JavaScript is disabled in your browser. Please enable JavaScript to view this website.
AB220788

Anti-TATA binding protein TBP antibody [EPR21954] - Loading Control and ChIP Grade

  • Recombinant
  • Advanced Validation
  • RabMAb
  • Lab Essentials
  • What is this?

Be the first to review this product! Submit a review

|

(11 Publications)

Rabbit Recombinant Monoclonal TATA binding protein TBP antibody. Suitable for ChIC/CUT&RUN-seq, IHC-P, IP, ChIP, WB, ICC/IF, ChIP-seq, Flow Cyt (Intra) and reacts with Human, Mouse, Rat samples. Cited in 11 publications.

View Alternative Names

GTF2D1, TF2D, TFIID, TBP, TATA-box-binding protein, TATA sequence-binding protein, TATA-binding factor, TATA-box factor, Transcription initiation factor TFIID TBP subunit

14 Images
Immunohistochemistry (Formalin/PFA-fixed paraffin-embedded sections) - Anti-TATA binding protein TBP antibody [EPR21954] - Loading Control and ChIP Grade (AB220788)
  • IHC-P

Supplier Data

Immunohistochemistry (Formalin/PFA-fixed paraffin-embedded sections) - Anti-TATA binding protein TBP antibody [EPR21954] - Loading Control and ChIP Grade (AB220788)

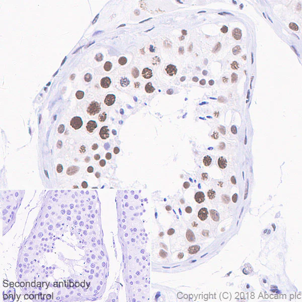
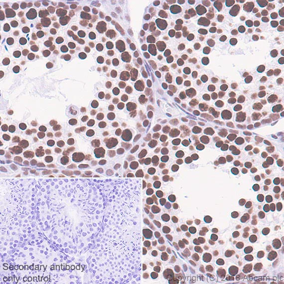
Immunohistochemical analysis of paraffin-embedded human testis tissue labeling TATA binding protein TBP with ab220788 at 1/4000 dilution, followed by Goat Anti-Rabbit IgG H&L (HRP) ready to use. Nuclear staining in human testis (PMID : 17570761; PMID : 11861477) is observed. Counter stained with hematoxylin.

Secondary antibody only control : Used PBS instead of primary antibody, secondary antibody is Goat Anti-Rabbit IgG H&L (HRP) ready to use.

Heat mediated antigen retrieval was performed with citrate buffer pH 6 before commencing with IHC staining protocol.

Flow Cytometry (Intracellular) - Anti-TATA binding protein TBP antibody [EPR21954] - Loading Control and ChIP Grade (AB220788)
  • Flow Cyt (Intra)

Unknown

Flow Cytometry (Intracellular) - Anti-TATA binding protein TBP antibody [EPR21954] - Loading Control and ChIP Grade (AB220788)

Intracellular flow cytometric analysis of4% paraformaldehyde-fixed, 90% methanol-permeabilized HeLa (human epithelial cell line from cervix adenocarcinoma) cells labeling TATA binding protein TBP with ab220788 at 1/500 dilution (red) compared with a Rabbit IgG, monoclonal [EPR25A] - Isotype Control (ab172730) (black) and an unlabeled control (cells incubated with secondary antibody only) (blue). Goat Anti-Rabbit IgG H&L (Alexa Fluor® 488) (ab150077), at 1/2000 dilution was used as the secondary antibody.

Immunohistochemistry (Formalin/PFA-fixed paraffin-embedded sections) - Anti-TATA binding protein TBP antibody [EPR21954] - Loading Control and ChIP Grade (AB220788)
  • IHC-P

Supplier Data

Immunohistochemistry (Formalin/PFA-fixed paraffin-embedded sections) - Anti-TATA binding protein TBP antibody [EPR21954] - Loading Control and ChIP Grade (AB220788)

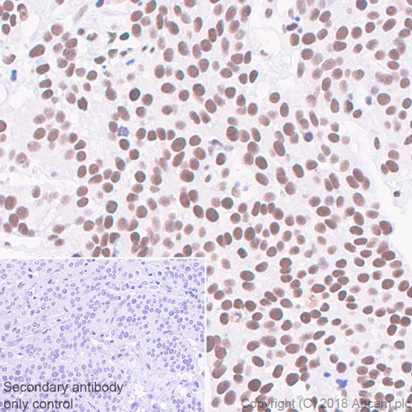
Immunohistochemical analysis of paraffin-embedded human bladder cancer tissue labeling TATA binding protein TBP with ab220788 at 1/4000 dilution, followed by Goat Anti-Rabbit IgG H&L (HRP) ready to use. Nuclear staining in human bladder cancer (PMID : 17570761; PMID : 11861477) is observed. Counter stained with hematoxylin.

