JavaScript is disabled in your browser. Please enable JavaScript to view this website.
AB174727

Anti-Tau antibody [EP2456Y] - BSA and Azide free

Be the first to review this product! Submit a review

|

(0 Publication)

Rabbit Recombinant Monoclonal TAU antibody. Carrier free. Suitable for WB, ICC/IF, Flow Cyt (Intra), IHC-P and reacts with Mouse, Rat, Human samples.

View Alternative Names

MAPTL, MTBT1, TAU, MAPT, Microtubule-associated protein tau, Neurofibrillary tangle protein, Paired helical filament-tau, PHF-tau

10 Images
Immunohistochemistry (Formalin/PFA-fixed paraffin-embedded sections) - Anti-Tau antibody [EP2456Y] - BSA and Azide free (AB174727)
  • IHC-P

Lab

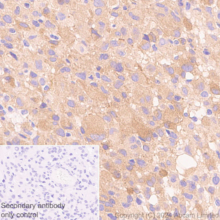
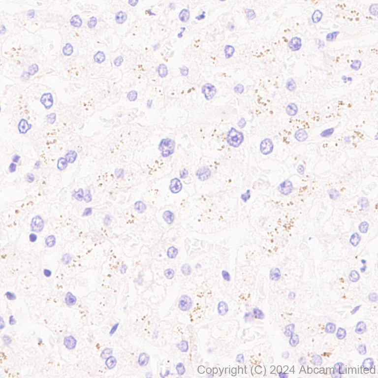
Immunohistochemistry (Formalin/PFA-fixed paraffin-embedded sections) - Anti-Tau antibody [EP2456Y] - BSA and Azide free (AB174727)

This data was developed using ab76128, the same antibody clone in a different buffer formulation.

Immunohistochemical analysis of paraffin-embedded human liver labeling Tau with ab76128 at 1/2000 dilution, followed by a ready to use LeicaDS9800 (Bond Polymer Refine Detection).

Negative Control : no staining on human liver.
The section was incubated with ab76128 for 30 mins at room temperature.
The immunostaining was performed on a Leica Biosystems BOND® RX instrument

Counterstained with Hematoxylin.

Secondary antibody only control : Secondary antibody is a ready to use LeicaDS9800 (Bond Polymer Refine Detection).

Heat mediated antigen retrieval was performed with Tris-EDTA buffer (pH 9.0, Epitope Retrieval Solution2) for 20 mins.

Immunohistochemistry (Formalin/PFA-fixed paraffin-embedded sections) - Anti-Tau antibody [EP2456Y] - BSA and Azide free (AB174727)
  • IHC-P

Lab

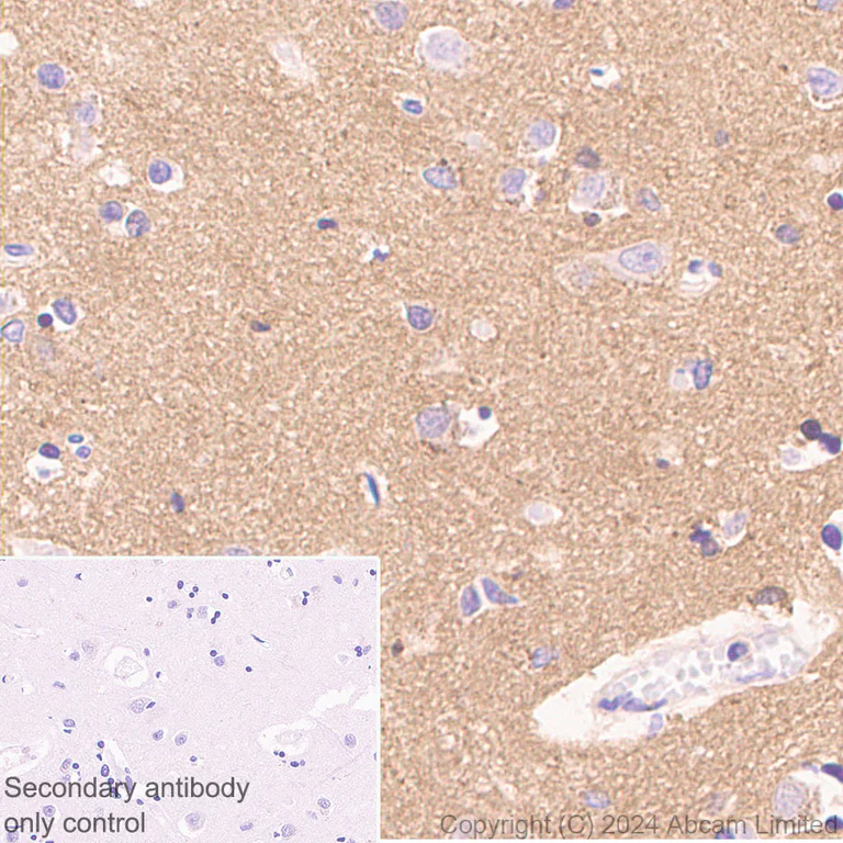
Immunohistochemistry (Formalin/PFA-fixed paraffin-embedded sections) - Anti-Tau antibody [EP2456Y] - BSA and Azide free (AB174727)

