JavaScript is disabled in your browser. Please enable JavaScript to view this website.
AB323709

Anti-Tau - C-terminal (4R-aa396) antibody [EPR29542-63]

  • BOND RX™ Validated
  • RabMAb
  • Recombinant
  • 20ul selling size
  • What is this?

Be the first to review this product! Submit a review

|

(0 Publication)

Rabbit Recombinant Monoclonal TAU antibody. Suitable for I-ELISA, IHC-P, WB and reacts with Recombinant fragment - Mouse, Synthetic peptide - Human, Human, Mouse samples.

View Alternative Names

MAPTL, MTBT1, TAU, MAPT, Microtubule-associated protein tau, Neurofibrillary tangle protein, Paired helical filament-tau, PHF-tau

10 Images
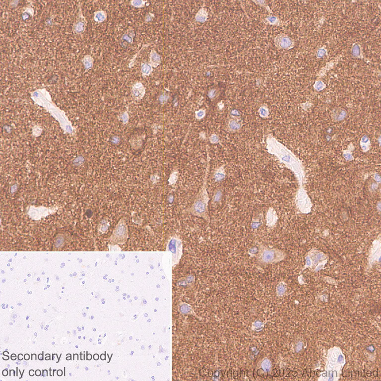
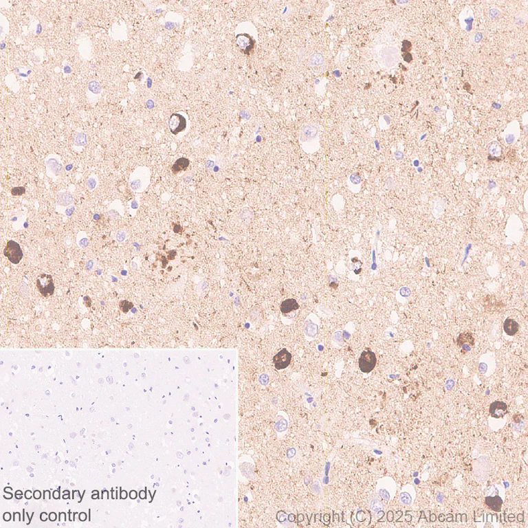
Immunohistochemistry (Formalin/PFA-fixed paraffin-embedded sections) - Anti-Tau - C-terminal (4R-aa396) antibody [EPR29542-63] (AB323709)
  • IHC-P

Supplier Data

Immunohistochemistry (Formalin/PFA-fixed paraffin-embedded sections) - Anti-Tau - C-terminal (4R-aa396) antibody [EPR29542-63] (AB323709)

Immunohistochemical analysis of paraffin-embedded Human Alzheimer's disease cerebrum tissue labeling Tau - C-terminal (4R-aa396) with ab323709 at 1/2000 (0.243 ug/ml) dilution, followed by a ready to use LeicaDS9800 (Bond™ Polymer Refine Detection).

Positive staining on human Alzheimer's disease cerebrum. The section was incubated with ab323709 for 30 mins at room temperature.
The immunostaining was performed on a Leica Biosystems BOND® RX instrument

Counterstained with Hematoxylin.

Secondary antibody only control : Secondary antibody is a ready to use LeicaDS9800 (Bond™ Polymer Refine Detection).

Heat mediated antigen retrieval was performed with Tris-EDTA buffer (pH 9.0, Epitope Retrieval Solution2) for 20 mins

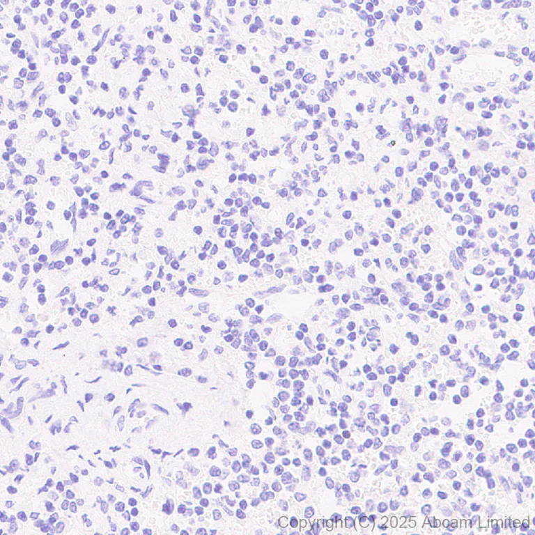
Immunohistochemistry (Formalin/PFA-fixed paraffin-embedded sections) - Anti-Tau - C-terminal (4R-aa396) antibody [EPR29542-63] (AB323709)
  • IHC-P

