JavaScript is disabled in your browser. Please enable JavaScript to view this website.
AB308439

Anti-Tau (MBD region) antibody [EPR25205-233]

  • BOND RX™ Validated
  • 20ul selling size
  • RabMAb
  • Recombinant
  • What is this?

Be the first to review this product! Submit a review

|

(1 Publication)

Rabbit Recombinant Monoclonal TAU antibody. Suitable for WB, IHC-P, IHC-Fr, ICC/IF, Flow Cyt (Intra), IP and reacts with Transfected cell lysate - Human, Human, Mouse, Rat samples. Cited in 1 publication.

View Alternative Names

TAU, MAPT, MSTD, PPND, pTau, DDPAC, MAPTL, MTBT1, MTBT2, Mtapt, Tau-C, FTDP17, RNPTAU, FTDP 17, PHF tau, PHF-tau, 2N3R Tau, 2N4R Tau, AI413597, AW045860, FLJ31424, PPP1R103, MGC134287, MGC138549, MGC156663, TAU_HUMAN, Paired helical filament tau, Paired helical filament-tau, Neurofibrillary tangle protein, Tauopathy and respiratory failure, Microtubule associated protein tau, Microtubule-associated protein tau, Tauopathy and respiratory failure, included, Microtubule associated protein tau isoform 4, Protein phosphatase 1, regulatory subunit 103, G protein beta1/gamma2 subunit interacting factor 1

22 Images
Immunohistochemistry (Formalin/PFA-fixed paraffin-embedded sections) - Anti-Tau (MBD region) antibody [EPR25205-233] (AB308439)
  • IHC-P

Supplier Data

Immunohistochemistry (Formalin/PFA-fixed paraffin-embedded sections) - Anti-Tau (MBD region) antibody [EPR25205-233] (AB308439)

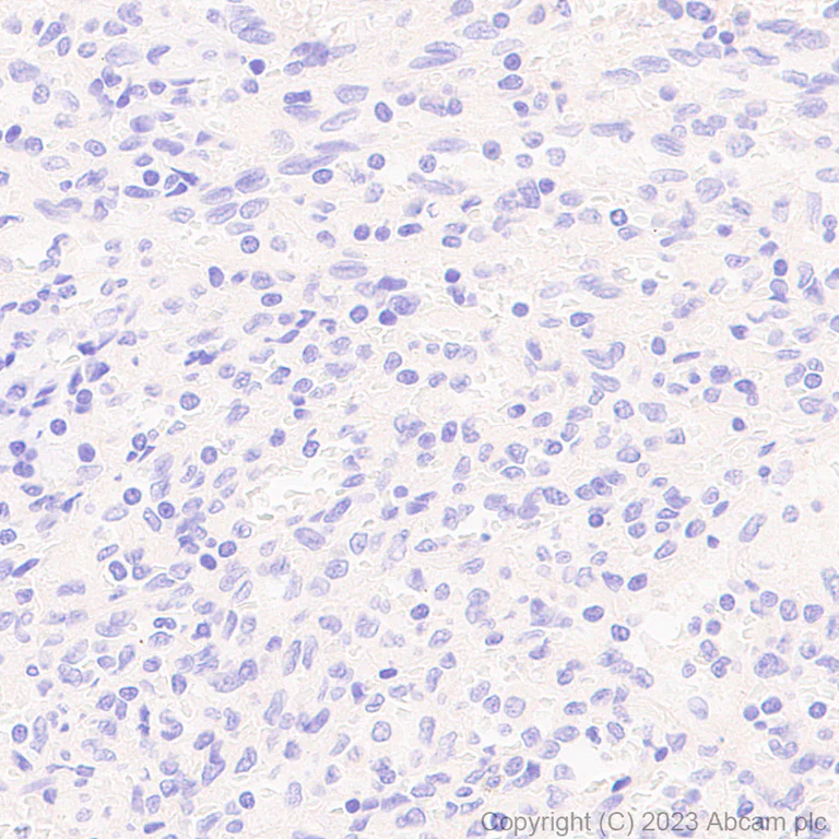
Immunohistochemical analysis of paraffin-embedded Human spleen tissue labelling Tau (MBD region) with ab308439 at 1/1000 (0.482 ug/ml) followed by a ready to use LeicaDS9800 (Bond™ Polymer Refine Detection) was used. Negative control : no staining in human spleen. The section was incubated with ab308439 for 30 mins at room temperature. The immunostaining was performed on a Leica Biosystems BOND® RX instrument Counterstained with Hematoxylin. Secondary antibody only control : Secondary antibody is a ready to use LeicaDS9800 (Bond™ Polymer Refine Detection) was used. Heat mediated antigen retrieval with Tris-EDTA buffer (pH 9.0, epitope retrieval solution2) for 20 mins

Immunohistochemistry (Formalin/PFA-fixed paraffin-embedded sections) - Anti-Tau (MBD region) antibody [EPR25205-233] (AB308439)
  • IHC-P

Lab

Immunohistochemistry (Formalin/PFA-fixed paraffin-embedded sections) - Anti-Tau (MBD region) antibody [EPR25205-233] (AB308439)

Composite multiplex immunofluorescence staining of SYP, MAP2 and Tau (MBD region) staining in a section of formalin-fixed paraffin-embedded human Alzheimer’s brain*.

