JavaScript is disabled in your browser. Please enable JavaScript to view this website.
AB170892

Anti-Tau (phospho S214) antibody [EPR1884(2)]

  • BOND RX™ Validated
  • 20ul selling size
  • RabMAb
  • Recombinant
  • What is this?

5

(1 Review)

|

(23 Publications)

Rabbit Recombinant Monoclonal TAU phospho S214 antibody. Suitable for IHC-P, Dot, WB and reacts with Mouse, Human, Synthetic peptide samples. Cited in 23 publications.

View Alternative Names

MAPTL, MTBT1, TAU, MAPT, Microtubule-associated protein tau, Neurofibrillary tangle protein, Paired helical filament-tau, PHF-tau

10 Images
Immunohistochemistry (Formalin/PFA-fixed paraffin-embedded sections) - Anti-Tau (phospho S214) antibody [EPR1884(2)] (AB170892)
  • IHC-P

Unknown

Immunohistochemistry (Formalin/PFA-fixed paraffin-embedded sections) - Anti-Tau (phospho S214) antibody [EPR1884(2)] (AB170892)

ab170892 showing -ve staining in Human cervical carcinoma tissue.

Perform heat mediated antigen retrieval before commencing with IHC staining protocol.

Immunohistochemistry (Formalin/PFA-fixed paraffin-embedded sections) - Anti-Tau (phospho S214) antibody [EPR1884(2)] (AB170892)
  • IHC-P

Supplier Data

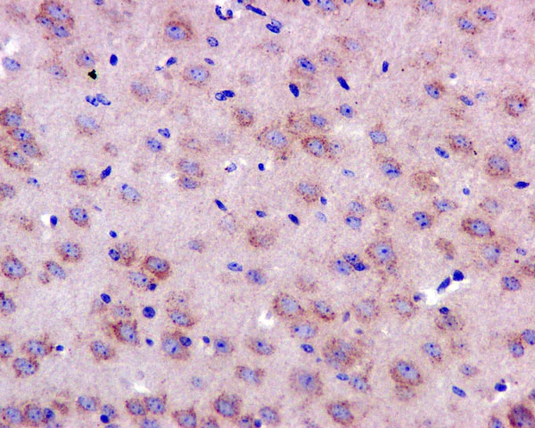
Immunohistochemistry (Formalin/PFA-fixed paraffin-embedded sections) - Anti-Tau (phospho S214) antibody [EPR1884(2)] (AB170892)

Immunohistochemical analysis of paraffin-embedded Human brain tissue labeling Tau (phospho S214) with ab170892 at 1/100 dilution.

Perform heat mediated antigen retrieval before commencing with IHC staining protocol.

Immunohistochemistry (Formalin/PFA-fixed paraffin-embedded sections) - Anti-Tau (phospho S214) antibody [EPR1884(2)] (AB170892)
  • IHC-P

Unknown

Immunohistochemistry (Formalin/PFA-fixed paraffin-embedded sections) - Anti-Tau (phospho S214) antibody [EPR1884(2)] (AB170892)

ab170892 showing -ve staining in Human normal kidney tissue.

Perform heat mediated antigen retrieval before commencing with IHC staining protocol.

Immunohistochemistry (Formalin/PFA-fixed paraffin-embedded sections) - Anti-Tau (phospho S214) antibody [EPR1884(2)] (AB170892)
  • IHC-P

Unknown

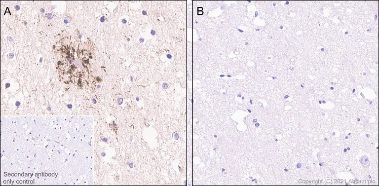
Immunohistochemistry (Formalin/PFA-fixed paraffin-embedded sections) - Anti-Tau (phospho S214) antibody [EPR1884(2)] (AB170892)

Immunohistochemistry (Formalin/PFA-fixed paraffin-embedded sections) analysis of Human AD cerebral cortex tissue labelling Tau with ab170892 at 1/100 dilution. Heat mediated antigen retrieval was performed using Tris/EDTA buffer pH 9. A HRP-conjugated goat anti-rabbit IgG (H+L) was used as the secondary antibody. Counterstained with hematoxylin.

