JavaScript is disabled in your browser. Please enable JavaScript to view this website.
AB203179

Anti-Tau antibody [Tau46]

Be the first to review this product! Submit a review

|

(3 Publications)

Mouse Monoclonal TAU antibody. Suitable for IHC-P and reacts with Human samples. Cited in 3 publications. Immunogen corresponding to Native Full Length Protein corresponding to Cow MAPT.

View Alternative Names

TAU, MAPT, Microtubule-associated protein tau, Neurofibrillary tangle protein, Paired helical filament-tau, PHF-tau

1 Images
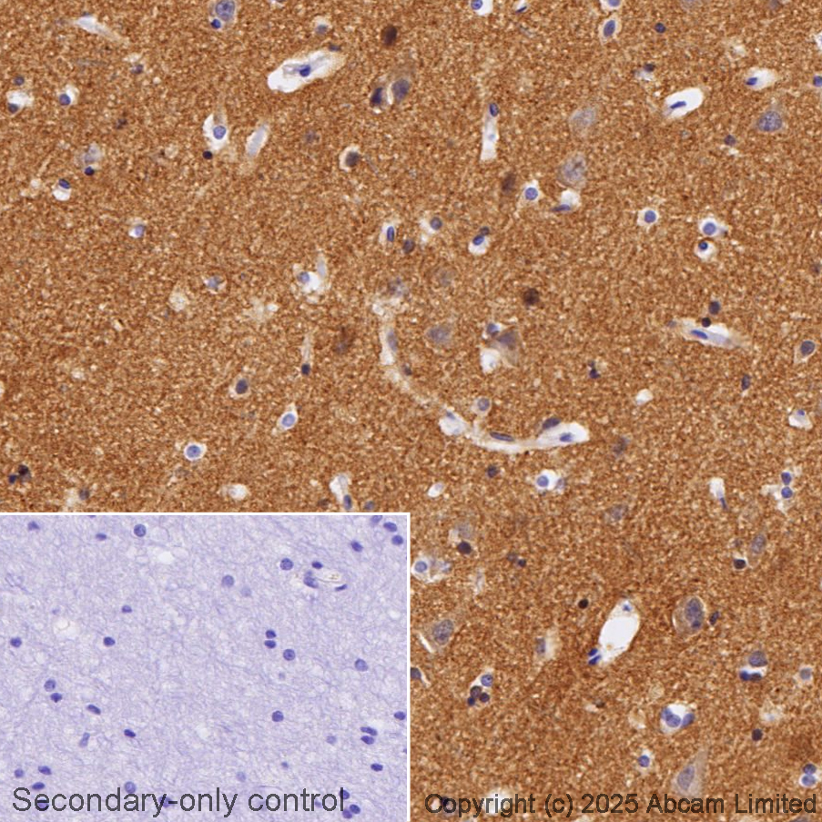
Immunohistochemistry (Formalin/PFA-fixed paraffin-embedded sections) - Anti-Tau antibody [Tau46] (AB203179)
  • IHC-P

Supplier Data

Immunohistochemistry (Formalin/PFA-fixed paraffin-embedded sections) - Anti-Tau antibody [Tau46] (AB203179)

Immunohistochemical analysis of formalin/PFA-fixed paraffin-embedded human brain tissue sections labeling Tau with ab203179 at a 1/25 dilution.

Key facts

Host species

Mouse

Clonality

Monoclonal

Clone number

Tau46

Isotype

IgG1

Carrier free

No

Reacts with

Human

Applications

IHC-P

applications

Immunogen

Native Full Length Protein corresponding to Cow MAPT.

P29172

Epitope

This antibody recognizes a phosphorylation independent epitope in amino acids 404-441 (human).

Specificity

ab203179 is specific to 45-60 kD proteins identified as tau proteins. It does not cross react with tubulin or other microtubule associated proteins.

The specificity of this antibody refers to P29172.

Reactivity data

{ "title": "Reactivity Data", "filters": { "stats": ["", "Species", "Dilution Info", "Notes"], "tabs": { "all-applications": {"fullname" : "All Applications", "shortname": "All Applications"}, "IHCP" : {"fullname" : "Immunohistochemistry (Formalin/PFA-fixed paraffin-embedded sections)", "shortname":"IHC-P"} }, "product-promise": { "all": "all", "testedAndGuaranteed": "tested", "guaranteed": "expected", "predicted": "predicted", "notRecommended": "not-recommended" } }, "values": { "Human": { "IHCP-species-checked": "testedAndGuaranteed", "IHCP-species-dilution-info": "1/25 - 1/50", "IHCP-species-notes": "<p></p>" }, "Cow": { "IHCP-species-checked": "predicted", "IHCP-species-dilution-info": "", "IHCP-species-notes": "" } } }

Properties and storage information

Form
Liquid
Purity
IgG fraction
Storage buffer
pH: 7.3 - 7.5 Preservative: 0.05% Sodium azide Constituents: PBS, 0.05% BSA
Shipped at conditions
Blue Ice
Appropriate short-term storage duration
1-2 weeks
Appropriate short-term storage conditions
+4°C
Appropriate long-term storage conditions
-20°C
Aliquoting information
Upon delivery aliquot
Storage information
Avoid freeze / thaw cycle

Supplementary information

This supplementary information is collated from multiple sources and compiled automatically.

