JavaScript is disabled in your browser. Please enable JavaScript to view this website.
AB230181

Anti-TAPP-1 antibody

Be the first to review this product! Submit a review

|

(2 Publications)

Rabbit Polyclonal TAPP-1 antibody. Suitable for IHC-P and reacts with Human samples. Cited in 2 publications. Immunogen corresponding to Recombinant Fragment Protein within Human PLEKHA1 aa 250 to C-terminus.

View Alternative Names

TAPP1, PLEKHA1, Pleckstrin homology domain-containing family A member 1, PH domain-containing family A member 1, Tandem PH domain-containing protein 1, TAPP-1

2 Images
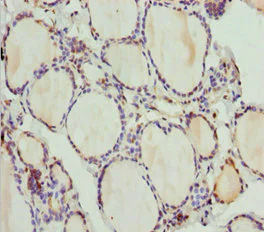
Immunohistochemistry (Formalin/PFA-fixed paraffin-embedded sections) - Anti-TAPP-1 antibody (AB230181)
  • IHC-P

Supplier Data

Immunohistochemistry (Formalin/PFA-fixed paraffin-embedded sections) - Anti-TAPP-1 antibody (AB230181)

Paraffin-embedded human thyroid tissue stained for TAPP-1 using ab230181 at 1/100 dilution in immunohistochemical analysis.

Immunohistochemistry (Formalin/PFA-fixed paraffin-embedded sections) - Anti-TAPP-1 antibody (AB230181)
  • IHC-P

Supplier Data

Immunohistochemistry (Formalin/PFA-fixed paraffin-embedded sections) - Anti-TAPP-1 antibody (AB230181)

Paraffin-embedded human colon cancer tissue stained for TAPP-1 using ab230181 at 1/100 dilution in immunohistochemical analysis.

Key facts

Host species

Rabbit

Clonality

Polyclonal

Isotype

IgG

Carrier free

No

Reacts with

Human

Applications

IHC-P

applications

Immunogen

Recombinant Fragment Protein within Human PLEKHA1 aa 250 to C-terminus. The exact immunogen used to generate this antibody is proprietary information.

Q9HB21

Reactivity data

{ "title": "Reactivity Data", "filters": { "stats": ["", "Species", "Dilution Info", "Notes"], "tabs": { "all-applications": {"fullname" : "All Applications", "shortname": "All Applications"}, "IHCP" : {"fullname" : "Immunohistochemistry (Formalin/PFA-fixed paraffin-embedded sections)", "shortname":"IHC-P"} }, "product-promise": { "all": "all", "testedAndGuaranteed": "tested", "guaranteed": "expected", "predicted": "predicted", "notRecommended": "not-recommended" } }, "values": { "Human": { "IHCP-species-checked": "testedAndGuaranteed", "IHCP-species-dilution-info": "1/20 - 1/200", "IHCP-species-notes": "<p></p>" } } }

Properties and storage information

Form
Liquid
Purification technique
Affinity purification Immunogen
Storage buffer
pH: 7.3 Preservative: 0.02% Sodium azide Constituents: PBS, 50% Glycerol (glycerin, glycerine)
Shipped at conditions
Blue Ice
Appropriate short-term storage duration
1-2 weeks
Appropriate short-term storage conditions
+4°C
Appropriate long-term storage conditions
-20°C
Aliquoting information
Upon delivery aliquot
Storage information
Avoid freeze / thaw cycle

Supplementary information

This supplementary information is collated from multiple sources and compiled automatically.

TAPP-1 also known as tandem PH domain-containing protein 1 is a signaling protein with a molecular weight of approximately 50 kDa. It features tandem PH domains that bind to phosphoinositides specifically PI(34)P2 which is a phospholipid signaling molecule. TAPP-1 is expressed in various tissues including the immune system cells such as lymphocytes and other hematopoietic cells. It plays an important role in the context of phosphatidylinositol signaling pathways.
Biological function summary

This protein is important for immune system functions and is involved in cellular signaling processes that govern cell survival proliferation and migration. TAPP-1 can exist as part of larger signaling complexes where it helps to scaffold proteins to phosphoinositide-rich membranes. This interaction directs the spatial and temporal assembly of signaling components critical for immune cell activation and response.

Pathways

TAPP-1 plays a role in PI3K (phosphoinositide 3-kinase) signaling an important pathway in the regulation of the immune response and cellular growth. Its activity impacts the AKT signaling pathway linking it to cell proliferation and survival functions. TAPP-1 works in concert with proteins like SHIP and BTK influencing their activity in the phosphoinositide signaling web that regulates immune cell behavior.

The regulation of TAPP-1 is significant in immune-related disorders and cancers as imbalances in PI3K signaling may lead to these conditions. Aberrant expression or mutation of TAPP-1 has been linked to leukemia where altered phosphoinositide signaling contributes to abnormal cell proliferation. Moreover it shows connection with SHIP through its involvement in immune dysfunctions pointing to a role in diseases like autoimmune disorders where immune signaling pathways are disrupted.

Product protocols

For this product, it's our understanding that no specific protocols are required. You can visit:

Target data

Binds specifically to phosphatidylinositol 3,4-diphosphate (PtdIns3,4P2), but not to other phosphoinositides. May recruit other proteins to the plasma membrane.
See full target information PLEKHA1

Publications (2)

Recent publications for all applications. Explore the full list and refine your search

iScience 26:108370 PubMed38034348

2023

Molecular subtyping and characterization of clear cell renal cell carcinoma by tumor differentiation trajectories.

Applications

Unspecified application

Species

Unspecified reactive species

Xiu-Wu Pan,Wen-Jin Chen,Da Xu,Wen-Bin Guan,Lin Li,Jia-Xin Chen,Wei-Jie Chen,Ke-Qin Dong,Jian-Qing Ye,Si-Shun Gan,Wang Zhou,Xin-Gang Cui

Animal cells and systems 22:273-280 PubMed30460108

2018

Increase in anti-apoptotic molecules, nucleolin, and heat shock protein 70, against upregulated LRRK2 kinase activity.

Applications

Unspecified application

Species

Unspecified reactive species

Jihoon Jang,Hakjin Oh,Daleum Nam,Wongi Seol,Mi Kyoung Seo,Sung Woo Park,Hyung Gun Kim,Hyemyung Seo,Ilhong Son,Dong Hwan Ho
View all publications

Product promise

We are committed to supporting your work with high-quality reagents, and we're here for you every step of the way. In the unlikely event that one of our products does not perform as expected, you're protected by our Product Promise.
For full details, please see our Terms & Conditions

Please note: All products are 'FOR RESEARCH USE ONLY. NOT FOR USE IN DIAGNOSTIC OR THERAPEUTIC PROCEDURES'.

For licensing inquiries, please contact partnerships@abcam.com