JavaScript is disabled in your browser. Please enable JavaScript to view this website.
AB156623

Anti-Tau (phospho S396) antibody [EPR2731] - BSA and Azide free

Be the first to review this product! Submit a review

|

(2 Publications)

Rabbit Recombinant Monoclonal TAU phospho S396 antibody. Carrier free. Suitable for IP, Dot, WB, IHC-P, IHC-Fr and reacts with Human, Mouse, Rat, Synthetic peptide samples. Cited in 2 publications.

View Alternative Names

MAPTL, MTBT1, TAU, MAPT, Microtubule-associated protein tau, Neurofibrillary tangle protein, Paired helical filament-tau, PHF-tau

10 Images
Immunohistochemistry (Formalin/PFA-fixed paraffin-embedded sections) - Anti-Tau (phospho S396) antibody [EPR2731] - BSA and Azide free (AB156623)
  • IHC-P

Lab

Immunohistochemistry (Formalin/PFA-fixed paraffin-embedded sections) - Anti-Tau (phospho S396) antibody [EPR2731] - BSA and Azide free (AB156623)

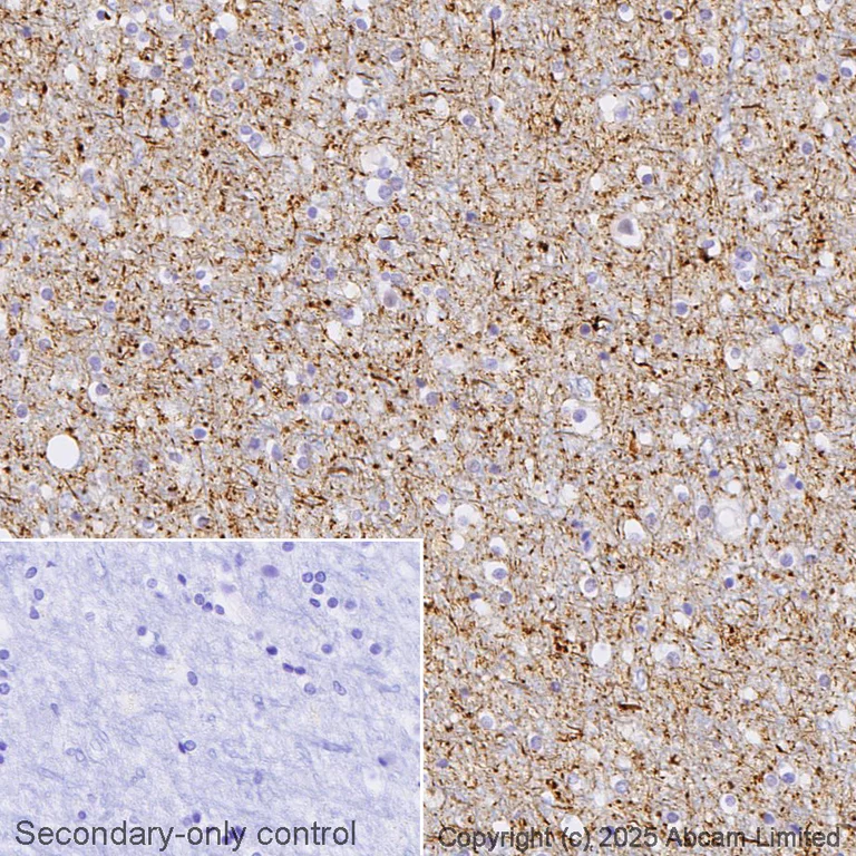
This data was developed using ab109390, the same antibody clone in a different buffer formulation.

Immunohistochemical analysis of paraffin-embedded human cerebral cortex tissue* labelling Tau (phospho S396) with ab109390 at 0.1ug/ml followed by a ready to use LeicaDS9800 (Bond™ Polymer Refine Detection).

Positive staining in human cerebral cortex.

The section was incubated with ab109390 for 30 mins at room temperature. The immunostaining was performed on a Leica Biosystems BOND® RX instrument Counterstained with Hematoxylin.

