JavaScript is disabled in your browser. Please enable JavaScript to view this website.
AB109401

Anti-Tau (phospho S324) antibody [EPR2457(2)]

Be the first to review this product! Submit a review

|

(7 Publications)

Rabbit Recombinant Monoclonal TAU phospho S324 antibody. Suitable for WB, ICC/IF, I-ELISA and reacts with Human, Mouse, Rat samples. Cited in 7 publications.

View Alternative Names

MAPTL, MTBT1, TAU, MAPT, Microtubule-associated protein tau, Neurofibrillary tangle protein, Paired helical filament-tau, PHF-tau

5 Images
Immunocytochemistry/ Immunofluorescence - Anti-Tau (phospho S324) antibody [EPR2457(2)] (AB109401)
  • ICC/IF

Unknown

Immunocytochemistry/ Immunofluorescence - Anti-Tau (phospho S324) antibody [EPR2457(2)] (AB109401)

Immunofluorescent staining of Tau in SH-SY5Y cells using ab109401 at 1/100.

Indirect ELISA - Anti-Tau (phospho S324) antibody [EPR2457(2)] (AB109401)
  • I-ELISA

Lab

Indirect ELISA - Anti-Tau (phospho S324) antibody [EPR2457(2)] (AB109401)

Indirect ELISA analysis of ab109401 at 1000-0 ng/ml. The Secondary antibody used was Alkaline Phosphatase-conjugated AffiniPure Goat Anti-Rabbit IgG (H+L) at 1 : 2500 dilution dilution.

Antigen : Human Tau (phospho S324) peptide, Human Tau non-phospho peptide.

Antigen concentration : 100 ng/ml

Western blot - Anti-Tau (phospho S324) antibody [EPR2457(2)] (AB109401)
  • WB

Lab

Western blot - Anti-Tau (phospho S324) antibody [EPR2457(2)] (AB109401)

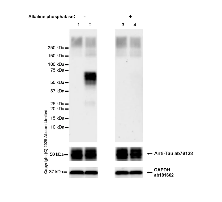
Blocking and diluting buffer and concentration : 5% NFDM/TBST.

In Western blot, Anti-GAPDH antibody [EPR16891] - Loading Control (ab181602) staining at 1/200000 dilution.

In Western blot, Anti-Tau antibody [EP2456Y] (ab76128) Total Protein Control at 1/1000 dilution.

All lanes:

Western blot - Anti-Tau (phospho S324) antibody [EPR2457(2)] (ab109401) at 1/1000 dilution

Lane 1:

Untreated rat brain tissue lysate (untreated membrane) at 20 µg

Lane 2:

Rat brain treated with 1μM Okadaic Acid and 200nM Calyculin A for 1 hour, tissue lysate (untreated membrane) at 20 µg

Lane 3:

Untreated rat brain tissue lysate (alkaline phosphatase treated membrane) at 20 µg

Lane 4:

Rat brain treated with 1μM Okadaic Acid and 200nM Calyculin A for 1 hour, tissue lysate (alkaline phosphatase treated membrane) at 20 µg

Secondary

All lanes:

Western blot - Goat Anti-Rabbit IgG H&L (HRP) (<a href='/en-us/products/secondary-antibodies/goat-rabbit-igg-h-l-hrp-ab97051'>ab97051</a>) at 1/20000 dilution

Observed band size: 48-60 kDa

false

Exposure time: 70s

Western blot - Anti-Tau (phospho S324) antibody [EPR2457(2)] (AB109401)
  • WB

Lab

Western blot - Anti-Tau (phospho S324) antibody [EPR2457(2)] (AB109401)

Blocking and diluting buffer and concentration : 5% NFDM/TBST.

In Western blot, Anti-GAPDH antibody [EPR16891] - Loading Control (ab181602) staining at 1/200000 dilution.

In Western blot, Anti-Tau antibody [EP2456Y] (ab76128) Total Protein Control at 1/1000 dilution.

