JavaScript is disabled in your browser. Please enable JavaScript to view this website.
AB75714

Anti-Tau antibody

4

(5 Reviews)

|

(37 Publications)

Chicken Polyclonal TAU antibody. Suitable for ICC, WB, IHC-P, ICC/IF and reacts with Mouse, Rat, Human samples. Cited in 37 publications. Immunogen corresponding to Synthetic Peptide within Human MAPT conjugated to Keyhole Limpet Haemocyanin.

View Alternative Names

MAPTL, MTBT1, TAU, MAPT, Microtubule-associated protein tau, Neurofibrillary tangle protein, Paired helical filament-tau, PHF-tau

2 Images
Immunohistochemistry (Formalin/PFA-fixed paraffin-embedded sections) - Anti-Tau antibody (AB75714)
  • IHC-P

Lab

Immunohistochemistry (Formalin/PFA-fixed paraffin-embedded sections) - Anti-Tau antibody (AB75714)

IHC image of Tau staining in Human Hippocampus (Alzheimer's) (ab4583) formalin-fixed paraffin-embedded tissue section, performed on a Leica Bond™ system using the standard protocol F. The section was pre-treated using heat mediated antigen retrieval with sodium citrate buffer (pH6, epitope retrieval solution 1) for 20 mins. The section was then incubated with ab75714, 5 μg/ml, for 15 mins at room temperature and detected using an HRP conjugated compact polymer system. DAB was used as the chromogen. The section was then counterstained with haematoxylin and mounted with DPX.

For other IHC staining systems (automated and non-automated) customers should optimize variable parameters such as antigen retrieval conditions, primary antibody concentration and antibody incubation times.

Immunohistochemistry (Formalin/PFA-fixed paraffin-embedded sections) - Anti-Tau antibody (AB75714)
  • IHC-P

Supplier Data

Immunohistochemistry (Formalin/PFA-fixed paraffin-embedded sections) - Anti-Tau antibody (AB75714)

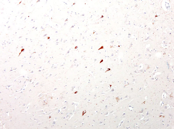
Immunohistochemistry (10% Formalin-fixed paraffin-embedded sections) analysis of Human Alzheimer's disease brain (CA1 region of hippocampus) tissue labelling Tau (brown) with ab75714.

Key facts

Host species

Chicken

Clonality

Polyclonal

Isotype

IgY

Carrier free

No

Reacts with

Human, Mouse, Rat

Applications

WB, IHC-P, ICC, ICC/IF

applications

Immunogen

Synthetic Peptide within Human MAPT conjugated to Keyhole Limpet Haemocyanin. The exact immunogen used to generate this antibody is proprietary information.

P10636

Reactivity data

{ "title": "Reactivity Data", "filters": { "stats": ["", "Species", "Dilution Info", "Notes"], "tabs": { "all-applications": {"fullname" : "All Applications", "shortname": "All Applications"}, "ICC" : {"fullname" : "Immunocytochemistry", "shortname":"ICC"}, "WB" : {"fullname" : "Western blot", "shortname":"WB"}, "IHCP" : {"fullname" : "Immunohistochemistry (Formalin/PFA-fixed paraffin-embedded sections)", "shortname":"IHC-P"}, "ICCIF" : {"fullname" : "Immunocytochemistry/ Immunofluorescence", "shortname":"ICC/IF"} }, "product-promise": { "all": "all", "testedAndGuaranteed": "tested", "guaranteed": "expected", "predicted": "predicted", "notRecommended": "not-recommended" } }, "values": { "Human": { "ICC-species-checked": "guaranteed", "ICC-species-dilution-info": "", "ICC-species-notes": "<p></p>", "WB-species-checked": "guaranteed", "WB-species-dilution-info": "", "WB-species-notes": "<p></p>", "IHCP-species-checked": "testedAndGuaranteed", "IHCP-species-dilution-info": "", "IHCP-species-notes": "<p></p>", "ICCIF-species-checked": "guaranteed", "ICCIF-species-dilution-info": "", "ICCIF-species-notes": "<p></p>" }, "Mouse": { "ICC-species-checked": "guaranteed", "ICC-species-dilution-info": "", "ICC-species-notes": "<p></p>", "WB-species-checked": "guaranteed", "WB-species-dilution-info": "", "WB-species-notes": "<p></p>", "IHCP-species-checked": "predicted", "IHCP-species-dilution-info": "", "IHCP-species-notes": "", "ICCIF-species-checked": "guaranteed", "ICCIF-species-dilution-info": "", "ICCIF-species-notes": "<p></p>" }, "Rat": { "ICC-species-checked": "guaranteed", "ICC-species-dilution-info": "", "ICC-species-notes": "<p></p>", "WB-species-checked": "guaranteed", "WB-species-dilution-info": "", "WB-species-notes": "<p></p>", "IHCP-species-checked": "predicted", "IHCP-species-dilution-info": "", "IHCP-species-notes": "", "ICCIF-species-checked": "guaranteed", "ICCIF-species-dilution-info": "", "ICCIF-species-notes": "<p></p>" } } }

Product details

Two different affinity purified anti peptide antibodies were combined to make this product. The concentrations of both of these antibodies was 100 μg/ml, making the total antibody concentration 200 μg/ml.

