JavaScript is disabled in your browser. Please enable JavaScript to view this website.
AB254409

Anti-Tau (phospho T181) antibody [EPR23506-107]

5

(3 Reviews)

|

(3 Publications)

Anti-Tau (phospho T181) antibody [EPR23506-107] (ab254409) is a rabbit monoclonal antibody detecting Tau in Western Blot, IP, IHC-P, IHC-Fr, ELISA, Dot Blot. Suitable for Human, Mouse, Rat.

- Biophysical QC for unrivalled batch-batch consistency

View Alternative Names

MAPTL, MTBT1, TAU, MAPT, Microtubule-associated protein tau, Neurofibrillary tangle protein, Paired helical filament-tau, PHF-tau

11 Images
Affinity Purification - Anti-Tau (phospho T181) antibody [EPR23506-107] (AB254409)
  • AP

Lab

Affinity Purification - Anti-Tau (phospho T181) antibody [EPR23506-107] (AB254409)

Biotinylated Human Tau phospho T181 [0.5 μg/ml] was loaded to SA biosensor on Fortebio RED96e Machine, then associate with recombinant Anti-Tau (phospho T181) antibody [EPR23506-107] in serial concentration points [6.67, 3.33, 1.67, 0.83, 0.42 nM/mL] by 2-fold dilution, next to dissociate in blank testing buffer [0.1% BSA in PBST (0.05%Tween-20)]. Calculated signals had already subtracted blank control, curve fitting using 1 : 1 binding model. Non-phospho Tau protein's association and dissociation were also showed in graph. KD (M) value of Anti-Tau (phospho T181) antibody [EPR23506-107] is 6.41E-11

Immunohistochemistry (Frozen sections) - Anti-Tau (phospho T181) antibody [EPR23506-107] (AB254409)
  • IHC-Fr

Supplier Data

Immunohistochemistry (Frozen sections) - Anti-Tau (phospho T181) antibody [EPR23506-107] (AB254409)

Immunohistochemical analysis of frozen section of 4% PFA-fixed, 0.2% Triton X-100 permeabilized mouse cerebrum tissue labeling Tau (phospho T181) with ab254409 at 1/50 dilution, followed by ab150077 Goat Anti-Rabbit IgG H&L (Alexa Fluor® 488) at 1/1000 dilution (Green). Positive staining on mouse cerebrum without alkaline phosphatase treatment (image A). No signal was detected when tissues were treated with alkaline phosphatase (image B). The nuclear counterstain is DAPI (Blue).

Secondary antibody only control : Used PBS instead of primary antibody, secondary antibody is ab150077 Goat Anti-Rabbit IgG H&L (Alexa Fluor® 488) at 1/1000 dilution.

Immunohistochemistry (Frozen sections) - Anti-Tau (phospho T181) antibody [EPR23506-107] (AB254409)
  • IHC-Fr

Supplier Data

Immunohistochemistry (Frozen sections) - Anti-Tau (phospho T181) antibody [EPR23506-107] (AB254409)

Immunohistochemical analysis of frozen section of 4% PFA-fixed, 0.2% Triton X-100 permeabilized rat cerebrum tissue labeling Tau (phospho T181) with ab254409 at 1/50 dilution, followed by ab150077 Goat Anti-Rabbit IgG H&L (Alexa Fluor® 488) at 1/1000 dilution (Green). Positive staining on rat cerebrum without alkaline phosphatase treatment (image A). Nearly no signal was detected when tissues were treated with alkaline phosphatase (image B). The nuclear counterstain is DAPI (Blue).

Secondary antibody only control : Used PBS instead of primary antibody, secondary antibody is ab150077 Goat Anti-Rabbit IgG H&L (Alexa Fluor® 488) at 1/1000 dilution.