All lanes:

Western blot - Anti-Tau (phospho S324) antibody [EPR2457(2)] (ab109401) at 1/1000 dilution

Lane 1:

Untreated mouse brain tissue lysate (untreated membrane) at 20 µg

Lane 2:

Mouse brain treated with 1μM Okadaic Acid and 200nM Calyculin A for 1 hour, tissue lysate (untreated membrane) at 20 µg

Lane 3:

Untreated mouse brain tissue lysate (alkaline phosphatase treated membrane) at 20 µg

Lane 4:

Mouse brain treated with 1μM Okadaic Acid and 200nM Calyculin A for 1 hour, tissue lysate (alkaline phosphatase treated membrane) at 20 µg

Secondary

All lanes:

Western blot - Goat Anti-Rabbit IgG H&L (HRP) (<a href='/en-us/products/secondary-antibodies/goat-rabbit-igg-h-l-hrp-ab97051'>ab97051</a>) at 1/20000 dilution

Observed band size: 48-60 kDa

false

Exposure time: 136s

Western blot - Anti-Tau (phospho S324) antibody [EPR2457(2)] (AB109401)
  • WB

Unknown

Western blot - Anti-Tau (phospho S324) antibody [EPR2457(2)] (AB109401)

All lanes:

Western blot - Anti-Tau (phospho S324) antibody [EPR2457(2)] (ab109401) at 1/10000 dilution

Lane 1:

SH-SY5Y cell lysate untreated at 10 µg

Lane 2:

SH-SY5Y cell lysate treated with Okadaic acid and Calyculin A at 10 µg

Predicted band size: 78 kDa

false

Key facts

Host species

Rabbit

Clonality

Monoclonal

Clone number

EPR2457(2)

Isotype

IgG

Carrier free

No

Reacts with

Human, Mouse, Rat

Applications

ICC/IF, I-ELISA, WB

applications

Immunogen

The exact immunogen used to generate this antibody is proprietary information.

Specificity

The specificity of this antibody refers to P10636-8.

Reactivity data

{ "title": "Reactivity Data", "filters": { "stats": ["", "Species", "Dilution Info", "Notes"], "tabs": { "all-applications": {"fullname" : "All Applications", "shortname": "All Applications"}, "FlowCyt" : {"fullname" : "Flow Cytometry", "shortname":"Flow Cyt"}, "WB" : {"fullname" : "Western blot", "shortname":"WB"}, "IHCP" : {"fullname" : "Immunohistochemistry (Formalin/PFA-fixed paraffin-embedded sections)", "shortname":"IHC-P"}, "ICCIF" : {"fullname" : "Immunocytochemistry/ Immunofluorescence", "shortname":"ICC/IF"}, "IELISA" : {"fullname" : "Indirect ELISA", "shortname":"I-ELISA"} }, "product-promise": { "all": "all", "testedAndGuaranteed": "tested", "guaranteed": "expected", "predicted": "predicted", "notRecommended": "not-recommended" } }, "values": { "Human": { "FlowCyt-species-checked": "notRecommended", "FlowCyt-species-dilution-info": "", "FlowCyt-species-notes": "<p></p>", "WB-species-checked": "testedAndGuaranteed", "WB-species-dilution-info": "1/1000 - 1/50000", "WB-species-notes": "<p></p>", "IHCP-species-checked": "notRecommended", "IHCP-species-dilution-info": "", "IHCP-species-notes": "<p></p>", "ICCIF-species-checked": "testedAndGuaranteed", "ICCIF-species-dilution-info": "1/100 - 1/250", "ICCIF-species-notes": "<p></p>", "IELISA-species-checked": "testedAndGuaranteed", "IELISA-species-dilution-info": "2000 ng/mL", "IELISA-species-notes": "<p>Use at 125 ng/ml.</p>" }, "Mouse": { "FlowCyt-species-checked": "notRecommended", "FlowCyt-species-dilution-info": "", "FlowCyt-species-notes": "", "WB-species-checked": "testedAndGuaranteed", "WB-species-dilution-info": "1/1000 - 1/50000", "WB-species-notes": "<p></p>", "IHCP-species-checked": "notRecommended", "IHCP-species-dilution-info": "", "IHCP-species-notes": "", "ICCIF-species-checked": "guaranteed", "ICCIF-species-dilution-info": "", "ICCIF-species-notes": "", "IELISA-species-checked": "guaranteed", "IELISA-species-dilution-info": "", "IELISA-species-notes": "" }, "Rat": { "FlowCyt-species-checked": "notRecommended", "FlowCyt-species-dilution-info": "", "FlowCyt-species-notes": "", "WB-species-checked": "testedAndGuaranteed", "WB-species-dilution-info": "1/1000 - 1/50000", "WB-species-notes": "<p></p>", "IHCP-species-checked": "notRecommended", "IHCP-species-dilution-info": "", "IHCP-species-notes": "", "ICCIF-species-checked": "guaranteed", "ICCIF-species-dilution-info": "", "ICCIF-species-notes": "", "IELISA-species-checked": "guaranteed", "IELISA-species-dilution-info": "", "IELISA-species-notes": "" } } }