Secondary antibody only control : Secondary antibody is a ready to use LeicaDS9800 (Bond™ Polymer Refine Detection). Heat mediated antigen retrieval with sodium citrate buffer (pH 6.0 epitope retrieval solution1) for 20 mins.

*Tissue obtained from the Human Research Tissue Bank, supported by the NIHR Cambridge Biomedical Research Centre.

Immunohistochemistry (Formalin/PFA-fixed paraffin-embedded sections) - Anti-Tau (phospho S396) antibody [EPR2731] - BSA and Azide free (AB156623)
  • IHC-P

AbReview39770****

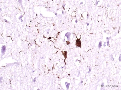
Immunohistochemistry (Formalin/PFA-fixed paraffin-embedded sections) - Anti-Tau (phospho S396) antibody [EPR2731] - BSA and Azide free (AB156623)

IHC image of Tau (phospho S396) staining in human Alzheimer hippocampus formalin fixed paraffin embedded tissue section. The section was pre-treated using heat mediated antigen retrieval with citrate buffer. The section was then incubated with unpurified ab109390 at 1/1000 dilution for 2 hoursat 21ºC. A biotin conjugated goat-anti-rabbit antibody was used as a secondary at 1/250. The section shows clear neurofibrillary tangles in a subset of neurons.

This data was developed using the same antibody clone in a different buffer formulation containing PBS, BSA, glycerol, and sodium azide (ab109390).

Image courtesy of Carl Hobbs, Kings College London, U.K.

Immunohistochemistry (Frozen sections) - Anti-Tau (phospho S396) antibody [EPR2731] - BSA and Azide free (AB156623)
  • IHC-Fr

Lab

Immunohistochemistry (Frozen sections) - Anti-Tau (phospho S396) antibody [EPR2731] - BSA and Azide free (AB156623)

This data was developed using the same antibody clone in a different buffer formulation containing PBS, BSA, glycerol, and sodium azide (ab109390).

Immunohistochemistry analysis of frozen rat cerebrum tissue sections labeling Tau (phospho S396) with ab109390 at 1/100 (1 μg/mL). ab150077 Alexa Fluor®488 Goat anti-Rabbit at 1/1000 (2 μg/mL) was used as the secondary antibody. Sections were fixed with 4% PFA and permeabilised with 0.2% Triton X-100. DAPI (blue) was used as nuclear counterstain. Antigen retrieval was heat mediated using sodium citrate buffer (10mM citrate pH 6.0 + 0.05% Tween-20).

Cytoplasmic staining on rat cerebrum, the signal decreased after phosphatase treatment at 37℃ for 2h.

Immunohistochemistry (Frozen sections) - Anti-Tau (phospho S396) antibody [EPR2731] - BSA and Azide free (AB156623)
  • IHC-Fr

Lab

Immunohistochemistry (Frozen sections) - Anti-Tau (phospho S396) antibody [EPR2731] - BSA and Azide free (AB156623)

This data was developed using the same antibody clone in a different buffer formulation containing PBS, BSA, glycerol, and sodium azide (ab109390).

Immunohistochemistry analysis of frozen mouse cerebrum tissue sections labeling Tau (phospho S396) with ab109390 at 1/100 (1 μg/mL). ab150077 AlexaFluor®488 Goat anti-Rabbit at 1/1000 (2 μg/mL) was used as the secondary antibody. Sections were fixed with 4% PFA and permeabilised with 0.2% Triton X-100. DAPI (blue) was used as nuclear counterstain. Antigen retrieval was heat mediated using sodium citrate buffer (10mM citrate pH 6.0 + 0.05% Tween-20).

Cytoplasmic staining on mouse cerebrum, the signal decreased after phosphatase treatment at 37℃ for 2h.

