JavaScript is disabled in your browser. Please enable JavaScript to view this website.
AB320076

Anti-Tau (O-GlcNAc S400) antibody [EPR24891-48]

Be the first to review this product! Submit a review

|

(0 Publication)

Rabbit Recombinant Monoclonal TAU glcnac S400 antibody. Suitable for WB, ICC/IF and reacts with Transfected cell lysate - Human, Transfected cell line - Human samples.

View Alternative Names

MAPTL, MTBT1, TAU, Microtubule-associated protein tau, Neurofibrillary tangle protein, Paired helical filament-tau, PHF-tau

3 Images
Immunocytochemistry/ Immunofluorescence - Anti-Tau (O-GlcNAc S400) antibody [EPR24891-48] (AB320076)
  • ICC/IF

Supplier Data

Immunocytochemistry/ Immunofluorescence - Anti-Tau (O-GlcNAc S400) antibody [EPR24891-48] (AB320076)

Immunofluorescent analysis of 4% Paraformaldehyde-fixed, 0.1% TritonX-100 permeabilized 293T (human embryonic kidney epithelial cell) cells labelling Tau (O-GlcNAc S400) with ab320076 at 1/500 (1.02 ug/ml) dilution, followed by ab150081 Goat Anti-Rabbit IgG H&L (Alexa Fluor® 488) preadsorbed antibody at 1/1000 2 ug/ml dilution (Green).

Confocal image showing positive staining in 293T cells transfected with a human Tau 2N4R expression vector containing a myc-His-tag®, and the signal increased after treatment with Thiamet G (10 um) for 48 h. Image was taken with a confocal microscope(Leica-Microsystems, TCS SP8).
A : 293T (human embryonic kidney epithelial cell) cells transfected with a human wild-type Tau 2N4R expression vector containing a myc-His-tag®
B : 293T cells transfected with a human wild-type Tau 2N4R expression vector containing a myc-His-tag® were treated with 10 μM Thiamet G for 48 hours
C : 293T cells transfected with a human Tau 2N4R (S400A mutation) expression vector containing a myc-His-tag®
D : 293T cells transfected with a human Tau 2N4R (S400A mutation) expression vector containing a myc-His-tag® were treated with 10 μM Thiamet G for 48 hours

ab223894 Anti-Myc tag mouse monoclonal antibody (Alexa Fluor® 594) was used to counterstain tubulin at 1/100 5ug/ml dilution (Magenta). The Nuclear counterstain was DAPI (Blue).

Secondary antibody only control : Secondary antibody is ab150081 Goat Anti-Rabbit IgG H&L (Alexa Fluor® 488) preadsorbed at 1/1000 2 ug/ml dilution.

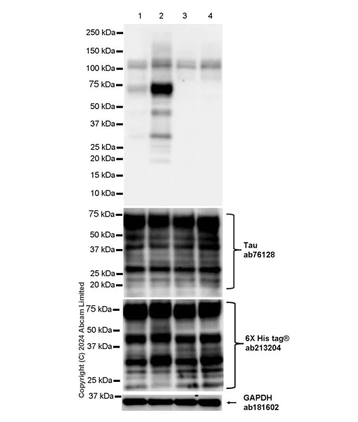
Western blot - Anti-Tau (O-GlcNAc S400) antibody [EPR24891-48] (AB320076)
  • WB

Supplier Data

Western blot - Anti-Tau (O-GlcNAc S400) antibody [EPR24891-48] (AB320076)

Blocking and diluting buffer and concentration : 5% NFDM/TBST.

The expression profile/ molecular weight observed is consistent with what has been described in the literature (PMID : 22366723, PMID : 24113653).

The expression of Tau (O-GlcNAc S400) is upregulated in response to Thiamet G treatment (PMID : 25336656, PMID : 22366723, PMID : 24113653).

The identity of the higher MW band at approximately 110 kDa is unknown.

In Western blot, Anti-GAPDH antibody [EPR16891] - Loading Control (ab181602) staining at 1/200000 dilution.

In Western blot, Anti-Tau antibody - Total protein control (ab76128) staining at 1/1000 dilution.