Supplier Data

Immunohistochemistry (Formalin/PFA-fixed paraffin-embedded sections) - Anti-Tau - C-terminal (4R-aa396) antibody [EPR29542-63] (AB323709)

Immunohistochemical analysis of paraffin-embedded Human spleen tissue labeling Tau - C-terminal (4R-aa396) with ab323709 at 1/2000 (0.243 ug/ml) dilution, followed by a ready to use LeicaDS9800 (Bond™ Polymer Refine Detection).

Negative control : no staining on human spleen. The section was incubated with ab323709 for 30 mins at room temperature.
The immunostaining was performed on a Leica Biosystems BOND® RX instrument

Counterstained with Hematoxylin.

Secondary antibody only control : Secondary antibody is a ready to use LeicaDS9800 (Bond™ Polymer Refine Detection).

Heat mediated antigen retrieval was performed with Tris-EDTA buffer (pH 9.0, Epitope Retrieval Solution2) for 20 mins

Immunohistochemistry (Formalin/PFA-fixed paraffin-embedded sections) - Anti-Tau - C-terminal (4R-aa396) antibody [EPR29542-63] (AB323709)
  • IHC-P

Supplier Data

Immunohistochemistry (Formalin/PFA-fixed paraffin-embedded sections) - Anti-Tau - C-terminal (4R-aa396) antibody [EPR29542-63] (AB323709)

Immunohistochemical analysis of paraffin-embedded Human cerebrum tissue labeling Tau - C-terminal (4R-aa396) with ab323709 at 1/2000 (0.243 ug/ml) dilution, followed by a ready to use LeicaDS9800 (Bond™ Polymer Refine Detection).

Positive staining on human cerebrum. The section was incubated with ab323709 for 30 mins at room temperature.
The immunostaining was performed on a Leica Biosystems BOND® RX instrument

Counterstained with Hematoxylin.

Secondary antibody only control : Secondary antibody is a ready to use LeicaDS9800 (Bond™ Polymer Refine Detection).

Heat mediated antigen retrieval was performed with Tris-EDTA buffer (pH 9.0, Epitope Retrieval Solution2) for 20 mins

Immunohistochemistry (Formalin/PFA-fixed paraffin-embedded sections) - Anti-Tau - C-terminal (4R-aa396) antibody [EPR29542-63] (AB323709)
  • IHC-P

Supplier Data

Immunohistochemistry (Formalin/PFA-fixed paraffin-embedded sections) - Anti-Tau - C-terminal (4R-aa396) antibody [EPR29542-63] (AB323709)

Immunohistochemical analysis of paraffin-embedded Mouse Alzheimer's disease cerebrum tissue labeling Tau - C-terminal (4R-aa396) with ab323709 at 1/2000 (0.243 ug/ml) dilution, followed by a ready to use LeicaDS9800 (Bond™ Polymer Refine Detection).

Positive staining on mouse Alzheimer's disease cerebrum. The section was incubated with ab323709 for 30 mins at room temperature.
The immunostaining was performed on a Leica Biosystems BOND® RX instrument

Counterstained with Hematoxylin.

Secondary antibody only control : Secondary antibody is a ready to use LeicaDS9800 (Bond™ Polymer Refine Detection).

Heat mediated antigen retrieval was performed with Tris-EDTA buffer (pH 9.0, Epitope Retrieval Solution2) for 20 mins

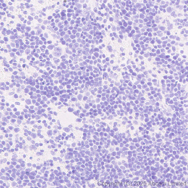
Immunohistochemistry (Formalin/PFA-fixed paraffin-embedded sections) - Anti-Tau - C-terminal (4R-aa396) antibody [EPR29542-63] (AB323709)
  • IHC-P

Supplier Data

Immunohistochemistry (Formalin/PFA-fixed paraffin-embedded sections) - Anti-Tau - C-terminal (4R-aa396) antibody [EPR29542-63] (AB323709)

Immunohistochemical analysis of paraffin-embedded Mouse spleen tissue labeling Tau - C-terminal (4R-aa396) with ab323709 at 1/2000 (0.243 ug/ml) dilution, followed by a ready to use LeicaDS9800 (Bond™ Polymer Refine Detection).

