JavaScript is disabled in your browser. Please enable JavaScript to view this website.
AB323528

Anti-Tau (MTBR-tau243) antibody [EPR29541-59] - BSA and Azide free

Be the first to review this product! Submit a review

|

(0 Publication)

Rabbit Recombinant Monoclonal TAU antibody. Carrier free. Suitable for WB, I-ELISA, IHC-P and reacts with Transfected cell lysate - Human, Human, Mouse, Recombinant fragment - Human, Synthetic peptide - Human, Recombinant fragment - Mouse samples.

View Alternative Names

MAPTL, MTBT1, TAU, MAPT, Microtubule-associated protein tau, Neurofibrillary tangle protein, Paired helical filament-tau, PHF-tau

11 Images
Immunohistochemistry (Formalin/PFA-fixed paraffin-embedded sections) - Anti-Tau (MTBR-tau243) antibody [EPR29541-59] - BSA and Azide free (AB323528)
  • IHC-P

Supplier Data

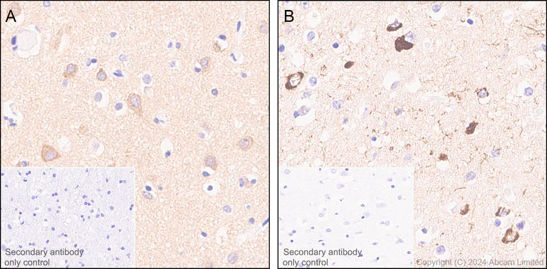
Immunohistochemistry (Formalin/PFA-fixed paraffin-embedded sections) - Anti-Tau (MTBR-tau243) antibody [EPR29541-59] - BSA and Azide free (AB323528)

This data was developed using ab322554, the same antibody clone in a different buffer formulation.

Immunohistochemical analysis of paraffin-embedded (A) Human cerebrum. (B) Human Alzheimer's disease brain. tissue labeling Tau (MTBR domain) with ab322554 at 1/5000 (0.097 ug/ml) dilution followed by a ready to use LeicaDS9800 (Bond™ Polymer Refine Detection).

Positive staining in (A) human cerebrum and (B) human Alzheimer's disease brain.
The section was incubated with ab322554 for 30 mins at room temperature.
The immunostaining was performed on a Leica Biosystems BOND® RX instrument

Counterstained with Hematoxylin.

Secondary antibody only control : Secondary antibody is a ready to use LeicaDS9800 (Bond™ Polymer Refine Detection).

Heat mediated antigen retrieval was performed with Citrate buffer (pH 6.0 Epitope Retrieval Solution 1) for 20 mins

Immunohistochemistry (Formalin/PFA-fixed paraffin-embedded sections) - Anti-Tau (MTBR-tau243) antibody [EPR29541-59] - BSA and Azide free (AB323528)
  • IHC-P

Supplier Data

Immunohistochemistry (Formalin/PFA-fixed paraffin-embedded sections) - Anti-Tau (MTBR-tau243) antibody [EPR29541-59] - BSA and Azide free (AB323528)

This data was developed using ab322554, the same antibody clone in a different buffer formulation.

Immunohistochemical analysis of paraffin-embedded (A) Mouse cerebrum. (B) Mouse Alzheimer's disease brain. tissue labeling Tau (MTBR domain) with ab322554 at 1/5000 (0.097 ug/ml) dilution followed by a ready to use LeicaDS9800 (Bond™ Polymer Refine Detection).

Positive staining in (A) mouse cerebrum and (B) mouse Alzheimer's disease brain.
The section was incubated with ab322554 for 30 mins at room temperature.
The immunostaining was performed on a Leica Biosystems BOND® RX instrument

Counterstained with Hematoxylin.

Secondary antibody only control : Secondary antibody is a ready to use LeicaDS9800 (Bond™ Polymer Refine Detection).