Performed on a Leica BOND. The section was pre-treated using heat mediated antigen retrieval with EDTA (Ph9.0) using retrieval settings of 100°C for 40 minutes. The section was then incubated at room temperature for 1 hour with ab309493 at 1µg/ml dilution (shown in green), ab318993 at 1µg/ml (shown in magenta), and ab308439 at 1µg/ml (shown in yellow). Then incubated for 1 hour with ab150119 Goat Anti-Mouse IgG H&L (Alexa Fluor® 647) preadsorbed 1/1000, ab150086 Goat Anti-Rabbit IgG H&L (Alexa Fluor® 555) preadsorbed 1/1000, and ab150173 Goat Anti-Chicken IgY H&L (Alexa Fluor® 488) preadsorbed 1/1000. Nuclear DNA was labelled with DAPI (shown in blue). The section was then mounted using Dako Fluorescence Mounting Medium ®.

Image was taken with a confocal microscope (Leica-Microsystems, TCS SP8).

For other IHC staining systems (automated and non-automated), customers should optimize variable parameters such as antigen retrieval conditions, antibody concentrations and incubation times.

*Tissue obtained from the Human Research Tissue Bank, supported by the NIHR Cambridge Biomedical Research Centre.

Immunohistochemistry (Formalin/PFA-fixed paraffin-embedded sections) - Anti-Tau (MBD region) antibody [EPR25205-233] (AB308439)
  • IHC-P

Lab

Immunohistochemistry (Formalin/PFA-fixed paraffin-embedded sections) - Anti-Tau (MBD region) antibody [EPR25205-233] (AB308439)

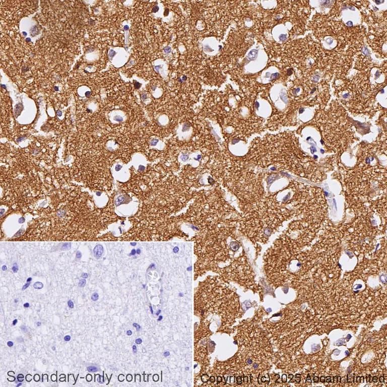
Immunohistochemical analysis of paraffin-embedded human Alzheimer's brain tissue* labelling Tau (MBD region) with ab308439 at 1/5000 (0.1 ug/ml) followed by a ready to use LeicaDS9800 (Bond Polymer Refine Detection).

Positive staining in human Alzheimer's brain.

The section was incubated with ab308439 for 30 mins at room temperature. The immunostaining was performed on a Leica Biosystems BOND® RX instrument. Counterstained with Hematoxylin.

Secondary antibody only control : Secondary antibody is a ready to use LeicaDS9800 (Bond Polymer Refine Detection).

Heat mediated antigen retrieval with sodium citrate buffer (pH 6.0 epitope retrieval solution1) for 20 mins.

*Tissue obtained from the Human Research Tissue Bank, supported by the NIHR Cambridge Biomedical Research Centre.

Immunohistochemistry (Formalin/PFA-fixed paraffin-embedded sections) - Anti-Tau (MBD region) antibody [EPR25205-233] (AB308439)
  • IHC-P

Supplier Data

Immunohistochemistry (Formalin/PFA-fixed paraffin-embedded sections) - Anti-Tau (MBD region) antibody [EPR25205-233] (AB308439)

Immunohistochemical analysis of paraffin-embedded Human cerebrum tissue labelling Tau (MBD region) with ab308439 at 1/1000 (0.482 ug/ml) followed by a ready to use LeicaDS9800 (Bond™ Polymer Refine Detection) was used. Positive staining in human cerebrum. The section was incubated with ab308439 for 30 mins at room temperature. The immunostaining was performed on a Leica Biosystems BOND® RX instrument Counterstained with Hematoxylin. Secondary antibody only control : Secondary antibody is a ready to use LeicaDS9800 (Bond™ Polymer Refine Detection) was used. Heat mediated antigen retrieval with Tris-EDTA buffer (pH 9.0, epitope retrieval solution2) for 20 mins

Immunohistochemistry (Formalin/PFA-fixed paraffin-embedded sections) - Anti-Tau (MBD region) antibody [EPR25205-233] (AB308439)
  • IHC-P

Supplier Data

Immunohistochemistry (Formalin/PFA-fixed paraffin-embedded sections) - Anti-Tau (MBD region) antibody [EPR25205-233] (AB308439)

Immunohistochemical analysis of paraffin-embedded Mouse spleen tissue labelling Tau (MBD region) with ab308439 at 1/5000 (0.096 ug/ml) followed by a ready to use LeicaDS9800 (Bond™ Polymer Refine Detection) was used. Negative control : no staining in mouse spleen. The section was incubated with ab308439 for 30 mins at room temperature. The immunostaining was performed on a Leica Biosystems BOND® RX instrument Counterstained with Hematoxylin. Secondary antibody only control : Secondary antibody is a ready to use LeicaDS9800 (Bond™ Polymer Refine Detection) was used. Heat mediated antigen retrieval with Tris-EDTA buffer (pH 9.0, epitope retrieval solution2) for 20 mins

Immunohistochemistry (Frozen sections) - Anti-Tau (MBD region) antibody [EPR25205-233] (AB308439)
  • IHC-Fr

Supplier Data

Immunohistochemistry (Frozen sections) - Anti-Tau (MBD region) antibody [EPR25205-233] (AB308439)

