JavaScript is disabled in your browser. Please enable JavaScript to view this website.
AB320077

Anti-Tau (O-GlcNAc S400) antibody [EPR24891-48] - BSA and Azide free

Be the first to review this product! Submit a review

|

(0 Publication)

Rabbit Recombinant Monoclonal TAU glcnac S400 antibody. Carrier free. Suitable for WB, ICC/IF and reacts with Transfected cell lysate - Human, Transfected cell line - Human samples.

View Alternative Names

MAPTL, MTBT1, TAU, Microtubule-associated protein tau, Neurofibrillary tangle protein, Paired helical filament-tau, PHF-tau

3 Images
Immunocytochemistry/ Immunofluorescence - Anti-Tau (O-GlcNAc S400) antibody [EPR24891-48] - BSA and Azide free (AB320077)
  • ICC/IF

Supplier Data

Immunocytochemistry/ Immunofluorescence - Anti-Tau (O-GlcNAc S400) antibody [EPR24891-48] - BSA and Azide free (AB320077)

This data was developed using ab320076, the same antibody clone in a different buffer formulation.

Immunofluorescent analysis of 4% Paraformaldehyde-fixed, 0.1% TritonX-100 permeabilized 293T (human embryonic kidney epithelial cell) cells labelling Tau (O-GlcNAc S400) with ab320076 at 1/500 (1.02 ug/ml) dilution, followed by ab150081 Goat Anti-Rabbit IgG H&L (Alexa Fluor® 488) preadsorbed antibody at 1/1000 2 ug/ml dilution (Green).

Confocal image showing positive staining in 293T cells transfected with a human Tau 2N4R expression vector containing a myc-His-tag®, and the signal increased after treatment with Thiamet G (10 um) for 48 h. Image was taken with a confocal microscope(Leica-Microsystems, TCS SP8).
A : 293T (human embryonic kidney epithelial cell) cells transfected with a human wild-type Tau 2N4R expression vector containing a myc-His-tag®
B : 293T cells transfected with a human wild-type Tau 2N4R expression vector containing a myc-His-tag® were treated with 10 μM Thiamet G for 48 hours
C : 293T cells transfected with a human Tau 2N4R (S400A mutation) expression vector containing a myc-His-tag®
D : 293T cells transfected with a human Tau 2N4R (S400A mutation) expression vector containing a myc-His-tag® were treated with 10 μM Thiamet G for 48 hours

ab223894 Anti-Myc tag mouse monoclonal antibody (Alexa Fluor® 594) was used to counterstain tubulin at 1/100 5ug/ml dilution (Magenta). The Nuclear counterstain was DAPI (Blue).

Secondary antibody only control : Secondary antibody is ab150081 Goat Anti-Rabbit IgG H&L (Alexa Fluor® 488) preadsorbed at 1/1000 2 ug/ml dilution.

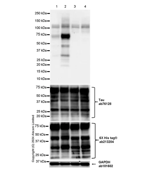
Western blot - Anti-Tau (O-GlcNAc S400) antibody [EPR24891-48] - BSA and Azide free (AB320077)
  • WB

Supplier Data

Western blot - Anti-Tau (O-GlcNAc S400) antibody [EPR24891-48] - BSA and Azide free (AB320077)

This data was developed using ab320076, the same antibody clone in a different buffer formulation.

Blocking and diluting buffer and concentration : 5% NFDM/TBST.

The expression profile/ molecular weight observed is consistent with what has been described in the literature (PMID : 22366723, PMID : 24113653).

The expression of Tau (O-GlcNAc S400) is upregulated in response to Thiamet G treatment (PMID : 25336656, PMID : 22366723, PMID : 24113653).

The identity of the higher MW band at approximately 110 kDa is unknown.

In Western blot, Anti-GAPDH antibody [EPR16891] - Loading Control (ab181602) staining at 1/200000 dilution.

In Western blot, Anti-Tau antibody - Total protein control (ab76128) staining at 1/1000 dilution.

