JavaScript is disabled in your browser. Please enable JavaScript to view this website.
AB81268

Anti-Tau (phospho S199) antibody [EPR2401Y]

4

(2 Reviews)

|

(22 Publications)

Rabbit Recombinant Monoclonal TAU phospho S199 antibody. Suitable for Dot, WB and reacts with Synthetic peptide, Mouse, Human samples. Cited in 22 publications.

View Alternative Names

MAPTL, MTBT1, TAU, MAPT, Microtubule-associated protein tau, Neurofibrillary tangle protein, Paired helical filament-tau, PHF-tau

7 Images
Western blot - Anti-Tau (phospho S199) antibody [EPR2401Y] (AB81268)
  • WB

Lab

Western blot - Anti-Tau (phospho S199) antibody [EPR2401Y] (AB81268)

Blocking and dilution buffer : 5% NFDM/TBST.

All lanes:

Western blot - Anti-Tau (phospho S199) antibody [EPR2401Y] (ab81268) at 1/1000 dilution

Lane 1:

293T cells transfected with an empty vector containing a flag tag whole cell lysate at 20 µg

Lane 2:

293T cells transfected with a human Tau expression vector containing a flag whole cell lysate at 20 µg

Lane 3:

293T cells transfected with a human MAP2 expression vector containing a flag whole cell lysate at 20 µg

Lane 4:

293T cells transfected with a human MAP4 expression vector containing a flag whole cell lysate at 20 µg

Secondary

All lanes:

Western blot - Goat Anti-Rabbit IgG H&L (HRP) (<a href='/en-us/products/secondary-antibodies/goat-rabbit-igg-h-l-hrp-ab97051'>ab97051</a>) at 1/20000 dilution

Predicted band size: 78 kDa

Observed band size: 55-100 kDa

false

Exposure time: 1s

Western blot - Anti-Tau (phospho S199) antibody [EPR2401Y] (AB81268)
  • WB

Lab

Western blot - Anti-Tau (phospho S199) antibody [EPR2401Y] (AB81268)

Blocking and dilution buffer : 5% NFDM/TBST.

All lanes:

Western blot - Anti-Tau (phospho S199) antibody [EPR2401Y] (ab81268) at 1/1000 dilution

Lane 1:

Human hippocampus tissue lysate at 10 µg

Lane 2:

Human hippocampus tissue lysate. The membrane was incubated with phosphatase at 10 µg

Secondary

All lanes:

Western blot - VeriBlot for IP Detection Reagent (HRP) (<a href='/en-us/products/reagents/veriblot-for-ip-detection-reagent-hrp-ab131366'>ab131366</a>) at 1/2000 dilution

Predicted band size: 78 kDa

Observed band size: 55 kDa

false

Exposure time: 1min

Western blot - Anti-Tau (phospho S199) antibody [EPR2401Y] (AB81268)
  • WB

Supplier Data

Western blot - Anti-Tau (phospho S199) antibody [EPR2401Y] (AB81268)

Blocking and dilution buffer : 5% NFDM/TBST.

All lanes:

Western blot - Anti-Tau (phospho S199) antibody [EPR2401Y] (ab81268) at 1/1000 dilution

Lane 1:

Mouse cerebral cortex tissue lysate at 10 µg

Lane 2:

Mouse cerebral cortex tissue lysate, The membrane was incubated with phosphatase at 10 µg

Secondary

All lanes:

Western blot - Goat Anti-Rabbit IgG H&L (HRP) (<a href='/en-us/products/secondary-antibodies/goat-rabbit-igg-h-l-hrp-ab97051'>ab97051</a>) at 1/100000 dilution

Predicted band size: 78 kDa

Observed band size: 55 kDa

false

Exposure time: 5s

Western blot - Anti-Tau (phospho S199) antibody [EPR2401Y] (AB81268)
  • WB

Unknown

Western blot - Anti-Tau (phospho S199) antibody [EPR2401Y] (AB81268)

All lanes:

Western blot - Anti-Tau (phospho S199) antibody [EPR2401Y] (ab81268) at 1/20000 dilution

Lane 1:

SH SY5Y cell lysate at 10 µg

Lane 2:

SH SY5Y cell lysate treated with alkaline phosphatase at 10 µg

Secondary

All lanes:

HRP labelled goat anti-rabbit at 1/2000 dilution

Predicted band size: 78 kDa

Observed band size: 55 kDa

false

Dot Blot - Anti-Tau (phospho S199) antibody [EPR2401Y] (AB81268)
  • Dot

Unknown

Dot Blot - Anti-Tau (phospho S199) antibody [EPR2401Y] (AB81268)

Dot blot analysis of Tau (pS199) peptide (Lane 1) and Tau non-phospho peptide (Lane 2) labelling Tau (pS199) with ab81268 at a dilution of 1/1000. ab97051 (peroxidase-conjugated goat anti-rabbit IgG (H+L)) was used as the secondary antibody at a dilution of 1/100000.

Exposure time : 3 minutes.
Blocking and dilution buffer : 5% NFDM/TBST.

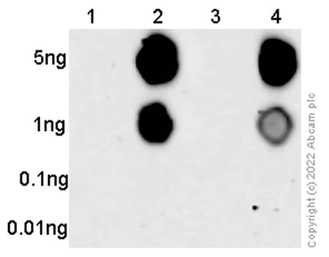
Dot Blot - Anti-Tau (phospho S199) antibody [EPR2401Y] (AB81268)
  • Dot

Supplier Data

Dot Blot - Anti-Tau (phospho S199) antibody [EPR2401Y] (AB81268)

Dot blot analysis using 1/1000 dilution ab81268 and Goat Anti-Rabbit IgG, (H+L), Peroxidase conjugated (ab97051) secondary at 1/100000 dilution.

Blocking and diluting buffer : 5% NFDM/TBST

Lane 1 : Tau non-phospho peptide

Lane 2 : Tau S199 phospho peptide

Lane 3 : Tau S202 phospho peptide

Lane 4 : Tau S199+S202 phospho peptide

Exposure time : 3 minutes

Western blot - Anti-Tau (phospho S199) antibody [EPR2401Y] (AB81268)
  • WB

CiteAb

Western blot - Anti-Tau (phospho S199) antibody [EPR2401Y] (AB81268)

Tau (phospho S199) western blot using anti-Tau (phospho S199) antibody [EPR2401Y] ab81268. Publication image and figure legend from Yang, S. H., Lee, D. K., et al., 2017, EMBO Mol Med, PubMed 27861127.

ab81268 was used in this publication in western blot. This may not be the same as the application(s) guaranteed by Abcam. For a full list of applications guaranteed by Abcam for ab81268 please see the product overview.

Nec‐1 inhibits the phosphorylation and aggregation of tauAWestern blot analysis of phosphorylation levels of tau and expression levels of indicated proteins in the cortical and hippocampal regions of the brain in APP/PS1 mice after administration of Nec‐1 (6.25 mg/kg) or vehicle (2.5% DMSO in PBS). The membranes analysed are identical to those in Fig 5F.BImmunohistochemical analysis of cortical and hippocampal regions of the brains in wild‐type (Wt) and APP/PS1 mice after administration of Nec‐1 (6.25 mg/kg) or vehicle (2.5% DMSO in PBS) for phosphorylated tau expression levels. Anti‐tau (phospho‐Ser199) antibody (red colour) was applied for staining tau phosphorylation on serine‐199 and Hoechst 33342 (blue colour) for nuclear counterstaining in the brain sections. Scale bars = 200 μm. Yellow and red boxes indicate the cortical and hippocampal region of brains, respectively.CWestern blot analyses of phosphorylated RIPK3 expression in cortex and hippocampus of APP/PS1 mice injected with Nec‐1 (upper), and primary cultured astrocytes treated with Nec‐1 (lower). The membranes analysed are identical to those in Figs 1G and 5F.D, EThT assays for the inhibition of tau aggregation (D) and for disaggregation of tau (E). Fluorescence intensity was normalized to tau aggregates (100%, day 5). All data are representative results of at least three independent experiments.FSurface plasmon resonance sensorgrams of Nec‐1 targeting tau (left), and the corresponding dissociation fitting curve from the saturated region (right) under various concentrations of Nec‐1.Data information : In (D and E), data are presented as mean ± SEM. ***P ≤ 0.001 (one‐way ANOVA followed by Bonferroni's post hoc comparisons tests). Exact P‐values are shown in Table EV5. Source data are available online for this figure.

