JavaScript is disabled in your browser. Please enable JavaScript to view this website.
AB238033

Anti-Tartrate Resistant Acid Phosphatase antibody [rACP5/1070]

Be the first to review this product! Submit a review

|

(4 Publications)

Mouse Recombinant Monoclonal Tartrate Resistant Acid Phosphatase antibody. Suitable for IHC-P, Protein Array and reacts with Human, Recombinant full length protein - Human samples. Cited in 4 publications. Immunogen corresponding to Recombinant Full Length Protein corresponding to Human Tartrate-resistant acid phosphatase type 5.

View Alternative Names

Tartrate-resistant acid phosphatase type 5, TR-AP, Tartrate-resistant acid ATPase, Type 5 acid phosphatase, TrATPase, ACP5

2 Images
Immunohistochemistry (Formalin/PFA-fixed paraffin-embedded sections) - Anti-Tartrate Resistant Acid Phosphatase antibody [rACP5/1070] (AB238033)
  • IHC-P

Supplier Data

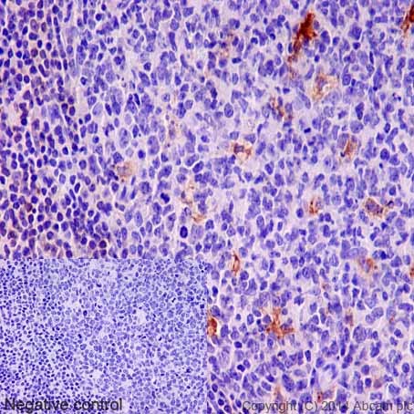
Immunohistochemistry (Formalin/PFA-fixed paraffin-embedded sections) - Anti-Tartrate Resistant Acid Phosphatase antibody [rACP5/1070] (AB238033)

Formalin-fixed, paraffin-embedded human spleen tissue stained for Tartrate Resistant Acid Phosphatase using ab238033 at 1 μg/ml in immunohistochemical analysis.

Protein Array - Anti-Tartrate Resistant Acid Phosphatase antibody [rACP5/1070] (AB238033)
  • Protein Array

Unknown

Protein Array - Anti-Tartrate Resistant Acid Phosphatase antibody [rACP5/1070] (AB238033)

ab238033 was tested in protein array against over 19000 different full-length human proteins.
Z- and S- Score : The Z-score represents the strength of a signal that a monoclonal antibody (MAb) (in combination with a fluorescently-tagged anti-IgG secondary antibody) produces when binding to a particular protein on the HuProtTM array. Z-scores are described in units of standard deviations (SD's) above the mean value of all signals generated on that array. If targets on HuProtTM are arranged in descending order of the Z-score, the S-score is the difference (also in units of SD's) between the Z-score. S-score therefore represents the relative target specificity of a MAb to its intended target.
A MAb is specific to its intended target if the MAb has an S-score of at least 2.5. For example, if a MAb binds to protein X with a Z-score of 43 and to protein Y with a Z-score of 14, then the S-score for the binding of that MAb to protein X is equal to 29.

Key facts

Host species

Mouse

Clonality

Monoclonal

Clone number

rACP5/1070

Isotype

IgG1

Carrier free

No

Reacts with

Human

Applications

IHC-P, Protein Array

applications

Immunogen

Recombinant Full Length Protein corresponding to Human Tartrate-resistant acid phosphatase type 5.

P13686

Reactivity data

{ "title": "Reactivity Data", "filters": { "stats": ["", "Species", "Dilution Info", "Notes"], "tabs": { "all-applications": {"fullname" : "All Applications", "shortname": "All Applications"}, "IHCP" : {"fullname" : "Immunohistochemistry (Formalin/PFA-fixed paraffin-embedded sections)", "shortname":"IHC-P"}, "ProteinArray" : {"fullname" : "Protein Array", "shortname":"Protein Array"} }, "product-promise": { "all": "all", "testedAndGuaranteed": "tested", "guaranteed": "expected", "predicted": "predicted", "notRecommended": "not-recommended" } }, "values": { "Human": { "IHCP-species-checked": "testedAndGuaranteed", "IHCP-species-dilution-info": "0.5-1 µg/mL", "IHCP-species-notes": "<p>Incubate with primary antibody for 30 minutes at room temperature.</p> Perform heat-mediated antigen retrieval with citrate buffer pH 6 before commencing with IHC staining protocol.", "ProteinArray-species-checked": "guaranteed", "ProteinArray-species-dilution-info": "", "ProteinArray-species-notes": "" }, "Mouse": { "IHCP-species-checked": "predicted", "IHCP-species-dilution-info": "", "IHCP-species-notes": "", "ProteinArray-species-checked": "predicted", "ProteinArray-species-dilution-info": "", "ProteinArray-species-notes": "" }, "Rat": { "IHCP-species-checked": "predicted", "IHCP-species-dilution-info": "", "IHCP-species-notes": "", "ProteinArray-species-checked": "predicted", "ProteinArray-species-dilution-info": "", "ProteinArray-species-notes": "" }, "Recombinant full length protein - Human": { "IHCP-species-checked": "notRecommended", "IHCP-species-dilution-info": "", "IHCP-species-notes": "", "ProteinArray-species-checked": "testedAndGuaranteed", "ProteinArray-species-dilution-info": "", "ProteinArray-species-notes": "<p></p>" } } }