Immunohistochemistry (Formalin/PFA-fixed paraffin-embedded sections) - Anti-Tau (phospho T181) antibody [EPR23506-107] (AB254409)
  • IHC-P

Supplier Data

Immunohistochemistry (Formalin/PFA-fixed paraffin-embedded sections) - Anti-Tau (phospho T181) antibody [EPR23506-107] (AB254409)

Immunohistochemical analysis of paraffin-embedded mouse cerebrum tissue labeling Tau (phospho T181) with ab254409 at 1/5000 dilution, followed by Rabbit specific IHC polymer detection kit HRP/DAB (ab209101). Positive staining on mouse cerebrum without alkaline phosphatase treatment (image A). No signal was detected when tissues were treated with alkaline phosphatase (image B). Counter stained with hematoxylin.

Secondary antibody only control : Used PBS instead of primary antibody, secondary antibody is Rabbit specific IHC polymer detection kit HRP/DAB (ab209101).

Heat mediated antigen retrieval using ab93684 (Tris/EDTA buffer, pH 9.0).

Immunohistochemistry (Formalin/PFA-fixed paraffin-embedded sections) - Anti-Tau (phospho T181) antibody [EPR23506-107] (AB254409)
  • IHC-P

Supplier Data

Immunohistochemistry (Formalin/PFA-fixed paraffin-embedded sections) - Anti-Tau (phospho T181) antibody [EPR23506-107] (AB254409)

Immunohistochemical analysis of paraffin-embedded rat cerebrum tissue labeling Tau (phospho T181) with ab254409 at 1/5000 dilution, followed by Rabbit specific IHC polymer detection kit HRP/DAB (ab209101). Positive staining on rat cerebrum without alkaline phosphatase treatment (image A, PMID : 30279741). No signal was detected when tissues were treated with alkaline phosphatase (image B). Counter stained with hematoxylin.

Secondary antibody only control : Used PBS instead of primary antibody, secondary antibody is Rabbit specific IHC polymer detection kit HRP/DAB (ab209101).

Heat mediated antigen retrieval using ab93684 (Tris/EDTA buffer, pH 9.0).

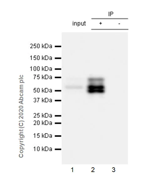
Immunoprecipitation - Anti-Tau (phospho T181) antibody [EPR23506-107] (AB254409)
  • IP

Supplier Data

Immunoprecipitation - Anti-Tau (phospho T181) antibody [EPR23506-107] (AB254409)

Tau (phospho T181) was immunoprecipitated from 0.35 mg of rat brain tissue lysate with ab254409 at 1/30 dilution. Western blot was performed from the immunoprecipitate using ab254409 at 1/1000 dilution. VeriBlot for IP Detection Reagent (HRP)(ab131366), was used as secondary antibody at 1/5000 dilution.

Lane 1 : Rat brain tissue lysate 10μg (Input).
Lane 2 : ab254409 IP in rat brain tissue lysate.
Lane 3 : Rabbit monoclonal IgG (ab172730) instead of ab254409 in rat brain tissue lysate.

Blocking and dilution buffer and concentration : 5% NFDM/TBST.
Exposure time : 10 seconds.

All lanes:

Immunoprecipitation - Anti-Tau (phospho T181) antibody [EPR23506-107] (ab254409)

Predicted band size: 47 kDa,78 kDa

Observed band size: 50-70 kDa

false

Indirect ELISA - Anti-Tau (phospho T181) antibody [EPR23506-107] (AB254409)
  • I-ELISA

Supplier Data

Indirect ELISA - Anti-Tau (phospho T181) antibody [EPR23506-107] (AB254409)

Antigen : Mouse Tau non-phospho peptide,Mouse Tau (phospho T181) peptide.

Antigen concentration : 1000 ng/mL.

ab254409 used at 0 - 2000 ng/mL.

Secondary antibody : Alkaline Phosphatase-conjugated AffiniPure Goat Anti-Rabbit IgG (H+L) at 1/2500 dilution.

