JavaScript is disabled in your browser. Please enable JavaScript to view this website.
AB216025

Anti-Tartrate Resistant Acid Phosphatase antibody [ACP5/1070]

5

(1 Review)

|

(2 Publications)

Mouse Monoclonal Tartrate Resistant Acid Phosphatase antibody. Suitable for IHC-P and reacts with Human samples. Cited in 2 publications. Immunogen corresponding to Recombinant Full Length Protein corresponding to Human Tartrate-resistant acid phosphatase type 5.

View Alternative Names

Tartrate-resistant acid phosphatase type 5, TR-AP, Tartrate-resistant acid ATPase, Type 5 acid phosphatase, TrATPase, ACP5

1 Images
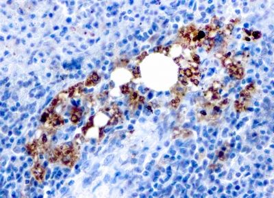
Immunohistochemistry (Formalin/PFA-fixed paraffin-embedded sections) - Anti-Tartrate Resistant Acid Phosphatase antibody [ACP5/1070] (AB216025)
  • IHC-P

Supplier Data

Immunohistochemistry (Formalin/PFA-fixed paraffin-embedded sections) - Anti-Tartrate Resistant Acid Phosphatase antibody [ACP5/1070] (AB216025)

Immunohistochemical analysis of formalin-fixed and paraffin-embedded Human spleen tissue labeling Tartrate Resistant Acid Phosphatase with ab216025 at 1 μg/ml dilution.

Key facts

Host species

Mouse

Clonality

Monoclonal

Clone number

ACP5/1070

Isotype

IgG2b

Light chain type

kappa

Carrier free

No

Reacts with

Human

Applications

IHC-P

applications

Immunogen

Recombinant Full Length Protein corresponding to Human Tartrate-resistant acid phosphatase type 5.

P13686

Reactivity data

{ "title": "Reactivity Data", "filters": { "stats": ["", "Species", "Dilution Info", "Notes"], "tabs": { "all-applications": {"fullname" : "All Applications", "shortname": "All Applications"}, "IHCP" : {"fullname" : "Immunohistochemistry (Formalin/PFA-fixed paraffin-embedded sections)", "shortname":"IHC-P"} }, "product-promise": { "all": "all", "testedAndGuaranteed": "tested", "guaranteed": "expected", "predicted": "predicted", "notRecommended": "not-recommended" } }, "values": { "Human": { "IHCP-species-checked": "testedAndGuaranteed", "IHCP-species-dilution-info": "1-2 µg/mL", "IHCP-species-notes": "<p></p> Perform heat-mediated antigen retrieval with Tris/EDTA buffer pH 9.0 before commencing with IHC staining protocol." }, "Mouse": { "IHCP-species-checked": "predicted", "IHCP-species-dilution-info": "", "IHCP-species-notes": "" }, "Rat": { "IHCP-species-checked": "predicted", "IHCP-species-dilution-info": "", "IHCP-species-notes": "" } } }

Properties and storage information

Form
Liquid
Purification technique
Affinity purification Protein A/G
Storage buffer
pH: 7.2 - 7.4 Preservative: 0.05% Sodium azide Constituents: 99% PBS, 0.05% BSA
Shipped at conditions
Blue Ice
Appropriate short-term storage duration
1-2 weeks
Appropriate short-term storage conditions
+4°C
Appropriate long-term storage conditions
-20°C
Aliquoting information
Upon delivery aliquot
Storage information
Avoid freeze / thaw cycle

Supplementary information

This supplementary information is collated from multiple sources and compiled automatically.

Tartrate Resistant Acid Phosphatase (TRAP) also known as ACP-5 and type 5 acid phosphatase is an enzyme with mass approximately 35 kDa. It is expressed in osteoclasts macrophages and dendritic cells playing a role in bone resorption and macrophage activation. TRAP exists in both a monomeric and proteolytically activated dimeric form. Its unique tartrate resistance distinguishes it from other acid phosphatases providing specificity for enzyme assays and studies.
Biological function summary

TRAP contributes significantly to bone remodeling through its action in osteoclasts. It helps in degrading mineralized matrix components and may also serve a role in dendritic cell activation signaling and macrophage-related processes. TRAP forms part of a complex mechanism that includes catabolic enzymes which work together to ensure normal skeletal function and immune response.

Pathways

TRAP plays an integral role in the bone resorption pathway along with proteins such as cathepsin K and matrix metalloproteinases. It is involved in osteoclast differentiation necessary for bone turnover and homeostasis. Additionally it participates in the immune response through its activity in macrophages affecting inflammation pathways and innate immune functions.

Abnormal TRAP activity associates with osteopetrosis and osteoporosis. These diseases affect bone density and strength with TRAP often showing elevated levels in conditions of high bone turnover. TRAP activity also connects to inflammatory disorders due to its expression in macrophages linking it to proteins like RANKL and osteoprotegerin which influence bone metabolism and immune signaling.

Product protocols

For this product, it's our understanding that no specific protocols are required. You can visit:

Target data

Involved in osteopontin/bone sialoprotein dephosphorylation. Its expression seems to increase in certain pathological states such as Gaucher and Hodgkin diseases, the hairy cell, the B-cell, and the T-cell leukemias.
See full target information Tartrate-resistant acid phosphatase type 5

Publications (2)

Recent publications for all applications. Explore the full list and refine your search

Nature communications 13:2539 PubMed35534483

2022

SARS-CoV-2 infection induces inflammatory bone loss in golden Syrian hamsters.

Applications

Unspecified application

Species

Unspecified reactive species

Wei Qiao,Hui En Lau,Huizhi Xie,Vincent Kwok-Man Poon,Chris Chung-Sing Chan,Hin Chu,Shuofeng Yuan,Terrence Tsz-Tai Yuen,Kenn Ka-Heng Chik,Jessica Oi-Ling Tsang,Chris Chun-Yiu Chan,Jian-Piao Cai,Cuiting Luo,Kwok-Yung Yuen,Kenneth Man-Chee Cheung,Jasper Fuk-Woo Chan,Kelvin Wai-Kwok Yeung

Oncotarget 8:76189-76203 PubMed29100303

2017

KRT8 upregulation promotes tumor metastasis and is predictive of a poor prognosis in clear cell renal cell carcinoma.

Applications

Unspecified application

Species

Unspecified reactive species

Hai-Song Tan,Wei-Hua Jiang,Yi He,De-Sheng Wang,Zhen-Jie Wu,Deng-Shuang Wu,Li Gao,Yi Bao,Jia-Zi Shi,Bing Liu,Li-Jun Ma,Lin-Hui Wang
View all publications

Product promise

We are committed to supporting your work with high-quality reagents, and we're here for you every step of the way. In the unlikely event that one of our products does not perform as expected, you're protected by our Product Promise.
For full details, please see our Terms & Conditions

Please note: All products are 'FOR RESEARCH USE ONLY. NOT FOR USE IN DIAGNOSTIC OR THERAPEUTIC PROCEDURES'.

For licensing inquiries, please contact partnerships@abcam.com