Immunohistochemistry (Formalin/PFA-fixed paraffin-embedded sections) - Anti-Tau (phospho S396) antibody [EPR2731] - BSA and Azide free (AB156623)
  • IHC-P

Lab

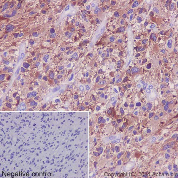
Immunohistochemistry (Formalin/PFA-fixed paraffin-embedded sections) - Anti-Tau (phospho S396) antibody [EPR2731] - BSA and Azide free (AB156623)

Immunohistochemical staining of paraffin embedded human glioblastoma with purified ab109390 at a dilution of 1/4000. A pre-diluted HRP polymer for rabbit/mouse IgG was used as the secondary antibody and the sample was counter-stained wirh hematoxylin. Antigen retrieval was perfomed using Tris-EDTA buffer, pH 9.0. PBS was used instead of the primary antibody as the negative control, and is shown in the inset.

This data was developed using the same antibody clone in a different buffer formulation containing PBS, BSA, glycerol, and sodium azide (ab109390).

Immunohistochemistry (Formalin/PFA-fixed paraffin-embedded sections) - Anti-Tau (phospho S396) antibody [EPR2731] - BSA and Azide free (AB156623)
  • IHC-P

Supplier Data

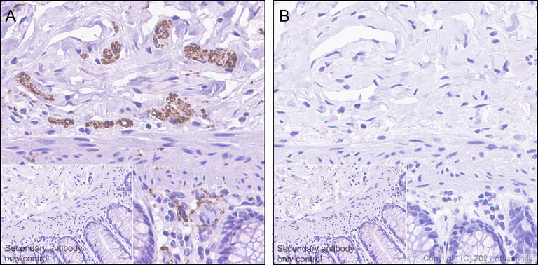
Immunohistochemistry (Formalin/PFA-fixed paraffin-embedded sections) - Anti-Tau (phospho S396) antibody [EPR2731] - BSA and Azide free (AB156623)

Immunohistochemistry analysis of paraffin-embedded human colon tissue sections labelling Tau (phospho S396) with ab109390 at 1/4000 dilution (0.026 μg/mL). The section was incubated with ab109390 for 30 mins at room temperature. Rabbit specific IHC polymer detection kit HRP/DAB (ab209101) was used as the secondary antibody. Sections were counterstained with Hematoxylin. Antigen retrieval was heat mediated using Bond™ Epitope Retrieval Solution 2 (pH 9.0) for 20 minutes. Positive staining on ganglions of human colon without alkaline phosphatase treatment (image A); No signal was detected when tissues were treated with alkaline phosphatase (image B).The immunostaining was performed on a Leica Biosystems BOND® RX instrument. This data was developed using the same antibody clone in a different buffer formulation containing PBS, BSA, glycerol, and sodium azide (ab109390).

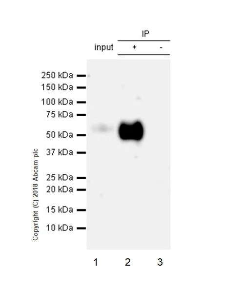
Immunoprecipitation - Anti-Tau (phospho S396) antibody [EPR2731] - BSA and Azide free (AB156623)
  • IP

Lab

Immunoprecipitation - Anti-Tau (phospho S396) antibody [EPR2731] - BSA and Azide free (AB156623)

ab109390 at 1/20 immunoprecipitating Tau (phospho S396) in Human brain lysate.

Lane 1 (input) : Human brain lysate (10μg)

Lane 2 (+) : ab109390 + Human brain lysate.

Lane 3 (-) : Rabbit monoclonal IgG (ab172730) instead of ab109390 in Human brain lysate.

For western blotting, VeriBlot for IP Detection Reagent (HRP) (ab131366), was used for detection at 1/5000 dilution.

Diluting / Blocking buffer and concentration : 5% NFDM/TBST.

This data was developed using the same antibody clone in a different buffer formulation containing PBS, BSA, glycerol, and sodium azide (ab109390).

All lanes:

Immunoprecipitation - Anti-Tau (phospho S396) antibody [EPR2731] (<a href='/en-us/products/primary-antibodies/tau-phospho-s396-antibody-epr2731-ab109390'>ab109390</a>)

Predicted band size: 78 kDa

Observed band size: 50-70 kDa

false

Exposure time: 3min

Western blot - Anti-Tau (phospho S396) antibody [EPR2731] - BSA and Azide free (AB156623)
  • WB

Lab

Western blot - Anti-Tau (phospho S396) antibody [EPR2731] - BSA and Azide free (AB156623)

Blocking/Diluting buffer and concentration 5% NFDM/TBST

Tau assembles into oligomers as described in PMID : 28382304, 32692785 and 30120733.