In Western blot, Anti-Tau antibody - Total protein control Anti-6X His tag® antibody [EPR20547] - ChIP Grade (ab213204) staining at 1/5000 dilution

All lanes:

Western blot - Anti-Tau (O-GlcNAc S400) antibody [EPR24891-48] (ab320076) at 1/1000 dilution

Lane 1:

293T (human embryonic kidney epithelial cell) cells transfected with a human wild-type Tau 2N4R expression vector containing a myc-His-tag®, whole cell lysate at 50 µg

Lane 2:

293T cells transfected with a human wild-type Tau 2N4R expression vector containing a myc-His-tag® were treated with 10 uM Thiamet G for 48 hours, whole cell lysate at 50 µg

Lane 3:

293T cells transfected with a human Tau 2N4R (S400A mutation) expression vector containing a myc-His-tag®, whole cell lysate at 50 µg

Lane 4:

293T cells transfected with a human Tau 2N4R (S400A mutation) expression vector containing a myc-His-tag® were treated with 10 uM Thiamet G for 48 hours, whole cell lysate at 50 µg

Secondary

All lanes:

Western blot - Goat Anti-Rabbit IgG H&L (HRP) (<a href='/en-us/products/secondary-antibodies/goat-rabbit-igg-h-l-hrp-ab97051'>ab97051</a>) at 1/20000 dilution

Observed band size: 25-75 kDa,36 kDa

false

Exposure time: 37s

Western blot - Anti-Tau (O-GlcNAc S400) antibody [EPR24891-48] (AB320076)
  • WB

Supplier Data

Western blot - Anti-Tau (O-GlcNAc S400) antibody [EPR24891-48] (AB320076)

Blocking and diluting buffer and concentration : 5% NFDM/TBST.

The expression of Tau (O-GlcNAc S400) is reduced following deglycosylation induced by PNGase F.

The identity of the higher MW band at approximately 110 kDa is unknown.

In Western blot, Anti-GAPDH antibody [EPR16891] - Loading Control (ab181602) staining at 1/200000 dilution.

All lanes:

Western blot - Anti-Tau (O-GlcNAc S400) antibody [EPR24891-48] (ab320076) at 1/1000 dilution

Lane 1:

293T cells transfected with a human wild-type Tau 2N4R expression vector containing a myc-His-tag® were treated with 10 uM Thiamet G for 48 hours whole cell lysate at 20 µg

Lane 2:

293T cells transfected with a human wild-type Tau 2N4R expression vector containing a myc-His-tag® were treated with 10 uM Thiamet G for 48 hours whole cell lysate treated with Peptide:N-glycosidase F (PNGase F) at 20 µg

Secondary

All lanes:

Western blot - Goat Anti-Rabbit IgG H&L (HRP) (<a href='/en-us/products/secondary-antibodies/goat-rabbit-igg-h-l-hrp-ab97051'>ab97051</a>) at 1/20000 dilution

Observed band size: 25-75 kDa,36 kDa

false

Exposure time: 92s

  • Carrier free

    Anti-Tau (O-GlcNAc S400) antibody [EPR24891-48] - BSA and Azide free

Key facts

Host species

Rabbit

Clonality

Monoclonal

Clone number

EPR24891-48

Isotype

IgG

Carrier free

No

Reacts with

Human

Applications

WB, ICC/IF

applications

Immunogen

The exact immunogen used to generate this antibody is proprietary information.

Reactivity data

{ "title": "Reactivity Data", "filters": { "stats": ["", "Species", "Dilution Info", "Notes"], "tabs": { "all-applications": {"fullname" : "All Applications", "shortname": "All Applications"}, "WB" : {"fullname" : "Western blot", "shortname":"WB"}, "ICCIF" : {"fullname" : "Immunocytochemistry/ Immunofluorescence", "shortname":"ICC/IF"} }, "product-promise": { "all": "all", "testedAndGuaranteed": "tested", "guaranteed": "expected", "predicted": "predicted", "notRecommended": "not-recommended" } }, "values": { "Human": { "WB-species-checked": "predicted", "WB-species-dilution-info": "", "WB-species-notes": "", "ICCIF-species-checked": "predicted", "ICCIF-species-dilution-info": "", "ICCIF-species-notes": "" }, "Transfected cell line - Human": { "WB-species-checked": "notRecommended", "WB-species-dilution-info": "", "WB-species-notes": "", "ICCIF-species-checked": "testedAndGuaranteed", "ICCIF-species-dilution-info": "1/500", "ICCIF-species-notes": "<p></p>" }, "Transfected cell lysate - Human": { "WB-species-checked": "testedAndGuaranteed", "WB-species-dilution-info": "1/1000", "WB-species-notes": "<p></p>", "ICCIF-species-checked": "notRecommended", "ICCIF-species-dilution-info": "", "ICCIF-species-notes": "" } } }

Product details

Patented technology
Our RabMAb® technology is a patented hybridoma-based technology for making rabbit monoclonal antibodies. For details on our patents, please refer to RabMAb® patents.