Positive staining on human AD cerebral cortex without alkaline phosphatase treatment (image A). No signal was detected when tissues were treated with alkaline phosphatase (image B).

The section was incubated with ab170892 for 30 mins at room temperature. The immunostaining staining was performed on a Leica Biosystems BOND® RX instrument.

Immunohistochemistry (Formalin/PFA-fixed paraffin-embedded sections) - Anti-Tau (phospho S214) antibody [EPR1884(2)] (AB170892)
  • IHC-P

Unknown

Immunohistochemistry (Formalin/PFA-fixed paraffin-embedded sections) - Anti-Tau (phospho S214) antibody [EPR1884(2)] (AB170892)

ab170892 showing -ve staining in Human normal spleen tissue.

Perform heat mediated antigen retrieval before commencing with IHC staining protocol.

Immunohistochemistry (Formalin/PFA-fixed paraffin-embedded sections) - Anti-Tau (phospho S214) antibody [EPR1884(2)] (AB170892)
  • IHC-P

Supplier Data

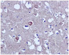
Immunohistochemistry (Formalin/PFA-fixed paraffin-embedded sections) - Anti-Tau (phospho S214) antibody [EPR1884(2)] (AB170892)

ab170892 showing +ve staining in Mouse brain tissue.

Perform heat mediated antigen retrieval before commencing with IHC staining protocol.

Western blot - Anti-Tau (phospho S214) antibody [EPR1884(2)] (AB170892)
  • WB

Lab

Western blot - Anti-Tau (phospho S214) antibody [EPR1884(2)] (AB170892)

Blocking/Diluting buffer and concentration : 5% NFDM/TBST

All lanes:

Western blot - Anti-Tau (phospho S214) antibody [EPR1884(2)] (ab170892) at 1/1000 dilution

Lane 1:

C57 mouse cerebral cortex whole cell lysates. at 15 µg

Lane 2:

C57 mouse cerebral cortex whole cell lysates. The membrane was incubated with phosphatase. at 15 µg

Secondary

All lanes:

Western blot - Goat Anti-Rabbit IgG H&L (HRP) (<a href='/en-us/products/secondary-antibodies/goat-rabbit-igg-h-l-hrp-ab97051'>ab97051</a>) at 1/20000 dilution

Predicted band size: 78 kDa

Observed band size: 50-70 kDa

false

Exposure time: 30s

Western blot - Anti-Tau (phospho S214) antibody [EPR1884(2)] (AB170892)
  • WB

Supplier Data

Western blot - Anti-Tau (phospho S214) antibody [EPR1884(2)] (AB170892)

All lanes:

Western blot - Anti-Tau (phospho S214) antibody [EPR1884(2)] (ab170892) at 1/1000 dilution

Lane 1:

SH-SY5Y cell lysates untreated at 10 µg

Lane 2:

SH-SY5Y cell lysates treated with Okadic acid + Calyculin A. at 10 µg

Secondary

All lanes:

Goat anti-rabbit HRP at 1/2000 dilution

Predicted band size: 78 kDa

false

Dot Blot - Anti-Tau (phospho S214) antibody [EPR1884(2)] (AB170892)
  • Dot

Lab

Dot Blot - Anti-Tau (phospho S214) antibody [EPR1884(2)] (AB170892)

Dot blot analysis of Tau (phospho S214) phospho peptide (Lane 1) and Tau non-phospho peptide (Lane 2) labeling Tau (phospho S214) with ab170892 at a dilution of 1/1000. ab97051 (Peroxidase conjugated goat anti-rabbit IgG) (H+L) at 1/100 000 was used as the secondary antibody.

Blocking and diluting buffer : 5% NFDM/TBST.

Exposure time : 3 minutes.

