JavaScript is disabled in your browser. Please enable JavaScript to view this website.
AB307440

Anti-TAZ antibody [EPR25084-93]

Be the first to review this product! Submit a review

|

(2 Publications)

Rabbit Recombinant Monoclonal TAZ antibody. Suitable for IP, WB and reacts with Mouse, Human samples. Cited in 2 publications.

View Alternative Names

TAZ, WWTR1, WW domain-containing transcription regulator protein 1, Transcriptional coactivator with PDZ-binding motif

5 Images
Immunoprecipitation - Anti-TAZ antibody [EPR25084-93] (AB307440)
  • IP

Supplier Data

Immunoprecipitation - Anti-TAZ antibody [EPR25084-93] (AB307440)

TAZ was immunoprecipitated from 0.35 mg NIH/3T3 (mouse embryonic fibroblast) whole cell lysate 10 µg with ab307440 at 1/30 dilution (2µg in 0.35mg lysates). Western blot was performed on the immunoprecipitate using ab307440 at 1/1000 dilution. VeriBlot for IP secondary antibody(HRP)(ab131366) was used at 1/5000 dilution. Lane 1 : NIH/3T3 (mouse embryonic fibroblast) whole cell lysate 10 µg Lane 2 : ab307440 IP in NIH/3T3 whole cell lysate Lane 3 : Rabbit monoclonal IgG (ab172730) instead of ab307440 in NIH/3T3 whole cell lysate Blocking and dilution buffer and concentration : 5% NFDM/TBST. Exposure time : 93 seconds

Western blot - Anti-TAZ antibody [EPR25084-93] (AB307440)
  • WB

Supplier Data

Western blot - Anti-TAZ antibody [EPR25084-93] (AB307440)

Blocking and diluting buffer and concentration : 5% NFDM/TBST. Negative control : Raji. Low expression : SH-SY5Y (PMID : 26104008) . Exposure time : 59 seconds.

All lanes:

Western blot - Anti-TAZ antibody [EPR25084-93] (ab307440) at 1/1000 dilution

Lane 1:

SK-MEL-28 (human malignant melanoma cell) whole cell lysate at 20 µg

Lane 2:

SH-SY5Y (human neuroblastoma epithelial cell) whole cell lysate at 20 µg

Lane 3:

Raji (human Burkitts lymphoma B lymphocyte) whole cell lysate at 20 µg

Secondary

All lanes:

Western blot - Goat Anti-Rabbit IgG H&L (HRP) (<a href='/en-us/products/secondary-antibodies/goat-rabbit-igg-h-l-hrp-ab97051'>ab97051</a>) at 1/100000 dilution

Observed band size: 50 kDa

false

Exposure time: 59s

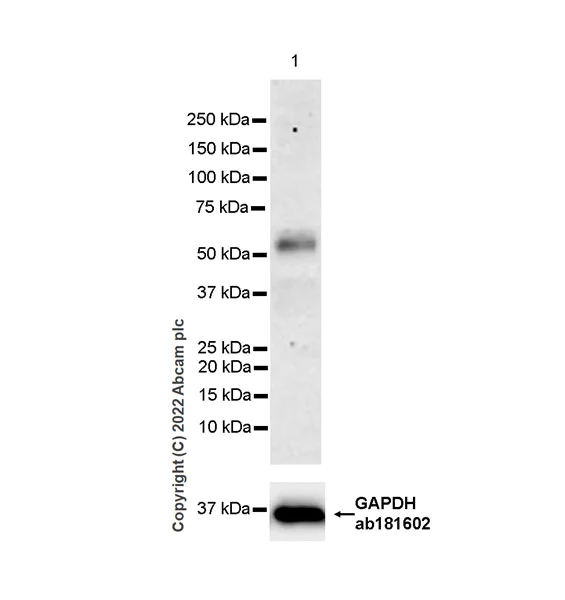
Western blot - Anti-TAZ antibody [EPR25084-93] (AB307440)
  • WB

Supplier Data

Western blot - Anti-TAZ antibody [EPR25084-93] (AB307440)

Blocking and diluting buffer and concentration : 5% NFDM/TBST.

