JavaScript is disabled in your browser. Please enable JavaScript to view this website.
AB92676

Anti-Tau (phospho S404) antibody [EPR2605]

  • BOND RX™ Validated
  • 20ul selling size
  • RabMAb
  • Recombinant
  • What is this?

5

(4 Reviews)

|

(58 Publications)

Anti-Tau (phospho S404) antibody [EPR2605] (ab92676) is a rabbit monoclonal antibody detecting Tau in Western Blot, IP, IHC-P, IHC-Fr, ICC/IF, Dot Blot. Suitable for Human, Mouse, Rat.

- Biophysical QC for unrivalled batch-batch consistency
- Over 30 publications
- Trusted since 2010

View Alternative Names

MAPTL, MTBT1, TAU, MAPT, Microtubule-associated protein tau, Neurofibrillary tangle protein, Paired helical filament-tau, PHF-tau

14 Images
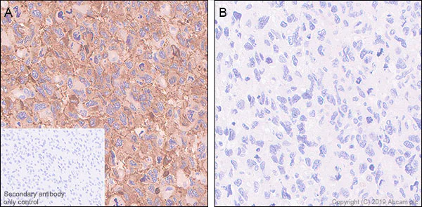
Immunohistochemistry (Formalin/PFA-fixed paraffin-embedded sections) - Anti-Tau (phospho S404) antibody [EPR2605] (AB92676)
  • IHC-P

Lab

Immunohistochemistry (Formalin/PFA-fixed paraffin-embedded sections) - Anti-Tau (phospho S404) antibody [EPR2605] (AB92676)

Immunohistochemistry (Formalin/PFA-fixed paraffin-embedded sections) analysis of Human glioma tissue sections labeling Tau with purified ab92676 at 1/200 dilution (0.53 µg/mL). Heat mediated antigen retrieval using Bond™ Epitope Retrieval Solution 2 (pH 9.0). The immunostaining was performed on a Leica Biosystems BOND® RX instrument. Rabbit specific IHC polymer detection kit HRP/DAB (ab209101) was used as the secondary antibody. Negative control : PBS instead of the primary antibody. Hematoxylin was used as a counterstain.

Immunohistochemistry (Formalin/PFA-fixed paraffin-embedded sections) - Anti-Tau (phospho S404) antibody [EPR2605] (AB92676)
  • IHC-P

Lab

Immunohistochemistry (Formalin/PFA-fixed paraffin-embedded sections) - Anti-Tau (phospho S404) antibody [EPR2605] (AB92676)

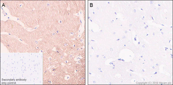
Immunohistochemical analysis of paraffin-embedded human Alzheimer's brain tissue* labelling Tau (phospho S404) with ab92676 at 1ug/ml followed by a ready to use LeicaDS9800 (Bond Polymer Refine Detection).

Positive staining in human Alzheimer's brain.

The section was incubated with ab92676 for 30 mins at room temperature. The immunostaining was performed on a Leica Biosystems BOND® RX instrument. Counterstained with Hematoxylin.

Secondary antibody only control : Secondary antibody is a ready to use LeicaDS9800 (Bond Polymer Refine Detection).

Heat mediated antigen retrieval with sodium citrate buffer (pH 6.0 epitope retrieval solution1) for 20 mins.

*Tissue obtained from the Human Research Tissue Bank, supported by the NIHR Cambridge Biomedical Research Centre.