Heat mediated antigen retrieval was performed with Citrate buffer (pH 6.0 Epitope Retrieval Solution 1) for 20 mins

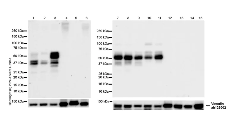
Western blot - Anti-Tau (MTBR-tau243) antibody [EPR29541-59] - BSA and Azide free (AB323528)
  • WB

Supplier Data

Western blot - Anti-Tau (MTBR-tau243) antibody [EPR29541-59] - BSA and Azide free (AB323528)

This data was developed using ab322554, the same antibody clone in a different buffer formulation.

Blocking and diluting buffer and concentration : 5% NFDM/TBST.

Negative control : liver spleen testis kidney (PMID : 24386422).

The expression profile/ molecular weight observed is consistent with what has been described in the literature (PMID : 24116116 PMID : 37443334 PMID : 24386422).

In Western blot Anti-Vinculin antibody [EPR8185] (ab129002) staining at 1/10000 dilution.

All lanes:

Western blot - Anti-Tau (MTBR-tau243) antibody [EPR29541-59] (<a href='/en-us/products/primary-antibodies/tau-mtbr-tau243-antibody-epr29541-59-ab322554'>ab322554</a>) at 1/1000 dilution

Lane 1:

Human Alzheimers brain tissue lysate at 50 µg

Lane 2:

Human cerebellum tissue lysate at 50 µg

Lane 3:

human hippocampus tissue lysate at 50 µg

Lane 4:

Human spleen tissue lysate at 50 µg

Lane 5:

Human testis tissue lysate at 50 µg

Lane 6:

Human liver tissue lysate at 50 µg

Lane 7:

Mouse Alzheimers brain tissue lysate at 50 µg

Lane 8:

Mouse cerebral cortex tissue lysate at 50 µg

Lane 9:

Mouse hippocampus tissue lysate at 50 µg

Lane 10:

Mouse cerebellum tissue lysate at 50 µg

Lane 11:

Mouse brain tissue lysate at 50 µg

Lane 12:

Mouse spleen tissue lysate at 50 µg

Lane 13:

Mouse testis tissue lysate at 50 µg

Lane 14:

Mouse liver tissue lysate at 50 µg

Lane 15:

Mouse kidney tissue lysate at 50 µg

Secondary

All lanes:

Western blot - Goat Anti-Rabbit IgG H&L (HRP) (<a href='/en-us/products/secondary-antibodies/goat-rabbit-igg-h-l-hrp-ab97051'>ab97051</a>) at 1/100000 dilution

Observed band size: 33-60 kDa,124 kDa

false

Exposure time: 26s

Western blot - Anti-Tau (MTBR-tau243) antibody [EPR29541-59] - BSA and Azide free (AB323528)
  • WB

Supplier Data

Western blot - Anti-Tau (MTBR-tau243) antibody [EPR29541-59] - BSA and Azide free (AB323528)

This data was developed using ab322554, the same antibody clone in a different buffer formulation.

Blocking and diluting buffer and concentration : 5% NFDM/TBST.

Negative control : EL4.

The expression profile/ molecular weight observed is consistent with what has been described in the literature (PMID : 24116116 PMID : 37443334 PMID : 24386422).

In Western blot Anti-Vinculin antibody [EPR8185] (ab129002) staining at 1/10000 dilution.

All lanes:

Western blot - Anti-Tau (MTBR-tau243) antibody [EPR29541-59] (<a href='/en-us/products/primary-antibodies/tau-mtbr-tau243-antibody-epr29541-59-ab322554'>ab322554</a>) at 1/1000 dilution

Lane 1:

Mouse primary neuron whole cell lysate at 50 µg

Lane 2:

EL4 (mouse lymphoma T lymphocyte) whole cell lysate at 50 µg

Secondary

All lanes:

Western blot - Goat Anti-Rabbit IgG H&L (HRP) (<a href='/en-us/products/secondary-antibodies/goat-rabbit-igg-h-l-hrp-ab97051'>ab97051</a>) at 1/100000 dilution