This data was developed using ab76128, the same antibody clone in a different buffer formulation.

Immunohistochemical analysis of paraffin-embedded human cerebrum labeling Tau with ab76128 at 1/2000 dilution, followed by a ready to use LeicaDS9800 (Bond Polymer Refine Detection).

Positive staining on human cerebrum.
The section was incubated with ab76128 for 30 mins at room temperature.
The immunostaining was performed on a Leica Biosystems BOND® RX instrument

Counterstained with Hematoxylin.

Secondary antibody only control : Secondary antibody is a ready to use LeicaDS9800 (Bond Polymer Refine Detection).

Heat mediated antigen retrieval was performed with Tris-EDTA buffer (pH 9.0, Epitope Retrieval Solution2) for 20 mins.

Immunohistochemistry (Formalin/PFA-fixed paraffin-embedded sections) - Anti-Tau antibody [EP2456Y] - BSA and Azide free (AB174727)
  • IHC-P

Lab

Immunohistochemistry (Formalin/PFA-fixed paraffin-embedded sections) - Anti-Tau antibody [EP2456Y] - BSA and Azide free (AB174727)

This data was developed using ab76128, the same antibody clone in a different buffer formulation.

Immunohistochemical analysis of paraffin-embedded human astrocytoma labeling Tau with ab76128 at 1/2000 dilution, followed by a ready to use LeicaDS9800 (Bond Polymer Refine Detection).

Positive staining on human astrocytoma.
The section was incubated with ab76128 for 30 mins at room temperature.
The immunostaining was performed on a Leica Biosystems BOND® RX instrument

Counterstained with Hematoxylin.

Secondary antibody only control : Secondary antibody is a ready to use LeicaDS9800 (Bond Polymer Refine Detection).

Heat mediated antigen retrieval was performed with Tris-EDTA buffer (pH 9.0, Epitope Retrieval Solution2) for 20 mins.

Immunohistochemistry (Formalin/PFA-fixed paraffin-embedded sections) - Anti-Tau antibody [EP2456Y] - BSA and Azide free (AB174727)
  • IHC-P

Lab

Immunohistochemistry (Formalin/PFA-fixed paraffin-embedded sections) - Anti-Tau antibody [EP2456Y] - BSA and Azide free (AB174727)

This data was developed using ab76128, the same antibody clone in a different buffer formulation.

Immunohistochemical analysis of paraffin-embedded mouse cerebrum labeling Tau with ab76128 at 1/2000 dilution, followed by a ready to use LeicaDS9800 (Bond Polymer Refine Detection).

Positive staining on mouse cerebrum.
The section was incubated with ab76128 for 30 mins at room temperature.
The immunostaining was performed on a Leica Biosystems BOND® RX instrument

Counterstained with Hematoxylin.