This blot was developed using a high sensitivity ECL substrate. The high-sensitivity ECL substrate used allows for the detection of proteins in the mid-femtogram range.

All lanes:

Western blot - Anti-TAZ antibody [EPR25084-93] (ab307440) at 1/1000 dilution

Lane 1:

HeLa (human cervix adenocarcinoma epithelial cell) transfected with scrambled siRNA control whole cell lysate at 20 µg

Lane 2:

HeLa transfected with siRNA specifically targeting TAZ whole cell lysate at 20 µg

Secondary

All lanes:

Western blot - Goat Anti-Rabbit IgG H&L (HRP) (<a href='/en-us/products/secondary-antibodies/goat-rabbit-igg-h-l-hrp-ab97051'>ab97051</a>) at 1/100000 dilution

Observed band size: 37 kDa

true

Exposure time: 37s

Western blot - Anti-TAZ antibody [EPR25084-93] (AB307440)
  • WB

Supplier Data

Western blot - Anti-TAZ antibody [EPR25084-93] (AB307440)

Blocking and diluting buffer and concentration : 5% NFDM/TBST.

This blot was developed using a high sensitivity ECL substrate. The high-sensitivity ECL substrate used allows for the detection of proteins in the mid-femtogram range.

All lanes:

Western blot - Anti-TAZ antibody [EPR25084-93] (ab307440) at 1/1000 dilution

All lanes:

NIH/3T3 (mouse embryonic fibroblast) whole cell lysate at 20 µg

Secondary

All lanes:

Western blot - Goat Anti-Rabbit IgG H&L (HRP) (<a href='/en-us/products/secondary-antibodies/goat-rabbit-igg-h-l-hrp-ab97051'>ab97051</a>) at 1/100000 dilution

Observed band size: 50 kDa

true

Exposure time: 180s

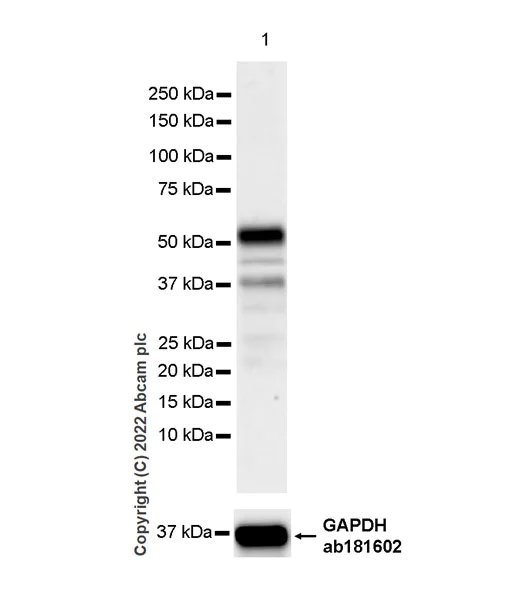
Western blot - Anti-TAZ antibody [EPR25084-93] (AB307440)
  • WB

Supplier Data

Western blot - Anti-TAZ antibody [EPR25084-93] (AB307440)

Blocking and diluting buffer and concentration : 5% NFDM/TBST. The bands beneath the target band (50 kDa) may represent degraded target fragments . Exposure time : 59 seconds.

All lanes:

Western blot - Anti-TAZ antibody [EPR25084-93] (ab307440) at 1/1000 dilution

All lanes:

C2C12 (mouse myoblasts myoblast) whole cell lysate at 20 µg

Secondary

All lanes:

Western blot - Goat Anti-Rabbit IgG H&L (HRP) (<a href='/en-us/products/secondary-antibodies/goat-rabbit-igg-h-l-hrp-ab97051'>ab97051</a>) at 1/100000 dilution

Observed band size: 50 kDa

false

Exposure time: 59s

  • Carrier free

    Anti-TAZ antibody [EPR25084-93] - BSA and Azide free

Key facts

Host species

Rabbit

Clonality

Monoclonal

Clone number

EPR25084-93

Isotype

IgG

Carrier free

No

Reacts with

Mouse, Human

Applications

WB, IP

applications

Immunogen

The exact immunogen used to generate this antibody is proprietary information.