Immunohistochemical analysis of 4% PFA-fixed, 0.2% Triton X-100 permeabilized frozen Rat cerebellum (fresh) tissue labeling Tau (MBD region) with ab308439 at 1/50 (9.64 ug/ml) dilution followed by ab150081 Goat Anti-Rabbit IgG H&L (Alexa Fluor® 488) preadsorbed at 1/1000 2 ug/mL dilution (Green). Confocal image showing positive staining on rat cerebellum. The nuclear counterstain was DAPI (Blue). The section was incubated with ab308439 for 60 mins at room temperature. The section was then mounted using Fluoromount®.The immunostaining was performed on a Leica Biosystems BOND® RX instrument. Image was taken with a confocal microscope (Leica-Microsystems, TCS SP8). is observed. The nuclear counterstain was DAPI (Blue). Secondary antibody control : Secondary antibody is ab150081 Goat Anti-Rabbit IgG H&L (Alexa Fluor® 488) preadsorbed at 1/1000 2 ug/mL dilution.

Immunohistochemistry (Frozen sections) - Anti-Tau (MBD region) antibody [EPR25205-233] (AB308439)
  • IHC-Fr

Supplier Data

Immunohistochemistry (Frozen sections) - Anti-Tau (MBD region) antibody [EPR25205-233] (AB308439)

Immunohistochemical analysis of 4% PFA-fixed, 0.2% Triton X-100 permeabilized frozen Rat spleen (fresh) tissue labeling Tau (MBD region) with ab308439 at 1/50 (9.64 ug/ml) dilution followed by ab150081 Goat Anti-Rabbit IgG H&L (Alexa Fluor® 488) preadsorbed at 1/1000 2 ug/mL dilution (Green). Negative control : confocal image showing no staining on rat spleen (PMID : 24309898). The nuclear counterstain was DAPI (Blue). The section was incubated with ab308439 for 60 mins at room temperature. The section was then mounted using Fluoromount®.The immunostaining was performed on a Leica Biosystems BOND® RX instrument. Image was taken with a confocal microscope (Leica-Microsystems, TCS SP8). is observed. The nuclear counterstain was DAPI (Blue). Secondary antibody control : Secondary antibody is ab150081 Goat Anti-Rabbit IgG H&L (Alexa Fluor® 488) preadsorbedat 1/1000 2 ug/mL dilution.

Immunohistochemistry (Frozen sections) - Anti-Tau (MBD region) antibody [EPR25205-233] (AB308439)
  • IHC-Fr

Supplier Data

Immunohistochemistry (Frozen sections) - Anti-Tau (MBD region) antibody [EPR25205-233] (AB308439)

Immunohistochemical analysis of 4% PFA-fixed, 0.2% Triton X-100 permeabilized frozen Mouse cerebellum (fresh) tissue labeling Tau (MBD region) with ab308439 at 1/50 (9.64 ug/ml) dilution followed by ab150081 Goat Anti-Rabbit IgG H&L (Alexa Fluor® 488) preadsorbed at 1/1000 2 ug/mL dilution (Green). Confocal image showing positive staining on mouse cerebellum. The nuclear counterstain was DAPI (Blue). The section was incubated with ab308439 for 60 mins at room temperature. The section was then mounted using Fluoromount®.The immunostaining was performed on a Leica Biosystems BOND® RX instrument. Image was taken with a confocal microscope (Leica-Microsystems, TCS SP8). is observed. The nuclear counterstain was DAPI (Blue). Secondary antibody control : Secondary antibody is ab150081 Goat Anti-Rabbit IgG H&L (Alexa Fluor® 488) preadsorbed at 1/1000 2 ug/mL dilution.

Immunohistochemistry (Frozen sections) - Anti-Tau (MBD region) antibody [EPR25205-233] (AB308439)
  • IHC-Fr

Supplier Data

Immunohistochemistry (Frozen sections) - Anti-Tau (MBD region) antibody [EPR25205-233] (AB308439)

Immunohistochemical analysis of 4% PFA-fixed, 0.2% Triton X-100 permeabilized frozen Mouse spleen (fresh) tissue labeling Tau (MBD region) with ab308439 at 1/50 (9.64 ug/ml) dilution followed by ab150081 Goat Anti-Rabbit IgG H&L (Alexa Fluor® 488) preadsorbed at 1/1000 2 ug/mL dilution (Green). Negative control : confocal image showing no staining on mouse spleen (PMID : 24309898). The nuclear counterstain was DAPI (Blue). The section was incubated with ab308439 for 60 mins at room temperature. The section was then mounted using Fluoromount®.The immunostaining was performed on a Leica Biosystems BOND® RX instrument. Image was taken with a confocal microscope (Leica-Microsystems, TCS SP8). is observed. The nuclear counterstain was DAPI (Blue). Secondary antibody control : Secondary antibody is ab150081 Goat Anti-Rabbit IgG H&L (Alexa Fluor® 488) preadsorbed at 1/1000 2 ug/mL dilution.

Immunocytochemistry/ Immunofluorescence - Anti-Tau (MBD region) antibody [EPR25205-233] (AB308439)
  • ICC/IF

Supplier Data

Immunocytochemistry/ Immunofluorescence - Anti-Tau (MBD region) antibody [EPR25205-233] (AB308439)

Immunofluorescent analysis of 4% Paraformaldehyde-fixed, 0.1% TritonX-100 permeabilized rat primary neuron cells labelling Tau (MBD region) with ab308439 at 1/50 (9.64 ug/ml) dilution, followed by ab150081 Goat Anti-Rabbit IgG H&L (Alexa Fluor® 488) preadsorbed antibody at 1/1000 2ug/mL dilution (Green). Confocal image showing cytoplasmic staining in rat primary neuron.Confocal scanning Z step was set as 0.3 ?m followed by image processing with maximum Z projection ab11267 Anti-MAP2 mouse monoclonal antibody was used to counterstain tubulin at 1/500 4ug/ml dilution (Red). The Nuclear counterstain was DAPI (Blue). Secondary antibody only control : Secondary antibody is ab150081 Goat Anti-Rabbit IgG H&L (Alexa Fluor® 488) preadsorbed at 1/1000 2ug/mL dilution.

