JavaScript is disabled in your browser. Please enable JavaScript to view this website.
AB316121

Anti-Tau - C-terminal antibody [EPR28785-33]

  • BOND RX™ Validated
  • 20ul selling size
  • RabMAb
  • Recombinant
  • What is this?

Be the first to review this product! Submit a review

|

(0 Publication)

Rabbit Recombinant Monoclonal TAU antibody. Suitable for WB, IHC-P, ICC/IF, I-ELISA, Flow Cyt (Intra) and reacts with Human, Mouse, Rat, Recombinant fragment - Human samples.

View Alternative Names

MAPTL, MTBT1, TAU, MAPT, Microtubule-associated protein tau, Neurofibrillary tangle protein, Paired helical filament-tau, PHF-tau

18 Images
Immunohistochemistry (Formalin/PFA-fixed paraffin-embedded sections) - Anti-Tau - C-terminal antibody [EPR28785-33] (AB316121)
  • IHC-P

Supplier Data

Immunohistochemistry (Formalin/PFA-fixed paraffin-embedded sections) - Anti-Tau - C-terminal antibody [EPR28785-33] (AB316121)

Immunohistochemical analysis of paraffin-embedded Human cerebrum tissue labeling Tau - C-terminal with ab316121 at 1/4000 (0.122 ug/ml) dilution, followed by a ready to use LeicaDS9800 (Bond™ Polymer Refine Detection).

Cytoplasmic staining on human cerebrum (PMID : 2492045).
The section was incubated with ab316121 for 30 mins at room temperature.
The immunostaining was performed on a Leica Biosystems BOND® RX instrument.

Counterstained with Hematoxylin.

Secondary antibody only control : Secondary antibody is a ready to use LeicaDS9800 (Bond™ Polymer Refine Detection).

Heat mediated antigen retrieval was performed with Tris-EDTA buffer (pH 9.0, Epitope Retrieval Solution2) for 20 mins.

Immunohistochemistry (Formalin/PFA-fixed paraffin-embedded sections) - Anti-Tau - C-terminal antibody [EPR28785-33] (AB316121)
  • IHC-P

Supplier Data

Immunohistochemistry (Formalin/PFA-fixed paraffin-embedded sections) - Anti-Tau - C-terminal antibody [EPR28785-33] (AB316121)

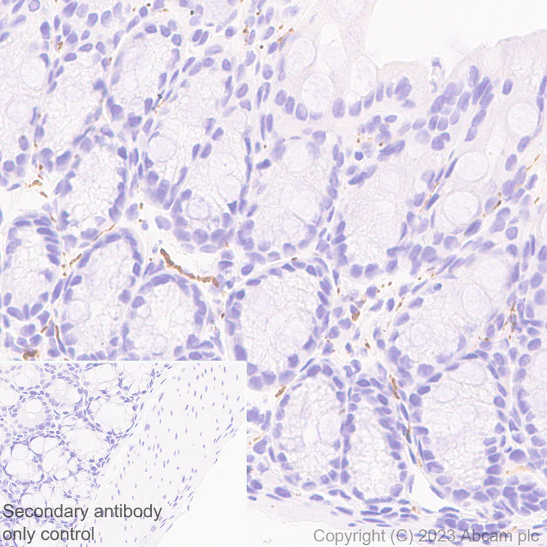
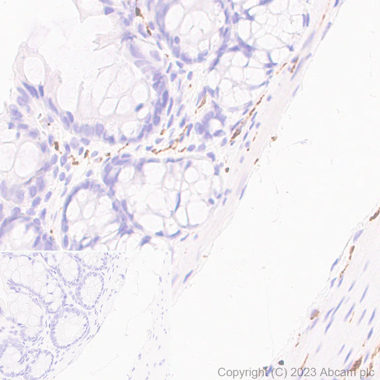
Immunohistochemical analysis of paraffin-embedded Human colon tissue labeling Tau - C-terminal with ab316121 at 1/4000 (0.122 ug/ml) dilution, followed by a ready to use LeicaDS9800 (Bond™ Polymer Refine Detection).

Cytoplasmic staining on peripheral nerves of human colon.
The section was incubated with ab316121 for 30 mins at room temperature.
The immunostaining was performed on a Leica Biosystems BOND® RX instrument.

Counterstained with Hematoxylin.

