JavaScript is disabled in your browser. Please enable JavaScript to view this website.
AB236419

Anti-TAPBP-R antibody [OTI1C9]

Be the first to review this product! Submit a review

|

(1 Publication)

Mouse Monoclonal TAPBP-R antibody. Suitable for IHC-P, WB and reacts with Human, Mouse, African green monkey samples. Cited in 1 publication. Immunogen corresponding to Recombinant Full Length Protein corresponding to Human TAPBPL.

View Alternative Names

Tapasin-related protein, TAPASIN-R, TAP-binding protein-like, TAP-binding protein-related protein, Tapasin-like, TAPBP-R, TAPBPL

4 Images
Immunohistochemistry (Formalin/PFA-fixed paraffin-embedded sections) - Anti-TAPBP-R antibody [OTI1C9] (AB236419)
  • IHC-P

Supplier Data

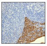
Immunohistochemistry (Formalin/PFA-fixed paraffin-embedded sections) - Anti-TAPBP-R antibody [OTI1C9] (AB236419)

Paraffin-embedded human panceas carcinoma tissue stained for TAPBP-R using ab236419 at 1/100 dilution in immunohistochemical analysis.

Immunohistochemistry (Formalin/PFA-fixed paraffin-embedded sections) - Anti-TAPBP-R antibody [OTI1C9] (AB236419)
  • IHC-P

Supplier Data

Immunohistochemistry (Formalin/PFA-fixed paraffin-embedded sections) - Anti-TAPBP-R antibody [OTI1C9] (AB236419)

Paraffin-embedded human tonsil tissue stained for TAPBP-R using ab236419 at 1/100 dilution in immunohistochemical analysis.

Western blot - Anti-TAPBP-R antibody [OTI1C9] (AB236419)
  • WB

Unknown

Western blot - Anti-TAPBP-R antibody [OTI1C9] (AB236419)

All lanes:

Western blot - Anti-TAPBP-R antibody [OTI1C9] (ab236419) at 1/2000 dilution

Lane 1:

HepG2 (human liver hepatocellular carcinoma cell line) cell lysate at 35 µg

Lane 2:

HeLa (human epithelial cell line from cervix adenocarcinoma) cell lysate at 35 µg

Lane 3:

SVT2 cell lysate at 35 µg

Lane 4:

A549 (human lung carcinoma cell line) cell lysate at 35 µg

Lane 5:

COS-7 (african green monkey kidney fibroblast-like cell line) cell lysate at 35 µg

Lane 6:

Jurkat (human T cell leukemia cell line from peripheral blood) cell lysate at 35 µg

Lane 7:

MDCK (canine kidney cell line) cell lysate at 35 µg

Lane 8:

PC-12 (rat adrenal gland pheochromocytoma cell line) cell lysate at 35 µg

Lane 9:

MCF7 (human breast adenocarcinoma cell line) cell lysate at 35 µg

Predicted band size: 50 kDa

false

Western blot - Anti-TAPBP-R antibody [OTI1C9] (AB236419)
  • WB

Supplier Data

Western blot - Anti-TAPBP-R antibody [OTI1C9] (AB236419)

All lanes:

Western blot - Anti-TAPBP-R antibody [OTI1C9] (ab236419) at 1/2000 dilution

Lane 1:

HEK-293T (human epithelial cell line from embryonic kidney transformed with large T antigen) transfected with pCMV6-ENTRY control cDNA at 5 µg

Lane 2:

HEK-293T transfected with pCMV6-ENTRY TAPBP-R cDNA at 5 µg

Predicted band size: 50 kDa

false

Key facts

Host species

Mouse

Clonality

Monoclonal

Clone number

OTI1C9

Isotype

IgG1

Carrier free

No

Reacts with

Mouse, Human, African green monkey

Applications

IHC-P, WB

applications

Immunogen

Recombinant Full Length Protein corresponding to Human TAPBPL.

Q9BX59

Reactivity data

{ "title": "Reactivity Data", "filters": { "stats": ["", "Species", "Dilution Info", "Notes"], "tabs": { "all-applications": {"fullname" : "All Applications", "shortname": "All Applications"}, "IHCP" : {"fullname" : "Immunohistochemistry (Formalin/PFA-fixed paraffin-embedded sections)", "shortname":"IHC-P"}, "WB" : {"fullname" : "Western blot", "shortname":"WB"} }, "product-promise": { "all": "all", "testedAndGuaranteed": "tested", "guaranteed": "expected", "predicted": "predicted", "notRecommended": "not-recommended" } }, "values": { "Human": { "IHCP-species-checked": "testedAndGuaranteed", "IHCP-species-dilution-info": "1/100", "IHCP-species-notes": "<p></p>", "WB-species-checked": "testedAndGuaranteed", "WB-species-dilution-info": "1/2000", "WB-species-notes": "<p></p>" }, "Mouse": { "IHCP-species-checked": "guaranteed", "IHCP-species-dilution-info": "", "IHCP-species-notes": "", "WB-species-checked": "testedAndGuaranteed", "WB-species-dilution-info": "1/2000", "WB-species-notes": "<p></p>" }, "Rat": { "IHCP-species-checked": "notRecommended", "IHCP-species-dilution-info": "1/100", "IHCP-species-notes": "<p></p>", "WB-species-checked": "notRecommended", "WB-species-dilution-info": "1/2000", "WB-species-notes": "<p></p>" }, "African green monkey": { "IHCP-species-checked": "guaranteed", "IHCP-species-dilution-info": "", "IHCP-species-notes": "", "WB-species-checked": "testedAndGuaranteed", "WB-species-dilution-info": "1/2000", "WB-species-notes": "<p></p>" }, "Dog": { "IHCP-species-checked": "notRecommended", "IHCP-species-dilution-info": "", "IHCP-species-notes": "", "WB-species-checked": "notRecommended", "WB-species-dilution-info": "1/2000", "WB-species-notes": "<p></p>" } } }

