JavaScript is disabled in your browser. Please enable JavaScript to view this website.
AB237785

Anti-TATA binding protein TBP antibody [EPR21954] - ChIP Grade - BSA and Azide free

Be the first to review this product! Submit a review

|

(0 Publication)

Rabbit Recombinant Monoclonal TATA binding protein TBP antibody. Carrier free. Suitable for ChIC/CUT&RUN-seq, WB, IP, ChIP, Flow Cyt (Intra), ChIP-seq, ICC/IF, IHC-P and reacts with Human, Mouse, Rat samples.

View Alternative Names

GTF2D1, TF2D, TFIID, TBP, TATA-box-binding protein, TATA sequence-binding protein, TATA-binding factor, TATA-box factor, Transcription initiation factor TFIID TBP subunit

12 Images
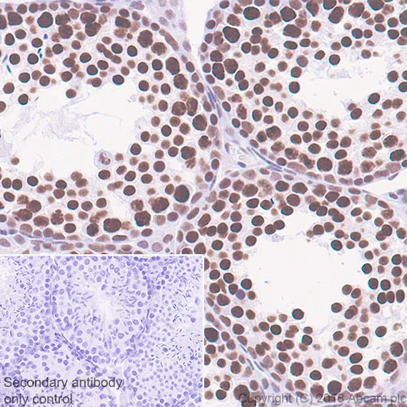
Immunohistochemistry (Formalin/PFA-fixed paraffin-embedded sections) - Anti-TATA binding protein TBP antibody [EPR21954] - ChIP Grade - BSA and Azide free (AB237785)
  • IHC-P

Supplier Data

Immunohistochemistry (Formalin/PFA-fixed paraffin-embedded sections) - Anti-TATA binding protein TBP antibody [EPR21954] - ChIP Grade - BSA and Azide free (AB237785)

Immunohistochemical analysis of paraffin-embedded human testis tissue labeling TATA binding protein TBP with ab220788 at 1/4000 dilution, followed by Goat Anti-Rabbit IgG H&L (HRP) ready to use. Nuclear staining in human testis (PMID : 17570761; PMID : 11861477) is observed. Counter stained with hematoxylin.

Secondary antibody only control : Used PBS instead of primary antibody, secondary antibody is Goat Anti-Rabbit IgG H&L (HRP) ready to use.

This data was developed using the same antibody clone in a different buffer formulation containing PBS, BSA, glycerol, and sodium azide (ab220788).

Heat mediated antigen retrieval was performed with citrate buffer pH 6 before commencing with IHC staining protocol.

Immunocytochemistry/ Immunofluorescence - Anti-TATA binding protein TBP antibody [EPR21954] - ChIP Grade - BSA and Azide free (AB237785)
  • ICC/IF

Supplier Data

Immunocytochemistry/ Immunofluorescence - Anti-TATA binding protein TBP antibody [EPR21954] - ChIP Grade - BSA and Azide free (AB237785)

Immunofluorescent analysis of 4% paraformaldehyde-fixed, 0.1% Triton X-100 permeabilized HCT 116 (human colorectal carcinoma cell line) cells labeling TATA binding protein TBP with ab220788 at 1/500 dilution, followed by Goat Anti-Rabbit IgG H&L (Alexa Fluor® 488) (ab150077) secondary antibody at 1/1000 dilution (green). Confocal image showing nuclear staining in HCT 116 cells. The nuclear counter stain is DAPI (blue).

Tubulin is detected with Anti-alpha Tubulin antibody [DM1A] - Microtubule Marker (Alexa Fluor® 594) (ab195889) at 1/200 dilution (red).

Secondary antibody only control : Used PBS instead of primary antibody, followed by Goat Anti-Rabbit IgG H&L (Alexa Fluor® 488) (ab150077) secondary antibody at 1/1000 dilution.

This data was developed using the same antibody clone in a different buffer formulation containing PBS, BSA, glycerol, and sodium azide (ab220788).