Immunoprecipitation - Anti-Tau (phospho T181) antibody [EPR23506-107] (AB254409)
  • IP

Supplier Data

Immunoprecipitation - Anti-Tau (phospho T181) antibody [EPR23506-107] (AB254409)

Tau (phospho T181) was immunoprecipitated from 0.35 mg of mouse brain tissue lysate with ab254409 at 1/30 dilution. Western blot was performed from the immunoprecipitate using ab254409 at 1/1000 dilution. VeriBlot for IP Detection Reagent (HRP)(ab131366), was used as secondary antibody at 1/5000 dilution.

Lane 1 : Mouse brain tissue lysate 10μg (Input).
Lane 2 : ab254409 IP in mouse brain tissue lysate.
Lane 3 : Rabbit monoclonal IgG (ab172730) instead of ab254409 in mouse brain tissue lysate.

Blocking and dilution buffer and concentration : 5% NFDM/TBST.
Exposure time : 5.5 seconds.

All lanes:

Immunoprecipitation - Anti-Tau (phospho T181) antibody [EPR23506-107] (ab254409)

Predicted band size: 47 kDa,78 kDa

Observed band size: 50-70 kDa

false

Western blot - Anti-Tau (phospho T181) antibody [EPR23506-107] (AB254409)
  • WB

Supplier Data

Western blot - Anti-Tau (phospho T181) antibody [EPR23506-107] (AB254409)

Blocking and dilution buffer : 5% NFDM/TBST.

Exposure time : 3 minutes.

The molecular weight observed is consistent with what has been described in the literature (PMID : 21437732).

This blot was developed using a higher sensitivity ECL substrate.

All lanes:

Western blot - Anti-Tau (phospho T181) antibody [EPR23506-107] (ab254409) at 1/1000 dilution

Lane 1:

Mouse brain tissue lysate at 20 µg

Lane 2:

Mouse brain tissue lysate (phosphatase treated membrane) at 20 µg

Secondary

All lanes:

Goat Anti-Rabbit IgG, (H+L), Peroxidase conjugated (<a href='/en-us/products/secondary-antibodies/goat-rabbit-igg-h-l-hrp-ab97051'>ab97051</a>) at 1/100000 dilution

Predicted band size: 47 kDa,78 kDa

Observed band size: 50-70 kDa

false

Western blot - Anti-Tau (phospho T181) antibody [EPR23506-107] (AB254409)
  • WB

Supplier Data

Western blot - Anti-Tau (phospho T181) antibody [EPR23506-107] (AB254409)

Blocking and dilution buffer : 5% NFDM/TBST.

Exposure time : 3 minutes.

The molecular weight observed is consistent with what has been described in the literature (PMID : 21437732).

This blot was developed using a higher sensitivity ECL substrate.

All lanes:

Western blot - Anti-Tau (phospho T181) antibody [EPR23506-107] (ab254409) at 1/1000 dilution

Lane 1:

Rat brain tissue lysate at 20 µg

Lane 2:

Rat brain tissue lysate (phosphatase treated membrane) at 20 µg

Secondary

All lanes:

Goat Anti-Rabbit IgG, (H+L), Peroxidase conjugated (<a href='/en-us/products/secondary-antibodies/goat-rabbit-igg-h-l-hrp-ab97051'>ab97051</a>) at 1/100000 dilution

Predicted band size: 47 kDa,78 kDa

Observed band size: 50-70 kDa

false

Dot Blot - Anti-Tau (phospho T181) antibody [EPR23506-107] (AB254409)
  • Dot

Supplier Data

Dot Blot - Anti-Tau (phospho T181) antibody [EPR23506-107] (AB254409)

Dot blot analysis of Tau (phospho T181) labeled with ab254409 at 1/1000 dilution.

Lane 1 : Tau (phospho T181) peptide (aa 177-190).
Lane 2 : Tau non-phospho peptide (aa 174-190).

Goat Anti-Rabbit IgG H&L (HRP) (ab97051) at 1/100000 dilution was used as secondary antibody.

Blocking and dilution buffer : 5% NFDM/TBST.

Exposure time : 3 minutes.