Immunohistochemistry - Anti-Tau (phospho S214) antibody [EPR1884(2)] (AB170892)
  • IHC

CiteAb

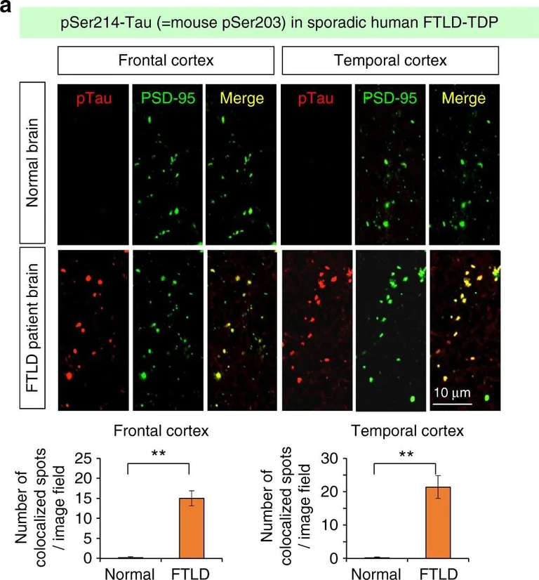
Immunohistochemistry - Anti-Tau (phospho S214) antibody [EPR1884(2)] (AB170892)

Tau (phospho S214) Immunohistochemistry using Anti-Tau (phospho S214) antibody [EPR1884(2)], ab170892. Publication image from Fujita, K. et al., 2018, Nat Commun, PubMed : 29382817.

Mislocalization of human pSer214 to spine. a Immunohistochemistry of pSer214-tau, which corresponds to mouse pSer203-tau, in human sporadic FTLD-TDP autopsy samples revealed similar mislocalization of specific types of tau to PSD95-positive spines (left images). Averages and s.e.m. are shown. Five independent cases were examined, and the averaged values of 10 visual fields (40 × 40 μm) in each case were used for quantitative analysis (right graphs). P-values were determined by Student’s t-test (N = 5). **p < 0.01. b Pathological diagnosis of patients was based on the presence of TDP43. Findings from each case are shown. p-values are shown in Supplementary data 1

  • Carrier free

    Anti-Tau (phospho S214) antibody [EPR1884(2)] - BSA and Azide free

Key facts

Host species

Rabbit

Clonality

Monoclonal

Clone number

EPR1884(2)

Isotype

IgG

Carrier free

No

Reacts with

Mouse, Human

Applications

WB, Dot, IHC-P

applications

Immunogen

The exact immunogen used to generate this antibody is proprietary information.

Specificity

The specificity of this antibody refers to P10636-8.