Secondary antibody only control : Secondary antibody is a ready to use LeicaDS9800 (Bond Polymer Refine Detection).

Heat mediated antigen retrieval was performed with Tris-EDTA buffer (pH 9.0, Epitope Retrieval Solution2) for 20 mins.

Immunohistochemistry (Formalin/PFA-fixed paraffin-embedded sections) - Anti-Tau antibody [EP2456Y] - BSA and Azide free (AB174727)
  • IHC-P

Lab

Immunohistochemistry (Formalin/PFA-fixed paraffin-embedded sections) - Anti-Tau antibody [EP2456Y] - BSA and Azide free (AB174727)

This data was developed using ab76128, the same antibody clone in a different buffer formulation.

Immunohistochemical analysis of paraffin-embedded rat cerebrum labeling Tau with ab76128 at 1/2000 dilution, followed by a ready to use LeicaDS9800 (Bond Polymer Refine Detection).

Positive staining on rat cerebrum.
The section was incubated with ab76128 for 30 mins at room temperature.
The immunostaining was performed on a Leica Biosystems BOND® RX instrument

Counterstained with Hematoxylin.

Secondary antibody only control : Secondary antibody is a ready to use LeicaDS9800 (Bond Polymer Refine Detection).

Heat mediated antigen retrieval was performed with Tris-EDTA buffer (pH 9.0, Epitope Retrieval Solution2) for 20 mins.

Western blot - Anti-Tau antibody [EP2456Y] - BSA and Azide free (AB174727)
  • WB

Unknown

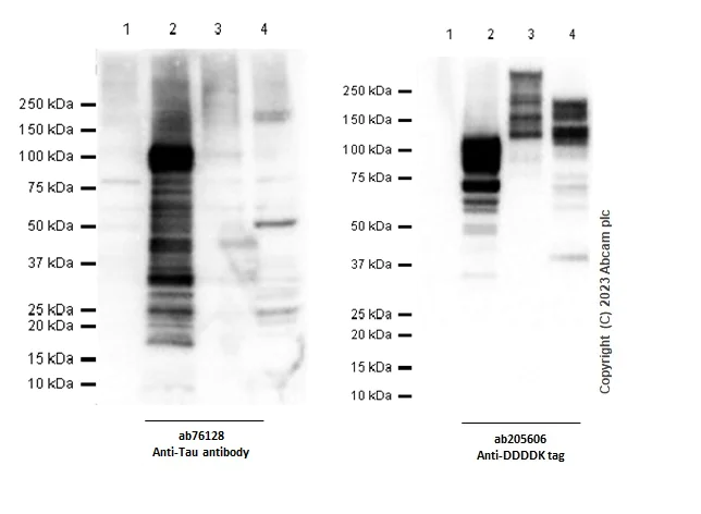
Western blot - Anti-Tau antibody [EP2456Y] - BSA and Azide free (AB174727)

All lanes:

Western blot - Anti-Tau antibody [EP2456Y] (<a href='/en-us/products/primary-antibodies/tau-antibody-ep2456y-ab76128'>ab76128</a>) at 1/20000 dilution

All lanes:

Human brain lysate at 15 µg

Secondary

All lanes:

Goat Anti-Rabbit IgG (HRP) with minimal cross-reactivity with human IgG at 1/2000 dilution

Predicted band size: 78 kDa

false

Western blot - Anti-Tau antibody [EP2456Y] - BSA and Azide free (AB174727)
  • WB

Lab

Western blot - Anti-Tau antibody [EP2456Y] - BSA and Azide free (AB174727)

This data was developed using ab76128, the same antibody clone in a different buffer formulation. Blocking/dilution buffer : 5% NFDM/TBST

All lanes:

Western blot - Anti-Tau antibody [EP2456Y] (<a href='/en-us/products/primary-antibodies/tau-antibody-ep2456y-ab76128'>ab76128</a>) at 1/1000 dilution

