JavaScript is disabled in your browser. Please enable JavaScript to view this website.
AB156624

Anti-Tau (phospho T231) antibody [EPR2488] - BSA and Azide free

5

(1 Review)

|

(0 Publication)

Anti-Tau (phospho T231) antibody [EPR2488] - BSA and Azide free (ab156624) is a rabbit recombinant monoclonal antibody in a PBS only buffer for easy conjugation detecting Tau in Western Blot, IP, IHC-P, IHC-Fr, ELISA. Suitable for Human, Mouse, Rat.

- BSA, sodium azide, and glycerol-free for easy conjugation
- Biophysical QC for unrivalled batch-batch consistency

View Alternative Names

MAPTL, MTBT1, TAU, MAPT, Microtubule-associated protein tau, Neurofibrillary tangle protein, Paired helical filament-tau, PHF-tau

10 Images
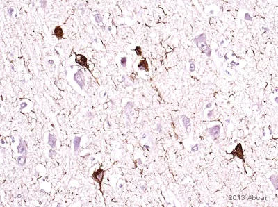
Immunohistochemistry (Formalin/PFA-fixed paraffin-embedded sections) - Anti-Tau (phospho T231) antibody [EPR2488] - BSA and Azide free (AB156624)
  • IHC-P

Collaborator31270****

Immunohistochemistry (Formalin/PFA-fixed paraffin-embedded sections) - Anti-Tau (phospho T231) antibody [EPR2488] - BSA and Azide free (AB156624)

IHC image of Tau (phospho T231) staining in human Alzheimer hippocampus formalin fixed paraffin embedded tissue section. The section was pre-treated using heat mediated antigen retrieval with citrate buffer. The section was then incubated with unpurified ab151559 at 1/2000 dilution for 2 hours at 21ºC. A biotin conjugated goat-anti-rabbit antibody was used as a secondary at 1/250. The section shows clear neurofibrillary tangles in a subset of neurons.

This data was developed using the same antibody clone in a different buffer formulation containing PBS, BSA, glycerol, and sodium azide (ab151559).

Image courtesy of Carl Hobbs, Kings College London.

Indirect ELISA - Anti-Tau (phospho T231) antibody [EPR2488] - BSA and Azide free (AB156624)
  • I-ELISA

Lab

Indirect ELISA - Anti-Tau (phospho T231) antibody [EPR2488] - BSA and Azide free (AB156624)

This data was developed using ab151559, the same antibody clone in a different buffer formulation.

Indirect ELISA analysis of ab151559 at 1000-0 ng/ml. The Secondary antibody used was Alkaline Phosphatase-conjugated AffiniPure Goat Anti-Rabbit IgG (H+L) at 1 : 2500 dilution.

Antigen : Human Tau (phospho T231) peptide, Human Tau non-phospho peptide

Antigen concentration : 1000 ng/ml.

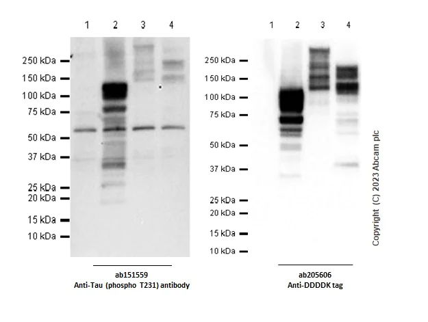
Western blot - Anti-Tau (phospho T231) antibody [EPR2488] - BSA and Azide free (AB156624)
  • WB

Lab

Western blot - Anti-Tau (phospho T231) antibody [EPR2488] - BSA and Azide free (AB156624)

Blocking and dilution buffer : 5% NFDM/TBST.

Western blot for ab205606 is positioned on the right-hand side and serves as a control for the detection of the flag tag.

This data was developed using the same antibody clone in a different buffer formulation containing PBS, BSA, glycerol, and sodium azide (ab151559).

