JavaScript is disabled in your browser. Please enable JavaScript to view this website.
AB248932

Anti-Tat-SF1 antibody [EPR9104(B)] - BSA and Azide free

Be the first to review this product! Submit a review

|

(0 Publication)

Rabbit Recombinant Monoclonal HTSF1 antibody. Carrier free. Suitable for WB, ICC/IF, IP, IHC-P and reacts with Human, Mouse samples.

View Alternative Names

17S U2 SnRNP complex component HTATSF1, HIV Tat-specific factor 1, Tat-SF1, HTATSF1

4 Images
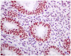
Immunohistochemistry (Formalin/PFA-fixed paraffin-embedded sections) - Anti-Tat-SF1 antibody [EPR9104(B)] - BSA and Azide free (AB248932)
  • IHC-P

Unknown

Immunohistochemistry (Formalin/PFA-fixed paraffin-embedded sections) - Anti-Tat-SF1 antibody [EPR9104(B)] - BSA and Azide free (AB248932)

This data was developed using ab140654, the same antibody clone in a different buffer formulation.

Immunohistochemical analysis of paraffin-embedded Human uterus tissue labelling Tat-SF1 with ab140654 at 1/250 dilution.

Perform heat mediated antigen retrieval before commencing with IHC staining protocol.

Immunocytochemistry/ Immunofluorescence - Anti-Tat-SF1 antibody [EPR9104(B)] - BSA and Azide free (AB248932)
  • ICC/IF

Unknown

Immunocytochemistry/ Immunofluorescence - Anti-Tat-SF1 antibody [EPR9104(B)] - BSA and Azide free (AB248932)

This data was developed using ab140654, the same antibody clone in a different buffer formulation.

Immunofluorescent analysis of HeLa cells labelling Tat-SF1 with ab140654 at 1/250 dilution.

Immunohistochemistry (Formalin/PFA-fixed paraffin-embedded sections) - Anti-Tat-SF1 antibody [EPR9104(B)] - BSA and Azide free (AB248932)
  • IHC-P

Unknown

Immunohistochemistry (Formalin/PFA-fixed paraffin-embedded sections) - Anti-Tat-SF1 antibody [EPR9104(B)] - BSA and Azide free (AB248932)

This data was developed using ab140654, the same antibody clone in a different buffer formulation.

Immunohistochemical analysis of paraffin-embedded Human colon tissue labelling Tat-SF1 with ab140654 at 1/250 dilution.

Perform heat mediated antigen retrieval before commencing with IHC staining protocol.

Western blot - Anti-Tat-SF1 antibody [EPR9104(B)] - BSA and Azide free (AB248932)
  • WB

Unknown

Western blot - Anti-Tat-SF1 antibody [EPR9104(B)] - BSA and Azide free (AB248932)

This data was developed using ab140654, the same antibody clone in a different buffer formulation.

All lanes:

Western blot - Anti-Tat-SF1 antibody [EPR9104(B)] (<a href='/en-us/products/primary-antibodies/tat-sf1-antibody-epr9104b-ab140654'>ab140654</a>) at 1/1000 dilution

Lane 1:

Jurkat cell lysate at 10 µg

Lane 2:

HeLa cell lysate at 10 µg

Secondary

All lanes:

Goat anti-rabbit HRP conjugated at 1/2000 dilution

Predicted band size: 86 kDa

Observed band size: 140 kDa

false

Key facts

Host species

Rabbit

Clonality

Monoclonal

Clone number

EPR9104(B)

Isotype

IgG

Carrier free

Yes

Reacts with

Mouse, Human

Applications

IHC-P, WB, IP, ICC/IF

applications

Immunogen

The exact immunogen used to generate this antibody is proprietary information.