All lanes:

Western blot - Anti-Tau (O-GlcNAc S400) antibody [EPR24891-48] (<a href='/en-us/products/primary-antibodies/tau-o-glcnac-s400-antibody-epr24891-48-ab320076'>ab320076</a>) at 1/1000 dilution

Lane 1:

293T (human embryonic kidney epithelial cell) cells transfected with a human wild-type Tau 2N4R expression vector containing a myc-His-tag®, whole cell lysate at 50 µg

Lane 2:

293T cells transfected with a human wild-type Tau 2N4R expression vector containing a myc-His-tag® were treated with 10 uM Thiamet G for 48 hours, whole cell lysate at 50 µg

Lane 3:

293T cells transfected with a human Tau 2N4R (S400A mutation) expression vector containing a myc-His-tag®, whole cell lysate at 50 µg

Lane 4:

293T cells transfected with a human Tau 2N4R (S400A mutation) expression vector containing a myc-His-tag® were treated with 10 uM Thiamet G for 48 hours, whole cell lysate at 50 µg

Secondary

All lanes:

Western blot - Goat Anti-Rabbit IgG H&L (HRP) (<a href='/en-us/products/secondary-antibodies/goat-rabbit-igg-h-l-hrp-ab97051'>ab97051</a>) at 1/20000 dilution

Observed band size: 25-75 kDa,36 kDa

false

Exposure time: 37s

Western blot - Anti-Tau (O-GlcNAc S400) antibody [EPR24891-48] - BSA and Azide free (AB320077)
  • WB

Supplier Data

Western blot - Anti-Tau (O-GlcNAc S400) antibody [EPR24891-48] - BSA and Azide free (AB320077)

This data was developed using ab320076, the same antibody clone in a different buffer formulation.

Blocking and diluting buffer and concentration : 5% NFDM/TBST.

The expression of Tau (O-GlcNAc S400) is reduced following deglycosylation induced by PNGase F.

The identity of the higher MW band at approximately 110 kDa is unknown.

In Western blot, Anti-GAPDH antibody [EPR16891] - Loading Control (ab181602) staining at 1/200000 dilution.

All lanes:

Western blot - Anti-Tau (O-GlcNAc S400) antibody [EPR24891-48] (<a href='/en-us/products/primary-antibodies/tau-o-glcnac-s400-antibody-epr24891-48-ab320076'>ab320076</a>) at 1/1000 dilution

Lane 1:

293T cells transfected with a human wild-type Tau 2N4R expression vector containing a myc-His-tag® were treated with 10 uM Thiamet G for 48 hours whole cell lysate at 20 µg

Lane 2:

293T cells transfected with a human wild-type Tau 2N4R expression vector containing a myc-His-tag® were treated with 10 uM Thiamet G for 48 hours whole cell lysate treated with Peptide:N-glycosidase F (PNGase F) at 20 µg

Secondary

All lanes:

Western blot - Goat Anti-Rabbit IgG H&L (HRP) (<a href='/en-us/products/secondary-antibodies/goat-rabbit-igg-h-l-hrp-ab97051'>ab97051</a>) at 1/20000 dilution

Observed band size: 25-75 kDa,36 kDa

false

Exposure time: 92s

  • Unconjugated

    Anti-Tau (O-GlcNAc S400) antibody [EPR24891-48]

Key facts

Host species

Rabbit

Clonality

Monoclonal

Clone number

EPR24891-48

Isotype

IgG

Carrier free

Yes

Reacts with

Human

Applications

WB, ICC/IF

applications

Immunogen

The exact immunogen used to generate this antibody is proprietary information.

Reactivity data

{ "title": "Reactivity Data", "filters": { "stats": ["", "Species", "Dilution Info", "Notes"], "tabs": { "all-applications": {"fullname" : "All Applications", "shortname": "All Applications"}, "WB" : {"fullname" : "Western blot", "shortname":"WB"}, "ICCIF" : {"fullname" : "Immunocytochemistry/ Immunofluorescence", "shortname":"ICC/IF"} }, "product-promise": { "all": "all", "testedAndGuaranteed": "tested", "guaranteed": "expected", "predicted": "predicted", "notRecommended": "not-recommended" } }, "values": { "Human": { "WB-species-checked": "predicted", "WB-species-dilution-info": "", "WB-species-notes": "", "ICCIF-species-checked": "predicted", "ICCIF-species-dilution-info": "", "ICCIF-species-notes": "" }, "Transfected cell line - Human": { "WB-species-checked": "notRecommended", "WB-species-dilution-info": "", "WB-species-notes": "", "ICCIF-species-checked": "testedAndGuaranteed", "ICCIF-species-dilution-info": "", "ICCIF-species-notes": "<p></p>" }, "Transfected cell lysate - Human": { "WB-species-checked": "testedAndGuaranteed", "WB-species-dilution-info": "", "WB-species-notes": "<p></p>", "ICCIF-species-checked": "notRecommended", "ICCIF-species-dilution-info": "", "ICCIF-species-notes": "" } } }

Product details

ab320077 is the carrier-free version of ab320076.