false

  • Carrier free

    Anti-Tau (phospho S199) antibody [EPR2401Y] - BSA and Azide free

Key facts

Host species

Rabbit

Clonality

Monoclonal

Clone number

EPR2401Y

Isotype

IgG

Carrier free

No

Reacts with

Mouse, Human

Applications

Dot, WB

applications

Immunogen

The exact immunogen used to generate this antibody is proprietary information.

Specificity

The specificity of this antibody refers to P10636-8.

Reactivity data

{ "title": "Reactivity Data", "filters": { "stats": ["", "Species", "Dilution Info", "Notes"], "tabs": { "all-applications": {"fullname" : "All Applications", "shortname": "All Applications"}, "IHCP" : {"fullname" : "Immunohistochemistry (Formalin/PFA-fixed paraffin-embedded sections)", "shortname":"IHC-P"}, "Dot" : {"fullname" : "Dot Blot", "shortname":"Dot"}, "WB" : {"fullname" : "Western blot", "shortname":"WB"} }, "product-promise": { "all": "all", "testedAndGuaranteed": "tested", "guaranteed": "expected", "predicted": "predicted", "notRecommended": "not-recommended" } }, "values": { "Human": { "IHCP-species-checked": "notRecommended", "IHCP-species-dilution-info": "", "IHCP-species-notes": "<p></p>", "Dot-species-checked": "guaranteed", "Dot-species-dilution-info": "", "Dot-species-notes": "", "WB-species-checked": "testedAndGuaranteed", "WB-species-dilution-info": "1/5000 - 1/20000", "WB-species-notes": "<p></p>" }, "Mouse": { "IHCP-species-checked": "notRecommended", "IHCP-species-dilution-info": "", "IHCP-species-notes": "<p></p>", "Dot-species-checked": "guaranteed", "Dot-species-dilution-info": "", "Dot-species-notes": "", "WB-species-checked": "testedAndGuaranteed", "WB-species-dilution-info": "1/5000 - 1/20000", "WB-species-notes": "<p></p>" }, "Rat": { "IHCP-species-checked": "notRecommended", "IHCP-species-dilution-info": "", "IHCP-species-notes": "<p></p>", "Dot-species-checked": "predicted", "Dot-species-dilution-info": "", "Dot-species-notes": "", "WB-species-checked": "predicted", "WB-species-dilution-info": "", "WB-species-notes": "" }, "Synthetic peptide": { "IHCP-species-checked": "notRecommended", "IHCP-species-dilution-info": "", "IHCP-species-notes": "", "Dot-species-checked": "testedAndGuaranteed", "Dot-species-dilution-info": "1/1000", "Dot-species-notes": "<p></p>", "WB-species-checked": "notRecommended", "WB-species-dilution-info": "", "WB-species-notes": "" } } }

Product details

Patented technology
Our RabMAb® technology is a patented hybridoma-based technology for making rabbit monoclonal antibodies. For details on our patents, please refer to RabMAb® patents.

What are the advantages of a recombinant monoclonal antibody?
This product is a recombinant monoclonal antibody, which offers several advantages including:

  • - High batch-to-batch consistency and reproducibility
  • - Improved sensitivity and specificity
  • - Long-term security of supply
  • - Animal-free batch production

For more information, read more on recombinant antibodies.

Properties and storage information

Form
Liquid
Purification technique
Affinity purification Protein A
Storage buffer
pH: 7.2 - 7.4 Preservative: 0.01% Sodium azide Constituents: PBS, 40% Glycerol (glycerin, glycerine), 0.05% BSA
Shipped at conditions
Blue Ice
Appropriate short-term storage conditions
+4°C
Appropriate long-term storage conditions
-20°C
Aliquoting information
Upon delivery aliquot
Storage information
Avoid freeze / thaw cycle

Supplementary information

This supplementary information is collated from multiple sources and compiled automatically.