Reactivity data

{ "title": "Reactivity Data", "filters": { "stats": ["", "Species", "Dilution Info", "Notes"], "tabs": { "all-applications": {"fullname" : "All Applications", "shortname": "All Applications"}, "FlowCyt" : {"fullname" : "Flow Cytometry", "shortname":"Flow Cyt"}, "WB" : {"fullname" : "Western blot", "shortname":"WB"}, "ICCIF" : {"fullname" : "Immunocytochemistry/ Immunofluorescence", "shortname":"ICC/IF"}, "IP" : {"fullname" : "Immunoprecipitation", "shortname":"IP"}, "IHCP" : {"fullname" : "Immunohistochemistry (Formalin/PFA-fixed paraffin-embedded sections)", "shortname":"IHC-P"} }, "product-promise": { "all": "all", "testedAndGuaranteed": "tested", "guaranteed": "expected", "predicted": "predicted", "notRecommended": "not-recommended" } }, "values": { "Human": { "FlowCyt-species-checked": "notRecommended", "FlowCyt-species-dilution-info": "", "FlowCyt-species-notes": "<p></p>", "WB-species-checked": "testedAndGuaranteed", "WB-species-dilution-info": "", "WB-species-notes": "<p></p>", "ICCIF-species-checked": "testedAndGuaranteed", "ICCIF-species-dilution-info": "", "ICCIF-species-notes": "<p></p>", "IP-species-checked": "guaranteed", "IP-species-dilution-info": "", "IP-species-notes": "<p></p>", "IHCP-species-checked": "testedAndGuaranteed", "IHCP-species-dilution-info": "", "IHCP-species-notes": "<p></p> Perform heat-mediated antigen retrieval before commencing with IHC staining protocol." }, "Mouse": { "FlowCyt-species-checked": "notRecommended", "FlowCyt-species-dilution-info": "", "FlowCyt-species-notes": "<p></p>", "WB-species-checked": "guaranteed", "WB-species-dilution-info": "", "WB-species-notes": "<p></p>", "ICCIF-species-checked": "guaranteed", "ICCIF-species-dilution-info": "", "ICCIF-species-notes": "<p></p>", "IP-species-checked": "guaranteed", "IP-species-dilution-info": "", "IP-species-notes": "<p></p>", "IHCP-species-checked": "guaranteed", "IHCP-species-dilution-info": "", "IHCP-species-notes": "<p></p> Perform heat-mediated antigen retrieval before commencing with IHC staining protocol." } } }

Product details

ab248932 is the carrier-free version of ab140654.

Patented technology
Our RabMAb® technology is a patented hybridoma-based technology for making rabbit monoclonal antibodies. For details on our patents, please refer to RabMAb® patents.

What are the advantages of a recombinant monoclonal antibody?
This product is a recombinant monoclonal antibody, which offers several advantages including:

  • - High batch-to-batch consistency and reproducibility
  • - Improved sensitivity and specificity
  • - Long-term security of supply
  • - Animal-free batch production

For more information, read more on recombinant antibodies.

Species reactivity
Rat: We have preliminary internal testing data to indicate this antibody may not react with this species.
Please contact us for more information.

Conjugation ready
Our carrier-free antibodies are typically supplied in a PBS-only formulation, purified and free of BSA, sodium azide and glycerol. This conjugation-ready format is designed for use with fluorochromes, metal isotopes, oligonucleotides, and enzymes, which makes them ideal for antibody labelling, functional and cell-based assays, flow-based assays (e.g. mass cytometry) and Multiplex Imaging applications.

Use our conjugation kits for antibody conjugates that are ready-to-use in as little as 20 minutes with 1 minute hands-on-time and 100% antibody recovery: available for fluorescent dyes, HRP, biotin and gold.

Compatibility
This product is compatible with the Maxpar® Antibody Labeling Kit from Fluidigm, without the need for antibody preparation. Maxpar® is a trademark of Fluidigm Canada Inc.

Properties and storage information

Form
Liquid
Purification technique
Affinity purification Protein A
Storage buffer
pH: 7.2 - 7.4 Constituents: PBS
Shipped at conditions
Blue Ice
Appropriate short-term storage conditions
+4°C
Appropriate long-term storage conditions
+4°C
Storage information
Do Not Freeze

Supplementary information

This supplementary information is collated from multiple sources and compiled automatically.