Secondary antibody only control : Secondary antibody is a ready to use LeicaDS9800 (Bond™ Polymer Refine Detection).

Heat mediated antigen retrieval was performed with Tris-EDTA buffer (pH 9.0, Epitope Retrieval Solution2) for 20 mins.

Immunohistochemistry (Formalin/PFA-fixed paraffin-embedded sections) - Anti-Tau - C-terminal antibody [EPR28785-33] (AB316121)
  • IHC-P

Supplier Data

Immunohistochemistry (Formalin/PFA-fixed paraffin-embedded sections) - Anti-Tau - C-terminal antibody [EPR28785-33] (AB316121)

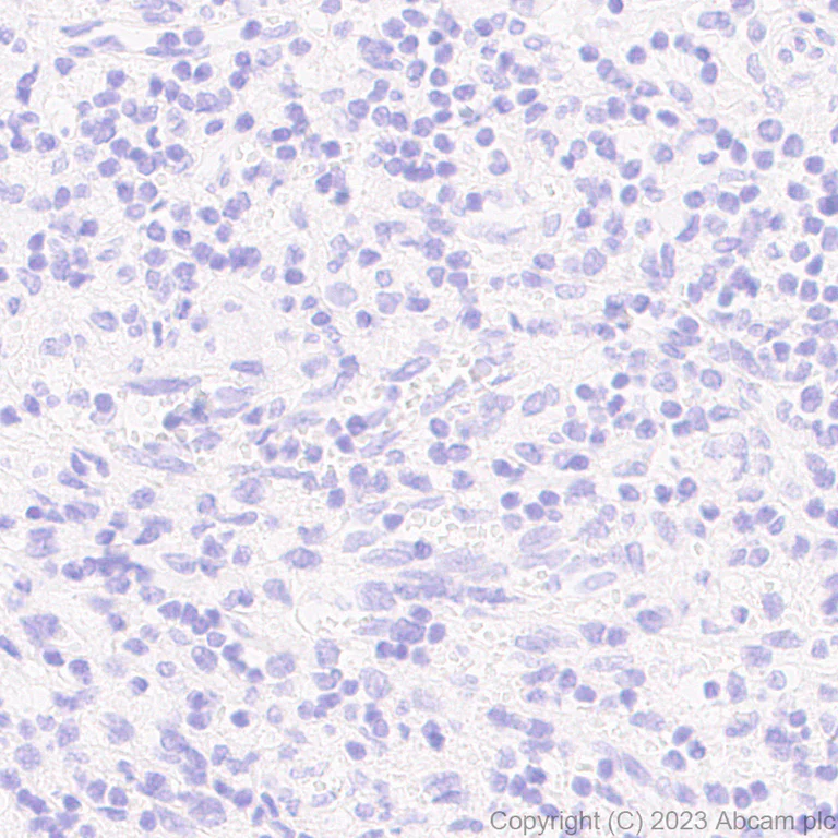
Immunohistochemical analysis of paraffin-embedded Human spleen tissue labeling Tau - C-terminal with ab316121 at 1/4000 (0.122 ug/ml) dilution, followed by a ready to use LeicaDS9800 (Bond™ Polymer Refine Detection).

Negative control : No staining on human spleen (PMID : 12895417).
The section was incubated with ab316121 for 30 mins at room temperature.
The immunostaining was performed on a Leica Biosystems BOND® RX instrument.

Counterstained with Hematoxylin.

Secondary antibody only control : Secondary antibody is a ready to use LeicaDS9800 (Bond™ Polymer Refine Detection).

Heat mediated antigen retrieval was performed with Tris-EDTA buffer (pH 9.0, Epitope Retrieval Solution2) for 20 mins.

Immunohistochemistry (Formalin/PFA-fixed paraffin-embedded sections) - Anti-Tau - C-terminal antibody [EPR28785-33] (AB316121)
  • IHC-P

Supplier Data

Immunohistochemistry (Formalin/PFA-fixed paraffin-embedded sections) - Anti-Tau - C-terminal antibody [EPR28785-33] (AB316121)

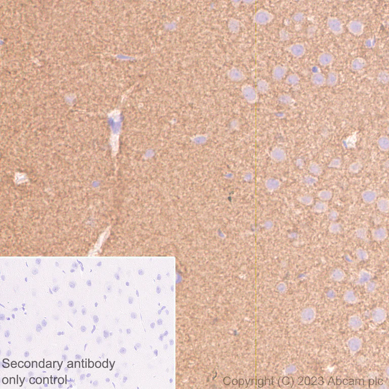
Immunohistochemical analysis of paraffin-embedded Human Alzhiemer's disease brain tissue labeling Tau - C-terminal with ab316121 at 1/4000 (0.122 ug/ml) dilution, followed by a ready to use LeicaDS9800 (Bond® Polymer Refine Detection).