Immunocytochemistry/ Immunofluorescence - Anti-TATA binding protein TBP antibody [EPR21954] - ChIP Grade - BSA and Azide free (AB237785)
  • ICC/IF

Supplier Data

Immunocytochemistry/ Immunofluorescence - Anti-TATA binding protein TBP antibody [EPR21954] - ChIP Grade - BSA and Azide free (AB237785)

Immunofluorescent analysis of 4% paraformaldehyde-fixed, 0.1% Triton X-100 permeabilized HeLa (human epithelial cell line from cervix adenocarcinoma) cells labeling TATA binding protein TBP with ab220788 at 1/500 dilution, followed by Goat Anti-Rabbit IgG H&L (Alexa Fluor® 488) (ab150077) secondary antibody at 1/1000 dilution (green). Confocal image showing nuclear staining in HeLa cells. The nuclear counter stain is DAPI (blue).

Tubulin is detected with Anti-alpha Tubulin antibody [DM1A] - Microtubule Marker (Alexa Fluor® 594) (ab195889) at 1/200 dilution (red).

Secondary antibody only control : Used PBS instead of primary antibody, followed by Goat Anti-Rabbit IgG H&L (Alexa Fluor® 488) (ab150077) secondary antibody at 1/1000 dilution.

This data was developed using the same antibody clone in a different buffer formulation containing PBS, BSA, glycerol, and sodium azide (ab220788).

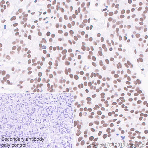
Immunohistochemistry (Formalin/PFA-fixed paraffin-embedded sections) - Anti-TATA binding protein TBP antibody [EPR21954] - ChIP Grade - BSA and Azide free (AB237785)
  • IHC-P

Supplier Data

Immunohistochemistry (Formalin/PFA-fixed paraffin-embedded sections) - Anti-TATA binding protein TBP antibody [EPR21954] - ChIP Grade - BSA and Azide free (AB237785)

Immunohistochemical analysis of paraffin-embedded human bladder cancer tissue labeling TATA binding protein TBP with ab220788 at 1/4000 dilution, followed by Goat Anti-Rabbit IgG H&L (HRP) ready to use. Nuclear staining in human bladder cancer (PMID : 17570761; PMID : 11861477) is observed. Counter stained with hematoxylin.

Secondary antibody only control : Used PBS instead of primary antibody, secondary antibody is Goat Anti-Rabbit IgG H&L (HRP) ready to use.

This data was developed using the same antibody clone in a different buffer formulation containing PBS, BSA, glycerol, and sodium azide (ab220788).

Heat mediated antigen retrieval was performed with citrate buffer pH 6 before commencing with IHC staining protocol.

Flow Cytometry (Intracellular) - Anti-TATA binding protein TBP antibody [EPR21954] - ChIP Grade - BSA and Azide free (AB237785)
  • Flow Cyt (Intra)

Unknown

Flow Cytometry (Intracellular) - Anti-TATA binding protein TBP antibody [EPR21954] - ChIP Grade - BSA and Azide free (AB237785)

Intracellular flow cytometric analysis of 4% paraformaldehyde-fixed, 90% methanol-permeabilized HeLa (human epithelial cell line from cervix adenocarcinoma) cells labeling TATA binding protein TBP with ab220788 at 1/500 dilution (red) compared with a Rabbit IgG, monoclonal [EPR25A] - Isotype Control (ab172730) (black) and an unlabeled control (cells incubated with secondary antibody only) (blue). Goat Anti-Rabbit IgG H&L (Alexa Fluor® 488) (ab150077), at 1/2000 dilution was used as the secondary antibody.

This data was developed using the same antibody clone in a different buffer formulation containing PBS, BSA, glycerol, and sodium azide (ab220788).

ChIP-sequencing - Anti-TATA binding protein TBP antibody [EPR21954] - ChIP Grade - BSA and Azide free (AB237785)
  • ChIP-seq

Supplier Data

ChIP-sequencing - Anti-TATA binding protein TBP antibody [EPR21954] - ChIP Grade - BSA and Azide free (AB237785)

This data was developed using the same antibody clone in a different buffer formulation (ab220788). Chromatin was prepared from HeLa cells. Cells were fixed with 1% formaldehyde for 10 minutes. ChIP was performed with 30 µg of chromatin and 4 µg of Anti-TATA binding protein TBP antibody [EPR21954] - ChIP Grade (ab220788). ChIP DNA was sequenced on the Illumina NextSeq 500 to a depth of 30 million reads. ChIP-Seq validation performed by Active Motif, Carlsbad, CA. Additional screenshots of mapped reads can be downloaded here.