This data was developed using the same antibody clone in a different buffer formulation containing PBS, BSA, glycerol, and sodium azide (ab109390).

All lanes:

Western blot - Anti-Tau (phospho S396) antibody [EPR2731] (<a href='/en-us/products/primary-antibodies/tau-phospho-s396-antibody-epr2731-ab109390'>ab109390</a>) at 1/1000 dilution

Lane 1:

Human brain lysate at 15 µg

Lane 2:

Human brain lysates and the membrane was incubated with alkaline phosphatase at 15 µg

Lane 3:

Human brain lysates and the membrane was incubated with lambda phosphatase at 15 µg

Secondary

All lanes:

Goat Anti-Rabbit IgG (HRP) with minimal cross-reactivity with human IgG at 1/2000 dilution

Predicted band size: 78 kDa

Observed band size: 50-79 kDa

false

Exposure time: 100s

Western blot - Anti-Tau (phospho S396) antibody [EPR2731] - BSA and Azide free (AB156623)
  • WB

Lab

Western blot - Anti-Tau (phospho S396) antibody [EPR2731] - BSA and Azide free (AB156623)

Diluting/Diluting buffer and concentration 5% NFDM/TBST

Tau assembles into oligomers as described in PMID : 28382304, 32692785 and 30120733.

This data was developed using the same antibody clone in a different buffer formulation containing PBS, BSA, glycerol, and sodium azide (ab109390).

All lanes:

Western blot - Anti-Tau (phospho S396) antibody [EPR2731] (<a href='/en-us/products/primary-antibodies/tau-phospho-s396-antibody-epr2731-ab109390'>ab109390</a>) at 1/1000 dilution

Lane 1:

Mouse brain lysate at 15 µg

Lane 2:

Mouse brain lysates and the membrane was incubated with alkaline phosphatase at 15 µg

Lane 3:

Mouse brain lysates and the membrane was incubated with lambda phosphatase at 15 µg

Secondary

All lanes:

Goat Anti-Rabbit IgG (HRP) with minimal cross-reactivity with human IgG at 1/2000 dilution

Predicted band size: 78 kDa

Observed band size: 50-79 kDa

false

Exposure time: 10s

Dot Blot - Anti-Tau (phospho S396) antibody [EPR2731] - BSA and Azide free (AB156623)
  • Dot

Lab

Dot Blot - Anti-Tau (phospho S396) antibody [EPR2731] - BSA and Azide free (AB156623)

Dot blot analysis of Tau (phospho S396) phospho peptide (Lane 1) and Tau non-phospho peptide (Lane 2) labeling Tau (phospho S396) with ab109390 at a dilution of 1/1000. ab97051 (Peroxidase conjugated goat anti-rabbit IgG) (H+L) at 1/100 000 was used as the secondary antibody.

Blocking and diluting buffer : 5% NFDM/TBST.

Exposure time : 3 minutes.

This data was developed using the same antibody clone in a different buffer formulation containing PBS, BSA, glycerol, and sodium azide (ab109390).

Key facts

Host species

Rabbit

Clonality

Monoclonal

Clone number

EPR2731

Isotype

IgG

Carrier free

Yes

Reacts with

Mouse, Rat, Human

Applications

IP, IHC-Fr, IHC-P, Dot, WB

applications

Immunogen

The exact immunogen used to generate this antibody is proprietary information.

Specificity

The mouse and rat recommendation is based on the WB results. We do not guarantee IHC-P for mouse and rat.

The specificity of this antibody refers to P10636-8.

