JavaScript is disabled in your browser. Please enable JavaScript to view this website.
AB190796

Anti-TBLR1/TBL1XR1+TBL1X+TBL1Y antibody [EPR16153]

Be the first to review this product! Submit a review

|

(2 Publications)

Rabbit Recombinant Monoclonal TBLR1/TBL1XR1 antibody. Suitable for WB, ICC/IF, IHC-P and reacts with Rat, Human, Recombinant full length protein - Human, Mouse samples. Cited in 2 publications.

View Alternative Names

IRA1, TBLR1, TBL1XR1, F-box-like/WD repeat-containing protein TBL1XR1, Nuclear receptor corepressor/HDAC3 complex subunit TBLR1, TBL1-related protein 1, Transducin beta-like 1X-related protein 1

7 Images
Immunocytochemistry/ Immunofluorescence - Anti-TBLR1/TBL1XR1+TBL1X+TBL1Y antibody [EPR16153] (AB190796)
  • ICC/IF

Supplier Data

Immunocytochemistry/ Immunofluorescence - Anti-TBLR1/TBL1XR1+TBL1X+TBL1Y antibody [EPR16153] (AB190796)

Immunofluorescence analysis of HeLa cells fixed in 4% paraformaldehyde labeling TBLR1/TBL1XR1 with ab190796 at 1/200 dilution. Goat anti rabbit IgG(Alexa Fluor® 555) was used as the secondary antibody at 1/200. Counterstained with DAPI.

Immunocytochemistry/ Immunofluorescence - Anti-TBLR1/TBL1XR1+TBL1X+TBL1Y antibody [EPR16153] (AB190796)
  • ICC/IF

Supplier Data

Immunocytochemistry/ Immunofluorescence - Anti-TBLR1/TBL1XR1+TBL1X+TBL1Y antibody [EPR16153] (AB190796)

Immunofluorescence analysis of PC-3 cells fixed in 4% paraformaldehyde labeling TBLR1/TBL1XR1 with ab190796 at 1/200 dilution. Goat anti rabbit IgG(Alexa Fluor® 555) was used as a secondary antibody at 1/200. Counterstained with DAPI.

Immunohistochemistry (Formalin/PFA-fixed paraffin-embedded sections) - Anti-TBLR1/TBL1XR1+TBL1X+TBL1Y antibody [EPR16153] (AB190796)
  • IHC-P

Supplier Data

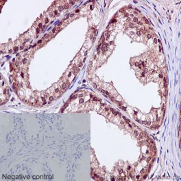
Immunohistochemistry (Formalin/PFA-fixed paraffin-embedded sections) - Anti-TBLR1/TBL1XR1+TBL1X+TBL1Y antibody [EPR16153] (AB190796)

Immunohistochemical analysis of formalin-fixed paraffin-embedded Human prostatic hyperplasia tissue labeling TBLR1/TBL1XR1 with ab190796 at 1/100 dilution. Detected using HRP Polymer for Rabbit IgG and counter-stained using hematoxylin.

Perform heat mediated antigen retrieval with Tris/EDTA buffer pH 9.0 before commencing with IHC staining protocol.

Immunohistochemistry (Formalin/PFA-fixed paraffin-embedded sections) - Anti-TBLR1/TBL1XR1+TBL1X+TBL1Y antibody [EPR16153] (AB190796)
  • IHC-P

Supplier Data

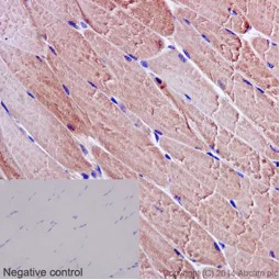
Immunohistochemistry (Formalin/PFA-fixed paraffin-embedded sections) - Anti-TBLR1/TBL1XR1+TBL1X+TBL1Y antibody [EPR16153] (AB190796)

Immunohistochemical analysis of formalin-fixed paraffin-embedded mouse muscle tissue labeling TBLR1/TBL1XR1 with ab190796 at 1/100 dilution. Detected using HRP Polymer for Rabbit IgG and counter-stained using hematoxylin.

Perform heat mediated antigen retrieval with Tris/EDTA buffer pH 9.0 before commencing with IHC staining protocol.

Western blot - Anti-TBLR1/TBL1XR1+TBL1X+TBL1Y antibody [EPR16153] (AB190796)
  • WB

Supplier Data

Western blot - Anti-TBLR1/TBL1XR1+TBL1X+TBL1Y antibody [EPR16153] (AB190796)

All lanes:

Western blot - Anti-TBLR1/TBL1XR1+TBL1X+TBL1Y antibody [EPR16153] (ab190796) at 1/1000 dilution

Lane 1:

K562 cell lysate at 20 µg

Lane 2:

Hela cell lysate at 20 µg

Lane 3:

Jurkat cell lysate at 20 µg

Secondary

All lanes:

Goat Anti-Rabbit IgG, (H+L), Peroxidase conjugated at 1/1000 dilution

Predicted band size: 56 kDa

Observed band size: 56 kDa

false

Western blot - Anti-TBLR1/TBL1XR1+TBL1X+TBL1Y antibody [EPR16153] (AB190796)
  • WB

Supplier Data

Western blot - Anti-TBLR1/TBL1XR1+TBL1X+TBL1Y antibody [EPR16153] (AB190796)

All lanes:

Western blot - Anti-TBLR1/TBL1XR1+TBL1X+TBL1Y antibody [EPR16153] (ab190796) at 1/1000 dilution

Lane 1:

C6 cell lysate at 10 µg

Lane 2:

Raw 264.7 cell lysate at 10 µg

Lane 3:

PC-12 cell lysate at 10 µg

Lane 4:

NIH/3T3 cell lysate at 10 µg

Secondary

All lanes:

Goat Anti-Rabbit IgG, (H+L), Peroxidase conjugated at 1/1000 dilution

Predicted band size: 56 kDa

Observed band size: 56 kDa

false

Western blot - Anti-TBLR1/TBL1XR1+TBL1X+TBL1Y antibody [EPR16153] (AB190796)
  • WB

Lab

Western blot - Anti-TBLR1/TBL1XR1+TBL1X+TBL1Y antibody [EPR16153] (AB190796)

All lanes:

Western blot - Anti-TBLR1/TBL1XR1+TBL1X+TBL1Y antibody [EPR16153] (ab190796) at 1/5000 dilution

Lane 1:

His-tagged human full length TBL1Y protein at 10 ng

Lane 2:

His-tagged human full length TBL1X protein at 10 ng

Lane 3:

His-tagged human full length TBL1R protein at 10 ng

Secondary

All lanes:

Western blot - Goat Anti-Rabbit IgG H&L (HRP) (<a href='/en-us/products/secondary-antibodies/goat-rabbit-igg-h-l-hrp-ab97051'>ab97051</a>) at 1/20000 dilution

Observed band size: 50-60 kDa

false

Exposure time: 120s

  • Carrier free

    Anti-TBLR1/TBL1XR1+TBL1X+TBL1Y antibody [EPR16153] - BSA and Azide free

Key facts

Host species

Rabbit

Clonality

Monoclonal

Clone number

EPR16153

Isotype

IgG

Carrier free

No

Reacts with

Mouse, Rat, Human

Applications

ICC/IF, WB, IHC-P

applications

Immunogen

The exact immunogen used to generate this antibody is proprietary information.

Reactivity data

{ "title": "Reactivity Data", "filters": { "stats": ["", "Species", "Dilution Info", "Notes"], "tabs": { "all-applications": {"fullname" : "All Applications", "shortname": "All Applications"}, "WB" : {"fullname" : "Western blot", "shortname":"WB"}, "ICCIF" : {"fullname" : "Immunocytochemistry/ Immunofluorescence", "shortname":"ICC/IF"}, "IHCP" : {"fullname" : "Immunohistochemistry (Formalin/PFA-fixed paraffin-embedded sections)", "shortname":"IHC-P"} }, "product-promise": { "all": "all", "testedAndGuaranteed": "tested", "guaranteed": "expected", "predicted": "predicted", "notRecommended": "not-recommended" } }, "values": { "Human": { "WB-species-checked": "testedAndGuaranteed", "WB-species-dilution-info": "1/1000 - 1/10000", "WB-species-notes": "<p></p>", "ICCIF-species-checked": "testedAndGuaranteed", "ICCIF-species-dilution-info": "1/250", "ICCIF-species-notes": "<p></p>", "IHCP-species-checked": "testedAndGuaranteed", "IHCP-species-dilution-info": "1/50 - 1/100", "IHCP-species-notes": "<p></p> Perform heat-mediated antigen retrieval with Tris/EDTA buffer pH 9.0 before commencing with IHC staining protocol." }, "Mouse": { "WB-species-checked": "guaranteed", "WB-species-dilution-info": "", "WB-species-notes": "", "ICCIF-species-checked": "guaranteed", "ICCIF-species-dilution-info": "", "ICCIF-species-notes": "", "IHCP-species-checked": "testedAndGuaranteed", "IHCP-species-dilution-info": "1/50 - 1/100", "IHCP-species-notes": "<p></p> Perform heat-mediated antigen retrieval with Tris/EDTA buffer pH 9.0 before commencing with IHC staining protocol." }, "Rat": { "WB-species-checked": "testedAndGuaranteed", "WB-species-dilution-info": "1/1000 - 1/10000", "WB-species-notes": "<p></p>", "ICCIF-species-checked": "guaranteed", "ICCIF-species-dilution-info": "", "ICCIF-species-notes": "", "IHCP-species-checked": "guaranteed", "IHCP-species-dilution-info": "", "IHCP-species-notes": "" }, "Recombinant full length protein - Human": { "WB-species-checked": "testedAndGuaranteed", "WB-species-dilution-info": "1/1000 - 1/10000", "WB-species-notes": "<p></p>", "ICCIF-species-checked": "notRecommended", "ICCIF-species-dilution-info": "", "ICCIF-species-notes": "", "IHCP-species-checked": "notRecommended", "IHCP-species-dilution-info": "", "IHCP-species-notes": "" } } }

Product details

Patented technology
Our RabMAb® technology is a patented hybridoma-based technology for making rabbit monoclonal antibodies. For details on our patents, please refer to RabMAb® patents.