  • Carrier free

    Anti-Tau (phospho T181) antibody [EPR23506-107] - BSA and Azide free

  • 665 Alexa Fluor® 647

    Alexa Fluor® 647 Anti-Tau (phospho T181) antibody [EPR23506-107]

  • 519 Alexa Fluor® 488

    Alexa Fluor® 488 Anti-Tau (phospho T181) antibody [EPR23506-107]

  • Biotin

    Biotin Anti-Tau (phospho T181) antibody [EPR23506-107]

Key facts

Host species

Rabbit

Clonality

Monoclonal

Clone number

EPR23506-107

Isotype

IgG

Carrier free

No

Reacts with

Human, Mouse, Rat

Applications

AP, I-ELISA, IHC-Fr, Dot, IP, IHC-P, WB

applications

Immunogen

The exact immunogen used to generate this antibody is proprietary information.

Specificity

The specificity of this antibody refers to P10636-8.

Reactivity data

{ "title": "Reactivity Data", "filters": { "stats": ["", "Species", "Dilution Info", "Notes"], "tabs": { "all-applications": {"fullname" : "All Applications", "shortname": "All Applications"}, "ICCIF" : {"fullname" : "Immunocytochemistry/ Immunofluorescence", "shortname":"ICC/IF"}, "IP" : {"fullname" : "Immunoprecipitation", "shortname":"IP"}, "IELISA" : {"fullname" : "Indirect ELISA", "shortname":"I-ELISA"}, "Dot" : {"fullname" : "Dot Blot", "shortname":"Dot"}, "WB" : {"fullname" : "Western blot", "shortname":"WB"}, "IHCFr" : {"fullname" : "Immunohistochemistry (Frozen sections)", "shortname":"IHC-Fr"}, "IHCP" : {"fullname" : "Immunohistochemistry (Formalin/PFA-fixed paraffin-embedded sections)", "shortname":"IHC-P"}, "AP" : {"fullname" : "Affinity Purification", "shortname":"AP"} }, "product-promise": { "all": "all", "testedAndGuaranteed": "tested", "guaranteed": "expected", "predicted": "predicted", "notRecommended": "not-recommended" } }, "values": { "Human": { "ICCIF-species-checked": "notRecommended", "ICCIF-species-dilution-info": "", "ICCIF-species-notes": "<p></p>", "IP-species-checked": "guaranteed", "IP-species-dilution-info": "", "IP-species-notes": "", "IELISA-species-checked": "guaranteed", "IELISA-species-dilution-info": "", "IELISA-species-notes": "", "Dot-species-checked": "guaranteed", "Dot-species-dilution-info": "", "Dot-species-notes": "", "WB-species-checked": "notRecommended", "WB-species-dilution-info": "1/1000", "WB-species-notes": "<p></p>", "IHCFr-species-checked": "guaranteed", "IHCFr-species-dilution-info": "", "IHCFr-species-notes": "", "IHCP-species-checked": "notRecommended", "IHCP-species-dilution-info": "1/5000", "IHCP-species-notes": "<p></p> Perform heat-mediated antigen retrieval with Tris/EDTA buffer pH 9.0 before commencing with IHC staining protocol.", "AP-species-checked": "testedAndGuaranteed", "AP-species-dilution-info": "", "AP-species-notes": "<p><strong>Antibody concentration range -</strong> 6.67, 3.33, 1.67, 0.83, 0.42, 0 nM/mL</p>" }, "Mouse": { "ICCIF-species-checked": "notRecommended", "ICCIF-species-dilution-info": "", "ICCIF-species-notes": "<p></p>", "IP-species-checked": "testedAndGuaranteed", "IP-species-dilution-info": "1/30", "IP-species-notes": "<p></p>", "IELISA-species-checked": "guaranteed", "IELISA-species-dilution-info": "", "IELISA-species-notes": "", "Dot-species-checked": "guaranteed", "Dot-species-dilution-info": "", "Dot-species-notes": "", "WB-species-checked": "testedAndGuaranteed", "WB-species-dilution-info": "1/1000", "WB-species-notes": "<p></p>", "IHCFr-species-checked": "testedAndGuaranteed", "IHCFr-species-dilution-info": "1/50", "IHCFr-species-notes": "<p>Heat mediated antigen retrieval using sodium citrate buffer (10mM citrate pH 6.0 + 0.05% Tween-20).</p>", "IHCP-species-checked": "testedAndGuaranteed", "IHCP-species-dilution-info": "1/5000", "IHCP-species-notes": "<p></p> Perform heat-mediated antigen retrieval with Tris/EDTA buffer pH 9.0 before commencing with IHC staining protocol.", "AP-species-checked": "guaranteed", "AP-species-dilution-info": "", "AP-species-notes": "" }, "Rat": { "ICCIF-species-checked": "notRecommended", "ICCIF-species-dilution-info": "", "ICCIF-species-notes": "<p></p>", "IP-species-checked": "testedAndGuaranteed", "IP-species-dilution-info": "1/30", "IP-species-notes": "<p></p>", "IELISA-species-checked": "guaranteed", "IELISA-species-dilution-info": "", "IELISA-species-notes": "", "Dot-species-checked": "guaranteed", "Dot-species-dilution-info": "", "Dot-species-notes": "", "WB-species-checked": "testedAndGuaranteed", "WB-species-dilution-info": "1/1000", "WB-species-notes": "<p></p>", "IHCFr-species-checked": "testedAndGuaranteed", "IHCFr-species-dilution-info": "1/50", "IHCFr-species-notes": "<p>Heat mediated antigen retrieval using sodium citrate buffer (10mM citrate pH 6.0 + 0.05% Tween-20).</p>", "IHCP-species-checked": "testedAndGuaranteed", "IHCP-species-dilution-info": "1/5000", "IHCP-species-notes": "<p></p> Perform heat-mediated antigen retrieval with Tris/EDTA buffer pH 9.0 before commencing with IHC staining protocol.", "AP-species-checked": "guaranteed", "AP-species-dilution-info": "", "AP-species-notes": "" }, "Synthetic peptide - Mouse": { "ICCIF-species-checked": "notRecommended", "ICCIF-species-dilution-info": "", "ICCIF-species-notes": "", "IP-species-checked": "notRecommended", "IP-species-dilution-info": "", "IP-species-notes": "", "IELISA-species-checked": "testedAndGuaranteed", "IELISA-species-dilution-info": "", "IELISA-species-notes": "<p>Use at 62.5 ng /mL.</p>", "Dot-species-checked": "testedAndGuaranteed", "Dot-species-dilution-info": "1/1000", "Dot-species-notes": "<p></p>", "WB-species-checked": "notRecommended", "WB-species-dilution-info": "", "WB-species-notes": "", "IHCFr-species-checked": "notRecommended", "IHCFr-species-dilution-info": "", "IHCFr-species-notes": "", "IHCP-species-checked": "notRecommended", "IHCP-species-dilution-info": "", "IHCP-species-notes": "", "AP-species-checked": "notRecommended", "AP-species-dilution-info": "", "AP-species-notes": "" } } }

