JavaScript is disabled in your browser. Please enable JavaScript to view this website.
AB109392

Anti-Tau antibody [EPR2396(2)]

2

(1 Review)

|

(1 Publication)

Rabbit Recombinant Monoclonal TAU antibody. Suitable for IHC-P, WB, ICC/IF and reacts with Human samples. Cited in 1 publication.

View Alternative Names

MAPTL, MTBT1, TAU, MAPT, Microtubule-associated protein tau, Neurofibrillary tangle protein, Paired helical filament-tau, PHF-tau

4 Images
Western blot - Anti-Tau antibody [EPR2396(2)] (AB109392)
  • WB

Supplier Data

Western blot - Anti-Tau antibody [EPR2396(2)] (AB109392)

Blocking and Diluting buffer and concentration : 5% NFDM/TBST

All lanes:

Western blot - Anti-Tau antibody [EPR2396(2)] (ab109392) at 1/1000 dilution

All lanes:

Human Hippocampus whole tissue lysate at 15 µg

Secondary

All lanes:

Western blot - Goat Anti-Rabbit IgG H&L (HRP) (<a href='/en-us/products/secondary-antibodies/goat-rabbit-igg-h-l-hrp-ab97051'>ab97051</a>) at 1/20000 dilution

Predicted band size: 123 kDa,13 kDa,153 kDa,19 kDa,34 kDa,35 kDa,43 kDa,48 kDa,56 kDa,68 kDa,71 kDa,74 kDa,76 kDa,78 kDa,94 kDa

Observed band size: 110 kDa,13 kDa,155 kDa,19 kDa,37 kDa,43 kDa,50-70 kDa,58 kDa,68 kDa,71 kDa,74 kDa,75 kDa,81 kDa

false

Exposure time: 1s

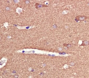
Immunohistochemistry (Formalin/PFA-fixed paraffin-embedded sections) - Anti-Tau antibody [EPR2396(2)] (AB109392)
  • IHC-P

Unknown

Immunohistochemistry (Formalin/PFA-fixed paraffin-embedded sections) - Anti-Tau antibody [EPR2396(2)] (AB109392)

Immunohistochemical analysis of paraffin-embedded Human brain tissue using 1/250 ab109392.

Perform heat mediated antigen retrieval via the pressure cooker method before commencing with IHC staining protocol.

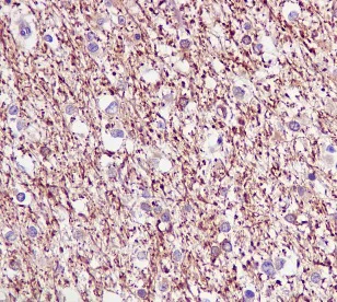
Immunohistochemistry (Formalin/PFA-fixed paraffin-embedded sections) - Anti-Tau antibody [EPR2396(2)] (AB109392)
  • IHC-P

Unknown

Immunohistochemistry (Formalin/PFA-fixed paraffin-embedded sections) - Anti-Tau antibody [EPR2396(2)] (AB109392)

Immunohistochemical analysis of paraffin-embedded Human glioma tissue using 1/250 ab109392.

Perform heat mediated antigen retrieval via the pressure cooker method before commencing with IHC staining protocol.

Immunocytochemistry/ Immunofluorescence - Anti-Tau antibody [EPR2396(2)] (AB109392)
  • ICC/IF

Unknown

Immunocytochemistry/ Immunofluorescence - Anti-Tau antibody [EPR2396(2)] (AB109392)

Immunofluorescent staining of SHSY5Y cells using 1/100 ab109392.

  • Carrier free

    Anti-Tau antibody [EPR2396(2)] - BSA and Azide free

Key facts

Host species

Rabbit

Clonality

Monoclonal

Clone number

EPR2396(2)

Isotype

IgG

Carrier free

No

Reacts with

Human

Applications

WB, IHC-P, ICC/IF

applications

Immunogen

The exact immunogen used to generate this antibody is proprietary information.

Specificity

The specificity of this antibody refers to P10636-8.