Secondary antibody only control : Used PBS instead of primary antibody, secondary antibody is Goat Anti-Rabbit IgG H&L (HRP) ready to use.

Heat mediated antigen retrieval was performed with citrate buffer pH 6 before commencing with IHC staining protocol.

Immunocytochemistry/ Immunofluorescence - Anti-TATA binding protein TBP antibody [EPR21954] - Loading Control and ChIP Grade (AB220788)
  • ICC/IF

Supplier Data

Immunocytochemistry/ Immunofluorescence - Anti-TATA binding protein TBP antibody [EPR21954] - Loading Control and ChIP Grade (AB220788)

Immunofluorescent analysis of 4% paraformaldehyde-fixed, 0.1% Triton X-100 permeabilized HeLa (human epithelial cell line from cervix adenocarcinoma) cells labeling TATA binding protein TBP with ab220788 at 1/500 dilution, followed by Goat Anti-Rabbit IgG H&L (Alexa Fluor® 488) (ab150077) secondary antibody at 1/1000 dilution (green). Confocal image showing nuclear staining in HeLa cells. The nuclear counter stain is DAPI (blue).

Tubulin is detected with Anti-alpha Tubulin antibody [DM1A] - Microtubule Marker (Alexa Fluor® 594) (ab195889) at 1/200 dilution (red).

Secondary antibody only control : Used PBS instead of primary antibody, followed by Goat Anti-Rabbit IgG H&L (Alexa Fluor® 488) (ab150077) secondary antibody at 1/1000 dilution.

Immunocytochemistry/ Immunofluorescence - Anti-TATA binding protein TBP antibody [EPR21954] - Loading Control and ChIP Grade (AB220788)
  • ICC/IF

Supplier Data

Immunocytochemistry/ Immunofluorescence - Anti-TATA binding protein TBP antibody [EPR21954] - Loading Control and ChIP Grade (AB220788)

Immunofluorescent analysis of 4% paraformaldehyde-fixed, 0.1% Triton X-100 permeabilized HCT 116 (human colorectal carcinoma cell line) cells labeling TATA binding protein TBP with ab220788 at 1/500 dilution, followed by Goat Anti-Rabbit IgG H&L (Alexa Fluor® 488) (ab150077) secondary antibody at 1/1000 dilution (green). Confocal image showing nuclear staining in HCT 116 cells. The nuclear counter stain is DAPI (blue).

Tubulin is detected with Anti-alpha Tubulin antibody [DM1A] - Microtubule Marker (Alexa Fluor® 594) (ab195889) at 1/200 dilution (red).

Secondary antibody only control : Used PBS instead of primary antibody, followed by Goat Anti-Rabbit IgG H&L (Alexa Fluor® 488) (ab150077) secondary antibody at 1/1000 dilution.

ChIP - Anti-TATA binding protein TBP antibody [EPR21954] - Loading Control and ChIP Grade (AB220788)
  • ChIP

Unknown

ChIP - Anti-TATA binding protein TBP antibody [EPR21954] - Loading Control and ChIP Grade (AB220788)

Chromatin was prepared from HeLa (human epithelial cell line from cervix adenocarcinoma) cells according to the Abcam X-ChIP protocol. The ChIP was performed with 25 μg of chromatin, 5 μg of ab220788 (red), and 20 μl of Protein A/G sepharose beads. 5 μg of rabbit normal IgG was added to the beads control (gray). The immunoprecipitated DNA was quantified by real time PCR (SYBR green approach).Primers and probes are located in the first kb of the transcribed region.

