JavaScript is disabled in your browser. Please enable JavaScript to view this website.
AB244238

Anti-Tau (phospho T205) antibody [EPR2403(2)] - BSA and Azide free

Be the first to review this product! Submit a review

|

(1 Publication)

Anti-Tau (phospho T205) antibody [EPR2403(2)] - BSA and Azide free (ab244238) is a rabbit recombinant monoclonal antibody provided in a PBS only buffer for easy conjugation detecting Tau in Western Blot, Dot Blot. Suitable for Human.

- BSA, sodium azide, and glycerol-free for easy conjugation
- Biophysical QC for unrivalled batch-batch consistency

View Alternative Names

MAPTL, MTBT1, TAU, MAPT, Microtubule-associated protein tau, Neurofibrillary tangle protein, Paired helical filament-tau, PHF-tau

3 Images
Western blot - Anti-Tau (phospho T205) antibody [EPR2403(2)] - BSA and Azide free (AB244238)
  • WB

Lab

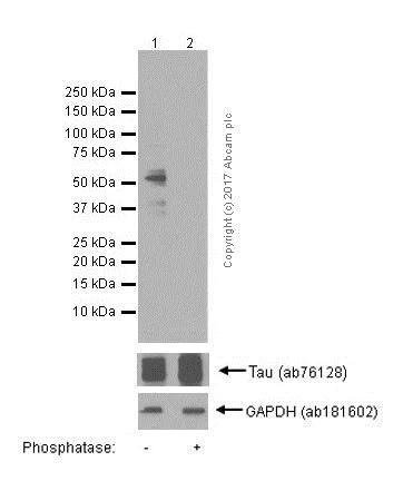
Western blot - Anti-Tau (phospho T205) antibody [EPR2403(2)] - BSA and Azide free (AB244238)

This data was developed using ab181206, the same antibody clone in a different buffer formulation.

Blocking and dilution buffer : 5% NFDM/TBST.

All lanes:

Western blot - Anti-Tau (phospho T205) antibody [EPR2403(2)] (<a href='/en-us/products/primary-antibodies/tau-phospho-t205-antibody-epr24032-ab181206'>ab181206</a>) at 1/1000 dilution

Lane 1:

SK-N-BE(2) (human neuroblastoma neuroblast) whole cell lysate at 10 µg

Lane 2:

SK-N-BE(2) (human neuroblastoma neuroblast) whole cell lysate. The membrane was incubated with phosphatase at 10 µg

Secondary

All lanes:

Western blot - Goat Anti-Rabbit IgG H&L (HRP) (<a href='/en-us/products/secondary-antibodies/goat-rabbit-igg-h-l-hrp-ab97051'>ab97051</a>) at 1/20000 dilution

Predicted band size: 78 kDa

Observed band size: 55 kDa

false

Exposure time: 3min

Western blot - Anti-Tau (phospho T205) antibody [EPR2403(2)] - BSA and Azide free (AB244238)
  • WB

Supplier Data

Western blot - Anti-Tau (phospho T205) antibody [EPR2403(2)] - BSA and Azide free (AB244238)

This data was developed using ab181206, the same antibody clone in a different buffer formulation.

All lanes:

Western blot - Anti-Tau (phospho T205) antibody [EPR2403(2)] (<a href='/en-us/products/primary-antibodies/tau-phospho-t205-antibody-epr24032-ab181206'>ab181206</a>) at 1/50000 dilution

Lane 1:

Human fetal brain lysate at 10 µg

Lane 2:

Human fetal brain treated with alkaline phosphatase at 10 µg

Secondary

All lanes:

Anti-Rabbit IgG (HRP), specific to the non-reduced form of IgG at 1/1000 dilution

Predicted band size: 78 kDa

false

Dot Blot - Anti-Tau (phospho T205) antibody [EPR2403(2)] - BSA and Azide free (AB244238)
  • Dot

Lab

Dot Blot - Anti-Tau (phospho T205) antibody [EPR2403(2)] - BSA and Azide free (AB244238)

This data was developed using ab181206, the same antibody clone in a different buffer formulation.