Immunocytochemistry/ Immunofluorescence - Anti-Tau (MBD region) antibody [EPR25205-233] (AB308439)
  • ICC/IF

Supplier Data

Immunocytochemistry/ Immunofluorescence - Anti-Tau (MBD region) antibody [EPR25205-233] (AB308439)

Immunofluorescent analysis of 4% Paraformaldehyde-fixed, 0.1% TritonX-100 permeabilized mouse primary neuron cells labelling Tau (MBD region) with ab308439 at 1/50 (9.64 ug/ml) dilution, followed by ab150081 Goat Anti-Rabbit IgG H&L (Alexa Fluor® 488) preadsorbed antibody at 1/1000 2ug/mL dilution (Green). Confocal image showing cytoplasmic staining in mouse primary neuron.Confocal scanning Z step was set as 0.3 µm followed by image processing with maximum Z projection ab11267 Anti-MAP2 mouse monoclonal antibody was used to counterstain tubulin at 1/500 4ug/ml dilution (Red). The Nuclear counterstain was DAPI (Blue). Secondary antibody only control : Secondary antibody is ab150081 Goat Anti-Rabbit IgG H&L (Alexa Fluor® 488) preadsorbed at 1/1000 2ug/mL dilution.

Immunohistochemistry (Formalin/PFA-fixed paraffin-embedded sections) - Anti-Tau (MBD region) antibody [EPR25205-233] (AB308439)
  • IHC-P

Supplier Data

Immunohistochemistry (Formalin/PFA-fixed paraffin-embedded sections) - Anti-Tau (MBD region) antibody [EPR25205-233] (AB308439)

Immunohistochemical analysis of paraffin-embedded Rat cerebrum tissue labelling Tau (MBD region) with ab308439 at 1/5000 (0.096 ug/ml) followed by a ready to use LeicaDS9800 (Bond™ Polymer Refine Detection) was used. Positive staining in rat cerebrum. The section was incubated with ab308439 for 30 mins at room temperature. The immunostaining was performed on a Leica Biosystems BOND® RX instrument Counterstained with Hematoxylin. Secondary antibody only control : Secondary antibody is a ready to use LeicaDS9800 (Bond™ Polymer Refine Detection) was used. Heat mediated antigen retrieval with Tris-EDTA buffer (pH 9.0, epitope retrieval solution2) for 20 mins

Immunohistochemistry (Formalin/PFA-fixed paraffin-embedded sections) - Anti-Tau (MBD region) antibody [EPR25205-233] (AB308439)
  • IHC-P

Supplier Data

Immunohistochemistry (Formalin/PFA-fixed paraffin-embedded sections) - Anti-Tau (MBD region) antibody [EPR25205-233] (AB308439)

Immunohistochemical analysis of paraffin-embedded Mouse cerebrum tissue labelling Tau (MBD region) with ab308439 at 1/5000 (0.096 ug/ml) followed by a ready to use LeicaDS9800 (Bond™ Polymer Refine Detection) was used. Positive staining in mouse cerebrum. The section was incubated with ab308439 for 30 mins at room temperature. The immunostaining was performed on a Leica Biosystems BOND® RX instrument Counterstained with Hematoxylin. Secondary antibody only control : Secondary antibody is a ready to use LeicaDS9800 (Bond™ Polymer Refine Detection) was used. Heat mediated antigen retrieval with Tris-EDTA buffer (pH 9.0, epitope retrieval solution2) for 20 mins

Immunocytochemistry/ Immunofluorescence - Anti-Tau (MBD region) antibody [EPR25205-233] (AB308439)
  • ICC/IF

Lab

Immunocytochemistry/ Immunofluorescence - Anti-Tau (MBD region) antibody [EPR25205-233] (AB308439)

Composite multiplex immunofluorescence staining of ab279297, ab317042 and ab308439 staining NeuN, NEFH and Tau (MBD region) in Mouse Primary Neurons DIV14 cells. The cells were fixed with 4% paraformaldehyde (10 min), permeabilized with 0.1% PBS-Triton X-100 for 5 minutes and then blocked with 1% BSA/10% normal goat serum/0.3M glycine in 0.1%PBS-Tween for 1h. The cells were then incubated overnight at 4°C with ab279297 (shown in green), ab317042 (shown in magenta) and ab308439 (shown in yellow) at 1µg/ml. Cells were then incubated with ab150161 Goat F(ab')2 Anti-Rat IgG Fc (Alexa Fluor® 488) preadsorbed, ab150175 Goat Anti-Chicken IgY H&L (Alexa Fluor® 647) preadsorbed and ab150084 Goat Anti-Rabbit IgG H&L (Alexa Fluor® 594) preadsorbed at 1/1000 dilution. Nuclear DNA was labelled with DAPI (shown in blue).