Immunoprecipitation - Anti-TATA binding protein TBP antibody [EPR21954] - Loading Control and ChIP Grade (AB220788)
  • IP

Supplier Data

Immunoprecipitation - Anti-TATA binding protein TBP antibody [EPR21954] - Loading Control and ChIP Grade (AB220788)

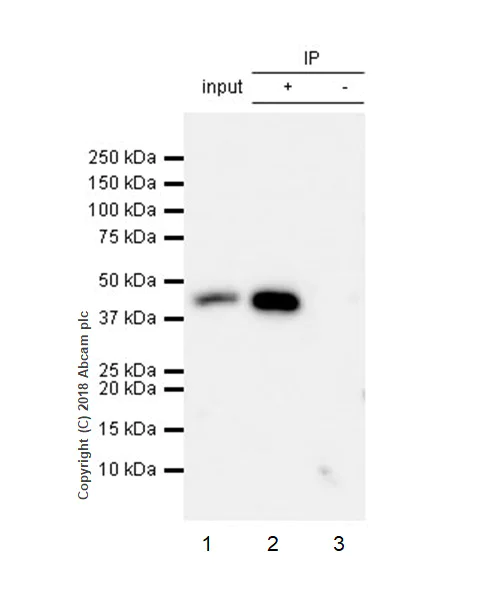
TATA binding protein TBP was immunoprecipitated from 0.35 mg of HeLa (human epithelial cell line from cervix adenocarcinoma) whole cell lysate with ab220788 at 1/30 dilution. Western blot was performed from the immunoprecipitate using ab220788 at 1/1000 dilution. VeriBlot for IP Detection Reagent (HRP) (ab131366), was used for detection at 1/5000 dilution.

Lane 1 : HeLa whole cell lysate 10 μg (Input).
Lane 2 : ab220788 IP in HeLa whole cell lysate.
Lane 3 : Rabbit monoclonal IgG (ab172730) instead of ab220788 in HeLa whole cell lysate.

Blocking and dilution buffer and concentration : 5% NFDM/TBST.

Exposure time : 30 seconds.

All lanes:

Immunoprecipitation - Anti-TATA binding protein TBP antibody [EPR21954] - Loading Control and ChIP Grade (ab220788)

Predicted band size: 38 kDa

Observed band size: 45 kDa

false

ChIP-sequencing - Anti-TATA binding protein TBP antibody [EPR21954] - Loading Control and ChIP Grade (AB220788)
  • ChIP-seq

Lab

ChIP-sequencing - Anti-TATA binding protein TBP antibody [EPR21954] - Loading Control and ChIP Grade (AB220788)

Chromatin was prepared from HeLa cells. Cells were fixed with 1% formaldehyde for 10 minutes. ChIP was performed with 30 μg of chromatin and 4 μg of ab220788. ChIP DNA was sequenced on the Illumina NovaSeq 6000 to a depth of 30 million reads. ChIP-Seq validation performed with ChIP-Kit Transcription Factors ChIP-Seq (ab270813). Additional screenshots of mapped reads can be downloaded here.

ChIP-sequencing - Anti-TATA binding protein TBP antibody [EPR21954] - Loading Control and ChIP Grade (AB220788)
  • ChIP-seq

Supplier Data

ChIP-sequencing - Anti-TATA binding protein TBP antibody [EPR21954] - Loading Control and ChIP Grade (AB220788)

Chromatin was prepared from HeLa cells. Cells were fixed with 1% formaldehyde for 10 minutes. ChIP was performed with 30 μg of chromatin and 4 μg of Anti-TATA binding protein TBP antibody [EPR21954] - ChIP Grade (ab220788). ChIP DNA was sequenced on the Illumina NextSeq 500 to a depth of 30 million reads. ChIP-Seq validation performed by Active Motif, Carlsbad, CA. Additional screenshots of mapped reads can be downloaded here.

Immunohistochemistry (Formalin/PFA-fixed paraffin-embedded sections) - Anti-TATA binding protein TBP antibody [EPR21954] - Loading Control and ChIP Grade (AB220788)
  • IHC-P

Supplier Data

Immunohistochemistry (Formalin/PFA-fixed paraffin-embedded sections) - Anti-TATA binding protein TBP antibody [EPR21954] - Loading Control and ChIP Grade (AB220788)