Product details

Patented technology
Our RabMAb® technology is a patented hybridoma-based technology for making rabbit monoclonal antibodies. For details on our patents, please refer to RabMAb® patents.

What are the advantages of a recombinant monoclonal antibody?
This product is a recombinant monoclonal antibody, which offers several advantages including:

  • - High batch-to-batch consistency and reproducibility
  • - Improved sensitivity and specificity
  • - Long-term security of supply
  • - Animal-free batch production

For more information, read more on recombinant antibodies.

Properties and storage information

Form
Liquid
Purity
Tissue culture supernatant
Storage buffer
pH: 7.2 - 7.4 Preservative: 0.01% Sodium azide Constituents: PBS, 50% Tissue culture supernatant, 40% Glycerol (glycerin, glycerine), 0.05% BSA
Shipped at conditions
Blue Ice
Appropriate short-term storage conditions
+4°C
Appropriate long-term storage conditions
-20°C
Storage information
Stable for 12 months at -20°C

Supplementary information

This supplementary information is collated from multiple sources and compiled automatically.

Tau also known as microtubule-associated protein Tau (MAPT) plays an important role in stabilizing microtubules in neuronal cells. Tau is primarily found in the central nervous system but also exists in peripheral neurons. Human Tau protein comes in six isoforms due to alternative splicing with molecular weights ranging from 48 kDa to 67 kDa. This protein predominantly locates in the axons of neurons where it maintains the stability of microtubule tracks necessary for axonal transport.
Biological function summary

Tau is involved in the assembly and stabilization of microtubules essential for maintaining neuronal structure. It interacts with microtubule-binding domains (MBD) to bind and bundle microtubules facilitating intracellular transport. Tau forms a part of the neuronal cytoskeleton complex working closely with other cytoskeletal proteins to preserve the proper axonal transport and function. Abnormally phosphorylated Tau often termed phospho-Tau disrupts this complex affecting microtubule stability.

Pathways

Tau has critical involvement in several signaling cascades such as the microtubule-binding and transport pathways. Glycogen synthase kinase 3 beta (GSK3β) and cyclin-dependent kinase 5 (CDK5) frequently phosphorylate Tau controlling its interaction with microtubules. Phosphorylated Tau accumulates leading to the formation of neurofibrillary tangles often observed in neurodegenerative conditions. Additionally Tau interacts with GAPDH impacting cellular energy regulation through potential pathway cross-talk involving oxidative stress responses.

Tau is closely associated with Alzheimer's disease and frontotemporal dementia. In Alzheimer's disease hyperphosphorylated Tau aggregates into paired helical filaments forming neurofibrillary tangles while similar aggregates are observed in frontotemporal dementia. In these conditions Tau links to amyloid precursor protein (APP) where misregulated phosphorylation-driven interactions contribute to neurodegeneration. Identifying phospho-Tau and its altered interactions with related proteins aids in understanding and potentially treating these disorders.

Product protocols

For this product, it's our understanding that no specific protocols are required. You can visit:

Target data

The protein expressed by the MAPT gene promotes microtubule assembly and stability and might be involved in establishing and maintaining neuronal polarity. Its C-terminus binds axonal microtubules, and the N-terminus binds neural plasma membrane components, suggesting that tau functions as a linker protein between the two. Axonal polarity is predetermined by MAPT localization within the neuronal cell's domain defined by the centrosome. The short isoforms allow cytoskeleton plasticity, whereas the longer isoforms may preferentially play a role in its stabilization. This supplementary information is collated from multiple sources and compiled automatically.
See full target information MAPT phospho S324

Additional targets

MAPT phospho S324

Publications (7)

Recent publications for all applications. Explore the full list and refine your search

Communications biology 8:1139 PubMed40745206

2025

Stoichiometric 14-3-3ζ binding promotes phospho-Tau microtubule dissociation and reduces aggregation and condensation.