Lane 1:

293T cells transfected with an empty vector containing a flag tag whole cell lysate at 20 µg

Lane 2:

293T cells transfected with a human Tau expression vector containing a flag whole cell lysate at 20 µg

Lane 3:

293T cells transfected with a human MAP2 expression vector containing a flag whole cell lysate at 20 µg

Lane 4:

293T cells transfected with a human MAP4 expression vector containing a flag whole cell lysate at 20 µg

Secondary

All lanes:

Western blot - Goat Anti-Rabbit IgG H&L (HRP) (<a href='/en-us/products/secondary-antibodies/goat-rabbit-igg-h-l-hrp-ab97051'>ab97051</a>) at 1/20000 dilution

Predicted band size: 78 kDa

Observed band size: 55-100 kDa

false

Exposure time: 1s

Immunocytochemistry/ Immunofluorescence - Anti-Tau antibody [EP2456Y] - BSA and Azide free (AB174727)
  • ICC/IF

Supplier Data

Immunocytochemistry/ Immunofluorescence - Anti-Tau antibody [EP2456Y] - BSA and Azide free (AB174727)

This data was developed using ab76128, the same antibody clone in a different buffer formulation.

Immunocytochemistry analysis of Neuro-2a (Mouse neuroblastoma neuroblast) cells labeling Tau with purified ab76128 at 1/50 dilution (10 μg/mL). Cells were fixed in 4% Paraformaldehyde and permeabilized with 0.1% TritonX-100. Cells were counterstained with ab195889 Anti-alpha Tubulin antibody [DM1A] - Microtubule Marker (Alexa Fluor® 594) 1/200 (2.5 μg/mL). Goat anti rabbit IgG (Alexa Fluor® 488, ab150077) was used as the secondary antibody at 1/1000 (2 μg/mL) dilution. DAPI (blue) was used as nuclear counterstain. PBS instead of the primary antibody was used as the secondary antibody only control.

Flow Cytometry (Intracellular) - Anti-Tau antibody [EP2456Y] - BSA and Azide free (AB174727)
  • Flow Cyt (Intra)

Lab

Flow Cytometry (Intracellular) - Anti-Tau antibody [EP2456Y] - BSA and Azide free (AB174727)

This data was developed using ab76128, the same antibody clone in a different buffer formulation. Intracellular Flow Cytometry analysis of SH-SY5Y (Human neuroblastoma epithelial cell) cells labelling Tau with purified ab76128 at 1/500 dilution (1 μg/mL) (Red). Cells were fixed with 4% Paraformaldehyde and permeabilised with 90% Methanol. A Goat anti rabbit IgG (Alexa Fluor® 488, ab150077) secondary antibody was used at 1/2000. Isotype control - Rabbit monoclonal IgG (Black). Unlabelled control - Cell without incubation with primary antibody and secondary antibody (Blue).

Western blot - Anti-Tau antibody [EP2456Y] - BSA and Azide free (AB174727)
  • WB

Unknown

Western blot - Anti-Tau antibody [EP2456Y] - BSA and Azide free (AB174727)

All lanes:

Western blot - Anti-Tau antibody [EP2456Y] (<a href='/en-us/products/primary-antibodies/tau-antibody-ep2456y-ab76128'>ab76128</a>) at 1/10000 dilution

Lane 1:

Mouse brain lysate at 15 µg

Lane 2:

Rat brain lysate at 15 µg

Secondary

All lanes:

Western blot - Goat Anti-Rabbit IgG H&L (HRP) (<a href='/en-us/products/secondary-antibodies/goat-rabbit-igg-h-l-hrp-ab97051'>ab97051</a>) at 1/20000 dilution

Predicted band size: 78 kDa

false

Key facts

Host species

Rabbit

Clonality

Monoclonal

Clone number

EP2456Y

Isotype

IgG

Carrier free

Yes

Reacts with

Mouse, Rat, Human

Applications

IHC-P, ICC/IF, Flow Cyt (Intra), WB

applications

Immunogen

The exact immunogen used to generate this antibody is proprietary information.