Reactivity data

{ "title": "Reactivity Data", "filters": { "stats": ["", "Species", "Dilution Info", "Notes"], "tabs": { "all-applications": {"fullname" : "All Applications", "shortname": "All Applications"}, "IP" : {"fullname" : "Immunoprecipitation", "shortname":"IP"}, "Dot" : {"fullname" : "Dot Blot", "shortname":"Dot"}, "WB" : {"fullname" : "Western blot", "shortname":"WB"}, "IHCP" : {"fullname" : "Immunohistochemistry (Formalin/PFA-fixed paraffin-embedded sections)", "shortname":"IHC-P"}, "ICCIF" : {"fullname" : "Immunocytochemistry/ Immunofluorescence", "shortname":"ICC/IF"}, "IHCFr" : {"fullname" : "Immunohistochemistry (Frozen sections)", "shortname":"IHC-Fr"} }, "product-promise": { "all": "all", "testedAndGuaranteed": "tested", "guaranteed": "expected", "predicted": "predicted", "notRecommended": "not-recommended" } }, "values": { "Human": { "IP-species-checked": "testedAndGuaranteed", "IP-species-dilution-info": "", "IP-species-notes": "<p></p>", "Dot-species-checked": "guaranteed", "Dot-species-dilution-info": "", "Dot-species-notes": "", "WB-species-checked": "testedAndGuaranteed", "WB-species-dilution-info": "", "WB-species-notes": "<p></p>", "IHCP-species-checked": "testedAndGuaranteed", "IHCP-species-dilution-info": "", "IHCP-species-notes": "<p>The mouse and rat recommendation is based on the WB results. We do not guarantee IHC-P for mouse and rat.</p>", "ICCIF-species-checked": "notRecommended", "ICCIF-species-dilution-info": "", "ICCIF-species-notes": "<p></p>", "IHCFr-species-checked": "testedAndGuaranteed", "IHCFr-species-dilution-info": "", "IHCFr-species-notes": "<p>Heat mediated antigen retrieval using sodium citrate buffer (10mM citrate pH 6.0 + 0.05% Tween-20).</p>" }, "Mouse": { "IP-species-checked": "guaranteed", "IP-species-dilution-info": "", "IP-species-notes": "", "Dot-species-checked": "guaranteed", "Dot-species-dilution-info": "", "Dot-species-notes": "", "WB-species-checked": "testedAndGuaranteed", "WB-species-dilution-info": "", "WB-species-notes": "<p></p>", "IHCP-species-checked": "notRecommended", "IHCP-species-dilution-info": "", "IHCP-species-notes": "<p></p>", "ICCIF-species-checked": "notRecommended", "ICCIF-species-dilution-info": "", "ICCIF-species-notes": "", "IHCFr-species-checked": "testedAndGuaranteed", "IHCFr-species-dilution-info": "", "IHCFr-species-notes": "<p>Heat mediated antigen retrieval using sodium citrate buffer (10mM citrate pH 6.0 + 0.05% Tween-20).</p>" }, "Rat": { "IP-species-checked": "guaranteed", "IP-species-dilution-info": "", "IP-species-notes": "", "Dot-species-checked": "guaranteed", "Dot-species-dilution-info": "", "Dot-species-notes": "", "WB-species-checked": "guaranteed", "WB-species-dilution-info": "", "WB-species-notes": "", "IHCP-species-checked": "notRecommended", "IHCP-species-dilution-info": "", "IHCP-species-notes": "<p></p>", "ICCIF-species-checked": "notRecommended", "ICCIF-species-dilution-info": "", "ICCIF-species-notes": "", "IHCFr-species-checked": "testedAndGuaranteed", "IHCFr-species-dilution-info": "", "IHCFr-species-notes": "<p>Heat mediated antigen retrieval using sodium citrate buffer (10mM citrate pH 6.0 + 0.05% Tween-20).</p>" }, "Synthetic peptide": { "IP-species-checked": "notRecommended", "IP-species-dilution-info": "", "IP-species-notes": "", "Dot-species-checked": "testedAndGuaranteed", "Dot-species-dilution-info": "", "Dot-species-notes": "<p></p>", "WB-species-checked": "notRecommended", "WB-species-dilution-info": "", "WB-species-notes": "", "IHCP-species-checked": "notRecommended", "IHCP-species-dilution-info": "", "IHCP-species-notes": "", "ICCIF-species-checked": "notRecommended", "ICCIF-species-dilution-info": "", "ICCIF-species-notes": "", "IHCFr-species-checked": "notRecommended", "IHCFr-species-dilution-info": "", "IHCFr-species-notes": "" } } }

You may be interested in:

AB324328

Human Tau (phospho S396) ELISA Kit- Extracellular

0

0 Reviews

View product

We recommend this product because it’s often used in the same experiment or related research.