Dot blot analysis of Tau (pS205) peptide (Lane 1) and Tau non-phospho peptide (Lane 2) labelling Tau (pS205) with ab181206 at a dilution of 1/1000. ab97051 (peroxidase-conjugated goat anti-rabbit IgG (H+L)) was used as the secondary antibody at a dilution of 1/100000.

Exposure time : 3 minutes.
Blocking and dilution buffer : 5% NFDM/TBST.

  • Unconjugated

    Anti-Tau (phospho T205) antibody [EPR2403(2)]

Key facts

Host species

Rabbit

Clonality

Monoclonal

Clone number

EPR2403(2)

Isotype

IgG

Carrier free

Yes

Reacts with

Human

Applications

WB, Dot

applications

Immunogen

The exact immunogen used to generate this antibody is proprietary information.

Specificity

The specificity of this antibody refers to P10636-8.

Reactivity data

{ "title": "Reactivity Data", "filters": { "stats": ["", "Species", "Dilution Info", "Notes"], "tabs": { "all-applications": {"fullname" : "All Applications", "shortname": "All Applications"}, "ICCIF" : {"fullname" : "Immunocytochemistry/ Immunofluorescence", "shortname":"ICC/IF"}, "Dot" : {"fullname" : "Dot Blot", "shortname":"Dot"}, "WB" : {"fullname" : "Western blot", "shortname":"WB"} }, "product-promise": { "all": "all", "testedAndGuaranteed": "tested", "guaranteed": "expected", "predicted": "predicted", "notRecommended": "not-recommended" } }, "values": { "Human": { "ICCIF-species-checked": "notRecommended", "ICCIF-species-dilution-info": "", "ICCIF-species-notes": "<p></p>", "Dot-species-checked": "guaranteed", "Dot-species-dilution-info": "", "Dot-species-notes": "", "WB-species-checked": "testedAndGuaranteed", "WB-species-dilution-info": "", "WB-species-notes": "<p></p>" }, "Synthetic peptide": { "ICCIF-species-checked": "notRecommended", "ICCIF-species-dilution-info": "", "ICCIF-species-notes": "", "Dot-species-checked": "testedAndGuaranteed", "Dot-species-dilution-info": "", "Dot-species-notes": "<p></p>", "WB-species-checked": "notRecommended", "WB-species-dilution-info": "", "WB-species-notes": "" } } }

Product details

What is this antibody validated in?
Anti-Tau (phospho T205) antibody [EPR2403(2)] - BSA and Azide free (ab244238) is a rabbit recombinant monoclonal antibody and is validated for use in Western Blot (WB), Dot Blot in Human samples.

What is the molecular weight of Tau?
Anti-Tau (phospho T205) [EPR2403(2)] - BSA and Azide free (ab244238) specifically detects a band for Tau (UniProt: P10636) at a molecular weight of 78kDa.

Other related products
We have a range of other formats of antibody clone [EPR2403(2)] also available for your convenience: ab181206, Carrier free - ab244238

Patented technology
Our RabMAb® technology is a patented hybridoma-based technology for making rabbit monoclonal antibodies. For details on our patents, please refer to RabMAb® patents.

What are the advantages of a recombinant monoclonal antibody?
This product is a recombinant monoclonal antibody, which offers several advantages including:

  • - High batch-to-batch consistency and reproducibility
  • - Improved sensitivity and specificity
  • - Long-term security of supply
  • - Animal-free batch production

For more information, read more on recombinant antibodies.

Conjugation ready
Our carrier-free antibodies are typically supplied in a PBS-only formulation, purified and free of BSA, sodium azide and glycerol. This conjugation-ready format is designed for use with fluorochromes, metal isotopes, oligonucleotides, and enzymes, which makes them ideal for antibody labelling, functional and cell-based assays, flow-based assays (e.g. mass cytometry) and Multiplex Imaging applications.

Use our conjugation kits for antibody conjugates that are ready-to-use in as little as 20 minutes with 1 minute hands-on-time and 100% antibody recovery: available for fluorescent dyes, HRP, biotin and gold.