Observed band size: 33-60 kDa,124 kDa

false

Exposure time: 15s

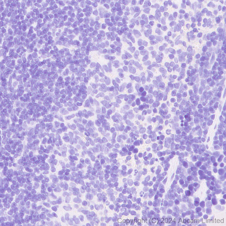
Immunohistochemistry (Formalin/PFA-fixed paraffin-embedded sections) - Anti-Tau (MTBR-tau243) antibody [EPR29541-59] - BSA and Azide free (AB323528)
  • IHC-P

Supplier Data

Immunohistochemistry (Formalin/PFA-fixed paraffin-embedded sections) - Anti-Tau (MTBR-tau243) antibody [EPR29541-59] - BSA and Azide free (AB323528)

This data was developed using ab322554, the same antibody clone in a different buffer formulation.

Immunohistochemical analysis of paraffin-embedded Human spleen tissue labeling Tau (MTBR domain) with ab322554 at 1/5000 (0.097 ug/ml) dilution followed by a ready to use LeicaDS9800 (Bond™ Polymer Refine Detection).

Negative control : No staining in human spleen.
The section was incubated with ab322554 for 30 mins at room temperature.
The immunostaining was performed on a Leica Biosystems BOND® RX instrument

Counterstained with Hematoxylin.

Secondary antibody only control : Secondary antibody is a ready to use LeicaDS9800 (Bond™ Polymer Refine Detection).

Heat mediated antigen retrieval was performed with Citrate buffer (pH 6.0 Epitope Retrieval Solution 1) for 20 mins

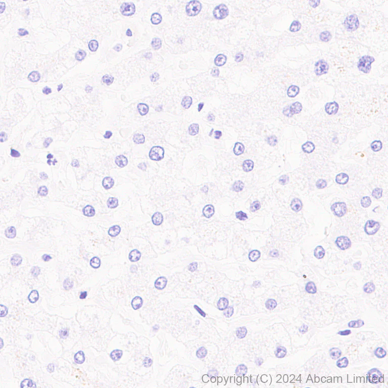
Immunohistochemistry (Formalin/PFA-fixed paraffin-embedded sections) - Anti-Tau (MTBR-tau243) antibody [EPR29541-59] - BSA and Azide free (AB323528)
  • IHC-P

Supplier Data

Immunohistochemistry (Formalin/PFA-fixed paraffin-embedded sections) - Anti-Tau (MTBR-tau243) antibody [EPR29541-59] - BSA and Azide free (AB323528)

This data was developed using ab322554, the same antibody clone in a different buffer formulation.

Immunohistochemical analysis of paraffin-embedded Mouse liver tissue labeling Tau (MTBR domain) with ab322554 at 1/5000 (0.097 ug/ml) dilution followed by a ready to use LeicaDS9800 (Bond™ Polymer Refine Detection).

Negative control : No staining in mouse liver.
The section was incubated with ab322554 for 30 mins at room temperature.
The immunostaining was performed on a Leica Biosystems BOND® RX instrument

Counterstained with Hematoxylin.

Secondary antibody only control : Secondary antibody is a ready to use LeicaDS9800 (Bond™ Polymer Refine Detection).

Heat mediated antigen retrieval was performed with Citrate buffer (pH 6.0 Epitope Retrieval Solution 1) for 20 mins