Reactivity data

{ "title": "Reactivity Data", "filters": { "stats": ["", "Species", "Dilution Info", "Notes"], "tabs": { "all-applications": {"fullname" : "All Applications", "shortname": "All Applications"}, "IP" : {"fullname" : "Immunoprecipitation", "shortname":"IP"}, "WB" : {"fullname" : "Western blot", "shortname":"WB"}, "ICCIF" : {"fullname" : "Immunocytochemistry/ Immunofluorescence", "shortname":"ICC/IF"}, "IHCP" : {"fullname" : "Immunohistochemistry (Formalin/PFA-fixed paraffin-embedded sections)", "shortname":"IHC-P"}, "FlowCyt" : {"fullname" : "Flow Cytometry", "shortname":"Flow Cyt"} }, "product-promise": { "all": "all", "testedAndGuaranteed": "tested", "guaranteed": "expected", "predicted": "predicted", "notRecommended": "not-recommended" } }, "values": { "Human": { "IP-species-checked": "notRecommended", "IP-species-dilution-info": "1/30", "IP-species-notes": "<p></p>", "WB-species-checked": "testedAndGuaranteed", "WB-species-dilution-info": "1/1000", "WB-species-notes": "<p></p>", "ICCIF-species-checked": "notRecommended", "ICCIF-species-dilution-info": "", "ICCIF-species-notes": "<p></p>", "IHCP-species-checked": "notRecommended", "IHCP-species-dilution-info": "", "IHCP-species-notes": "<p></p>", "FlowCyt-species-checked": "notRecommended", "FlowCyt-species-dilution-info": "", "FlowCyt-species-notes": "<p></p>" }, "Mouse": { "IP-species-checked": "testedAndGuaranteed", "IP-species-dilution-info": "1/30", "IP-species-notes": "<p></p>", "WB-species-checked": "testedAndGuaranteed", "WB-species-dilution-info": "1/1000", "WB-species-notes": "<p></p>", "ICCIF-species-checked": "notRecommended", "ICCIF-species-dilution-info": "", "ICCIF-species-notes": "<p></p>", "IHCP-species-checked": "notRecommended", "IHCP-species-dilution-info": "", "IHCP-species-notes": "<p></p>", "FlowCyt-species-checked": "notRecommended", "FlowCyt-species-dilution-info": "", "FlowCyt-species-notes": "" }, "Rat": { "IP-species-checked": "notRecommended", "IP-species-dilution-info": "", "IP-species-notes": "", "WB-species-checked": "notRecommended", "WB-species-dilution-info": "1/1000", "WB-species-notes": "<p></p>", "ICCIF-species-checked": "notRecommended", "ICCIF-species-dilution-info": "", "ICCIF-species-notes": "", "IHCP-species-checked": "notRecommended", "IHCP-species-dilution-info": "", "IHCP-species-notes": "<p></p>", "FlowCyt-species-checked": "notRecommended", "FlowCyt-species-dilution-info": "", "FlowCyt-species-notes": "" } } }

Product details

Patented technology
Our RabMAb® technology is a patented hybridoma-based technology for making rabbit monoclonal antibodies. For details on our patents, please refer to RabMAb® patents.

What are the advantages of a recombinant monoclonal antibody?
This product is a recombinant monoclonal antibody, which offers several advantages including:

  • - High batch-to-batch consistency and reproducibility
  • - Improved sensitivity and specificity
  • - Long-term security of supply
  • - Animal-free batch production

For more information, read more on recombinant antibodies.

Properties and storage information

Form
Liquid
Purification technique
Affinity purification Protein A
Storage buffer
pH: 7.2 - 7.4 Preservative: 0.01% Sodium azide Constituents: PBS, 40% Glycerol (glycerin, glycerine), 0.05% BSA
Shipped at conditions
Blue Ice
Appropriate short-term storage duration
1-2 weeks
Appropriate short-term storage conditions
+4°C
Appropriate long-term storage conditions
-20°C
Aliquoting information
Upon delivery aliquot
Storage information
Avoid freeze / thaw cycle

Supplementary information

This supplementary information is collated from multiple sources and compiled automatically.