Patented technology
Our RabMAb® technology is a patented hybridoma-based technology for making rabbit monoclonal antibodies. For details on our patents, please refer to RabMAb® patents.

What are the advantages of a recombinant monoclonal antibody?
This product is a recombinant monoclonal antibody, which offers several advantages including:

  • - High batch-to-batch consistency and reproducibility
  • - Improved sensitivity and specificity
  • - Long-term security of supply
  • - Animal-free batch production

For more information, read more on recombinant antibodies.

Conjugation ready
Our carrier-free antibodies are typically supplied in a PBS-only formulation, purified and free of BSA, sodium azide and glycerol. This conjugation-ready format is designed for use with fluorochromes, metal isotopes, oligonucleotides, and enzymes, which makes them ideal for antibody labelling, functional and cell-based assays, flow-based assays (e.g. mass cytometry) and Multiplex Imaging applications.

Use our conjugation kits for antibody conjugates that are ready-to-use in as little as 20 minutes with 1 minute hands-on-time and 100% antibody recovery: available for fluorescent dyes, HRP, biotin and gold.

Compatibility
This product is compatible with the Maxpar® Antibody Labeling Kit from Fluidigm, without the need for antibody preparation. Maxpar® is a trademark of Fluidigm Canada Inc.

Properties and storage information

Form
Liquid
Purification technique
Affinity purification Protein A
Storage buffer
pH: 7.2 - 7.4 Constituents: PBS
Shipped at conditions
Blue Ice
Appropriate short-term storage conditions
+4°C
Appropriate long-term storage conditions
+4°C

Supplementary information

This supplementary information is collated from multiple sources and compiled automatically.

Tau also known as microtubule-associated protein Tau (MAPT) plays an important role in stabilizing microtubules in neuronal cells. Tau is primarily found in the central nervous system but also exists in peripheral neurons. Human Tau protein comes in six isoforms due to alternative splicing with molecular weights ranging from 48 kDa to 67 kDa. This protein predominantly locates in the axons of neurons where it maintains the stability of microtubule tracks necessary for axonal transport.
Biological function summary

Tau is involved in the assembly and stabilization of microtubules essential for maintaining neuronal structure. It interacts with microtubule-binding domains (MBD) to bind and bundle microtubules facilitating intracellular transport. Tau forms a part of the neuronal cytoskeleton complex working closely with other cytoskeletal proteins to preserve the proper axonal transport and function. Abnormally phosphorylated Tau often termed phospho-Tau disrupts this complex affecting microtubule stability.

Pathways

Tau has critical involvement in several signaling cascades such as the microtubule-binding and transport pathways. Glycogen synthase kinase 3 beta (GSK3β) and cyclin-dependent kinase 5 (CDK5) frequently phosphorylate Tau controlling its interaction with microtubules. Phosphorylated Tau accumulates leading to the formation of neurofibrillary tangles often observed in neurodegenerative conditions. Additionally Tau interacts with GAPDH impacting cellular energy regulation through potential pathway cross-talk involving oxidative stress responses.

Tau is closely associated with Alzheimer's disease and frontotemporal dementia. In Alzheimer's disease hyperphosphorylated Tau aggregates into paired helical filaments forming neurofibrillary tangles while similar aggregates are observed in frontotemporal dementia. In these conditions Tau links to amyloid precursor protein (APP) where misregulated phosphorylation-driven interactions contribute to neurodegeneration. Identifying phospho-Tau and its altered interactions with related proteins aids in understanding and potentially treating these disorders.

Product protocols

For this product, it's our understanding that no specific protocols are required. You can visit:

Target data

Promotes microtubule assembly and stability, and might be involved in the establishment and maintenance of neuronal polarity (PubMed : 21985311). The C-terminus binds axonal microtubules while the N-terminus binds neural plasma membrane components, suggesting that tau functions as a linker protein between both (PubMed : 21985311, PubMed : 32961270). Axonal polarity is predetermined by TAU/MAPT localization (in the neuronal cell) in the domain of the cell body defined by the centrosome. The short isoforms allow plasticity of the cytoskeleton whereas the longer isoforms may preferentially play a role in its stabilization.
See full target information MAPT glcnac S400

Product promise

We are committed to supporting your work with high-quality reagents, and we're here for you every step of the way. In the unlikely event that one of our products does not perform as expected, you're protected by our Product Promise.
For full details, please see our Terms & Conditions

Please note: All products are 'FOR RESEARCH USE ONLY. NOT FOR USE IN DIAGNOSTIC OR THERAPEUTIC PROCEDURES'.

For licensing inquiries, please contact partnerships@abcam.com