Negative control : no staining on mouse spleen (PMID : 24386422). The section was incubated with ab323709 for 30 mins at room temperature.
The immunostaining was performed on a Leica Biosystems BOND® RX instrument

Counterstained with Hematoxylin.

Secondary antibody only control : Secondary antibody is a ready to use LeicaDS9800 (Bond™ Polymer Refine Detection).

Heat mediated antigen retrieval was performed with Tris-EDTA buffer (pH 9.0, Epitope Retrieval Solution2) for 20 mins

Immunohistochemistry (Formalin/PFA-fixed paraffin-embedded sections) - Anti-Tau - C-terminal (4R-aa396) antibody [EPR29542-63] (AB323709)
  • IHC-P

Supplier Data

Immunohistochemistry (Formalin/PFA-fixed paraffin-embedded sections) - Anti-Tau - C-terminal (4R-aa396) antibody [EPR29542-63] (AB323709)

Immunohistochemical analysis of paraffin-embedded Mouse cerebrum tissue labeling Tau - C-terminal (4R-aa396) with ab323709 at 1/2000 (0.243 ug/ml) dilution, followed by a ready to use LeicaDS9800 (Bond™ Polymer Refine Detection).

Positive staining on mouse cerebrum. The section was incubated with ab323709 for 30 mins at room temperature.
The immunostaining was performed on a Leica Biosystems BOND® RX instrument

Counterstained with Hematoxylin.

Secondary antibody only control : Secondary antibody is a ready to use LeicaDS9800 (Bond™ Polymer Refine Detection).

Heat mediated antigen retrieval was performed with Tris-EDTA buffer (pH 9.0, Epitope Retrieval Solution2) for 20 mins

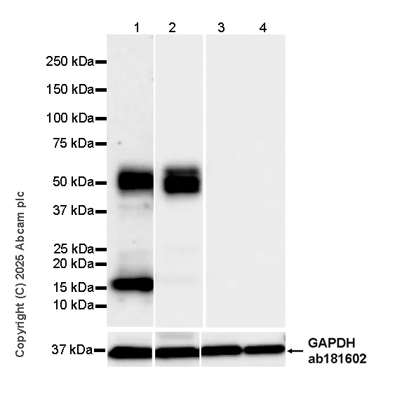
Western blot - Anti-Tau - C-terminal (4R-aa396) antibody [EPR29542-63] (AB323709)
  • WB

Supplier Data

Western blot - Anti-Tau - C-terminal (4R-aa396) antibody [EPR29542-63] (AB323709)

Blocking and diluting buffer and concentration : 5% NFDM/TBST.

Negative control : liver, spleen (PMID : 24386422, PMID : 8752131)

The expression profile/ molecular weight observed is consistent with what has been described in the literature (PMID : 24116116, PMID : 8752131, PMID : 24386422, PMID : 37443334).

The band around 15kDa in lane 1 might be cleavage fragment of Tau (PMID : 37905868).

In Western blot, Anti-GAPDH antibody [EPR16891] - Loading Control (ab181602) staining at 1/200000 dilution.

Exposure time : Lane1 : 125 seconds; Lanes 2-4 : 6 seconds

All lanes:

Western blot - Anti-Tau - C-terminal (4R-aa396) antibody [EPR29542-63] (ab323709) at 1/1000 dilution

Lane 1:

Human Alzheimers brain tissue lysate at 20 µg

Lane 2:

Human hippocampus tissue lysate at 20 µg

Lane 3:

Human spleen tissue lysate at 20 µg

Lane 4:

Human liver tissue lysate at 20 µg

Secondary

All lanes:

Goat Anti-Rabbit IgG (HRP) with minimal cross-reactivity with human IgG at 1/2000 dilution

Observed band size: 33-62 kDa,36 kDa

false

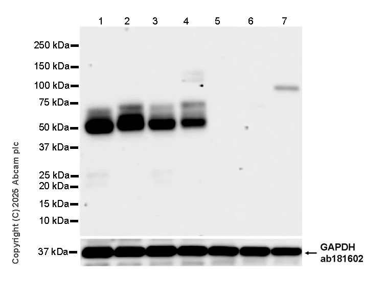
Western blot - Anti-Tau - C-terminal (4R-aa396) antibody [EPR29542-63] (AB323709)
  • WB

Supplier Data

Western blot - Anti-Tau - C-terminal (4R-aa396) antibody [EPR29542-63] (AB323709)

Blocking and diluting buffer and concentration : 5% NFDM/TBST.