This antibody clone has been shown to react with Tau 1N and 2N isoforms and does not react with 0N isoforms (doi.org/10.1101/2023.04.13.536711)

Reactivity data

{ "title": "Reactivity Data", "filters": { "stats": ["", "Species", "Dilution Info", "Notes"], "tabs": { "all-applications": {"fullname" : "All Applications", "shortname": "All Applications"}, "IHCP" : {"fullname" : "Immunohistochemistry (Formalin/PFA-fixed paraffin-embedded sections)", "shortname":"IHC-P"}, "FlowCyt" : {"fullname" : "Flow Cytometry", "shortname":"Flow Cyt"}, "WB" : {"fullname" : "Western blot", "shortname":"WB"}, "ICCIF" : {"fullname" : "Immunocytochemistry/ Immunofluorescence", "shortname":"ICC/IF"} }, "product-promise": { "all": "all", "testedAndGuaranteed": "tested", "guaranteed": "expected", "predicted": "predicted", "notRecommended": "not-recommended" } }, "values": { "Human": { "IHCP-species-checked": "testedAndGuaranteed", "IHCP-species-dilution-info": "1/250 - 1/500", "IHCP-species-notes": "<p>Heat up to 98 degrees C, below boiling, and then let cool for 10-20 min.</p>", "FlowCyt-species-checked": "notRecommended", "FlowCyt-species-dilution-info": "", "FlowCyt-species-notes": "<p></p>", "WB-species-checked": "testedAndGuaranteed", "WB-species-dilution-info": "1/1000", "WB-species-notes": "<p></p>", "ICCIF-species-checked": "testedAndGuaranteed", "ICCIF-species-dilution-info": "1/100 - 1/250", "ICCIF-species-notes": "<p></p>" } } }

You may be interested in:

AB273617

Human Tau ELISA Kit

0

0 Reviews

View product

We recommend this product because it’s often used in the same experiment or related research.

We advise that you always check the datasheet to ensure it fits your experiments, or contact ourtechnical teamfor help.

Product details

Species reactivity
Mouse, Rat: We have preliminary internal testing data to indicate this antibody may not react with these species.
Please contact us for more information.

Patented technology
Our RabMAb® technology is a patented hybridoma-based technology for making rabbit monoclonal antibodies. For details on our patents, please refer to RabMAb® patents.

What are the advantages of a recombinant monoclonal antibody?
This product is a recombinant monoclonal antibody, which offers several advantages including:

  • - High batch-to-batch consistency and reproducibility
  • - Improved sensitivity and specificity
  • - Long-term security of supply
  • - Animal-free batch production

For more information, read more on recombinant antibodies.

Properties and storage information

Form
Liquid
Purification technique
Affinity purification Protein A
Storage buffer
pH: 7.2 - 7.4 Preservative: 0.01% Sodium azide Constituents: PBS, 40% Glycerol (glycerin, glycerine), 0.05% BSA
Shipped at conditions
Blue Ice
Appropriate short-term storage conditions
+4°C
Appropriate long-term storage conditions
-20°C
Storage information
Stable for 12 months at -20°C

Supplementary information

This supplementary information is collated from multiple sources and compiled automatically.

Tau also known as microtubule-associated protein Tau (MAPT) plays an important role in stabilizing microtubules in neuronal cells. Tau is primarily found in the central nervous system but also exists in peripheral neurons. Human Tau protein comes in six isoforms due to alternative splicing with molecular weights ranging from 48 kDa to 67 kDa. This protein predominantly locates in the axons of neurons where it maintains the stability of microtubule tracks necessary for axonal transport.
Biological function summary

Tau is involved in the assembly and stabilization of microtubules essential for maintaining neuronal structure. It interacts with microtubule-binding domains (MBD) to bind and bundle microtubules facilitating intracellular transport. Tau forms a part of the neuronal cytoskeleton complex working closely with other cytoskeletal proteins to preserve the proper axonal transport and function. Abnormally phosphorylated Tau often termed phospho-Tau disrupts this complex affecting microtubule stability.