All lanes:

Western blot - Anti-Tau (phospho T231) antibody [EPR2488] (<a href='/en-us/products/primary-antibodies/tau-phospho-t231-antibody-epr2488-ab151559'>ab151559</a>) at 1/1000 dilution

Lane 1:

293T cells transfected with an empty vector containing a flag tag whole cell lysate at 20 µg

Lane 2:

293T cells transfected with a human Tau expression vector containing a flag whole cell lysate at 20 µg

Lane 3:

293T cells transfected with a human MAP2 expression vector containing a flag whole cell lysate at 20 µg

Lane 4:

293T cells transfected with a human MAP4 expression vector containing a flag whole cell lysate at 20 µg

Secondary

All lanes:

Western blot - Goat Anti-Rabbit IgG H&L (HRP) (<a href='/en-us/products/secondary-antibodies/goat-rabbit-igg-h-l-hrp-ab97051'>ab97051</a>) at 1/20000 dilution

Observed band size: 50-100 kDa

false

Exposure time: 1s

Affinity Purification - Anti-Tau (phospho T231) antibody [EPR2488] - BSA and Azide free (AB156624)
  • AP

Lab

Affinity Purification - Anti-Tau (phospho T231) antibody [EPR2488] - BSA and Azide free (AB156624)

Biotinylated Human Tau (pT231) [0.3125 μg/ml] was loaded to SA biosensor on Fortebio RED96e Machine, then associate with recombinant Anti-Tau (phospho T231) antibody [EPR2488] in serial concentration points [4.17, 2.08, 1.04, 0.52, 0.26 nM/mL] by 2-fold dilution, next to dissociate in blank testing buffer [0.1% BSA in PBST (0.05%Tween-20)]. Calculated signals had already subtracted blank control, curve fitting using 1 : 1 binding model. Non-phospho Tau protein's association and dissociation were also showed in graph. KD(M) value of Anti-Tau (phospho T231) antibody [EPR2488] is 1.26E-11

This data was developed using the same antibody clone in a different buffer formulation containing PBS, BSA, glycerol, and sodium azide (ab151559).

Immunohistochemistry (Frozen sections) - Anti-Tau (phospho T231) antibody [EPR2488] - BSA and Azide free (AB156624)
  • IHC-Fr

Unknown

Immunohistochemistry (Frozen sections) - Anti-Tau (phospho T231) antibody [EPR2488] - BSA and Azide free (AB156624)

Immunohistochemistry (Frozen sections) analysis of mouse cerebrum tissue sections labeling Tau with Purified ab151559 at 1/50 (1.5 μg/ml).Heat mediated antigen retrieval using sodium citrate buffer (10mM citrate pH 6.0 + 0.05% Tween-20). Goat anti rabbit IgG (Alexa Fluor® 488, ab150077) was used as the secondary antibody. Negative control : PBS instead of the primary antibody. DAPI was used as a counterstain.

This data was developed using the same antibody clone in a different buffer formulation containing PBS, BSA, glycerol, and sodium azide (ab151559).

Immunohistochemistry (Formalin/PFA-fixed paraffin-embedded sections) - Anti-Tau (phospho T231) antibody [EPR2488] - BSA and Azide free (AB156624)
  • IHC-P

Unknown

Immunohistochemistry (Formalin/PFA-fixed paraffin-embedded sections) - Anti-Tau (phospho T231) antibody [EPR2488] - BSA and Azide free (AB156624)

IHC image of Tau (phospho T231) staining in human Alzheimer hippocampus formalin fixed paraffin embedded tissue section, performed on a Leica Bond system using the standard protocol F. The section was pre-treated using heat mediated antigen retrieval with sodium citrate buffer (pH 6, epitope retrieval solution 1) for 20 minutes. The section was then incubated with unpurified ab151559, 1/200 dilution, for 15 minutes at room temperature and detected using an HRP conjugated compact polymer system. DAB was used as the chromogen. The section was then counterstained with haematoxylin and mounted with DPX.

For other IHC staining systems (automated and non-automated) customers should optimize variable parameters such as antigen retrieval conditions, primary antibody concentration and antibody incubation times.

This data was developed using the same antibody clone in a different buffer formulation containing PBS, BSA, glycerol, and sodium azide (ab151559).

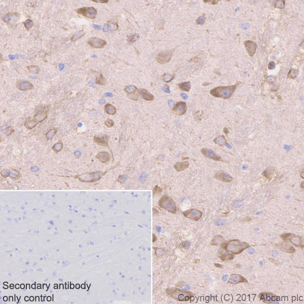
Immunohistochemistry (Formalin/PFA-fixed paraffin-embedded sections) - Anti-Tau (phospho T231) antibody [EPR2488] - BSA and Azide free (AB156624)
  • IHC-P

Lab

Immunohistochemistry (Formalin/PFA-fixed paraffin-embedded sections) - Anti-Tau (phospho T231) antibody [EPR2488] - BSA and Azide free (AB156624)

Immunohistochemistry (Formalin/PFA-fixed paraffin-embedded sections) analysis of Mouse cerebrum tissue sections labeling Tau or Primary ab team with Purified ab151559 at 1 : 500 dilution (0.24 µg/ml). Heat mediated antigen retrieval was performed using citrate (pH 6.0)

This data was developed using the same antibody clone in a different buffer formulation containing PBS, BSA, glycerol, and sodium azide (ab151559).