Tau also known as microtubule-associated protein Tau (MAPT) plays an important role in stabilizing microtubules in neuronal cells. Tau is primarily found in the central nervous system but also exists in peripheral neurons. Human Tau protein comes in six isoforms due to alternative splicing with molecular weights ranging from 48 kDa to 67 kDa. This protein predominantly locates in the axons of neurons where it maintains the stability of microtubule tracks necessary for axonal transport.
Biological function summary

Tau is involved in the assembly and stabilization of microtubules essential for maintaining neuronal structure. It interacts with microtubule-binding domains (MBD) to bind and bundle microtubules facilitating intracellular transport. Tau forms a part of the neuronal cytoskeleton complex working closely with other cytoskeletal proteins to preserve the proper axonal transport and function. Abnormally phosphorylated Tau often termed phospho-Tau disrupts this complex affecting microtubule stability.

Pathways

Tau has critical involvement in several signaling cascades such as the microtubule-binding and transport pathways. Glycogen synthase kinase 3 beta (GSK3β) and cyclin-dependent kinase 5 (CDK5) frequently phosphorylate Tau controlling its interaction with microtubules. Phosphorylated Tau accumulates leading to the formation of neurofibrillary tangles often observed in neurodegenerative conditions. Additionally Tau interacts with GAPDH impacting cellular energy regulation through potential pathway cross-talk involving oxidative stress responses.

Tau is closely associated with Alzheimer's disease and frontotemporal dementia. In Alzheimer's disease hyperphosphorylated Tau aggregates into paired helical filaments forming neurofibrillary tangles while similar aggregates are observed in frontotemporal dementia. In these conditions Tau links to amyloid precursor protein (APP) where misregulated phosphorylation-driven interactions contribute to neurodegeneration. Identifying phospho-Tau and its altered interactions with related proteins aids in understanding and potentially treating these disorders.

Product protocols

For this product, it's our understanding that no specific protocols are required. You can visit:

Target data

The protein expressed by the MAPT gene promotes microtubule assembly and stability and might be involved in establishing and maintaining neuronal polarity. Its C-terminus binds axonal microtubules, and the N-terminus binds neural plasma membrane components, suggesting that tau functions as a linker protein between the two. Axonal polarity is predetermined by MAPT localization within the neuronal cell's domain defined by the centrosome. The short isoforms allow cytoskeleton plasticity, whereas the longer isoforms may preferentially play a role in its stabilization. This supplementary information is collated from multiple sources and compiled automatically.
See full target information MAPT phospho S199

Additional targets

TAU_HUMAN,MAPT phospho S199

Publications (22)

Recent publications for all applications. Explore the full list and refine your search

Neurotrauma reports 6:586-599 PubMed40933834

2025

-.

Applications

Unspecified application

Species

Unspecified reactive species

Aria W Tarudji,Brandon Z McDonald,Evan Curtis,Connor Gee,Forrest M Kievit

Cell communication and signaling : CCS 23:7 PubMed39762888

2025

BMAL1 ameliorates type 2 diabetes-induced cognitive impairment via AREG upregulation and PI3K/Akt/GSK-3β pathway activation.

Applications

Unspecified application

Species

Unspecified reactive species

Jialu Xu,Chunyu Li,Rongping Fan,Jiaxin Yin,Lei Xie,Xuemin Peng,Jing Tao,Weijie Xu,Shujun Zhang,Xiaoli Shi,Kun Dong,Xuefeng Yu,Xi Chen,Yan Yang

Zoological research 46:41-53 PubMed39757019

2025

Novel mouse model of Alzheimer's disease exhibits pathology through synergistic interactions among amyloid-β, tau, and reactive astrogliosis.

Applications

Unspecified application

Species

Unspecified reactive species

Young-Eun Han,Sunhwa Lim,Seung Eun Lee,Min-Ho Nam,Soo-Jin Oh

Acta neuropathologica 148:46 PubMed39316141

2024

Tau accumulation is cleared by the induced expression of VCP via autophagy.

