JavaScript is disabled in your browser. Please enable JavaScript to view this website.
AB240970

Anti-Tartrate Resistant Acid Phosphatase antibody [EPR15556] - BSA and Azide free

Be the first to review this product! Submit a review

|

(1 Publication)

Rabbit Recombinant Monoclonal Tartrate Resistant Acid Phosphatase antibody. Carrier free. Suitable for IP, WB, ICC/IF, IHC-P and reacts with Human, Mouse, Rat samples. Cited in 1 publication.

View Alternative Names

Tartrate-resistant acid phosphatase type 5, TR-AP, Tartrate-resistant acid ATPase, Type 5 acid phosphatase, TrATPase, ACP5

3 Images
Immunocytochemistry/ Immunofluorescence - Anti-Tartrate Resistant Acid Phosphatase antibody [EPR15556] - BSA and Azide free (AB240970)
  • ICC/IF

Supplier Data

Immunocytochemistry/ Immunofluorescence - Anti-Tartrate Resistant Acid Phosphatase antibody [EPR15556] - BSA and Azide free (AB240970)

Immunofluorescent analysis of 4% paraformaldehyde-fixed, 0.1% Triton X-100 permeabilized MDA-MB-435 cells labeling Tartrate Resistant Acid Phosphatase with ab191406 at 1/100 dilution, followed by Goat anti-rabbit IgG (Alexa-Fluor®488) secondary antibody (ab150077) at 1/200 dilution. Nuclear counterstain DAPI (blue).

The two negative controls used anti-TRAP 5 primary antibody at 1/100 dilution, followed by Goat anti-mouse IgG (Alexa-Fluor®594) secondary antibody at 1/400 dilution.

This data was developed using the same antibody clone in a different buffer formulation containing PBS, BSA, glycerol, and sodium azide (ab191406)

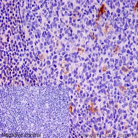
Immunohistochemistry (Formalin/PFA-fixed paraffin-embedded sections) - Anti-Tartrate Resistant Acid Phosphatase antibody [EPR15556] - BSA and Azide free (AB240970)
  • IHC-P

Supplier Data

Immunohistochemistry (Formalin/PFA-fixed paraffin-embedded sections) - Anti-Tartrate Resistant Acid Phosphatase antibody [EPR15556] - BSA and Azide free (AB240970)

Immunohistochemical analysis of paraffin-embedded human tonsil tissue labeling Tartrate Resistant Acid Phosphatase with ab191406 at 1/100 dilution, followed by prediluted HRP Polymer for Rabbit/Mouse IgG. Counterstained with hematoxylin.

In the negative control PBS was used instead of primary antibody.

This data was developed using the same antibody clone in a different buffer formulation containing PBS, BSA, glycerol, and sodium azide (ab191406)

Perform heat mediated antigen retrieval with Tris/EDTA buffer pH 9.0 before commencing with IHC staining protocol.

Immunoprecipitation - Anti-Tartrate Resistant Acid Phosphatase antibody [EPR15556] - BSA and Azide free (AB240970)
  • IP

Supplier Data

Immunoprecipitation - Anti-Tartrate Resistant Acid Phosphatase antibody [EPR15556] - BSA and Azide free (AB240970)

Western blot analysis of TRAP 5 in MDA-MB-435 cell lysate immunoprecipitated using ab191406 at 1/50 dilution (Lane 1). Lane 2 : PBS instead of MDA-MB-435 lysates.

Secondary antibody : Anti-Rabbit IgG (HRP), specific to the non-reduced form of IgG at 1/1000 dilution.

This data was developed using the same antibody clone in a different buffer formulation containing PBS, BSA, glycerol, and sodium azide (ab191406)

All lanes:

Immunoprecipitation - Anti-Tartrate Resistant Acid Phosphatase antibody [EPR15556] (<a href='/en-us/products/primary-antibodies/tartrate-resistant-acid-phosphatase-antibody-epr15556-ab191406'>ab191406</a>)

Predicted band size: 37 kDa

Observed band size: 35 kDa

false

  • Unconjugated

    Anti-Tartrate Resistant Acid Phosphatase antibody [EPR15556]

  • 519 Alexa Fluor® 488

    Alexa Fluor® 488 Anti-Tartrate Resistant Acid Phosphatase antibody [EPR15556]

Key facts

Host species

Rabbit

Clonality

Monoclonal

Clone number

EPR15556

Isotype

IgG

Carrier free

Yes

Reacts with

Mouse, Rat, Human

Applications

WB, IHC-P, IP, ICC/IF

applications

Immunogen

The exact immunogen used to generate this antibody is proprietary information.