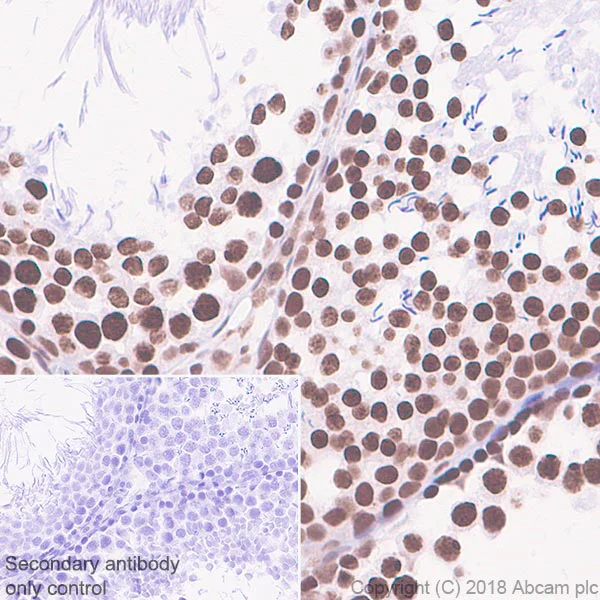
Immunohistochemical analysis of paraffin-embedded rat testis tissue labeling TATA binding protein TBP with ab220788 at 1/4000 dilution, followed by Goat Anti-Rabbit IgG H&L (HRP) ready to use. Nuclear staining in rat testis (PMID : 17570761; PMID : 11861477) is observed. Counter stained with hematoxylin.

Secondary antibody only control : Used PBS instead of primary antibody, secondary antibody is Goat Anti-Rabbit IgG H&L (HRP) ready to use.

Heat mediated antigen retrieval was performed with citrate buffer pH 6 before commencing with IHC staining protocol.

Immunohistochemistry (Formalin/PFA-fixed paraffin-embedded sections) - Anti-TATA binding protein TBP antibody [EPR21954] - Loading Control and ChIP Grade (AB220788)
  • IHC-P

Supplier Data

Immunohistochemistry (Formalin/PFA-fixed paraffin-embedded sections) - Anti-TATA binding protein TBP antibody [EPR21954] - Loading Control and ChIP Grade (AB220788)

Immunohistochemical analysis of paraffin-embedded mouse testis tissue labeling TATA binding protein TBP with ab220788 at 1/4000 dilution, followed by Goat Anti-Rabbit IgG H&L (HRP) ready to use. Nuclear staining in mouse testis (PMID : 17570761; PMID : 11861477) is observed. Counter stained with hematoxylin.

Secondary antibody only control : Used PBS instead of primary antibody, secondary antibody is Goat Anti-Rabbit IgG H&L (HRP) ready to use.

Heat mediated antigen retrieval was performed with citrate buffer pH 6 before commencing with IHC staining protocol.

Western blot - Anti-TATA binding protein TBP antibody [EPR21954] - Loading Control and ChIP Grade (AB220788)
  • WB

Supplier Data

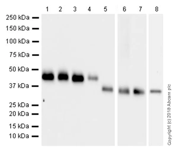
Western blot - Anti-TATA binding protein TBP antibody [EPR21954] - Loading Control and ChIP Grade (AB220788)

Exposure times : Lanes 1-7 : 15 seconds, Lane 8 : 3 minutes.

Blocking and dilution buffer : 5% NFDM/TBST.

Human TBP migrates with an approximate molecular mass of 45 kDa on SDS-PAGE (PMID : 1458534; PMID : 1907890) the molecular mass observed is lower in mouse than in human samples due to a shorter sequence.

All lanes:

Western blot - Anti-TATA binding protein TBP antibody [EPR21954] - Loading Control and ChIP Grade (ab220788) at 1/1000 dilution

Lane 1:

HeLa (human epithelial cell line from cervix adenocarcinoma) whole cell lysate at 20 µg

Lane 2:

HEK-293 (human epithelial cell line from embryonic kidney) whole cell lysate at 20 µg

Lane 3:

HCT 116 (human colorectal carcinoma cell line) whole cell lysate at 20 µg

Lane 4:

MCF7 (human breast adenocarcinoma cell line) whole cell lysate at 20 µg

Lane 5:

C2C12 (mouse myoblast cell line) whole cell lysate at 20 µg

Lane 6:

Mouse testis lysate at 20 µg

Lane 7:

Rat testis lysate at 20 µg

Lane 8:

NIH/3T3 (mouse embryo fibroblast cell line) whole cell lysate at 20 µg

Secondary

All lanes:

Western blot - Goat Anti-Rabbit IgG H&L (HRP) (<a href='/en-us/products/secondary-antibodies/goat-rabbit-igg-h-l-hrp-ab97051'>ab97051</a>) at 1/100000 dilution

Predicted band size: 38 kDa

Observed band size: 35 kDa,45 kDa

false

ChIC/CUT&RUN sequencing - Anti-TATA binding protein TBP antibody [EPR21954] - Loading Control and ChIP Grade (AB220788)
  • ChIC/CUT&RUN-seq

Supplier Data

ChIC/CUT&RUN sequencing - Anti-TATA binding protein TBP antibody [EPR21954] - Loading Control and ChIP Grade (AB220788)

CUT&RUN was performed using the ChIC/CUT&RUN pAG-MNAse ab285373, 3x10^5 HeLa cells and 3µg of ab220788 [EPR21954]. The resulting DNA was sequenced on the NovaSeq 6000 (PE150). Additional screenshots of mapped reads can be downloaded here.

