JavaScript is disabled in your browser. Please enable JavaScript to view this website.
AB251039

Anti-TBLR1/TBL1XR1+TBL1X+TBL1Y antibody [EPR16153] - BSA and Azide free

Be the first to review this product! Submit a review

|

(0 Publication)

Rabbit Recombinant Monoclonal TBLR1/TBL1XR1 antibody. Carrier free. Suitable for ICC/IF, WB, IHC-P and reacts with Human, Rat, Mouse, Recombinant full length protein - Human samples.

View Alternative Names

IRA1, TBLR1, TBL1XR1, F-box-like/WD repeat-containing protein TBL1XR1, Nuclear receptor corepressor/HDAC3 complex subunit TBLR1, TBL1-related protein 1, Transducin beta-like 1X-related protein 1

7 Images
Immunocytochemistry/ Immunofluorescence - Anti-TBLR1/TBL1XR1+TBL1X+TBL1Y antibody [EPR16153] - BSA and Azide free (AB251039)
  • ICC/IF

Supplier Data

Immunocytochemistry/ Immunofluorescence - Anti-TBLR1/TBL1XR1+TBL1X+TBL1Y antibody [EPR16153] - BSA and Azide free (AB251039)

This data was developed using ab190796, the same antibody clone in a different buffer formulation.

Immunofluorescence analysis of HeLa cells fixed in 4% paraformaldehyde, labeling TBLR1/TBL1XR1 with ab190796 at 1/200 dilution. Goat anti rabbit IgG(Alexa Fluor® 555) was used as the secondary antibody at 1/200. Counterstained with DAPI.

Immunocytochemistry/ Immunofluorescence - Anti-TBLR1/TBL1XR1+TBL1X+TBL1Y antibody [EPR16153] - BSA and Azide free (AB251039)
  • ICC/IF

Supplier Data

Immunocytochemistry/ Immunofluorescence - Anti-TBLR1/TBL1XR1+TBL1X+TBL1Y antibody [EPR16153] - BSA and Azide free (AB251039)

This data was developed using ab190796, the same antibody clone in a different buffer formulation.

Immunofluorescence analysis of PC-3 cells fixed in 4% paraformaldehyde, labeling TBLR1/TBL1XR1 with ab190796 at 1/200 dilution. Goat anti rabbit IgG(Alexa Fluor® 555) was used as a secondary antibody at 1/200. Counterstained with DAPI.

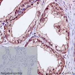
Immunohistochemistry (Formalin/PFA-fixed paraffin-embedded sections) - Anti-TBLR1/TBL1XR1+TBL1X+TBL1Y antibody [EPR16153] - BSA and Azide free (AB251039)
  • IHC-P

Supplier Data

Immunohistochemistry (Formalin/PFA-fixed paraffin-embedded sections) - Anti-TBLR1/TBL1XR1+TBL1X+TBL1Y antibody [EPR16153] - BSA and Azide free (AB251039)

This data was developed using ab190796, the same antibody clone in a different buffer formulation.

Immunohistochemical analysis of formalin-fixed, paraffin-embedded Human prostatic hyperplasia tissue, labeling TBLR1/TBL1XR1 with ab190796 at 1/100 dilution. Detected using HRP Polymer for Rabbit IgG and counter-stained using hematoxylin.

Perform heat mediated antigen retrieval with Tris/EDTA buffer pH 9.0 before commencing with IHC staining protocol.

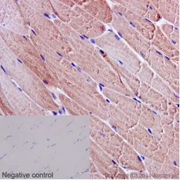
Immunohistochemistry (Formalin/PFA-fixed paraffin-embedded sections) - Anti-TBLR1/TBL1XR1+TBL1X+TBL1Y antibody [EPR16153] - BSA and Azide free (AB251039)
  • IHC-P

Supplier Data

Immunohistochemistry (Formalin/PFA-fixed paraffin-embedded sections) - Anti-TBLR1/TBL1XR1+TBL1X+TBL1Y antibody [EPR16153] - BSA and Azide free (AB251039)

This data was developed using ab190796, the same antibody clone in a different buffer formulation.

Immunohistochemical analysis of formalin-fixed, paraffin-embedded mouse muscle tissue, labeling TBLR1/TBL1XR1 with ab190796 at 1/100 dilution. Detected using HRP Polymer for Rabbit IgG and counter-stained using hematoxylin.

Perform heat mediated antigen retrieval with Tris/EDTA buffer pH 9.0 before commencing with IHC staining protocol.

Western blot - Anti-TBLR1/TBL1XR1+TBL1X+TBL1Y antibody [EPR16153] - BSA and Azide free (AB251039)
  • WB

Supplier Data

Western blot - Anti-TBLR1/TBL1XR1+TBL1X+TBL1Y antibody [EPR16153] - BSA and Azide free (AB251039)

This data was developed using ab190796, the same antibody clone in a different buffer formulation.