Product details

Properties and storage information

Form
Liquid
Purification technique
Affinity purification Protein A
Storage buffer
Preservative: 0.01% Sodium azide Constituents: 59.94% PBS, 40% Glycerol (glycerin, glycerine), 0.05% BSA
Shipped at conditions
Blue Ice
Appropriate short-term storage duration
1-2 weeks
Appropriate short-term storage conditions
+4°C
Appropriate long-term storage conditions
-20°C
Aliquoting information
Upon delivery aliquot
Storage information
Avoid freeze / thaw cycle

Supplementary information

This supplementary information is collated from multiple sources and compiled automatically.

Tau also known as microtubule-associated protein Tau (MAPT) plays an important role in stabilizing microtubules in neuronal cells. Tau is primarily found in the central nervous system but also exists in peripheral neurons. Human Tau protein comes in six isoforms due to alternative splicing with molecular weights ranging from 48 kDa to 67 kDa. This protein predominantly locates in the axons of neurons where it maintains the stability of microtubule tracks necessary for axonal transport.
Biological function summary

Tau is involved in the assembly and stabilization of microtubules essential for maintaining neuronal structure. It interacts with microtubule-binding domains (MBD) to bind and bundle microtubules facilitating intracellular transport. Tau forms a part of the neuronal cytoskeleton complex working closely with other cytoskeletal proteins to preserve the proper axonal transport and function. Abnormally phosphorylated Tau often termed phospho-Tau disrupts this complex affecting microtubule stability.