ChIC/CUT&RUN sequencing - Anti-TATA binding protein TBP antibody [EPR21954] - Loading Control and ChIP Grade (AB220788)
  • ChIC/CUT&RUN-seq

Supplier Data

ChIC/CUT&RUN sequencing - Anti-TATA binding protein TBP antibody [EPR21954] - Loading Control and ChIP Grade (AB220788)

ChIC/CUT&RUN was performed using a pAG-MNAse at a final concentration of 700 ng/mL, 3 x 10^5 HeLa (Human cervix adenocarcinoma epithelial cell line) cells and 3µg of ab220788 [EPR21954]. The resulting DNA was sequenced on the Illumina NovaSeq 6000 to a depth of 10 million reads. The negative IgG control ab172730 is also shown. The ChIP data was conducted on chromatin prepared from HeLa cells. Cells were fixed with 1% formaldehyde for 10 minutes. ChIP was performed with 30 µg of chromatin and 4 µg of ab220788 with ChIP-Kit Transcription Factors ChIP-Seq (ab270813). ChIP DNA was sequenced on the Illumina NovaSeq 6000 to a depth of 30 million reads. Additional screenshots of mapped reads can be found in the Protocol booklet in the Product Protocol section. The University of Geneva owns patents relevant to ChIC (Chromatin Immuno-Cleavage) methods.

  • 660 APC

    APC Anti-TATA binding protein TBP antibody [EPR21954] (ChIP Grade)

  • HRP

    HRP Anti-TATA binding protein TBP antibody [EPR21954] (ChIP Grade)

  • 617 Alexa Fluor® 594

    Alexa Fluor® 594 Anti-TATA binding protein TBP antibody [EPR21954] - ChIP Grade

  • 519 Alexa Fluor® 488

    Alexa Fluor® 488 Anti-TATA binding protein TBP antibody [EPR21954] - ChIP Grade

  • 665 Alexa Fluor® 647

    Alexa Fluor® 647 Anti-TATA binding protein TBP antibody [EPR21954] - ChIP Grade

  • 565 Alexa Fluor® 555

    Alexa Fluor® 555 Anti-TATA binding protein TBP antibody [EPR21954] - ChIP Grade

  • 603 Alexa Fluor® 568

    Alexa Fluor® 568 Anti-TATA binding protein TBP antibody [EPR21954] - ChIP Grade

  • Carrier free

    Anti-TATA binding protein TBP antibody [EPR21954] - ChIP Grade - BSA and Azide free

  • 578 PE

    PE Anti-TATA binding protein TBP antibody [EPR21954] (ChIP Grade)

  • 775 Alexa Fluor® 750

    Alexa Fluor® 750 Anti-TATA binding protein TBP antibody [EPR21954] - ChIP Grade

Key facts

Host species

Rabbit

Clonality

Monoclonal

Clone number

EPR21954

Isotype

IgG

Carrier free

No

Reacts with

Mouse, Rat, Human

Applications

ChIP-seq, IHC-P, ICC/IF, Flow Cyt (Intra), ChIP, WB, ChIC/CUT&RUN-seq, IP

applications

Immunogen

The exact immunogen used to generate this antibody is proprietary information.