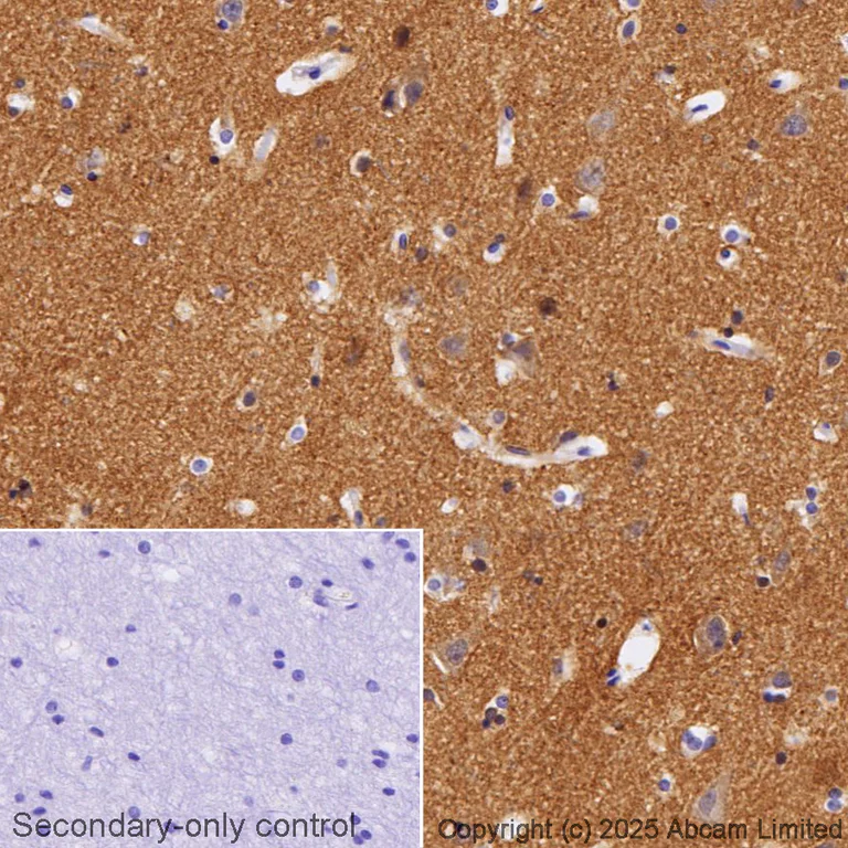
Immunohistochemistry (Formalin/PFA-fixed paraffin-embedded sections) - Anti-Tau (phospho S404) antibody [EPR2605] (AB92676)
  • IHC-P

Lab

Immunohistochemistry (Formalin/PFA-fixed paraffin-embedded sections) - Anti-Tau (phospho S404) antibody [EPR2605] (AB92676)

Immunohistochemical analysis of paraffin-embedded human cerebral cortex tissue* labelling Tau (phospho S404) with ab92676 at 1ug/ml followed by a ready to use LeicaDS9800 (Bond Polymer Refine Detection).

Positive staining in human cerebral cortex.

The section was incubated with ab92676 for 30 mins at room temperature. The immunostaining was performed on a Leica Biosystems BOND® RX instrument. Counterstained with Hematoxylin.

Secondary antibody only control : Secondary antibody is a ready to use LeicaDS9800 (Bond Polymer Refine Detection).

Heat mediated antigen retrieval with sodium citrate buffer (pH 6.0 epitope retrieval solution1) for 20 mins.

*Tissue obtained from the Human Research Tissue Bank, supported by the NIHR Cambridge Biomedical Research Centre.

Immunoprecipitation - Anti-Tau (phospho S404) antibody [EPR2605] (AB92676)
  • IP

Lab

Immunoprecipitation - Anti-Tau (phospho S404) antibody [EPR2605] (AB92676)

Purified ab92676 at 1/20 dilution (0.5μg) immunoprecipitating Tau in Human brain lysate.
Lane 1 (input) : Human brain lysate 10μg
Lane 2 (+) : ab92676 + Human brain lysate.
Lane 3 (-) : Rabbit monoclonal IgG (ab172730) instead of ab92676 in Human brain lysate.
VeriBlot for IP Detection Reagent (HRP) (ab131366) (1/5000 dilution) was used for Western blotting.
Blocking Buffer and concentration : 5% NFDM/TBST.
Diluting buffer and concentration : 5% NFDM/TBST.
Observed band size : 50-70 kDa

All lanes:

Immunoprecipitation - Anti-Tau (phospho S404) antibody [EPR2605] (ab92676)

