JavaScript is disabled in your browser. Please enable JavaScript to view this website.
AB222859

Anti-TAS2R38 antibody

Be the first to review this product! Submit a review

|

(1 Publication)

Rabbit Polyclonal TAS2R38 antibody. Suitable for IHC-P, ICC/IF and reacts with Human samples. Cited in 1 publication. Immunogen corresponding to Recombinant Fragment Protein within Human TAS2R38 aa 200-300.

View Alternative Names

PTC, TAS2R38, Taste receptor type 2 member 38, T2R38, PTC bitter taste receptor, Taste receptor type 2 member 61, T2R61

2 Images
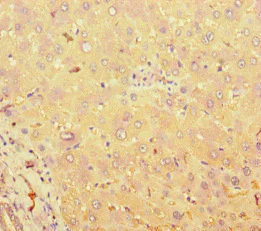
Immunohistochemistry (Formalin/PFA-fixed paraffin-embedded sections) - Anti-TAS2R38 antibody (AB222859)
  • IHC-P

Supplier Data

Immunohistochemistry (Formalin/PFA-fixed paraffin-embedded sections) - Anti-TAS2R38 antibody (AB222859)

Paraffin-embedded human ovarian cancer tissue stained for TAS2R38 using ab222859 at 1/100 dilution in immunohistochemical analysis.

Immunocytochemistry/ Immunofluorescence - Anti-TAS2R38 antibody (AB222859)
  • ICC/IF

Supplier Data

Immunocytochemistry/ Immunofluorescence - Anti-TAS2R38 antibody (AB222859)

HepG2 (human liver hepatocellular carcinoma cell line) cells stained for TAS2R38 (green) using ab222859 at 1/100 dilution in ICC/IF, followed by Alexa Fluor 488-congugated Goat Anti-Rabbit IgG (H+L).

Key facts

Host species

Rabbit

Clonality

Polyclonal

Isotype

IgG

Carrier free

No

Reacts with

Human

Applications

IHC-P, ICC/IF

applications

Immunogen

Recombinant Fragment Protein within Human TAS2R38 aa 200-300. The exact immunogen used to generate this antibody is proprietary information.

P59533

Reactivity data

{ "title": "Reactivity Data", "filters": { "stats": ["", "Species", "Dilution Info", "Notes"], "tabs": { "all-applications": {"fullname" : "All Applications", "shortname": "All Applications"}, "IHCP" : {"fullname" : "Immunohistochemistry (Formalin/PFA-fixed paraffin-embedded sections)", "shortname":"IHC-P"}, "ICCIF" : {"fullname" : "Immunocytochemistry/ Immunofluorescence", "shortname":"ICC/IF"} }, "product-promise": { "all": "all", "testedAndGuaranteed": "tested", "guaranteed": "expected", "predicted": "predicted", "notRecommended": "not-recommended" } }, "values": { "Human": { "IHCP-species-checked": "testedAndGuaranteed", "IHCP-species-dilution-info": "1/20 - 1/200", "IHCP-species-notes": "<p></p>", "ICCIF-species-checked": "testedAndGuaranteed", "ICCIF-species-dilution-info": "1/50 - 1/200", "ICCIF-species-notes": "<p></p>" }, "Chimpanzee": { "IHCP-species-checked": "predicted", "IHCP-species-dilution-info": "", "IHCP-species-notes": "", "ICCIF-species-checked": "predicted", "ICCIF-species-dilution-info": "", "ICCIF-species-notes": "" }, "Gorilla": { "IHCP-species-checked": "predicted", "IHCP-species-dilution-info": "", "IHCP-species-notes": "", "ICCIF-species-checked": "predicted", "ICCIF-species-dilution-info": "", "ICCIF-species-notes": "" } } }

Properties and storage information

Form
Liquid
Purification technique
Affinity purification Protein G
Purification notes
Purity >95%.
Storage buffer
pH: 7.4 Preservative: 0.03% Proclin 300 Constituents: PBS, 50% Glycerol (glycerin, glycerine)
Shipped at conditions
Blue Ice
Appropriate short-term storage duration
1-2 weeks
Appropriate short-term storage conditions
+4°C
Appropriate long-term storage conditions
-20°C
Aliquoting information
Upon delivery aliquot
Storage information
Avoid freeze / thaw cycle

Supplementary information

This supplementary information is collated from multiple sources and compiled automatically.

TAS2R38 also known as the bitter taste receptor 38 is a G protein-coupled receptor with a mass of about 35 kDa. It detects and binds to certain bitter compounds such as phenylthiocarbamide (PTC) and glucosinolates. TAS2R38 is mainly expressed in the taste receptor cells of the tongue but some expression can also be found in the gastrointestinal tract and airway epithelial cells. The receptor helps in the perception of taste by initiating a signal transduction pathway after binding with its ligands.
Biological function summary

The activation of this receptor plays a significant role in taste perception and dietary choice. TAS2R38 influences food preferences by determining sensitivity to bitter compounds. It does not function alone but as part of a complex system involving several taste receptors. These receptors work together to elicit physiological reactions to various taste stimuli contributing to protective behaviors like the avoidance of potentially harmful substances.

Pathways

Research shows TAS2R38 is a participant in taste signal transduction pathways. It activates the phospholipase C signaling cascade which involves inositol trisphosphate (IP3) production and the release of calcium ions. The protein works with other related receptors like TAS2R16 which also recognize bitter compounds to modulate this pathway. This process illustrates how specific taste responses are generated and communicated to the brain.

TAS2R38 has connections to conditions such as chronic rhinosinusitis and respiratory infections. Variations in the gene coding for this receptor might contribute to the susceptibility and severity of these conditions. The receptor's interaction with bacterial quorum-sensing molecules may also affect respiratory defenses offering a unique insight into its role in the immune response. Additionally TAS2R38's genetic differences are linked to diverse taste preferences and dietary habits across different populations.

Product protocols

For this product, it's our understanding that no specific protocols are required. You can visit:

Target data

Receptor that may play a role in the perception of bitterness and is gustducin-linked. May play a role in sensing the chemical composition of the gastrointestinal content. The activity of this receptor may stimulate alpha gustducin, mediate PLC-beta-2 activation and lead to the gating of TRPM5 (By similarity).
See full target information TAS2R38

Publications (1)

Recent publications for all applications. Explore the full list and refine your search

Journal of inflammation research 17:11469-11483 PubMed39735896

2024

Macrophage Infiltration Correlated with IFI16, EGR1 and MX1 Expression in Renal Tubular Epithelial Cells Within Lupus Nephritis-Associated Tubulointerstitial Injury via Bioinformatics Analysis.

Applications

Unspecified application

Species

Unspecified reactive species

Ming Tian,Min Tang,Caiming Chen,Yufang Lin,Hong Chen,Yanfang Xu
View all publications

Product promise

We are committed to supporting your work with high-quality reagents, and we're here for you every step of the way. In the unlikely event that one of our products does not perform as expected, you're protected by our Product Promise.
For full details, please see our Terms & Conditions

Please note: All products are 'FOR RESEARCH USE ONLY. NOT FOR USE IN DIAGNOSTIC OR THERAPEUTIC PROCEDURES'.

For licensing inquiries, please contact partnerships@abcam.com