Properties and storage information

Form
Liquid
Purification technique
Affinity purification Immunogen
Purification notes
IgY fractions purified from immune egg yolks then affinity purified using a peptide column. Equal volumes of both affinity purified anti peptide antibodies were mixed, and the preparation was filter sterilized.
Storage buffer
pH: 7 Preservative: 0.02% Sodium azide Constituents: PBS
Shipped at conditions
Blue Ice
Appropriate short-term storage duration
1-2 weeks
Appropriate short-term storage conditions
+4°C
Appropriate long-term storage conditions
-20°C
Aliquoting information
Upon delivery aliquot
Storage information
Avoid freeze / thaw cycle

Supplementary information

This supplementary information is collated from multiple sources and compiled automatically.

Tau also known as microtubule-associated protein Tau (MAPT) plays an important role in stabilizing microtubules in neuronal cells. Tau is primarily found in the central nervous system but also exists in peripheral neurons. Human Tau protein comes in six isoforms due to alternative splicing with molecular weights ranging from 48 kDa to 67 kDa. This protein predominantly locates in the axons of neurons where it maintains the stability of microtubule tracks necessary for axonal transport.
Biological function summary

Tau is involved in the assembly and stabilization of microtubules essential for maintaining neuronal structure. It interacts with microtubule-binding domains (MBD) to bind and bundle microtubules facilitating intracellular transport. Tau forms a part of the neuronal cytoskeleton complex working closely with other cytoskeletal proteins to preserve the proper axonal transport and function. Abnormally phosphorylated Tau often termed phospho-Tau disrupts this complex affecting microtubule stability.

Pathways

Tau has critical involvement in several signaling cascades such as the microtubule-binding and transport pathways. Glycogen synthase kinase 3 beta (GSK3β) and cyclin-dependent kinase 5 (CDK5) frequently phosphorylate Tau controlling its interaction with microtubules. Phosphorylated Tau accumulates leading to the formation of neurofibrillary tangles often observed in neurodegenerative conditions. Additionally Tau interacts with GAPDH impacting cellular energy regulation through potential pathway cross-talk involving oxidative stress responses.

Tau is closely associated with Alzheimer's disease and frontotemporal dementia. In Alzheimer's disease hyperphosphorylated Tau aggregates into paired helical filaments forming neurofibrillary tangles while similar aggregates are observed in frontotemporal dementia. In these conditions Tau links to amyloid precursor protein (APP) where misregulated phosphorylation-driven interactions contribute to neurodegeneration. Identifying phospho-Tau and its altered interactions with related proteins aids in understanding and potentially treating these disorders.

Product protocols

For this product, it's our understanding that no specific protocols are required. You can visit:

Target data

The protein expressed by the MAPT gene promotes microtubule assembly and stability and might be involved in establishing and maintaining neuronal polarity. Its C-terminus binds axonal microtubules, and the N-terminus binds neural plasma membrane components, suggesting that tau functions as a linker protein between the two. Axonal polarity is predetermined by MAPT localization within the neuronal cell's domain defined by the centrosome. The short isoforms allow cytoskeleton plasticity, whereas the longer isoforms may preferentially play a role in its stabilization. This supplementary information is collated from multiple sources and compiled automatically.
See full target information MAPT

Publications (37)

Recent publications for all applications. Explore the full list and refine your search

iScience 28:113401 PubMed40970196

2025

Mesenchymal stromal cell secretome-induced synaptogenesis is mediated by thrombospondin-1.

Applications

Unspecified application

Species

Unspecified reactive species

Diogo Tomé,Luís F Martins,Miguel Aroso,Henrique Santos,Rui O Costa,João L Afonso,Sofia C Serra,Paulo Aguiar,Carlos B Duarte,João Peça,Paulo S Pinheiro,António J Salgado,Ramiro D Almeida

Signal transduction and targeted therapy 10:295 PubMed40931022

2025

Astrocytic monoamine oxidase B (MAOB)-gamma-aminobutyric acid (GABA) axis as a molecular brake on repair following spinal cord injury.