Specificity

This antibody detects Tau, whether phosphorylated or unphosphorylated on serine 635.
The specificity of this antibody refers to P10636-8.
This antibody clone has been shown to react with Tau 4R and 3R isoforms (doi.org/10.1101/2023.04.13.536711).
Our testing suggests that this antibody clone does not cross-reacts with MAP2 or MAP4

Reactivity data

{ "title": "Reactivity Data", "filters": { "stats": ["", "Species", "Dilution Info", "Notes"], "tabs": { "all-applications": {"fullname" : "All Applications", "shortname": "All Applications"}, "IP" : {"fullname" : "Immunoprecipitation", "shortname":"IP"}, "WB" : {"fullname" : "Western blot", "shortname":"WB"}, "ICCIF" : {"fullname" : "Immunocytochemistry/ Immunofluorescence", "shortname":"ICC/IF"}, "FlowCytIntra" : {"fullname" : "Flow Cytometry (Intracellular)", "shortname":"Flow Cyt (Intra)"}, "IHCP" : {"fullname" : "Immunohistochemistry (Formalin/PFA-fixed paraffin-embedded sections)", "shortname":"IHC-P"} }, "product-promise": { "all": "all", "testedAndGuaranteed": "tested", "guaranteed": "expected", "predicted": "predicted", "notRecommended": "not-recommended" } }, "values": { "Human": { "IP-species-checked": "notRecommended", "IP-species-dilution-info": "", "IP-species-notes": "<p></p>", "WB-species-checked": "guaranteed", "WB-species-dilution-info": "", "WB-species-notes": "", "ICCIF-species-checked": "testedAndGuaranteed", "ICCIF-species-dilution-info": "", "ICCIF-species-notes": "<p></p>", "FlowCytIntra-species-checked": "testedAndGuaranteed", "FlowCytIntra-species-dilution-info": "", "FlowCytIntra-species-notes": "<p><a href='/en-us/products/primary-antibodies/rabbit-igg-monoclonal-epr25a-isotype-control-low-endotoxin-azide-free-ab199376'>ab199376</a> - Rabbit monoclonal IgG, is suitable for use as an isotype control with this antibody.</p>", "IHCP-species-checked": "testedAndGuaranteed", "IHCP-species-dilution-info": "", "IHCP-species-notes": "<p></p>" }, "Mouse": { "IP-species-checked": "notRecommended", "IP-species-dilution-info": "", "IP-species-notes": "<p></p>", "WB-species-checked": "testedAndGuaranteed", "WB-species-dilution-info": "", "WB-species-notes": "<p></p>", "ICCIF-species-checked": "testedAndGuaranteed", "ICCIF-species-dilution-info": "", "ICCIF-species-notes": "<p></p>", "FlowCytIntra-species-checked": "testedAndGuaranteed", "FlowCytIntra-species-dilution-info": "", "FlowCytIntra-species-notes": "<p><a href='/en-us/products/primary-antibodies/rabbit-igg-monoclonal-epr25a-isotype-control-low-endotoxin-azide-free-ab199376'>ab199376</a> - Rabbit monoclonal IgG, is suitable for use as an isotype control with this antibody.</p>", "IHCP-species-checked": "testedAndGuaranteed", "IHCP-species-dilution-info": "", "IHCP-species-notes": "<p></p>" }, "Rat": { "IP-species-checked": "notRecommended", "IP-species-dilution-info": "", "IP-species-notes": "<p></p>", "WB-species-checked": "testedAndGuaranteed", "WB-species-dilution-info": "", "WB-species-notes": "<p></p>", "ICCIF-species-checked": "testedAndGuaranteed", "ICCIF-species-dilution-info": "", "ICCIF-species-notes": "<p></p>", "FlowCytIntra-species-checked": "testedAndGuaranteed", "FlowCytIntra-species-dilution-info": "", "FlowCytIntra-species-notes": "<p><a href='/en-us/products/primary-antibodies/rabbit-igg-monoclonal-epr25a-isotype-control-low-endotoxin-azide-free-ab199376'>ab199376</a> - Rabbit monoclonal IgG, is suitable for use as an isotype control with this antibody.</p>", "IHCP-species-checked": "testedAndGuaranteed", "IHCP-species-dilution-info": "", "IHCP-species-notes": "<p></p>" } } }