Reactivity data

{ "title": "Reactivity Data", "filters": { "stats": ["", "Species", "Dilution Info", "Notes"], "tabs": { "all-applications": {"fullname" : "All Applications", "shortname": "All Applications"}, "ChICCUTRUNseq" : {"fullname" : "ChIC/CUT&RUN sequencing", "shortname":"ChIC/CUT&RUN-seq"}, "IHCP" : {"fullname" : "Immunohistochemistry (Formalin/PFA-fixed paraffin-embedded sections)", "shortname":"IHC-P"}, "IP" : {"fullname" : "Immunoprecipitation", "shortname":"IP"}, "ChIP" : {"fullname" : "ChIP", "shortname":"ChIP"}, "WB" : {"fullname" : "Western blot", "shortname":"WB"}, "ICCIF" : {"fullname" : "Immunocytochemistry/ Immunofluorescence", "shortname":"ICC/IF"}, "ChIPseq" : {"fullname" : "ChIP-sequencing", "shortname":"ChIP-seq"}, "FlowCytIntra" : {"fullname" : "Flow Cytometry (Intracellular)", "shortname":"Flow Cyt (Intra)"} }, "product-promise": { "all": "all", "testedAndGuaranteed": "tested", "guaranteed": "expected", "predicted": "predicted", "notRecommended": "not-recommended" } }, "values": { "Human": { "ChICCUTRUNseq-species-checked": "testedAndGuaranteed", "ChICCUTRUNseq-species-dilution-info": "3 µg", "ChICCUTRUNseq-species-notes": "<p></p>", "IHCP-species-checked": "testedAndGuaranteed", "IHCP-species-dilution-info": "1/4000", "IHCP-species-notes": "<p></p>", "IP-species-checked": "testedAndGuaranteed", "IP-species-dilution-info": "1/30", "IP-species-notes": "<p></p>", "ChIP-species-checked": "testedAndGuaranteed", "ChIP-species-dilution-info": "5 µg for 25 µg chromatin", "ChIP-species-notes": "<p></p>", "WB-species-checked": "testedAndGuaranteed", "WB-species-dilution-info": "1/1000", "WB-species-notes": "<p></p>", "ICCIF-species-checked": "testedAndGuaranteed", "ICCIF-species-dilution-info": "1/500", "ICCIF-species-notes": "<p></p>", "ChIPseq-species-checked": "testedAndGuaranteed", "ChIPseq-species-dilution-info": "4 µg for 30 µg chromatin", "ChIPseq-species-notes": "<p></p>", "FlowCytIntra-species-checked": "testedAndGuaranteed", "FlowCytIntra-species-dilution-info": "1/500", "FlowCytIntra-species-notes": "<p></p>" }, "Mouse": { "ChICCUTRUNseq-species-checked": "guaranteed", "ChICCUTRUNseq-species-dilution-info": "", "ChICCUTRUNseq-species-notes": "", "IHCP-species-checked": "testedAndGuaranteed", "IHCP-species-dilution-info": "1/4000", "IHCP-species-notes": "<p></p>", "IP-species-checked": "guaranteed", "IP-species-dilution-info": "", "IP-species-notes": "", "ChIP-species-checked": "guaranteed", "ChIP-species-dilution-info": "", "ChIP-species-notes": "", "WB-species-checked": "testedAndGuaranteed", "WB-species-dilution-info": "1/1000", "WB-species-notes": "<p></p>", "ICCIF-species-checked": "guaranteed", "ICCIF-species-dilution-info": "", "ICCIF-species-notes": "", "ChIPseq-species-checked": "guaranteed", "ChIPseq-species-dilution-info": "", "ChIPseq-species-notes": "", "FlowCytIntra-species-checked": "guaranteed", "FlowCytIntra-species-dilution-info": "", "FlowCytIntra-species-notes": "" }, "Rat": { "ChICCUTRUNseq-species-checked": "guaranteed", "ChICCUTRUNseq-species-dilution-info": "", "ChICCUTRUNseq-species-notes": "", "IHCP-species-checked": "testedAndGuaranteed", "IHCP-species-dilution-info": "1/4000", "IHCP-species-notes": "<p></p>", "IP-species-checked": "guaranteed", "IP-species-dilution-info": "", "IP-species-notes": "", "ChIP-species-checked": "guaranteed", "ChIP-species-dilution-info": "", "ChIP-species-notes": "", "WB-species-checked": "testedAndGuaranteed", "WB-species-dilution-info": "1/1000", "WB-species-notes": "<p></p>", "ICCIF-species-checked": "guaranteed", "ICCIF-species-dilution-info": "", "ICCIF-species-notes": "", "ChIPseq-species-checked": "guaranteed", "ChIPseq-species-dilution-info": "", "ChIPseq-species-notes": "", "FlowCytIntra-species-checked": "guaranteed", "FlowCytIntra-species-dilution-info": "", "FlowCytIntra-species-notes": "" } } }

Product details

Patented technology
Our RabMAb® technology is a patented hybridoma-based technology for making rabbit monoclonal antibodies. For details on our patents, please refer to RabMAb® patents.

What are the advantages of a recombinant monoclonal antibody?
This product is a recombinant monoclonal antibody, which offers several advantages including:

  • - High batch-to-batch consistency and reproducibility
  • - Improved sensitivity and specificity
  • - Long-term security of supply
  • - Animal-free batch production

For more information, read more on recombinant antibodies.