Reactivity data

{ "title": "Reactivity Data", "filters": { "stats": ["", "Species", "Dilution Info", "Notes"], "tabs": { "all-applications": {"fullname" : "All Applications", "shortname": "All Applications"}, "IHCP" : {"fullname" : "Immunohistochemistry (Formalin/PFA-fixed paraffin-embedded sections)", "shortname":"IHC-P"}, "ICCIF" : {"fullname" : "Immunocytochemistry/ Immunofluorescence", "shortname":"ICC/IF"}, "IP" : {"fullname" : "Immunoprecipitation", "shortname":"IP"}, "FlowCyt" : {"fullname" : "Flow Cytometry", "shortname":"Flow Cyt"}, "Dot" : {"fullname" : "Dot Blot", "shortname":"Dot"}, "WB" : {"fullname" : "Western blot", "shortname":"WB"} }, "product-promise": { "all": "all", "testedAndGuaranteed": "tested", "guaranteed": "expected", "predicted": "predicted", "notRecommended": "not-recommended" } }, "values": { "Human": { "IHCP-species-checked": "testedAndGuaranteed", "IHCP-species-dilution-info": "1/100 - 1/250", "IHCP-species-notes": "<p></p> Perform heat-mediated antigen retrieval before commencing with IHC staining protocol.", "ICCIF-species-checked": "notRecommended", "ICCIF-species-dilution-info": "", "ICCIF-species-notes": "<p></p>", "IP-species-checked": "notRecommended", "IP-species-dilution-info": "", "IP-species-notes": "<p></p>", "FlowCyt-species-checked": "notRecommended", "FlowCyt-species-dilution-info": "", "FlowCyt-species-notes": "<p></p>", "Dot-species-checked": "guaranteed", "Dot-species-dilution-info": "", "Dot-species-notes": "", "WB-species-checked": "testedAndGuaranteed", "WB-species-dilution-info": "1/1000 - 1/10000", "WB-species-notes": "<p></p>" }, "Mouse": { "IHCP-species-checked": "testedAndGuaranteed", "IHCP-species-dilution-info": "1/100 - 1/250", "IHCP-species-notes": "<p></p> Perform heat-mediated antigen retrieval before commencing with IHC staining protocol.", "ICCIF-species-checked": "notRecommended", "ICCIF-species-dilution-info": "", "ICCIF-species-notes": "", "IP-species-checked": "notRecommended", "IP-species-dilution-info": "", "IP-species-notes": "<p></p>", "FlowCyt-species-checked": "notRecommended", "FlowCyt-species-dilution-info": "", "FlowCyt-species-notes": "<p></p>", "Dot-species-checked": "guaranteed", "Dot-species-dilution-info": "", "Dot-species-notes": "", "WB-species-checked": "testedAndGuaranteed", "WB-species-dilution-info": "1/1000 - 1/10000", "WB-species-notes": "<p></p>" }, "Rat": { "IHCP-species-checked": "predicted", "IHCP-species-dilution-info": "", "IHCP-species-notes": "", "ICCIF-species-checked": "notRecommended", "ICCIF-species-dilution-info": "", "ICCIF-species-notes": "", "IP-species-checked": "notRecommended", "IP-species-dilution-info": "", "IP-species-notes": "", "FlowCyt-species-checked": "notRecommended", "FlowCyt-species-dilution-info": "", "FlowCyt-species-notes": "", "Dot-species-checked": "predicted", "Dot-species-dilution-info": "", "Dot-species-notes": "", "WB-species-checked": "predicted", "WB-species-dilution-info": "", "WB-species-notes": "" }, "Synthetic peptide": { "IHCP-species-checked": "notRecommended", "IHCP-species-dilution-info": "", "IHCP-species-notes": "", "ICCIF-species-checked": "notRecommended", "ICCIF-species-dilution-info": "", "ICCIF-species-notes": "", "IP-species-checked": "notRecommended", "IP-species-dilution-info": "", "IP-species-notes": "", "FlowCyt-species-checked": "notRecommended", "FlowCyt-species-dilution-info": "", "FlowCyt-species-notes": "", "Dot-species-checked": "testedAndGuaranteed", "Dot-species-dilution-info": "1/1000", "Dot-species-notes": "<p></p>", "WB-species-checked": "notRecommended", "WB-species-dilution-info": "", "WB-species-notes": "" } } }

Product details

Patented technology
Our RabMAb® technology is a patented hybridoma-based technology for making rabbit monoclonal antibodies. For details on our patents, please refer to RabMAb® patents.

What are the advantages of a recombinant monoclonal antibody?
This product is a recombinant monoclonal antibody, which offers several advantages including:

  • - High batch-to-batch consistency and reproducibility
  • - Improved sensitivity and specificity
  • - Long-term security of supply
  • - Animal-free batch production

For more information, read more on recombinant antibodies.

Properties and storage information

Form
Liquid
Purification technique
Affinity purification Protein A
Storage buffer
pH: 7.2 - 7.4 Preservative: 0.01% Sodium azide Constituents: PBS, 40% Glycerol (glycerin, glycerine), 0.05% BSA
Shipped at conditions
Blue Ice
Appropriate short-term storage duration
1-2 weeks
Appropriate short-term storage conditions
+4°C
Appropriate long-term storage conditions
-20°C
Aliquoting information
Upon delivery aliquot
Storage information
Avoid freeze / thaw cycle

Supplementary information

This supplementary information is collated from multiple sources and compiled automatically.

