JavaScript is disabled in your browser. Please enable JavaScript to view this website.
AB324358

Anti-TAP2 antibody [EPR30552-571] - BSA and Azide free

Be the first to review this product! Submit a review

|

(0 Publication)

Rabbit Recombinant Monoclonal TAP2 antibody. Carrier free. Suitable for WB, IHC-P and reacts with Transfected cell lysate - Mouse, Mouse samples.

View Alternative Names

Abcb3, Ham-2, Ham2, Antigen peptide transporter 2, APT2, ATP-binding cassette sub-family B member 3, Histocompatibility antigen modifier 2

8 Images
Immunohistochemistry (Formalin/PFA-fixed paraffin-embedded sections) - Anti-TAP2 antibody [EPR30552-571] - BSA and Azide free (AB324358)
  • IHC-P

Supplier Data

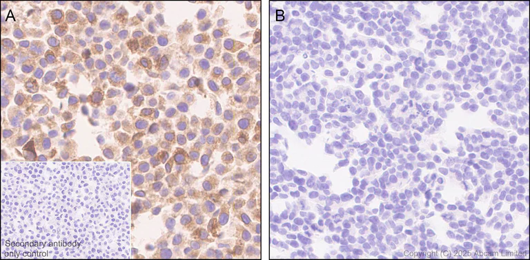
Immunohistochemistry (Formalin/PFA-fixed paraffin-embedded sections) - Anti-TAP2 antibody [EPR30552-571] - BSA and Azide free (AB324358)

This data was developed using ab324348, the same antibody clone in a different buffer formulation.

Immunohistochemical analysis of paraffin-embedded A J774A.1 (mouse reticulum cell sarcoma monocyte/macrophage) cell pellets; B F9 (mouse embryonal carcinoma epithelial cell) cell pellets; tissue labeling TAP2 with ab324348 at 1/5000 (0.102 ug/ml) dilution, followed by a ready to use LeicaDS9800 (Bond™ Polymer Refine Detection).

Positive staining in A : J774A.1 cell pellets, no signal in B : F9 cell pellets.
The primary antibody was incubated for 30 mins at room temperature.
The immunostaining was performed on a Leica Biosystems BOND® RX instrument

Counterstained with Hematoxylin.

Secondary antibody only control : Secondary antibody is a ready to use LeicaDS9800 (Bond™ Polymer Refine Detection).

Heat mediated antigen retrieval was performed with Tris-EDTA buffer (pH 9.0, Epitope Retrieval Solution2) for 20 mins

Immunohistochemistry (Formalin/PFA-fixed paraffin-embedded sections) - Anti-TAP2 antibody [EPR30552-571] - BSA and Azide free (AB324358)
  • IHC-P

Supplier Data

Immunohistochemistry (Formalin/PFA-fixed paraffin-embedded sections) - Anti-TAP2 antibody [EPR30552-571] - BSA and Azide free (AB324358)

This data was developed using ab324348, the same antibody clone in a different buffer formulation.