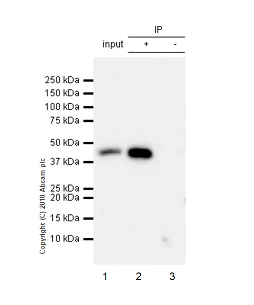
Immunoprecipitation - Anti-TATA binding protein TBP antibody [EPR21954] - ChIP Grade - BSA and Azide free (AB237785)
  • IP

Supplier Data

Immunoprecipitation - Anti-TATA binding protein TBP antibody [EPR21954] - ChIP Grade - BSA and Azide free (AB237785)

TATA binding protein TBP was immunoprecipitated from 0.35 mg of HeLa (human epithelial cell line from cervix adenocarcinoma) whole cell lysate with ab220788 at 1/30 dilution. Western blot was performed from the immunoprecipitate using ab220788 at 1/1000 dilution. VeriBlot for IP Detection Reagent (HRP) (ab131366), was used for detection at 1/5000 dilution.

Lane 1 : HeLa whole cell lysate 10 μg (Input).
Lane 2 : ab220788 IP in HeLa whole cell lysate.
Lane 3 : Rabbit monoclonal IgG (ab172730) instead of ab220788 in HeLa whole cell lysate.

Blocking and dilution buffer and concentration : 5% NFDM/TBST.

Exposure time : 30 seconds.

This data was developed using the same antibody clone in a different buffer formulation containing PBS, BSA, glycerol, and sodium azide (ab220788).

All lanes:

Immunoprecipitation - Anti-TATA binding protein TBP antibody [EPR21954] - Loading Control and ChIP Grade (<a href='/en-us/products/primary-antibodies/tata-binding-protein-tbp-antibody-epr21954-loading-control-and-chip-grade-ab220788'>ab220788</a>)

Predicted band size: 38 kDa

Observed band size: 45 kDa

false

ChIP - Anti-TATA binding protein TBP antibody [EPR21954] - ChIP Grade - BSA and Azide free (AB237785)
  • ChIP

Unknown

ChIP - Anti-TATA binding protein TBP antibody [EPR21954] - ChIP Grade - BSA and Azide free (AB237785)

Chromatin was prepared from HeLa (human epithelial cell line from cervix adenocarcinoma) cells according to the Abcam X-ChIP protocol. The ChIP was performed with 25 µg of chromatin, 5 µg of ab220788 (red), and 20 µl of Protein A/G sepharose beads. 5 μg of rabbit normal IgG was added to the beads control (gray). The immunoprecipitated DNA was quantified by real time PCR (SYBR green approach).Primers and probes are located in the first kb of the transcribed region.

This data was developed using the same antibody clone in a different buffer formulation containing PBS, BSA, glycerol, and sodium azide (ab220788).

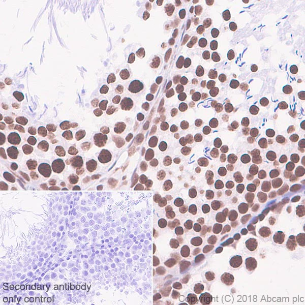
Immunohistochemistry (Formalin/PFA-fixed paraffin-embedded sections) - Anti-TATA binding protein TBP antibody [EPR21954] - ChIP Grade - BSA and Azide free (AB237785)
  • IHC-P

Supplier Data

Immunohistochemistry (Formalin/PFA-fixed paraffin-embedded sections) - Anti-TATA binding protein TBP antibody [EPR21954] - ChIP Grade - BSA and Azide free (AB237785)

Immunohistochemical analysis of paraffin-embedded rat testis tissue labeling TATA binding protein TBP with ab220788 at 1/4000 dilution, followed by Goat Anti-Rabbit IgG H&L (HRP) ready to use. Nuclear staining in rat testis (PMID : 17570761; PMID : 11861477) is observed. Counter stained with hematoxylin.

Secondary antibody only control : Used PBS instead of primary antibody, secondary antibody is Goat Anti-Rabbit IgG H&L (HRP) ready to use.