Pathways

Tau has critical involvement in several signaling cascades such as the microtubule-binding and transport pathways. Glycogen synthase kinase 3 beta (GSK3β) and cyclin-dependent kinase 5 (CDK5) frequently phosphorylate Tau controlling its interaction with microtubules. Phosphorylated Tau accumulates leading to the formation of neurofibrillary tangles often observed in neurodegenerative conditions. Additionally Tau interacts with GAPDH impacting cellular energy regulation through potential pathway cross-talk involving oxidative stress responses.

Tau is closely associated with Alzheimer's disease and frontotemporal dementia. In Alzheimer's disease hyperphosphorylated Tau aggregates into paired helical filaments forming neurofibrillary tangles while similar aggregates are observed in frontotemporal dementia. In these conditions Tau links to amyloid precursor protein (APP) where misregulated phosphorylation-driven interactions contribute to neurodegeneration. Identifying phospho-Tau and its altered interactions with related proteins aids in understanding and potentially treating these disorders.

Product protocols

For this product, it's our understanding that no specific protocols are required. You can visit:

Target data

The protein expressed by the MAPT gene promotes microtubule assembly and stability and might be involved in establishing and maintaining neuronal polarity. Its C-terminus binds axonal microtubules, and the N-terminus binds neural plasma membrane components, suggesting that tau functions as a linker protein between the two. Axonal polarity is predetermined by MAPT localization within the neuronal cell's domain defined by the centrosome. The short isoforms allow cytoskeleton plasticity, whereas the longer isoforms may preferentially play a role in its stabilization. This supplementary information is collated from multiple sources and compiled automatically.
See full target information MAPT

Additional targets

MAPT

Publications (1)

Recent publications for all applications. Explore the full list and refine your search

Frontiers in pharmacology 12:748021 PubMed34658885

2021

Palmitoylethanolamide Counteracts Enteric Inflammation and Bowel Motor Dysfunctions in a Mouse Model of Alzheimer's Disease.

Applications

Unspecified application

Species

Unspecified reactive species

Vanessa D'Antongiovanni,Carolina Pellegrini,Luca Antonioli,Laura Benvenuti,Clelia Di Salvo,Lorenzo Flori,Rebecca Piccarducci,Simona Daniele,Alma Martelli,Vincenzo Calderone,Claudia Martini,Matteo Fornai
View all publications

Product promise

We are committed to supporting your work with high-quality reagents, and we're here for you every step of the way. In the unlikely event that one of our products does not perform as expected, you're protected by our Product Promise.
For full details, please see our Terms & Conditions

Associated Products

Select an associated product type
Alternative Product
Primary Antibodies

AB92682

Anti-Tau (phospho S356) antibody [EPR2603]

primary-antibodies

tau-phospho-s356-antibody-epr2603-ab92682

0

(0 reviews)

Alternative Product
Primary Antibodies

AB109390

Anti-Tau (phospho S396) antibody [EPR2731]

primary-antibodies

tau-phospho-s396-antibody-epr2731-ab109390

4

(13 reviews)

Alternative Product
Primary Antibodies

AB151559

Anti-Tau (phospho T231) antibody [EPR2488]

primary-antibodies

tau-phospho-t231-antibody-epr2488-ab151559

5

(6 reviews)

Alternative Product
Primary Antibodies

AB32057

Anti-Tau (phospho S396) antibody [E178]

primary-antibodies

tau-phospho-s396-antibody-e178-ab32057

5

(5 reviews)

Alternative Product
Primary Antibodies

AB170892

Anti-Tau (phospho S214) antibody [EPR1884(2)]

primary-antibodies

tau-phospho-s214-antibody-epr18842-ab170892

5

(1 reviews)

Alternative Product
Primary Antibodies

AB92676

Anti-Tau (phospho S404) antibody [EPR2605]

primary-antibodies

tau-phospho-s404-antibody-epr2605-ab92676

5

(4 reviews)

Alternative Product
Primary Antibodies

AB93726

Anti-Tau antibody [SP70]

primary-antibodies

tau-antibody-sp70-ab93726

5

(4 reviews)

Please note: All products are 'FOR RESEARCH USE ONLY. NOT FOR USE IN DIAGNOSTIC OR THERAPEUTIC PROCEDURES'.

For licensing inquiries, please contact partnerships@abcam.com