We advise that you always check the datasheet to ensure it fits your experiments, or contact ourtechnical teamfor help.

Product details

Properties and storage information

Form
Liquid
Purification technique
Affinity purification Protein A
Storage buffer
Constituents: PBS
Shipped at conditions
Blue Ice
Appropriate short-term storage conditions
+4°C
Appropriate long-term storage conditions
+4°C
Storage information
Do Not Freeze

Supplementary information

This supplementary information is collated from multiple sources and compiled automatically.

Tau also known as microtubule-associated protein Tau (MAPT) plays an important role in stabilizing microtubules in neuronal cells. Tau is primarily found in the central nervous system but also exists in peripheral neurons. Human Tau protein comes in six isoforms due to alternative splicing with molecular weights ranging from 48 kDa to 67 kDa. This protein predominantly locates in the axons of neurons where it maintains the stability of microtubule tracks necessary for axonal transport.
Biological function summary

Tau is involved in the assembly and stabilization of microtubules essential for maintaining neuronal structure. It interacts with microtubule-binding domains (MBD) to bind and bundle microtubules facilitating intracellular transport. Tau forms a part of the neuronal cytoskeleton complex working closely with other cytoskeletal proteins to preserve the proper axonal transport and function. Abnormally phosphorylated Tau often termed phospho-Tau disrupts this complex affecting microtubule stability.

Pathways

Tau has critical involvement in several signaling cascades such as the microtubule-binding and transport pathways. Glycogen synthase kinase 3 beta (GSK3β) and cyclin-dependent kinase 5 (CDK5) frequently phosphorylate Tau controlling its interaction with microtubules. Phosphorylated Tau accumulates leading to the formation of neurofibrillary tangles often observed in neurodegenerative conditions. Additionally Tau interacts with GAPDH impacting cellular energy regulation through potential pathway cross-talk involving oxidative stress responses.

Tau is closely associated with Alzheimer's disease and frontotemporal dementia. In Alzheimer's disease hyperphosphorylated Tau aggregates into paired helical filaments forming neurofibrillary tangles while similar aggregates are observed in frontotemporal dementia. In these conditions Tau links to amyloid precursor protein (APP) where misregulated phosphorylation-driven interactions contribute to neurodegeneration. Identifying phospho-Tau and its altered interactions with related proteins aids in understanding and potentially treating these disorders.

Product protocols

For this product, it's our understanding that no specific protocols are required. You can visit:

Target data

The protein expressed by the MAPT gene promotes microtubule assembly and stability and might be involved in establishing and maintaining neuronal polarity. Its C-terminus binds axonal microtubules, and the N-terminus binds neural plasma membrane components, suggesting that tau functions as a linker protein between the two. Axonal polarity is predetermined by MAPT localization within the neuronal cell's domain defined by the centrosome. The short isoforms allow cytoskeleton plasticity, whereas the longer isoforms may preferentially play a role in its stabilization. This supplementary information is collated from multiple sources and compiled automatically.
See full target information MAPT phospho S396

Additional targets

MAPT phospho S396

Publications (2)

Recent publications for all applications. Explore the full list and refine your search

Journal of neuropathology and experimental neurology 82:127-139 PubMed36617181

2023

Vascular injury is associated with repetitive head impacts and tau pathology in chronic traumatic encephalopathy.