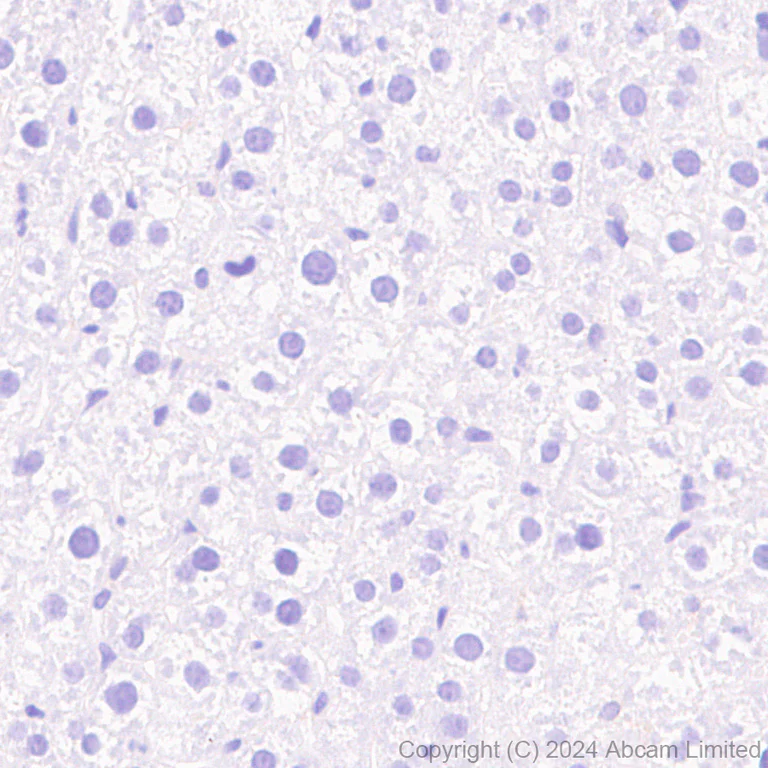
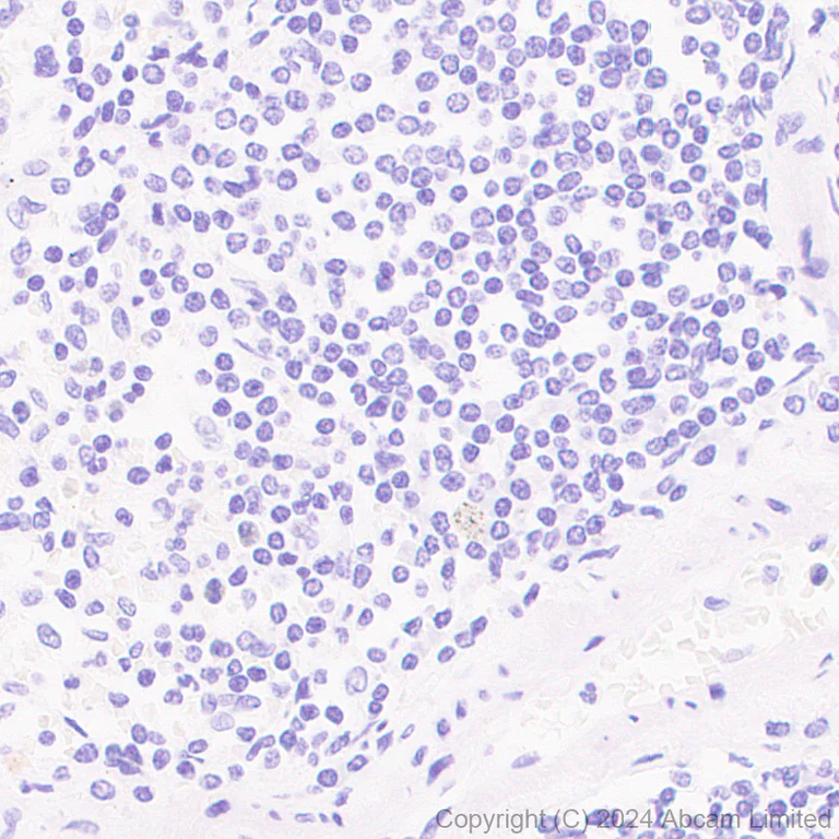
Immunohistochemistry (Formalin/PFA-fixed paraffin-embedded sections) - Anti-Tau (MTBR-tau243) antibody [EPR29541-59] - BSA and Azide free (AB323528)
  • IHC-P

Supplier Data

Immunohistochemistry (Formalin/PFA-fixed paraffin-embedded sections) - Anti-Tau (MTBR-tau243) antibody [EPR29541-59] - BSA and Azide free (AB323528)

This data was developed using ab322554, the same antibody clone in a different buffer formulation.