You may be interested in:

AB273617

Human Tau ELISA Kit

0

0 Reviews

View product

We recommend this product because it’s often used in the same experiment or related research.

We advise that you always check the datasheet to ensure it fits your experiments, or contact ourtechnical teamfor help.

Product details

ab174727 is the carrier-free version of ab76128.

Patented technology
Our RabMAb® technology is a patented hybridoma-based technology for making rabbit monoclonal antibodies. For details on our patents, please refer to RabMAb® patents.

What are the advantages of a recombinant monoclonal antibody?
This product is a recombinant monoclonal antibody, which offers several advantages including:

  • - High batch-to-batch consistency and reproducibility
  • - Improved sensitivity and specificity
  • - Long-term security of supply
  • - Animal-free batch production

For more information, read more on recombinant antibodies.

Conjugation ready
Our carrier-free antibodies are typically supplied in a PBS-only formulation, purified and free of BSA, sodium azide and glycerol. This conjugation-ready format is designed for use with fluorochromes, metal isotopes, oligonucleotides, and enzymes, which makes them ideal for antibody labelling, functional and cell-based assays, flow-based assays (e.g. mass cytometry) and Multiplex Imaging applications.

Use our conjugation kits for antibody conjugates that are ready-to-use in as little as 20 minutes with 1 minute hands-on-time and 100% antibody recovery: available for fluorescent dyes, HRP, biotin and gold.

Compatibility
This product is compatible with the Maxpar® Antibody Labeling Kit from Fluidigm, without the need for antibody preparation. Maxpar® is a trademark of Fluidigm Canada Inc.

Properties and storage information

Form
Liquid
Purification technique
Affinity purification Protein A
Storage buffer
Constituents: PBS
Shipped at conditions
Blue Ice
Appropriate short-term storage conditions
+4°C
Appropriate long-term storage conditions
+4°C
Storage information
Do Not Freeze

Supplementary information

This supplementary information is collated from multiple sources and compiled automatically.

Tau also known as microtubule-associated protein Tau (MAPT) plays an important role in stabilizing microtubules in neuronal cells. Tau is primarily found in the central nervous system but also exists in peripheral neurons. Human Tau protein comes in six isoforms due to alternative splicing with molecular weights ranging from 48 kDa to 67 kDa. This protein predominantly locates in the axons of neurons where it maintains the stability of microtubule tracks necessary for axonal transport.
Biological function summary

Tau is involved in the assembly and stabilization of microtubules essential for maintaining neuronal structure. It interacts with microtubule-binding domains (MBD) to bind and bundle microtubules facilitating intracellular transport. Tau forms a part of the neuronal cytoskeleton complex working closely with other cytoskeletal proteins to preserve the proper axonal transport and function. Abnormally phosphorylated Tau often termed phospho-Tau disrupts this complex affecting microtubule stability.

Pathways

Tau has critical involvement in several signaling cascades such as the microtubule-binding and transport pathways. Glycogen synthase kinase 3 beta (GSK3β) and cyclin-dependent kinase 5 (CDK5) frequently phosphorylate Tau controlling its interaction with microtubules. Phosphorylated Tau accumulates leading to the formation of neurofibrillary tangles often observed in neurodegenerative conditions. Additionally Tau interacts with GAPDH impacting cellular energy regulation through potential pathway cross-talk involving oxidative stress responses.