Immunohistochemistry (Formalin/PFA-fixed paraffin-embedded sections) - Anti-Tau (phospho T231) antibody [EPR2488] - BSA and Azide free (AB156624)
  • IHC-P

Lab

Immunohistochemistry (Formalin/PFA-fixed paraffin-embedded sections) - Anti-Tau (phospho T231) antibody [EPR2488] - BSA and Azide free (AB156624)

Immunohistochemistry (Formalin/PFA-fixed paraffin-embedded sections) analysis of Human cerebrum tissue sections labeling Tau with Purified ab151559 at 1 : 500 dilution (0.24 µg/ml). Heat mediated antigen retrieval was performed using citrate (pH 6.0)

This data was developed using the same antibody clone in a different buffer formulation containing PBS, BSA, glycerol, and sodium azide (ab151559).

Immunohistochemistry (Formalin/PFA-fixed paraffin-embedded sections) - Anti-Tau (phospho T231) antibody [EPR2488] - BSA and Azide free (AB156624)
  • IHC-P

Lab

Immunohistochemistry (Formalin/PFA-fixed paraffin-embedded sections) - Anti-Tau (phospho T231) antibody [EPR2488] - BSA and Azide free (AB156624)

Immunohistochemistry (Formalin/PFA-fixed paraffin-embedded sections) analysis of Rat cerebrum tissue sections labeling Tau with Purified ab151559 at 1 : 500 dilution (0.24 µg/ml). Heat mediated antigen retrieval was performed using citrate (pH 6.0)

This data was developed using the same antibody clone in a different buffer formulation containing PBS, BSA, glycerol, and sodium azide (ab151559).

Immunoprecipitation - Anti-Tau (phospho T231) antibody [EPR2488] - BSA and Azide free (AB156624)
  • IP

Lab

Immunoprecipitation - Anti-Tau (phospho T231) antibody [EPR2488] - BSA and Azide free (AB156624)

ab151559 (purified) at 1 : 20 dilution (0.6μg) immunoprecipitating Tau in Rat cerebral cortex lysate.
Lane 1 (input) : Rat cerebral cortex lysate 10μg
Lane 2 (+) : ab151559 & Rat cerebral cortex lysate
Lane 3 (-) : Rabbit monoclonal IgG (ab172730) instead of ab151559 inRat cerebral cortex lysate
For western blotting, VeriBlot for IP Detection Reagent (HRP) (ab131366) was used for detection at 1 : 1000 dilution.
Blocking and diluting buffer : 5% NFDM/TBST.

This data was developed using the same antibody clone in a different buffer formulation containing PBS, BSA, glycerol, and sodium azide (ab151559).

All lanes:

Immunoprecipitation - Anti-Tau (phospho T231) antibody [EPR2488] (<a href='/en-us/products/primary-antibodies/tau-phospho-t231-antibody-epr2488-ab151559'>ab151559</a>)

Predicted band size: 78 kDa

Observed band size: 50-70 kDa

false

Key facts

Host species

Rabbit

Clonality

Monoclonal

Clone number

EPR2488

Isotype

IgG

Carrier free

Yes

Reacts with

Mouse, Rat, Human

Applications

IHC-Fr, I-ELISA, WB, IP, AP, IHC-P

applications

Immunogen

The exact immunogen used to generate this antibody is proprietary information.

Specificity

The specificity of this antibody refers to P10636-8.