Predicted band size: 78 kDa

false

Immunohistochemistry (Frozen sections) - Anti-Tau (phospho S404) antibody [EPR2605] (AB92676)
  • IHC-Fr

Unknown

Immunohistochemistry (Frozen sections) - Anti-Tau (phospho S404) antibody [EPR2605] (AB92676)

Immunohistochemistry (Frozen sections) analysis of mouse cerebrum tissue sections labeling Tau with Purified ab92676 at 1/50 (1.9 μg/ml).Heat mediated antigen retrieval using sodium citrate buffer (10mM citrate pH 6.0 + 0.05% Tween-20). Goat anti rabbit IgG (Alexa Fluor® 488, ab150077) was used as the secondary antibody. Negative control : PBS instead of the primary antibody. DAPI was used as a counterstain.

Immunohistochemistry (Formalin/PFA-fixed paraffin-embedded sections) - Anti-Tau (phospho S404) antibody [EPR2605] (AB92676)
  • IHC-P

Lab

Immunohistochemistry (Formalin/PFA-fixed paraffin-embedded sections) - Anti-Tau (phospho S404) antibody [EPR2605] (AB92676)

Immunohistochemistry (Formalin/PFA-fixed paraffin-embedded sections) analysis of Mouse cerebrum tissue sections labeling Tau with purified ab92676 at 1/200 dilution (0.53 µg/mL). Heat mediated antigen retrieval using Bond™ Epitope Retrieval Solution 2 (pH 9.0). The immunostaining was performed on a Leica Biosystems BOND® RX instrument. Rabbit specific IHC polymer detection kit HRP/DAB (ab209101) was used as the secondary antibody. Negative control : PBS instead of the primary antibody. Hematoxylin was used as a counterstain.

Immunocytochemistry/ Immunofluorescence - Anti-Tau (phospho S404) antibody [EPR2605] (AB92676)
  • ICC/IF

Lab

Immunocytochemistry/ Immunofluorescence - Anti-Tau (phospho S404) antibody [EPR2605] (AB92676)

Immunocytochemistry/ Immunofluorescence analysis of Embryonic mouse primary neural cells labeling Tau with purified ab92676 at 1 : 100 dilution (1 μg/ml). Cells were fixed in 4% Paraformaldehyde and permeabilized with 0.1% tritonX-100. Goat anti rabbit IgG (Alexa Fluor© 488, ab150077) was used as the secondary antibody at 1 : 1000 (2 μg/ml) dilution. DAPI (blue) was used as nuclear counterstain. Cells were counterstained with ab195889 Anti-alpha Tubulin antibody [DM1A] - Microtubule Marker (Alexa Fluor® 594) at 1 : 200 (2.5 μg/ml) dilution. DAPI (blue) was used as nuclear counterstain.

Confocal image showing positive staining in neuron.

Immunocytochemistry/ Immunofluorescence - Anti-Tau (phospho S404) antibody [EPR2605] (AB92676)
  • ICC/IF

AbReview52565****

Immunocytochemistry/ Immunofluorescence - Anti-Tau (phospho S404) antibody [EPR2605] (AB92676)

Mouse primary cortical cultures stained for Tau (phospho S404) (green) using ab92676 at 1/100 dilution in ICC/IF, followed by Donkey anti-Rabbit IgG (H+L) Alexa Fluor 488®.

This image is courtesy of an anonymous Abreview.

Immunohistochemistry (Formalin/PFA-fixed paraffin-embedded sections) - Anti-Tau (phospho S404) antibody [EPR2605] (AB92676)
  • IHC-P

Lab

Immunohistochemistry (Formalin/PFA-fixed paraffin-embedded sections) - Anti-Tau (phospho S404) antibody [EPR2605] (AB92676)

Immunohistochemistry (Formalin/PFA-fixed paraffin-embedded sections) analysis of Rat cerebrum tissue sections labeling Tau with purified ab92676 at 1/200 dilution (0.53 µg/mL). Heat mediated antigen retrieval using Bond™ Epitope Retrieval Solution 2 (pH 9.0). The immunostaining was performed on a Leica Biosystems BOND® RX instrument. Rabbit specific IHC polymer detection kit HRP/DAB (ab209101) was used as the secondary antibody. Negative control : PBS instead of the primary antibody. Hematoxylin was used as a counterstain.