Pathways

Tau has critical involvement in several signaling cascades such as the microtubule-binding and transport pathways. Glycogen synthase kinase 3 beta (GSK3Β) and cyclin-dependent kinase 5 (CDK5) frequently phosphorylate Tau controlling its interaction with microtubules. Phosphorylated Tau accumulates leading to the formation of neurofibrillary tangles often observed in neurodegenerative conditions. Additionally Tau interacts with GAPDH impacting cellular energy regulation through potential pathway cross-talk involving oxidative stress responses.

Tau is closely associated with Alzheimer's disease and frontotemporal dementia. In Alzheimer's disease hyperphosphorylated Tau aggregates into paired helical filaments forming neurofibrillary tangles while similar aggregates are observed in frontotemporal dementia. In these conditions Tau links to amyloid precursor protein (APP) where misregulated phosphorylation-driven interactions contribute to neurodegeneration. Identifying phospho-Tau and its altered interactions with related proteins aids in understanding and potentially treating these disorders.

Product protocols

For this product, it's our understanding that no specific protocols are required. You can visit:

Target data

The protein expressed by the MAPT gene promotes microtubule assembly and stability and might be involved in establishing and maintaining neuronal polarity. Its C-terminus binds axonal microtubules, and the N-terminus binds neural plasma membrane components, suggesting that tau functions as a linker protein between the two. Axonal polarity is predetermined by MAPT localization within the neuronal cell's domain defined by the centrosome. The short isoforms allow cytoskeleton plasticity, whereas the longer isoforms may preferentially play a role in its stabilization. This supplementary information is collated from multiple sources and compiled automatically.
See full target information MAPT phospho T181

Additional targets

MAPT phospho T181

Publications (3)

Recent publications for all applications. Explore the full list and refine your search

International journal of molecular sciences 24: PubMed38139125

2023

Neuroprotection and Mechanism of Gas-miR36-5p from in an Alzheimer's Disease Model by Regulating Glycogen Synthase Kinase-3β.

Applications

Unspecified application

Species

Unspecified reactive species

Zhongteng Lu,Jianyuan Fu,Guang Wu,Zhecheng Yang,Xiaoqi Wu,Dan Wang,Zhengying You,Zuoming Nie,Qing Sheng

Neural regeneration research 18:1347-1353 PubMed36453422

2022

Overexpression of fibroblast growth factor 13 ameliorates amyloid-β-induced neuronal damage.

Applications

Unspecified application

Species

Unspecified reactive species

Ruo-Meng Li,Lan Xiao,Ting Zhang,Dan Ren,Hong Zhu

Molecular neurobiology 59:5856-5873 PubMed35804281

2022

DHCR24 Knockdown Induces Tau Hyperphosphorylation at Thr181, Ser199, Ser262, and Ser396 Sites via Activation of the Lipid Raft-Dependent Ras/MEK/ERK Signaling Pathway in C8D1A Astrocytes.

Applications

Unspecified application

Species

Unspecified reactive species

Meiting Mai,Xiaorou Guo,Yue Huang,Wenbin Zhang,Yixuan Xu,Ying Zhang,Xiaojing Bai,Junfeng Wu,Hengbing Zu
View all publications

Product promise

We are committed to supporting your work with high-quality reagents, and we're here for you every step of the way. In the unlikely event that one of our products does not perform as expected, you're protected by our Product Promise.
For full details, please see our Terms & Conditions

Please note: All products are 'FOR RESEARCH USE ONLY. NOT FOR USE IN DIAGNOSTIC OR THERAPEUTIC PROCEDURES'.

For licensing inquiries, please contact partnerships@abcam.com