Tau also known as microtubule-associated protein Tau (MAPT) plays an important role in stabilizing microtubules in neuronal cells. Tau is primarily found in the central nervous system but also exists in peripheral neurons. Human Tau protein comes in six isoforms due to alternative splicing with molecular weights ranging from 48 kDa to 67 kDa. This protein predominantly locates in the axons of neurons where it maintains the stability of microtubule tracks necessary for axonal transport.
Biological function summary

Tau is involved in the assembly and stabilization of microtubules essential for maintaining neuronal structure. It interacts with microtubule-binding domains (MBD) to bind and bundle microtubules facilitating intracellular transport. Tau forms a part of the neuronal cytoskeleton complex working closely with other cytoskeletal proteins to preserve the proper axonal transport and function. Abnormally phosphorylated Tau often termed phospho-Tau disrupts this complex affecting microtubule stability.

Pathways

Tau has critical involvement in several signaling cascades such as the microtubule-binding and transport pathways. Glycogen synthase kinase 3 beta (GSK3β) and cyclin-dependent kinase 5 (CDK5) frequently phosphorylate Tau controlling its interaction with microtubules. Phosphorylated Tau accumulates leading to the formation of neurofibrillary tangles often observed in neurodegenerative conditions. Additionally Tau interacts with GAPDH impacting cellular energy regulation through potential pathway cross-talk involving oxidative stress responses.

Tau is closely associated with Alzheimer's disease and frontotemporal dementia. In Alzheimer's disease hyperphosphorylated Tau aggregates into paired helical filaments forming neurofibrillary tangles while similar aggregates are observed in frontotemporal dementia. In these conditions Tau links to amyloid precursor protein (APP) where misregulated phosphorylation-driven interactions contribute to neurodegeneration. Identifying phospho-Tau and its altered interactions with related proteins aids in understanding and potentially treating these disorders.

Product protocols

For this product, it's our understanding that no specific protocols are required. You can visit:

Target data

Promotes microtubule assembly and stability, and might be involved in the establishment and maintenance of neuronal polarity. The C-terminus binds axonal microtubules while the N-terminus binds neural plasma membrane components, suggesting that tau functions as a linker protein between both. Axonal polarity is predetermined by tau localization (in the neuronal cell) in the domain of the cell body defined by the centrosome. The short isoforms allow plasticity of the cytoskeleton whereas the longer isoforms may preferentially play a role in its stabilization.
See full target information MAPT

Publications (3)

Recent publications for all applications. Explore the full list and refine your search

Frontiers in cell and developmental biology 10:912118 PubMed36313558

2022

Unconventional secretion of tau by VAMP8 impacts its intra- and extracellular cleavage.

Applications

Unspecified application

Species

Unspecified reactive species

Julie Pilliod,Maude Gélinas-Faucher,Nicole Leclerc

The Journal of biological chemistry 295:17827-17841 PubMed33454017

2021

Clearance of intracellular tau protein from neuronal cells via VAMP8-induced secretion.

Applications

Unspecified application

Species

Unspecified reactive species

Julie Pilliod,Alexandre Desjardins,Camille Pernègre,Hélène Jamann,Catherine Larochelle,Edward A Fon,Nicole Leclerc

Journal of Alzheimer's disease : JAD 49:1161-8 PubMed26599052

2015

Cycloheximide Treatment Causes a ZVAD-Sensitive Protease-Dependent Cleavage of Human Tau in Drosophila Cells.

Applications

Unspecified application

Species

Unspecified reactive species

Junhua Geng,Lu Xia,Wanjie Li,Changqi Zhao,Fei Dou
View all publications

Product promise

We are committed to supporting your work with high-quality reagents, and we're here for you every step of the way. In the unlikely event that one of our products does not perform as expected, you're protected by our Product Promise.
For full details, please see our Terms & Conditions

Please note: All products are 'FOR RESEARCH USE ONLY. NOT FOR USE IN DIAGNOSTIC OR THERAPEUTIC PROCEDURES'.

For licensing inquiries, please contact partnerships@abcam.com