Product details

Clone OTI1C9 (formerly 1C9).

Properties and storage information

Form
Liquid
Purification technique
Affinity purification
Purification notes
Purified from cell culture supernatant.
Storage buffer
pH: 7.3 Preservative: 0.02% Sodium azide Constituents: PBS, 50% Glycerol (glycerin, glycerine), 1% BSA
Shipped at conditions
Blue Ice
Appropriate short-term storage duration
1-2 weeks
Appropriate short-term storage conditions
+4°C
Appropriate long-term storage conditions
-20°C
Aliquoting information
Upon delivery aliquot
Storage information
Avoid freeze / thaw cycle

Supplementary information

This supplementary information is collated from multiple sources and compiled automatically.

TAPBP-R also known as Tapasin-related protein is a protein that mechanically facilitates immune function by assisting in the assembly and stabilization of the major histocompatibility complex (MHC) Class I molecules. It weighs approximately 46 kDa. TAPBP-R is expressed widely across various tissues with notable presence in the thymus and lymph nodes. It plays a significant role in immune surveillance and the presentation of antigenic peptides.
Biological function summary

TAPBP-R interacts in the peptide loading complex which supports the proper folding and peptide binding to MHC Class I molecules. This interaction allows effective antigen presentation necessary for the immune response. TAPBP-R works alongside other components of the peptide loading complex including TAP1 and TAP2 transporters calnexin and ERp57 contributing significantly to immune function.

Pathways

TAPBP-R operates within the antigen processing and presentation pathway. This protein aligns closely with the MHC Class I antigen presentation pathway where TAP1 and TAP2 are essential partners. Within this system TAPBP-R optimizes MHC Class I assembly coordinating with key pathway proteins to maintain efficient immune surveillance and responses against pathogens.

TAPBP-R links with conditions such as autoimmune diseases and cancer. Abnormalities in TAPBP-R expression or function can disrupt antigen presentation influencing the progression of autoimmune disorders. Additionally TAPBP-R connects with proteins like MHC Class I in cancer where its modified expression might facilitate immune evasion by tumor cells. Understanding these interactions provides insights into therapeutic targets and immune modulation in such diseases.

Product protocols

For this product, it's our understanding that no specific protocols are required. You can visit:

Target data

Component of the antigen processing and presentation pathway, which binds to MHC class I coupled with beta2-microglobulin/B2M. Association between TAPBPR and MHC class I occurs in the absence of a functional peptide-loading complex (PLC).
See full target information TAPBPL

Publications (1)

Recent publications for all applications. Explore the full list and refine your search

Cell stem cell 30:171-187.e14 PubMed36736291

2023

SYF2 suppression mitigates neurodegeneration in models of diverse forms of ALS.

Applications

Unspecified application

Species

Unspecified reactive species

Gabriel R Linares,Yichen Li,Wen-Hsuan Chang,Jasper Rubin-Sigler,Stacee Mendonca,Sarah Hong,Yunsun Eoh,Wenxuan Guo,Yi-Hsuan Huang,Jonathan Chang,Sharon Tu,Nomongo Dorjsuren,Manuel Santana,Shu-Ting Hung,Johnny Yu,Joscany Perez,Michael Chickering,Tze-Yuan Cheng,Chi-Chou Huang,Shih-Jong James Lee,Hao-Jen Deng,Kieu-Tram Bach,Kamden Gray,Vishvak Subramanyam,Jeffrey Rosenfeld,Samuel V Alworth,Hani Goodarzi,Justin K Ichida
View all publications

Product promise

We are committed to supporting your work with high-quality reagents, and we're here for you every step of the way. In the unlikely event that one of our products does not perform as expected, you're protected by our Product Promise.
For full details, please see our Terms & Conditions

Please note: All products are 'FOR RESEARCH USE ONLY. NOT FOR USE IN DIAGNOSTIC OR THERAPEUTIC PROCEDURES'.

For licensing inquiries, please contact partnerships@abcam.com