Properties and storage information

Form
Liquid
Purification technique
Affinity purification Protein A
Storage buffer
pH: 7.2 - 7.4 Preservative: 0.01% Sodium azide Constituents: PBS, 40% Glycerol (glycerin, glycerine), 0.05% BSA
Shipped at conditions
Blue Ice
Appropriate short-term storage duration
1-2 weeks
Appropriate short-term storage conditions
+4°C
Appropriate long-term storage conditions
-20°C
Aliquoting information
Upon delivery aliquot
Storage information
Avoid freeze / thaw cycle

Supplementary information

This supplementary information is collated from multiple sources and compiled automatically.

The TATA binding protein (TBP) also known as TBP or TFIID (Transcription Factor IID) is a central player in transcription initiation. This protein weighing approximately 38 kDa binds to the TATA box a DNA sequence found in the promoter region of many genes especially those transcribed by RNA polymerase II. TBP facilitates the loading of the transcription machinery onto DNA enabling the start of transcription. It is found inside the nucleus of eukaryotic cells present across diverse cell types owing to its role in gene expression.
Biological function summary

TBP serves as a pivotal anchor in the assembly of the transcription preinitiation complex contributing to the process by bending DNA to assist other transcription factors such as TFIIA and TFIIB in binding. Its role in this complex illustrates its importance in regulating gene expression at a fundamental level. TBP’s interaction with other transcription factors ensures precise transcription regulation reflecting its significant contribution to cellular activities.

Pathways

TBP acts within the RNA polymerase II transcription initiation pathway and is integral in regulating gene expression. TBP's involvement is critical for the process of starting the transcription of mRNA. In its pathway TBP interacts with proteins like TFIID helping to anchor other transcription factors in the complex. By collaborating with these proteins TBP shapes gene regulatory networks essential for a wide range of cellular functions.

TBP is linked to conditions such as spinocerebellar ataxia type 17 (SCA17) and Huntington's disease. SCA17 is associated with mutations in the TBP gene that disrupt its usual functioning leading to neurodegeneration. In Huntington's disease TBP's interaction with proteins such as huntingtin may influence nuclear signaling pathways involved in disease progression. The understanding of TBP’s role in these disorders underlines its relevance in research focused on genetic diseases and transcription-related pathologies.

Product protocols

For this product, it's our understanding that no specific protocols are required. You can visit:

Target data

The TFIID basal transcription factor complex plays a major role in the initiation of RNA polymerase II (Pol II)-dependent transcription (PubMed : 33795473). TFIID recognizes and binds promoters with or without a TATA box via its subunit TBP, a TATA-box-binding protein, and promotes assembly of the pre-initiation complex (PIC) (PubMed : 2194289, PubMed : 2363050, PubMed : 2374612, PubMed : 27193682, PubMed : 33795473). The TFIID complex consists of TBP and TBP-associated factors (TAFs), including TAF1, TAF2, TAF3, TAF4, TAF5, TAF6, TAF7, TAF8, TAF9, TAF10, TAF11, TAF12 and TAF13 (PubMed : 27007846, PubMed : 33795473). The TFIID complex structure can be divided into 3 modules TFIID-A, TFIID-B, and TFIID-C (PubMed : 33795473). TBP forms the TFIID-A module together with TAF3 and TAF5 (PubMed : 33795473). TBP is a general transcription factor that functions at the core of the TFIID complex (PubMed : 2194289, PubMed : 2363050, PubMed : 2374612, PubMed : 27193682, PubMed : 33795473, PubMed : 9836642). During assembly of the core PIC on the promoter, as part of TFIID, TBP binds to and also bends promoter DNA, irrespective of whether the promoter contains a TATA box (PubMed : 33795473). Component of a BRF2-containing transcription factor complex that regulates transcription mediated by RNA polymerase III (PubMed : 26638071). Component of the transcription factor SL1/TIF-IB complex, which is involved in the assembly of the PIC during RNA polymerase I-dependent transcription (PubMed : 15970593). The rate of PIC formation probably is primarily dependent on the rate of association of SL1 with the rDNA promoter (PubMed : 15970593). SL1 is involved in stabilization of nucleolar transcription factor 1/UBTF on rDNA (PubMed : 15970593).
See full target information TBP

Publications (11)

Recent publications for all applications. Explore the full list and refine your search

Science advances 11:eadu5668 PubMed40749049

2025

eIF2A regulates cell migration in a translation-independent manner.