This data was developed using the same antibody clone in a different buffer formulation containing PBS, BSA, glycerol, and sodium azide (ab220788).

Heat mediated antigen retrieval was performed with citrate buffer pH 6 before commencing with IHC staining protocol.

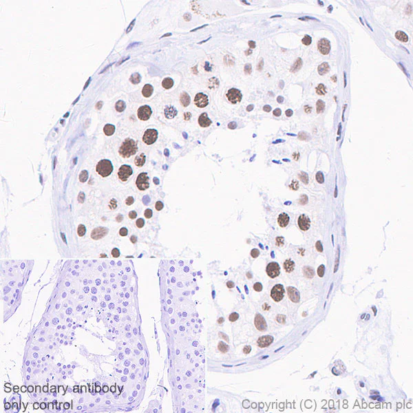
Immunohistochemistry (Formalin/PFA-fixed paraffin-embedded sections) - Anti-TATA binding protein TBP antibody [EPR21954] - ChIP Grade - BSA and Azide free (AB237785)
  • IHC-P

Supplier Data

Immunohistochemistry (Formalin/PFA-fixed paraffin-embedded sections) - Anti-TATA binding protein TBP antibody [EPR21954] - ChIP Grade - BSA and Azide free (AB237785)

Immunohistochemical analysis of paraffin-embedded mouse testis tissue labeling TATA binding protein TBP with ab220788 at 1/4000 dilution, followed by Goat Anti-Rabbit IgG H&L (HRP) ready to use. Nuclear staining in mouse testis (PMID : 17570761; PMID : 11861477) is observed. Counter stained with hematoxylin.

Secondary antibody only control : Used PBS instead of primary antibody, secondary antibody is Goat Anti-Rabbit IgG H&L (HRP) ready to use.

This data was developed using the same antibody clone in a different buffer formulation containing PBS, BSA, glycerol, and sodium azide (ab220788).

Heat mediated antigen retrieval was performed with citrate buffer pH 6 before commencing with IHC staining protocol.

ChIC/CUT&RUN sequencing - Anti-TATA binding protein TBP antibody [EPR21954] - ChIP Grade - BSA and Azide free (AB237785)
  • ChIC/CUT&RUN-seq

Lab

ChIC/CUT&RUN sequencing - Anti-TATA binding protein TBP antibody [EPR21954] - ChIP Grade - BSA and Azide free (AB237785)

CUT&RUN was performed using the ChIC/CUT&RUN pAG-MNAse ab285373, 105 HeLa cells and 3μg of ab220788 [EPR21954]. The resulting DNA was sequenced on the Illumina NovaSeq 6000 to a depth of 10 million reads. The ChIP data was conducted on chromatin prepared from HeLa cells. Cells were fixed with 1% formaldehyde for 10 minutes. ChIP was performed with 107 HeLa cells and 4 μg of ab220788 [EPR21954]. ChIP DNA was sequenced on the Illumina NovaSeq 6000 to a depth of 30 million reads. Additional screenshots of mapped reads can be downloaded here.

ChIC/CUT&RUN sequencing - Anti-TATA binding protein TBP antibody [EPR21954] - ChIP Grade - BSA and Azide free (AB237785)
  • ChIC/CUT&RUN-seq

Supplier Data

ChIC/CUT&RUN sequencing - Anti-TATA binding protein TBP antibody [EPR21954] - ChIP Grade - BSA and Azide free (AB237785)

ChIC/CUT&RUN was performed using a pAG-MNAse at a final concentration of 700 ng/mL, 3 x 10^5 HeLa (Human cervix adenocarcinoma epithelial cell line) cells and 3µg of ab220788 [EPR21954]. The resulting DNA was sequenced on the Illumina NovaSeq 6000 to a depth of 10 million reads. The negative IgG control ab172730 is also shown. The ChIP data was conducted on chromatin prepared from HeLa cells. Cells were fixed with 1% formaldehyde for 10 minutes. ChIP was performed with 30 µg of chromatin and 4 µg of ab220788 with ChIP-Kit Transcription Factors ChIP-Seq (ab270813). ChIP DNA was sequenced on the Illumina NovaSeq 6000 to a depth of 30 million reads. Additional screenshots of mapped reads can be found in the Protocol booklet in the Product Protocol section. The University of Geneva owns patents relevant to ChIC (Chromatin Immuno-Cleavage) methods. This data was developed using the same antibody clone in a different buffer formulation containing PBS, BSA, glycerol, and sodium azide (ab220788).