Image was acquired with a confocal microscope (Leica-Microsystems TCS SP8) and a single confocal section is shown.

Flow Cytometry (Intracellular) - Anti-Tau (MBD region) antibody [EPR25205-233] (AB308439)
  • Flow Cyt (Intra)

Supplier Data

Flow Cytometry (Intracellular) - Anti-Tau (MBD region) antibody [EPR25205-233] (AB308439)

Flow cytometric analysis of 4% paraformaldehyde fixed 90% methanol permeabilized rat primary neuron cells labelling Tau (MBD region) with ab308439 at 1/500 dilution (0.1 ug)/Right (Red) compared with a Rabbit monoclonal IgG (ab172730) (Black) isotype control and an unlabelled control (cells without incubation with primary antibody and secondary antibody) (Blue). A Goat Anti-Rabbit IgG (Alexa Fluor® 488, ab150081) at 1/5000 dilution was used as the secondary antibody.

Flow Cytometry (Intracellular) - Anti-Tau (MBD region) antibody [EPR25205-233] (AB308439)
  • Flow Cyt (Intra)

Supplier Data

Flow Cytometry (Intracellular) - Anti-Tau (MBD region) antibody [EPR25205-233] (AB308439)

Flow cytometric analysis of 4% paraformaldehyde fixed 90% methanol permeabilized mouse primary neuron cells labelling Tau (MBD region) with ab308439 at 1/500 dilution (0.1 ug)/Right (Red) compared with a Rabbit monoclonal IgG (ab172730) (Black) isotype control and an unlabelled control (cells without incubation with primary antibody and secondary antibody) (Blue). A Goat Anti-Rabbit IgG (Alexa Fluor® 488, ab150081) at 1/5000 dilution was used as the secondary antibody.

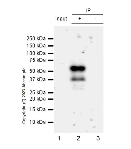
Immunoprecipitation - Anti-Tau (MBD region) antibody [EPR25205-233] (AB308439)
  • IP

Supplier Data

Immunoprecipitation - Anti-Tau (MBD region) antibody [EPR25205-233] (AB308439)

Tau (MBD region) was immunoprecipitated from 0.35 mg Mouse brain tissue lysate with ab308439 at 1/30 dilution (2ug in 0.35mg lysates). Western blot was performed on the immunoprecipitate using ab308439 at 1/1000 dilution. VeriBlot for IP secondary antibody (HRP) (ab131366) was used at 1/5000 dilution.

Lane 1 : Mouse brain tissue lysate
Lane 2 : ab308439 IP in Mouse brain tissue lysate
Lane 3 : Rabbit monoclonal IgG (ab172730) instead of ab308439 in mouse brain tissue lysate

Blocking and dilution buffer and concentration : 5% NFDM/TBST.

Exposure time : 180 seconds

All lanes:

Immunoprecipitation - Anti-Tau (MBD region) antibody [EPR25205-233] (ab308439) at 1/1000 dilution

All lanes:

Mouse brain tissue lysate at 10 µg

Secondary

All lanes:

Immunoprecipitation - VeriBlot for IP Detection Reagent (HRP) (<a href='/en-us/products/reagents/veriblot-for-ip-detection-reagent-hrp-ab131366'>ab131366</a>) at 1/5000 dilution

Observed band size: 33 kDa,50 kDa

false

Exposure time: 180s

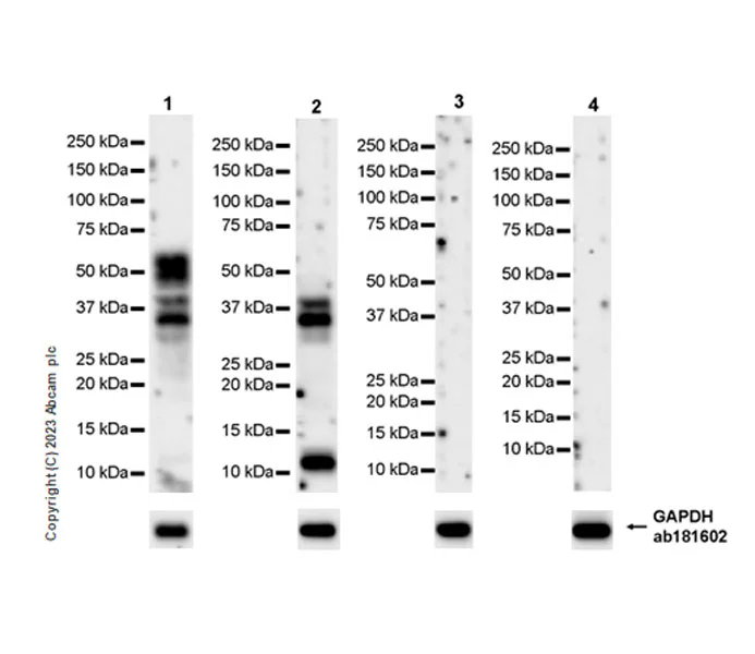
Western blot - Anti-Tau (MBD region) antibody [EPR25205-233] (AB308439)
  • WB

Supplier Data

Western blot - Anti-Tau (MBD region) antibody [EPR25205-233] (AB308439)

Blocking and diluting buffer and concentration : 5% NFDM/TBST. Negative control : spleen (PMID : 24309898; PMID : 24386422), kidney (PMID : 24386422). In Western blot, anti-GAPDH antibody (ab181602) loading control staining at 1/200,000 dilution. Exposure times : Lane 1 : 26 seconds; Lanes 2-4 : 81 seconds.