What are the advantages of a recombinant monoclonal antibody?
This product is a recombinant monoclonal antibody, which offers several advantages including:

  • - High batch-to-batch consistency and reproducibility
  • - Improved sensitivity and specificity
  • - Long-term security of supply
  • - Animal-free batch production

For more information, read more on recombinant antibodies.

Properties and storage information

Form
Liquid
Purification technique
Affinity purification Protein A
Storage buffer
pH: 7.2 - 7.4 Preservative: 0.01% Sodium azide Constituents: PBS, 40% Glycerol (glycerin, glycerine), 0.05% BSA
Shipped at conditions
Blue Ice
Appropriate short-term storage duration
1-2 weeks
Appropriate short-term storage conditions
+4°C
Appropriate long-term storage conditions
-20°C
Aliquoting information
Upon delivery aliquot
Storage information
Avoid freeze / thaw cycle

Supplementary information

This supplementary information is collated from multiple sources and compiled automatically.

Tau also known as microtubule-associated protein Tau (MAPT) plays an important role in stabilizing microtubules in neuronal cells. Tau is primarily found in the central nervous system but also exists in peripheral neurons. Human Tau protein comes in six isoforms due to alternative splicing with molecular weights ranging from 48 kDa to 67 kDa. This protein predominantly locates in the axons of neurons where it maintains the stability of microtubule tracks necessary for axonal transport.
Biological function summary

Tau is involved in the assembly and stabilization of microtubules essential for maintaining neuronal structure. It interacts with microtubule-binding domains (MBD) to bind and bundle microtubules facilitating intracellular transport. Tau forms a part of the neuronal cytoskeleton complex working closely with other cytoskeletal proteins to preserve the proper axonal transport and function. Abnormally phosphorylated Tau often termed phospho-Tau disrupts this complex affecting microtubule stability.

Pathways

Tau has critical involvement in several signaling cascades such as the microtubule-binding and transport pathways. Glycogen synthase kinase 3 beta (GSK3β) and cyclin-dependent kinase 5 (CDK5) frequently phosphorylate Tau controlling its interaction with microtubules. Phosphorylated Tau accumulates leading to the formation of neurofibrillary tangles often observed in neurodegenerative conditions. Additionally Tau interacts with GAPDH impacting cellular energy regulation through potential pathway cross-talk involving oxidative stress responses.

Tau is closely associated with Alzheimer's disease and frontotemporal dementia. In Alzheimer's disease hyperphosphorylated Tau aggregates into paired helical filaments forming neurofibrillary tangles while similar aggregates are observed in frontotemporal dementia. In these conditions Tau links to amyloid precursor protein (APP) where misregulated phosphorylation-driven interactions contribute to neurodegeneration. Identifying phospho-Tau and its altered interactions with related proteins aids in understanding and potentially treating these disorders.

Product protocols

For this product, it's our understanding that no specific protocols are required. You can visit:

Target data

The protein expressed by the MAPT gene promotes microtubule assembly and stability and might be involved in establishing and maintaining neuronal polarity. Its C-terminus binds axonal microtubules, and the N-terminus binds neural plasma membrane components, suggesting that tau functions as a linker protein between the two. Axonal polarity is predetermined by MAPT localization within the neuronal cell's domain defined by the centrosome. The short isoforms allow cytoskeleton plasticity, whereas the longer isoforms may preferentially play a role in its stabilization. This supplementary information is collated from multiple sources and compiled automatically.
See full target information MAPT glcnac S400

Product promise

We are committed to supporting your work with high-quality reagents, and we're here for you every step of the way. In the unlikely event that one of our products does not perform as expected, you're protected by our Product Promise.
For full details, please see our Terms & Conditions

Please note: All products are 'FOR RESEARCH USE ONLY. NOT FOR USE IN DIAGNOSTIC OR THERAPEUTIC PROCEDURES'.

For licensing inquiries, please contact partnerships@abcam.com