Specificity

This antibody gave negative results in IHC-P in both mouse and rat species. Both species were also tested in WB with positive results. Please do not hesitate to contact our Scientific Support if you have any questions.

Reactivity data

{ "title": "Reactivity Data", "filters": { "stats": ["", "Species", "Dilution Info", "Notes"], "tabs": { "all-applications": {"fullname" : "All Applications", "shortname": "All Applications"}, "IP" : {"fullname" : "Immunoprecipitation", "shortname":"IP"}, "WB" : {"fullname" : "Western blot", "shortname":"WB"}, "ICCIF" : {"fullname" : "Immunocytochemistry/ Immunofluorescence", "shortname":"ICC/IF"}, "IHCP" : {"fullname" : "Immunohistochemistry (Formalin/PFA-fixed paraffin-embedded sections)", "shortname":"IHC-P"} }, "product-promise": { "all": "all", "testedAndGuaranteed": "tested", "guaranteed": "expected", "predicted": "predicted", "notRecommended": "not-recommended" } }, "values": { "Human": { "IP-species-checked": "testedAndGuaranteed", "IP-species-dilution-info": "", "IP-species-notes": "<p></p>", "WB-species-checked": "testedAndGuaranteed", "WB-species-dilution-info": "", "WB-species-notes": "<p>Per the literature, a novel previously unreported 42 kDa variant of the Tartrate Resistant Acid Phosphatase 5a isoform was identified. So the 42 kDa band should be the Tartrate Resistant Acid Phosphatase 5a isoform.</p>", "ICCIF-species-checked": "testedAndGuaranteed", "ICCIF-species-dilution-info": "", "ICCIF-species-notes": "<p></p>", "IHCP-species-checked": "testedAndGuaranteed", "IHCP-species-dilution-info": "", "IHCP-species-notes": "<p></p>" }, "Mouse": { "IP-species-checked": "guaranteed", "IP-species-dilution-info": "", "IP-species-notes": "", "WB-species-checked": "testedAndGuaranteed", "WB-species-dilution-info": "", "WB-species-notes": "<p>Per the literature, a novel previously unreported 42 kDa variant of the Tartrate Resistant Acid Phosphatase 5a isoform was identified. So the 42 kDa band should be the Tartrate Resistant Acid Phosphatase 5a isoform.</p>", "ICCIF-species-checked": "guaranteed", "ICCIF-species-dilution-info": "", "ICCIF-species-notes": "", "IHCP-species-checked": "notRecommended", "IHCP-species-dilution-info": "", "IHCP-species-notes": "<p></p>" }, "Rat": { "IP-species-checked": "guaranteed", "IP-species-dilution-info": "", "IP-species-notes": "", "WB-species-checked": "testedAndGuaranteed", "WB-species-dilution-info": "", "WB-species-notes": "<p>Per the literature, a novel previously unreported 42 kDa variant of the Tartrate Resistant Acid Phosphatase 5a isoform was identified. So the 42 kDa band should be the Tartrate Resistant Acid Phosphatase 5a isoform.</p>", "ICCIF-species-checked": "guaranteed", "ICCIF-species-dilution-info": "", "ICCIF-species-notes": "", "IHCP-species-checked": "notRecommended", "IHCP-species-dilution-info": "", "IHCP-species-notes": "<p></p>" } } }

Product details

ab240970 is the carrier-free version of ab191406.

Patented technology
Our RabMAb® technology is a patented hybridoma-based technology for making rabbit monoclonal antibodies. For details on our patents, please refer to RabMAb® patents.