Reactivity data

{ "title": "Reactivity Data", "filters": { "stats": ["", "Species", "Dilution Info", "Notes"], "tabs": { "all-applications": {"fullname" : "All Applications", "shortname": "All Applications"}, "IHCP" : {"fullname" : "Immunohistochemistry (Formalin/PFA-fixed paraffin-embedded sections)", "shortname":"IHC-P"}, "IP" : {"fullname" : "Immunoprecipitation", "shortname":"IP"}, "WB" : {"fullname" : "Western blot", "shortname":"WB"}, "IHCFr" : {"fullname" : "Immunohistochemistry (Frozen sections)", "shortname":"IHC-Fr"}, "AP" : {"fullname" : "Affinity Purification", "shortname":"AP"}, "IELISA" : {"fullname" : "Indirect ELISA", "shortname":"I-ELISA"} }, "product-promise": { "all": "all", "testedAndGuaranteed": "tested", "guaranteed": "expected", "predicted": "predicted", "notRecommended": "not-recommended" } }, "values": { "Human": { "IHCP-species-checked": "testedAndGuaranteed", "IHCP-species-dilution-info": "", "IHCP-species-notes": "<p></p>", "IP-species-checked": "guaranteed", "IP-species-dilution-info": "", "IP-species-notes": "", "WB-species-checked": "guaranteed", "WB-species-dilution-info": "", "WB-species-notes": "<p></p>", "IHCFr-species-checked": "testedAndGuaranteed", "IHCFr-species-dilution-info": "", "IHCFr-species-notes": "<p>Heat mediated antigen retrieval using sodium citrate buffer (10mM citrate pH 6.0 + 0.05% Tween-20).</p>", "AP-species-checked": "testedAndGuaranteed", "AP-species-dilution-info": "", "AP-species-notes": "<p><strong>Antibody concentration range -</strong> 4.17, 2.08, 1.04, 0.52, 0.26, 0 nM/mL</p>", "IELISA-species-checked": "guaranteed", "IELISA-species-dilution-info": "", "IELISA-species-notes": "" }, "Mouse": { "IHCP-species-checked": "testedAndGuaranteed", "IHCP-species-dilution-info": "", "IHCP-species-notes": "<p></p>", "IP-species-checked": "guaranteed", "IP-species-dilution-info": "", "IP-species-notes": "", "WB-species-checked": "guaranteed", "WB-species-dilution-info": "", "WB-species-notes": "<p></p>", "IHCFr-species-checked": "testedAndGuaranteed", "IHCFr-species-dilution-info": "", "IHCFr-species-notes": "<p>Heat mediated antigen retrieval using sodium citrate buffer (10mM citrate pH 6.0 + 0.05% Tween-20).</p>", "AP-species-checked": "guaranteed", "AP-species-dilution-info": "", "AP-species-notes": "", "IELISA-species-checked": "guaranteed", "IELISA-species-dilution-info": "", "IELISA-species-notes": "" }, "Rat": { "IHCP-species-checked": "testedAndGuaranteed", "IHCP-species-dilution-info": "", "IHCP-species-notes": "<p></p>", "IP-species-checked": "testedAndGuaranteed", "IP-species-dilution-info": "", "IP-species-notes": "<p></p>", "WB-species-checked": "guaranteed", "WB-species-dilution-info": "", "WB-species-notes": "<p></p>", "IHCFr-species-checked": "guaranteed", "IHCFr-species-dilution-info": "", "IHCFr-species-notes": "", "AP-species-checked": "guaranteed", "AP-species-dilution-info": "", "AP-species-notes": "", "IELISA-species-checked": "guaranteed", "IELISA-species-dilution-info": "", "IELISA-species-notes": "" }, "Synthetic peptide - Human": { "IHCP-species-checked": "notRecommended", "IHCP-species-dilution-info": "", "IHCP-species-notes": "", "IP-species-checked": "notRecommended", "IP-species-dilution-info": "", "IP-species-notes": "", "WB-species-checked": "notRecommended", "WB-species-dilution-info": "", "WB-species-notes": "", "IHCFr-species-checked": "notRecommended", "IHCFr-species-dilution-info": "", "IHCFr-species-notes": "", "AP-species-checked": "notRecommended", "AP-species-dilution-info": "", "AP-species-notes": "", "IELISA-species-checked": "testedAndGuaranteed", "IELISA-species-dilution-info": "", "IELISA-species-notes": "<p></p>" } } }

You may be interested in:

AB322366

Human Tau (phospho T231) ELISA Kit- Intracellular

0

0 Reviews

View product

We recommend this product because it’s often used in the same experiment or related research.

We advise that you always check the datasheet to ensure it fits your experiments, or contact ourtechnical teamfor help.