Immunohistochemical analysis of paraffin-embedded Human liver tissue labeling Tau (MTBR domain) with ab322554 at 1/5000 (0.097 ug/ml) dilution followed by a ready to use LeicaDS9800 (Bond™ Polymer Refine Detection).

Negative control : No staining in human liver.
The section was incubated with ab322554 for 30 mins at room temperature.
The immunostaining was performed on a Leica Biosystems BOND® RX instrument

Counterstained with Hematoxylin.

Secondary antibody only control : Secondary antibody is a ready to use LeicaDS9800 (Bond™ Polymer Refine Detection).

Heat mediated antigen retrieval was performed with Citrate buffer (pH 6.0 Epitope Retrieval Solution 1) for 20 mins

Immunohistochemistry (Formalin/PFA-fixed paraffin-embedded sections) - Anti-Tau (MTBR-tau243) antibody [EPR29541-59] - BSA and Azide free (AB323528)
  • IHC-P

Supplier Data

Immunohistochemistry (Formalin/PFA-fixed paraffin-embedded sections) - Anti-Tau (MTBR-tau243) antibody [EPR29541-59] - BSA and Azide free (AB323528)

This data was developed using ab322554, the same antibody clone in a different buffer formulation.

Immunohistochemical analysis of paraffin-embedded Mouse spleen tissue labeling Tau (MTBR domain) with ab322554 at 1/5000 (0.097 ug/ml) dilution followed by a ready to use LeicaDS9800 (Bond™ Polymer Refine Detection).

Negative control : No staining in mouse spleen.
The section was incubated with ab322554 for 30 mins at room temperature.
The immunostaining was performed on a Leica Biosystems BOND® RX instrument

Counterstained with Hematoxylin.

Secondary antibody only control : Secondary antibody is a ready to use LeicaDS9800 (Bond™ Polymer Refine Detection).

Heat mediated antigen retrieval was performed with Citrate buffer (pH 6.0 Epitope Retrieval Solution 1) for 20 mins

Indirect ELISA - Anti-Tau (MTBR-tau243) antibody [EPR29541-59] - BSA and Azide free (AB323528)
  • I-ELISA

Supplier Data

Indirect ELISA - Anti-Tau (MTBR-tau243) antibody [EPR29541-59] - BSA and Azide free (AB323528)

This data was developed using ab322554, the same antibody clone in a different buffer formulation.

Indirect ELISA analysis of ab322554 at 1000-0 ng/ml. The Secondary antibody used was Alkaline Phosphatase-conjugated AffiniPure Goat Anti-Rabbit IgG (H+L) at 1 : 2500 dilution dilution.

Antigen : Mouse PNS-Tau recombinant protein, Mouse Tau-A (corresponding to Human 2N4R) recombinant protein.

Antigen concentration : 1000 ng/ml

Indirect ELISA - Anti-Tau (MTBR-tau243) antibody [EPR29541-59] - BSA and Azide free (AB323528)
  • I-ELISA

Supplier Data

Indirect ELISA - Anti-Tau (MTBR-tau243) antibody [EPR29541-59] - BSA and Azide free (AB323528)

This data was developed using ab322554, the same antibody clone in a different buffer formulation.

Indirect ELISA analysis of ab322554 at 1000-0 ng/ml. The Secondary antibody used was Alkaline Phosphatase-conjugated AffiniPure Goat Anti-Rabbit IgG (H+L) at 1 : 2500 dilution dilution.

Antigen : Human Tau 2N4R peptide (surrounding Leu243), Human Tau 2N4R recombinant protein, Human MAP2 fragment.

