cervix adenocarcinoma) treated with 10 ng/ml IFN gamma for 16 hours, whole cell lysate 10 μg

Lane 2:

HeLa treated with 10 ng/ml IFN gamma for 16 hours, whole cell lysate

Secondary

All lanes:

Immunoprecipitation - VeriBlot for IP Detection Reagent (HRP) (<a href='/en-us/products/reagents/veriblot-for-ip-detection-reagent-hrp-ab131366'>ab131366</a>) at 1/5000 dilution

Observed band size: 75 kDa

false

Exposure time: 1s

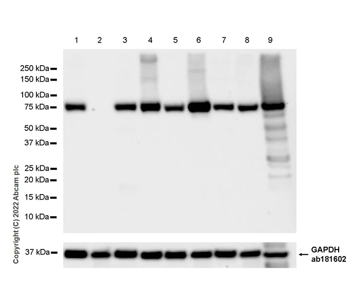
Western blot - Anti-TAP2 antibody [EPR26237-82] (AB307282)
  • WB

Supplier Data

Western blot - Anti-TAP2 antibody [EPR26237-82] (AB307282)

Samples are non-boiled as boiling may cause protein aggregates. The expression of TAP2 is upregulated in response to IFN gamma treatment (PMID : 1946428). Blocking/dilution buffer : 5% NFDM/TBST. Exposure time : 26 seconds.

All lanes:

Western blot - Anti-TAP2 antibody [EPR26237-82] (ab307282) at 1/1000 dilution

Lane 1:

Wild-type HeLa (human cervix adenocarcinoma epithelial cell) whole cell lysate 20 μg

Lane 2:

TAP2 knockout HeLa (human cervix adenocarcinoma epithelial cell) whole cell lysate 20 μg

Lane 3:

Jurkat (human T cell leukemia T lymphocyte from peripheral blood) whole cell lysate 20 μg

Lane 4:

Raji (human Burkitts lymphoma B lymphocyte) whole cell lysate 20 μg

Lane 5:

Untreated HeLa (human epithelial cell line from cervix adenocarcinoma) whole cell lysate 20 μg

Lane 6:

HeLa treated with /ml IFN gamma for 16 hours whole cell lysate 20 μg

Lane 7:

MOLT-4 (human lymphoblastic leukemia T lymphoblast) whole cell lysate 20 μg

Lane 8:

HT-1080 (human fibrosarcoma epithelial cell) whole cell lysate 20 μg

Lane 9:

Human tonsil tissue lysate 20 μg

Secondary

All lanes:

Western blot - Goat Anti-Rabbit IgG H&L (HRP) (<a href='/en-us/products/secondary-antibodies/goat-rabbit-igg-h-l-hrp-ab97051'>ab97051</a>) at 1/100000 dilution

Observed band size: 75 kDa

false

Exposure time: 26s

  • Carrier free

    Anti-TAP2 antibody [EPR26237-82] - BSA and Azide free

Key facts

Host species

Rabbit

Clonality

Monoclonal

Clone number

EPR26237-82

Isotype

IgG

Carrier free

No

Reacts with

Human

Applications

IP, WB, Flow Cyt (Intra), IHC-P, ICC/IF

applications

Immunogen

The exact immunogen used to generate this antibody is proprietary information.

Reactivity data

{ "title": "Reactivity Data", "filters": { "stats": ["", "Species", "Dilution Info", "Notes"], "tabs": { "all-applications": {"fullname" : "All Applications", "shortname": "All Applications"}, "IP" : {"fullname" : "Immunoprecipitation", "shortname":"IP"}, "FlowCytIntra" : {"fullname" : "Flow Cytometry (Intracellular)", "shortname":"Flow Cyt (Intra)"}, "ICCIF" : {"fullname" : "Immunocytochemistry/ Immunofluorescence", "shortname":"ICC/IF"}, "IHCP" : {"fullname" : "Immunohistochemistry (Formalin/PFA-fixed paraffin-embedded sections)", "shortname":"IHC-P"}, "WB" : {"fullname" : "Western blot", "shortname":"WB"} }, "product-promise": { "all": "all", "testedAndGuaranteed": "tested", "guaranteed": "expected", "predicted": "predicted", "notRecommended": "not-recommended" } }, "values": { "Human": { "IP-species-checked": "testedAndGuaranteed", "IP-species-dilution-info": "1/30", "IP-species-notes": "<p></p>", "FlowCytIntra-species-checked": "testedAndGuaranteed", "FlowCytIntra-species-dilution-info": "1/500", "FlowCytIntra-species-notes": "<p></p>", "ICCIF-species-checked": "testedAndGuaranteed", "ICCIF-species-dilution-info": "1/500", "ICCIF-species-notes": "<p></p>", "IHCP-species-checked": "testedAndGuaranteed", "IHCP-species-dilution-info": "", "IHCP-species-notes": "<p></p>", "WB-species-checked": "testedAndGuaranteed", "WB-species-dilution-info": "1/1000", "WB-species-notes": "<p></p>" }, "Mouse": { "IP-species-checked": "notRecommended", "IP-species-dilution-info": "", "IP-species-notes": "", "FlowCytIntra-species-checked": "notRecommended", "FlowCytIntra-species-dilution-info": "", "FlowCytIntra-species-notes": "", "ICCIF-species-checked": "notRecommended", "ICCIF-species-dilution-info": "", "ICCIF-species-notes": "", "IHCP-species-checked": "notRecommended", "IHCP-species-dilution-info": "", "IHCP-species-notes": "<p></p>", "WB-species-checked": "notRecommended", "WB-species-dilution-info": "1/1000", "WB-species-notes": "<p></p>" }, "Rat": { "IP-species-checked": "notRecommended", "IP-species-dilution-info": "", "IP-species-notes": "", "FlowCytIntra-species-checked": "notRecommended", "FlowCytIntra-species-dilution-info": "", "FlowCytIntra-species-notes": "", "ICCIF-species-checked": "notRecommended", "ICCIF-species-dilution-info": "", "ICCIF-species-notes": "", "IHCP-species-checked": "notRecommended", "IHCP-species-dilution-info": "", "IHCP-species-notes": "<p></p>", "WB-species-checked": "notRecommended", "WB-species-dilution-info": "1/1000", "WB-species-notes": "<p></p>" } } }