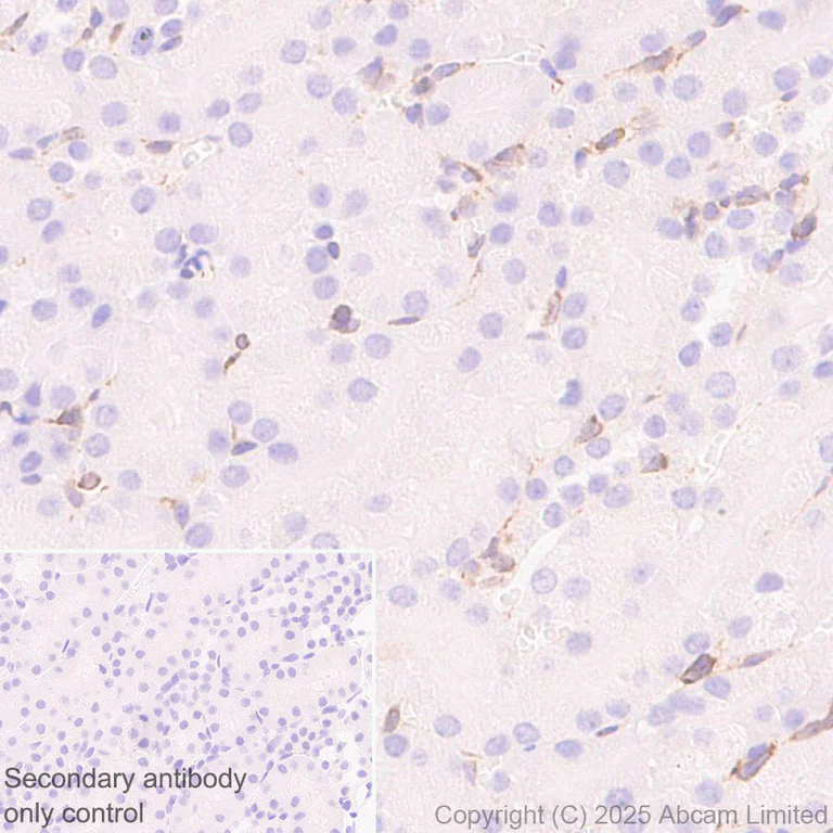
Immunohistochemical analysis of paraffin-embedded Mouse kidney tissue labeling TAP2 with ab324348 at 1/2000 (0.254 ug/ml) dilution, followed by a ready to use LeicaDS9800 (Bond™ Polymer Refine Detection).

Low expression tissue : Positive staining on interstitial cells of mouse kidney.
The primary antibody was incubated for 30 mins at room temperature.
The immunostaining was performed on a Leica Biosystems BOND® RX instrument

Counterstained with Hematoxylin.

Secondary antibody only control : Secondary antibody is a ready to use LeicaDS9800 (Bond™ Polymer Refine Detection).

Heat mediated antigen retrieval was performed with Tris-EDTA buffer (pH 9.0, Epitope Retrieval Solution2) for 20 mins

Immunohistochemistry (Formalin/PFA-fixed paraffin-embedded sections) - Anti-TAP2 antibody [EPR30552-571] - BSA and Azide free (AB324358)
  • IHC-P

Supplier Data

Immunohistochemistry (Formalin/PFA-fixed paraffin-embedded sections) - Anti-TAP2 antibody [EPR30552-571] - BSA and Azide free (AB324358)

This data was developed using ab324348, the same antibody clone in a different buffer formulation.

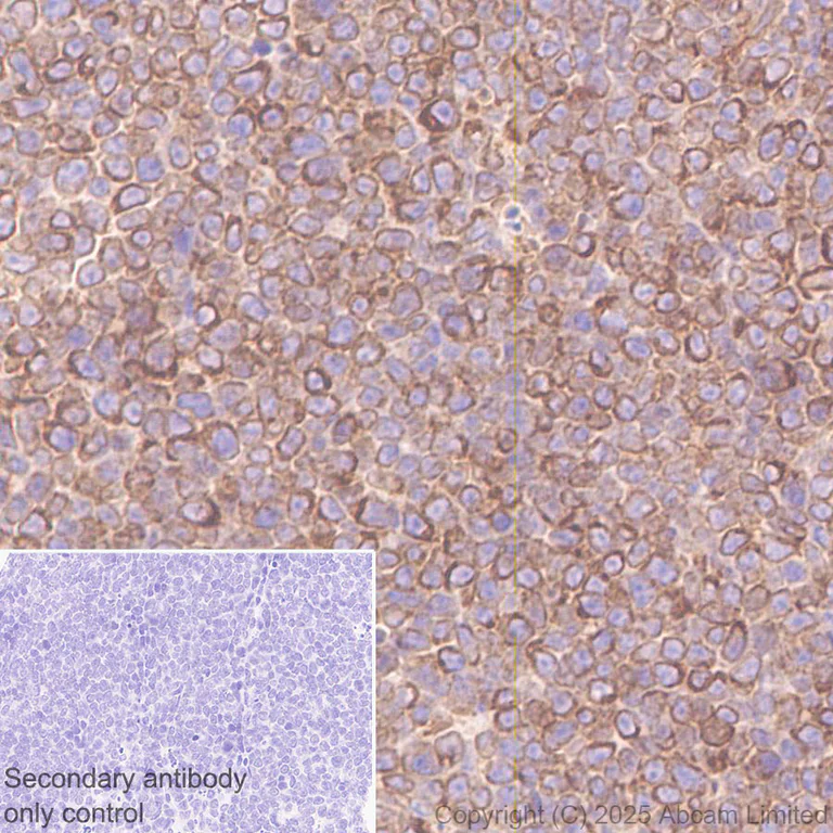
Immunohistochemical analysis of paraffin-embedded Mouse T cell lymphoma tissue labeling TAP2 with ab324348 at 1/2000 (0.254 ug/ml) dilution, followed by a ready to use LeicaDS9800 (Bond™ Polymer Refine Detection).