Properties and storage information

Form
Liquid
Purification technique
Affinity purification Protein A/G
Purification notes
Purified from Bioreactor Concentrate by Protein A/G.
Storage buffer
pH: 7.2 - 7.4 Preservative: 0.05% Sodium azide Constituents: PBS, 0.05% BSA
Shipped at conditions
Blue Ice
Appropriate short-term storage duration
1-2 weeks
Appropriate short-term storage conditions
+4°C
Appropriate long-term storage conditions
-20°C
Aliquoting information
Upon delivery aliquot
Storage information
Avoid freeze / thaw cycle

Supplementary information

This supplementary information is collated from multiple sources and compiled automatically.

Tartrate Resistant Acid Phosphatase (TRAP) also known as ACP-5 and type 5 acid phosphatase is an enzyme with mass approximately 35 kDa. It is expressed in osteoclasts macrophages and dendritic cells playing a role in bone resorption and macrophage activation. TRAP exists in both a monomeric and proteolytically activated dimeric form. Its unique tartrate resistance distinguishes it from other acid phosphatases providing specificity for enzyme assays and studies.
Biological function summary

TRAP contributes significantly to bone remodeling through its action in osteoclasts. It helps in degrading mineralized matrix components and may also serve a role in dendritic cell activation signaling and macrophage-related processes. TRAP forms part of a complex mechanism that includes catabolic enzymes which work together to ensure normal skeletal function and immune response.

Pathways

TRAP plays an integral role in the bone resorption pathway along with proteins such as cathepsin K and matrix metalloproteinases. It is involved in osteoclast differentiation necessary for bone turnover and homeostasis. Additionally it participates in the immune response through its activity in macrophages affecting inflammation pathways and innate immune functions.

Abnormal TRAP activity associates with osteopetrosis and osteoporosis. These diseases affect bone density and strength with TRAP often showing elevated levels in conditions of high bone turnover. TRAP activity also connects to inflammatory disorders due to its expression in macrophages linking it to proteins like RANKL and osteoprotegerin which influence bone metabolism and immune signaling.

Product protocols

For this product, it's our understanding that no specific protocols are required. You can visit:

Target data

Involved in osteopontin/bone sialoprotein dephosphorylation. Its expression seems to increase in certain pathological states such as Gaucher and Hodgkin diseases, the hairy cell, the B-cell, and the T-cell leukemias.
See full target information Tartrate-resistant acid phosphatase type 5

Publications (4)

Recent publications for all applications. Explore the full list and refine your search

Heliyon 8:e10480 PubMed36105473

2022

Experimental study on the effects of simvastatin in reversing the femoral metaphyseal defects induced by sodium valproate in normal and ovariectomized rats.

Applications

Unspecified application

Species

Unspecified reactive species

Yang Li,Ruotian Zhang,Maoxian Ren,Hedong Liu,Min Yang

Molecular medicine reports 25: PubMed35266012

2022

P2X7 receptor knockdown suppresses osteoclast differentiation by inhibiting autophagy and Ca/calcineurin signaling.

Applications

Unspecified application

Species

Unspecified reactive species

Yonggang Ma,Ran Di,Hongyan Zhao,Ruilong Song,Hui Zou,Zongping Liu

The Journal of experimental medicine 219: PubMed35139155

2022

Single-cell transcriptomic analysis of human colonic macrophages reveals niche-specific subsets.

Applications

Unspecified application

Species

Unspecified reactive species

Diana Domanska,Umair Majid,Victoria T Karlsen,Marianne A Merok,Ann-Christin Røberg Beitnes,Sheraz Yaqub,Espen S Bækkevold,Frode L Jahnsen

BMC complementary and alternative medicine 19:318 PubMed31744486

2019

Weipiling ameliorates gastric precancerous lesions in Atp4a mice.

Applications

Unspecified application

Species

Unspecified reactive species

Wei Liu,Zi-Ming Zhao,Yuan-Liang Liu,Hua-Feng Pan,Li-Zhu Lin
View all publications

Product promise

We are committed to supporting your work with high-quality reagents, and we're here for you every step of the way. In the unlikely event that one of our products does not perform as expected, you're protected by our Product Promise.
For full details, please see our Terms & Conditions

Please note: All products are 'FOR RESEARCH USE ONLY. NOT FOR USE IN DIAGNOSTIC OR THERAPEUTIC PROCEDURES'.

For licensing inquiries, please contact partnerships@abcam.com