Applications

Unspecified application

Species

Unspecified reactive species

Daniel Kirsch,Arsal Shah,Erin Dixon,Hunter Kelley,Jonathan D Cherry,Weiming Xia,Sarah Daley,Nurgul Aytan,Kerry Cormier,Carol Kubilus,Rebecca Mathias,Victor E Alvarez,Bertrand R Huber,Ann C McKee,Thor D Stein

Alzheimer's & dementia : the journal of the Alzheimer's Association 18:1511-1522 PubMed34854540

2021

Tau phosphorylation sites serine202 and serine396 are differently altered in chronic traumatic encephalopathy and Alzheimer's disease.

Applications

Unspecified application

Species

Unspecified reactive species

SpiroAnthony Stathas,Victor E Alvarez,Weiming Xia,Raymond Nicks,Gaoyuan Meng,Sarah Daley,Morgan Pothast,Arsal Shah,Hunter Kelley,Camille Esnault,Robert McCormack,Erin Dixon,Lucas Fishbein,Jonathan D Cherry,Bertrand R Huber,Yorghos Tripodis,Michael L Alosco,Jesse Mez,Ann C McKee,Thor D Stein
View all publications

Product promise

We are committed to supporting your work with high-quality reagents, and we're here for you every step of the way. In the unlikely event that one of our products does not perform as expected, you're protected by our Product Promise.
For full details, please see our Terms & Conditions

Associated Products

Select an associated product type
Alternative Product
Primary Antibodies

AB92682

Anti-Tau (phospho S356) antibody [EPR2603]

primary-antibodies

tau-phospho-s356-antibody-epr2603-ab92682

0

(0 reviews)

Alternative Product
Primary Antibodies

AB151559

Anti-Tau (phospho T231) antibody [EPR2488]

primary-antibodies

tau-phospho-t231-antibody-epr2488-ab151559

5

(6 reviews)

Alternative Product
Primary Antibodies

AB32057

Anti-Tau (phospho S396) antibody [E178]

primary-antibodies

tau-phospho-s396-antibody-e178-ab32057

5

(5 reviews)

Alternative Product
Primary Antibodies

AB170892

Anti-Tau (phospho S214) antibody [EPR1884(2)]

primary-antibodies

tau-phospho-s214-antibody-epr18842-ab170892

5

(1 reviews)

Alternative Product
Primary Antibodies

AB92676

Anti-Tau (phospho S404) antibody [EPR2605]

primary-antibodies

tau-phospho-s404-antibody-epr2605-ab92676

5

(4 reviews)

Alternative Product
Primary Antibodies

AB93726

Anti-Tau antibody [SP70]

primary-antibodies

tau-antibody-sp70-ab93726

5

(4 reviews)

Alternative Version
Primary Antibodies

AB300748

Alexa Fluor® 647 Anti-Tau (phospho S396) antibody [EPR2731]

primary-antibodies

alexa-fluor-647-tau-phospho-s396-antibody-epr2731-ab300748

0

(0 reviews)

Alternative Version
Primary Antibodies

AB302686

Alexa Fluor® 594 Anti-Tau (phospho S396) antibody [EPR2731]

primary-antibodies

alexa-fluor-594-tau-phospho-s396-antibody-epr2731-ab302686

0

(0 reviews)

Alternative Version
Primary Antibodies

AB302804

Alexa Fluor® 568 Anti-Tau (phospho S396) antibody [EPR2731]

primary-antibodies

alexa-fluor-568-tau-phospho-s396-antibody-epr2731-ab302804

0

(0 reviews)

Alternative Version
Primary Antibodies

AB302570

Alexa Fluor® 555 Anti-Tau (phospho S396) antibody [EPR2731]

primary-antibodies

alexa-fluor-555-tau-phospho-s396-antibody-epr2731-ab302570

0

(0 reviews)

Alternative Version
Primary Antibodies

AB302581

Alexa Fluor® 488 Anti-Tau (phospho S396) antibody [EPR2731]

primary-antibodies

alexa-fluor-488-tau-phospho-s396-antibody-epr2731-ab302581

0

(0 reviews)

Please note: All products are 'FOR RESEARCH USE ONLY. NOT FOR USE IN DIAGNOSTIC OR THERAPEUTIC PROCEDURES'.

For licensing inquiries, please contact partnerships@abcam.com