What are the advantages of a recombinant monoclonal antibody?
This product is a recombinant monoclonal antibody, which offers several advantages including:

  • - High batch-to-batch consistency and reproducibility
  • - Improved sensitivity and specificity
  • - Long-term security of supply
  • - Animal-free batch production

For more information, read more on recombinant antibodies.

Conjugation ready
Our carrier-free antibodies are typically supplied in a PBS-only formulation, purified and free of BSA, sodium azide and glycerol. This conjugation-ready format is designed for use with fluorochromes, metal isotopes, oligonucleotides, and enzymes, which makes them ideal for antibody labelling, functional and cell-based assays, flow-based assays (e.g. mass cytometry) and Multiplex Imaging applications.

Use our conjugation kits for antibody conjugates that are ready-to-use in as little as 20 minutes with 1 minute hands-on-time and 100% antibody recovery: available for fluorescent dyes, HRP, biotin and gold.

Compatibility
This product is compatible with the Maxpar® Antibody Labeling Kit from Fluidigm, without the need for antibody preparation. Maxpar® is a trademark of Fluidigm Canada Inc.

Properties and storage information

Form
Liquid
Purification technique
Affinity purification Protein A
Storage buffer
pH: 7.2 - 7.4 Constituents: PBS
Shipped at conditions
Blue Ice
Appropriate short-term storage conditions
+4°C
Appropriate long-term storage conditions
+4°C
Storage information
Do Not Freeze

Supplementary information

This supplementary information is collated from multiple sources and compiled automatically.

Tartrate Resistant Acid Phosphatase (TRAP) also known as ACP-5 and type 5 acid phosphatase is an enzyme with mass approximately 35 kDa. It is expressed in osteoclasts macrophages and dendritic cells playing a role in bone resorption and macrophage activation. TRAP exists in both a monomeric and proteolytically activated dimeric form. Its unique tartrate resistance distinguishes it from other acid phosphatases providing specificity for enzyme assays and studies.
Biological function summary

TRAP contributes significantly to bone remodeling through its action in osteoclasts. It helps in degrading mineralized matrix components and may also serve a role in dendritic cell activation signaling and macrophage-related processes. TRAP forms part of a complex mechanism that includes catabolic enzymes which work together to ensure normal skeletal function and immune response.

Pathways

TRAP plays an integral role in the bone resorption pathway along with proteins such as cathepsin K and matrix metalloproteinases. It is involved in osteoclast differentiation necessary for bone turnover and homeostasis. Additionally it participates in the immune response through its activity in macrophages affecting inflammation pathways and innate immune functions.

Abnormal TRAP activity associates with osteopetrosis and osteoporosis. These diseases affect bone density and strength with TRAP often showing elevated levels in conditions of high bone turnover. TRAP activity also connects to inflammatory disorders due to its expression in macrophages linking it to proteins like RANKL and osteoprotegerin which influence bone metabolism and immune signaling.

Product protocols

For this product, it's our understanding that no specific protocols are required. You can visit:

Target data

Involved in osteopontin/bone sialoprotein dephosphorylation. Its expression seems to increase in certain pathological states such as Gaucher and Hodgkin diseases, the hairy cell, the B-cell, and the T-cell leukemias.
See full target information Tartrate-resistant acid phosphatase type 5

Publications (1)

Recent publications for all applications. Explore the full list and refine your search

Molecular medicine reports 21:2209-2219 PubMed32186759

2020

PDGFD induces ibrutinib resistance of diffuse large B‑cell lymphoma through activation of EGFR.

Applications

Unspecified application

Species

Unspecified reactive species

Jia Jin,Leiping Wang,Zhonghua Tao,Jian Zhang,Fangfang Lv,Junning Cao,Xichun Hu
View all publications

Product promise

We are committed to supporting your work with high-quality reagents, and we're here for you every step of the way. In the unlikely event that one of our products does not perform as expected, you're protected by our Product Promise.
For full details, please see our Terms & Conditions

Please note: All products are 'FOR RESEARCH USE ONLY. NOT FOR USE IN DIAGNOSTIC OR THERAPEUTIC PROCEDURES'.

For licensing inquiries, please contact partnerships@abcam.com