JavaScript is disabled in your browser. Please enable JavaScript to view this website.
AB115896

Anti-TARBP1 antibody

1

(1 Review)

|

(1 Publication)

Rabbit Polyclonal TARBP1 antibody. Suitable for IHC-P and reacts with Human samples. Cited in 1 publication. Immunogen corresponding to Synthetic Peptide within Human TARBP1 conjugated to Keyhole Limpet Haemocyanin.

View Alternative Names

TRM3, TRP185, TARBP1, Probable methyltransferase TARBP1, TAR RNA-binding protein 1, TAR RNA-binding protein of 185 kDa, TRP-185

2 Images
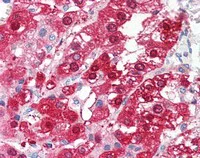
Immunohistochemistry (Formalin/PFA-fixed paraffin-embedded sections) - Anti-TARBP1 antibody (AB115896)
  • IHC-P

Unknown

Immunohistochemistry (Formalin/PFA-fixed paraffin-embedded sections) - Anti-TARBP1 antibody (AB115896)

ab115896, at 5 ug/ml, staining TARBP1 in formalin fixed, paraffin embedded Human Prostate by Immunohistochemistry. Developed using biotinylated goat anti-rabbit IgG secondary antibody, alkaline phosphatase-streptavidin and chromogen.

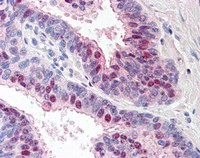
Immunohistochemistry (Formalin/PFA-fixed paraffin-embedded sections) - Anti-TARBP1 antibody (AB115896)
  • IHC-P

Unknown

Immunohistochemistry (Formalin/PFA-fixed paraffin-embedded sections) - Anti-TARBP1 antibody (AB115896)

ab115896, at 5 ug/ml, staining TARBP1 in formalin fixed, paraffin embedded Human adrenal by Immunohistochemistry. Developed using biotinylated goat anti-rabbit IgG secondary antibody, alkaline phosphatase-streptavidin and chromogen.

Key facts

Host species

Rabbit

Clonality

Polyclonal

Isotype

IgG

Carrier free

No

Reacts with

Human

Applications

IHC-P

applications

Immunogen

Synthetic Peptide within Human TARBP1 conjugated to Keyhole Limpet Haemocyanin. The exact immunogen used to generate this antibody is proprietary information.

Q13395

Reactivity data

{ "title": "Reactivity Data", "filters": { "stats": ["", "Species", "Dilution Info", "Notes"], "tabs": { "all-applications": {"fullname" : "All Applications", "shortname": "All Applications"}, "IHCP" : {"fullname" : "Immunohistochemistry (Formalin/PFA-fixed paraffin-embedded sections)", "shortname":"IHC-P"} }, "product-promise": { "all": "all", "testedAndGuaranteed": "tested", "guaranteed": "expected", "predicted": "predicted", "notRecommended": "not-recommended" } }, "values": { "Human": { "IHCP-species-checked": "testedAndGuaranteed", "IHCP-species-dilution-info": "5 µg/mL", "IHCP-species-notes": "<p></p>" }, "Mouse": { "IHCP-species-checked": "predicted", "IHCP-species-dilution-info": "", "IHCP-species-notes": "" } } }

Properties and storage information

Form
Liquid
Purification technique
Affinity purification Immunogen
Storage buffer
pH: 7.4 Preservative: 0.02% Sodium azide Constituents: PBS
Shipped at conditions
Blue Ice
Appropriate short-term storage duration
1-2 weeks
Appropriate short-term storage conditions
+4°C
Appropriate long-term storage conditions
-20°C
Storage information
Avoid freeze / thaw cycle

Supplementary information

This supplementary information is collated from multiple sources and compiled automatically.

TARBP1 also known as RISC-loading complex subunit TARBP1 weighs approximately 314 amino acids in size. It is widely expressed in various tissues with a significant presence in the brain and other areas with high RNA activity. TARBP1 plays a mechanical role in RNA binding and processing. It influences RNA silencing pathways by interacting with specific RNA molecules which regulate gene expression. This protein modulates post-transcriptional gene silencing by forming complexes with other proteins to assist in targeting RNA molecules for degradation or translational repression.
Biological function summary

TARBP1 is involved in the RNA interference (RNAi) pathway contributing to cellular regulatory mechanisms. It associates closely with the RNA-induced silencing complex (RISC) facilitating the recognition and processing of RNA targets. This protein functions as a cofactor aiding AGO2 in cleaving target mRNA an important part of gene silencing processes within the cellular environment. These interactions are vital for maintaining cellular homeostasis and regulating various gene expression pathways through post-transcriptional modifications.

Pathways

TARBP1 is integral to the RNA-induced silencing complex loading pathway and the microRNA (miRNA) biogenesis pathway. In these pathways TARBP1 works in concert with Dicer a ribonuclease enzyme to facilitate the maturation of miRNAs which are pivotal in gene regulation. This interaction determines the gene expression patterns essential for cellular processes such as development and differentiation highlighting TARBP1’s importance in RNA silencing pathways.

TARBP1 has connections to cancer and neurodegenerative diseases. In cancer altered expression levels of TARBP1 can affect miRNA processing leading to dysregulation of genes involved in cell proliferation and apoptosis contributing to tumorigenesis. Similarly misregulation of miRNA activity influenced by TARBP1 has been observed in Alzheimer's disease where imbalanced RNA processing can lead to neuronal dysfunction. Proteins such as AGO2 and Dicer are intricately connected to these conditions as they collaborate with TARBP1 in the regulation of miRNA pathways influencing disease progression and outcomes.

Product protocols

For this product, it's our understanding that no specific protocols are required. You can visit:

Target data

Probable S-adenosyl-L-methionine-dependent methyltransferase which methylates RNA molecules such as tRNAs.. (Microbial infection) In case of infection by HIV-1, it binds to the loop region of TAR RNA, a region also bound by RNA polymerase II (PubMed : 7638159, PubMed : 8626763, PubMed : 8846792). Binding of TARBP1 and RNA polymerase II to HIV-1 TAR RNA is mutually exclusive, suggesting that TARBP1 may function alone or in conjunction with HIV-1 Tat to disengage RNA polymerase II from HIV-1 TAR RNA (PubMed : 7638159, PubMed : 8626763, PubMed : 8846792).
See full target information TARBP1

Publications (1)

Recent publications for all applications. Explore the full list and refine your search

Frontiers in cellular neuroscience 13:420 PubMed31607866

2019

The ATP-P2X7 Signaling Pathway Participates in the Regulation of Slit1 Expression in Satellite Glial Cells.

Applications

Unspecified application

Species

Unspecified reactive species

Quanpeng Zhang,Jiuhong Zhao,Jing Shen,Xianfang Zhang,Rui Ren,Zhijian Ma,Yuebin He,Qian Kang,Yanshan Wang,Xu Dong,Jin Sun,Zhuozhou Liu,Xinan Yi
View all publications

Product promise

We are committed to supporting your work with high-quality reagents, and we're here for you every step of the way. In the unlikely event that one of our products does not perform as expected, you're protected by our Product Promise.
For full details, please see our Terms & Conditions

Please note: All products are 'FOR RESEARCH USE ONLY. NOT FOR USE IN DIAGNOSTIC OR THERAPEUTIC PROCEDURES'.

For licensing inquiries, please contact partnerships@abcam.com