Cytoplasmic staining on human Alzhiemer's disease brain.
The section was incubated with ab316121 for 30 mins at room temperature.
The immunostaining was performed on a Leica Biosystems BOND® RX instrument

Counterstained with Hematoxylin.

Secondary antibody only control : Secondary antibody is a ready to use LeicaDS9800 (Bond® Polymer Refine Detection).

Heat mediated antigen retrieval was performed with Tris-EDTA buffer (pH 9.0, Epitope Retrieval Solution2) for 20 mins.

Immunohistochemistry (Formalin/PFA-fixed paraffin-embedded sections) - Anti-Tau antibody [EPR28785-33] (AB316121)
  • IHC-P

Supplier Data

Immunohistochemistry (Formalin/PFA-fixed paraffin-embedded sections) - Anti-Tau antibody [EPR28785-33] (AB316121)

Immunohistochemical analysis of paraffin-embedded Mouse cerebrum tissue labeling Tau - C-terminal with ab316121 at 1/4000 (0.122 ug/ml) dilution, followed by a ready to use LeicaDS9800 (Bond™ Polymer Refine Detection).

Cytoplasmic staining on mouse cerebrum.
The section was incubated with ab316121 for 30 mins at room temperature.
The immunostaining was performed on a Leica Biosystems BOND® RX instrument

Counterstained with Hematoxylin.

Secondary antibody only control : Secondary antibody is a ready to use LeicaDS9800 (Bond™ Polymer Refine Detection).

Heat mediated antigen retrieval was performed with Tris-EDTA buffer (pH 9.0, Epitope Retrieval Solution2) for 20 mins

Immunocytochemistry/ Immunofluorescence - Anti-Tau - C-terminal antibody [EPR28785-33] (AB316121)
  • ICC/IF

Supplier Data

Immunocytochemistry/ Immunofluorescence - Anti-Tau - C-terminal antibody [EPR28785-33] (AB316121)

Immunofluorescent analysis of 4% Paraformaldehyde-fixed, 0.1% TritonX-100 permeabilized mouse primary neuron cells labelling Tau - C-terminal with ab316121 at 1/50 (9.78 ug/ml) dilution, followed by ab150081 Goat Anti-Rabbit IgG H&L (Alexa Fluor® 488) preadsorbed antibody at 1/1000 (2 ug/mL) dilution (Green).

Confocal image showing cytoplasmic staining in mouse primary neurons.
Confocal scanning Z step was set as 0.3 µm followed by image processing with maximum Z projection.
Image was taken with a confocal microscope(Leica-Microsystems, TCS SP8).

ab11267 Anti-MAP2 mouse monoclonal antibody was used to counterstain at 1/500 (4ug/ml) dilution (Red). The Nuclear counterstain was DAPI (Blue).

Secondary antibody only control : Secondary antibody is ab150081 Goat Anti-Rabbit IgG H&L (Alexa Fluor® 488) preadsorbed at 1/1000 (2 ug/mL) dilution.

Immunohistochemistry (Formalin/PFA-fixed paraffin-embedded sections) - Anti-Tau antibody [EPR28785-33] (AB316121)
  • IHC-P

Supplier Data

Immunohistochemistry (Formalin/PFA-fixed paraffin-embedded sections) - Anti-Tau antibody [EPR28785-33] (AB316121)

Immunohistochemical analysis of paraffin-embedded Rat cerebrum tissue labeling Tau - C-terminal with ab316121 at 1/4000 (0.122 ug/ml) dilution, followed by a ready to use LeicaDS9800 (Bond™ Polymer Refine Detection).

Cytoplasmic staining on rat cerebrum.
The section was incubated with ab316121 for 30 mins at room temperature.
The immunostaining was performed on a Leica Biosystems BOND® RX instrument

Counterstained with Hematoxylin.