Immunoprecipitation - Anti-Tau (phospho S404) antibody [EPR2605] (AB92676)
  • IP

Lab

Immunoprecipitation - Anti-Tau (phospho S404) antibody [EPR2605] (AB92676)

Purified ab92676 at 1/20 dilution (0.5μg) immunoprecipitating Tau in Mouse brain lysate.
Lane 1 (input) : Mouse brain lysate 10μg
Lane 2 (+) : ab92676 + Mouse brain lysate.
Lane 3 (-) : Rabbit monoclonal IgG (ab172730) instead of ab92676 in Mouse brain lysate.
VeriBlot for IP Detection Reagent (HRP) (ab131366) (1/1000 dilution) was used for Western blotting.
Blocking Buffer and concentration : 5% NFDM/TBST.
Diluting buffer and concentration : 5% NFDM/TBST.
Observed band size : 50-70 kDa

All lanes:

Immunoprecipitation - Anti-Tau (phospho S404) antibody [EPR2605] (ab92676)

Predicted band size: 78 kDa

false

Western blot - Anti-Tau (phospho S404) antibody [EPR2605] (AB92676)
  • WB

Unknown

Western blot - Anti-Tau (phospho S404) antibody [EPR2605] (AB92676)

All lanes:

Western blot - Anti-Tau (phospho S404) antibody [EPR2605] (ab92676) at 1/1000 dilution

Lane 1:

Human brain lysate

Lane 2:

Human brain lysate, the menbrane treated with alkaline phosphatase for 1 hour

Secondary

All lanes:

Goat Anti-Rabbit IgG (HRP) with minimal cross-reactivity with human IgG at 1/2000 dilution

Predicted band size: 78 kDa

false

Western blot - Anti-Tau (phospho S404) antibody [EPR2605] (AB92676)
  • WB

Unknown

Western blot - Anti-Tau (phospho S404) antibody [EPR2605] (AB92676)

All lanes:

Western blot - Anti-Tau (phospho S404) antibody [EPR2605] (ab92676) at 1/1000 dilution

Lane 1:

Mouse brain lysate

Lane 2:

Mouse brain lysate, the menbrane treated with alkaline phosphatase for 1 hour

Secondary

All lanes:

Goat Anti-Rabbit IgG (HRP) with minimal cross-reactivity with human IgG at 1/2000 dilution

Predicted band size: 78 kDa

false

Western blot - Anti-Tau (phospho S404) antibody [EPR2605] (AB92676)
  • WB

Unknown

Western blot - Anti-Tau (phospho S404) antibody [EPR2605] (AB92676)

All lanes:

Western blot - Anti-Tau (phospho S404) antibody [EPR2605] (ab92676) at 1/1000 dilution

Lane 1:

Rat brain lysate

Lane 2:

Rat brain lysate, the menbrane treated with alkaline phosphatase for 1 hour

Secondary

All lanes:

Goat Anti-Rabbit IgG (HRP) with minimal cross-reactivity with human IgG at 1/2000 dilution

Predicted band size: 78 kDa

false

Dot Blot - Anti-Tau (phospho S404) antibody [EPR2605] (AB92676)
  • Dot

Unknown

Dot Blot - Anti-Tau (phospho S404) antibody [EPR2605] (AB92676)

Dot blot analysis of Tau (pS404) phosopho peptide (Lane 1) and Tau non-phospho peptide (Lane 2) labelling Tau (phospho S404) with ab92676 at a dilution of 1/1000. ab97051 (Peroxidase conjugated goat anti-rabbit IgG (H+L)) was used as the secondary antibody at a dilution of 1/100000.

Blocking and dilution buffer : 5% NFDM/TBST.