Applications

Unspecified application

Species

Unspecified reactive species

Hye Yeong Lee,Jung Moo Lee,Hye-Lan Lee,Jiyeon Park,Heeyoung An,Eun Kyung Park,Sae Yeon Hwang,Sol Lip Yoon,Gwang Yong Hwang,Keung Nyun Kim,Min-Ho Nam,Seung Eun Lee,Hyunji Kang,Joungha Won,Bo Ko Jang,Elijah Hwejin Lee,SunYeong Choi,Mingu Gordon Park,Sang Wook Kim,Ki Duk Park,SeungHwan Lee,C Justin Lee,Yoon Ha

eLife 13: PubMed40762561

2025

The novel role of Kallistatin in linking metabolic syndromes and cognitive memory deterioration by inducing amyloid-β plaques accumulation and tau protein hyperphosphorylation.

Applications

Unspecified application

Species

Unspecified reactive species

Weiwei Qi,Yanlan Long,Ziming Li,Zhen Zhao,Jinhui Shi,Wanting Xie,Laijian Wang,Yandan Tan,Ti Zhou,Minting Liang,Ping Jiang,Bin Jiang,Xia Yang,Guoquan Gao

Acta neuropathologica communications 13:53 PubMed40057802

2025

Correlative light and electron microscopy imaging of proteinaceous deposits in cell cultures and brain tissues.

Applications

Unspecified application

Species

Unspecified reactive species

Peizhou Jiang,Dennis W Dickson

eLife 13: PubMed39302290

2024

Tumor-infiltrating nerves functionally alter brain circuits and modulate behavior in a mouse model of head-and-neck cancer.

Applications

Unspecified application

Species

Unspecified reactive species

Jeffrey Barr,Austin Walz,Anthony C Restaino,Moran Amit,Sarah M Barclay,Elisabeth G Vichaya,William C Spanos,Robert Dantzer,Sebastien Talbot,Paola D Vermeer

BMC biology 22:48 PubMed38413974

2024

Primary cilia promote the differentiation of human neurons through the WNT signaling pathway.

Applications

Unspecified application

Species

Unspecified reactive species

Andrea Coschiera,Masahito Yoshihara,Gilbert Lauter,Sini Ezer,Mariangela Pucci,Haonan Li,Alan Kavšek,Christian G Riedel,Juha Kere,Peter Swoboda

iScience 27:108933 PubMed38318354

2024

Cullin-RING E3 ubiquitin ligase 4 regulates neurite morphogenesis during neurodevelopment.

Applications

Unspecified application

Species

Unspecified reactive species

Tammy Shim,Jae Yeon Kim,WonCheol Kim,Yun-Il Lee,Bongki Cho,Cheil Moon

Nature communications 14:8420 PubMed38110419

2023

Mutant GGGGCC RNA prevents YY1 from binding to Fuzzy promoter which stimulates Wnt/β-catenin pathway in C9ALS/FTD.

Applications

Unspecified application

Species

Unspecified reactive species

Zhefan Stephen Chen,Mingxi Ou,Stephanie Taylor,Ruxandra Dafinca,Shaohong Isaac Peng,Kevin Talbot,Ho Yin Edwin Chan

International journal of molecular sciences 24: PubMed36834781

2023

Phospholipase D1 Attenuation Therapeutics Promotes Resilience against Synaptotoxicity in 12-Month-Old 3xTg-AD Mouse Model of Progressive Neurodegeneration.

Applications

Unspecified application

Species

Unspecified reactive species

Chandramouli Natarajan,Charles Cook,Karthik Ramaswamy,Balaji Krishnan

Analytical chemistry 94:9297-9305 PubMed35696262

2022

Simultaneous Multiplexed Imaging of Biomolecules in Transgenic Mouse Brain Tissues Using Mass Spectrometry Imaging: A Multi-omic Approach.

Applications

Unspecified application

Species

Unspecified reactive species

Minh-Uyen Thi Le,Hyun Kyong Shon,Hong-Phuong Nguyen,Chul-Ho Lee,Kyoung-Shim Kim,Hee-Kyung Na,Tae Geol Lee
View all publications

Product promise

We are committed to supporting your work with high-quality reagents, and we're here for you every step of the way. In the unlikely event that one of our products does not perform as expected, you're protected by our Product Promise.
For full details, please see our Terms & Conditions

Please note: All products are 'FOR RESEARCH USE ONLY. NOT FOR USE IN DIAGNOSTIC OR THERAPEUTIC PROCEDURES'.

For licensing inquiries, please contact partnerships@abcam.com