Tat-SF1 also known as transcription elongation factor SPT5 (SPT4-5) is a protein integral to the RNA transcription process. The mass of Tat-SF1 is approximately 90 kDa. It is primarily expressed in the nucleus of the cell where it interacts with RNA Polymerase II to facilitate the elongation phase of transcription. Tat-SF1 plays a significant role by enhancing the transcriptional speed and efficiency critical for the production of various RNA species.
Biological function summary

Tat-SF1 functions by participating in the regulation of transcription elongation. It is part of the larger multi-protein complex involving CycT1 another important transcription factor. This complex helps modulate the interaction of RNA polymerase II with other transcriptional machinery and influences the synthesis of mRNA. Through these actions Tat-SF1 supports the accurate gene expression important for normal cellular processes and response to environmental cues.

Pathways

Tat-SF1 has functions within the general transcriptional regulation pathway and the HIV-1 viral transcription pathway. It directly interacts with the HIV-1 Tat protein; this interaction is essential for efficient transcription of HIV-1 genes. The connection with the CycT1 protein is important within these pathways as it aids in recruiting Tat-SF1 to the sites where RNA polymerase II needs support therefore coordinating a precise transcriptional response.

Tat-SF1 is notably linked to HIV-1 infection due to its interaction with the viral Tat protein facilitating viral replication. Disruption or alteration in the function of Tat-SF1 can hinder this process making it a target for therapeutic interventions. Additionally any dysregulation in the normal transcriptional process involving Tat-SF1 and CycT1 can contribute to oncogenesis as improper gene expression can lead to unregulated cell proliferation. Understanding these connections highlights the importance of Tat-SF1 in disease mechanisms and therapeutic strategy development.

Product protocols

For this product, it's our understanding that no specific protocols are required. You can visit:

Target data

Component of the 17S U2 SnRNP complex of the spliceosome, a large ribonucleoprotein complex that removes introns from transcribed pre-mRNAs (PubMed : 30567737, PubMed : 32494006, PubMed : 34822310). The 17S U2 SnRNP complex (1) directly participates in early spliceosome assembly and (2) mediates recognition of the intron branch site during pre-mRNA splicing by promoting the selection of the pre-mRNA branch-site adenosine, the nucleophile for the first step of splicing (PubMed : 30567737, PubMed : 32494006, PubMed : 34822310). Within the 17S U2 SnRNP complex, HTATSF1 is required to stabilize the branchpoint-interacting stem loop (PubMed : 34822310). HTATSF1 is displaced from the 17S U2 SnRNP complex before the stable addition of the 17S U2 SnRNP complex to the spliceosome, destabilizing the branchpoint-interacting stem loop and allowing to probe intron branch site sequences (PubMed : 32494006, PubMed : 34822310). Also acts as a regulator of transcriptional elongation, possibly by mediating the reciprocal stimulatory effect of splicing on transcriptional elongation (PubMed : 10454543, PubMed : 10913173, PubMed : 11780068). Involved in double-strand break (DSB) repair via homologous recombination in S-phase by promoting the recruitment of TOPBP1 to DNA damage sites (PubMed : 35597237). Mechanistically, HTATSF1 is (1) recruited to DNA damage sites in S-phase via interaction with poly-ADP-ribosylated RPA1 and (2) phosphorylated by CK2, promoting recruitment of TOPBP1, thereby facilitating RAD51 nucleofilaments formation and RPA displacement, followed by homologous recombination (PubMed : 35597237).. (Microbial infection) In case of infection by HIV-1, it is up-regulated by the HIV-1 proteins NEF and gp120, acts as a cofactor required for the Tat-enhanced transcription of the virus.
See full target information HTATSF1

Product promise

We are committed to supporting your work with high-quality reagents, and we're here for you every step of the way. In the unlikely event that one of our products does not perform as expected, you're protected by our Product Promise.
For full details, please see our Terms & Conditions

Please note: All products are 'FOR RESEARCH USE ONLY. NOT FOR USE IN DIAGNOSTIC OR THERAPEUTIC PROCEDURES'.

For licensing inquiries, please contact partnerships@abcam.com