All lanes:

Western blot - Anti-TBLR1/TBL1XR1+TBL1X+TBL1Y antibody [EPR16153] (<a href='/en-us/products/primary-antibodies/tblr1-tbl1xr1tbl1xtbl1y-antibody-epr16153-ab190796'>ab190796</a>) at 1/1000 dilution

Lane 1:

K562 cell lysate at 20 µg

Lane 2:

Hela cell lysate at 20 µg

Lane 3:

Jurkat cell lysate at 20 µg

Secondary

All lanes:

Goat Anti-Rabbit IgG, (H+L), Peroxidase conjugated at 1/1000 dilution

Predicted band size: 56 kDa

Observed band size: 56 kDa

false

Western blot - Anti-TBLR1/TBL1XR1+TBL1X+TBL1Y antibody [EPR16153] - BSA and Azide free (AB251039)
  • WB

Supplier Data

Western blot - Anti-TBLR1/TBL1XR1+TBL1X+TBL1Y antibody [EPR16153] - BSA and Azide free (AB251039)

This data was developed using ab190796, the same antibody clone in a different buffer formulation.

All lanes:

Western blot - Anti-TBLR1/TBL1XR1+TBL1X+TBL1Y antibody [EPR16153] (<a href='/en-us/products/primary-antibodies/tblr1-tbl1xr1tbl1xtbl1y-antibody-epr16153-ab190796'>ab190796</a>) at 1/1000 dilution

Lane 1:

C6 cell lysate at 10 µg

Lane 2:

Raw 264.7 cell lysate at 10 µg

Lane 3:

PC-12 cell lysate at 10 µg

Lane 4:

NIH/3T3 cell lysate at 10 µg

Secondary

All lanes:

Goat Anti-Rabbit IgG, (H+L), Peroxidase conjugated at 1/1000 dilution

Predicted band size: 56 kDa

Observed band size: 56 kDa

false

Western blot - Anti-TBLR1/TBL1XR1+TBL1X+TBL1Y antibody [EPR16153] - BSA and Azide free (AB251039)
  • WB

Lab

Western blot - Anti-TBLR1/TBL1XR1+TBL1X+TBL1Y antibody [EPR16153] - BSA and Azide free (AB251039)

This data was developed using ab190796, the same antibody clone in a different buffer formulation.

All lanes:

Western blot - Anti-TBLR1/TBL1XR1+TBL1X+TBL1Y antibody [EPR16153] (<a href='/en-us/products/primary-antibodies/tblr1-tbl1xr1tbl1xtbl1y-antibody-epr16153-ab190796'>ab190796</a>) at 1/5000 dilution

Lane 1:

His-tagged human full length TBL1Y protein at 10 ng

Lane 2:

His-tagged human full length TBL1X protein at 10 ng

Lane 3:

His-tagged human full length TBL1R protein at 10 ng

Secondary

All lanes:

Western blot - Goat Anti-Rabbit IgG H&L (HRP) (<a href='/en-us/products/secondary-antibodies/goat-rabbit-igg-h-l-hrp-ab97051'>ab97051</a>) at 1/20000 dilution

Observed band size: 50-60 kDa

false

Exposure time: 120s

  • Unconjugated

    Anti-TBLR1/TBL1XR1+TBL1X+TBL1Y antibody [EPR16153]

Key facts

Host species

Rabbit

Clonality

Monoclonal

Clone number

EPR16153

Isotype

IgG

Carrier free

Yes

Reacts with

Mouse, Rat, Human

Applications

ICC/IF, WB, IHC-P

applications

Immunogen

The exact immunogen used to generate this antibody is proprietary information.

Reactivity data

{ "title": "Reactivity Data", "filters": { "stats": ["", "Species", "Dilution Info", "Notes"], "tabs": { "all-applications": {"fullname" : "All Applications", "shortname": "All Applications"}, "ICCIF" : {"fullname" : "Immunocytochemistry/ Immunofluorescence", "shortname":"ICC/IF"}, "WB" : {"fullname" : "Western blot", "shortname":"WB"}, "IHCP" : {"fullname" : "Immunohistochemistry (Formalin/PFA-fixed paraffin-embedded sections)", "shortname":"IHC-P"} }, "product-promise": { "all": "all", "testedAndGuaranteed": "tested", "guaranteed": "expected", "predicted": "predicted", "notRecommended": "not-recommended" } }, "values": { "Human": { "ICCIF-species-checked": "testedAndGuaranteed", "ICCIF-species-dilution-info": "", "ICCIF-species-notes": "<p></p>", "WB-species-checked": "testedAndGuaranteed", "WB-species-dilution-info": "", "WB-species-notes": "<p></p>", "IHCP-species-checked": "testedAndGuaranteed", "IHCP-species-dilution-info": "", "IHCP-species-notes": "<p></p> Perform heat-mediated antigen retrieval with Tris/EDTA buffer pH 9.0 before commencing with IHC staining protocol." }, "Mouse": { "ICCIF-species-checked": "guaranteed", "ICCIF-species-dilution-info": "", "ICCIF-species-notes": "", "WB-species-checked": "guaranteed", "WB-species-dilution-info": "", "WB-species-notes": "", "IHCP-species-checked": "testedAndGuaranteed", "IHCP-species-dilution-info": "", "IHCP-species-notes": "<p></p> Perform heat-mediated antigen retrieval with Tris/EDTA buffer pH 9.0 before commencing with IHC staining protocol." }, "Rat": { "ICCIF-species-checked": "guaranteed", "ICCIF-species-dilution-info": "", "ICCIF-species-notes": "", "WB-species-checked": "testedAndGuaranteed", "WB-species-dilution-info": "", "WB-species-notes": "<p></p>", "IHCP-species-checked": "guaranteed", "IHCP-species-dilution-info": "", "IHCP-species-notes": "" }, "Recombinant full length protein - Human": { "ICCIF-species-checked": "notRecommended", "ICCIF-species-dilution-info": "", "ICCIF-species-notes": "", "WB-species-checked": "testedAndGuaranteed", "WB-species-dilution-info": "", "WB-species-notes": "<p></p>", "IHCP-species-checked": "notRecommended", "IHCP-species-dilution-info": "", "IHCP-species-notes": "" } } }