  • Unconjugated

    Anti-TATA binding protein TBP antibody [EPR21954] - Loading Control and ChIP Grade

  • 775 Alexa Fluor® 750

    Alexa Fluor® 750 Anti-TATA binding protein TBP antibody [EPR21954] - ChIP Grade

  • 578 PE

    PE Anti-TATA binding protein TBP antibody [EPR21954] (ChIP Grade)

  • 660 APC

    APC Anti-TATA binding protein TBP antibody [EPR21954] (ChIP Grade)

  • HRP

    HRP Anti-TATA binding protein TBP antibody [EPR21954] (ChIP Grade)

  • 519 Alexa Fluor® 488

    Alexa Fluor® 488 Anti-TATA binding protein TBP antibody [EPR21954] - ChIP Grade

  • 665 Alexa Fluor® 647

    Alexa Fluor® 647 Anti-TATA binding protein TBP antibody [EPR21954] - ChIP Grade

  • 617 Alexa Fluor® 594

    Alexa Fluor® 594 Anti-TATA binding protein TBP antibody [EPR21954] - ChIP Grade

  • 565 Alexa Fluor® 555

    Alexa Fluor® 555 Anti-TATA binding protein TBP antibody [EPR21954] - ChIP Grade

  • 603 Alexa Fluor® 568

    Alexa Fluor® 568 Anti-TATA binding protein TBP antibody [EPR21954] - ChIP Grade

Key facts

Host species

Rabbit

Clonality

Monoclonal

Clone number

EPR21954

Isotype

IgG

Carrier free

Yes

Reacts with

Mouse, Rat, Human

Applications

ChIC/CUT&RUN-seq, IP, WB, ChIP-seq, ICC/IF, IHC-P, Flow Cyt (Intra), ChIP

applications

Immunogen

The exact immunogen used to generate this antibody is proprietary information.