Positive staining in mouse T cell lymphoma.
The primary antibody was incubated for 30 mins at room temperature.
The immunostaining was performed on a Leica Biosystems BOND® RX instrument

Counterstained with Hematoxylin.

Secondary antibody only control : Secondary antibody is a ready to use LeicaDS9800 (Bond™ Polymer Refine Detection).

Heat mediated antigen retrieval was performed with Tris-EDTA buffer (pH 9.0, Epitope Retrieval Solution2) for 20 mins

Immunohistochemistry (Formalin/PFA-fixed paraffin-embedded sections) - Anti-TAP2 antibody [EPR30552-571] - BSA and Azide free (AB324358)
  • IHC-P

Supplier Data

Immunohistochemistry (Formalin/PFA-fixed paraffin-embedded sections) - Anti-TAP2 antibody [EPR30552-571] - BSA and Azide free (AB324358)

This data was developed using ab324348, the same antibody clone in a different buffer formulation.

Immunohistochemical analysis of paraffin-embedded Mouse spleen tissue labeling TAP2 with ab324348 at 1/2000 (0.254 ug/ml) dilution, followed by a ready to use LeicaDS9800 (Bond™ Polymer Refine Detection).

Positive staining in mouse spleen.
The primary antibody was incubated for 30 mins at room temperature.
The immunostaining was performed on a Leica Biosystems BOND® RX instrument

Counterstained with Hematoxylin.

Secondary antibody only control : Secondary antibody is a ready to use LeicaDS9800 (Bond™ Polymer Refine Detection).

Heat mediated antigen retrieval was performed with Tris-EDTA buffer (pH 9.0, Epitope Retrieval Solution2) for 20 mins

Immunohistochemistry (Formalin/PFA-fixed paraffin-embedded sections) - Anti-TAP2 antibody [EPR30552-571] - BSA and Azide free (AB324358)
  • IHC-P

Supplier Data

Immunohistochemistry (Formalin/PFA-fixed paraffin-embedded sections) - Anti-TAP2 antibody [EPR30552-571] - BSA and Azide free (AB324358)

This data was developed using ab324348, the same antibody clone in a different buffer formulation.