Tau also known as microtubule-associated protein Tau (MAPT) plays an important role in stabilizing microtubules in neuronal cells. Tau is primarily found in the central nervous system but also exists in peripheral neurons. Human Tau protein comes in six isoforms due to alternative splicing with molecular weights ranging from 48 kDa to 67 kDa. This protein predominantly locates in the axons of neurons where it maintains the stability of microtubule tracks necessary for axonal transport.
Biological function summary

Tau is involved in the assembly and stabilization of microtubules essential for maintaining neuronal structure. It interacts with microtubule-binding domains (MBD) to bind and bundle microtubules facilitating intracellular transport. Tau forms a part of the neuronal cytoskeleton complex working closely with other cytoskeletal proteins to preserve the proper axonal transport and function. Abnormally phosphorylated Tau often termed phospho-Tau disrupts this complex affecting microtubule stability.

Pathways

Tau has critical involvement in several signaling cascades such as the microtubule-binding and transport pathways. Glycogen synthase kinase 3 beta (GSK3β) and cyclin-dependent kinase 5 (CDK5) frequently phosphorylate Tau controlling its interaction with microtubules. Phosphorylated Tau accumulates leading to the formation of neurofibrillary tangles often observed in neurodegenerative conditions. Additionally Tau interacts with GAPDH impacting cellular energy regulation through potential pathway cross-talk involving oxidative stress responses.

Tau is closely associated with Alzheimer's disease and frontotemporal dementia. In Alzheimer's disease hyperphosphorylated Tau aggregates into paired helical filaments forming neurofibrillary tangles while similar aggregates are observed in frontotemporal dementia. In these conditions Tau links to amyloid precursor protein (APP) where misregulated phosphorylation-driven interactions contribute to neurodegeneration. Identifying phospho-Tau and its altered interactions with related proteins aids in understanding and potentially treating these disorders.

Product protocols

For this product, it's our understanding that no specific protocols are required. You can visit:

Target data

The protein expressed by the MAPT gene promotes microtubule assembly and stability and might be involved in establishing and maintaining neuronal polarity. Its C-terminus binds axonal microtubules, and the N-terminus binds neural plasma membrane components, suggesting that tau functions as a linker protein between the two. Axonal polarity is predetermined by MAPT localization within the neuronal cell's domain defined by the centrosome. The short isoforms allow cytoskeleton plasticity, whereas the longer isoforms may preferentially play a role in its stabilization. This supplementary information is collated from multiple sources and compiled automatically.
See full target information MAPT phospho S214

Additional targets

MAPT phospho S214

Publications (23)

Recent publications for all applications. Explore the full list and refine your search

Communications biology 8:1139 PubMed40745206

2025

Stoichiometric 14-3-3ζ binding promotes phospho-Tau microtubule dissociation and reduces aggregation and condensation.

Applications

Unspecified application

Species

Unspecified reactive species

Janine Hochmair,Maxime C M van den Oetelaar,Leandre Ravatt,Lisa Diez,Lenne J M Lemmens,Renata Ponce-Lina,Rithika Sankar,Maximilian Franck,Gesa Nolte,Ekaterina Semenova,Satabdee Mohapatra,Christian Ottmann,Luc Brunsveld,Susanne Wegmann

Journal of extracellular vesicles 13:e12439 PubMed38647111

2024

Neuropathogenic role of astrocyte-derived extracellular vesicles in HIV-associated neurocognitive disorders.

Applications

Unspecified application

Species

Unspecified reactive species

Divya T Chemparathy,Sudipta Ray,Chase Ochs,Natasha Ferguson,Dinesh Y Gawande,Shashank M Dravid,Shannon Callen,Susmita Sil,Shilpa Buch

Molecular medicine (Cambridge, Mass.) 30:4 PubMed38172666

2024

Key roles of autophagosome/endosome maturation mediated by Syntaxin17 in methamphetamine-induced neuronal damage in mice.