Secondary antibody only control : Secondary antibody is a ready to use LeicaDS9800 (Bond™ Polymer Refine Detection).

Heat mediated antigen retrieval was performed with Tris-EDTA buffer (pH 9.0, Epitope Retrieval Solution2) for 20 mins

Immunohistochemistry (Formalin/PFA-fixed paraffin-embedded sections) - Anti-Tau - C-terminal antibody [EPR28785-33] (AB316121)
  • IHC-P

Supplier Data

Immunohistochemistry (Formalin/PFA-fixed paraffin-embedded sections) - Anti-Tau - C-terminal antibody [EPR28785-33] (AB316121)

Immunohistochemical analysis of paraffin-embedded Mouse colon tissue labeling Tau - C-terminal with ab316121 at 1/4000 (0.122 ug/ml) dilution, followed by a ready to use LeicaDS9800 (Bond™ Polymer Refine Detection).

Cytoplasmic staining on peripheral nerves of mouse colon.
The section was incubated with ab316121 for 30 mins at room temperature.
The immunostaining was performed on a Leica Biosystems BOND® RX instrument.

Counterstained with Hematoxylin.

Secondary antibody only control : Secondary antibody is a ready to use LeicaDS9800 (Bond™ Polymer Refine Detection).

Heat mediated antigen retrieval was performed with Tris-EDTA buffer (pH 9.0, Epitope Retrieval Solution2) for 20 mins.

Immunocytochemistry/ Immunofluorescence - Anti-Tau - C-terminal antibody [EPR28785-33] (AB316121)
  • ICC/IF

Supplier Data

Immunocytochemistry/ Immunofluorescence - Anti-Tau - C-terminal antibody [EPR28785-33] (AB316121)

Immunofluorescent analysis of 4% Paraformaldehyde-fixed, 0.1% TritonX-100 permeabilized rat primary neuron cells labelling Tau - C-terminal with ab316121 at 1/50 (9.78 ug/ml) dilution, followed by ab150081 Goat Anti-Rabbit IgG H&L (Alexa Fluor® 488) preadsorbed antibody at 1/1000 (2 ug/mL) dilution (Green).

Confocal image showing cytoplasmic staining in rat primary neurons.
Confocal scanning Z step was set as 0.3 µm followed by image processing with maximum Z projection.
Image was taken with a confocal microscope(Leica-Microsystems, TCS SP8).

ab11267 Anti-MAP2 mouse monoclonal antibody was used to counterstain at 1/500 (4ug/ml) dilution (Red). The Nuclear counterstain was DAPI (Blue).

Secondary antibody only control : Secondary antibody is ab150081 Goat Anti-Rabbit IgG H&L (Alexa Fluor® 488) preadsorbed at 1/1000 (2 ug/mL) dilution.

Immunohistochemistry (Formalin/PFA-fixed paraffin-embedded sections) - Anti-Tau - C-terminal antibody [EPR28785-33] (AB316121)
  • IHC-P

Supplier Data

Immunohistochemistry (Formalin/PFA-fixed paraffin-embedded sections) - Anti-Tau - C-terminal antibody [EPR28785-33] (AB316121)

Immunohistochemical analysis of paraffin-embedded Rat colon tissue labeling Tau - C-terminal with ab316121 at 1/4000 (0.122 ug/ml) dilution, followed by a ready to use LeicaDS9800 (Bond™ Polymer Refine Detection).

Cytoplasmic staining on peripheral nerves of rat colon.
The section was incubated with ab316121 for 30 mins at room temperature.
The immunostaining was performed on a Leica Biosystems BOND® RX instrument.

Counterstained with Hematoxylin.

Secondary antibody only control : Secondary antibody is a ready to use LeicaDS9800 (Bond™ Polymer Refine Detection).

Heat mediated antigen retrieval was performed with Tris-EDTA buffer (pH 9.0, Epitope Retrieval Solution2) for 20 mins.