What are the advantages of a recombinant monoclonal antibody?
This product is a recombinant monoclonal antibody, which offers several advantages including:

  • - High batch-to-batch consistency and reproducibility
  • - Improved sensitivity and specificity
  • - Long-term security of supply
  • - Animal-free batch production

For more information, read more on recombinant antibodies.

Properties and storage information

Form
Liquid
Purification technique
Affinity purification Protein A
Storage buffer
pH: 7.2 - 7.4 Preservative: 0.01% Sodium azide Constituents: PBS, 40% Glycerol (glycerin, glycerine), 0.05% BSA
Shipped at conditions
Blue Ice
Appropriate short-term storage duration
1-2 weeks
Appropriate short-term storage conditions
+4°C
Appropriate long-term storage conditions
-20°C
Aliquoting information
Upon delivery aliquot
Storage information
Avoid freeze / thaw cycle

Supplementary information

This supplementary information is collated from multiple sources and compiled automatically.

TBL1 also known as TBLR1/TBL1XR1 and TBL1Y are part of the WD40 repeat-containing proteins each with a mass of approximately 55 kDa. These proteins play a role in the mechanics of transcription regulation and signal transduction. TBL1 and its variants are expressed in various tissues including the brain and liver suggesting a broad functional range. They interact with other protein complexes to modulate the chromatin structure and influence gene expression.
Biological function summary

TBL1 and its related proteins function as integral components of the nuclear receptor corepressor complex. They participate alongside other corepressor proteins to mediate transcriptional silencing. TBL1 proteins recruit enzymatic partners to specific genomic locations facilitating targeted gene repression and contributing to processes like metabolic regulation and circadian rhythm maintenance.

Pathways

TBL1 is significantly involved in the Wnt signaling and NF-kB pathways. In the Wnt pathway it interacts with proteins like beta-catenin to influence cell fate decisions. In the NF-kB pathway TBL1 affects the transcriptional regulation of genes involved in immune and inflammatory responses with targets that include RELA and NFKB1.

TBL1 proteins are associated with conditions such as deafness and cancer. Mutations or dysregulation of TBL1 can lead to sensorineural deafness likely due to its role in cochlear function and maintenance. Moreover TBL1 influences tumor progression by interacting with oncogenic proteins like beta-catenin contributing to cancerous transformations. Understanding these relationships highlights the importance of TBL1 in maintaining cellular homeostasis and its potential as a therapeutic target.

Product protocols

For this product, it's our understanding that no specific protocols are required. You can visit:

Target data

F-box-like protein involved in the recruitment of the ubiquitin/19S proteasome complex to nuclear receptor-regulated transcription units. Plays an essential role in transcription activation mediated by nuclear receptors. Probably acts as integral component of the N-Cor corepressor complex that mediates the recruitment of the 19S proteasome complex, leading to the subsequent proteasomal degradation of N-Cor complex, thereby allowing cofactor exchange, and transcription activation.
See full target information TBL1XR1

Additional targets

,TBL1X

Publications (2)

Recent publications for all applications. Explore the full list and refine your search

Cell reports 26:984-995.e6 PubMed30673619

2019

Impaired LXRα Phosphorylation Attenuates Progression of Fatty Liver Disease.

Applications

Unspecified application

Species

Unspecified reactive species

Natalia Becares,Matthew C Gage,Maud Voisin,Elina Shrestha,Lucia Martin-Gutierrez,Ning Liang,Rikah Louie,Benoit Pourcet,Oscar M Pello,Tu Vinh Luong,Saioa Goñi,Cesar Pichardo-Almarza,Hanne Røberg-Larsen,Vanessa Diaz-Zuccarini,Knut R Steffensen,Alastair O'Brien,Michael J Garabedian,Krista Rombouts,Eckardt Treuter,Inés Pineda-Torra

Disease markers 2016:2436518 PubMed27672238

2016

TBL1XR1 Is Highly Expressed in Gastric Cancer and Predicts Poor Prognosis.

Applications

Unspecified application

Species

Unspecified reactive species

Fang Liu,Yuan He,Qinghua Cao,Ni Liu,Wenhui Zhang
View all publications

Product promise

We are committed to supporting your work with high-quality reagents, and we're here for you every step of the way. In the unlikely event that one of our products does not perform as expected, you're protected by our Product Promise.
For full details, please see our Terms & Conditions

Please note: All products are 'FOR RESEARCH USE ONLY. NOT FOR USE IN DIAGNOSTIC OR THERAPEUTIC PROCEDURES'.

For licensing inquiries, please contact partnerships@abcam.com