JavaScript is disabled in your browser. Please enable JavaScript to view this website.
AB300656

Anti-TATA binding protein TBP antibody [mAbcam51841] - Loading Control

Be the first to review this product! Submit a review

|

(0 Publication)

Anti-TATA binding protein TBP antibody [mAbcam51841] is a Mouse Monoclonal antibody that is used in TATA binding protein TBP ChIP, IHC-P, IP, Western Blot. Suitable for Human, Mouse, Rat samples.

The TATA-binding protein (TBP) is a crucial transcription factor that binds to the TATA box, a specific DNA sequence found in the promoter region of many genes. By binding to the TATA box, TBP helps recruit RNA polymerase II and other transcription factors, facilitating the initiation of gene transcription. This process is essential for regulating gene expression and ensuring the proper production of proteins necessary for various cellular functions.

View Alternative Names

GTF2D1, TF2D, TFIID, TBP, TATA-box-binding protein, TATA sequence-binding protein, TATA-binding factor, TATA-box factor, Transcription initiation factor TFIID TBP subunit

5 Images
Immunohistochemistry - Anti-TATA binding protein TBP antibody [mAbcam51841] - Loading Control (AB300656)
  • IHC

Supplier Data

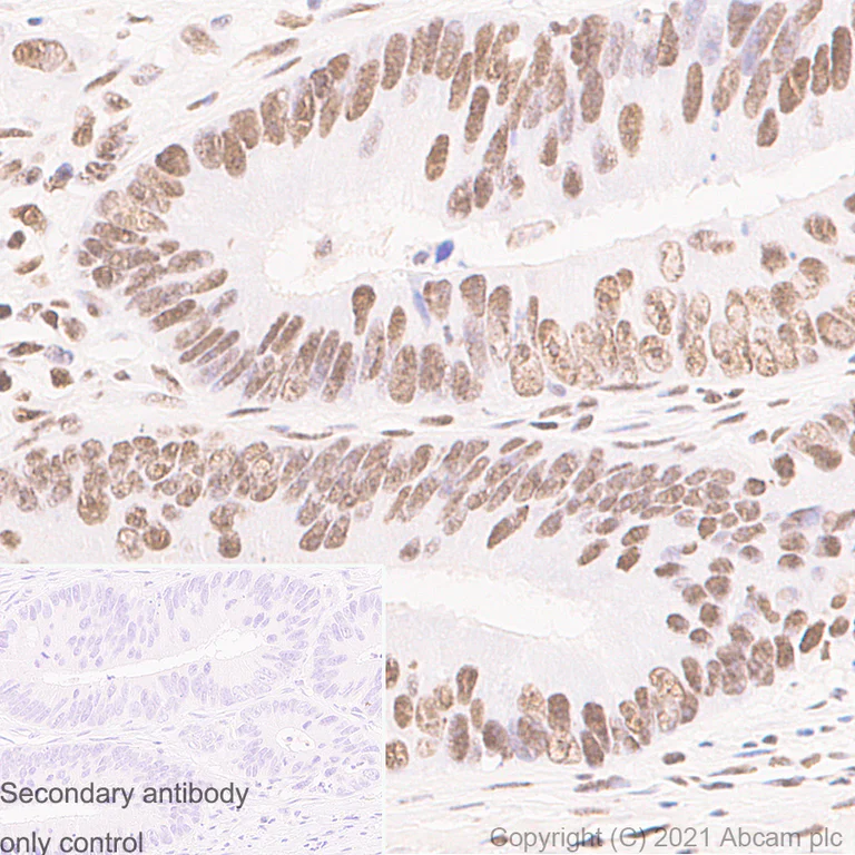
Immunohistochemistry - Anti-TATA binding protein TBP antibody [mAbcam51841] - Loading Control (AB300656)

Immunohistochemical analysis of paraffin-embedded Human colon carcinom tissue labeling TATA binding protein TBP with ab300656 at 1/10000 (0.103 ug/ml) followed by a LeicaDS9800 (Bond™ Polymer Refine Detection) was used at Ready to use dilution. Nuclear staining on human colon carcinoma. The section was incubated with ab51841 for 10 mins at room temperature. The immunostaining was performed on a Leica Biosystems BOND® RX instrument Counterstained with Hematoxylin. Secondary antibody only control : Secondary antibody is LeicaDS9800 (Bond™ Polymer Refine Detection) was used at Ready to use dilution. Heat mediated antigen retrieval with Citrate buffer (pH 6.0, epitope retrieval solution 1) for 20 mins

Immunohistochemistry - Anti-TATA binding protein TBP antibody [mAbcam51841] - Loading Control (AB300656)
  • IHC