Negative control : liver, spleen, testis (PMID : 24386422, PMID : 8752131)

The expression profile/ molecular weight observed is consistent with what has been described in the literature (PMID : 24116116, PMID : 8752131, PMID : 24386422, PMID : 37443334).

The identity of the higher MW band at approximately 100 kDa in lane 7 is unknown.

In Western blot, Anti-GAPDH antibody [EPR16891] - Loading Control (ab181602) staining at 1/200000 dilution.

All lanes:

Western blot - Anti-Tau - C-terminal (4R-aa396) antibody [EPR29542-63] (ab323709) at 1/1000 dilution

Lane 1:

Mouse Alzheimers brain tissue lysate at 20 µg

Lane 2:

Mouse brain tissue lysate at 20 µg

Lane 3:

Mouse hippocampus tissue lysate at 20 µg

Lane 4:

Mouse cerebellum tissue lysate at 20 µg

Lane 5:

Mouse spleen tissue lysate at 20 µg

Lane 6:

Mouse liver tissue lysate at 20 µg

Lane 7:

Mouse testis tissue lysate at 20 µg

Secondary

All lanes:

Western blot - Goat Anti-Rabbit IgG H&L (HRP) (<a href='/en-us/products/secondary-antibodies/goat-rabbit-igg-h-l-hrp-ab97051'>ab97051</a>) at 1/100000 dilution

Observed band size: 33-62 kDa,36 kDa

false

Exposure time: 37s

Indirect ELISA - Anti-Tau - C-terminal (4R-aa396) antibody [EPR29542-63] (AB323709)
  • I-ELISA

Supplier Data

Indirect ELISA - Anti-Tau - C-terminal (4R-aa396) antibody [EPR29542-63] (AB323709)

Indirect ELISA analysis of ab323709 at 1000-0 ng/ml. The Secondary antibody used was Alkaline Phosphatase-conjugated AffiniPure Goat Anti-Rabbit IgG (H+L) at 1 : 2500 dilution dilution.

Antigen : Mouse PNS-Tau recombinant protein, Mouse Tau-A (corresponding to Human 2N4R) recombinant protein.

Antigen concentration : 1000 ng/ml

Indirect ELISA - Anti-Tau - C-terminal (4R-aa396) antibody [EPR29542-63] (AB323709)
  • I-ELISA

Supplier Data

Indirect ELISA - Anti-Tau - C-terminal (4R-aa396) antibody [EPR29542-63] (AB323709)

Indirect ELISA analysis of ab323709 at 1000-0 ng/ml. The Secondary antibody used was Alkaline Phosphatase-conjugated AffiniPure Goat Anti-Rabbit IgG (H+L) at 1 : 2500 dilution dilution.

Antigen : Human Tau 2N4R peptide (within 4R-aa396), Human Tau 2N4R recombinant protein, Human MAP2 fragment.

Antigen concentration : 1000 ng/ml

This antibody does not cross-react with human MAP2.

  • Carrier free

    Anti-Tau - C-terminal (4R-aa396) antibody [EPR29542-63] - BSA and Azide free

Key facts

Host species

Rabbit

Clonality

Monoclonal

Clone number

EPR29542-63

Isotype

IgG

Carrier free

No

Reacts with

Human, Mouse

Applications

I-ELISA, WB, IHC-P

applications

Immunogen

The exact immunogen used to generate this antibody is proprietary information.

Specificity

The antibody binds to a region between the 4R domain and aa396 of 2N4R Tau.