Applications

Unspecified application

Species

Unspecified reactive species

Xi Wang,Miaoyang Hu,Jingrong Chen,Xinyu Lou,Hongchao Zhang,Muhan Li,Jie Cheng,Tengfei Ma,Jianping Xiong,Rong Gao,Xufeng Chen,Jun Wang

eNeuro 10: PubMed36898832

2023

Characterization of the Tau Interactome in Human Brain Reveals Isoform-Dependent Interaction with 14-3-3 Family Proteins.

Applications

Unspecified application

Species

Unspecified reactive species

Ryan K Betters,Emma Luhmann,Amy C Gottschalk,Zhen Xu,Mallory R Shin,Christopher P Ptak,Kimberly L Fiock,Lilliana C Radoshevich,Marco M Hefti

Science advances 8:eadd2577 PubMed36459557

2022

Treatment of epilepsy using a targeted p38γ kinase gene therapy.

Applications

Unspecified application

Species

Unspecified reactive species

Nicolle Morey,Magdalena Przybyla,Julia van der Hoven,Yazi D Ke,Fabien Delerue,Janet van Eersel,Lars M Ittner

Experimental and therapeutic medicine 23:426 PubMed35607377

2022

Effect of ginkgolide K on calcium channel activity in Alzheimer's disease.

Applications

Unspecified application

Species

Unspecified reactive species

Hongbin Liu,Qinyun Li,Xiaodan Zhang,Yun Shi,Jinyi Li

Acta pharmacologica Sinica 43:1916-1927 PubMed34893682

2021

PINK1 overexpression prevents forskolin-induced tau hyperphosphorylation and oxidative stress in a rat model of Alzheimer's disease.

Applications

Unspecified application

Species

Unspecified reactive species

Xiao-Juan Wang,Lin Qi,Ya-Fang Cheng,Xue-Fei Ji,Tian-Yan Chi,Peng Liu,Li-Bo Zou

Neurobiology of aging 109:52-63 PubMed34655981

2021

Pathological tau and reactive astrogliosis are associated with distinct functional deficits in a mouse model of tauopathy.

Applications

Unspecified application

Species

Unspecified reactive species

Henika Patel,Pablo Martinez,Abigail Perkins,Xavier Taylor,Nur Jury,David McKinzie,Cristian A Lasagna-Reeves

Communications biology 4:1175 PubMed34635772

2021

HMGB1 signaling phosphorylates Ku70 and impairs DNA damage repair in Alzheimer's disease pathology.

Applications

Unspecified application

Species

Unspecified reactive species

Hikari Tanaka,Kanoh Kondo,Kyota Fujita,Hidenori Homma,Kazuhiko Tagawa,Xiaocen Jin,Meihua Jin,Yuki Yoshioka,Sumire Takayama,Hitomi Masuda,Rie Tokuyama,Yukoh Nakazaki,Takashi Saito,Takaomi Saido,Shigeo Murayama,Teikichi Ikura,Nobutoshi Ito,Yu Yamamori,Kentaro Tomii,Marco E Bianchi,Hitoshi Okazawa

Communications biology 4:961 PubMed34385591

2021

Prediction and verification of the AD-FTLD common pathomechanism based on dynamic molecular network analysis.

Applications

Unspecified application

Species

Unspecified reactive species

Meihua Jin,Xiaocen Jin,Hidenori Homma,Kyota Fujita,Hikari Tanaka,Shigeo Murayama,Hiroyasu Akatsu,Kazuhiko Tagawa,Hitoshi Okazawa
View all publications

Product promise

We are committed to supporting your work with high-quality reagents, and we're here for you every step of the way. In the unlikely event that one of our products does not perform as expected, you're protected by our Product Promise.
For full details, please see our Terms & Conditions

Please note: All products are 'FOR RESEARCH USE ONLY. NOT FOR USE IN DIAGNOSTIC OR THERAPEUTIC PROCEDURES'.

For licensing inquiries, please contact partnerships@abcam.com