Flow Cytometry (Intracellular) - Anti-Tau - C-terminal antibody [EPR28785-33] (AB316121)
  • Flow Cyt (Intra)

Supplier Data

Flow Cytometry (Intracellular) - Anti-Tau - C-terminal antibody [EPR28785-33] (AB316121)

Flow cytometric analysis of 4% paraformaldehyde fixed 90% methanol permeabilized Mouse primary neuron cells labelling Tau - C-terminal with ab316121 at 1/50 dilution (1 ug)/Right compared with a Rabbit monoclonal IgG (ab172730) / Left isotype control.

Goat Anti-Rabbit IgG (Alexa Fluor® 488, ab150081) at 1/5000 dilution was used as the secondary antibody.

Flow Cytometry (Intracellular) - Anti-Tau - C-terminal antibody [EPR28785-33] (AB316121)
  • Flow Cyt (Intra)

Supplier Data

Flow Cytometry (Intracellular) - Anti-Tau - C-terminal antibody [EPR28785-33] (AB316121)

Flow cytometric analysis of 4% paraformaldehyde fixed 90% methanol permeabilized Rat primary neuron cells labelling Tau - C-terminal with ab316121 at 1/50 dilution (1 ug)/Right compared with a Rabbit monoclonal IgG (ab172730) / Left isotype control.

Goat Anti-Rabbit IgG (Alexa Fluor® 488, ab150081) at 1/5000 dilution was used as the secondary antibody.

Western blot - Anti-Tau - C-terminal antibody [EPR28785-33] (AB316121)
  • WB

Supplier Data

Western blot - Anti-Tau - C-terminal antibody [EPR28785-33] (AB316121)

Blocking and diluting buffer and concentration : 5% NFDM/TBST.

Negative control : spleen, kidney (PMID : 24386422; PMID : 24309898).

In Western blot, Anti-GAPDH antibody [EPR16891] - Loading Control (ab181602) staining at 1/200000 dilution.

All lanes:

Western blot - Anti-Tau - C-terminal antibody [EPR28785-33] (ab316121) at 1/1000 dilution

Lane 1:

Human brain tissue lysate at 20 µg

Lane 2:

Human kidney tissue lysate at 20 µg

Lane 3:

Human spleen tissue lysate at 20 µg

Secondary

All lanes:

Goat Anti-Rabbit IgG (HRP) with minimal cross-reactivity with human IgG at 1/1000 dilution

Observed band size: 33-70 kDa,36 kDa

false

Exposure time: 92s

Western blot - Anti-Tau - C-terminal antibody [EPR28785-33] (AB316121)
  • WB

Supplier Data

Western blot - Anti-Tau - C-terminal antibody [EPR28785-33] (AB316121)

All lanes:

Western blot - Anti-Tau (phospho T50) antibody [EPR29148-44] (<a href='/en-us/products/primary-antibodies/tau-phospho-t50-antibody-epr29148-44-ab322143'>ab322143</a>) at 1/1000 dilution

Lane 1:

Human brain tissue lysate (untreated membrane) at 20 µg

Lane 2:

Human brain tissue lysate (alkaline phosphatase treated membrane) at 20 µg

Secondary

All lanes:

Goat Anti-Rabbit IgG (HRP) with minimal cross-reactivity with human IgG at 1/2000 dilution

Observed band size: 35-70 kDa,50-70 kDa

false

Exposure time: 92s

Western blot - Anti-Tau - C-terminal antibody [EPR28785-33] (AB316121)
  • WB

Supplier Data

Western blot - Anti-Tau - C-terminal antibody [EPR28785-33] (AB316121)

Blocking and diluting buffer and concentration : 5% NFDM/TBST.

Negative control : heart, spleen (PMID : 24386422).

In Western blot, Anti-GAPDH antibody [EPR16891] - Loading Control (ab181602) staining at 1/200000 dilution.

All lanes:

Western blot - Anti-Tau - C-terminal antibody [EPR28785-33] (ab316121) at 1/1000 dilution

Lane 1:

Mouse hippocampus tissue lysate at 20 µg

Lane 2:

Mouse alzheimers brain tissue lysate at 20 µg

Lane 3:

Mouse brain tissue lysate at 20 µg

Lane 4:

Mouse heart tissue lysate at 20 µg

Lane 5:

Mouse spleen tissue lysate at 20 µg

Secondary

All lanes:

Western blot - Goat Anti-Rabbit IgG H&L (HRP) (<a href='/en-us/products/secondary-antibodies/goat-rabbit-igg-h-l-hrp-ab97051'>ab97051</a>) at 1/100000 dilution

Observed band size: 45-70 kDa,36 kDa

false

Exposure time: 103s

Western blot - Anti-Tau - C-terminal antibody [EPR28785-33] (AB316121)
  • WB

Supplier Data

Western blot - Anti-Tau - C-terminal antibody [EPR28785-33] (AB316121)

Blocking and diluting buffer and concentration : 5% NFDM/TBST.