Antigen concentration : 1000 ng/ml

Western blot - Anti-Tau (MTBR-tau243) antibody [EPR29541-59] - BSA and Azide free (AB323528)
  • WB

Supplier Data

Western blot - Anti-Tau (MTBR-tau243) antibody [EPR29541-59] - BSA and Azide free (AB323528)

This data was developed using ab322554, the same antibody clone in a different buffer formulation.

Blocking and diluting buffer and concentration : 5% NFDM/TBST.

This antibody does not cross-react with human MAP2 and MAP4.

The antibody binds in the region surrounding Leu243 of 2N4R Tau

In Western blot Anti-GAPDH antibody [EPR16891] - Loading Control (ab181602) staining at 1/200000 dilution.

In Western blot Anti-6X His tag® antibody [EPR20547] - ChIP Grade (ab213204) staining at 1/5000 dilution.

In Western blot Anti-DDDDK tag (Binds to FLAG® tag sequence) antibody(ab205606) staining at 37-250KDa dilution.

All lanes:

Western blot - Anti-Tau (MTBR-tau243) antibody [EPR29541-59] (<a href='/en-us/products/primary-antibodies/tau-mtbr-tau243-antibody-epr29541-59-ab322554'>ab322554</a>) at 1/1000 dilution

Lane 1:

293T cells transfected with an empty vector containing a myc-His-tag®, whole cell lysate at 20 µg

Lane 2:

293T cells transfected with a human wild-type Tau 2N4R expression vector containing a myc-His-tag®, whole cell lysate at 20 µg

Lane 3:

293T cells transfected with a human wild-type PNS-Tau expression vector containing a DDDDK-tag, whole cell lysate at 20 µg

Lane 4:

293T cells transfected with a human wild-type MAP2 expression vector containing a DDDDK-tag, whole cell lysate at 20 µg

Lane 5:

293T cells transfected with a human wild-type MAP4 expression vector containing a DDDDK-tag, whole cell lysate at 20 µg

Secondary

All lanes:

Western blot - Goat Anti-Rabbit IgG H&L (HRP) (<a href='/en-us/products/secondary-antibodies/goat-rabbit-igg-h-l-hrp-ab97051'>ab97051</a>) at 1/100000 dilution

Observed band size: 33-100 kDa,36 kDa,15-150 kDa,37-250 kDa

false

Exposure time: 6s

  • Unconjugated

    Anti-Tau (MTBR-tau243) antibody [EPR29541-59]

Key facts

Host species

Rabbit

Clonality

Monoclonal

Clone number

EPR29541-59

Isotype

IgG

Carrier free

Yes

Reacts with

Human, Mouse

Applications

IHC-P, I-ELISA, WB

applications

Immunogen

The exact immunogen used to generate this antibody is proprietary information.

Specificity

The antibody binds in the region surrounding Leu243 of 2N4R Tau.