Applications

Unspecified application

Species

Unspecified reactive species

Hoi-Khoanh Giong,Seung Jae Hyeon,Jae-Geun Lee,Hyun-Ju Cho,Uiyeol Park,Thor D Stein,Junghee Lee,Kweon Yu,Hoon Ryu,Jeong-Soo Lee

Biomedicines 12: PubMed39200168

2024

A High-Carbohydrate Diet Induces Cognitive Impairment and Promotes Amyloid Burden and Tau Phosphorylation via PI3K/Akt/GSK-3β Pathway in db/db Mice.

Applications

Unspecified application

Species

Unspecified reactive species

Jialu Xu,Lei Xie,Jiaxin Yin,Xiaoli Shi,Kun Dong,Jing Tao,Weijie Xu,Delin Ma,Shujun Zhang,Juan Chen,Yan Yang

Acta neuropathologica 147:87 PubMed38761203

2024

Identification of high-performing antibodies for the reliable detection of Tau proteoforms by Western blotting and immunohistochemistry.

Applications

Unspecified application

Species

Unspecified reactive species

Michael J Ellis,Christiana Lekka,Katie L Holden,Hanna Tulmin,Faheem Seedat,Darragh P O'Brien,Shalinee Dhayal,Marie-Louise Zeissler,Jakob G Knudsen,Benedikt M Kessler,Noel G Morgan,John A Todd,Sarah J Richardson,M Irina Stefana

Phytotherapy research : PTR 37:4771-4790 PubMed37434441

2023

NPLC0393 from Gynostemma pentaphyllum ameliorates Alzheimer's disease-like pathology in mice by targeting protein phosphatase magnesium-dependent 1A phosphatase.

Applications

Unspecified application

Species

Unspecified reactive species

Jianlu Lv,Xingyi Shen,Xinya Shen,Shimei Zhao,Rui Xu,Qiuying Yan,Jian Lu,Danyang Zhu,Yonghua Zhao,Jiajia Dong,Jiaying Wang,Xu Shen

Cell reports 41:111580 PubMed36323248

2022

Multi-omic profiling reveals the ataxia protein sacsin is required for integrin trafficking and synaptic organization.

Applications

Unspecified application

Species

Unspecified reactive species

Lisa E L Romano,Wen Yih Aw,Kathryn M Hixson,Tatiana V Novoselova,Tammy M Havener,Stefanie Howell,Bonnie Taylor-Blake,Charlotte L Hall,Lei Xing,Josh Beri,Suran Nethisinghe,Laura Perna,Abubakar Hatimy,Ginevra Chioccioli Altadonna,Lee M Graves,Laura E Herring,Anthony J Hickey,Konstantinos Thalassinos,J Paul Chapple,Justin M Wolter

Journal of Alzheimer's disease : JAD 77:149-163 PubMed32804126

2020

Mitochondrial DNA Manipulations Affect Tau Oligomerization.

Applications

Unspecified application

Species

Unspecified reactive species

Ian W Weidling,Heather M Wilkins,Scott J Koppel,Lewis Hutfles,Xiaowan Wang,Anuradha Kalani,Blaise W Menta,Benjamin Ryan,Judit Perez-Ortiz,T Chris Gamblin,Russell H Swerdlow

Journal of integrative neuroscience 18:309-312 PubMed31601081

2019

The Wnt/β-catenin signaling pathway affects the distribution of cytoskeletal proteins in Aβ treated PC12 cells.

Applications

Unspecified application

Species

Unspecified reactive species

Zhifeng Tian,Xiaoling Zhang,Zhijun Zhao,Fuhua Zhang,Tongxing Deng
View all publications

Product promise

We are committed to supporting your work with high-quality reagents, and we're here for you every step of the way. In the unlikely event that one of our products does not perform as expected, you're protected by our Product Promise.
For full details, please see our Terms & Conditions

Please note: All products are 'FOR RESEARCH USE ONLY. NOT FOR USE IN DIAGNOSTIC OR THERAPEUTIC PROCEDURES'.

For licensing inquiries, please contact partnerships@abcam.com