Supplier Data

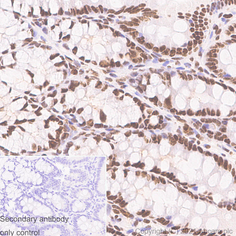
Immunohistochemistry - Anti-TATA binding protein TBP antibody [mAbcam51841] - Loading Control (AB300656)

Immunohistochemical analysis of paraffin-embedded Human colon tissue labeling TATA binding protein TBP with ab300656 at 1/10000 (0.103 ug/ml) followed by a LeicaDS9800 (Bond™ Polymer Refine Detection) was used at Ready to use dilution. Nuclear staining on human colon. The section was incubated with ab51841 for 10 mins at room temperature. The immunostaining was performed on a Leica Biosystems BOND® RX instrument Counterstained with Hematoxylin. Secondary antibody only control : Secondary antibody is LeicaDS9800 (Bond™ Polymer Refine Detection) was used at Ready to use dilution. Heat mediated antigen retrieval with Citrate buffer (pH 6.0, epitope retrieval solution 1) for 20 mins

Immunohistochemistry - Anti-TATA binding protein TBP antibody [mAbcam51841] - Loading Control (AB300656)
  • IHC

Supplier Data

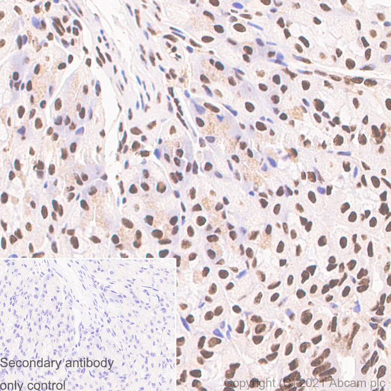
Immunohistochemistry - Anti-TATA binding protein TBP antibody [mAbcam51841] - Loading Control (AB300656)

Immunohistochemical analysis of paraffin-embedded Rat colon tissue labeling TATA binding protein TBP with ab300656 at 1/10000 (0.103 ug/ml) followed by a LeicaDS9800 (Bond™ Polymer Refine Detection) was used at Ready to use dilution. Nuclear staining on rat colon. The section was incubated with ab51841 for 10 mins at room temperature. The immunostaining was performed on a Leica Biosystems BOND® RX instrument Counterstained with Hematoxylin. Secondary antibody only control : Secondary antibody is LeicaDS9800 (Bond™ Polymer Refine Detection) was used at Ready to use dilution. Heat mediated antigen retrieval with Citrate buffer (pH 6.0, epitope retrieval solution 1) for 20 mins

Immunohistochemistry - Anti-TATA binding protein TBP antibody [mAbcam51841] - Loading Control (AB300656)
  • IHC

Supplier Data

Immunohistochemistry - Anti-TATA binding protein TBP antibody [mAbcam51841] - Loading Control (AB300656)

Immunohistochemical analysis of paraffin-embedded Mouse stomach tissue labeling TATA binding protein TBP with ab300656 at 1/10000 (0.103 ug/ml) followed by a LeicaDS9800 (Bond™ Polymer Refine Detection) was used at Ready to use dilution. Nuclear staining on mouse stomach. The section was incubated with ab51841 for 10 mins at room temperature. The immunostaining was performed on a Leica Biosystems BOND® RX instrument Counterstained with Hematoxylin. Secondary antibody only control : Secondary antibody is LeicaDS9800 (Bond™ Polymer Refine Detection) was used at Ready to use dilution. Heat mediated antigen retrieval with Citrate buffer (pH 6.0, epitope retrieval solution 1) for 20 mins

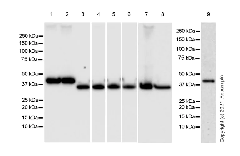
Western blot - Anti-TATA binding protein TBP antibody [mAbcam51841] - Loading Control (AB300656)
  • WB

Supplier Data

Western blot - Anti-TATA binding protein TBP antibody [mAbcam51841] - Loading Control (AB300656)

All lanes:

Western blot - Anti-TATA binding protein TBP antibody [mAbcam51841] - Loading Control (ab300656) at 1/1000 dilution

Lane 1:

HeLa (human cervix adenocarcinoma epithelial cell) whole cell lysate at 20 µg

Lane 2:

293T (human embryonic kidney epithelial cell) whole cell lysate at 20 µg

Lane 3:

C2C12 (mouse myoblasts myoblast) whole cell lysate at 20 µg

Lane 4:

NIH/3T3 (mouse embryonic fibroblast) whole cell lysate at 20 µg

Lane 5:

C6 (rat glial tumor glial cell) whole cell lysate at 20 µg

Lane 6:

PC-12 (rat adrenal gland pheochromocytoma ) whole cell lysate at 20 µg

Lane 7:

Mouse testis tissue lysate at 20 µg

Lane 8:

Rat testis tissue lysate at 20 µg

Lane 9:

Human testis tissue lysate at 20 µg

Secondary

All lanes:

Peroxidase-Conjugated Goat anti-Mouse IgG (H+L) at 1/10000 dilution

Observed band size: 40 kDa,35 kDa

false

Key facts

Host species

Mouse

Clonality

Monoclonal

Clone number

mAbcam51841

Isotype

IgG2c

Carrier free

No

Reacts with

Rat, Mouse, Human

Applications

WB, ChIP, IP, IHC-P

applications

Immunogen

The exact immunogen used to generate this antibody is proprietary information.