Tau is closely associated with Alzheimer's disease and frontotemporal dementia. In Alzheimer's disease hyperphosphorylated Tau aggregates into paired helical filaments forming neurofibrillary tangles while similar aggregates are observed in frontotemporal dementia. In these conditions Tau links to amyloid precursor protein (APP) where misregulated phosphorylation-driven interactions contribute to neurodegeneration. Identifying phospho-Tau and its altered interactions with related proteins aids in understanding and potentially treating these disorders.

Product protocols

For this product, it's our understanding that no specific protocols are required. You can visit:

Target data

The protein expressed by the MAPT gene promotes microtubule assembly and stability and might be involved in establishing and maintaining neuronal polarity. Its C-terminus binds axonal microtubules, and the N-terminus binds neural plasma membrane components, suggesting that tau functions as a linker protein between the two. Axonal polarity is predetermined by MAPT localization within the neuronal cell's domain defined by the centrosome. The short isoforms allow cytoskeleton plasticity, whereas the longer isoforms may preferentially play a role in its stabilization. This supplementary information is collated from multiple sources and compiled automatically.
See full target information MAPT

Additional targets

MAPT

Product promise

We are committed to supporting your work with high-quality reagents, and we're here for you every step of the way. In the unlikely event that one of our products does not perform as expected, you're protected by our Product Promise.
For full details, please see our Terms & Conditions

Associated Products

Select an associated product type
Alternative Product
Primary Antibodies

AB92682

Anti-Tau (phospho S356) antibody [EPR2603]

primary-antibodies

tau-phospho-s356-antibody-epr2603-ab92682

0

(0 reviews)

Alternative Product
Primary Antibodies

AB109390

Anti-Tau (phospho S396) antibody [EPR2731]

primary-antibodies

tau-phospho-s396-antibody-epr2731-ab109390

4

(13 reviews)

Alternative Product
Primary Antibodies

AB151559

Anti-Tau (phospho T231) antibody [EPR2488]

primary-antibodies

tau-phospho-t231-antibody-epr2488-ab151559

5

(6 reviews)

Alternative Product
Primary Antibodies

AB32057

Anti-Tau (phospho S396) antibody [E178]

primary-antibodies

tau-phospho-s396-antibody-e178-ab32057

5

(5 reviews)

Alternative Product
Primary Antibodies

AB170892

Anti-Tau (phospho S214) antibody [EPR1884(2)]

primary-antibodies

tau-phospho-s214-antibody-epr18842-ab170892

5

(1 reviews)

Alternative Product
Primary Antibodies

AB80579

Anti-Tau antibody [TAU-5] - BSA and Azide free

primary-antibodies

tau-antibody-tau-5-bsa-and-azide-free-ab80579

5

(6 reviews)

Alternative Product
Primary Antibodies

AB92676

Anti-Tau (phospho S404) antibody [EPR2605]

primary-antibodies

tau-phospho-s404-antibody-epr2605-ab92676

5

(4 reviews)

Alternative Product
Primary Antibodies

AB93726

Anti-Tau antibody [SP70]

primary-antibodies

tau-antibody-sp70-ab93726

5

(4 reviews)

Alternative Version
Primary Antibodies

AB210985

PE Anti-Tau antibody [EP2456Y]

primary-antibodies

pe-tau-antibody-ep2456y-ab210985

0

(0 reviews)

Alternative Version
Primary Antibodies

AB215290

Alexa Fluor® 555 Anti-Tau antibody [EP2456Y]

primary-antibodies

alexa-fluor-555-tau-antibody-ep2456y-ab215290

0

(0 reviews)

Alternative Version
Primary Antibodies

AB206060

Alexa Fluor® 488 Anti-Tau antibody [EP2456Y]

primary-antibodies

alexa-fluor-488-tau-antibody-ep2456y-ab206060

0

(0 reviews)

Please note: All products are 'FOR RESEARCH USE ONLY. NOT FOR USE IN DIAGNOSTIC OR THERAPEUTIC PROCEDURES'.

For licensing inquiries, please contact partnerships@abcam.com