Reactivity data

{ "title": "Reactivity Data", "filters": { "stats": ["", "Species", "Dilution Info", "Notes"], "tabs": { "all-applications": {"fullname" : "All Applications", "shortname": "All Applications"}, "ChICCUTRUNseq" : {"fullname" : "ChIC/CUT&RUN sequencing", "shortname":"ChIC/CUT&RUN-seq"}, "WB" : {"fullname" : "Western blot", "shortname":"WB"}, "IP" : {"fullname" : "Immunoprecipitation", "shortname":"IP"}, "ChIP" : {"fullname" : "ChIP", "shortname":"ChIP"}, "FlowCytIntra" : {"fullname" : "Flow Cytometry (Intracellular)", "shortname":"Flow Cyt (Intra)"}, "ChIPseq" : {"fullname" : "ChIP-sequencing", "shortname":"ChIP-seq"}, "ICCIF" : {"fullname" : "Immunocytochemistry/ Immunofluorescence", "shortname":"ICC/IF"}, "IHCP" : {"fullname" : "Immunohistochemistry (Formalin/PFA-fixed paraffin-embedded sections)", "shortname":"IHC-P"} }, "product-promise": { "all": "all", "testedAndGuaranteed": "tested", "guaranteed": "expected", "predicted": "predicted", "notRecommended": "not-recommended" } }, "values": { "Human": { "ChICCUTRUNseq-species-checked": "testedAndGuaranteed", "ChICCUTRUNseq-species-dilution-info": "", "ChICCUTRUNseq-species-notes": "<p></p>", "WB-species-checked": "testedAndGuaranteed", "WB-species-dilution-info": "", "WB-species-notes": "<p></p>", "IP-species-checked": "testedAndGuaranteed", "IP-species-dilution-info": "", "IP-species-notes": "<p></p>", "ChIP-species-checked": "testedAndGuaranteed", "ChIP-species-dilution-info": "", "ChIP-species-notes": "<p></p>", "FlowCytIntra-species-checked": "testedAndGuaranteed", "FlowCytIntra-species-dilution-info": "", "FlowCytIntra-species-notes": "<p></p>", "ChIPseq-species-checked": "testedAndGuaranteed", "ChIPseq-species-dilution-info": "", "ChIPseq-species-notes": "<p></p>", "ICCIF-species-checked": "testedAndGuaranteed", "ICCIF-species-dilution-info": "", "ICCIF-species-notes": "<p></p>", "IHCP-species-checked": "testedAndGuaranteed", "IHCP-species-dilution-info": "", "IHCP-species-notes": "<p></p>" }, "Mouse": { "ChICCUTRUNseq-species-checked": "guaranteed", "ChICCUTRUNseq-species-dilution-info": "", "ChICCUTRUNseq-species-notes": "", "WB-species-checked": "testedAndGuaranteed", "WB-species-dilution-info": "", "WB-species-notes": "<p></p>", "IP-species-checked": "guaranteed", "IP-species-dilution-info": "", "IP-species-notes": "", "ChIP-species-checked": "guaranteed", "ChIP-species-dilution-info": "", "ChIP-species-notes": "", "FlowCytIntra-species-checked": "guaranteed", "FlowCytIntra-species-dilution-info": "", "FlowCytIntra-species-notes": "", "ChIPseq-species-checked": "guaranteed", "ChIPseq-species-dilution-info": "", "ChIPseq-species-notes": "", "ICCIF-species-checked": "guaranteed", "ICCIF-species-dilution-info": "", "ICCIF-species-notes": "", "IHCP-species-checked": "testedAndGuaranteed", "IHCP-species-dilution-info": "", "IHCP-species-notes": "<p></p>" }, "Rat": { "ChICCUTRUNseq-species-checked": "guaranteed", "ChICCUTRUNseq-species-dilution-info": "", "ChICCUTRUNseq-species-notes": "", "WB-species-checked": "testedAndGuaranteed", "WB-species-dilution-info": "", "WB-species-notes": "<p></p>", "IP-species-checked": "guaranteed", "IP-species-dilution-info": "", "IP-species-notes": "", "ChIP-species-checked": "guaranteed", "ChIP-species-dilution-info": "", "ChIP-species-notes": "", "FlowCytIntra-species-checked": "guaranteed", "FlowCytIntra-species-dilution-info": "", "FlowCytIntra-species-notes": "", "ChIPseq-species-checked": "guaranteed", "ChIPseq-species-dilution-info": "", "ChIPseq-species-notes": "", "ICCIF-species-checked": "guaranteed", "ICCIF-species-dilution-info": "", "ICCIF-species-notes": "", "IHCP-species-checked": "testedAndGuaranteed", "IHCP-species-dilution-info": "", "IHCP-species-notes": "<p></p>" } } }

Product details

ab237785 is the carrier-free version of ab220788.

Patented technology
Our RabMAb® technology is a patented hybridoma-based technology for making rabbit monoclonal antibodies. For details on our patents, please refer to RabMAb® patents.

What are the advantages of a recombinant monoclonal antibody?
This product is a recombinant monoclonal antibody, which offers several advantages including:

  • - High batch-to-batch consistency and reproducibility
  • - Improved sensitivity and specificity
  • - Long-term security of supply
  • - Animal-free batch production

For more information, read more on recombinant antibodies.

Conjugation ready
Our carrier-free antibodies are typically supplied in a PBS-only formulation, purified and free of BSA, sodium azide and glycerol. This conjugation-ready format is designed for use with fluorochromes, metal isotopes, oligonucleotides, and enzymes, which makes them ideal for antibody labelling, functional and cell-based assays, flow-based assays (e.g. mass cytometry) and Multiplex Imaging applications.

Use our conjugation kits for antibody conjugates that are ready-to-use in as little as 20 minutes with 1 minute hands-on-time and 100% antibody recovery: available for fluorescent dyes, HRP, biotin and gold.

Compatibility
This product is compatible with the Maxpar® Antibody Labeling Kit from Fluidigm, without the need for antibody preparation. Maxpar® is a trademark of Fluidigm Canada Inc.

Properties and storage information

Form
Liquid
Purification technique
Affinity purification Protein A
Storage buffer
pH: 7.2 - 7.4 Constituents: PBS
Shipped at conditions
Blue Ice
Appropriate short-term storage conditions
+4°C
Appropriate long-term storage conditions
+4°C
Storage information
Do Not Freeze

Supplementary information

This supplementary information is collated from multiple sources and compiled automatically.