Reactivity data

{ "title": "Reactivity Data", "filters": { "stats": ["", "Species", "Dilution Info", "Notes"], "tabs": { "all-applications": {"fullname" : "All Applications", "shortname": "All Applications"}, "ChIP" : {"fullname" : "ChIP", "shortname":"ChIP"}, "IP" : {"fullname" : "Immunoprecipitation", "shortname":"IP"}, "FlowCytIntra" : {"fullname" : "Flow Cytometry (Intracellular)", "shortname":"Flow Cyt (Intra)"}, "ICC" : {"fullname" : "Immunocytochemistry", "shortname":"ICC"}, "IHCP" : {"fullname" : "Immunohistochemistry (Formalin/PFA-fixed paraffin-embedded sections)", "shortname":"IHC-P"}, "WB" : {"fullname" : "Western blot", "shortname":"WB"} }, "product-promise": { "all": "all", "testedAndGuaranteed": "tested", "guaranteed": "expected", "predicted": "predicted", "notRecommended": "not-recommended" } }, "values": { "Human": { "ChIP-species-checked": "testedAndGuaranteed", "ChIP-species-dilution-info": "5 µg/mL", "ChIP-species-notes": "<p></p>", "IP-species-checked": "testedAndGuaranteed", "IP-species-dilution-info": "1/30", "IP-species-notes": "<p></p>", "FlowCytIntra-species-checked": "notRecommended", "FlowCytIntra-species-dilution-info": "", "FlowCytIntra-species-notes": "<p></p>", "ICC-species-checked": "notRecommended", "ICC-species-dilution-info": "", "ICC-species-notes": "<p></p>", "IHCP-species-checked": "testedAndGuaranteed", "IHCP-species-dilution-info": "1/10000", "IHCP-species-notes": "<p></p> Perform heat-mediated antigen retrieval with citrate buffer pH 6 before commencing with IHC staining protocol.", "WB-species-checked": "testedAndGuaranteed", "WB-species-dilution-info": "1/1000", "WB-species-notes": "<p></p>" }, "Mouse": { "ChIP-species-checked": "guaranteed", "ChIP-species-dilution-info": "", "ChIP-species-notes": "", "IP-species-checked": "testedAndGuaranteed", "IP-species-dilution-info": "1/30", "IP-species-notes": "<p></p>", "FlowCytIntra-species-checked": "notRecommended", "FlowCytIntra-species-dilution-info": "", "FlowCytIntra-species-notes": "<p></p>", "ICC-species-checked": "notRecommended", "ICC-species-dilution-info": "", "ICC-species-notes": "<p></p>", "IHCP-species-checked": "testedAndGuaranteed", "IHCP-species-dilution-info": "1/10000", "IHCP-species-notes": "<p></p> Perform heat-mediated antigen retrieval with citrate buffer pH 6 before commencing with IHC staining protocol.", "WB-species-checked": "testedAndGuaranteed", "WB-species-dilution-info": "1/1000", "WB-species-notes": "<p></p>" }, "Rat": { "ChIP-species-checked": "guaranteed", "ChIP-species-dilution-info": "", "ChIP-species-notes": "", "IP-species-checked": "guaranteed", "IP-species-dilution-info": "", "IP-species-notes": "", "FlowCytIntra-species-checked": "notRecommended", "FlowCytIntra-species-dilution-info": "", "FlowCytIntra-species-notes": "", "ICC-species-checked": "notRecommended", "ICC-species-dilution-info": "", "ICC-species-notes": "", "IHCP-species-checked": "testedAndGuaranteed", "IHCP-species-dilution-info": "1/10000", "IHCP-species-notes": "<p></p> Perform heat-mediated antigen retrieval with citrate buffer pH 6 before commencing with IHC staining protocol.", "WB-species-checked": "testedAndGuaranteed", "WB-species-dilution-info": "1/1000", "WB-species-notes": "<p></p>" } } }

Product details

What are the advantages of a recombinant monoclonal antibody?
This product is a recombinant monoclonal antibody, which offers several advantages including:

  • - High batch-to-batch consistency and reproducibility
  • - Improved sensitivity and specificity
  • - Long-term security of supply
  • - Animal-free batch production

For more information, read more on recombinant antibodies.