Product details

What is this antibody validated in?
Anti-Tau (phospho T231) antibody [EPR2488] - BSA and Azide free (ab156624) is a rabbit recombinant monoclonal antibody and is validated for use in Western Blot (WB), Immunoprecipitation (IP), Immunohistochemistry (IHC-P), Immunohistochemistry (IHC-Fr), ELISA in Human, Mouse, Rat samples.

What is the molecular weight of Tau?
Anti-Tau (phospho T231) [EPR2488] - BSA and Azide free (ab156624) specifically detects a band for Tau (UniProt: P10636) at a molecular weight of 46kDa.

Other related products
We have a range of other formats of antibody clone [EPR2488] also available for your convenience: ab151559, Carrier free - ab156624, Alexa Fluor® 647 - ab303468, Alexa Fluor® 594 - ab311643, Alexa Fluor® 568 - ab312916, Alexa Fluor® 555 - ab313128, Carrier free - ab319089, Alexa Fluor® 750 - ab321130

Patented technology
Our RabMAb® technology is a patented hybridoma-based technology for making rabbit monoclonal antibodies. For details on our patents, please refer to RabMAb® patents.

Conjugation ready
Our carrier-free antibodies are typically supplied in a PBS-only formulation, purified and free of BSA, sodium azide and glycerol. This conjugation-ready format is designed for use with fluorochromes, metal isotopes, oligonucleotides, and enzymes, which makes them ideal for antibody labelling, functional and cell-based assays, flow-based assays (e.g. mass cytometry) and Multiplex Imaging applications.

Use our conjugation kits for antibody conjugates that are ready-to-use in as little as 20 minutes with 1 minute hands-on-time and 100% antibody recovery: available for fluorescent dyes, HRP, biotin and gold.

Compatibility
This product is compatible with the Maxpar® Antibody Labeling Kit from Fluidigm, without the need for antibody preparation. Maxpar® is a trademark of Fluidigm Canada Inc.

Properties and storage information

Form
Liquid
Purification technique
Affinity purification Protein A
Storage buffer
Constituents: PBS
Shipped at conditions
Blue Ice
Appropriate short-term storage conditions
+4°C
Appropriate long-term storage conditions
+4°C
Storage information
Do Not Freeze

Supplementary information

This supplementary information is collated from multiple sources and compiled automatically.

Tau also known as microtubule-associated protein Tau (MAPT) plays an important role in stabilizing microtubules in neuronal cells. Tau is primarily found in the central nervous system but also exists in peripheral neurons. Human Tau protein comes in six isoforms due to alternative splicing with molecular weights ranging from 48 kDa to 67 kDa. This protein predominantly locates in the axons of neurons where it maintains the stability of microtubule tracks necessary for axonal transport.
Biological function summary

Tau is involved in the assembly and stabilization of microtubules essential for maintaining neuronal structure. It interacts with microtubule-binding domains (MBD) to bind and bundle microtubules facilitating intracellular transport. Tau forms a part of the neuronal cytoskeleton complex working closely with other cytoskeletal proteins to preserve the proper axonal transport and function. Abnormally phosphorylated Tau often termed phospho-Tau disrupts this complex affecting microtubule stability.

Pathways

Tau has critical involvement in several signaling cascades such as the microtubule-binding and transport pathways. Glycogen synthase kinase 3 beta (GSK3Β) and cyclin-dependent kinase 5 (CDK5) frequently phosphorylate Tau controlling its interaction with microtubules. Phosphorylated Tau accumulates leading to the formation of neurofibrillary tangles often observed in neurodegenerative conditions. Additionally Tau interacts with GAPDH impacting cellular energy regulation through potential pathway cross-talk involving oxidative stress responses.

Tau is closely associated with Alzheimer's disease and frontotemporal dementia. In Alzheimer's disease hyperphosphorylated Tau aggregates into paired helical filaments forming neurofibrillary tangles while similar aggregates are observed in frontotemporal dementia. In these conditions Tau links to amyloid precursor protein (APP) where misregulated phosphorylation-driven interactions contribute to neurodegeneration. Identifying phospho-Tau and its altered interactions with related proteins aids in understanding and potentially treating these disorders.