Compatibility
This product is compatible with the Maxpar® Antibody Labeling Kit from Fluidigm, without the need for antibody preparation. Maxpar® is a trademark of Fluidigm Canada Inc.

Properties and storage information

Form
Liquid
Purification technique
Affinity purification Protein A
Storage buffer
pH: 7.2 - 7.4 Constituents: PBS
Shipped at conditions
Blue Ice
Appropriate short-term storage conditions
+4°C
Appropriate long-term storage conditions
+4°C
Storage information
Do Not Freeze

Supplementary information

This supplementary information is collated from multiple sources and compiled automatically.

Tau also known as microtubule-associated protein Tau (MAPT) plays an important role in stabilizing microtubules in neuronal cells. Tau is primarily found in the central nervous system but also exists in peripheral neurons. Human Tau protein comes in six isoforms due to alternative splicing with molecular weights ranging from 48 kDa to 67 kDa. This protein predominantly locates in the axons of neurons where it maintains the stability of microtubule tracks necessary for axonal transport.
Biological function summary

Tau is involved in the assembly and stabilization of microtubules essential for maintaining neuronal structure. It interacts with microtubule-binding domains (MBD) to bind and bundle microtubules facilitating intracellular transport. Tau forms a part of the neuronal cytoskeleton complex working closely with other cytoskeletal proteins to preserve the proper axonal transport and function. Abnormally phosphorylated Tau often termed phospho-Tau disrupts this complex affecting microtubule stability.

Pathways

Tau has critical involvement in several signaling cascades such as the microtubule-binding and transport pathways. Glycogen synthase kinase 3 beta (GSK3Β) and cyclin-dependent kinase 5 (CDK5) frequently phosphorylate Tau controlling its interaction with microtubules. Phosphorylated Tau accumulates leading to the formation of neurofibrillary tangles often observed in neurodegenerative conditions. Additionally Tau interacts with GAPDH impacting cellular energy regulation through potential pathway cross-talk involving oxidative stress responses.

Tau is closely associated with Alzheimer's disease and frontotemporal dementia. In Alzheimer's disease hyperphosphorylated Tau aggregates into paired helical filaments forming neurofibrillary tangles while similar aggregates are observed in frontotemporal dementia. In these conditions Tau links to amyloid precursor protein (APP) where misregulated phosphorylation-driven interactions contribute to neurodegeneration. Identifying phospho-Tau and its altered interactions with related proteins aids in understanding and potentially treating these disorders.

Product protocols

For this product, it's our understanding that no specific protocols are required. You can visit:

Target data

The protein expressed by the MAPT gene promotes microtubule assembly and stability and might be involved in establishing and maintaining neuronal polarity. Its C-terminus binds axonal microtubules, and the N-terminus binds neural plasma membrane components, suggesting that tau functions as a linker protein between the two. Axonal polarity is predetermined by MAPT localization within the neuronal cell's domain defined by the centrosome. The short isoforms allow cytoskeleton plasticity, whereas the longer isoforms may preferentially play a role in its stabilization. This supplementary information is collated from multiple sources and compiled automatically.
See full target information MAPT phospho T205

Publications (1)

Recent publications for all applications. Explore the full list and refine your search

iScience 28:112992 PubMed40687785

2025

Differential substrate degradation by super-degron: EGFP in wild-type mouse cells, PD-1 requires CRBN humanization.

Applications

Unspecified application

Species

Unspecified reactive species

Chie Naruse,Ojiro Ishibashi,Masatoshi Ohgushi,Hirohiko Imai,Tomoko Matsuzaki,Xuchi Pan,Tatsuhiko Miyazaki,Yuka Shidahara,Yu Shirakawa,Fumihiro Sugiyama,Masahide Asano
View all publications

Product promise

We are committed to supporting your work with high-quality reagents, and we're here for you every step of the way. In the unlikely event that one of our products does not perform as expected, you're protected by our Product Promise.
For full details, please see our Terms & Conditions

Please note: All products are 'FOR RESEARCH USE ONLY. NOT FOR USE IN DIAGNOSTIC OR THERAPEUTIC PROCEDURES'.

For licensing inquiries, please contact partnerships@abcam.com