TAZ also known as WWTR1 (WW Domain-Containing Transcription Regulator 1) acts as a transcriptional co-activator in cells. TAZ has a molecular mass of approximately 45 kDa. This protein appears in various tissues including the lung kidney brain and heart. TAZ interacts with other transcription factors to influence gene expression playing a role in cellular signaling and development.
Biological function summary

TAZ works as a part of the Hippo signaling pathway regulating cell growth proliferation and apoptosis. It changes cellular responses through interactions with other proteins such as TEAD transcription factors. TAZ can act within the cytoplasm or the nucleus changing its location in the cell based on physiological signals. It operates independently as well as in concert with other molecules assisting in maintaining tissue homeostasis and regeneration.

Pathways

TAZ functions as an essential element of the Hippo pathway which controls organ size and suppresses cancer. It plays significant roles in the PI3K-AKT signaling pathway coordinating with YAP (Yes-associated protein) a well-known partner in these pathways. TAZ and YAP together influence transcriptional outcomes for numerous genes adjusting to the needs of various cellular contexts which affect cell behavior significantly.

TAZ associates with cancer and fibrosis. In many cancers TAZ exhibits high activity often linked with poor prognosis due to its role in promoting cell proliferation and survival. TAZ interacts with beta-catenin in cancer contexts influencing signaling that drives cancer progression. In fibrosis aberrant TAZ signaling leads to excessive tissue scarring working alongside CTGF (Connective Tissue Growth Factor) to support this pathological development.

Product protocols

For this product, it's our understanding that no specific protocols are required. You can visit:

Target data

Transcriptional coactivator which acts as a downstream regulatory target in the Hippo signaling pathway that plays a pivotal role in organ size control and tumor suppression by restricting proliferation and promoting apoptosis (PubMed : 11118213, PubMed : 18227151, PubMed : 23911299). The core of this pathway is composed of a kinase cascade wherein STK3/MST2 and STK4/MST1, in complex with its regulatory protein SAV1, phosphorylates and activates LATS1/2 in complex with its regulatory protein MOB1, which in turn phosphorylates and inactivates YAP1 oncoprotein and WWTR1/TAZ (PubMed : 18227151). WWTR1 enhances PAX8 and NKX2-1/TTF1-dependent gene activation (PubMed : 19010321). In conjunction with YAP1, involved in the regulation of TGFB1-dependent SMAD2 and SMAD3 nuclear accumulation (PubMed : 18568018). Plays a key role in coupling SMADs to the transcriptional machinery such as the mediator complex (PubMed : 18568018). Regulates embryonic stem-cell self-renewal, promotes cell proliferation and epithelial-mesenchymal transition (PubMed : 18227151, PubMed : 18568018).
See full target information WWTR1

Publications (2)

Recent publications for all applications. Explore the full list and refine your search

Journal of thoracic disease 16:7709-7728 PubMed39678869

2024

Exacerbation of pulmonary fibrosis following acute lung injury via activin-A production by recruited alveolar macrophages.

Applications

Unspecified application

Species

Unspecified reactive species

Ting Pan,Yinzhou Feng,Yufan Li,Yanping Yang,Jian Zhou,Yuanlin Song

Anti-cancer drugs 35:902-911 PubMed39012720

2024

Interference with PLA2G16 promotes cell cycle arrest and apoptosis and inhibits the reprogramming of glucose metabolism in multiple myeloma cells by modulating the Hippo/YAP signaling pathway.

Applications

Unspecified application

Species

Unspecified reactive species

Hongyan Li,Yi Zhang,Xiaoyu Mou,Bo Huang,Xiaoqiang Fan
View all publications

Product promise

We are committed to supporting your work with high-quality reagents, and we're here for you every step of the way. In the unlikely event that one of our products does not perform as expected, you're protected by our Product Promise.
For full details, please see our Terms & Conditions

Please note: All products are 'FOR RESEARCH USE ONLY. NOT FOR USE IN DIAGNOSTIC OR THERAPEUTIC PROCEDURES'.

For licensing inquiries, please contact partnerships@abcam.com