The TATA binding protein (TBP) also known as TBP or TFIID (Transcription Factor IID) is a central player in transcription initiation. This protein weighing approximately 38 kDa binds to the TATA box a DNA sequence found in the promoter region of many genes especially those transcribed by RNA polymerase II. TBP facilitates the loading of the transcription machinery onto DNA enabling the start of transcription. It is found inside the nucleus of eukaryotic cells present across diverse cell types owing to its role in gene expression.
Biological function summary

TBP serves as a pivotal anchor in the assembly of the transcription preinitiation complex contributing to the process by bending DNA to assist other transcription factors such as TFIIA and TFIIB in binding. Its role in this complex illustrates its importance in regulating gene expression at a fundamental level. TBP’s interaction with other transcription factors ensures precise transcription regulation reflecting its significant contribution to cellular activities.

Pathways

TBP acts within the RNA polymerase II transcription initiation pathway and is integral in regulating gene expression. TBP's involvement is critical for the process of starting the transcription of mRNA. In its pathway TBP interacts with proteins like TFIID helping to anchor other transcription factors in the complex. By collaborating with these proteins TBP shapes gene regulatory networks essential for a wide range of cellular functions.

TBP is linked to conditions such as spinocerebellar ataxia type 17 (SCA17) and Huntington's disease. SCA17 is associated with mutations in the TBP gene that disrupt its usual functioning leading to neurodegeneration. In Huntington's disease TBP's interaction with proteins such as huntingtin may influence nuclear signaling pathways involved in disease progression. The understanding of TBP’s role in these disorders underlines its relevance in research focused on genetic diseases and transcription-related pathologies.

Product protocols

For this product, it's our understanding that no specific protocols are required. You can visit:

Target data

The TFIID basal transcription factor complex plays a major role in the initiation of RNA polymerase II (Pol II)-dependent transcription (PubMed : 33795473). TFIID recognizes and binds promoters with or without a TATA box via its subunit TBP, a TATA-box-binding protein, and promotes assembly of the pre-initiation complex (PIC) (PubMed : 2194289, PubMed : 2363050, PubMed : 2374612, PubMed : 27193682, PubMed : 33795473). The TFIID complex consists of TBP and TBP-associated factors (TAFs), including TAF1, TAF2, TAF3, TAF4, TAF5, TAF6, TAF7, TAF8, TAF9, TAF10, TAF11, TAF12 and TAF13 (PubMed : 27007846, PubMed : 33795473). The TFIID complex structure can be divided into 3 modules TFIID-A, TFIID-B, and TFIID-C (PubMed : 33795473). TBP forms the TFIID-A module together with TAF3 and TAF5 (PubMed : 33795473). TBP is a general transcription factor that functions at the core of the TFIID complex (PubMed : 2194289, PubMed : 2363050, PubMed : 2374612, PubMed : 27193682, PubMed : 33795473, PubMed : 9836642). During assembly of the core PIC on the promoter, as part of TFIID, TBP binds to and also bends promoter DNA, irrespective of whether the promoter contains a TATA box (PubMed : 33795473). Component of a BRF2-containing transcription factor complex that regulates transcription mediated by RNA polymerase III (PubMed : 26638071). Component of the transcription factor SL1/TIF-IB complex, which is involved in the assembly of the PIC during RNA polymerase I-dependent transcription (PubMed : 15970593). The rate of PIC formation probably is primarily dependent on the rate of association of SL1 with the rDNA promoter (PubMed : 15970593). SL1 is involved in stabilization of nucleolar transcription factor 1/UBTF on rDNA (PubMed : 15970593).
See full target information TBP
chicCutRunSequencingBooklet
en

Product promise

We are committed to supporting your work with high-quality reagents, and we're here for you every step of the way. In the unlikely event that one of our products does not perform as expected, you're protected by our Product Promise.
For full details, please see our Terms & Conditions

Please note: All products are 'FOR RESEARCH USE ONLY. NOT FOR USE IN DIAGNOSTIC OR THERAPEUTIC PROCEDURES'.

For licensing inquiries, please contact partnerships@abcam.com