Exposure time : 3 minutes.

  • Carrier free

    Anti-Tau (phospho S404) antibody [EPR2605] - BSA and Azide free

  • 665 Alexa Fluor® 647

    Alexa Fluor® 647 Anti-Tau (phospho S404) antibody [EPR2605]

  • 603 Alexa Fluor® 568

    Alexa Fluor® 568 Anti-Tau (phospho S404) antibody [EPR2605]

  • 565 Alexa Fluor® 555

    Alexa Fluor® 555 Anti-Tau (phospho S404) antibody [EPR2605]

  • 617 Alexa Fluor® 594

    Alexa Fluor® 594 Anti-Tau (phospho S404) antibody [EPR2605]

  • 775 Alexa Fluor® 750

    Alexa Fluor® 750 Anti-Tau (phospho S404) antibody [EPR2605]

Key facts

Host species

Rabbit

Clonality

Monoclonal

Clone number

EPR2605

Isotype

IgG

Carrier free

No

Reacts with

Mouse, Rat, Human

Applications

Dot, ICC/IF, IHC-Fr, IHC-P, IP, WB

applications

Immunogen

The exact immunogen used to generate this antibody is proprietary information.

Specificity

The specificity of this antibody refers to P10636-8.

Reactivity data

{ "title": "Reactivity Data", "filters": { "stats": ["", "Species", "Dilution Info", "Notes"], "tabs": { "all-applications": {"fullname" : "All Applications", "shortname": "All Applications"}, "IHCP" : {"fullname" : "Immunohistochemistry (Formalin/PFA-fixed paraffin-embedded sections)", "shortname":"IHC-P"}, "ICCIF" : {"fullname" : "Immunocytochemistry/ Immunofluorescence", "shortname":"ICC/IF"}, "IP" : {"fullname" : "Immunoprecipitation", "shortname":"IP"}, "Dot" : {"fullname" : "Dot Blot", "shortname":"Dot"}, "WB" : {"fullname" : "Western blot", "shortname":"WB"}, "IHCFr" : {"fullname" : "Immunohistochemistry (Frozen sections)", "shortname":"IHC-Fr"} }, "product-promise": { "all": "all", "testedAndGuaranteed": "tested", "guaranteed": "expected", "predicted": "predicted", "notRecommended": "not-recommended" } }, "values": { "Human": { "IHCP-species-checked": "testedAndGuaranteed", "IHCP-species-dilution-info": "1/100 - 1/250", "IHCP-species-notes": "<p></p> Perform heat-mediated antigen retrieval before commencing with IHC staining protocol.", "ICCIF-species-checked": "guaranteed", "ICCIF-species-dilution-info": "", "ICCIF-species-notes": "", "IP-species-checked": "testedAndGuaranteed", "IP-species-dilution-info": "1/20", "IP-species-notes": "<p></p>", "Dot-species-checked": "guaranteed", "Dot-species-dilution-info": "", "Dot-species-notes": "", "WB-species-checked": "testedAndGuaranteed", "WB-species-dilution-info": "1/500 - 1/2000", "WB-species-notes": "<p></p>", "IHCFr-species-checked": "guaranteed", "IHCFr-species-dilution-info": "", "IHCFr-species-notes": "" }, "Mouse": { "IHCP-species-checked": "testedAndGuaranteed", "IHCP-species-dilution-info": "1/100 - 1/250", "IHCP-species-notes": "<p></p> Perform heat-mediated antigen retrieval before commencing with IHC staining protocol.", "ICCIF-species-checked": "testedAndGuaranteed", "ICCIF-species-dilution-info": "", "ICCIF-species-notes": "<p></p>", "IP-species-checked": "testedAndGuaranteed", "IP-species-dilution-info": "1/20", "IP-species-notes": "<p></p>", "Dot-species-checked": "guaranteed", "Dot-species-dilution-info": "", "Dot-species-notes": "", "WB-species-checked": "testedAndGuaranteed", "WB-species-dilution-info": "1/500 - 1/2000", "WB-species-notes": "<p></p>", "IHCFr-species-checked": "testedAndGuaranteed", "IHCFr-species-dilution-info": "1/50", "IHCFr-species-notes": "<p>Heat mediated antigen retrieval using sodium citrate buffer (10mM citrate pH 6.0 + 0.05% Tween-20)</p>" }, "Rat": { "IHCP-species-checked": "testedAndGuaranteed", "IHCP-species-dilution-info": "1/100 - 1/250", "IHCP-species-notes": "<p></p> Perform heat-mediated antigen retrieval before commencing with IHC staining protocol.", "ICCIF-species-checked": "guaranteed", "ICCIF-species-dilution-info": "", "ICCIF-species-notes": "", "IP-species-checked": "guaranteed", "IP-species-dilution-info": "", "IP-species-notes": "", "Dot-species-checked": "guaranteed", "Dot-species-dilution-info": "", "Dot-species-notes": "", "WB-species-checked": "testedAndGuaranteed", "WB-species-dilution-info": "1/500 - 1/2000", "WB-species-notes": "<p></p>", "IHCFr-species-checked": "guaranteed", "IHCFr-species-dilution-info": "", "IHCFr-species-notes": "" }, "Synthetic peptide": { "IHCP-species-checked": "notRecommended", "IHCP-species-dilution-info": "", "IHCP-species-notes": "", "ICCIF-species-checked": "notRecommended", "ICCIF-species-dilution-info": "", "ICCIF-species-notes": "", "IP-species-checked": "notRecommended", "IP-species-dilution-info": "", "IP-species-notes": "", "Dot-species-checked": "testedAndGuaranteed", "Dot-species-dilution-info": "1/1000", "Dot-species-notes": "<p></p>", "WB-species-checked": "notRecommended", "WB-species-dilution-info": "", "WB-species-notes": "", "IHCFr-species-checked": "notRecommended", "IHCFr-species-dilution-info": "", "IHCFr-species-notes": "" } } }