Product protocols

For this product, it's our understanding that no specific protocols are required. You can visit:

Target data

The protein expressed by the MAPT gene promotes microtubule assembly and stability and might be involved in establishing and maintaining neuronal polarity. Its C-terminus binds axonal microtubules, and the N-terminus binds neural plasma membrane components, suggesting that tau functions as a linker protein between the two. Axonal polarity is predetermined by MAPT localization within the neuronal cell's domain defined by the centrosome. The short isoforms allow cytoskeleton plasticity, whereas the longer isoforms may preferentially play a role in its stabilization. This supplementary information is collated from multiple sources and compiled automatically.
See full target information MAPT phospho T231

Additional targets

MAPT phospho T231

Product promise

We are committed to supporting your work with high-quality reagents, and we're here for you every step of the way. In the unlikely event that one of our products does not perform as expected, you're protected by our Product Promise.
For full details, please see our Terms & Conditions

Associated Products

Select an associated product type
Alternative Product
Proteins & Peptides

AB256152

Recombinant human Tau (mutated P301L) protein (Active)

proteins-peptides

recombinant-human-tau-mutated-p301l-protein-active-ab256152

0

(0 reviews)

Alternative Product
Proteins & Peptides

AB256153

Recombinant human Tau (mutated P301S) protein monomer (Active)

proteins-peptides

recombinant-human-tau-mutated-p301s-protein-monomer-active-ab256153

0

(0 reviews)

Alternative Product
Primary Antibodies

AB92682

Anti-Tau (phospho S356) antibody [EPR2603]

primary-antibodies

tau-phospho-s356-antibody-epr2603-ab92682

0

(0 reviews)

Alternative Product
Primary Antibodies

AB109390

Anti-Tau (phospho S396) antibody [EPR2731]

primary-antibodies

tau-phospho-s396-antibody-epr2731-ab109390

4

(13 reviews)

Alternative Product
Primary Antibodies

AB254256

Anti-Tau antibody [EPR22524-95]

primary-antibodies

tau-antibody-epr22524-95-ab254256

5

(3 reviews)

Alternative Product
Primary Antibodies

AB32057

Anti-Tau (phospho S396) antibody [E178]

primary-antibodies

tau-phospho-s396-antibody-e178-ab32057

5

(5 reviews)

Alternative Product
Primary Antibodies

AB170892

Anti-Tau (phospho S214) antibody [EPR1884(2)]

primary-antibodies

tau-phospho-s214-antibody-epr18842-ab170892

5

(1 reviews)

Alternative Product
Primary Antibodies

AB255271

Anti-Tau antibody [EPR22524-95] - BSA and Azide free

primary-antibodies

tau-antibody-epr22524-95-bsa-and-azide-free-ab255271

0

(0 reviews)

Alternative Product
Proteins & Peptides

AB256151

Recombinant human Tau (mutated P301L) protein (Active)

proteins-peptides

recombinant-human-tau-mutated-p301l-protein-active-ab256151

0

(0 reviews)

Alternative Product
Primary Antibodies

AB92676

Anti-Tau (phospho S404) antibody [EPR2605]

primary-antibodies

tau-phospho-s404-antibody-epr2605-ab92676

5

(4 reviews)

Alternative Product
Primary Antibodies

AB93726

Anti-Tau antibody [SP70]

primary-antibodies

tau-antibody-sp70-ab93726

5

(4 reviews)

Alternative Version
Primary Antibodies

AB303468

Alexa Fluor® 647 Anti-Tau (phospho T231) antibody [EPR2488]

primary-antibodies

alexa-fluor-647-tau-phospho-t231-antibody-epr2488-ab303468

0

(0 reviews)

Alternative Version
Primary Antibodies

AB306601

Alexa Fluor® 488 Anti-Tau (phospho T231) antibody [EPR2488]

primary-antibodies

alexa-fluor-488-tau-phospho-t231-antibody-epr2488-ab306601

0

(0 reviews)

Alternative Version
Primary Antibodies

AB313128

Alexa Fluor® 555 Anti-Tau (phospho T231) antibody [EPR2488]

primary-antibodies

alexa-fluor-555-tau-phospho-t231-antibody-epr2488-ab313128

0

(0 reviews)

Alternative Version
Primary Antibodies

AB311643

Alexa Fluor® 594 Anti-Tau (phospho T231) antibody [EPR2488]

primary-antibodies

alexa-fluor-594-tau-phospho-t231-antibody-epr2488-ab311643

0

(0 reviews)

Please note: All products are 'FOR RESEARCH USE ONLY. NOT FOR USE IN DIAGNOSTIC OR THERAPEUTIC PROCEDURES'.

For licensing inquiries, please contact partnerships@abcam.com