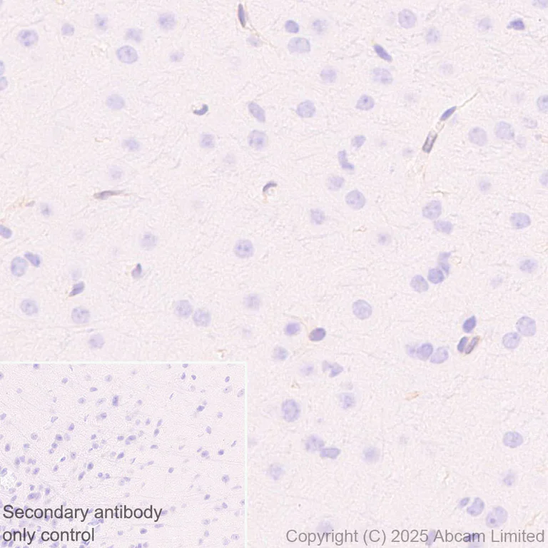
Immunohistochemical analysis of paraffin-embedded Mouse cerebrum tissue labeling TAP2 with ab324348 at 1/2000 (0.254 ug/ml) dilution, followed by a ready to use LeicaDS9800 (Bond™ Polymer Refine Detection).

Low expression tissue : Weak staining in mouse cerebrum.
The primary antibody was incubated for 30 mins at room temperature.
The immunostaining was performed on a Leica Biosystems BOND® RX instrument

Counterstained with Hematoxylin.

Secondary antibody only control : Secondary antibody is a ready to use LeicaDS9800 (Bond™ Polymer Refine Detection).

Heat mediated antigen retrieval was performed with Tris-EDTA buffer (pH 9.0, Epitope Retrieval Solution2) for 20 mins

Western blot - Anti-TAP2 antibody [EPR30552-571] - BSA and Azide free (AB324358)
  • WB

Supplier Data

Western blot - Anti-TAP2 antibody [EPR30552-571] - BSA and Azide free (AB324358)

This data was developed using ab324348, the same antibody clone in a different buffer formulation.

Blocking and diluting buffer and concentration : 5% NFDM/TBST.

Samples are non-boiled as boiling may cause protein aggregation.

In Western blot, Anti-GAPDH antibody [EPR16891] - Loading Control (ab181602) staining at 1/200000 dilution.

All lanes:

Western blot - Anti-TAP2 antibody [EPR30552-571] (<a href='/en-us/products/primary-antibodies/tap2-antibody-epr30552-571-ab324348'>ab324348</a>) at 1/1000 dilution

Lane 1:

Untreated NIH/3T3 (mouse embryonic fibroblast) whole cell lysate at 20 µg

Lane 2:

NIH/3T3 treated with 100 ng/ml INF gamma for 48 hours, whole cell lysate at 20 µg

Secondary

All lanes:

Western blot - Goat Anti-Rabbit IgG H&L (HRP) (<a href='/en-us/products/secondary-antibodies/goat-rabbit-igg-h-l-hrp-ab97051'>ab97051</a>) at 1/100000 dilution

Observed band size: 75 kDa,36 kDa

false

Exposure time: 37s

Western blot - Anti-TAP2 antibody [EPR30552-571] - BSA and Azide free (AB324358)
  • WB

Supplier Data

Western blot - Anti-TAP2 antibody [EPR30552-571] - BSA and Azide free (AB324358)

This data was developed using ab324348, the same antibody clone in a different buffer formulation.

Blocking and diluting buffer and concentration : 5% NFDM/TBST.

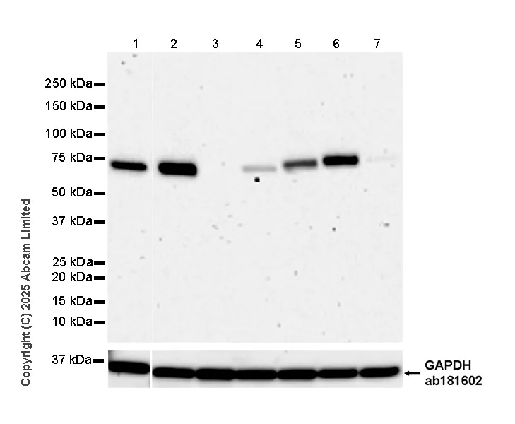
Low expression : F9, RAW 264.7, kidney.