Applications

Unspecified application

Species

Unspecified reactive species

Janine Hochmair,Maxime C M van den Oetelaar,Leandre Ravatt,Lisa Diez,Lenne J M Lemmens,Renata Ponce-Lina,Rithika Sankar,Maximilian Franck,Gesa Nolte,Ekaterina Semenova,Satabdee Mohapatra,Christian Ottmann,Luc Brunsveld,Susanne Wegmann

Advanced science (Weinheim, Baden-Wurttemberg, Germany) 11:e2310134 PubMed38634567

2024

Tau Aggregation-Dependent Lipid Peroxide Accumulation Driven by the hsa_circ_0001546/14-3-3/CAMK2D/Tau Complex Inhibits Epithelial Ovarian Cancer Peritoneal Metastasis.

Applications

Unspecified application

Species

Unspecified reactive species

BinShu Chai,Yong Wu,HengHui Yang,BiaoFeng Fan,SiYu Cao,XiaoFei Zhang,YaQing Xie,ZhiXiang Hu,ZhongLiang Ma,YunKui Zhang,Wei Pan,Wei Meng,Jiao Meng,WenJuan Tian,JiaLi Zhang,YanLi Li,Yang Shao,ShaoJia Wang

Journal of neuroscience research 101:1900-1913 PubMed37787045

2023

Breast-to-brain metastasis is exacerbated with chemotherapy through blood-cerebrospinal fluid barrier and induces Alzheimer's-like pathology.

Applications

Unspecified application

Species

Unspecified reactive species

B Saatian,K Deshpande,R Herrera,S Sedighi,R Eisenbarth,M Iyer,D Das,A Julian,V Martirosian,A Lowman,P LaViolette,J Remsik,A Boire,E Sankey,P E Fecci,M S Shiroishi,F Chow,K Hurth,J Neman

Molecular metabolism 73:101731 PubMed37121509

2023

Semaphorin 4B is an ADAM17-cleaved adipokine that inhibits adipocyte differentiation and thermogenesis.

Applications

Unspecified application

Species

Unspecified reactive species

Abdulbasit Amin,Marina Badenes,Johanna Tüshaus,Érika de Carvalho,Emma Burbridge,Pedro Faísca,Květa Trávníčková,André Barros,Stefania Carobbio,Pedro M Domingos,Antonio Vidal-Puig,Luís F Moita,Sarah Maguire,Kvido Stříšovský,Francisco J Ortega,José Manuel Fernández-Real,Stefan F Lichtenthaler,Colin Adrain

The EMBO journal 41:e108882 PubMed35298090

2022

Molecular crowding and RNA synergize to promote phase separation, microtubule interaction, and seeding of Tau condensates.

Applications

Unspecified application

Species

Unspecified reactive species

Janine Hochmair,Christian Exner,Maximilian Franck,Alvaro Dominguez-Baquero,Lisa Diez,Hévila Brognaro,Matthew L Kraushar,Thorsten Mielke,Helena Radbruch,Senthilvelrajan Kaniyappan,Sven Falke,Eckhard Mandelkow,Christian Betzel,Susanne Wegmann

The Journal of biological chemistry 296:100760 PubMed33965374

2021

TBK1 interacts with tau and enhances neurodegeneration in tauopathy.

Applications

Unspecified application

Species

Unspecified reactive species

Measho H Abreha,Shamsideen Ojelade,Eric B Dammer,Zachary T McEachin,Duc M Duong,Marla Gearing,Gary J Bassell,James J Lah,Allan I Levey,Joshua M Shulman,Nicholas T Seyfried

PloS one 14:e0225727 PubMed31794565

2019

The KLDpT activation loop motif is critical for MARK kinase activity.

Applications

Unspecified application

Species

Unspecified reactive species

Tim Sonntag,James J Moresco,John R Yates,Marc Montminy
View all publications

Product promise

We are committed to supporting your work with high-quality reagents, and we're here for you every step of the way. In the unlikely event that one of our products does not perform as expected, you're protected by our Product Promise.
For full details, please see our Terms & Conditions

Please note: All products are 'FOR RESEARCH USE ONLY. NOT FOR USE IN DIAGNOSTIC OR THERAPEUTIC PROCEDURES'.

For licensing inquiries, please contact partnerships@abcam.com