Reactivity data

{ "title": "Reactivity Data", "filters": { "stats": ["", "Species", "Dilution Info", "Notes"], "tabs": { "all-applications": {"fullname" : "All Applications", "shortname": "All Applications"}, "IELISA" : {"fullname" : "Indirect ELISA", "shortname":"I-ELISA"}, "IHCP" : {"fullname" : "Immunohistochemistry (Formalin/PFA-fixed paraffin-embedded sections)", "shortname":"IHC-P"}, "WB" : {"fullname" : "Western blot", "shortname":"WB"} }, "product-promise": { "all": "all", "testedAndGuaranteed": "tested", "guaranteed": "expected", "predicted": "predicted", "notRecommended": "not-recommended" } }, "values": { "Human": { "IELISA-species-checked": "guaranteed", "IELISA-species-dilution-info": "", "IELISA-species-notes": "", "IHCP-species-checked": "testedAndGuaranteed", "IHCP-species-dilution-info": "1/2000", "IHCP-species-notes": "<p></p> Perform heat-mediated antigen retrieval with Tris/EDTA buffer pH 9.0 before commencing with IHC staining protocol.", "WB-species-checked": "testedAndGuaranteed", "WB-species-dilution-info": "1/1000", "WB-species-notes": "<p></p>" }, "Mouse": { "IELISA-species-checked": "guaranteed", "IELISA-species-dilution-info": "", "IELISA-species-notes": "", "IHCP-species-checked": "testedAndGuaranteed", "IHCP-species-dilution-info": "1/2000", "IHCP-species-notes": "<p></p> Perform heat-mediated antigen retrieval with Tris/EDTA buffer pH 9.0 before commencing with IHC staining protocol.", "WB-species-checked": "testedAndGuaranteed", "WB-species-dilution-info": "1/1000", "WB-species-notes": "<p></p>" }, "Recombinant fragment - Mouse": { "IELISA-species-checked": "testedAndGuaranteed", "IELISA-species-dilution-info": "250 ng/mL", "IELISA-species-notes": "<p></p>", "IHCP-species-checked": "notRecommended", "IHCP-species-dilution-info": "", "IHCP-species-notes": "", "WB-species-checked": "notRecommended", "WB-species-dilution-info": "", "WB-species-notes": "" }, "Synthetic peptide - Human": { "IELISA-species-checked": "testedAndGuaranteed", "IELISA-species-dilution-info": "250 ng/mL", "IELISA-species-notes": "<p></p>", "IHCP-species-checked": "notRecommended", "IHCP-species-dilution-info": "", "IHCP-species-notes": "", "WB-species-checked": "notRecommended", "WB-species-dilution-info": "", "WB-species-notes": "" } } }

Product details

Patented technology
Our RabMAb® technology is a patented hybridoma-based technology for making rabbit monoclonal antibodies. For details on our patents, please refer to RabMAb® patents.

What are the advantages of a recombinant monoclonal antibody?
This product is a recombinant monoclonal antibody, which offers several advantages including:

  • - High batch-to-batch consistency and reproducibility
  • - Improved sensitivity and specificity
  • - Long-term security of supply
  • - Animal-free batch production

For more information, read more on recombinant antibodies.

Properties and storage information

Form
Liquid
Purification technique
Affinity purification Protein A
Storage buffer
pH: 7.2 - 7.4 Preservative: 0.01% Sodium azide Constituents: PBS, 40% Glycerol (glycerin, glycerine), 0.05% BSA
Shipped at conditions
Blue Ice
Appropriate short-term storage duration
1-2 weeks
Appropriate short-term storage conditions
+4°C
Appropriate long-term storage conditions
-20°C
Aliquoting information
Upon delivery aliquot
Storage information
Avoid freeze / thaw cycle

Product protocols

For this product, it's our understanding that no specific protocols are required. You can visit:

Target data

The protein expressed by the MAPT gene promotes microtubule assembly and stability and might be involved in establishing and maintaining neuronal polarity. Its C-terminus binds axonal microtubules, and the N-terminus binds neural plasma membrane components, suggesting that tau functions as a linker protein between the two. Axonal polarity is predetermined by MAPT localization within the neuronal cell's domain defined by the centrosome. The short isoforms allow cytoskeleton plasticity, whereas the longer isoforms may preferentially play a role in its stabilization. This supplementary information is collated from multiple sources and compiled automatically.
See full target information MAPT

Additional targets

Mapt

Product promise

We are committed to supporting your work with high-quality reagents, and we're here for you every step of the way. In the unlikely event that one of our products does not perform as expected, you're protected by our Product Promise.
For full details, please see our Terms & Conditions

Please note: All products are 'FOR RESEARCH USE ONLY. NOT FOR USE IN DIAGNOSTIC OR THERAPEUTIC PROCEDURES'.

For licensing inquiries, please contact partnerships@abcam.com