Samples are non-boiled as boiling may cause protein aggregation.

In Western blot, Anti-GAPDH antibody [EPR16891] - Loading Control (ab181602) staining at 1/200000 dilution.

All lanes:

Western blot - Anti-TAP2 antibody [EPR30552-571] (<a href='/en-us/products/primary-antibodies/tap2-antibody-epr30552-571-ab324348'>ab324348</a>) at 1/1000 dilution

Lane 1:

J774A.1 (mouse reticulum cell sarcoma monocyte/macrophage) whole cell lysate at 20 µg

Lane 2:

CTLL-2 (mouse T lymphocyte) whole cell lysate at 20 µg

Lane 3:

F9 (mouse embryonal carcinoma epithelial cell) whole cell lysate at 20 µg

Lane 4:

RAW 264.7 (mouse Abelson murine leukemia virus-induced tumor macrophage) whole cell lysate at 20 µg

Lane 5:

Mouse liver tissue lysate at 20 µg

Lane 6:

Mouse spleen tissue lysate at 20 µg

Lane 7:

Mouse kidney tissue lysate at 20 µg

Secondary

All lanes:

Western blot - Goat Anti-Rabbit IgG H&L (HRP) (<a href='/en-us/products/secondary-antibodies/goat-rabbit-igg-h-l-hrp-ab97051'>ab97051</a>) at 1/100000 dilution

Observed band size: 75 kDa,36 kDa

false

Exposure time: 180s

Western blot - Anti-TAP2 antibody [EPR30552-571] - BSA and Azide free (AB324358)
  • WB

Supplier Data

Western blot - Anti-TAP2 antibody [EPR30552-571] - BSA and Azide free (AB324358)

This data was developed using ab324348, the same antibody clone in a different buffer formulation.

Blocking and diluting buffer and concentration : 5% NFDM/TBST.

This antibody does not cross-react with overexpressed mouse TAP1 by western blot.

Samples are non-boiled as boiling may cause protein aggregation.

In Western blot, Anti-GAPDH antibody [EPR16891] - Loading Control (ab181602) staining at 1/200000 dilution.

All lanes:

Western blot - Anti-TAP2 antibody [EPR30552-571] (<a href='/en-us/products/primary-antibodies/tap2-antibody-epr30552-571-ab324348'>ab324348</a>) at 1/1000 dilution

Lane 1:

293T cells transfected with an empty vector containing a myc-His-tag® whole cell lysate at 20 µg

Lane 2:

293T cells transfected with a mouse TAP2 expression vector containing a myc-His-tag® whole cell lysate at 20 µg

Lane 3:

293T cells transfected with a mouse TAP1 expression vector containing a myc-His-tag® whole cell lysate at 20 µg

Secondary

All lanes:

Western blot - Goat Anti-Rabbit IgG H&L (HRP) (<a href='/en-us/products/secondary-antibodies/goat-rabbit-igg-h-l-hrp-ab97051'>ab97051</a>) at 1/100000 dilution

Observed band size: 70-300 kDa,36 kDa

false

Exposure time: 7s

Key facts

Host species

Rabbit

Clonality

Monoclonal

Clone number

EPR30552-571

Isotype

IgG

Carrier free

Yes

Reacts with

Mouse

Applications

WB, IHC-P

applications

Immunogen

The exact immunogen used to generate this antibody is proprietary information.