Negative control : heart, spleen (PMID : 24386422).

In Western blot, Anti-GAPDH antibody [EPR16891] - Loading Control (ab181602) staining at 1/200000 dilution.

All lanes:

Western blot - Anti-Tau - C-terminal antibody [EPR28785-33] (ab316121) at 1/1000 dilution

Lane 1:

Rat hippocampus tissue lysate at 20 µg

Lane 2:

Rat brain tissue lysate at 20 µg

Lane 3:

Rat heart tissue lysate at 20 µg

Lane 4:

Rat spleen tissue lysate at 20 µg

Secondary

All lanes:

Western blot - Goat Anti-Rabbit IgG H&L (HRP) (<a href='/en-us/products/secondary-antibodies/goat-rabbit-igg-h-l-hrp-ab97051'>ab97051</a>) at 1/100000 dilution

Observed band size: 45-70 kDa,36 kDa

false

Exposure time: 103s

Indirect ELISA - Anti-Tau - C-terminal antibody [EPR28785-33] (AB316121)
  • I-ELISA

Supplier Data

Indirect ELISA - Anti-Tau - C-terminal antibody [EPR28785-33] (AB316121)

Indirect ELISA analysis of ab316121 at 1000-0 ng/ml. The Secondary antibody used was Alkaline Phosphatase-conjugated AffiniPure Goat Anti-Rabbit IgG (H+L) at 1 : 2500 dilution.

Antigen : Human 1N3R, Human 1N4R, Human 2N4R.

Antigen concentration : 1000 ng/ml

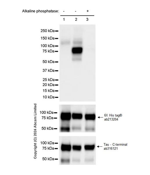
Western blot - Anti-Tau - C-terminal antibody [EPR28785-33] (AB316121)
  • WB

Supplier Data

Western blot - Anti-Tau - C-terminal antibody [EPR28785-33] (AB316121)

Blocking and diluting buffer and concentration : 5% NFDM/TBST.

The identity of the bands higher than 100 kDa are unknown.

In Western blot, Anti-6X His tag® antibody [EPR20547] - ChIP Grade (ab213204) staining at 1/5000 dilution.

In Western blot, Anti-Tau - C-terminal antibody [EPR28785-33] - (ab316121) staining at 1/1000 dilution.

Actual observed bands 50-70kDa.

All lanes:

Western blot - Anti-Tau (phospho T50) antibody [EPR29148-44] (<a href='/en-us/products/primary-antibodies/tau-phospho-t50-antibody-epr29148-44-ab322143'>ab322143</a>) at 1/1000 dilution

Lane 1:

293T (human embryonic kidney epithelial cell) cells transfected with a human Tau (T50A mutation) expression vector containing a myc-His-tag® treated with 100nM Calyculin A for 30min, whole cell lysate (untreated membrane) at 20 µg

Lane 2:

293T cells transfected with a human wild-type Tau expression vector containing a myc-His-tag® treated with 100nM Calyculin A for 30min, whole cell lysate (untreated membrane) at 20 µg

Lane 3:

293T cells transfected with a human wild-type Tau expression vector containing a myc-His-tag® treated with 100nM Calyculin A for 30min, whole cell lysate (alkaline phosphatase treated membrane) at 20 µg

Secondary

All lanes:

Western blot - Goat Anti-Rabbit IgG H&L (HRP) (<a href='/en-us/products/secondary-antibodies/goat-rabbit-igg-h-l-hrp-ab97051'>ab97051</a>) at 1/20000 dilution

Observed band size: 50-70 kDa

false

Exposure time: 8s

  • Carrier free

    Anti-Tau - C-terminal antibody [EPR28785-33] - BSA and Azide free

Key facts

Host species

Rabbit

Clonality

Monoclonal

Clone number

EPR28785-33

Isotype

IgG

Carrier free

No

Reacts with

Human, Mouse, Rat

Applications

I-ELISA, ICC/IF, IHC-P, Flow Cyt (Intra), WB

applications

Immunogen

The exact immunogen used to generate this antibody is proprietary information.