All lanes:

Western blot - Anti-Tau (MBD region) antibody [EPR25205-233] (ab308439) at 1/1000 dilution

Lane 1:

Human brain tissue lysate at 20 µg

Lane 2:

Human cerebellum tissue lysate at 20 µg

Lane 3:

Human kidney tissue lysate at 20 µg

Lane 4:

Human spleen tissue lysate at 20 µg

Secondary

All lanes:

Goat Anti-Rabbit IgG (HRP) with minimal cross-reactivity with human IgG at 1/2000 dilution

Predicted band size: 78 kDa

Observed band size: 33-50 kDa

false

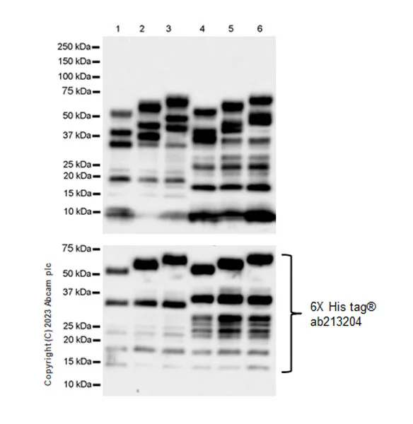
Western blot - Anti-Tau (MBD region) antibody [EPR25205-233] (AB308439)
  • WB

Supplier Data

Western blot - Anti-Tau (MBD region) antibody [EPR25205-233] (AB308439)

Blocking and diluting buffer and concentration : 5% NFDM/TBST. In Western blot, anti-His antibody (ab213204) staining at 1/5000 dilution. Exposure time : 8 seconds.

All lanes:

Western blot - Anti-Tau (MBD region) antibody [EPR25205-233] (ab308439) at 1/1000 dilution

Lane 1:

HEK-293 transfected with Tau 0N3R (WT) expression vector containing a myc-His-tag®, whole cell lysate at 20 µg

Lane 2:

HEK-293 transfected with Tau 1N3R (WT) expression vector containing a myc-His-tag®, whole cell lysate at 20 µg

Lane 3:

HEK-293 transfected with Tau 2N3R (WT) expression vector containing a myc-His-tag®, whole cell lysate at 20 µg

Lane 4:

HEK-293 transfected with Tau 0N4R (WT) expression vector containing a myc-His-tag®, whole cell lysate at 20 µg

Lane 5:

HEK-293 transfected with Tau 1N4R (WT) expression vector containing a myc-His-tag®, whole cell lysate at 20 µg

Lane 6:

HEK-293 transfected with Tau 2N4R (WT) expression vector containing a myc-His-tag®, whole cell lysate at 20 µg

Secondary

All lanes:

Western blot - Goat Anti-Rabbit IgG H&L (HRP) (<a href='/en-us/products/secondary-antibodies/goat-rabbit-igg-h-l-hrp-ab97051'>ab97051</a>) at 1/100000 dilution

Predicted band size: 78 kDa

Observed band size: 10-70 kDa

false

Exposure time: 8s

Affinity Purification - Anti-Tau (MBD region) antibody [EPR25205-233] (AB308439)
  • AP

Supplier Data

Affinity Purification - Anti-Tau (MBD region) antibody [EPR25205-233] (AB308439)

Biotinylated Human Tau 2N4R (Protein : P9954) [1μg/ml] is loaded to SA biosensor on Octet RED96e machine, then associate with Anti-Tau (MBD region) antibody [EPR25205-233] (ab308440) in serial concentration points [53.35, 26.68, 13.34, 6.67, 3.34 nM/ml] by 2-fold dilution, then dissociate in blank testing buffer [10mM HEPES (0.05% Tween-20, 3mM EDTA, 100mM NaCl)]. Calculated signals had already subtracted blank control, curve fitting using 1 : 1 binding model. KD (M) value of Anti-Tau (MBD region) antibody [EPR25205-233] (ab308440) is 4.78E-10.

Western blot - Anti-Tau (MBD region) antibody [EPR25205-233] (AB308439)
  • WB

Supplier Data

Western blot - Anti-Tau (MBD region) antibody [EPR25205-233] (AB308439)

Blocking and diluting buffer and concentration : 5% NFDM/TBST. Negative control : testis (PMID : 24386422). In Western blot, anti-GAPDH antibody (ab181602) loading control staining at 1/200, 000 dilution. Exposure time : 180 seconds.

All lanes:

Western blot - Anti-Tau (MBD region) antibody [EPR25205-233] (ab308439) at 1/1000 dilution

Lane 1:

Rat brain tissue lysate at 20 µg

Lane 2:

Rat testis tissue lysate at 20 µg

Secondary

All lanes:

Western blot - Goat Anti-Rabbit IgG H&L (HRP) (<a href='/en-us/products/secondary-antibodies/goat-rabbit-igg-h-l-hrp-ab97051'>ab97051</a>) at 1/20000 dilution

Predicted band size: 78 kDa

Observed band size: 50-70 kDa

false

Exposure time: 180s

Western blot - Anti-Tau (MBD region) antibody [EPR25205-233] (AB308439)
  • WB

Supplier Data

Western blot - Anti-Tau (MBD region) antibody [EPR25205-233] (AB308439)

Blocking and diluting buffer and concentration : 5% NFDM/TBST.

Negative control : spleen (PMID : 24309898; PMID : 24386422).