Product details

What is this antibody validated in?
Anti-Tau (phospho S404) antibody [EPR2605] (ab92676) is a rabbit recombinant monoclonal antibody and is validated for use in Western Blot (WB), Immunoprecipitation (IP), Immunohistochemistry (IHC-P), Immunohistochemistry (IHC-Fr), Immunocytochemistry/immunofluorescence (ICC/IF), Dot Blot in Human, Mouse, Rat samples.

What is the molecular weight of Tau?
Anti-Tau (phospho S404) [EPR2605] (ab92676) specifically detects a band for Tau (UniProt: P10636) at a molecular weight of 79kDa.

Trusted by the scientific community
Anti-Tau (phospho S404) [EPR2605] (ab92676) was first used in a scientific publication in 2010 and has been cited over 30 times in peer-reviewed journals.

Trial sizes available!
Test your antibody or perform pre-screening before committing to a larger quantity. Sold in 10µl. Discover our selection of trial-size antibodies.

Other related products
We have a range of other formats of antibody clone [EPR2605] also available for your convenience: ab92676, Carrier free - ab196364, Alexa Fluor® 647 - ab311070, Alexa Fluor® 594 - ab311656, Alexa Fluor® 568 - ab312929, Alexa Fluor® 555 - ab313142, Alexa Fluor® 750 - ab321768

Patented technology
Our RabMAb® technology is a patented hybridoma-based technology for making rabbit monoclonal antibodies. For details on our patents, please refer to RabMAb® patents.

What are the advantages of a recombinant monoclonal antibody?
This product is a recombinant monoclonal antibody, which offers several advantages including:

  • - High batch-to-batch consistency and reproducibility
  • - Improved sensitivity and specificity
  • - Long-term security of supply
  • - Animal-free batch production

For more information, read more on recombinant antibodies.