Reactivity data

{ "title": "Reactivity Data", "filters": { "stats": ["", "Species", "Dilution Info", "Notes"], "tabs": { "all-applications": {"fullname" : "All Applications", "shortname": "All Applications"}, "WB" : {"fullname" : "Western blot", "shortname":"WB"}, "IHCP" : {"fullname" : "Immunohistochemistry (Formalin/PFA-fixed paraffin-embedded sections)", "shortname":"IHC-P"}, "ICCIF" : {"fullname" : "Immunocytochemistry/ Immunofluorescence", "shortname":"ICC/IF"}, "IELISA" : {"fullname" : "Indirect ELISA", "shortname":"I-ELISA"}, "FlowCytIntra" : {"fullname" : "Flow Cytometry (Intracellular)", "shortname":"Flow Cyt (Intra)"} }, "product-promise": { "all": "all", "testedAndGuaranteed": "tested", "guaranteed": "expected", "predicted": "predicted", "notRecommended": "not-recommended" } }, "values": { "Human": { "WB-species-checked": "testedAndGuaranteed", "WB-species-dilution-info": "1/1000", "WB-species-notes": "<p></p>", "IHCP-species-checked": "testedAndGuaranteed", "IHCP-species-dilution-info": "1/4000", "IHCP-species-notes": "<p></p> Perform heat-mediated antigen retrieval with Tris/EDTA buffer pH 9.0 before commencing with IHC staining protocol.", "ICCIF-species-checked": "guaranteed", "ICCIF-species-dilution-info": "", "ICCIF-species-notes": "", "IELISA-species-checked": "guaranteed", "IELISA-species-dilution-info": "", "IELISA-species-notes": "", "FlowCytIntra-species-checked": "guaranteed", "FlowCytIntra-species-dilution-info": "", "FlowCytIntra-species-notes": "" }, "Mouse": { "WB-species-checked": "testedAndGuaranteed", "WB-species-dilution-info": "1/1000", "WB-species-notes": "<p></p>", "IHCP-species-checked": "testedAndGuaranteed", "IHCP-species-dilution-info": "1/4000", "IHCP-species-notes": "<p></p> Perform heat-mediated antigen retrieval with Tris/EDTA buffer pH 9.0 before commencing with IHC staining protocol.", "ICCIF-species-checked": "testedAndGuaranteed", "ICCIF-species-dilution-info": "1/50", "ICCIF-species-notes": "<p></p>", "IELISA-species-checked": "guaranteed", "IELISA-species-dilution-info": "", "IELISA-species-notes": "", "FlowCytIntra-species-checked": "testedAndGuaranteed", "FlowCytIntra-species-dilution-info": "1/50", "FlowCytIntra-species-notes": "<p></p>" }, "Rat": { "WB-species-checked": "testedAndGuaranteed", "WB-species-dilution-info": "1/1000", "WB-species-notes": "<p></p>", "IHCP-species-checked": "testedAndGuaranteed", "IHCP-species-dilution-info": "1/4000", "IHCP-species-notes": "<p></p> Perform heat-mediated antigen retrieval with Tris/EDTA buffer pH 9.0 before commencing with IHC staining protocol.", "ICCIF-species-checked": "testedAndGuaranteed", "ICCIF-species-dilution-info": "1/50", "ICCIF-species-notes": "<p></p>", "IELISA-species-checked": "guaranteed", "IELISA-species-dilution-info": "", "IELISA-species-notes": "", "FlowCytIntra-species-checked": "testedAndGuaranteed", "FlowCytIntra-species-dilution-info": "1/50", "FlowCytIntra-species-notes": "<p></p>" }, "Recombinant fragment - Human": { "WB-species-checked": "notRecommended", "WB-species-dilution-info": "", "WB-species-notes": "", "IHCP-species-checked": "notRecommended", "IHCP-species-dilution-info": "", "IHCP-species-notes": "", "ICCIF-species-checked": "notRecommended", "ICCIF-species-dilution-info": "", "ICCIF-species-notes": "", "IELISA-species-checked": "testedAndGuaranteed", "IELISA-species-dilution-info": "1000 ng/mL", "IELISA-species-notes": "<p></p>", "FlowCytIntra-species-checked": "notRecommended", "FlowCytIntra-species-dilution-info": "", "FlowCytIntra-species-notes": "" } } }

Product details

Patented technology
Our RabMAb® technology is a patented hybridoma-based technology for making rabbit monoclonal antibodies. For details on our patents, please refer to RabMAb® patents.