In Western blot, anti- Vinculin antibody (ab129002) loading control staining at 1/10, 000 dilution.

This blot was developed using a high sensitivity ECL substrate. The high-sensitivity ECL substrate used allows for the detection of proteins in the mid-femtogram range.

All lanes:

Western blot - Anti-Tau (MBD region) antibody [EPR25205-233] (ab308439) at 1/1000 dilution

Lane 1:

Mouse brain tissue lysate at 20 µg

Lane 2:

Mouse spleen tissue lysate at 20 µg

Secondary

All lanes:

Western blot - Goat Anti-Rabbit IgG H&L (HRP) (<a href='/en-us/products/secondary-antibodies/goat-rabbit-igg-h-l-hrp-ab97051'>ab97051</a>) at 1/20000 dilution

Predicted band size: 78 kDa

Observed band size: 50 kDa

true

Exposure time: 180s

  • Carrier free

    Anti-Tau (MBD region) antibody [EPR25205-233] - BSA and Azide free

Key facts

Host species

Rabbit

Clonality

Monoclonal

Clone number

EPR25205-233

Isotype

IgG

Carrier free

No

Reacts with

Human, Mouse, Rat

Applications

IP, WB, Flow Cyt (Intra), IHC-P, IHC-Fr, ICC/IF

applications

Immunogen

The exact immunogen used to generate this antibody is proprietary information.

Reactivity data

{ "title": "Reactivity Data", "filters": { "stats": ["", "Species", "Dilution Info", "Notes"], "tabs": { "all-applications": {"fullname" : "All Applications", "shortname": "All Applications"}, "WB" : {"fullname" : "Western blot", "shortname":"WB"}, "IHCP" : {"fullname" : "Immunohistochemistry (Formalin/PFA-fixed paraffin-embedded sections)", "shortname":"IHC-P"}, "IHCFr" : {"fullname" : "Immunohistochemistry (Frozen sections)", "shortname":"IHC-Fr"}, "ICCIF" : {"fullname" : "Immunocytochemistry/ Immunofluorescence", "shortname":"ICC/IF"}, "FlowCytIntra" : {"fullname" : "Flow Cytometry (Intracellular)", "shortname":"Flow Cyt (Intra)"}, "IP" : {"fullname" : "Immunoprecipitation", "shortname":"IP"} }, "product-promise": { "all": "all", "testedAndGuaranteed": "tested", "guaranteed": "expected", "predicted": "predicted", "notRecommended": "not-recommended" } }, "values": { "Human": { "WB-species-checked": "testedAndGuaranteed", "WB-species-dilution-info": "1/1000", "WB-species-notes": "<p></p>", "IHCP-species-checked": "testedAndGuaranteed", "IHCP-species-dilution-info": "1/1000", "IHCP-species-notes": "<p></p> Perform heat-mediated antigen retrieval with Tris/EDTA buffer pH 9.0 before commencing with IHC staining protocol.", "IHCFr-species-checked": "guaranteed", "IHCFr-species-dilution-info": "", "IHCFr-species-notes": "", "ICCIF-species-checked": "guaranteed", "ICCIF-species-dilution-info": "", "ICCIF-species-notes": "", "FlowCytIntra-species-checked": "guaranteed", "FlowCytIntra-species-dilution-info": "", "FlowCytIntra-species-notes": "", "IP-species-checked": "guaranteed", "IP-species-dilution-info": "", "IP-species-notes": "" }, "Mouse": { "WB-species-checked": "testedAndGuaranteed", "WB-species-dilution-info": "1/1000", "WB-species-notes": "<p></p>", "IHCP-species-checked": "testedAndGuaranteed", "IHCP-species-dilution-info": "1/1000", "IHCP-species-notes": "<p></p> Perform heat-mediated antigen retrieval with Tris/EDTA buffer pH 9.0 before commencing with IHC staining protocol.", "IHCFr-species-checked": "testedAndGuaranteed", "IHCFr-species-dilution-info": "1/50", "IHCFr-species-notes": "<p></p>", "ICCIF-species-checked": "testedAndGuaranteed", "ICCIF-species-dilution-info": "1/50", "ICCIF-species-notes": "<p></p>", "FlowCytIntra-species-checked": "testedAndGuaranteed", "FlowCytIntra-species-dilution-info": "1/500", "FlowCytIntra-species-notes": "<p></p>", "IP-species-checked": "testedAndGuaranteed", "IP-species-dilution-info": "1/30", "IP-species-notes": "<p></p>" }, "Rat": { "WB-species-checked": "testedAndGuaranteed", "WB-species-dilution-info": "1/1000", "WB-species-notes": "<p></p>", "IHCP-species-checked": "testedAndGuaranteed", "IHCP-species-dilution-info": "1/1000", "IHCP-species-notes": "<p></p> Perform heat-mediated antigen retrieval with Tris/EDTA buffer pH 9.0 before commencing with IHC staining protocol.", "IHCFr-species-checked": "testedAndGuaranteed", "IHCFr-species-dilution-info": "1/50", "IHCFr-species-notes": "<p></p>", "ICCIF-species-checked": "testedAndGuaranteed", "ICCIF-species-dilution-info": "1/50", "ICCIF-species-notes": "<p></p>", "FlowCytIntra-species-checked": "testedAndGuaranteed", "FlowCytIntra-species-dilution-info": "1/500", "FlowCytIntra-species-notes": "<p></p>", "IP-species-checked": "guaranteed", "IP-species-dilution-info": "", "IP-species-notes": "" }, "Transfected cell lysate - Human": { "WB-species-checked": "testedAndGuaranteed", "WB-species-dilution-info": "1/1000", "WB-species-notes": "<p></p>", "IHCP-species-checked": "notRecommended", "IHCP-species-dilution-info": "", "IHCP-species-notes": "", "IHCFr-species-checked": "notRecommended", "IHCFr-species-dilution-info": "", "IHCFr-species-notes": "", "ICCIF-species-checked": "notRecommended", "ICCIF-species-dilution-info": "", "ICCIF-species-notes": "", "FlowCytIntra-species-checked": "notRecommended", "FlowCytIntra-species-dilution-info": "", "FlowCytIntra-species-notes": "", "IP-species-checked": "notRecommended", "IP-species-dilution-info": "", "IP-species-notes": "" } } }