Properties and storage information

Form
Liquid
Purification technique
Affinity purification Protein A
Storage buffer
pH: 7.2 - 7.4 Preservative: 0.05% Sodium azide Constituents: PBS, 40% Glycerol (glycerin, glycerine), 0.01% BSA
Shipped at conditions
Blue Ice
Appropriate short-term storage conditions
+4°C
Appropriate long-term storage conditions
-20°C
Storage information
Stable for 12 months at -20°C

Supplementary information

This supplementary information is collated from multiple sources and compiled automatically.

Tau also known as microtubule-associated protein Tau (MAPT) plays an important role in stabilizing microtubules in neuronal cells. Tau is primarily found in the central nervous system but also exists in peripheral neurons. Human Tau protein comes in six isoforms due to alternative splicing with molecular weights ranging from 48 kDa to 67 kDa. This protein predominantly locates in the axons of neurons where it maintains the stability of microtubule tracks necessary for axonal transport.
Biological function summary

Tau is involved in the assembly and stabilization of microtubules essential for maintaining neuronal structure. It interacts with microtubule-binding domains (MBD) to bind and bundle microtubules facilitating intracellular transport. Tau forms a part of the neuronal cytoskeleton complex working closely with other cytoskeletal proteins to preserve the proper axonal transport and function. Abnormally phosphorylated Tau often termed phospho-Tau disrupts this complex affecting microtubule stability.

Pathways

Tau has critical involvement in several signaling cascades such as the microtubule-binding and transport pathways. Glycogen synthase kinase 3 beta (GSK3Β) and cyclin-dependent kinase 5 (CDK5) frequently phosphorylate Tau controlling its interaction with microtubules. Phosphorylated Tau accumulates leading to the formation of neurofibrillary tangles often observed in neurodegenerative conditions. Additionally Tau interacts with GAPDH impacting cellular energy regulation through potential pathway cross-talk involving oxidative stress responses.

Tau is closely associated with Alzheimer's disease and frontotemporal dementia. In Alzheimer's disease hyperphosphorylated Tau aggregates into paired helical filaments forming neurofibrillary tangles while similar aggregates are observed in frontotemporal dementia. In these conditions Tau links to amyloid precursor protein (APP) where misregulated phosphorylation-driven interactions contribute to neurodegeneration. Identifying phospho-Tau and its altered interactions with related proteins aids in understanding and potentially treating these disorders.

Product protocols

For this product, it's our understanding that no specific protocols are required. You can visit:

Target data

The protein expressed by the MAPT gene promotes microtubule assembly and stability and might be involved in establishing and maintaining neuronal polarity. Its C-terminus binds axonal microtubules, and the N-terminus binds neural plasma membrane components, suggesting that tau functions as a linker protein between the two. Axonal polarity is predetermined by MAPT localization within the neuronal cell's domain defined by the centrosome. The short isoforms allow cytoskeleton plasticity, whereas the longer isoforms may preferentially play a role in its stabilization. This supplementary information is collated from multiple sources and compiled automatically.
See full target information MAPT phospho S404

Publications (58)

Recent publications for all applications. Explore the full list and refine your search

General physiology and biophysics 44:363-375 PubMed40923656

2025

Calycosin attenuates neuronal ferroptosis in Alzheimer's disease mice by activating the Nrf2/HO-1 pathway.

Applications

Unspecified application

Species

Unspecified reactive species

Qin Li,Bihua He,Ying Xiong

Biomedicines 13: PubMed40426884

2025

Pharmacological Blocking of Adiponectin Receptors Induces Alzheimer's Disease-like Neuropathology and Impairs Hippocampal Function.

Applications

Unspecified application

Species

Unspecified reactive species

Hui-Hui Guo,Hai-Ning Ou,Jia-Sui Yu,Suk-Yu Yau,Hector Wing-Hong Tsang

Neuromolecular medicine 27:34 PubMed40374872

2025

Far-Infrared Radiation Ameliorates the Cognitive Dysfunction in an Alzheimer's Disease Transgenic Mouse via Modulating Jak-2/Stat3 and Nrf-2/HO-1 Pathways.