Reactivity data

{ "title": "Reactivity Data", "filters": { "stats": ["", "Species", "Dilution Info", "Notes"], "tabs": { "all-applications": {"fullname" : "All Applications", "shortname": "All Applications"}, "WB" : {"fullname" : "Western blot", "shortname":"WB"}, "IHCP" : {"fullname" : "Immunohistochemistry (Formalin/PFA-fixed paraffin-embedded sections)", "shortname":"IHC-P"} }, "product-promise": { "all": "all", "testedAndGuaranteed": "tested", "guaranteed": "expected", "predicted": "predicted", "notRecommended": "not-recommended" } }, "values": { "Mouse": { "WB-species-checked": "testedAndGuaranteed", "WB-species-dilution-info": "", "WB-species-notes": "<p></p>", "IHCP-species-checked": "testedAndGuaranteed", "IHCP-species-dilution-info": "", "IHCP-species-notes": "<p></p> Perform heat-mediated antigen retrieval with Tris/EDTA buffer pH 9.0 before commencing with IHC staining protocol." }, "Transfected cell lysate - Mouse": { "WB-species-checked": "testedAndGuaranteed", "WB-species-dilution-info": "", "WB-species-notes": "<p></p>", "IHCP-species-checked": "notRecommended", "IHCP-species-dilution-info": "", "IHCP-species-notes": "" } } }

Product details

ab324358 is the carrier-free version of ab324348

Patented technology
Our RabMAb® technology is a patented hybridoma-based technology for making rabbit monoclonal antibodies. For details on our patents, please refer to RabMAb® patents.

What are the advantages of a recombinant monoclonal antibody?
This product is a recombinant monoclonal antibody, which offers several advantages including:

  • - High batch-to-batch consistency and reproducibility
  • - Improved sensitivity and specificity
  • - Long-term security of supply
  • - Animal-free batch production

For more information, read more on recombinant antibodies.

Conjugation ready
Our carrier-free antibodies are typically supplied in a PBS-only formulation, purified and free of BSA, sodium azide and glycerol. This conjugation-ready format is designed for use with fluorochromes, metal isotopes, oligonucleotides, and enzymes, which makes them ideal for antibody labelling, functional and cell-based assays, flow-based assays (e.g. mass cytometry) and Multiplex Imaging applications.

Use our conjugation kits for antibody conjugates that are ready-to-use in as little as 20 minutes with 1 minute hands-on-time and 100% antibody recovery: available for fluorescent dyes, HRP, biotin and gold.

Compatibility
This product is compatible with the Maxpar® Antibody Labeling Kit from Fluidigm, without the need for antibody preparation. Maxpar® is a trademark of Fluidigm Canada Inc.

Properties and storage information

Form
Liquid
Purification technique
Affinity purification Protein A
Storage buffer
pH: 7.2 - 7.4 Constituents: 100% PBS
Shipped at conditions
Blue Ice
Appropriate short-term storage conditions
+4°C
Appropriate long-term storage conditions
+4°C

Product protocols

For this product, it's our understanding that no specific protocols are required. You can visit:

Target data

ABC transporter associated with antigen processing. In complex with TAP1 mediates unidirectional translocation of peptide antigens from cytosol to endoplasmic reticulum (ER) for loading onto MHC class I (MHCI) molecules. Uses the chemical energy of ATP to export peptides against the concentration gradient. During the transport cycle alternates between 'inward-facing' state with peptide binding site facing the cytosol to 'outward-facing' state with peptide binding site facing the ER lumen. Peptide antigen binding to ATP-loaded TAP1-TAP2 induces a switch to hydrolysis-competent 'outward-facing' conformation ready for peptide loading onto nascent MHCI molecules. Subsequently ATP hydrolysis resets the transporter to the 'inward facing' state for a new cycle. As a component of the peptide loading complex (PLC), acts as a molecular scaffold essential for peptide-MHCI assembly and antigen presentation.
See full target information Tap2

Product promise

We are committed to supporting your work with high-quality reagents, and we're here for you every step of the way. In the unlikely event that one of our products does not perform as expected, you're protected by our Product Promise.
For full details, please see our Terms & Conditions

Please note: All products are 'FOR RESEARCH USE ONLY. NOT FOR USE IN DIAGNOSTIC OR THERAPEUTIC PROCEDURES'.

For licensing inquiries, please contact partnerships@abcam.com