Product details

Patented technology
Our RabMAb® technology is a patented hybridoma-based technology for making rabbit monoclonal antibodies. For details on our patents, please refer to RabMAb® patents.

What are the advantages of a recombinant monoclonal antibody?
This product is a recombinant monoclonal antibody, which offers several advantages including:

  • - High batch-to-batch consistency and reproducibility
  • - Improved sensitivity and specificity
  • - Long-term security of supply
  • - Animal-free batch production

For more information, read more on recombinant antibodies.

Properties and storage information

Form
Liquid
Purification technique
Affinity purification Protein A
Storage buffer
pH: 7.2 - 7.4 Preservative: 0.01% Sodium azide Constituents: PBS, 40% Glycerol (glycerin, glycerine), 0.05% BSA
Shipped at conditions
Blue Ice
Appropriate short-term storage duration
1-2 weeks
Appropriate short-term storage conditions
+4°C
Appropriate long-term storage conditions
-20°C
Aliquoting information
Upon delivery aliquot
Storage information
Avoid freeze / thaw cycle

Supplementary information

This supplementary information is collated from multiple sources and compiled automatically.

Tau also known as microtubule-associated protein Tau (MAPT) plays an important role in stabilizing microtubules in neuronal cells. Tau is primarily found in the central nervous system but also exists in peripheral neurons. Human Tau protein comes in six isoforms due to alternative splicing with molecular weights ranging from 48 kDa to 67 kDa. This protein predominantly locates in the axons of neurons where it maintains the stability of microtubule tracks necessary for axonal transport.
Biological function summary

Tau is involved in the assembly and stabilization of microtubules essential for maintaining neuronal structure. It interacts with microtubule-binding domains (MBD) to bind and bundle microtubules facilitating intracellular transport. Tau forms a part of the neuronal cytoskeleton complex working closely with other cytoskeletal proteins to preserve the proper axonal transport and function. Abnormally phosphorylated Tau often termed phospho-Tau disrupts this complex affecting microtubule stability.

Pathways

Tau has critical involvement in several signaling cascades such as the microtubule-binding and transport pathways. Glycogen synthase kinase 3 beta (GSK3β) and cyclin-dependent kinase 5 (CDK5) frequently phosphorylate Tau controlling its interaction with microtubules. Phosphorylated Tau accumulates leading to the formation of neurofibrillary tangles often observed in neurodegenerative conditions. Additionally Tau interacts with GAPDH impacting cellular energy regulation through potential pathway cross-talk involving oxidative stress responses.

Tau is closely associated with Alzheimer's disease and frontotemporal dementia. In Alzheimer's disease hyperphosphorylated Tau aggregates into paired helical filaments forming neurofibrillary tangles while similar aggregates are observed in frontotemporal dementia. In these conditions Tau links to amyloid precursor protein (APP) where misregulated phosphorylation-driven interactions contribute to neurodegeneration. Identifying phospho-Tau and its altered interactions with related proteins aids in understanding and potentially treating these disorders.

Product protocols

For this product, it's our understanding that no specific protocols are required. You can visit:

Target data

Promotes microtubule assembly and stability, and might be involved in the establishment and maintenance of neuronal polarity (PubMed : 21985311). The C-terminus binds axonal microtubules while the N-terminus binds neural plasma membrane components, suggesting that tau functions as a linker protein between both (PubMed : 21985311, PubMed : 32961270). Axonal polarity is predetermined by TAU/MAPT localization (in the neuronal cell) in the domain of the cell body defined by the centrosome. The short isoforms allow plasticity of the cytoskeleton whereas the longer isoforms may preferentially play a role in its stabilization.
See full target information TAU_HUMAN

Publications (1)

Recent publications for all applications. Explore the full list and refine your search

Diabetology & metabolic syndrome 17:378 PubMed41044791

2025

Electroacupuncture ameliorates cognitive dysfunction in T2DM rats by modulating astrocytic polarization and aberrant energy metabolism in the hippocampus via the Wnt/β-catenin pathway.

Applications

Unspecified application

Species

Unspecified reactive species

Xiaolu Li,Rui Li,Jiayi Lin,Xiaoli Wu
View all publications

Product promise

We are committed to supporting your work with high-quality reagents, and we're here for you every step of the way. In the unlikely event that one of our products does not perform as expected, you're protected by our Product Promise.
For full details, please see our Terms & Conditions

Please note: All products are 'FOR RESEARCH USE ONLY. NOT FOR USE IN DIAGNOSTIC OR THERAPEUTIC PROCEDURES'.

For licensing inquiries, please contact partnerships@abcam.com