Reactivity data

{ "title": "Reactivity Data", "filters": { "stats": ["", "Species", "Dilution Info", "Notes"], "tabs": { "all-applications": {"fullname" : "All Applications", "shortname": "All Applications"}, "WB" : {"fullname" : "Western blot", "shortname":"WB"}, "IELISA" : {"fullname" : "Indirect ELISA", "shortname":"I-ELISA"}, "IHCP" : {"fullname" : "Immunohistochemistry (Formalin/PFA-fixed paraffin-embedded sections)", "shortname":"IHC-P"} }, "product-promise": { "all": "all", "testedAndGuaranteed": "tested", "guaranteed": "expected", "predicted": "predicted", "notRecommended": "not-recommended" } }, "values": { "Human": { "WB-species-checked": "testedAndGuaranteed", "WB-species-dilution-info": "", "WB-species-notes": "<p></p>", "IELISA-species-checked": "guaranteed", "IELISA-species-dilution-info": "", "IELISA-species-notes": "", "IHCP-species-checked": "testedAndGuaranteed", "IHCP-species-dilution-info": "", "IHCP-species-notes": "<p></p> Perform heat-mediated antigen retrieval with citrate buffer pH 6 before commencing with IHC staining protocol." }, "Mouse": { "WB-species-checked": "testedAndGuaranteed", "WB-species-dilution-info": "", "WB-species-notes": "<p></p>", "IELISA-species-checked": "guaranteed", "IELISA-species-dilution-info": "", "IELISA-species-notes": "", "IHCP-species-checked": "testedAndGuaranteed", "IHCP-species-dilution-info": "", "IHCP-species-notes": "<p></p> Perform heat-mediated antigen retrieval with citrate buffer pH 6 before commencing with IHC staining protocol." }, "Recombinant fragment - Human": { "WB-species-checked": "notRecommended", "WB-species-dilution-info": "", "WB-species-notes": "", "IELISA-species-checked": "testedAndGuaranteed", "IELISA-species-dilution-info": "", "IELISA-species-notes": "<p></p>", "IHCP-species-checked": "notRecommended", "IHCP-species-dilution-info": "", "IHCP-species-notes": "" }, "Recombinant fragment - Mouse": { "WB-species-checked": "notRecommended", "WB-species-dilution-info": "", "WB-species-notes": "", "IELISA-species-checked": "testedAndGuaranteed", "IELISA-species-dilution-info": "", "IELISA-species-notes": "<p></p>", "IHCP-species-checked": "notRecommended", "IHCP-species-dilution-info": "", "IHCP-species-notes": "" }, "Synthetic peptide - Human": { "WB-species-checked": "notRecommended", "WB-species-dilution-info": "", "WB-species-notes": "", "IELISA-species-checked": "testedAndGuaranteed", "IELISA-species-dilution-info": "", "IELISA-species-notes": "<p></p>", "IHCP-species-checked": "notRecommended", "IHCP-species-dilution-info": "", "IHCP-species-notes": "" }, "Transfected cell lysate - Human": { "WB-species-checked": "testedAndGuaranteed", "WB-species-dilution-info": "", "WB-species-notes": "<p></p>", "IELISA-species-checked": "notRecommended", "IELISA-species-dilution-info": "", "IELISA-species-notes": "", "IHCP-species-checked": "notRecommended", "IHCP-species-dilution-info": "", "IHCP-species-notes": "" } } }

You may be interested in:

AB273617

Human Tau ELISA Kit

0

0 Reviews

View product

We recommend this product because it’s often used in the same experiment or related research.

We advise that you always check the datasheet to ensure it fits your experiments, or contact ourtechnical teamfor help.

Product details

Properties and storage information

Form
Liquid
Purification technique
Affinity purification Protein A
Storage buffer
pH: 7.2 - 7.4 Constituents: 100% PBS
Shipped at conditions
Blue Ice
Appropriate short-term storage conditions
+4°C
Appropriate long-term storage conditions
+4°C

Product protocols

For this product, it's our understanding that no specific protocols are required. You can visit:

Target data

The protein expressed by the MAPT gene promotes microtubule assembly and stability and might be involved in establishing and maintaining neuronal polarity. Its C-terminus binds axonal microtubules, and the N-terminus binds neural plasma membrane components, suggesting that tau functions as a linker protein between the two. Axonal polarity is predetermined by MAPT localization within the neuronal cell's domain defined by the centrosome. The short isoforms allow cytoskeleton plasticity, whereas the longer isoforms may preferentially play a role in its stabilization. This supplementary information is collated from multiple sources and compiled automatically.
See full target information MAPT

Product promise

We are committed to supporting your work with high-quality reagents, and we're here for you every step of the way. In the unlikely event that one of our products does not perform as expected, you're protected by our Product Promise.
For full details, please see our Terms & Conditions

Please note: All products are 'FOR RESEARCH USE ONLY. NOT FOR USE IN DIAGNOSTIC OR THERAPEUTIC PROCEDURES'.

For licensing inquiries, please contact partnerships@abcam.com