What are the advantages of a recombinant monoclonal antibody?
This product is a recombinant monoclonal antibody, which offers several advantages including:

  • - High batch-to-batch consistency and reproducibility
  • - Improved sensitivity and specificity
  • - Long-term security of supply
  • - Animal-free batch production

For more information, read more on recombinant antibodies.

Properties and storage information

Form
Liquid
Purification technique
Affinity purification Protein A
Storage buffer
pH: 7.2 - 7.4 Preservative: 0.01% Sodium azide Constituents: PBS, 40% Glycerol (glycerin, glycerine), 0.05% BSA
Shipped at conditions
Blue Ice
Appropriate short-term storage duration
1-2 weeks
Appropriate short-term storage conditions
+4°C
Appropriate long-term storage conditions
-20°C
Aliquoting information
Upon delivery aliquot
Storage information
Avoid freeze / thaw cycle

Supplementary information

This supplementary information is collated from multiple sources and compiled automatically.

Tau also known as microtubule-associated protein Tau (MAPT) plays an important role in stabilizing microtubules in neuronal cells. Tau is primarily found in the central nervous system but also exists in peripheral neurons. Human Tau protein comes in six isoforms due to alternative splicing with molecular weights ranging from 48 kDa to 67 kDa. This protein predominantly locates in the axons of neurons where it maintains the stability of microtubule tracks necessary for axonal transport.
Biological function summary

Tau is involved in the assembly and stabilization of microtubules essential for maintaining neuronal structure. It interacts with microtubule-binding domains (MBD) to bind and bundle microtubules facilitating intracellular transport. Tau forms a part of the neuronal cytoskeleton complex working closely with other cytoskeletal proteins to preserve the proper axonal transport and function. Abnormally phosphorylated Tau often termed phospho-Tau disrupts this complex affecting microtubule stability.

Pathways

Tau has critical involvement in several signaling cascades such as the microtubule-binding and transport pathways. Glycogen synthase kinase 3 beta (GSK3β) and cyclin-dependent kinase 5 (CDK5) frequently phosphorylate Tau controlling its interaction with microtubules. Phosphorylated Tau accumulates leading to the formation of neurofibrillary tangles often observed in neurodegenerative conditions. Additionally Tau interacts with GAPDH impacting cellular energy regulation through potential pathway cross-talk involving oxidative stress responses.

Tau is closely associated with Alzheimer's disease and frontotemporal dementia. In Alzheimer's disease hyperphosphorylated Tau aggregates into paired helical filaments forming neurofibrillary tangles while similar aggregates are observed in frontotemporal dementia. In these conditions Tau links to amyloid precursor protein (APP) where misregulated phosphorylation-driven interactions contribute to neurodegeneration. Identifying phospho-Tau and its altered interactions with related proteins aids in understanding and potentially treating these disorders.

Product protocols

For this product, it's our understanding that no specific protocols are required. You can visit:

Target data

The protein expressed by the MAPT gene promotes microtubule assembly and stability and might be involved in establishing and maintaining neuronal polarity. Its C-terminus binds axonal microtubules, and the N-terminus binds neural plasma membrane components, suggesting that tau functions as a linker protein between the two. Axonal polarity is predetermined by MAPT localization within the neuronal cell's domain defined by the centrosome. The short isoforms allow cytoskeleton plasticity, whereas the longer isoforms may preferentially play a role in its stabilization. This supplementary information is collated from multiple sources and compiled automatically.
See full target information MAPT

Product promise

We are committed to supporting your work with high-quality reagents, and we're here for you every step of the way. In the unlikely event that one of our products does not perform as expected, you're protected by our Product Promise.
For full details, please see our Terms & Conditions

Please note: All products are 'FOR RESEARCH USE ONLY. NOT FOR USE IN DIAGNOSTIC OR THERAPEUTIC PROCEDURES'.

For licensing inquiries, please contact partnerships@abcam.com