Product details

ab251039 is the carrier-free version of ab190796.

Patented technology
Our RabMAb® technology is a patented hybridoma-based technology for making rabbit monoclonal antibodies. For details on our patents, please refer to RabMAb® patents.

What are the advantages of a recombinant monoclonal antibody?
This product is a recombinant monoclonal antibody, which offers several advantages including:

  • - High batch-to-batch consistency and reproducibility
  • - Improved sensitivity and specificity
  • - Long-term security of supply
  • - Animal-free batch production

For more information, read more on recombinant antibodies.

Conjugation ready
Our carrier-free antibodies are typically supplied in a PBS-only formulation, purified and free of BSA, sodium azide and glycerol. This conjugation-ready format is designed for use with fluorochromes, metal isotopes, oligonucleotides, and enzymes, which makes them ideal for antibody labelling, functional and cell-based assays, flow-based assays (e.g. mass cytometry) and Multiplex Imaging applications.

Use our conjugation kits for antibody conjugates that are ready-to-use in as little as 20 minutes with 1 minute hands-on-time and 100% antibody recovery: available for fluorescent dyes, HRP, biotin and gold.

Compatibility
This product is compatible with the Maxpar® Antibody Labeling Kit from Fluidigm, without the need for antibody preparation. Maxpar® is a trademark of Fluidigm Canada Inc.

Properties and storage information

Form
Liquid
Storage buffer
pH: 7.2 - 7.4 Constituents: PBS
Shipped at conditions
Blue Ice
Appropriate short-term storage conditions
+4°C
Appropriate long-term storage conditions
+4°C
Storage information
Do Not Freeze

Supplementary information

This supplementary information is collated from multiple sources and compiled automatically.

TBL1 also known as TBLR1/TBL1XR1 and TBL1Y are part of the WD40 repeat-containing proteins each with a mass of approximately 55 kDa. These proteins play a role in the mechanics of transcription regulation and signal transduction. TBL1 and its variants are expressed in various tissues including the brain and liver suggesting a broad functional range. They interact with other protein complexes to modulate the chromatin structure and influence gene expression.
Biological function summary

TBL1 and its related proteins function as integral components of the nuclear receptor corepressor complex. They participate alongside other corepressor proteins to mediate transcriptional silencing. TBL1 proteins recruit enzymatic partners to specific genomic locations facilitating targeted gene repression and contributing to processes like metabolic regulation and circadian rhythm maintenance.

Pathways

TBL1 is significantly involved in the Wnt signaling and NF-kB pathways. In the Wnt pathway it interacts with proteins like beta-catenin to influence cell fate decisions. In the NF-kB pathway TBL1 affects the transcriptional regulation of genes involved in immune and inflammatory responses with targets that include RELA and NFKB1.

TBL1 proteins are associated with conditions such as deafness and cancer. Mutations or dysregulation of TBL1 can lead to sensorineural deafness likely due to its role in cochlear function and maintenance. Moreover TBL1 influences tumor progression by interacting with oncogenic proteins like beta-catenin contributing to cancerous transformations. Understanding these relationships highlights the importance of TBL1 in maintaining cellular homeostasis and its potential as a therapeutic target.

Product protocols

For this product, it's our understanding that no specific protocols are required. You can visit:

Target data

F-box-like protein involved in the recruitment of the ubiquitin/19S proteasome complex to nuclear receptor-regulated transcription units. Plays an essential role in transcription activation mediated by nuclear receptors. Probably acts as integral component of the N-Cor corepressor complex that mediates the recruitment of the 19S proteasome complex, leading to the subsequent proteasomal degradation of N-Cor complex, thereby allowing cofactor exchange, and transcription activation.
See full target information TBL1XR1

Additional targets

TBL1X,

Product promise

We are committed to supporting your work with high-quality reagents, and we're here for you every step of the way. In the unlikely event that one of our products does not perform as expected, you're protected by our Product Promise.
For full details, please see our Terms & Conditions

Please note: All products are 'FOR RESEARCH USE ONLY. NOT FOR USE IN DIAGNOSTIC OR THERAPEUTIC PROCEDURES'.

For licensing inquiries, please contact partnerships@abcam.com