Applications

Unspecified application

Species

Unspecified reactive species

Wen Yang,Qiuxia Yu,Nick Wang,Koon Kit Lam,Zhi-Xiu Lin,Yan-Fang Xian

Environment & health (Washington, D.C.) 3:199-212 PubMed40012869

2025

Exposure to Manganese Induces Autophagy-Lysosomal Pathway Dysfunction-Mediated Tauopathy by Activating the cGAS-STING Pathway in the Brain.

Applications

Unspecified application

Species

Unspecified reactive species

Xin Zhang,Jingjing Liu,Shiyin Zhong,Zhimin Zhang,Qiongli Zhou,Jirui Yang,Xuhong Chang,Hui Wang

Alzheimer's research & therapy 17:20 PubMed39806490

2025

CEST imaging combined with H-MRS reveal the neuroprotective effects of riluzole by improving neurotransmitter imbalances in Alzheimer's disease mice.

Applications

Unspecified application

Species

Unspecified reactive species

Yuanyu Shen,Xiaolei Zhang,Siqi Liu,Lijing Xin,Wentao Xuan,Caiyu Zhuang,Yue Chen,Beibei Chen,Xinhui Zheng,Renhua Wu,Yan Lin

PloS one 19:e0312834 PubMed39475992

2024

SARS-CoV-2 propagation to the TPH2-positive neurons in the ventral tegmental area induces cell death via GSK3β-dependent accumulation of phosphorylated tau.

Applications

Unspecified application

Species

Unspecified reactive species

Motoki Imai,Fumitaka Kawakami,Takayuki Uematsu,Toshihide Matsumoto,Rei Kawashima,Yoshifumi Kurosaki,Shun Tamaki,Shotaro Maehana,Takafumi Ichikawa,Hideaki Hanaki,Hidero Kitazato,Makoto Kubo

International journal of molecular sciences 25: PubMed39125907

2024

Proteomic Analysis Reveals Physiological Activities of Aβ Peptide for Alzheimer's Disease.

Applications

Unspecified application

Species

Unspecified reactive species

Xiaorui Ai,Zeyu Cao,Zhaoru Ma,Qinghuan Liu,Wei Huang,Taolei Sun,Jing Li,Chenxi Yang

Metabolic brain disease 39:1335-1351 PubMed39088109

2024

Exosomal MicroRNAs modulate the cognitive function in fasudil treated APPswe/PSEN1dE9 transgenic (APP/PS1) mice model of Alzheimer's disease.

Applications

Unspecified application

Species

Unspecified reactive species

Yuqing Yan,Ye Gao,Gajendra Kumar,Qingli Fang,Hailong Yan,Nianping Zhang,Yuna Zhang,Lijuan Song,Jiehui Li,Yucheng Zheng,Nan Zhang,Peijun Zhang,Cungen Ma

Life (Basel, Switzerland) 14: PubMed38792645

2024

Familial Alzheimer's Disease Neurons Bearing Mutations in Display Increased Calcium Responses to AMPA as an Early Calcium Dysregulation Phenotype.

Applications

Unspecified application

Species

Unspecified reactive species

Helena Targa Dias Anastacio,Natalie Matosin,Lezanne Ooi

Advanced biology 8:e2400123 PubMed38684459

2024

Scutellarin Attenuates Microglia Activation in LPS-Induced BV-2 Microglia via miRNA-7036a/MAPT/PRKCG/ERK Axis.

Applications

Unspecified application

Species

Unspecified reactive species

Zhaoda Duan,Li Yang,Dongyao Xu,Zhi Qi,Wenji Jia,Chunyun Wu
View all publications

Product promise

We are committed to supporting your work with high-quality reagents, and we're here for you every step of the way. In the unlikely event that one of our products does not perform as expected, you're protected by our Product Promise.
For full details, please see our Terms & Conditions

Please note: All products are 'FOR RESEARCH USE ONLY. NOT FOR USE IN DIAGNOSTIC OR THERAPEUTIC PROCEDURES'.

For licensing inquiries, please contact partnerships@abcam.com