Applications

Unspecified application

Species

Unspecified reactive species

Jennifer Jungfleisch,Neus Mestre-Farràs,Raúl Gómez-Riera,Oriane Pourcelot,Edouard Bertrand,Nadia Halidi,Fátima Gebauer

iScience 28:112286 PubMed40491483

2025

The transcription factor IID subunit Taf13 is dispensable for TATA binding protein promoter recruitment and RNA polymerase II transcription.

Applications

Unspecified application

Species

Unspecified reactive species

Igor Martianov,Stephanie Le Gras,Guillaume Davidson,Irwin Davidson

Molecular neurobiology 62:12768-12790 PubMed40450087

2025

Accurate Quantification of Mutant and Wild-Type polyQ Proteins Using Simple Western Capillary Immunoassays.

Applications

Unspecified application

Species

Unspecified reactive species

Bas Röttgering,Janwillem Testerink,Rudie Weij,Chantal Beekman,Nicole Datson

Nature communications 16:1271 PubMed39894879

2025

Nuclear ANLN regulates transcription initiation related Pol II clustering and target gene expression.

Applications

Unspecified application

Species

Unspecified reactive species

Yu-Fei Cao,Hui Wang,Yong Sun,Bei-Bei Tong,Wen-Qi Shi,Liu Peng,Yi-Meng Zhang,Yu-Qiu Wu,Teng Fu,Hua-Yan Zou,Kai Zhang,Li-Yan Xu,En-Min Li

The EMBO journal 44:1107-1130 PubMed39774381

2025

The integrated stress response drives MET oncogene overexpression in cancers.

Applications

Unspecified application

Species

Unspecified reactive species

Marina Cerqua,Marco Foiani,Carla Boccaccio,Paolo M Comoglio,Dogus M Altintas

Genome biology 25:40 PubMed38297316

2024

BORIS/CTCFL epigenetically reprograms clustered CTCF binding sites into alternative transcriptional start sites.

Applications

Unspecified application

Species

Unspecified reactive species

Elena M Pugacheva,Dharmendra Nath Bhatt,Samuel Rivero-Hinojosa,Md Tajmul,Liron Fedida,Emma Price,Yon Ji,Dmitri Loukinov,Alexander V Strunnikov,Bing Ren,Victor V Lobanenkov

American journal of cancer research 13:5656-5666 PubMed38058816

2023

The transcription factor TBP promotes hepatocellular carcinoma progression by activating AKT3.

Applications

Unspecified application

Species

Unspecified reactive species

Fan Jiang,Yihuang Lin,Jie Du,Shi Qiu,Gang Luo,Ziqiang Zhang

iScience 25:104086 PubMed35378858

2022

Late onset cardiovascular dysfunction in adult mice resulting from galactic cosmic ray exposure.

Applications

Unspecified application

Species

Unspecified reactive species

Muath Bishawi,Franklin H Lee,Dennis M Abraham,Carolyn Glass,Stephanie J Blocker,Daniel J Cox,Zachary D Brown,Howard A Rockman,Lan Mao,Tony C Slaba,Mark W Dewhirst,George A Truskey,Dawn E Bowles

Bioengineered 13:1198-1208 PubMed35000533

2022

Taxifolin improves inflammatory injury of human bronchial epithelial cells by inhibiting matrix metalloproteinase (MMP) 10 via Wnt/β-catenin pathway.

Applications

Unspecified application

Species

Unspecified reactive species

Youhua Chen,Yan Mei,Lu Yang,Weibin Li,Yu Zhou,Surong He,Jie Liang

Nature genetics 53:511-520 PubMed33649594

2021

Transcription factor competition at the γ-globin promoters controls hemoglobin switching.

Applications

Unspecified application

Species

Unspecified reactive species

Nan Liu,Shuqian Xu,Qiuming Yao,Qian Zhu,Yan Kai,Jonathan Y Hsu,Phraew Sakon,Luca Pinello,Guo-Cheng Yuan,Daniel E Bauer,Stuart H Orkin
View all publications
chicCutRunSequencingBooklet
en

Product promise

We are committed to supporting your work with high-quality reagents, and we're here for you every step of the way. In the unlikely event that one of our products does not perform as expected, you're protected by our Product Promise.
For full details, please see our Terms & Conditions

Please note: All products are 'FOR RESEARCH USE ONLY. NOT FOR USE IN DIAGNOSTIC OR THERAPEUTIC PROCEDURES'.

For licensing inquiries, please contact partnerships@abcam.com