Product details

Patented technology
Our RabMAb® technology is a patented hybridoma-based technology for making rabbit monoclonal antibodies. For details on our patents, please refer to RabMAb® patents.

What are the advantages of a recombinant monoclonal antibody?
This product is a recombinant monoclonal antibody, which offers several advantages including:

  • - High batch-to-batch consistency and reproducibility
  • - Improved sensitivity and specificity
  • - Long-term security of supply
  • - Animal-free batch production

For more information, read more on recombinant antibodies.

Properties and storage information

Form
Liquid
Purification technique
Affinity purification Protein A
Storage buffer
pH: 7.2 - 7.4 Preservative: 0.01% Sodium azide Constituents: PBS, 40% Glycerol (glycerin, glycerine), 0.05% BSA
Shipped at conditions
Blue Ice
Appropriate short-term storage duration
1-2 weeks
Appropriate short-term storage conditions
+4°C
Appropriate long-term storage conditions
-20°C
Aliquoting information
Upon delivery aliquot
Storage information
Avoid freeze / thaw cycle

Supplementary information

This supplementary information is collated from multiple sources and compiled automatically.

TAP2 also known as Transporter 2 ATP Binding Cassette Subfamily B Member has a mass of approximately 76 kDa. It functions as a part of the peptide-loading complex where it plays a mechanical role in transporting antigen peptides into the endoplasmic reticulum. TAP2 is expressed primarily in antigen-presenting cells such as B cells dendritic cells and macrophages. It is an integral membrane protein located in the membrane of the endoplasmic reticulum.
Biological function summary

The TAP2 protein operates as an important component of the immune system by facilitating the processing and presentation of antigens. It partners with TAP1 and forms a heterodimer complex essential for the transportation of peptides that are 8-16 amino acids long. This action is fundamental for the proper presentation of antigens on major histocompatibility complex (MHC) class I molecules which are pivotal in the recognition of infected or abnormal cells by cytotoxic T lymphocytes.

Pathways

The TAP2 protein plays a significant role in the antigen processing and presentation pathways. It directly impacts the MHC class I pathway by aiding in the selection and transport of peptides that bind to MHC class I molecules. TAP2 functions alongside related proteins such as TAP1 and tapasin which help facilitate the loading of these peptides onto MHC class I molecules in the endoplasmic reticulum preparing them for cell surface presentation.

Mutations or deficiencies in the TAP2 gene are associated with bare lymphocyte syndrome type 1 (BLS1) a rare immunodeficiency disorder. This syndrome relates to a shortage of antigen presentation on MHC class I molecules leading to increased susceptibility to viral infections. TAP2 along with its partner protein TAP1 is critical in maintaining regular immune surveillance and any disruption in their function can result in profound immunological consequences including impaired cytotoxic T cell responses.

Product protocols

For this product, it's our understanding that no specific protocols are required. You can visit:

Target data

ABC transporter associated with antigen processing. In complex with TAP1 mediates unidirectional translocation of peptide antigens from cytosol to endoplasmic reticulum (ER) for loading onto MHC class I (MHCI) molecules (PubMed : 25377891, PubMed : 25656091). Uses the chemical energy of ATP to export peptides against the concentration gradient (PubMed : 25377891). During the transport cycle alternates between 'inward-facing' state with peptide binding site facing the cytosol to 'outward-facing' state with peptide binding site facing the ER lumen. Peptide antigen binding to ATP-loaded TAP1-TAP2 induces a switch to hydrolysis-competent 'outward-facing' conformation ready for peptide loading onto nascent MHCI molecules. Subsequently ATP hydrolysis resets the transporter to the 'inward facing' state for a new cycle (PubMed : 11274390, PubMed : 25377891, PubMed : 25656091). Typically transports intracellular peptide antigens of 8 to 13 amino acids that arise from cytosolic proteolysis via IFNG-induced immunoproteasome. Binds peptides with free N- and C-termini, the first three and the C-terminal residues being critical. Preferentially selects peptides having a highly hydrophobic residue at position 3 and hydrophobic or charged residues at the C-terminal anchor. Proline at position 2 has the most destabilizing effect (PubMed : 11274390, PubMed : 7500034, PubMed : 9256420). As a component of the peptide loading complex (PLC), acts as a molecular scaffold essential for peptide-MHCI assembly and antigen presentation (PubMed : 1538751, PubMed : 25377891, PubMed : 26611325).
See full target information TAP2

Product promise

We are committed to supporting your work with high-quality reagents, and we're here for you every step of the way. In the unlikely event that one of our products does not perform as expected, you're protected by our Product Promise.
For full details, please see our Terms & Conditions

Please note: All products are 'FOR RESEARCH USE ONLY. NOT FOR USE IN DIAGNOSTIC OR THERAPEUTIC PROCEDURES'.

For licensing inquiries, please contact partnerships@abcam.com