Want a custom formulation?
This antibody clone is manufactured by Abcam. If you require a custom buffer formulation or conjugation for your experiments, please contact orders@abcam.com

Properties and storage information

Form
Liquid
Purification technique
Affinity purification Protein A
Storage buffer
pH: 7.2 - 7.4 Preservative: 0.01% Sodium azide Constituents: PBS, 40% Glycerol (glycerin, glycerine), 0.05% BSA
Shipped at conditions
Blue Ice
Appropriate short-term storage duration
1-2 weeks
Appropriate short-term storage conditions
+4°C
Appropriate long-term storage conditions
-20°C
Aliquoting information
Upon delivery aliquot
Storage information
Avoid freeze / thaw cycle

Supplementary information

This supplementary information is collated from multiple sources and compiled automatically.

The TATA binding protein (TBP) also known as TBP or TFIID (Transcription Factor IID) is a central player in transcription initiation. This protein weighing approximately 38 kDa binds to the TATA box a DNA sequence found in the promoter region of many genes especially those transcribed by RNA polymerase II. TBP facilitates the loading of the transcription machinery onto DNA enabling the start of transcription. It is found inside the nucleus of eukaryotic cells present across diverse cell types owing to its role in gene expression.
Biological function summary

TBP serves as a pivotal anchor in the assembly of the transcription preinitiation complex contributing to the process by bending DNA to assist other transcription factors such as TFIIA and TFIIB in binding. Its role in this complex illustrates its importance in regulating gene expression at a fundamental level. TBP’s interaction with other transcription factors ensures precise transcription regulation reflecting its significant contribution to cellular activities.

Pathways

TBP acts within the RNA polymerase II transcription initiation pathway and is integral in regulating gene expression. TBP's involvement is critical for the process of starting the transcription of mRNA. In its pathway TBP interacts with proteins like TFIID helping to anchor other transcription factors in the complex. By collaborating with these proteins TBP shapes gene regulatory networks essential for a wide range of cellular functions.

TBP is linked to conditions such as spinocerebellar ataxia type 17 (SCA17) and Huntington's disease. SCA17 is associated with mutations in the TBP gene that disrupt its usual functioning leading to neurodegeneration. In Huntington's disease TBP's interaction with proteins such as huntingtin may influence nuclear signaling pathways involved in disease progression. The understanding of TBP’s role in these disorders underlines its relevance in research focused on genetic diseases and transcription-related pathologies.

Product protocols

For this product, it's our understanding that no specific protocols are required. You can visit:

Target data

The TFIID basal transcription factor complex plays a major role in the initiation of RNA polymerase II (Pol II)-dependent transcription (PubMed : 33795473). TFIID recognizes and binds promoters with or without a TATA box via its subunit TBP, a TATA-box-binding protein, and promotes assembly of the pre-initiation complex (PIC) (PubMed : 2194289, PubMed : 2363050, PubMed : 2374612, PubMed : 27193682, PubMed : 33795473). The TFIID complex consists of TBP and TBP-associated factors (TAFs), including TAF1, TAF2, TAF3, TAF4, TAF5, TAF6, TAF7, TAF8, TAF9, TAF10, TAF11, TAF12 and TAF13 (PubMed : 27007846, PubMed : 33795473). The TFIID complex structure can be divided into 3 modules TFIID-A, TFIID-B, and TFIID-C (PubMed : 33795473). TBP forms the TFIID-A module together with TAF3 and TAF5 (PubMed : 33795473). TBP is a general transcription factor that functions at the core of the TFIID complex (PubMed : 2194289, PubMed : 2363050, PubMed : 2374612, PubMed : 27193682, PubMed : 33795473, PubMed : 9836642). During assembly of the core PIC on the promoter, as part of TFIID, TBP binds to and also bends promoter DNA, irrespective of whether the promoter contains a TATA box (PubMed : 33795473). Component of a BRF2-containing transcription factor complex that regulates transcription mediated by RNA polymerase III (PubMed : 26638071). Component of the transcription factor SL1/TIF-IB complex, which is involved in the assembly of the PIC during RNA polymerase I-dependent transcription (PubMed : 15970593). The rate of PIC formation probably is primarily dependent on the rate of association of SL1 with the rDNA promoter (PubMed : 15970593). SL1 is involved in stabilization of nucleolar transcription factor 1/UBTF on rDNA (PubMed : 15970593).
See full target information TBP

Product promise

We are committed to supporting your work with high-quality reagents, and we're here for you every step of the way. In the unlikely event that one of our products does not perform as expected, you're protected by our Product Promise.
For full details, please see our Terms & Conditions

Please note: All products are 'FOR RESEARCH USE ONLY. NOT FOR USE IN DIAGNOSTIC OR THERAPEUTIC PROCEDURES'.

For licensing inquiries, please contact partnerships@abcam.com